JavaScript is disabled in your browser. Please enable JavaScript to view this website.
AB125011

Anti-TSG101 抗体 [EPR7130(B)]

Anti-TSG101 antibody [EPR7130(B)]

4

(10 Reviews)

|

(1032 Publications)

Anti-TSG101 antibody [EPR7130(B)] (ab125011) is a rabbit monoclonal antibody detecting TSG101 in Western Blot, Flow Cytometry (Intra), Flow Cytometry, IHC-P, ICC/IF. Suitable for Human, Mouse, Rat.

- Clone EPR7130(B) is the most cited clone to TSG101
- Biophysical QC for unrivalled batch-batch consistency
- Over 600 publications

查看别名

Tumor susceptibility gene 101 protein, ESCRT-I complex subunit TSG101, TSG101

10 Images
Immunohistochemistry - Anti-TSG101 antibody [EPR7130(B)] (AB125011)
  • IHC

Lab

Immunohistochemistry - Anti-TSG101 antibody [EPR7130(B)] (AB125011)

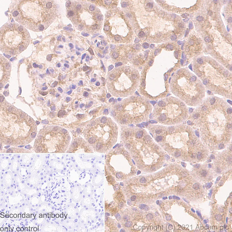
Immunohistochemical analysis of formalin fixed paraffin embedded human kidney labelling TSG101 with ab125011 at a concentration of 0.1µg/ml.

The immunostaining was performed on a Ventana DISCOVERY ULTRA (Roche Tissue Diagnostics) instrument with an OptiView DAB IHC Detection Kit. Heat mediated antigen retrieval was conducted for 32min with DISCOVERY cell conditioning solution (CC1) 100°C, pH8.5. ab125011 anti-TSG101 was incubated at 37°C for 16min.

Sections were counterstained is with Hematoxylin II. Image inset shows absence of staining in secondary antibody only control.

Customers are encouraged to optimise antigen retrieval conditions, antibody concentration, incubation times and temperature for best results in their own IHC assay workflow (automated and manual)

Immunohistochemistry (Formalin/PFA-fixed paraffin-embedded sections) - Anti-TSG101 antibody [EPR7130(B)] (AB125011)
  • IHC-P

Supplier Data

Immunohistochemistry (Formalin/PFA-fixed paraffin-embedded sections) - Anti-TSG101 antibody [EPR7130(B)] (AB125011)

Immunohistochemistry (Formalin/PFA-fixed paraffin-embedded sections) analysis of human kidney tissue sections labeling TSG101 with Purified ab125011 at 1 : 300 dilution (0.73 µg/ml). Heat mediated antigen retrieval was performed using Heat mediated antigen retrieval using Bond™ Epitope Retrieval Solution 2 (pH 9.0) . Tissue was counterstained with Hematoxylin. Rabbit specific IHC polymer detection kit HRP/DAB (ab209101) secondary antibody was used. PBS instead of the primary antibody was used as the negative control.

Immunocytochemistry/ Immunofluorescence - Anti-TSG101 antibody [EPR7130(B)] (AB125011)
  • ICC/IF

Lab

Immunocytochemistry/ Immunofluorescence - Anti-TSG101 antibody [EPR7130(B)] (AB125011)

ab125011 staining TSG101 in HeLa cells. The cells were fixed with 100% methanol (5 min), permeabilised with 0.1% Triton x-100 for 5 minutes and then blocked with 1% BSA/10% normal goat serum/0.3M glycine in 0.1% PBS-Tween for 1h. The cells were then incubated overnight at +4°C with ab125011 at 1 μg/ml and ab7291, Mouse monoclonal [DM1A] to alpha Tubulin at 0.5 μg/ml. Cells were then incubated with ab150081, Goat polyclonal Secondary Antibody to Rabbit IgG - H&L (Alexa Fluor® 488), pre-adsorbed at 1/1000 dilution (shown in green) and ab150119, Goat polyclonal Secondary Antibody to Mouse IgG - H&L (Alexa Fluor® 647), pre-adsorbed at 1/1000 dilution (shown in red). Nuclear DNA was labelled with DAPI (shown in blue).Image was acquired with a high-content analyser (Operetta CLS, Perkin Elmer) and a maximum intensity projection of confocal sections is shown.

Immunohistochemistry (Formalin/PFA-fixed paraffin-embedded sections) - Anti-TSG101 antibody [EPR7130(B)] (AB125011)
  • IHC-P

Supplier Data

Immunohistochemistry (Formalin/PFA-fixed paraffin-embedded sections) - Anti-TSG101 antibody [EPR7130(B)] (AB125011)

Immunohistochemistry (Formalin/PFA-fixed paraffin-embedded sections) analysis of human thyroid cancer tissue sections labeling TSG101 with Purified ab125011 at 1 : 300 dilution (0.73 µg/ml). Heat mediated antigen retrieval was performed using Heat mediated antigen retrieval using Bond™ Epitope Retrieval Solution 2 (pH 9.0) . Tissue was counterstained with Hematoxylin. Rabbit specific IHC polymer detection kit HRP/DAB (ab209101) secondary antibody was used. PBS instead of the primary antibody was used as the negative control.

Immunocytochemistry/ Immunofluorescence - Anti-TSG101 antibody [EPR7130(B)] (AB125011)
  • ICC/IF

Supplier Data

Immunocytochemistry/ Immunofluorescence - Anti-TSG101 antibody [EPR7130(B)] (AB125011)

Immunocytochemistry analysis of Jurkat (Human T cell leukemia T lymphocyte) cells labeling TSG101 with Purified ab125011 at 1 : 50 dilution (4.5 µg/ml). Cells were fixed in 100% Methanol and permeabilized with 0.1% tritonX-100. Cells were counterstained with ab195889 Anti-alpha Tubulin antibody [DM1A] - Microtubule Marker (Alexa Fluor® 594) 1 : 200 (2.5 µg/ml). Goat anti rabbit IgG (Alexa Fluor® 488, ab150077) was used as the secondary antibody at 1 : 1000 (2 µg/ml) dilution. DAPI (blue) was used as nuclear counterstain. PBS instead of the primary antibody was used as the secondary antibody only control.

Flow Cytometry (Intracellular) - Anti-TSG101 antibody [EPR7130(B)] (AB125011)
  • Flow Cyt (Intra)

Supplier Data

Flow Cytometry (Intracellular) - Anti-TSG101 antibody [EPR7130(B)] (AB125011)

Flow Cytometry analysis of HeLa (Human cervix adenocarcinoma epithelial cell) cells labelling TSG101 with Purified ab125011 at 1 : 20 dilution (10 µg/ml) (Red). Cells were fixed with 4% Paraformaldehyde and permeabilised with 90% Methanol. A Goat anti rabbit IgG (Alexa Fluor® 488, ab150077) secondary antibody was used at 1 : 2000. Isotype control - Rabbit monoclonal IgG (Black). Unlabelled control - Cell without incubation with primary antibody and secondary antibody (Blue).

Immunohistochemistry (Formalin/PFA-fixed paraffin-embedded sections) - Anti-TSG101 antibody [EPR7130(B)] (AB125011)
  • IHC-P

Supplier Data

Immunohistochemistry (Formalin/PFA-fixed paraffin-embedded sections) - Anti-TSG101 antibody [EPR7130(B)] (AB125011)

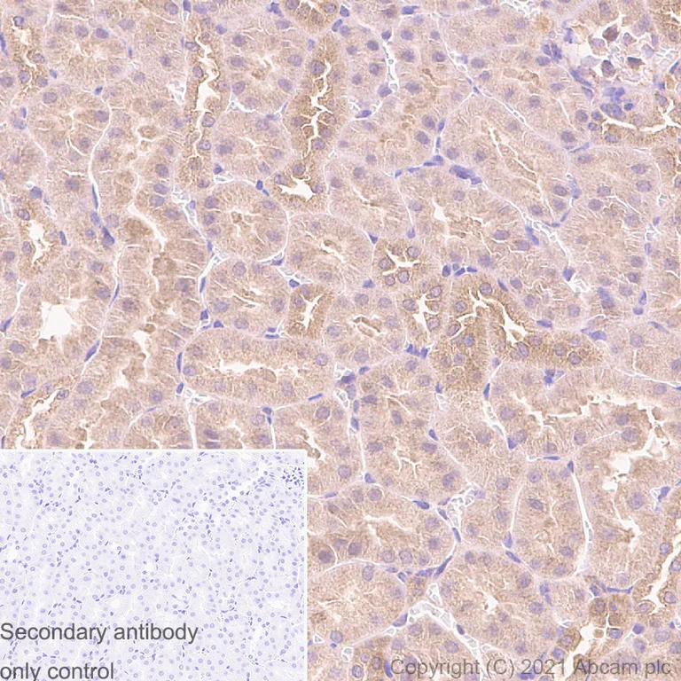
Immunohistochemistry (Formalin/PFA-fixed paraffin-embedded sections) analysis of rat kidney tissue sections labeling TSG101 with Purified ab125011 at 1 : 300 dilution (0.73 µg/ml). Heat mediated antigen retrieval was performed using Heat mediated antigen retrieval using Bond™ Epitope Retrieval Solution 2 (pH 9.0) . Tissue was counterstained with Hematoxylin. Rabbit specific IHC polymer detection kit HRP/DAB (ab209101) secondary antibody was used. PBS instead of the primary antibody was used as the negative control.

Immunohistochemistry (Formalin/PFA-fixed paraffin-embedded sections) - Anti-TSG101 antibody [EPR7130(B)] (AB125011)
  • IHC-P

Supplier Data

Immunohistochemistry (Formalin/PFA-fixed paraffin-embedded sections) - Anti-TSG101 antibody [EPR7130(B)] (AB125011)

Immunohistochemistry (Formalin/PFA-fixed paraffin-embedded sections) analysis of mouse kidney tissue sections labeling TSG101 with Purified ab125011 at 1 : 300 dilution (0.73 µg/ml). Heat mediated antigen retrieval was performed using Heat mediated antigen retrieval using Bond™ Epitope Retrieval Solution 2 (pH 9.0) . Tissue was counterstained with Hematoxylin. Rabbit specific IHC polymer detection kit HRP/DAB (ab209101) secondary antibody was used. PBS instead of the primary antibody was used as the negative control.

Western blot - Anti-TSG101 antibody [EPR7130(B)] (AB125011)
  • WB

Lab

Western blot - Anti-TSG101 antibody [EPR7130(B)] (AB125011)

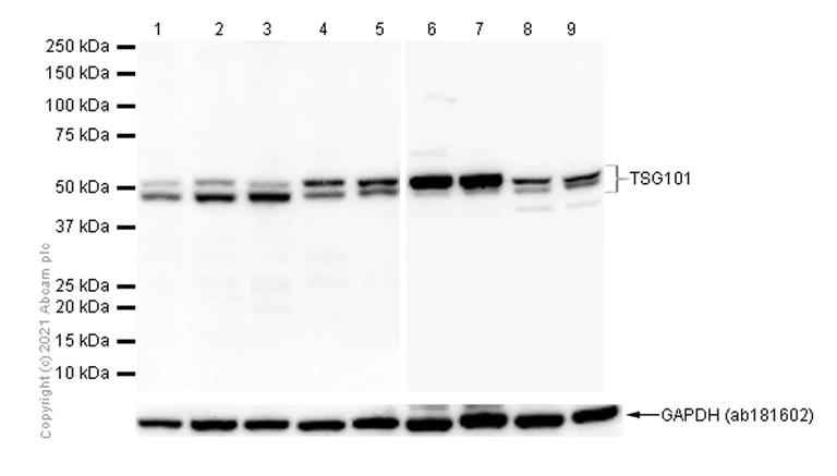
The doublet are consistent with what have been described in the literature (PMID : 27882925, 31684046, 32932791, 11427703).

All lanes:

Western blot - Anti-TSG101 antibody [EPR7130(B)] (ab125011) at 1/1000 dilution

Lane 1:

K-562 (Human chronic myelogenous leukemia lymphoblast) whole cell lysate at 20 µg

Lane 2:

Jurkat (Human T cell leukemia T lymphocyte) whole cell lysate at 20 µg

Lane 3:

SH-SY5Y (Human neuroblastoma epithelial cell) whole cell lysate at 20 µg

Lane 4:

NIH/3T3 (Mouse embryonic fibroblast) whole cell lysate at 20 µg

Lane 5:

PC-12 (Rat adrenal gland pheochromocytoma) whole cell lysate at 20 µg

Lane 6:

Mouse heart lysate at 20 µg

Lane 7:

Rat heart lysate at 20 µg

Lane 8:

Mouse brain lysate at 20 µg

Lane 9:

Rat brain lysate at 20 µg

Secondary

All lanes:

Western blot - Goat Anti-Rabbit IgG H&L (HRP) (<a href='/products/secondary-antibodies/goat-rabbit-igg-h-l-hrp-ab97051'>ab97051</a>) at 1/20000 dilution

Predicted band size: 44 kDa

Observed band size: 47 kDa,52 kDa

false

Western blot - Anti-TSG101 antibody [EPR7130(B)] (AB125011)
  • WB

Lab

Western blot - Anti-TSG101 antibody [EPR7130(B)] (AB125011)

Different batches of ab125011 were tested on Mouse heart lysate at 1.0 μg/ml. 15 μg of lysate was loaded in each lane. Bands observed at 45 kDa.

This data was generarted using the unpurified format.

All lanes:

Western blot - Anti-TSG101 antibody [EPR7130(B)] (ab125011)

Predicted band size: 44 kDa

false

不同偶联物与剂型 (7)

  • Carrier free

    Anti-TSG101 antibody [EPR7130(B)] - BSA and Azide free

  • 565 Alexa Fluor® 555

    Alexa Fluor® 555 Anti-TSG101 antibody [EPR7130(B)]

  • 665 Alexa Fluor® 647

    Alexa Fluor® 647 Anti-TSG101 antibody [EPR7130(B)]

  • 519 Alexa Fluor® 488

    Alexa Fluor® 488 Anti-TSG101 antibody [EPR7130(B)]

  • 578 PE

    PE Anti-TSG101 antibody [EPR7130(B)]

  • 660 APC

    APC Anti-TSG101 antibody [EPR7130(B)]

  • Carrier free

    Anti-TSG101 [EPR7130(B)] – Goat IgG (Chimeric) – BSA and Azide Free

关键信息

宿主种属

Rabbit

克隆

Monoclonal

克隆号

EPR7130(B)

亚型

IgG

不含载体蛋白

No

反应种属

Mouse, Rat, Human

应用

ICC/IF, IHC-P, WB, Flow Cyt (Intra)

applications

免疫原

The exact immunogen used to generate this antibody is proprietary information.

反应性数据

{ "title": "Reactivity Data", "filters": { "stats": ["", "Species", "Dilution Info", "Notes"], "tabs": { "all-applications": {"fullname" : "All Applications", "shortname": "All Applications"}, "WB" : {"fullname" : "Western blot", "shortname":"WB"}, "IHCP" : {"fullname" : "Immunohistochemistry (Formalin/PFA-fixed paraffin-embedded sections)", "shortname":"IHC-P"}, "ICCIF" : {"fullname" : "Immunocytochemistry/ Immunofluorescence", "shortname":"ICC/IF"}, "FlowCytIntra" : {"fullname" : "Flow Cytometry (Intracellular)", "shortname":"Flow Cyt (Intra)"} }, "product-promise": { "all": "all", "testedAndGuaranteed": "tested", "guaranteed": "expected", "predicted": "predicted", "notRecommended": "not-recommended" } }, "values": { "Human": { "WB-species-checked": "testedAndGuaranteed", "WB-species-dilution-info": "1/1000 - 1/10000", "WB-species-notes": "<p></p>", "IHCP-species-checked": "testedAndGuaranteed", "IHCP-species-dilution-info": "1/300", "IHCP-species-notes": "<p><strong>For unpurified use at 1/30.</strong></p> Perform heat-mediated antigen retrieval with Tris/EDTA buffer pH 9.0 before commencing with IHC staining protocol.", "ICCIF-species-checked": "testedAndGuaranteed", "ICCIF-species-dilution-info": "1 µg/mL", "ICCIF-species-notes": "<p><strong>For unpurified use at 1/10.</strong></p><p><strong>This product gave a positive signal in HeLa fixed with 100% methanol (5 min).</strong></p>", "FlowCytIntra-species-checked": "testedAndGuaranteed", "FlowCytIntra-species-dilution-info": "1/20", "FlowCytIntra-species-notes": "<p>For unpurified use at 1/3. <a href='/products/primary-antibodies/rabbit-igg-monoclonal-epr25a-isotype-control-ab172730'>ab172730</a> - Rabbit monoclonal IgG, is suitable for use as an isotype control with this antibody.</p>" }, "Mouse": { "WB-species-checked": "testedAndGuaranteed", "WB-species-dilution-info": "1/1000 - 1/10000", "WB-species-notes": "<p></p>", "IHCP-species-checked": "guaranteed", "IHCP-species-dilution-info": "", "IHCP-species-notes": "", "ICCIF-species-checked": "guaranteed", "ICCIF-species-dilution-info": "", "ICCIF-species-notes": "", "FlowCytIntra-species-checked": "guaranteed", "FlowCytIntra-species-dilution-info": "", "FlowCytIntra-species-notes": "" }, "Rat": { "WB-species-checked": "testedAndGuaranteed", "WB-species-dilution-info": "1/1000 - 1/10000", "WB-species-notes": "<p></p>", "IHCP-species-checked": "testedAndGuaranteed", "IHCP-species-dilution-info": "1/300", "IHCP-species-notes": "<p><strong>For unpurified use at 1/30.</strong></p> Perform heat-mediated antigen retrieval with Tris/EDTA buffer pH 9.0 before commencing with IHC staining protocol.", "ICCIF-species-checked": "guaranteed", "ICCIF-species-dilution-info": "", "ICCIF-species-notes": "", "FlowCytIntra-species-checked": "guaranteed", "FlowCytIntra-species-dilution-info": "", "FlowCytIntra-species-notes": "" } } }

产品详情

Anti-TSG101 antibody [EPR7130(B)] (ab125011) was developed by Abcam using patented rabbit monoclonal antibody technology and is validated for use in Flow Cyt (Intra), ICC/IF, IHC-P and WB.

Anti-TSG101 antibody [EPR7130(B)] (ab125011) was first used in a scientific publication in 2014 and has been cited over 603 times in peer reviewed journals. It's performance in Western Blot in human, mouse and rat samples is trusted by the scientific community.

Abcam's high quality manufacturing and validation processes ensure Anti-TSG101 antibody [EPR7130(B)] (ab125011) has high sensitivity and specificity alongside high lot-to-lot consistency and reproducibility.

Anti-TSG101 antibody [EPR7130(B)] (ab125011) has 10 independent reviews from customers.

Anti-TSG101 antibody [EPR7130(B)] (ab125011) specifically detects TSG101 (UniProt ID: Q99816; Molecular weight: 44kDa) and is sold in a convenient trial size to enable initial testing (10 µL) and larger sizes for subsequent scaling up experiments (100 µL and 1 mL).

Conjugation-ready, carrier free format available for antibody clone EPR7130(B) - ab207567.

Antibody clone EPR7130(B) is also available pre-conjugated to a variety of labels for your convenience - Alexa Fluor® 488, Alexa Fluor® 647, PE, Alexa Fluor® 555, APC (ab207663, ab207664, ab209927, ab214404, ab316299).

Tumor Susceptibility Gene 101 (TSG101) is involved in the endosomal sorting complex required for transport (ESCRT) pathway, which is crucial for cellular processes like vesicle trafficking and degradation. Alterations in TSG101 expression are linked to various cancers, including breast cancer and glioblastoma, where it can act as both a tumor suppressor and an oncoprotein depending on the context.

Patented technology
Our RabMAb® technology is a patented hybridoma-based technology for making rabbit monoclonal antibodies. For details on our patents, please refer to RabMAb® patents.

What are the advantages of a recombinant monoclonal antibody?
This product is a recombinant monoclonal antibody, which offers several advantages including:

  • - High batch-to-batch consistency and reproducibility
  • - Improved sensitivity and specificity
  • - Long-term security of supply
  • - Animal-free batch production

For more information, read more on recombinant antibodies.

性能和储存信息

形式
Liquid
纯化工艺
Affinity purification Protein A
存储溶液
pH: 7.2 - 7.4 Preservative: 0.01% Sodium azide Constituents: PBS, 40% Glycerol (glycerin, glycerine), 0.05% BSA
运输条件
Blue Ice
推荐的短期储存时间
1-2 weeks
推荐的短期储存条件
+4°C
推荐的长期储存条件
-20°C
分装信息
Upon delivery aliquot
储存信息
Avoid freeze / thaw cycle

补充信息

This supplementary information is collated from multiple sources and compiled automatically.

TSG101 also known as Tumor Susceptibility Gene 101 is a protein involved in intracellular trafficking specifically notable within the process of endosomal sorting. It is a component of the ESCRT-I (Endosomal Sorting Complex Required for Transport-I) complex. TSG101 is approximately 46 kDa and is expressed ubiquitously across various tissues. The mechanistic function of TSG101 involves the recognition and ubiquitination of cargo proteins an important step in the formation of multivesicular bodies.
Biological function summary

TSG101 plays a critical role in the sorting and trafficking of proteins destined for lysosomal degradation or recycling back to the plasma membrane. It is an essential part of the ESCRT machinery which also includes other components like VPS37 and VPS28. TSG101 interacts with specific domains and motifs on target proteins facilitating the recognition and recruitment of these proteins into vesicles. Its involvement in membrane budding and scission makes it important for maintaining cellular homeostasis and protein quality control.

Pathways

TSG101 is integrally involved in the ESCRT pathway and is associated with processes like viral budding and cytokinesis. Within these pathways it collaborates with proteins such as ALIX and the ESCRT-II component VPS25 to mediate vesicle formation and facilitate the trafficking of ubiquitinated cargo. The ESCRT pathway is vital in cellular responses such as membrane repair and is important for the life cycle of certain enveloped viruses which utilize host cell machinery for budding.

Defects or alterations in TSG101 expression have correlations with tumor progression and neurodegenerative diseases. Disruptions in the function of TSG101 can affect cellular processes potentially contributing to conditions like cancer and Alzheimer's disease. For example the aberrant activity of TSG101 may interact with proteins like Hrs and ubiquitin ligases Mdm2 in the context of oncogenic signaling pathways which can drive tumor growth and metastasis. Understanding these interactions is key to uncovering potential therapeutic targets within these diseases.

产品实验方案

For this product, it's our understanding that no specific protocols are required. You can visit:

靶点信息

Component of the ESCRT-I complex, a regulator of vesicular trafficking process. Binds to ubiquitinated cargo proteins and is required for the sorting of endocytic ubiquitinated cargos into multivesicular bodies (MVBs). Mediates the association between the ESCRT-0 and ESCRT-I complex. Required for completion of cytokinesis; the function requires CEP55. May be involved in cell growth and differentiation. Acts as a negative growth regulator. Involved in the budding of many viruses through an interaction with viral proteins that contain a late-budding motif P-[ST]-A-P. This interaction is essential for viral particle budding of numerous retroviruses. Required for the exosomal release of SDCBP, CD63 and syndecan (PubMed : 22660413). It may also play a role in the extracellular release of microvesicles that differ from the exosomes (PubMed : 22315426).
See full target information Tumor susceptibility gene 101 protein

文献 (1032)

Recent publications for all applications. Explore the full list and refine your search

International journal of molecular sciences 26: PubMed41009408

2025

Extracellular Vesicles Derived from Human Umbilical Cord Mesenchymal Stem Cells Alleviated the Inflammatory Response in Mice Infected with the Influenza Virus A (H1N1).

Applications

Unspecified application

Species

Unspecified reactive species

Hui Xiao,Xiao Yu,Yiding Dong,Shilong Bao,Xiaoting Meng,Jia Zhao,Zhiyong Dong

Biomolecules 15: PubMed41008614

2025

Single-Vesicle Molecular Profiling by dSTORM Imaging in a Liquid Biopsy Assay Predicts Early Relapse in Colorectal Cancer.

Applications

Unspecified application

Species

Unspecified reactive species

Gabriele Raciti,Giulia Cavallaro,Raffaella Giuffrida,Cristina Grange,Loredana Leggio,Marco Catania,Nunzio Iraci,Elena Bruno,Luca Antonio Giaimi,Sofia Paola Lombardo,Giulia Chisari,Marzia Mare,Enrica Deiana,Lorenzo Memeo,Benedetta Bussolati,Stefano Forte

Stem cell research & therapy 16:517 PubMed41013816

2025

Mesenchymal stem cells undergoing apoptosis recover cyclophosphamide-induced cleft palate through modulation of NLR signaling mediated pyroptosis.

Applications

Unspecified application

Species

Unspecified reactive species

Xi Zheng,Yu Fu,Hongbin Lu,Lizhen Lan,Xiaohan Geng,Peiyuan Zhang,Bingdong Sui,Xuefeng Hu

PloS one 20:e0332862 PubMed41004495

2025

Exosomal miR-320b regulates cardiomyocyte FOXM1 expression and may serve as an early-stage compensatory mechanism in obstructive sleep apnea.

Applications

Unspecified application

Species

Unspecified reactive species

Wan-Yu Wang,Zhi-Jia Chen,Ya-Juan Lai,Lin-Lin Guo,Ao Xiong,Zhen-Yong Huang,Xiang-Yang Yao,Yi-Ming Zeng

Cancer research and treatment : PubMed40997931

2025

Extracellular Vesicle-Derived Adenosine as a Diagnostic Metabolic Biomarker for Pancreatic Ductal Adenocarcinoma.

Applications

Unspecified application

Species

Unspecified reactive species

Tao Xia,Wenhui Ouyang,Jie Wang,Jinjing Wang,Yiping Mou,Zhengquan Yang,Hezhi Fang,Shanying Gui

Frontiers in immunology 16:1629676 PubMed40995365

2025

Large extracellular vesicles derived from LPS-preconditioned cardiomyocytes alleviate myocarditis via mediating macrophage polarization and modulating p38 MAPK pathway.

Applications

Unspecified application

Species

Unspecified reactive species

Yanjie Jiang,Yingnan You,Yaxue Xie,Shan Zhou,Mengjie Ma,Bo Han

Science advances 11:eady6386 PubMed40991712

2025

Site-specific adaptive nanovesicles for oral insulin delivery.

Applications

Unspecified application

Species

Unspecified reactive species

Bozhang Xia,Fengfei Xu,Junge Chen,Shaobo Shan,Jiuheng Shen,Yuxuan Zhang,Jinjin Wang,Ziran Zhou,Weilun Sun,Yaru Jia,Ya-Li Zhang,Jie Zhong,Gang Zhang,Yichen Wan,Zhongbo Hu,Wenlin An,Yubo Fan,Massimo Bottini,Jinqiang Wang,Xing-Jie Liang

Stem cell reviews and reports : PubMed40987919

2025

Investigating the Therapeutic Efficacy of Quality-Controlled, miR-146a-5p-Enriched Small Extracellular Vesicles Derived From MSCs Against Idiopathic Pulmonary Fibrosis.

Applications

Unspecified application

Species

Unspecified reactive species

Xin Wang,Lingjiao Meng,Qiuhong Wang,Ruixue Rong,Yu Zhang,Xiaohui Zhao,Chen Liang,Huizhen Guo,Li Deng,Zengqi Tan,Feng Guan,Yi Tan

Frontiers in cell and developmental biology 13:1620648 PubMed40977891

2025

Multi-transcriptomics analysis of ferroptosis related genes reveals CAFs exosomal COX4I2 as a novel therapeutic target in osteosarcoma.

Applications

Unspecified application

Species

Unspecified reactive species

Xiaoying Niu,Xinxin Zhang,Zhongyi Li,Wen Tian

CNS neuroscience & therapeutics 31:e70597 PubMed40955109

2025

Dual-Functionalized Extracellular Vesicles Promote Brain Repair and Remodeling Following Ischemic Stroke in Mice.

Applications

Unspecified application

Species

Unspecified reactive species

Victoria Shi,Shengju Wu,Qianyuan Lian,Rubing Shi,Ze Liu,Tongtong Xu,Shiyu Deng,Xinfa Shao,Anja Beckmann,Wanlu Li,Yaohui Tang,Carola Meier,Guo-Yuan Yang,Zhijun Zhang
View all publications

Abcam Product Promise

我们致力于为您的研究提供高质量的试剂,为您科研的每一步提供支持。若我们的产品未能达到预期性能,我们向您提供 Abcam Product Promise 保障。
详情请参阅我们的条款与条件。

Please note: All products are 'FOR RESEARCH USE ONLY. NOT FOR USE IN DIAGNOSTIC OR THERAPEUTIC PROCEDURES'.

For licensing inquiries, please contact partnerships@abcam.com