JavaScript is disabled in your browser. Please enable JavaScript to view this website.
AB178441

重组Anti-Tuberin抗体[Y320] - BSA and Azide free

Anti-Tuberin antibody [Y320] - BSA and Azide free

  • BOND RX™ Validated
  • RabMAb
  • Recombinant
  • KO Validated
  • 了解详情

Be the first to review this product! Submit a review

|

(6 Publications)

Rabbit Recombinant Monoclonal Tuberin antibody. Carrier free. Suitable for IHC-P, WB, Flow Cyt (Intra) and reacts with Human, Mouse, Rat samples. Cited in 6 publications.

查看别名

TSC4, TSC2, Tuberin, Tuberous sclerosis 2 protein

6 Images
Flow Cytometry (Intracellular) - Anti-Tuberin antibody [Y320] - BSA and Azide free (AB178441)
  • Flow Cyt (Intra)

Unknown

Flow Cytometry (Intracellular) - Anti-Tuberin antibody [Y320] - BSA and Azide free (AB178441)

Intracellular Flow Cytometry analysis of Jurkat (Human T cell leukemia T lymphocyte) cells labeling Tuberin with purified ab32554 at 1/30 dilution (10 μg/mL) (Red). Cells were fixed with 4% Paraformaldehyde and permeabilised with 90% Methanol. A Goat anti rabbit IgG (Alexa Fluor® 488, ab150077) secondary antibody was used at 1/2000. Isotype control - Rabbit monoclonal IgG (Black). Unlabeled control - Cell without incubation with primary antibody and secondary antibody (Blue).

This data was developed using the same antibody clone in a different buffer formulation containing PBS, BSA, glycerol, and sodium azide (ab32554).

Immunohistochemistry (Formalin/PFA-fixed paraffin-embedded sections) - Anti-Tuberin antibody [Y320] - BSA and Azide free (AB178441)
  • IHC-P

Unknown

Immunohistochemistry (Formalin/PFA-fixed paraffin-embedded sections) - Anti-Tuberin antibody [Y320] - BSA and Azide free (AB178441)

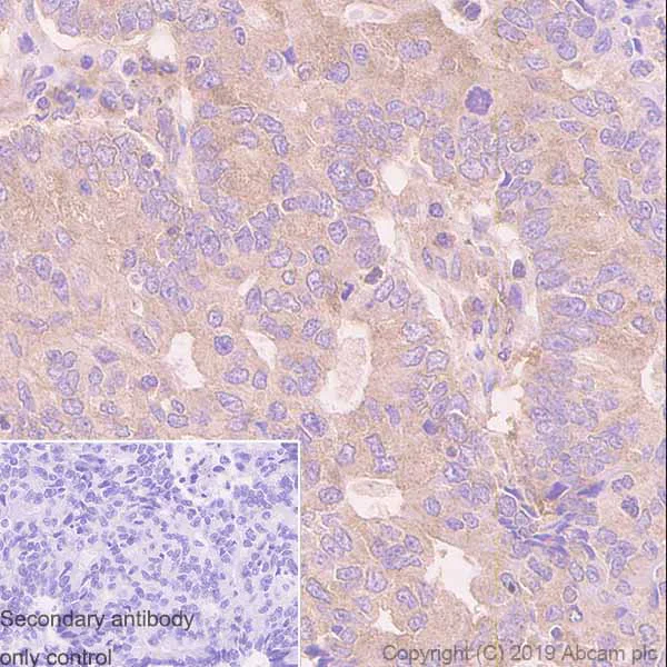
Immunohistochemistry (Formalin/PFA-fixed paraffin-embedded sections) analysis of human lung carcinoma tissue sections labeling Tuberin with purified ab32554 at 1/100 dilution (2.97 µg/mL). Heat mediated antigen retrieval using Bond™ Epitope Retrieval Solution 2 (pH 9.0). Rabbit specific IHC polymer detection kit HRP/DAB (ab209101) was used as the secondary antibody. Negative control : PBS instead of the primary antibody. Hematoxylin was used as a counterstain.
This data was developed using the same antibody clone in a different buffer formulation containing PBS, BSA, glycerol, and sodium azide (ab32554).

Immunohistochemistry (Formalin/PFA-fixed paraffin-embedded sections) - Anti-Tuberin antibody [Y320] - BSA and Azide free (AB178441)
  • IHC-P

Unknown

Immunohistochemistry (Formalin/PFA-fixed paraffin-embedded sections) - Anti-Tuberin antibody [Y320] - BSA and Azide free (AB178441)

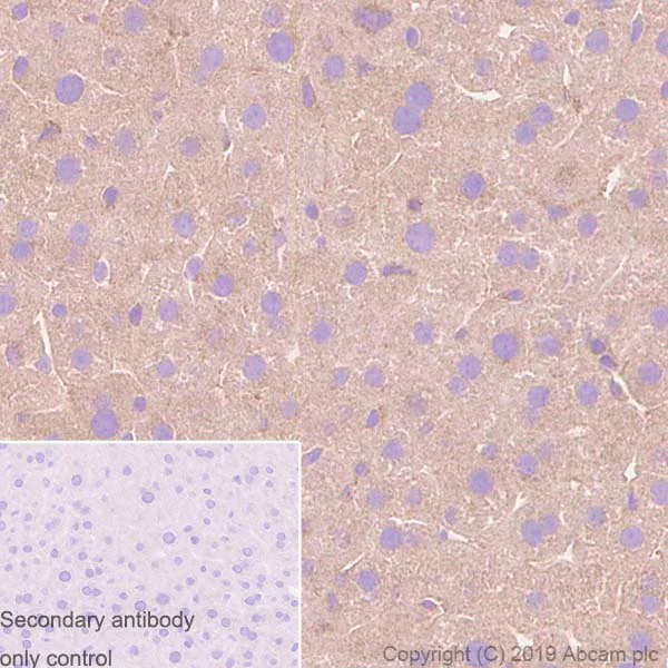
Immunohistochemistry (Formalin/PFA-fixed paraffin-embedded sections) analysis of mouse liver tissue sections labeling Tuberin with purified ab32554 at 1/100 dilution (2.97 µg/mL). Heat mediated antigen retrieval using Bond™ Epitope Retrieval Solution 2 (pH 9.0). Rabbit specific IHC polymer detection kit HRP/DAB (ab209101) was used as the secondary antibody. Negative control : PBS instead of the primary antibody. Hematoxylin was used as a counterstain.
This data was developed using the same antibody clone in a different buffer formulation containing PBS, BSA, glycerol, and sodium azide (ab32554).

Immunohistochemistry (Formalin/PFA-fixed paraffin-embedded sections) - Anti-Tuberin antibody [Y320] - BSA and Azide free (AB178441)
  • IHC-P

Unknown

Immunohistochemistry (Formalin/PFA-fixed paraffin-embedded sections) - Anti-Tuberin antibody [Y320] - BSA and Azide free (AB178441)

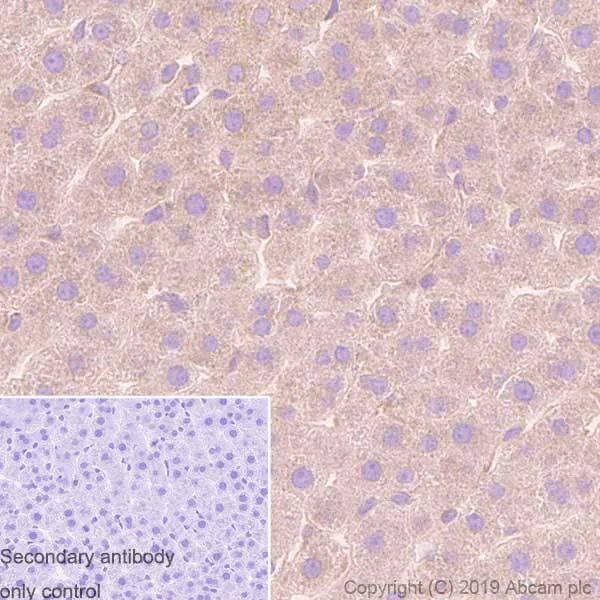
Immunohistochemistry (Formalin/PFA-fixed paraffin-embedded sections) analysis of rat liver tissue sections labeling Tuberin with purified ab32554 at 1/100 dilution (2.97 µg/mL). Heat mediated antigen retrieval using Bond™ Epitope Retrieval Solution 2 (pH 9.0). Rabbit specific IHC polymer detection kit HRP/DAB (ab209101) was used as the secondary antibody. Negative control : PBS instead of the primary antibody. Hematoxylin was used as a counterstain.
This data was developed using the same antibody clone in a different buffer formulation containing PBS, BSA, glycerol, and sodium azide (ab32554).

Western blot - Anti-Tuberin antibody [Y320] - BSA and Azide free (AB178441)
  • WB

Unknown

Western blot - Anti-Tuberin antibody [Y320] - BSA and Azide free (AB178441)

This WB data was generated using the same anti-Tuberin antibody clone, Y320, in a different buffer formulation (cat# ab32554 - unpurified).

Lane 1 : Wild-type HAP1 whole cell lysate (20 μg)
Lane 2 : Tuberin knockout HAP1 whole cell lysate (20 μg)
Lane 3 : HeLa whole cell lysate (20 μg)

Lanes 1 - 4 : Merged signal (red and green). Green - ab32554 observed at 180 kDa. Red - loading control, ab18058, observed at 130 kDa.

ab32554 was shown to specifically react with tuberin in wild-type HAP1 cells. No band was observed when tuberin knockout samples were used. Wild-type and tuberin knockout samples were subjected to SDS-PAGE. ab32554 and ab18058 (Mouse anti Vinculin loading control) were incubated overnight at 4°C at 1/1000 dilution and 1/10000 dilution respectively. Blots were developed with Goat anti-Rabbit IgG H&L (IRDye® 800CW) preabsorbed ab216773 and Goat anti-Mouse IgG H&L (IRDye® 680RD) preabsorbed ab216776 secondary antibodies at 1/10000 dilution for 1 hour at room temperature before imaging.

All lanes:

Western blot - Anti-Tuberin antibody [Y320] (<a href='/products/primary-antibodies/tuberin-antibody-y320-ab32554'>ab32554</a>)

Predicted band size: 201 kDa

false

Western blot - Anti-Tuberin antibody [Y320] - BSA and Azide free (AB178441)
  • WB

Unknown

Western blot - Anti-Tuberin antibody [Y320] - BSA and Azide free (AB178441)

The unboiled lysate are recommended to be used in SDS-PAGE, in order to prevent membrane protein aggregation.

This data was developed using the same antibody clone in a different buffer formulation containing PBS, BSA, glycerol, and sodium azide (ab32554).

All lanes:

Western blot - Anti-Tuberin antibody [Y320] (<a href='/products/primary-antibodies/tuberin-antibody-y320-ab32554'>ab32554</a>) at 1/5000 dilution

Lane 1:

HeLa (Human cervix adenocarcinoma epithelial cell) whole cell lysate boiled at 20 µg

Lane 2:

HeLa (Human cervix adenocarcinoma epithelial cell) whole cell lysate unboiled at 20 µg

Lane 3:

Mouse brain lysate boiled at 20 µg

Lane 4:

Mouse brain lysate unboiled at 20 µg

Lane 5:

Rat brain lysate boiled at 20 µg

Lane 6:

Rat brain lysate unboiled at 20 µg

Secondary

All lanes:

Western blot - Goat Anti-Rabbit IgG H&L (HRP) (<a href='/products/secondary-antibodies/goat-rabbit-igg-h-l-hrp-ab97051'>ab97051</a>) at 1/20000 dilution

Predicted band size: 201 kDa

Observed band size: 200 kDa

false

不同偶联物与剂型 (1)

关键信息

宿主种属

Rabbit

克隆

Monoclonal

克隆号

Y320

亚型

IgG

不含载体蛋白

Yes

反应种属

Mouse, Rat, Human

应用

IHC-P, WB, Flow Cyt (Intra)

applications

免疫原

The exact immunogen used to generate this antibody is proprietary information.

特异性

This antibody recognises Tuberous sclerosis complex-2 (TCS2 also known as Tuberin. It is predicted to detect isoform 2-4 based on sequence homology.

反应性数据

{ "title": "Reactivity Data", "filters": { "stats": ["", "Species", "Dilution Info", "Notes"], "tabs": { "all-applications": {"fullname" : "All Applications", "shortname": "All Applications"}, "IHCP" : {"fullname" : "Immunohistochemistry (Formalin/PFA-fixed paraffin-embedded sections)", "shortname":"IHC-P"}, "WB" : {"fullname" : "Western blot", "shortname":"WB"}, "FlowCytIntra" : {"fullname" : "Flow Cytometry (Intracellular)", "shortname":"Flow Cyt (Intra)"} }, "product-promise": { "all": "all", "testedAndGuaranteed": "tested", "guaranteed": "expected", "predicted": "predicted", "notRecommended": "not-recommended" } }, "values": { "Human": { "IHCP-species-checked": "testedAndGuaranteed", "IHCP-species-dilution-info": "", "IHCP-species-notes": "<p></p>", "WB-species-checked": "testedAndGuaranteed", "WB-species-dilution-info": "", "WB-species-notes": "<p></p>", "FlowCytIntra-species-checked": "testedAndGuaranteed", "FlowCytIntra-species-dilution-info": "", "FlowCytIntra-species-notes": "<p><a href='/products/primary-antibodies/rabbit-igg-monoclonal-epr25a-isotype-control-low-endotoxin-azide-free-ab199376'>ab199376</a> - Rabbit monoclonal IgG, is suitable for use as an isotype control with this antibody.</p>" }, "Mouse": { "IHCP-species-checked": "testedAndGuaranteed", "IHCP-species-dilution-info": "", "IHCP-species-notes": "<p></p>", "WB-species-checked": "testedAndGuaranteed", "WB-species-dilution-info": "", "WB-species-notes": "<p></p>", "FlowCytIntra-species-checked": "guaranteed", "FlowCytIntra-species-dilution-info": "", "FlowCytIntra-species-notes": "" }, "Rat": { "IHCP-species-checked": "testedAndGuaranteed", "IHCP-species-dilution-info": "", "IHCP-species-notes": "<p></p>", "WB-species-checked": "testedAndGuaranteed", "WB-species-dilution-info": "", "WB-species-notes": "<p></p>", "FlowCytIntra-species-checked": "guaranteed", "FlowCytIntra-species-dilution-info": "", "FlowCytIntra-species-notes": "" } } }

产品详情

ab178441 is the carrier-free version of ab32554.

Patented technology
Our RabMAb® technology is a patented hybridoma-based technology for making rabbit monoclonal antibodies. For details on our patents, please refer to RabMAb® patents.

What are the advantages of a recombinant monoclonal antibody?
This product is a recombinant monoclonal antibody, which offers several advantages including:

  • - High batch-to-batch consistency and reproducibility
  • - Improved sensitivity and specificity
  • - Long-term security of supply
  • - Animal-free batch production

For more information, read more on recombinant antibodies.

Conjugation ready
Our carrier-free antibodies are typically supplied in a PBS-only formulation, purified and free of BSA, sodium azide and glycerol. This conjugation-ready format is designed for use with fluorochromes, metal isotopes, oligonucleotides, and enzymes, which makes them ideal for antibody labelling, functional and cell-based assays, flow-based assays (e.g. mass cytometry) and Multiplex Imaging applications.

Use our conjugation kits for antibody conjugates that are ready-to-use in as little as 20 minutes with 1 minute hands-on-time and 100% antibody recovery: available for fluorescent dyes, HRP, biotin and gold.

Compatibility
This product is compatible with the Maxpar® Antibody Labeling Kit from Fluidigm, without the need for antibody preparation. Maxpar® is a trademark of Fluidigm Canada Inc.

性能和储存信息

形式
Liquid
纯化工艺
Affinity purification Protein A
存储溶液
Constituents: PBS
运输条件
Blue Ice
推荐的短期储存条件
+4°C
推荐的长期储存条件
+4°C
储存信息
Do Not Freeze

补充信息

This supplementary information is collated from multiple sources and compiled automatically.

Tuberin also known as TSC2 is a tumor suppressor protein with a role in cell growth regulation. It has a molecular mass of approximately 200 kDa. This protein forms a critical component of the TSC1-TSC2 complex and is expressed widely in various tissues including the brain kidney heart and skin. Tuberin possesses GTPase-activating protein (GAP) activity targeting specifically the small GTPase protein Rheb which leads to inhibition of the mammalian target of rapamycin complex 1 (mTORC1).
Biological function summary

Tuberin helps control cell size and proliferation. It does this by modulating the mTOR signaling pathway. This modulation is essential for maintaining cellular homeostasis and energy balance particularly under conditions of nutrient scarcity. Tuberin as part of the TSC1-TSC2 complex also influences cell cycle progression and protein synthesis. Its functions are vital in preventing abnormal cell growth and division which is particularly important in organs where rapid cell turnover occurs.

Pathways

Tuberin plays a central role in the mTOR signaling pathway which affects cell growth autophagy and metabolism. It directly interacts with hamartin (TSC1) to form the TSC1-TSC2 complex which regulates Rheb activity. By inhibiting Rheb Tuberin helps control the mTORC1 pathway linking it to signals such as growth factors stress energy status and amino acid availability. This coordination is important for the proper balance between cell growth and catabolism.

Tuberin is mainly associated with Tuberous Sclerosis Complex (TSC) and certain forms of epilepsy. Mutations or loss of function in TSC2 can lead to benign tumor formations in multiple organs including the brain kidneys and skin. It is also implicated in the development of lymphangioleiomyomatosis (LAM) a rare lung disease. Tuberin's interaction with mTORC1 highlights its connection with these conditions as hyperactivation of the mTOR pathway contributes significantly to the pathogenesis.

产品实验方案

For this product, it's our understanding that no specific protocols are required. You can visit:

靶点信息

Catalytic component of the TSC-TBC complex, a multiprotein complex that acts as a negative regulator of the canonical mTORC1 complex, an evolutionarily conserved central nutrient sensor that stimulates anabolic reactions and macromolecule biosynthesis to promote cellular biomass generation and growth (PubMed : 12172553, PubMed : 12271141, PubMed : 12842888, PubMed : 12906785, PubMed : 15340059, PubMed : 22819219, PubMed : 24529379, PubMed : 28215400, PubMed : 33436626, PubMed : 35772404). Within the TSC-TBC complex, TSC2 acts as a GTPase-activating protein (GAP) for the small GTPase RHEB, a direct activator of the protein kinase activity of mTORC1 (PubMed : 12172553, PubMed : 12820960, PubMed : 12842888, PubMed : 12906785, PubMed : 15340059, PubMed : 22819219, PubMed : 24529379, PubMed : 33436626). In absence of nutrients, the TSC-TBC complex inhibits mTORC1, thereby preventing phosphorylation of ribosomal protein S6 kinase (RPS6KB1 and RPS6KB2) and EIF4EBP1 (4E-BP1) by the mTORC1 signaling (PubMed : 12172553, PubMed : 12271141, PubMed : 12842888, PubMed : 12906785, PubMed : 22819219, PubMed : 24529379, PubMed : 28215400, PubMed : 35772404). The TSC-TBC complex is inactivated in response to nutrients, relieving inhibition of mTORC1 (PubMed : 12172553, PubMed : 24529379). Involved in microtubule-mediated protein transport via its ability to regulate mTORC1 signaling (By similarity). Also stimulates the intrinsic GTPase activity of the Ras-related proteins RAP1A and RAB5 (By similarity).
See full target information TSC2

文献 (6)

Recent publications for all applications. Explore the full list and refine your search

PloS one 7:e30592 PubMed22363451

2012

TSC1/2 signaling complex is essential for peripheral naïve CD8+ T cell survival and homeostasis in mice.

Applications

WB

Species

Unspecified reactive species

Lianjun Zhang,Hongbing Zhang,Lanlan Li,Yi Xiao,Enyu Rao,Zhuang Miao,Hui Chen,Lina Sun,Hongran Li,Guangwei Liu,Yong Zhao

Clinical proteomics 6:129-51 PubMed21691416

2011

A Technical Assessment of the Utility of Reverse Phase Protein Arrays for the Study of the Functional Proteome in Non-microdissected Human Breast Cancers.

Applications

Dot

Species

Human

Bryan T Hennessy,Yiling Lu,Ana Maria Gonzalez-Angulo,Mark S Carey,Simen Myhre,Zhenlin Ju,Michael A Davies,Wenbin Liu,Kevin Coombes,Funda Meric-Bernstam,Isabelle Bedrosian,Mollianne McGahren,Roshan Agarwal,Fan Zhang,Jens Overgaard,Jan Alsner,Richard M Neve,Wen-Lin Kuo,Joe W Gray,Anne-Lise Borresen-Dale,Gordon B Mills

PloS one 5:e9239 PubMed20169078

2010

Carboxy terminal tail of polycystin-1 regulates localization of TSC2 to repress mTOR.

Applications

Unspecified application

Species

Unspecified reactive species

Ruhee Dere,Patricia D Wilson,Richard N Sandford,Cheryl Lyn Walker

Proceedings of the National Academy of Sciences of 107:4153-8 PubMed20160076

2010

ATM signals to TSC2 in the cytoplasm to regulate mTORC1 in response to ROS.

Applications

Unspecified application

Species

Unspecified reactive species

Angela Alexander,Sheng-Li Cai,Jinhee Kim,Adrian Nanez,Mustafa Sahin,Kirsteen H MacLean,Ken Inoki,Kun-Liang Guan,Jianjun Shen,Maria D Person,Donna Kusewitt,Gordon B Mills,Michael B Kastan,Cheryl Lyn Walker

Oncogene 28:1594-604 PubMed19234517

2009

The role of the Birt-Hogg-Dubé protein in mTOR activation and renal tumorigenesis.

Applications

WB

Species

Human

T R Hartman,E Nicolas,A Klein-Szanto,T Al-Saleem,T P Cash,M C Simon,E P Henske

Cancer prevention research (Philadelphia, Pa.) 1:577-87 PubMed19139008

2009

A novel derivative of the natural agent deguelin for cancer chemoprevention and therapy.

Applications

Unspecified application

Species

Unspecified reactive species

Woo-Young Kim,Dong Jo Chang,Bryan Hennessy,Hae Jin Kang,Jakyung Yoo,Seung-Ho Han,Yoo-Shin Kim,Hyun-Ju Park,Seung-Yong Seo,Seung-Yong Geo,Gordon Mills,Kyu-Won Kim,Waun Ki Hong,Young-Ger Suh,Ho-Young Lee
View all publications

Abcam Product Promise

我们致力于为您的研究提供高质量的试剂,为您科研的每一步提供支持。若我们的产品未能达到预期性能,我们向您提供 Abcam Product Promise 保障。
详情请参阅我们的条款与条件。

Please note: All products are 'FOR RESEARCH USE ONLY. NOT FOR USE IN DIAGNOSTIC OR THERAPEUTIC PROCEDURES'.

For licensing inquiries, please contact partnerships@abcam.com