JavaScript is disabled in your browser. Please enable JavaScript to view this website.
AB108629

重组Anti-TUBA1B抗体[EPR1333]

Anti-TUBA1B antibody [EPR1333] - Loading Control

  • BOND RX™ Validated
  • RabMAb
  • Recombinant
  • Lab Essentials
  • 了解详情

Be the first to review this product! Submit a review

|

(19 Publications)

Rabbit Recombinant Monoclonal Alpha-tubulin 1 antibody. Suitable for IHC-P, WB, ICC/IF, Flow Cyt (Intra) and reacts with Mouse, Rat, Human samples. Cited in 19 publications.

查看别名

Tubulin alpha-1B chain, Alpha-tubulin ubiquitous, Tubulin K-alpha-1, Tubulin alpha-ubiquitous chain, TUBA1B

11 Images
Immunocytochemistry/ Immunofluorescence - Anti-TUBA1B antibody [EPR1333] - Loading Control (AB108629)
  • ICC/IF

Unknown

Immunocytochemistry/ Immunofluorescence - Anti-TUBA1B antibody [EPR1333] - Loading Control (AB108629)

Immunocytochemistry/Immunofluorescence analysis of Jurkat (human acute T cell leukemia) labelling TUBA1B with purified ab108629 at 1/500. Cells were fixed with 100% methanol. An Alexa Fluor® 488-conjugated goat anti-rabbit IgG (1/1000) was used as the secondary antibody (ab150077). Nuclei counterstained with DAPI (blue).

Control : PBS only

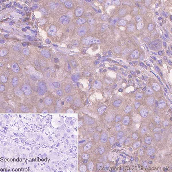
Immunohistochemistry (Formalin/PFA-fixed paraffin-embedded sections) - Anti-TUBA1B antibody [EPR1333] - Loading Control (AB108629)
  • IHC-P

Unknown

Immunohistochemistry (Formalin/PFA-fixed paraffin-embedded sections) - Anti-TUBA1B antibody [EPR1333] - Loading Control (AB108629)

Unpurified ab108629, at 1/500 dilution, staining TUBA1B in paraffin embedded Human placenta tissue by Immunohistochemistry.

Perform heat mediated antigen retrieval with citrate buffer pH 6 before commencing with IHC staining protocol.

Immunohistochemistry (Formalin/PFA-fixed paraffin-embedded sections) - Anti-TUBA1B antibody [EPR1333] - Loading Control (AB108629)
  • IHC-P

Unknown

Immunohistochemistry (Formalin/PFA-fixed paraffin-embedded sections) - Anti-TUBA1B antibody [EPR1333] - Loading Control (AB108629)

Unpurified ab108629, at a 1/500 dilution, staining TUBA1B in paraffin embedded Human breast tissue by Immunohistochemistry.

Perform heat mediated antigen retrieval with citrate buffer pH 6 before commencing with IHC staining protocol.

Immunocytochemistry/ Immunofluorescence - Anti-TUBA1B antibody [EPR1333] - Loading Control (AB108629)
  • ICC/IF

Unknown

Immunocytochemistry/ Immunofluorescence - Anti-TUBA1B antibody [EPR1333] - Loading Control (AB108629)

Immunocytochemistry/ Immunofluorescence analysis of Jurkat (Human T cell leukemia T lymphocyte) cells labeling TUBA1B with purified ab108629 at 1/50 dilution (2.56 µg/ml). Cells were fixed in 4% Paraformaldehyde and permeabilized with 0.1% tritonX-100. Cells were counterstained with ab195889 Anti-alpha Tubulin antibody [DM1A] - Microtubule Marker (Alexa Fluor® 594) 1/200 (2.5 µg/ml). Goat anti rabbit IgG (Alexa Fluor® 488, ab150077) was used as the secondary antibody at 1/1000 (2 µg/ml) dilution. DAPI (blue) was used as nuclear counterstain. PBS instead of the primary antibody was used as the secondary antibody only control.

Flow Cytometry (Intracellular) - Anti-TUBA1B antibody [EPR1333] - Loading Control (AB108629)
  • Flow Cyt (Intra)

Unknown

Flow Cytometry (Intracellular) - Anti-TUBA1B antibody [EPR1333] - Loading Control (AB108629)

Intracellular Flow Cytometry analysis of Jurkat (Human T cell leukemia T lymphocyte) cells labeling TUBA1B with purified ab108629 at 1/20 dilution (5 μg/ml) (Red). Cells were fixed with 4% Paraformaldehyde and permeabilised with 90% Methanol. A Goat anti rabbit IgG (Alexa Fluor® 488, ab150077) secondary antibody was used at 1/2000. Isotype control - Rabbit monoclonal IgG (Black). Unlabeled control - Cell without incubation with primary antibody and secondary antibody (Blue).

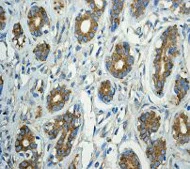
Immunohistochemistry (Formalin/PFA-fixed paraffin-embedded sections) - Anti-TUBA1B antibody [EPR1333] - Loading Control (AB108629)
  • IHC-P

Unknown

Immunohistochemistry (Formalin/PFA-fixed paraffin-embedded sections) - Anti-TUBA1B antibody [EPR1333] - Loading Control (AB108629)

Immunohistochemistry (Formalin/PFA-fixed paraffin-embedded sections) analysis of human breast carcinoma tissue sections labeling TUBA1B with purified ab108629 at 1/2000 dilution (0.06 μg/ml). Heat mediated antigen retrieval using Bond™ Epitope Retrieval Solution 2 (pH 9.0). Rabbit specific IHC polymer detection kit HRP/DAB (ab209101) was used as the secondary antibody. Negative control : PBS instead of the primary antibody. Hematoxylin was used as a counterstain.

Immunocytochemistry/ Immunofluorescence - Anti-TUBA1B antibody [EPR1333] - Loading Control (AB108629)
  • ICC/IF

Unknown

Immunocytochemistry/ Immunofluorescence - Anti-TUBA1B antibody [EPR1333] - Loading Control (AB108629)

Unpurified ab108629, at a 1/250 dilution, staining TUBA1B in HeLa cells by Immunofluorescence.

Immunohistochemistry (Formalin/PFA-fixed paraffin-embedded sections) - Anti-TUBA1B antibody [EPR1333] - Loading Control (AB108629)
  • IHC-P

Unknown

Immunohistochemistry (Formalin/PFA-fixed paraffin-embedded sections) - Anti-TUBA1B antibody [EPR1333] - Loading Control (AB108629)

Immunohistochemistry (Formalin/PFA-fixed paraffin-embedded sections) analysis of rat liver tissue sections labeling TUBA1B with purified ab108629 at 1/2000 dilution (0.06 μg/ml). Heat mediated antigen retrieval using Bond™ Epitope Retrieval Solution 2 (pH 9.0). Rabbit specific IHC polymer detection kit HRP/DAB (ab209101) was used as the secondary antibody. Negative control : PBS instead of the primary antibody. Hematoxylin was used as a counterstain.

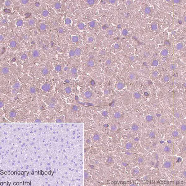
Immunohistochemistry (Formalin/PFA-fixed paraffin-embedded sections) - Anti-TUBA1B antibody [EPR1333] - Loading Control (AB108629)
  • IHC-P

Unknown

Immunohistochemistry (Formalin/PFA-fixed paraffin-embedded sections) - Anti-TUBA1B antibody [EPR1333] - Loading Control (AB108629)

Immunohistochemistry (Formalin/PFA-fixed paraffin-embedded sections) analysis of mouse liver tissue sections labeling TUBA1B with purified ab108629 at 1/2000 dilution (0.06 μg/ml). Heat mediated antigen retrieval using Bond™ Epitope Retrieval Solution 2 (pH 9.0). Rabbit specific IHC polymer detection kit HRP/DAB (ab209101) was used as the secondary antibody. Negative control : PBS instead of the primary antibody. Hematoxylin was used as a counterstain.

Western blot - Anti-TUBA1B antibody [EPR1333] - Loading Control (AB108629)
  • WB

Lab

Western blot - Anti-TUBA1B antibody [EPR1333] - Loading Control (AB108629)

All lanes:

Western blot - Anti-TUBA1B antibody [EPR1333] - Loading Control (ab108629) at 1/100000 dilution

Lane 1:

HEK-293 (Human embryonic kidney epithelial cell) whole cell lysates at 20 µg

Lane 2:

Mouse brain lysates at 20 µg

Lane 3:

Mouse kidney lysates at 20 µg

Lane 4:

Rat brain lysates at 20 µg

Secondary

All lanes:

Western blot - Goat Anti-Rabbit IgG H&L (HRP) (<a href='/products/secondary-antibodies/goat-rabbit-igg-h-l-hrp-ab97051'>ab97051</a>) at 1/20000 dilution

Predicted band size: 50 kDa

Observed band size: 50 kDa

false

Western blot - Anti-TUBA1B antibody [EPR1333] - Loading Control (AB108629)
  • WB

Lab

Western blot - Anti-TUBA1B antibody [EPR1333] - Loading Control (AB108629)

All lanes:

Western blot - Anti-TUBA1B antibody [EPR1333] - Loading Control (ab108629) at 1/100000 dilution

All lanes:

HeLa (Human cervix adenocarcinoma epithelial cell) whole cell lysates at 15 µg

Secondary

All lanes:

Western blot - Goat Anti-Rabbit IgG H&L (HRP) (<a href='/products/secondary-antibodies/goat-rabbit-igg-h-l-hrp-ab97051'>ab97051</a>) at 1/20000 dilution

Predicted band size: 50 kDa

Observed band size: 50 kDa

false

不同偶联物与剂型 (1)

  • Carrier free

    Anti-TUBA1B antibody [EPR1333] - BSA and Azide free

关键信息

宿主种属

Rabbit

克隆

Monoclonal

克隆号

EPR1333

亚型

IgG

不含载体蛋白

No

反应种属

Mouse, Rat, Human

应用

WB, ICC/IF, Flow Cyt (Intra), IHC-P

applications

免疫原

The exact immunogen used to generate this antibody is proprietary information.

反应性数据

{ "title": "Reactivity Data", "filters": { "stats": ["", "Species", "Dilution Info", "Notes"], "tabs": { "all-applications": {"fullname" : "All Applications", "shortname": "All Applications"}, "IHCP" : {"fullname" : "Immunohistochemistry (Formalin/PFA-fixed paraffin-embedded sections)", "shortname":"IHC-P"}, "IP" : {"fullname" : "Immunoprecipitation", "shortname":"IP"}, "WB" : {"fullname" : "Western blot", "shortname":"WB"}, "ICCIF" : {"fullname" : "Immunocytochemistry/ Immunofluorescence", "shortname":"ICC/IF"}, "FlowCytIntra" : {"fullname" : "Flow Cytometry (Intracellular)", "shortname":"Flow Cyt (Intra)"} }, "product-promise": { "all": "all", "testedAndGuaranteed": "tested", "guaranteed": "expected", "predicted": "predicted", "notRecommended": "not-recommended" } }, "values": { "Human": { "IHCP-species-checked": "testedAndGuaranteed", "IHCP-species-dilution-info": "1/2000", "IHCP-species-notes": "<p>Antigen retrieval is recommended.</p><p><strong>For unpurified use at 1/500 - 1/1000.</strong></p> Perform heat-mediated antigen retrieval with citrate buffer pH 6 before commencing with IHC staining protocol.", "IP-species-checked": "notRecommended", "IP-species-dilution-info": "", "IP-species-notes": "<p></p>", "WB-species-checked": "testedAndGuaranteed", "WB-species-dilution-info": "1/100000", "WB-species-notes": "<p><strong>For unpurified use at 1/10000 - 1/50000.</strong></p>", "ICCIF-species-checked": "testedAndGuaranteed", "ICCIF-species-dilution-info": "1/50", "ICCIF-species-notes": "<p><strong>For unpurified use at 1/250 - 1/500.</strong></p>", "FlowCytIntra-species-checked": "testedAndGuaranteed", "FlowCytIntra-species-dilution-info": "1/10 - 1/100", "FlowCytIntra-species-notes": "<p><a href='/products/primary-antibodies/rabbit-igg-monoclonal-epr25a-isotype-control-ab172730'>ab172730</a> - Rabbit monoclonal IgG, is suitable for use as an isotype control with this antibody.</p>" }, "Mouse": { "IHCP-species-checked": "testedAndGuaranteed", "IHCP-species-dilution-info": "1/2000", "IHCP-species-notes": "<p>Antigen retrieval is recommended.</p><p><strong>For unpurified use at 1/500 - 1/1000.</strong></p> Perform heat-mediated antigen retrieval with citrate buffer pH 6 before commencing with IHC staining protocol.", "IP-species-checked": "notRecommended", "IP-species-dilution-info": "", "IP-species-notes": "<p></p>", "WB-species-checked": "guaranteed", "WB-species-dilution-info": "", "WB-species-notes": "", "ICCIF-species-checked": "guaranteed", "ICCIF-species-dilution-info": "", "ICCIF-species-notes": "", "FlowCytIntra-species-checked": "guaranteed", "FlowCytIntra-species-dilution-info": "", "FlowCytIntra-species-notes": "" }, "Rat": { "IHCP-species-checked": "testedAndGuaranteed", "IHCP-species-dilution-info": "1/2000", "IHCP-species-notes": "<p>Antigen retrieval is recommended.</p><p><strong>For unpurified use at 1/500 - 1/1000.</strong></p> Perform heat-mediated antigen retrieval with citrate buffer pH 6 before commencing with IHC staining protocol.", "IP-species-checked": "notRecommended", "IP-species-dilution-info": "", "IP-species-notes": "<p></p>", "WB-species-checked": "guaranteed", "WB-species-dilution-info": "", "WB-species-notes": "", "ICCIF-species-checked": "guaranteed", "ICCIF-species-dilution-info": "", "ICCIF-species-notes": "", "FlowCytIntra-species-checked": "guaranteed", "FlowCytIntra-species-dilution-info": "", "FlowCytIntra-species-notes": "" } } }

产品详情

Patented technology
Our RabMAb® technology is a patented hybridoma-based technology for making rabbit monoclonal antibodies. For details on our patents, please refer to RabMAb® patents.

What are the advantages of a recombinant monoclonal antibody?
This product is a recombinant monoclonal antibody, which offers several advantages including:

  • - High batch-to-batch consistency and reproducibility
  • - Improved sensitivity and specificity
  • - Long-term security of supply
  • - Animal-free batch production

For more information, read more on recombinant antibodies.

性能和储存信息

形式
Liquid
纯化工艺
Affinity purification Protein A
存储溶液
pH: 7.2 - 7.4 Preservative: 0.01% Sodium azide Constituents: PBS, 40% Glycerol (glycerin, glycerine), 0.05% BSA
运输条件
Blue Ice
推荐的短期储存条件
+4°C
推荐的长期储存条件
-20°C
储存信息
Stable for 12 months at -20°C

补充信息

This supplementary information is collated from multiple sources and compiled automatically.

TUBA1B also known as tubulin alpha-1B chain is a subunit of microtubules that plays a structural role in the cellular cytoskeleton. It has a molecular mass of about 50 kDa. TUBA1B distributes widely across various tissues with elevated expression in neuronal cells. It characterizes by its involvement in the assembly and stabilization of microtubules which are essential for maintaining cell shape promoting intracellular transport and facilitating chromosome segregation during cell division.
Biological function summary

TUBA1B contributes significantly to the formation and function of the cytoskeletal microtubule network. It functions as part of the heterodimeric complex pairing with beta-tubulin to form the building blocks of microtubules. These structures are central to diverse cellular activities such as intracellular trafficking axonal transport in neurons and the migration and division of cells. In this implicit role TUBA1B influences the dynamics and stability of microtubule polymers impacting the cell’s ability to respond to mechanical and environmental stimuli.

Pathways

TUBA1B is integral to the mitotic spindle assembly pathway and neuronal signaling. In the context of these pathways TUBA1B's interactions with proteins like dynein and kinesin facilitate its role in intracellular transport and spindle orientation during cell division. TUBA1B also participates in neuronal development pathways where its association with tau and other microtubule-associated proteins contributes to the formation of neuronal axons and dendrites.

Alterations in TUBA1B have been linked to certain neurodevelopmental disorders and cancers such as lissencephaly and glioblastoma. In lissencephaly mutations in TUBA1B disrupt proper neuronal migration contributing to the abnormal brain development associated with the disorder. In glioblastoma TUBA1B's aberrant expression impacts microtubule dynamics aiding in cancer cell proliferation and resistance to therapies. These pathological conditions often involve interactions with other proteins including those found in the microtubule-associated protein family such as MAP2 and MAPT which further influence disease progression.

产品实验方案

For this product, it's our understanding that no specific protocols are required. You can visit:

靶点信息

Tubulin is the major constituent of microtubules, protein filaments consisting of alpha- and beta-tubulin heterodimers (PubMed : 38305685, PubMed : 34996871, PubMed : 38609661). Microtubules grow by the addition of GTP-tubulin dimers to the microtubule end, where a stabilizing cap forms (PubMed : 38305685, PubMed : 34996871, PubMed : 38609661). Below the cap, tubulin dimers are in GDP-bound state, owing to GTPase activity of alpha-tubulin (PubMed : 34996871, PubMed : 38609661).
See full target information TUBA1B

文献 (19)

Recent publications for all applications. Explore the full list and refine your search

Frontiers in psychiatry 14:1162179 PubMed37215664

2023

The expansion of newborn neurons in hippocampus improves social recognition deficit in a mouse model of autism.

Applications

Unspecified application

Species

Unspecified reactive species

Hu Meng,Qiongwei Li,Jinxin Wang,Weihua Yue,Dai Zhang,Xiaoxuan Sun,Lifang Wang,Jun Li

Frontiers in immunology 14:1142126 PubMed37056756

2023

Combined analysis of bulk and single-cell RNA sequencing reveals novel natural killer cell-related prognostic biomarkers for predicting immunotherapeutic response in hepatocellular carcinoma.

Applications

Unspecified application

Species

Unspecified reactive species

Kai Zhang,Enwu Yuan

International journal of molecular medicine 50: PubMed36069228

2022

Validation of superior reference genes in mouse submandibular glands under developmental and functional regeneration states.

Applications

Unspecified application

Species

Unspecified reactive species

Huikai Liu,Liwen He,Qianyu Cheng,Wenping Luo,Tianyu Zhao,Deqin Yang

Cell 184:655-674.e27 PubMed33497611

2021

G3BPs tether the TSC complex to lysosomes and suppress mTORC1 signaling.

Applications

Unspecified application

Species

Unspecified reactive species

Mirja Tamara Prentzell,Ulrike Rehbein,Marti Cadena Sandoval,Ann-Sofie De Meulemeester,Ralf Baumeister,Laura Brohée,Bianca Berdel,Mathias Bockwoldt,Bernadette Carroll,Suvagata Roy Chowdhury,Andreas von Deimling,Constantinos Demetriades,Gianluca Figlia,Mariana Eca Guimaraes de Araujo,Alexander M Heberle,Ines Heiland,Birgit Holzwarth,Lukas A Huber,Jacek Jaworski,Magdalena Kedra,Katharina Kern,Andrii Kopach,Viktor I Korolchuk,Ineke van 't Land-Kuper,Matylda Macias,Mark Nellist,Wilhelm Palm,Stefan Pusch,Jose Miguel Ramos Pittol,Michèle Reil,Anja Reintjes,Friederike Reuter,Julian R Sampson,Chloë Scheldeman,Aleksandra Siekierska,Eduard Stefan,Aurelio A Teleman,Laura E Thomas,Omar Torres-Quesada,Saskia Trump,Hannah D West,Peter de Witte,Sandra Woltering,Teodor E Yordanov,Justyna Zmorzynska,Christiane A Opitz,Kathrin Thedieck

Developmental neurobiology 81:333-350 PubMed32293117

2020

Alpha- and beta-tubulin isotypes are differentially expressed during brain development.

Applications

Unspecified application

Species

Unspecified reactive species

Torben J Hausrat,Jennifer Radwitz,Franco L Lombino,Petra Breiden,Matthias Kneussel

Frontiers in immunology 10:2762 PubMed31866995

2019

Hypoxia Inducible Factor 1α Inhibits the Expression of Immunosuppressive Tryptophan-2,3-Dioxygenase in Glioblastoma.

Applications

Unspecified application

Species

Unspecified reactive species

Soumya R Mohapatra,Ahmed Sadik,Lars-Oliver Tykocinski,Jørn Dietze,Gernot Poschet,Ines Heiland,Christiane A Opitz

Frontiers in immunology 10:568 PubMed31057532

2019

Assessing the Functional Relevance of Variants in the () in a Cohort of Patients With Primary Immunodeficiency.

Applications

Unspecified application

Species

Unspecified reactive species

Zoya Eskandarian,Manfred Fliegauf,Alla Bulashevska,Michele Proietti,Rosie Hague,Cristian Roberto Smulski,Desirée Schubert,Klaus Warnatz,Bodo Grimbacher

Oncoimmunology 7:e1486353 PubMed30524887

2018

Upregulation of tryptophanyl-tRNA synthethase adapts human cancer cells to nutritional stress caused by tryptophan degradation.

Applications

Unspecified application

Species

Unspecified reactive species

Isabell Adam,Dyah L Dewi,Joram Mooiweer,Ahmed Sadik,Soumya R Mohapatra,Bianca Berdel,Melanie Keil,Jana K Sonner,Kathrin Thedieck,Adam J Rose,Michael Platten,Ines Heiland,Saskia Trump,Christiane A Opitz

International journal of molecular medicine 42:1945-1954 PubMed30085341

2018

Cyclooxygenase‑2‑mediated upregulation of heme oxygenase 1 mitigates the toxicity of deuterium‑tritium fusion radiation.

Applications

Unspecified application

Species

Unspecified reactive species

Xiaoyao Yang,Hui Liu,Xu Jiang,Chufeng Jin,Zhao Xu,Taosheng Li,Zhigang Wang,Jun Wang

Journal of experimental & clinical cancer research 37:102 PubMed29747653

2018

Inactivation of the tight junction gene CLDN11 by aberrant hypermethylation modulates tubulins polymerization and promotes cell migration in nasopharyngeal carcinoma.

Applications

Unspecified application

Species

Unspecified reactive species

Hsin-Pai Li,Chen-Ching Peng,Chih-Ching Wu,Chien-Hsun Chen,Meng-Jhe Shih,Mei-Yuan Huang,Yi-Ru Lai,Yung-Li Chen,Ting-Wen Chen,Petrus Tang,Yu-Sun Chang,Kai-Ping Chang,Cheng-Lung Hsu
View all publications

Abcam Product Promise

我们致力于为您的研究提供高质量的试剂,为您科研的每一步提供支持。若我们的产品未能达到预期性能,我们向您提供 Abcam Product Promise 保障。
详情请参阅我们的条款与条件。

Please note: All products are 'FOR RESEARCH USE ONLY. NOT FOR USE IN DIAGNOSTIC OR THERAPEUTIC PROCEDURES'.

For licensing inquiries, please contact partnerships@abcam.com