JavaScript is disabled in your browser. Please enable JavaScript to view this website.
AB6161

Anti-Tubulin 抗体 [YOL1/34] - Microtubule Marker

Anti-Tubulin antibody [YOL1/34] - Loading Control

5

(21 Reviews)

|

(185 Publications)

Anti-Tubulin antibody [YOL1/34] - Microtubule Marker (ab6161) is a rat monoclonal antibody detecting Tubulin in Western Blot, Flow Cytometry (Intra), Flow Cytometry, ICC/IF. Suitable for Human, Mouse, Rat.

- Over 150 publications
- Trusted since 2002

查看别名

Tubulin alpha-1B chain, Alpha-tubulin ubiquitous, Tubulin K-alpha-1, Tubulin alpha-ubiquitous chain, TUBA1B

10 Images
Western blot - Anti-Tubulin antibody [YOL1/34] - Loading Control (AB6161)
  • WB

Lab

Western blot - Anti-Tubulin antibody [YOL1/34] - Loading Control (AB6161)

This blot was produced using a 4-12% Bis-tris gel under the MOPS buffer system. The gel was run at 200V for 50 minutes before being transferred onto a Nitrocellulose membrane at 30V for 70 minutes. The membrane was then blocked for an hour using 2% Bovine Serum Albumin before being incubated with ab6161 overnight at 4°C. Antibody binding was detected using ab205720, and visualised using ECL development solution ab133406.

All lanes:

Western blot - Anti-Tubulin antibody [YOL1/34] - Loading Control (ab6161) at 1 µg/mL

Lane 1:

Liver (Human) Tissue Lysate at 10 µg

Lane 2:

Liver (Mouse) Tissue Lysate at 10 µg

Lane 3:

Liver (Rat) Tissue Lysate at 10 µg

Lane 4:

HeLa (Human epithelial carcinoma cell line) Whole Cell Lysate at 10 µg

Lane 5:

NIH 3T3 (Mouse embryonic fibroblast cell line) Whole Cell Lysate at 10 µg

Lane 6:

PC12 (Rat adrenal pheochromocytoma cell line) Whole Cell Lysate at 10 µg

Secondary

All lanes:

Western blot - Goat Anti-Rat IgG H&L (HRP) (<a href='/products/secondary-antibodies/goat-rat-igg-h-l-hrp-ab205720'>ab205720</a>) at 1/5000 dilution

Predicted band size: 36 kDa

Observed band size: 54 kDa

true

Exposure time: 15s

Flow Cytometry (Intracellular) - Anti-Tubulin antibody [YOL1/34] - Loading Control (AB6161)
  • Flow Cyt (Intra)

Unknown

Flow Cytometry (Intracellular) - Anti-Tubulin antibody [YOL1/34] - Loading Control (AB6161)

Overlay histogram showing HeLa cells stained with ab6161 (red line). The cells were fixed with 80% methanol (5 min) and then permeabilized with 0.1% PBS-Tween for 20 min. The cells were then incubated in 1x PBS / 10% normal goat serum / 0.3M glycine to block non-specific protein-protein interactions followed by the antibody (ab6161, 1μg/1x106 cells) for 30 min at 22°C. The secondary antibody used was DyLight® 488 goat anti-rat IgG (H+L) (ab98386) at 1/500 dilution for 30 min at 22°C. Isotype control antibody (black line) was rat IgG2a [aRTK2758] (ab18450, 1μg/1x106 cells) used under the same conditions. Acquisition of >5,000 events was performed.

Immunocytochemistry/ Immunofluorescence - Anti-Tubulin antibody [YOL1/34] - Loading Control (AB6161)
  • ICC/IF

Lab

Immunocytochemistry/ Immunofluorescence - Anti-Tubulin antibody [YOL1/34] - Loading Control (AB6161)

ab6161 staining Tubulin in HeLa cells. The cells were fixed with 4% paraformaldehyde (10 min), permeabilized with 0.1% PBS-Triton X-100 for 5 minutes and then blocked with 1% BSA/10% normal goat serum/0.3M glycine in 0.1%PBS-Tween for 1h. The cells were then incubated overnight at 4°C with ab6161 at 5µg/ml and ab7291, Mouse monoclonal [DM1A] to alpha Tubulin - Loading Control. Cells were then incubated with ab150165, Goat polyclonal Secondary Antibody to Rat IgG - H&L (Alexa Fluor® 488), pre-adsorbed at 1/1000 dilution (shown in green) and ab150120, Goat polyclonal Secondary Antibody to Mouse IgG - H&L (Alexa Fluor® 594), pre-adsorbed at 1/1000 dilution (shown in pseudocolour red). Nuclear DNA was labelled with DAPI (shown in blue).

Image was acquired with a high-content analyser (Operetta CLS, Perkin Elmer) and a maximum intensity projection of confocal sections is shown.

Immunocytochemistry/ Immunofluorescence - Anti-Tubulin antibody [YOL1/34] - Loading Control (AB6161)
  • ICC/IF

Unknown

Immunocytochemistry/ Immunofluorescence - Anti-Tubulin antibody [YOL1/34] - Loading Control (AB6161)

ICC/IF image of ab6161 stained human HepG2 cells. The cells were 4% PFA fixed (10 min), permabilised in 0.1% PBS-Tween (20 min) and incubated with the antibody (ab6161, 1μg/ml) for 1h at room temperature. 1%BSA / 10% normal goat serum / 0.3M glycine was used to block non-specific protein-protein interactions. The secondary antibody (green) was Alexa Fluor® 488 goat anti-rat IgG (H+L) used at a 1/1000 dilution for 1h. Alexa Fluor® 594 WGA was used to label plasma membranes (red). DAPI was used to stain the cell nuclei (blue). This antibody also gave a positive IF result in HeLa, HEK 293 and MCF7 cells.

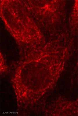
Immunocytochemistry/ Immunofluorescence - Anti-Tubulin antibody [YOL1/34] - Loading Control (AB6161)
  • ICC/IF

Unknown

Immunocytochemistry/ Immunofluorescence - Anti-Tubulin antibody [YOL1/34] - Loading Control (AB6161)

ab6161 staining tubulin HeLa cells treated with anisomycin (ab120495), by ICC/IF. Increase in tubulin expression correlates with increased concentration of anisomycin as described in literature.
The cells were incubated at 37°C for 6h in media containing different concentrations of ab120495 (anisomycin) in DMSO, fixed with 4% formaldehyde for 10 minutes at room temperature and blocked with PBS containing 10% goat serum, 0.3 M glycine, 1% BSA and 0.1% tween for 2h at room temperature. Staining of the treated cells with ab6161 (5 µg/ml) was performed overnight at 4°C in PBS containing 1% BSA and 0.1% tween. A DyLight 488 goat anti-rat polyclonal antibody (ab98386) at 1/250 dilution was used as the secondary antibody. Nuclei were counterstained with DAPI and are shown in blue.

Immunocytochemistry/ Immunofluorescence - Anti-Tubulin antibody [YOL1/34] - Loading Control (AB6161)
  • ICC/IF

AbReview11376****

Immunocytochemistry/ Immunofluorescence - Anti-Tubulin antibody [YOL1/34] - Loading Control (AB6161)

ab6161 staining mouse NIH 3T3 fibroblast cells by ICC/IF. Cells were PFA fixed and permeabilized in 0.2% Triton X-100 prior to blocking in 5% BSA for 45 minutes at RT. The primary antibody was diluted 1/1000 and incubated with the sample for 1 hour. An Alexa Fluor® 568 conjugated goat anti-rat antibody, diluted 1/3000, was used as the secondary.

This image is courtesy of an anonymous Abreview

Western blot - Anti-Tubulin antibody [YOL1/34] - Loading Control (AB6161)
  • WB

Unknown

Western blot - Anti-Tubulin antibody [YOL1/34] - Loading Control (AB6161)

Western blot against tubulin with ab6161 at 1/3000. Secondary Rabbit anti-Rat IgG HRP (ab6734)was used at 1/2000. Exposure time : 2mins.

Lane 1 : 20μg/lane HeLa (Human) whole cell lysates (ab7898).

Lane 2 : 20μg/lane 3T3 (Mouse) whole cell lysate (ab7901).

Lane 3 : 20μg/lane Rat brain tissue lysate (ab7942).

All lanes:

Western blot - Anti-Tubulin antibody [YOL1/34] - Loading Control (ab6161)

Predicted band size: 50 kDa

false

Western blot - Anti-Tubulin antibody [YOL1/34] - Loading Control (AB6161)
  • WB

Lab

Western blot - Anti-Tubulin antibody [YOL1/34] - Loading Control (AB6161)

This blot was produced using a 4-12% Bis-tris gel under the MOPS buffer system. The gel was run at 200V for 50 minutes before being transferred onto a Nitrocellulose membrane at 30V for 70 minutes. The membrane was then blocked for an hour using 2% Bovine Serum Albumin before being incubated with ab6161 overnight at 4°C. Antibody binding was detected using ab205720 (Left Image) and a competitor secondary (Right Image), and visualised using ECL development solution ab133406.

All lanes:

Western blot - Anti-Tubulin antibody [YOL1/34] - Loading Control (ab6161) at 1 µg/mL

Lane 1:

Liver (Human) Tissue Lysate at 10 µg

Lane 2:

Liver (Mouse) Tissue Lysate at 10 µg

Lane 3:

Liver (Rat) Tissue Lysate at 10 µg

Secondary

All lanes:

<a href='/products/secondary-antibodies/goat-rat-igg-h-l-hrp-ab205720'>ab205720</a> (Left Image) at 1/5000 and a competitor secondary (Right Image) at 1/5000. Notice the increased background of the competitor product

Predicted band size: 36 kDa

Observed band size: 54 kDa

false

Exposure time: 15s

Western blot - Anti-Tubulin antibody [YOL1/34] - Loading Control (AB6161)
  • WB

Unknown

Western blot - Anti-Tubulin antibody [YOL1/34] - Loading Control (AB6161)

All lanes:

Western blot - Anti-Tubulin antibody [YOL1/34] - Loading Control (ab6161) at 1 µg/mL

All lanes:

Brain (Rat) Tissue Lysate at 10 µg

Secondary

All lanes:

Rabbit polyclonal to Rat IgG - H&L (HRP) at 1/10000 dilution

Predicted band size: 50 kDa,55 kDa

Observed band size: 54 kDa

true

Exposure time: 3min

Western blot - Anti-Tubulin antibody [YOL1/34] - Loading Control (AB6161)
  • WB

AbReview7034****

Western blot - Anti-Tubulin antibody [YOL1/34] - Loading Control (AB6161)

All lanes:

Western blot - Anti-Tubulin antibody [YOL1/34] - Loading Control (ab6161) at 1/2000 dilution

All lanes:

Yeast (Saccharomyces cerevisiae) whole cell extract prepared by bead-beating at 5 µg

Secondary

All lanes:

HRP conjugated goat anti-rat antibody

Predicted band size: 50 kDa

Observed band size: 50 kDa

true

Exposure time: 30s

This image is courtesy of an anonymous Abreview

不同偶联物与剂型 (3)

  • 519 Alexa Fluor® 488

    Alexa Fluor® 488 Anti-Tubulin antibody [YOL1/34] - Microtubule Marker

  • HRP

    HRP Anti-Tubulin antibody [YOL1/34] - Loading Control

  • 665 Alexa Fluor® 647

    Alexa Fluor® 647 Anti-Tubulin antibody [YOL1/34] - Microtubule Marker

关键信息

宿主种属

Rat

克隆

Monoclonal

克隆号

YOL1/34

亚型

IgG2a

不含载体蛋白

No

反应种属

Mouse, Rat, Human

应用

ICC/IF, Flow Cyt (Intra), WB

applications

免疫原

The exact immunogen used to generate this antibody is proprietary information.

表位

ab6161 binds to an epitope between amino acids 414 and 422 of alpha tubulin.

反应性数据

{ "title": "Reactivity Data", "filters": { "stats": ["", "Species", "Dilution Info", "Notes"], "tabs": { "all-applications": {"fullname" : "All Applications", "shortname": "All Applications"}, "ICCIF" : {"fullname" : "Immunocytochemistry/ Immunofluorescence", "shortname":"ICC/IF"}, "FlowCytIntra" : {"fullname" : "Flow Cytometry (Intracellular)", "shortname":"Flow Cyt (Intra)"}, "WB" : {"fullname" : "Western blot", "shortname":"WB"} }, "product-promise": { "all": "all", "testedAndGuaranteed": "tested", "guaranteed": "expected", "predicted": "predicted", "notRecommended": "not-recommended" } }, "values": { "Human": { "ICCIF-species-checked": "testedAndGuaranteed", "ICCIF-species-dilution-info": "5 µg/mL", "ICCIF-species-notes": "<p></p>", "FlowCytIntra-species-checked": "testedAndGuaranteed", "FlowCytIntra-species-dilution-info": "1 µg for 10^6 Cells", "FlowCytIntra-species-notes": "<p><a href='/products/primary-antibodies/rat-igg2a-kappa-monoclonal-rtk2758-isotype-control-ab18450'>ab18450</a> - Rat monoclonal IgG2a, is suitable for use as an isotype control with this antibody.</p>", "WB-species-checked": "testedAndGuaranteed", "WB-species-dilution-info": "1 µg/mL", "WB-species-notes": "<p></p>" }, "Mouse": { "ICCIF-species-checked": "testedAndGuaranteed", "ICCIF-species-dilution-info": "5 µg/mL", "ICCIF-species-notes": "<p></p>", "FlowCytIntra-species-checked": "guaranteed", "FlowCytIntra-species-dilution-info": "", "FlowCytIntra-species-notes": "", "WB-species-checked": "testedAndGuaranteed", "WB-species-dilution-info": "1 µg/mL", "WB-species-notes": "<p></p>" }, "Rat": { "ICCIF-species-checked": "testedAndGuaranteed", "ICCIF-species-dilution-info": "5 µg/mL", "ICCIF-species-notes": "<p></p>", "FlowCytIntra-species-checked": "guaranteed", "FlowCytIntra-species-dilution-info": "", "FlowCytIntra-species-notes": "", "WB-species-checked": "testedAndGuaranteed", "WB-species-dilution-info": "1 µg/mL", "WB-species-notes": "<p></p>" }, "Alligator": { "ICCIF-species-checked": "predicted", "ICCIF-species-dilution-info": "", "ICCIF-species-notes": "", "FlowCytIntra-species-checked": "predicted", "FlowCytIntra-species-dilution-info": "", "FlowCytIntra-species-notes": "", "WB-species-checked": "predicted", "WB-species-dilution-info": "", "WB-species-notes": "" }, "Dog": { "ICCIF-species-checked": "predicted", "ICCIF-species-dilution-info": "", "ICCIF-species-notes": "", "FlowCytIntra-species-checked": "predicted", "FlowCytIntra-species-dilution-info": "", "FlowCytIntra-species-notes": "", "WB-species-checked": "predicted", "WB-species-dilution-info": "", "WB-species-notes": "" }, "Mammals": { "ICCIF-species-checked": "predicted", "ICCIF-species-dilution-info": "", "ICCIF-species-notes": "", "FlowCytIntra-species-checked": "predicted", "FlowCytIntra-species-dilution-info": "", "FlowCytIntra-species-notes": "", "WB-species-checked": "predicted", "WB-species-dilution-info": "", "WB-species-notes": "" }, "Plants": { "ICCIF-species-checked": "predicted", "ICCIF-species-dilution-info": "", "ICCIF-species-notes": "", "FlowCytIntra-species-checked": "predicted", "FlowCytIntra-species-dilution-info": "", "FlowCytIntra-species-notes": "", "WB-species-checked": "predicted", "WB-species-dilution-info": "", "WB-species-notes": "" }, "Saccharomyces cerevisiae": { "ICCIF-species-checked": "predicted", "ICCIF-species-dilution-info": "", "ICCIF-species-notes": "", "FlowCytIntra-species-checked": "predicted", "FlowCytIntra-species-dilution-info": "", "FlowCytIntra-species-notes": "", "WB-species-checked": "predicted", "WB-species-dilution-info": "", "WB-species-notes": "" }, "Schizosaccharomyces pombe": { "ICCIF-species-checked": "predicted", "ICCIF-species-dilution-info": "", "ICCIF-species-notes": "", "FlowCytIntra-species-checked": "predicted", "FlowCytIntra-species-dilution-info": "", "FlowCytIntra-species-notes": "", "WB-species-checked": "predicted", "WB-species-dilution-info": "", "WB-species-notes": "" } } }

产品详情

What is this antibody validated in?
Anti-Tubulin antibody [YOL1/34] - Microtubule Marker (ab6161) is a rat monoclonal antibody and is validated for use in Western Blot (WB), Flow Cytometry (Intra), Flow Cytometry (Flow Cyt), Immunocytochemistry/immunofluorescence (ICC/IF) in Human, Mouse, Rat samples.

Trusted by the scientific community
Anti-Tubulin [YOL1/34] - Microtubule Marker (ab6161) was first used in a scientific publication in 2002 and has been cited over 150 times in peer-reviewed journals.

Reviewed by scientists
Anti-Tubulin [YOL1/34] - Microtubule Marker (ab6161) has over 20 independent reviews from customers.

Want a custom formulation?
This antibody clone is manufactured by Abcam. If you require a custom buffer formulation or conjugation for your experiments, please contact orders@abcam.com

性能和储存信息

形式
Liquid
纯化工艺
Affinity purification Protein G
存储溶液
pH: 7.4 Preservative: 0.02% Sodium azide Constituents: PBS, 6.97% L-Arginine
运输条件
Blue Ice
推荐的短期储存时间
1-2 weeks
推荐的短期储存条件
+4°C
推荐的长期储存条件
-20°C
分装信息
Upon delivery aliquot
储存信息
Avoid freeze / thaw cycle

补充信息

This supplementary information is collated from multiple sources and compiled automatically.

Tubulin sometimes called DM1B is a globular protein essential for the formation of microtubules. It has a molecular mass of approximately 55 kDa. Tubulin is expressed in most eukaryotic cells and exists as two closely related subunits alpha-tubulin and beta-tubulin. These subunits polymerize to form linear microtubule structures. Anti-tubulin antibodies such as anti-tubulin Alexa 34 can detect these microtubule markers in cells allowing researchers to visualize cytoskeletal organization.
Biological function summary

This core component of microtubule assembly is important for maintaining cell shape enabling intracellular transport and segregating chromosomes during cell division. As part of a complex tubulin interacts with various microtubule-associated proteins (MAPs) that regulate its dynamic assembly and disassembly. This regulation is important for processes like axonal transport in neurons and the movement of cilia and flagella in other cell types.

Pathways

Tubulin plays a significant role in the mitotic spindle assembly part of the cell cycle. This process is vital for the accurate segregation of chromosomes to daughter cells. Tubulin interacts with the kinesin and dynein motor proteins within this pathway which are essential for intracellular transport and mitosis. Another key pathway involving tubulin is the intracellular trafficking facilitated by motor proteins which is necessary for maintaining cell homeostasis and function.

Aberrant regulation or mutations in tubulin can lead to conditions such as cancer and neurodegenerative diseases. In cancer altered tubulin dynamics contribute to uncontrolled cell proliferation. Neurodegenerative disorders such as Alzheimer’s disease show involvement with tubulin through abnormal microtubule stability often linked to the MAP tau protein. Anti-tubulin antibodies including LAMP1 can help in research related to these conditions by offering methods to study tubulin distribution and function in diseased cells.

产品实验方案

For this product, it's our understanding that no specific protocols are required. You can visit:

靶点信息

Tubulin is the major constituent of microtubules, a cylinder consisting of laterally associated linear protofilaments composed of alpha- and beta-tubulin heterodimers (PubMed : 34996871). Microtubules grow by the addition of GTP-tubulin dimers to the microtubule end, where a stabilizing cap forms (PubMed : 34996871). Below the cap, tubulin dimers are in GDP-bound state, owing to GTPase activity of alpha-tubulin (PubMed : 34996871).
See full target information TUBA1B acetyl K40

文献 (185)

Recent publications for all applications. Explore the full list and refine your search

BMC plant biology 25:1252 PubMed41029208

2025

Floral anatomy and ultrastructure of Lepanthes calodictyon, L. saltatrix and L. tentaculata (Orchidaceae).

Applications

Unspecified application

Species

Unspecified reactive species

Max Rykaczewski,Małgorzata Kapusta,Magdalena Narajczyk,Dorota Łuszczek,Emilia Brzezicka,Dariusz L Szlachetko

Communications biology 8:1280 PubMed40855216

2025

Genome-wide RNAi screening in C. elegans reveals OXPHOS and pyrimidine synthesis pathways as PKA regulators.

Applications

Unspecified application

Species

Unspecified reactive species

Yanjie Li,Duo Duan,Shihao Zhu,Zicheng Liu,Qiang Zhang,Lianfeng Wu

iScience 28:112731 PubMed40530423

2025

Aurora B and INCENP co-overexpression severely disrupts mitosis and distinctly modifies the global transcriptional landscape.

Applications

Unspecified application

Species

Unspecified reactive species

María Galindo-Moreno,Marta Muñoz-Barrera,Chiara Marcozzi,Federica Bruno,Cristina Maya-Álvarez,Felipe Cortés-Ledesma,Rosa María Ríos,Cristina González-Aguilera,Fernando Monje-Casas

RSC chemical biology 6:891-904 PubMed40226336

2025

A stress-responsive p38 signaling axis in choanoflagellates.

Applications

Unspecified application

Species

Unspecified reactive species

Florentine U Rutaganira,Maxwell C Coyle,Maria H T Nguyen,Iliana Hernandez,Alex P Scopton,Arvin C Dar,Nicole King

Journal of virology 99:e0102624 PubMed39804091

2025

Microtubule acetylation is not required for HIV-1 infection or TRIM69-mediated restriction of HIV-1 infection.

Applications

Unspecified application

Species

Unspecified reactive species

Drew M Lichon,Natalie J LoMascolo,Bryan C Mounce,Edward M Campbell

The Journal of cell biology 224: PubMed39602297

2024

Identification of coilin interactors reveals coordinated control of Cajal body number and structure.

Applications

Unspecified application

Species

Unspecified reactive species

Dahyana Arias Escayola,Chuyue Zhang,Emily Nischwitz,Leonard Schärfen,Kerstin Dörner,Korinna Straube,Ulrike Kutay,Falk Butter,Karla M Neugebauer

Nature communications 15:9908 PubMed39548071

2024

TORC2 inhibition triggers yeast chromosome fragmentation through misregulated Base Excision Repair of clustered oxidation events.

Applications

Unspecified application

Species

Unspecified reactive species

Kenji Shimada,Cleo V D Tarashev,Stephanie Bregenhorn,Christian B Gerhold,Barbara van Loon,Gregory Roth,Verena Hurst,Josef Jiricny,Stephen B Helliwell,Susan M Gasser

Nature communications 15:9910 PubMed39548059

2024

Loss of cytoplasmic actin filaments raises nuclear actin levels to drive INO80C-dependent chromosome fragmentation.

Applications

Unspecified application

Species

Unspecified reactive species

Verena Hurst,Christian B Gerhold,Cleo V D Tarashev,Kiran Challa,Andrew Seeber,Shota Yamazaki,Britta Knapp,Stephen B Helliwell,Bernd Bodenmiller,Masahiko Harata,Kenji Shimada,Susan M Gasser

Marine drugs 22: PubMed39452864

2024

Potential of Marine Sponge Metabolites against Prions: Bromotyrosine Derivatives, a Family of Interest.

Applications

Unspecified application

Species

Unspecified reactive species

Maha Sinane,Colin Grunberger,Lucile Gentile,Céline Moriou,Victorien Chaker,Pierre Coutrot,Alain Guenneguez,Marie-Aude Poullaouec,Solène Connan,Valérie Stiger-Pouvreau,Mayalen Zubia,Yannick Fleury,Stéphane Cérantola,Nelly Kervarec,Ali Al-Mourabit,Sylvain Petek,Cécile Voisset

Nature communications 15:8723 PubMed39379393

2024

A germline-to-soma signal triggers an age-related decline of mitochondrial stress response.

Applications

Unspecified application

Species

Unspecified reactive species

Liankui Zhou,Liu Jiang,Lan Li,Chengchuan Ma,Peixue Xia,Wanqiu Ding,Ying Liu
View all publications

Abcam Product Promise

我们致力于为您的研究提供高质量的试剂,为您科研的每一步提供支持。若我们的产品未能达到预期性能,我们向您提供 Abcam Product Promise 保障。
详情请参阅我们的条款与条件。

Please note: All products are 'FOR RESEARCH USE ONLY. NOT FOR USE IN DIAGNOSTIC OR THERAPEUTIC PROCEDURES'.

For licensing inquiries, please contact partnerships@abcam.com