JavaScript is disabled in your browser. Please enable JavaScript to view this website.
AB109213

重组Anti-Tryptophanyl tRNA synthetase/WRS抗体[EPR3423]

Anti-Tryptophanyl tRNA synthetase/WRS antibody [EPR3423]

Be the first to review this product! Submit a review

|

(2 Publications)

Rabbit Recombinant Monoclonal Tryptophanyl tRNA synthetase/WRS antibody. Suitable for IHC-P, WB and reacts with Human, Rat samples. Cited in 2 publications.

查看别名

IFI53, WARS, WRS, WARS1, Interferon-induced protein 53, Tryptophanyl-tRNA synthetase, IFP53, TrpRS, hWRS

2 Images
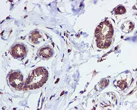
Immunohistochemistry (Formalin/PFA-fixed paraffin-embedded sections) - Anti-Tryptophanyl tRNA synthetase/WRS antibody [EPR3423] (AB109213)
  • IHC-P

Unknown

Immunohistochemistry (Formalin/PFA-fixed paraffin-embedded sections) - Anti-Tryptophanyl tRNA synthetase/WRS antibody [EPR3423] (AB109213)

ab109213 at 1/500 dilution staining Tryptophanyl tRNA synthetase/WRS in paraffin-embedded Human breast tissue by Immunohistochemistry.

Perform heat mediated antigen retrieval with citrate buffer pH 6 before commencing with IHC staining protocol.

Western blot - Anti-Tryptophanyl tRNA synthetase/WRS antibody [EPR3423] (AB109213)
  • WB

Unknown

Western blot - Anti-Tryptophanyl tRNA synthetase/WRS antibody [EPR3423] (AB109213)

All lanes:

Western blot - Anti-Tryptophanyl tRNA synthetase/WRS antibody [EPR3423] (ab109213) at 1/1000 dilution

Lane 1:

HeLa cell lysate at 10 µg

Lane 2:

JAR cell lysate at 10 µg

Lane 3:

293T cell lysate at 10 µg

Lane 4:

L6 cell lysate at 10 µg

Predicted band size: 53 kDa

false

不同偶联物与剂型 (1)

  • Carrier free

    Anti-Tryptophanyl tRNA synthetase/WRS antibody [EPR3423] - BSA and Azide free

关键信息

宿主种属

Rabbit

克隆

Monoclonal

克隆号

EPR3423

亚型

IgG

不含载体蛋白

No

反应种属

Rat, Human

应用

WB, IHC-P

applications

免疫原

The exact immunogen used to generate this antibody is proprietary information.

反应性数据

{ "title": "Reactivity Data", "filters": { "stats": ["", "Species", "Dilution Info", "Notes"], "tabs": { "all-applications": {"fullname" : "All Applications", "shortname": "All Applications"}, "IHCP" : {"fullname" : "Immunohistochemistry (Formalin/PFA-fixed paraffin-embedded sections)", "shortname":"IHC-P"}, "ICCIF" : {"fullname" : "Immunocytochemistry/ Immunofluorescence", "shortname":"ICC/IF"}, "IP" : {"fullname" : "Immunoprecipitation", "shortname":"IP"}, "WB" : {"fullname" : "Western blot", "shortname":"WB"} }, "product-promise": { "all": "all", "testedAndGuaranteed": "tested", "guaranteed": "expected", "predicted": "predicted", "notRecommended": "not-recommended" } }, "values": { "Human": { "IHCP-species-checked": "testedAndGuaranteed", "IHCP-species-dilution-info": "1/500 - 1/1000", "IHCP-species-notes": "<p>Antigen retrieval is recommended.</p>", "ICCIF-species-checked": "notRecommended", "ICCIF-species-dilution-info": "", "ICCIF-species-notes": "<p></p>", "IP-species-checked": "notRecommended", "IP-species-dilution-info": "", "IP-species-notes": "<p></p>", "WB-species-checked": "testedAndGuaranteed", "WB-species-dilution-info": "1/1000 - 1/10000", "WB-species-notes": "<p></p>" }, "Mouse": { "IHCP-species-checked": "predicted", "IHCP-species-dilution-info": "", "IHCP-species-notes": "", "ICCIF-species-checked": "notRecommended", "ICCIF-species-dilution-info": "", "ICCIF-species-notes": "", "IP-species-checked": "notRecommended", "IP-species-dilution-info": "", "IP-species-notes": "", "WB-species-checked": "predicted", "WB-species-dilution-info": "", "WB-species-notes": "" }, "Rat": { "IHCP-species-checked": "guaranteed", "IHCP-species-dilution-info": "", "IHCP-species-notes": "", "ICCIF-species-checked": "notRecommended", "ICCIF-species-dilution-info": "", "ICCIF-species-notes": "<p></p>", "IP-species-checked": "notRecommended", "IP-species-dilution-info": "", "IP-species-notes": "<p></p>", "WB-species-checked": "testedAndGuaranteed", "WB-species-dilution-info": "1/1000 - 1/10000", "WB-species-notes": "<p></p>" } } }

产品详情

Patented technology
Our RabMAb® technology is a patented hybridoma-based technology for making rabbit monoclonal antibodies. For details on our patents, please refer to RabMAb® patents.

What are the advantages of a recombinant monoclonal antibody?
This product is a recombinant monoclonal antibody, which offers several advantages including:

  • - High batch-to-batch consistency and reproducibility
  • - Improved sensitivity and specificity
  • - Long-term security of supply
  • - Animal-free batch production

For more information, read more on recombinant antibodies.

性能和储存信息

形式
Liquid
纯化工艺
Affinity purification Protein A
存储溶液
pH: 7.2 - 7.4 Preservative: 0.05% Sodium azide Constituents: 50% Tissue culture supernatant, 40% Glycerol (glycerin, glycerine), 9.85% Tris glycine, 0.1% BSA
运输条件
Blue Ice
推荐的短期储存条件
+4°C
推荐的长期储存条件
-20°C
储存信息
Stable for 12 months at -20°C

补充信息

This supplementary information is collated from multiple sources and compiled automatically.

Tryptophanyl tRNA synthetase also known as WRS or TrpRS is an enzyme responsible for attaching tryptophan to its corresponding tRNA during protein synthesis. This enzyme is approximately 53 kDa in mass. It ensures the accurate translation of the genetic code in mRNA into proteins by catalyzing the esterification of tryptophan to the tRNA^Trp. WRS is mostly found in the cytoplasm of cells across various tissues contributing to its role in protein biosynthesis.
Biological function summary

WRS is involved in the important process of protein translation ensuring fidelity in the genetic code transfer from RNA to protein. As part of the aminoacyl-tRNA synthetases family WRS helps in maintaining the overall function and stability of the translational apparatus. It is not typically known to be part of any larger protein complex. In addition to its core function in protein synthesis WRS possesses non-canonical roles related to immune response regulation and angiogenesis.

Pathways

WRS plays key roles in the aminoacyl-tRNA biosynthesis and mTOR signaling pathways. These pathways are essential for regulating protein synthesis and cell growth. In the mTOR pathway WRS's function relates to its interaction with proteins involved in cell growth and proliferation. Its roles within these pathways highlight its influence on cellular homeostasis and protein regulation interacting closely with other synthetases and transcription factors.

WRS has associations with certain cancers and autoimmune disorders. Abnormal expression of WRS is observed in various cancer types reflecting its contribution to dysregulated protein synthesis and cell growth. Additionally WRS has been linked to autoimmune diseases like dermatomyositis where its immune-regulatory roles become compromised. In these conditions WRS's interactions with proteins such as interferons illustrate its importance in the pathophysiology of inflammation and immune response.

产品实验方案

For this product, it's our understanding that no specific protocols are required. You can visit:

靶点信息

Catalyzes the attachment of tryptophan to tRNA(Trp) in a two-step reaction : tryptophan is first activated by ATP to form Trp-AMP and then transferred to the acceptor end of the tRNA(Trp).. Isoform 1. Has no angiostatic activity.. T2-TrpRS. Possesses an angiostatic activity but has no aminoacylation activity (PubMed : 11773625, PubMed : 11773626, PubMed : 14630953). Inhibits fluid shear stress-activated responses of endothelial cells (PubMed : 14630953). Regulates ERK, Akt, and eNOS activation pathways that are associated with angiogenesis, cytoskeletal reorganization and shear stress-responsive gene expression (PubMed : 14630953).. Isoform 2. Has an angiostatic activity.
See full target information WARS1

文献 (2)

Recent publications for all applications. Explore the full list and refine your search

The FEBS journal 292:1602-1632 PubMed39756023

2025

A non-canonical role for the tyrosyl tRNA synthetase: YARS regulates senescence induction and escape and controls the transcription of LIN9.

Applications

Unspecified application

Species

Unspecified reactive species

Hugo Coquelet,Geraldine Leman,Amine Maarouf,Coralie Petit,Bertrand Toutain,Cécile Henry,Alice Boissard,Catherine Guette,Eric Lelièvre,Pierre-Alexandre Vidi,Jordan Guillon,Olivier Coqueret

Molecular and cellular biology 35:1940-51 PubMed25802280

2015

Loss of Androgen-Regulated MicroRNA 1 Activates SRC and Promotes Prostate Cancer Bone Metastasis.

Applications

Unspecified application

Species

Unspecified reactive species

Yen-Nien Liu,JuanJuan Yin,Ben Barrett,Heather Sheppard-Tillman,Dongmei Li,Orla M Casey,Lei Fang,Paul G Hynes,Amir H Ameri,Kathleen Kelly
View all publications

Abcam Product Promise

我们致力于为您的研究提供高质量的试剂,为您科研的每一步提供支持。若我们的产品未能达到预期性能,我们向您提供 Abcam Product Promise 保障。
详情请参阅我们的条款与条件。

Please note: All products are 'FOR RESEARCH USE ONLY. NOT FOR USE IN DIAGNOSTIC OR THERAPEUTIC PROCEDURES'.

For licensing inquiries, please contact partnerships@abcam.com