JavaScript is disabled in your browser. Please enable JavaScript to view this website.
AB191405

重组Anti-TXNDC9抗体[EPR15239]

Anti-TXNDC9 antibody [EPR15239]

Be the first to review this product! Submit a review

|

(1 Publication)

Rabbit Recombinant Monoclonal TXNDC9 antibody. Suitable for WB, ICC/IF, IHC-P and reacts with Mouse, Rat, Human samples. Cited in 1 publication.

查看别名

APACD, TXNDC9, Thioredoxin domain-containing protein 9, ATP-binding protein associated with cell differentiation, Protein 1-4

6 Images
Immunocytochemistry/ Immunofluorescence - Anti-TXNDC9 antibody [EPR15239] (AB191405)
  • ICC/IF

Supplier Data

Immunocytochemistry/ Immunofluorescence - Anti-TXNDC9 antibody [EPR15239] (AB191405)

Immunofluorescent analysis of 4% paraformaldehyde-fixed, 0.1% tritonX-100 permeabilized SW480 cells labeling TXNDC9 with ab191405 at 1/400 dilution, followed by Goat anti-rabbit IgG (Alexa Fluor®488) secondary antibody (ab150077) at 1/200 dilution. Nuclear counter stain DAPI (blue).

The two negative controls used anti-TXNDC9 primary antibody at 1/200 dilution followed by Goat anti-mouse IgG (Alexa Fluor®594) secondary antibody at 1/400 dilution.

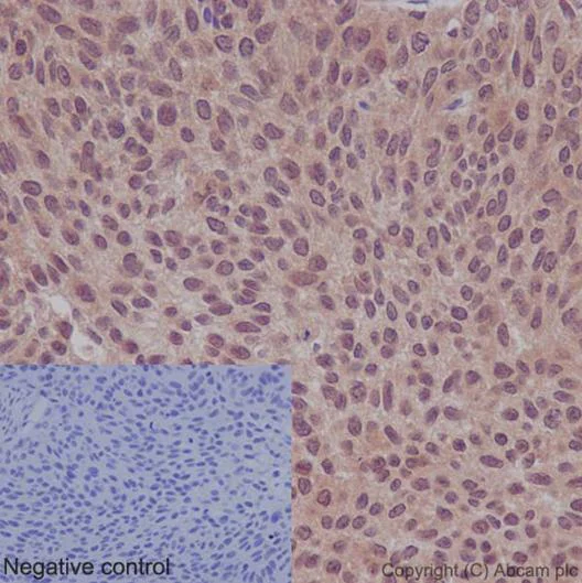
Immunohistochemistry (Formalin/PFA-fixed paraffin-embedded sections) - Anti-TXNDC9 antibody [EPR15239] (AB191405)
  • IHC-P

Supplier Data

Immunohistochemistry (Formalin/PFA-fixed paraffin-embedded sections) - Anti-TXNDC9 antibody [EPR15239] (AB191405)

Immunohistochemical analysis of paraffin-embedded Human squamous cell carcinoma of cervix tissue labeling TXNDC9 with ab191405 at 1/100 dilution, followed by prediluted HRP Polymer for Rabbit/Mouse IgG. Counter stained with Hematoxylin. In the negative control PBS was used instead of primary antibody.

Perform heat mediated antigen retrieval with Tris/EDTA buffer pH 9.0 before commencing with IHC staining protocol.

Western blot - Anti-TXNDC9 antibody [EPR15239] (AB191405)
  • WB

Lab

Western blot - Anti-TXNDC9 antibody [EPR15239] (AB191405)

Lanes 1-3 : Merged signal (red and green). Green - ab191405 observed at 27 kDa. Red - loading control ab8245 observed at 36 kDa.

ab191405 Anti-TXNDC9 antibody [EPR15239] was shown to specifically react with TXNDC9 in wild-type HeLa cells. Loss of signal was observed when knockout cell line ab265420 (knockout cell lysate ab258257) was used. Wild-type and TXNDC9 knockout samples were subjected to SDS-PAGE. ab191405 and Anti-GAPDH antibody [6C5] - Loading Control (ab8245) were incubated at room temperature for 2. 5 hours at 1 in 1000 dilution and 1 in 20000 dilution respectively. Blots were developed with Goat anti-Rabbit IgG H&L (IRDye® 800CW) preadsorbed (ab216773) and Goat anti-Mouse IgG H&L (IRDye® 680RD) preadsorbed (ab216776) secondary antibodies at 1 in 20000 dilution for 1 hour at room temperature before imaging.

All lanes:

Western blot - Anti-TXNDC9 antibody [EPR15239] (ab191405) at 1/1000 dilution

Lane 1:

Wild-type HeLa cell lysate at 20 µg

Lane 2:

TXNDC9 knockout HeLa cell lysate at 20 µg

Lane 2:

Western blot - Human TXNDC9 knockout HeLa cell line (<a href='/products/cell-lines/human-txndc9-knockout-hela-cell-line-ab265420'>ab265420</a>)

Lane 3:

K-562 cell lysate at 20 µg

Secondary

All lanes:

Western blot - Goat anti-Rabbit IgG H&L (IRDye® 800CW) preadsorbed (<a href='/products/secondary-antibodies/goat-rabbit-igg-h-l-irdye-800cw-preadsorbed-ab216773'>ab216773</a>) at 1/10000 dilution

Predicted band size: 27 kDa

Observed band size: 27 kDa

false

Western blot - Anti-TXNDC9 antibody [EPR15239] (AB191405)
  • WB

Supplier Data

Western blot - Anti-TXNDC9 antibody [EPR15239] (AB191405)

Blocking/Dilution buffer : 5% NFDM/TBST.

All lanes:

Western blot - Anti-TXNDC9 antibody [EPR15239] (ab191405) at 1/10000 dilution

All lanes:

K562 cell lysate at 20 µg

Secondary

All lanes:

Goat anti-rabbit IgG, (H+L), peroxidase conjugated at 1/1000 dilution

Predicted band size: 27 kDa

Observed band size: 27 kDa

false

Western blot - Anti-TXNDC9 antibody [EPR15239] (AB191405)
  • WB

Supplier Data

Western blot - Anti-TXNDC9 antibody [EPR15239] (AB191405)

Blocking/Dilution buffer : 5% NFDM/TBST.

All lanes:

Western blot - Anti-TXNDC9 antibody [EPR15239] (ab191405) at 1/1000 dilution

Lane 1:

Jurkat cell lysate at 20 µg

Lane 2:

Raji cell lysate at 20 µg

Lane 3:

SW80 cell lysate at 20 µg

Secondary

All lanes:

Goat anti-rabbit IgG, (H+L), peroxidase conjugated at 1/1000 dilution

Predicted band size: 27 kDa

Observed band size: 27 kDa

false

Western blot - Anti-TXNDC9 antibody [EPR15239] (AB191405)
  • WB

Supplier Data

Western blot - Anti-TXNDC9 antibody [EPR15239] (AB191405)

Blocking/Dilution buffer : 5% NFDM/TBST.

All lanes:

Western blot - Anti-TXNDC9 antibody [EPR15239] (ab191405) at 1/1000 dilution

Lane 1:

C6 cell lysate at 10 µg

Lane 2:

Raw264.7 cell lysate at 10 µg

Lane 3:

NIH/3T3 cell lysate at 10 µg

Secondary

All lanes:

Goat anti-rabbit IgG, (H+L), peroxidase conjugated at 1/1000 dilution

Predicted band size: 27 kDa

Observed band size: 27 kDa

false

关键信息

宿主种属

Rabbit

克隆

Monoclonal

克隆号

EPR15239

亚型

IgG

不含载体蛋白

No

反应种属

Mouse, Rat, Human

应用

WB, ICC/IF, IHC-P

applications

免疫原

The exact immunogen used to generate this antibody is proprietary information.

反应性数据

{ "title": "Reactivity Data", "filters": { "stats": ["", "Species", "Dilution Info", "Notes"], "tabs": { "all-applications": {"fullname" : "All Applications", "shortname": "All Applications"}, "WB" : {"fullname" : "Western blot", "shortname":"WB"}, "ICCIF" : {"fullname" : "Immunocytochemistry/ Immunofluorescence", "shortname":"ICC/IF"}, "IHCP" : {"fullname" : "Immunohistochemistry (Formalin/PFA-fixed paraffin-embedded sections)", "shortname":"IHC-P"} }, "product-promise": { "all": "all", "testedAndGuaranteed": "tested", "guaranteed": "expected", "predicted": "predicted", "notRecommended": "not-recommended" } }, "values": { "Human": { "WB-species-checked": "testedAndGuaranteed", "WB-species-dilution-info": "1/1000 - 1/10000", "WB-species-notes": "<p></p>", "ICCIF-species-checked": "testedAndGuaranteed", "ICCIF-species-dilution-info": "1/400", "ICCIF-species-notes": "<p></p>", "IHCP-species-checked": "testedAndGuaranteed", "IHCP-species-dilution-info": "1/50 - 1/100", "IHCP-species-notes": "<p></p> Perform heat-mediated antigen retrieval with Tris/EDTA buffer pH 9.0 before commencing with IHC staining protocol." }, "Mouse": { "WB-species-checked": "testedAndGuaranteed", "WB-species-dilution-info": "1/1000 - 1/10000", "WB-species-notes": "<p></p>", "ICCIF-species-checked": "guaranteed", "ICCIF-species-dilution-info": "", "ICCIF-species-notes": "", "IHCP-species-checked": "guaranteed", "IHCP-species-dilution-info": "", "IHCP-species-notes": "" }, "Rat": { "WB-species-checked": "testedAndGuaranteed", "WB-species-dilution-info": "1/1000 - 1/10000", "WB-species-notes": "<p></p>", "ICCIF-species-checked": "guaranteed", "ICCIF-species-dilution-info": "", "ICCIF-species-notes": "", "IHCP-species-checked": "guaranteed", "IHCP-species-dilution-info": "", "IHCP-species-notes": "" } } }

产品详情

Patented technology
Our RabMAb® technology is a patented hybridoma-based technology for making rabbit monoclonal antibodies. For details on our patents, please refer to RabMAb® patents.

What are the advantages of a recombinant monoclonal antibody?
This product is a recombinant monoclonal antibody, which offers several advantages including:

  • - High batch-to-batch consistency and reproducibility
  • - Improved sensitivity and specificity
  • - Long-term security of supply
  • - Animal-free batch production

For more information, read more on recombinant antibodies.

性能和储存信息

形式
Liquid
纯化工艺
Affinity purification Protein A
存储溶液
pH: 7.2 - 7.4 Preservative: 0.01% Sodium azide Constituents: PBS, 40% Glycerol (glycerin, glycerine), 0.05% BSA
运输条件
Blue Ice
推荐的短期储存时间
1-2 weeks
推荐的短期储存条件
+4°C
推荐的长期储存条件
-20°C
分装信息
Upon delivery aliquot
储存信息
Avoid freeze / thaw cycle

补充信息

This supplementary information is collated from multiple sources and compiled automatically.

TXNDC9 also known as Thioredoxin Domain Containing 9 or ERdj5 functions as a protein disulfide isomerase involved in the reduction and isomerization of disulfide bonds. This protein weighs approximately 56 kDa and exhibits expression mostly in the endoplasmic reticulum of various cells. TXNDC9 with its oxidoreductase activity plays an important role in maintaining protein folding homeostasis and cellular redox balance. Researchers have identified it as a central player in protein quality control mechanisms.
Biological function summary

TXNDC9 assists in the protein folding process within the endoplasmic reticulum acting as part of larger protein complexes that include other chaperones. It particularly engages in helping misfolded proteins to attain their correct conformation contributing significantly to the protein folding machinery. Additionally TXNDC9 interacts with client proteins guiding their correct structural organization and preventing the accumulation of misfolded proteins that could be harmful to the cell.

Pathways

TXNDC9 occupies a significant position in the endoplasmic reticulum-associated degradation (ERAD) pathway and the unfolded protein response (UPR) pathway. It interacts with proteins such as Ero1 and BiP to ensure proper degradation of misfolded proteins and maintain cellular stress responses. In the ERAD pathway TXNDC9 acts to identify and prepare proteins for degradation while in the UPR pathway it supports roles that mitigate stress signals caused by accumulated unfolded proteins.

TXNDC9 involvement links to neurodegenerative diseases and certain cancers. Its role in maintaining protein homeostasis reflects connections to Alzheimer's disease where protein misfolding aggregates contribute to pathology. Similarly aberrant TXNDC9 function associates with tumor development in some cancers due to its involvement with cellular redox status and growth control mechanisms. In these contexts TXNDC9 may interact with proteins like Amyloid-beta in Alzheimer's and could influence oncogenic pathways through interactions with tumor-suppressor proteins.

产品实验方案

For this product, it's our understanding that no specific protocols are required. You can visit:

靶点信息

Significantly diminishes the chaperonin TCP1 complex ATPase activity, thus negatively impacts protein folding, including that of actin or tubulin.
See full target information TXNDC9

文献 (1)

Recent publications for all applications. Explore the full list and refine your search

Cell reports. Medicine 5:101679 PubMed39168102

2024

Proteomic landscape profiling of primary prostate cancer reveals a 16-protein panel for prognosis prediction.

Applications

Unspecified application

Species

Unspecified reactive species

Rui Sun,Jun A,Haolan Yu,Yan Wang,Miaoxia He,Lingling Tan,Honghan Cheng,Jili Zhang,Yingrui Wang,Xiaochen Sun,Mengge Lyu,Min Qu,Lingling Huang,Zijian Li,Wenhui Zhang,Kunpeng Ma,Zhenyang Dong,Weigang Ge,Yun Zhang,Xuan Ding,Bo Yang,Jianguo Hou,Chuanliang Xu,Linhui Wang,Yi Zhu,Tiannan Guo,Xu Gao,Chenghua Yang
View all publications

Abcam Product Promise

我们致力于为您的研究提供高质量的试剂,为您科研的每一步提供支持。若我们的产品未能达到预期性能,我们向您提供 Abcam Product Promise 保障。
详情请参阅我们的条款与条件。

Please note: All products are 'FOR RESEARCH USE ONLY. NOT FOR USE IN DIAGNOSTIC OR THERAPEUTIC PROCEDURES'.

For licensing inquiries, please contact partnerships@abcam.com