JavaScript is disabled in your browser. Please enable JavaScript to view this website.
AB178676

Anti-TRP1 抗体 [EPR13063]

Anti-TRP1 antibody [EPR13063]

Be the first to review this product! Submit a review

|

(14 Publications)

Rabbit Recombinant Monoclonal TRP1 antibody. Suitable for WB, ICC/IF, Flow Cyt (Intra), IHC-P and reacts with Mouse, Human samples. Cited in 14 publications.

查看别名

CAS2, TYRP, TYRRP, TYRP1, DHICA oxidase, Catalase B, Glycoprotein 75, Melanoma antigen gp75, Tyrosinase-related protein 1, TRP, TRP-1, TRP1

9 Images
Western blot - Anti-TRP1 antibody [EPR13063] (AB178676)
  • WB

Lab

Western blot - Anti-TRP1 antibody [EPR13063] (AB178676)

The observed molecular weight is consistent with what have been described in literatures PMID : 24586946 and 27690000.

All lanes:

Western blot - Anti-TRP1 antibody [EPR13063] (ab178676) at 1/10000 dilution

All lanes:

SK-MEL-28 (Human malignant melanoma ) whole cell lysates at 20 µg

Secondary

All lanes:

Western blot - Goat Anti-Rabbit IgG H&L (HRP) (<a href='/products/secondary-antibodies/goat-rabbit-igg-h-l-hrp-ab97051'>ab97051</a>) at 1/20000 dilution

Predicted band size: 61 kDa

Observed band size: 75 kDa

false

Western blot - Anti-TRP1 antibody [EPR13063] (AB178676)
  • WB

Supplier Data

Western blot - Anti-TRP1 antibody [EPR13063] (AB178676)

All lanes:

Western blot - Anti-TRP1 antibody [EPR13063] (ab178676) at 1/10000 dilution

All lanes:

Human melanoma lysate at 10 µg

Predicted band size: 61 kDa

false

Western blot - Anti-TRP1 antibody [EPR13063] (AB178676)
  • WB

Lab

Western blot - Anti-TRP1 antibody [EPR13063] (AB178676)

The observed molecular weight is consistent with what have been described in literatures PMID : 24586946 and 27690000.

All lanes:

Western blot - Anti-TRP1 antibody [EPR13063] (ab178676) at 1/50000 dilution

Lane 1:

MeWo (Human malignant melanoma fibroblast) whole cell lysates at 20 µg

Lane 2:

B16-F0 (Mouse melanoma epithelial cell-like) whole cell lysates at 20 µg

Secondary

All lanes:

Western blot - Goat Anti-Rabbit IgG H&L (HRP) (<a href='/products/secondary-antibodies/goat-rabbit-igg-h-l-hrp-ab97051'>ab97051</a>) at 1/20000 dilution

Predicted band size: 61 kDa

Observed band size: 75 kDa

false

Immunocytochemistry/ Immunofluorescence - Anti-TRP1 antibody [EPR13063] (AB178676)
  • ICC/IF

Supplier Data

Immunocytochemistry/ Immunofluorescence - Anti-TRP1 antibody [EPR13063] (AB178676)

Immunofluorescent analysis of B16-F0 cells labeling TRP1 with ab178676 (unpurified) at 1/100 dilution.

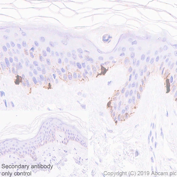
Immunohistochemistry (Formalin/PFA-fixed paraffin-embedded sections) - Anti-TRP1 antibody [EPR13063] (AB178676)
  • IHC-P

Unknown

Immunohistochemistry (Formalin/PFA-fixed paraffin-embedded sections) - Anti-TRP1 antibody [EPR13063] (AB178676)

Immunohistochemistry (Formalin/PFA-fixed paraffin-embedded sections) analysis of Human skin tissue sections labeling TRP1 with purified ab178676 at 1 : 1000 dilution (0.36 μg/ml). Heat mediated antigen retrieval was performed using ab93684 (Tris/EDTA buffer, pH 9.0). ImmunoHistoProbe one step HRP Polymer (ready to use) was used as the secondary antibody. Negative control : PBS instead of the primary antibody. Hematoxylin was used as a counterstain.

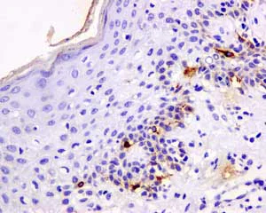
Immunohistochemistry (Formalin/PFA-fixed paraffin-embedded sections) - Anti-TRP1 antibody [EPR13063] (AB178676)
  • IHC-P

Supplier Data

Immunohistochemistry (Formalin/PFA-fixed paraffin-embedded sections) - Anti-TRP1 antibody [EPR13063] (AB178676)

Immunohistochemical analysis of paraffin-embedded Human skin tissue labeling TRP1 with ab178676 (unpurified) at 1/100 dilution.

Flow Cytometry (Intracellular) - Anti-TRP1 antibody [EPR13063] (AB178676)
  • Flow Cyt (Intra)

Unknown

Flow Cytometry (Intracellular) - Anti-TRP1 antibody [EPR13063] (AB178676)

Intracellular Flow Cytometry analysis of B16-F0 (Mouse melanoma epithelial cell-like) cells labeling TRP1 with purified ab178676 at 1/40 dilution (10 μg/ml) (red). Cells were fixed with 4% Paraformaldehyde and permeabilised with 90% Methanol. A Goat anti rabbit IgG (Alexa Fluor® 488, ab150077) secondary antibody was used at 1/2000. Isotype control - Rabbit monoclonal IgG (Black). Unlabeled control - Cell without incubation with primary antibody and secondary antibody (Blue).

Immunocytochemistry/ Immunofluorescence - Anti-TRP1 antibody [EPR13063] (AB178676)
  • ICC/IF

Unknown

Immunocytochemistry/ Immunofluorescence - Anti-TRP1 antibody [EPR13063] (AB178676)

Immunocytochemistry/ Immunofluorescence analysis of B16-F10 (Mouse melanoma epithelial cell-like) cells labeling TRP1 with purified ab178676 at 1 : 100 dilution (3.6 µg/ml). Cells were fixed in 4% Paraformaldehyde and permeabilized with 0.1% tritonX-100. Cells were counterstained with ab195889 Anti-alpha Tubulin antibody [DM1A] - Microtubule Marker (Alexa Fluor® 594) at 1 : 200 (2.5 µg/ml). Goat anti rabbit IgG (Alexa Fluor® 488, ab150077) was used as the secondary antibody at 1 : 1000 (2 µg/ml) dilution. DAPI (blue) was used as nuclear counterstain. PBS instead of the primary antibody was used as the secondary antibody only control.

Western blot - Anti-TRP1 antibody [EPR13063] (AB178676)
  • WB

Supplier Data

Western blot - Anti-TRP1 antibody [EPR13063] (AB178676)

All lanes:

Western blot - Anti-TRP1 antibody [EPR13063] (ab178676) at 1/10000 dilution

All lanes:

B16-F0 cell lysate at 10 µg

Predicted band size: 35 kDa,61 kDa,64 kDa

Observed band size: 39 kDa

false

不同偶联物与剂型 (10)

关键信息

宿主种属

Rabbit

克隆

Monoclonal

克隆号

EPR13063

亚型

IgG

不含载体蛋白

No

反应种属

Mouse, Human

应用

ICC/IF, WB, Flow Cyt (Intra), IHC-P

applications

免疫原

The exact immunogen used to generate this antibody is proprietary information.

特异性

The mouse recommendation is based on the WB results. We do not guarantee IHC-P for mouse.

反应性数据

{ "title": "Reactivity Data", "filters": { "stats": ["", "Species", "Dilution Info", "Notes"], "tabs": { "all-applications": {"fullname" : "All Applications", "shortname": "All Applications"}, "WB" : {"fullname" : "Western blot", "shortname":"WB"}, "ICCIF" : {"fullname" : "Immunocytochemistry/ Immunofluorescence", "shortname":"ICC/IF"}, "FlowCytIntra" : {"fullname" : "Flow Cytometry (Intracellular)", "shortname":"Flow Cyt (Intra)"}, "IHCP" : {"fullname" : "Immunohistochemistry (Formalin/PFA-fixed paraffin-embedded sections)", "shortname":"IHC-P"} }, "product-promise": { "all": "all", "testedAndGuaranteed": "tested", "guaranteed": "expected", "predicted": "predicted", "notRecommended": "not-recommended" } }, "values": { "Human": { "WB-species-checked": "testedAndGuaranteed", "WB-species-dilution-info": "1/10000 - 1/50000", "WB-species-notes": "<p></p>", "ICCIF-species-checked": "guaranteed", "ICCIF-species-dilution-info": "", "ICCIF-species-notes": "", "FlowCytIntra-species-checked": "guaranteed", "FlowCytIntra-species-dilution-info": "", "FlowCytIntra-species-notes": "", "IHCP-species-checked": "testedAndGuaranteed", "IHCP-species-dilution-info": "1/1000", "IHCP-species-notes": "<p>For the unpurified format use at 1/100 - 1/250 dilution.</p><p>The mouse recommendation is based on the WB results. We do not guarantee IHC-P for mouse.</p> Perform heat-mediated antigen retrieval with Tris/EDTA buffer pH 9.0 before commencing with IHC staining protocol." }, "Mouse": { "WB-species-checked": "testedAndGuaranteed", "WB-species-dilution-info": "1/10000 - 1/50000", "WB-species-notes": "<p></p>", "ICCIF-species-checked": "testedAndGuaranteed", "ICCIF-species-dilution-info": "1/100 - 1/250", "ICCIF-species-notes": "<p></p>", "FlowCytIntra-species-checked": "testedAndGuaranteed", "FlowCytIntra-species-dilution-info": "1/40", "FlowCytIntra-species-notes": "<p></p>", "IHCP-species-checked": "guaranteed", "IHCP-species-dilution-info": "", "IHCP-species-notes": "" } } }

产品详情

性能和储存信息

形式
Liquid
纯化工艺
Affinity purification Protein A
存储溶液
Preservative: 0.01% Sodium azide Constituents: 59% PBS, 40% Glycerol (glycerin, glycerine), 0.05% BSA
运输条件
Blue Ice
推荐的短期储存时间
1-2 weeks
推荐的短期储存条件
+4°C
推荐的长期储存条件
-20°C
分装信息
Upon delivery aliquot
储存信息
Avoid freeze / thaw cycle

补充信息

This supplementary information is collated from multiple sources and compiled automatically.

TRP1 (Tyrosinase-related protein 1) also known as gp75 is a copper-binding protein involved in melanin biosynthesis. TRP1 has a molecular mass of approximately 75 kDa. It is expressed mainly in melanocytes and retinal pigment epithelium cells where it contributes to pigmentation processes. TRP1 functions as an oxidase enzyme catalyzing steps in the transformation of dopa to melanin a pigment responsible for coloration in skin hair and eyes.
Biological function summary

TRP1 participates in a protein complex known as the melanosome. In this complex it plays a role in the proper polymerization and stabilization of eumelanin one type of melanin. It influences the quality and quantity of melanin produced affecting pigmentation. TRP1’s interaction with other tyrosinase family members like tyrosinase and TRP2 is important in maintaining the complex's integrity and function with each member contributing uniquely to the melanogenesis process.

Pathways

TRP1 operates within the melanogenesis and WNT signaling pathways. In the melanogenesis pathway TRP1 works alongside tyrosinase for the production of melanin pigment. The WNT signaling pathway which is significant for cellular differentiation and proliferation connects TRP1 through regulatory networks that influence melanocyte development and pigmentation. Regulation of TRP1 and these proteins ensures proper melanin synthesis impacting pigmentation processes in the organism.

TRP1 has connections to conditions such as albinism and melanoma. In albinism mutations in TRP1 can lead to reduced melanin production causing pigmentation defects. TRP1's altered expression has been linked to melanoma a type of skin cancer highlighting its role in melanin regulation and tumor biology. The relationship between TRP1 and tyrosinase in diseases like melanoma highlights the significance of their interaction in both normal pigmentation and disease progression.

产品实验方案

For this product, it's our understanding that no specific protocols are required. You can visit:

靶点信息

Plays a role in melanin biosynthesis (PubMed : 16704458, PubMed : 22556244, PubMed : 23504663). Catalyzes the oxidation of 5,6-dihydroxyindole-2-carboxylic acid (DHICA) into indole-5,6-quinone-2-carboxylic acid in the presence of bound Cu(2+) ions, but not in the presence of Zn(2+) (PubMed : 28661582). May regulate or influence the type of melanin synthesized (PubMed : 16704458, PubMed : 22556244). Also to a lower extent, capable of hydroxylating tyrosine and producing melanin (By similarity).
See full target information TYRP1

文献 (14)

Recent publications for all applications. Explore the full list and refine your search

International journal of molecular sciences 24: PubMed37108635

2023

Hydrolyzed Conchiolin Protein (HCP) Extracted from Pearls Antagonizes both ET-1 and -MSH for Skin Whitening.

Applications

Unspecified application

Species

Unspecified reactive species

Shan Yang,Zhekun Wang,Yunwei Hu,Kaile Zong,Xingjiang Zhang,Hui Ke,Pan Wang,Yuyo Go,Xi Hui Felicia Chan,Jianxin Wu,Qing Huang

Journal of cellular and molecular medicine 27:982-990 PubMed36924030

2023

Kaempferol promotes melanogenesis and reduces oxidative stress in PIG1 normal human skin melanocytes.

Applications

Unspecified application

Species

Unspecified reactive species

Yihui Xie,Xingyu Mei,Weimin Shi

Molecules (Basel, Switzerland) 27: PubMed36235295

2022

Molecular Analysis of the Melanogenesis Inhibitory Effect of Saponins-Rich Fraction of Leaves Extract.

Applications

Unspecified application

Species

Unspecified reactive species

Myra O Villareal,Thanyanan Chaochaiphat,Rachida Makbal,Chemseddoha Gadhi,Hiroko Isoda

Oxidative medicine and cellular longevity 2022:1856830 PubMed35186181

2022

sPmel17 Secreted by Ultraviolet B-Exposed Melanocytes Alters the Intercellular Adhesion of Keratinocytes.

Applications

Unspecified application

Species

Unspecified reactive species

Shuang-Hai Hu,Shan Jiang,Fang Miao,Tie-Chi Lei

Pharmaceutics 13: PubMed34452146

2021

Anti-Melanogenic Mechanism of Tetrahydrocurcumin and Enhancing Its Topical Delivery Efficacy Using a Lecithin-Based Nanoemulsion.

Applications

Unspecified application

Species

Unspecified reactive species

Xudong Tang,Qiaoru Dong,Jun Li,Fang Li,Bozena B Michniak-Kohn,Denggao Zhao,Chi-Tang Ho,Qingrong Huang

Genes & diseases 8:677-688 PubMed34291139

2021

SFRP5 inhibits melanin synthesis of melanocytes in vitiligo by suppressing the Wnt/β-catenin signaling.

Applications

Unspecified application

Species

Unspecified reactive species

Dao-Pei Zou,Yang-Mei Chen,Ling-Zhao Zhang,Xiao-Hui Yuan,Yu-Jie Zhang,Adelina Inggawati,Pham Thi Kieu Nguyet,Tian-Wen Gao,Jin Chen

Journal of cellular and molecular medicine 24:12164-12175 PubMed32918341

2020

Down-regulation of exosomal miR-200c derived from keratinocytes in vitiligo lesions suppresses melanogenesis.

Applications

Unspecified application

Species

Unspecified reactive species

Chaoshuai Zhao,Dongliang Wang,Xin Wang,Yaqi Mao,Ziqian Xu,Yue Sun,Xingyu Mei,Jun Song,Weimin Shi

PloS one 15:e0237577 PubMed32790741

2020

Targeting steroid receptor RNA activator (SRA), a long non-coding RNA, enhances melanogenesis through activation of TRP1 and inhibition of p38 phosphorylation.

Applications

Unspecified application

Species

Unspecified reactive species

Ji-Chen Ho,Chih-Hung Lee,Chien-Hui Hong

Nutrients 12: PubMed32707654

2020

Thymocid, a Standardized Black Cumin () Seed Extract, Modulates Collagen Cross-Linking, Collagenase and Elastase Activities, and Melanogenesis in Murine B16F10 Melanoma Cells.

Applications

Unspecified application

Species

Unspecified reactive species

Huifang Li,Nicholas A DaSilva,Weixi Liu,Jialin Xu,George W Dombi,Joel A Dain,Dongli Li,Jean Christopher Chamcheu,Navindra P Seeram,Hang Ma

Frontiers in cell and developmental biology 8:588 PubMed32754591

2020

Tranilast Directly Targets NLRP3 to Protect Melanocytes From Keratinocyte-Derived IL-1β Under Oxidative Stress.

Applications

Unspecified application

Species

Unspecified reactive species

Tongtian Zhuang,Shuli Li,Xiuli Yi,Sen Guo,Yinghan Wang,Jianru Chen,Ling Liu,Zhe Jian,Tianwen Gao,Pan Kang,Chunying Li
View all publications

Abcam Product Promise

我们致力于为您的研究提供高质量的试剂,为您科研的每一步提供支持。若我们的产品未能达到预期性能,我们向您提供 Abcam Product Promise 保障。
详情请参阅我们的条款与条件。

关联产品

Select an associated product type
Alternative Product
Primary Antibodies

AB218330

Anti-TRP1 antibody [TYRP1/807]

primary-antibodies

trp1-antibody-tyrp1-807-ab218330

0

(0 reviews)

Alternative Product
Primary Antibodies

AB212922

Anti-TRP1 antibody [TA99] - BSA and Azide free

primary-antibodies

trp1-antibody-ta99-bsa-and-azide-free-ab212922

0

(0 reviews)

Alternative Product
Primary Antibodies

AB190709

Anti-TRP1 antibody [TA99]

primary-antibodies

trp1-antibody-ta99-ab190709

0

(2 reviews)

Alternative Product
Primary Antibodies

AB235446

Anti-TRP1 antibody [EPR21956]

primary-antibodies

trp1-antibody-epr21956-ab235446

0

(0 reviews)

Alternative Product
Primary Antibodies

AB235447

Anti-TRP1 antibody [EPR21960]

primary-antibodies

trp1-antibody-epr21960-ab235447

5

(2 reviews)

Alternative Product
Primary Antibodies

AB177468

Anti-TRP1 antibody [EPR13064(B)] - C-terminal

primary-antibodies

trp1-antibody-epr13064b-c-terminal-ab177468

0

(0 reviews)

Alternative Product
Primary Antibodies

AB238418

Anti-TRP1 antibody [EPR21960] - BSA and Azide free

primary-antibodies

trp1-antibody-epr21960-bsa-and-azide-free-ab238418

0

(0 reviews)

Alternative Product
Primary Antibodies

AB224658

Anti-TRP1 antibody [TYRP1/1986]

primary-antibodies

trp1-antibody-tyrp1-1986-ab224658

0

(0 reviews)

Alternative Product
Primary Antibodies

AB238461

Anti-TRP1 antibody [EPR21956] - BSA and Azide free

primary-antibodies

trp1-antibody-epr21956-bsa-and-azide-free-ab238461

0

(0 reviews)

Please note: All products are 'FOR RESEARCH USE ONLY. NOT FOR USE IN DIAGNOSTIC OR THERAPEUTIC PROCEDURES'.

For licensing inquiries, please contact partnerships@abcam.com