JavaScript is disabled in your browser. Please enable JavaScript to view this website.
AB240651

重组Anti-TrkC抗体[EPR22959-40]

Anti-TrkC antibody [EPR22959-40]

  • BOND RX™ Validated
  • 20ul selling size
  • RabMAb
  • Recombinant
  • 了解详情

Be the first to review this product! Submit a review

|

(1 Publication)

Rabbit Recombinant Monoclonal TrkC antibody. Suitable for IP, WB, IHC-P and reacts with Mouse, Rat, Transfected cell lysate - Human, Human samples. Cited in 1 publication.

查看别名

TRKC, NTRK3, NT-3 growth factor receptor, GP145-TrkC, Neurotrophic tyrosine kinase receptor type 3, TrkC tyrosine kinase, Trk-C

13 Images
Immunohistochemistry (Formalin/PFA-fixed paraffin-embedded sections) - Anti-TrkC antibody [EPR22959-40] (AB240651)
  • IHC-P

Supplier Data

Immunohistochemistry (Formalin/PFA-fixed paraffin-embedded sections) - Anti-TrkC antibody [EPR22959-40] (AB240651)

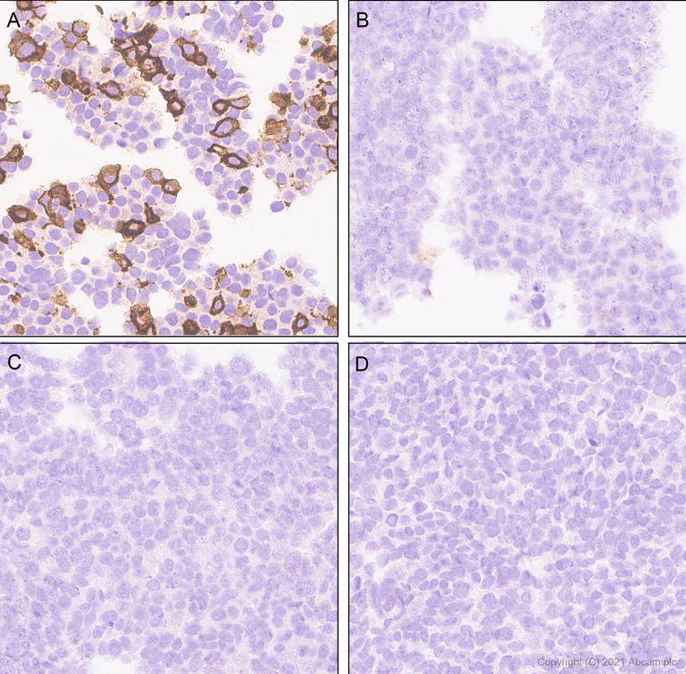
Immunohistochemical analysis of paraffin-embedded HEK-293T tissue labelling TrkC with ab240651 at 1/1000 (0.529 ug/ml) followed by a ready to use LeicaDS9800 (Bond™ Polymer Refine Detection). Positive staining on (A) HEK-293T transfected with TrkC expression vector. No staining on (B) HEK-293T transfected with a TrkA expression vector, (C) HEK-293T transfected with TrkB expression vector and (D) HEK-293T transfected with empty vector. The section was incubated with ab240651 for 30 mins at room temperature. The immunostaining was performed on a Leica Biosystems BOND® RX instrument Counterstained with Hematoxylin.

Panel A : HEK-293T (human epithelial cell line from embryonic kidney transformed with large T antigen) transfected with TrkC expression vector containing a myc-His-tag®
Panel B : HEK-293T transfected with TrkA vector containing a myc-His-tag®.
Panel C : HEK-293T transfected with TrkB vector containing a myc-His-tag®.
Panel D : HEK-293T transfected with empty vector containing a myc-His-tag®

Secondary antibody only control : Secondary antibody is a ready to use LeicaDS9800 (Bond™ Polymer Refine Detection).

Heat mediated antigen retrieval with Tris-EDTA buffer (pH 9.0, epitope retrieval solution2) for 20 mins

Immunohistochemistry (Formalin/PFA-fixed paraffin-embedded sections) - Anti-TrkC antibody [EPR22959-40] (AB240651)
  • IHC-P

Supplier Data

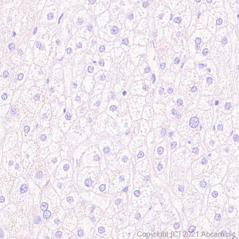
Immunohistochemistry (Formalin/PFA-fixed paraffin-embedded sections) - Anti-TrkC antibody [EPR22959-40] (AB240651)

Immunohistochemical analysis of paraffin-embedded Human liver tissue labelling TrkC with ab240651 at 1/200 (2.645 ug/ml) followed by a ready to use Rabbit specific IHC polymer detection kit HRP/DAB (ab209101).

Negative control : No staining in human liver. The section was incubated with ab240651 for 30 mins at room temperature.The immunostaining was performed on a Leica Biosystems BOND® RX instrument Counterstained with Hematoxylin.

Secondary antibody only control : Secondary antibody is a ready to use Rabbit specific IHC polymer detection kit HRP/DAB (ab209101).

Heat mediated antigen retrieval with Tris-EDTA buffer (pH 9.0, epitope retrieval solution2) for 20 mins

Immunohistochemistry (Formalin/PFA-fixed paraffin-embedded sections) - Anti-TrkC antibody [EPR22959-40] (AB240651)
  • IHC-P

Supplier Data

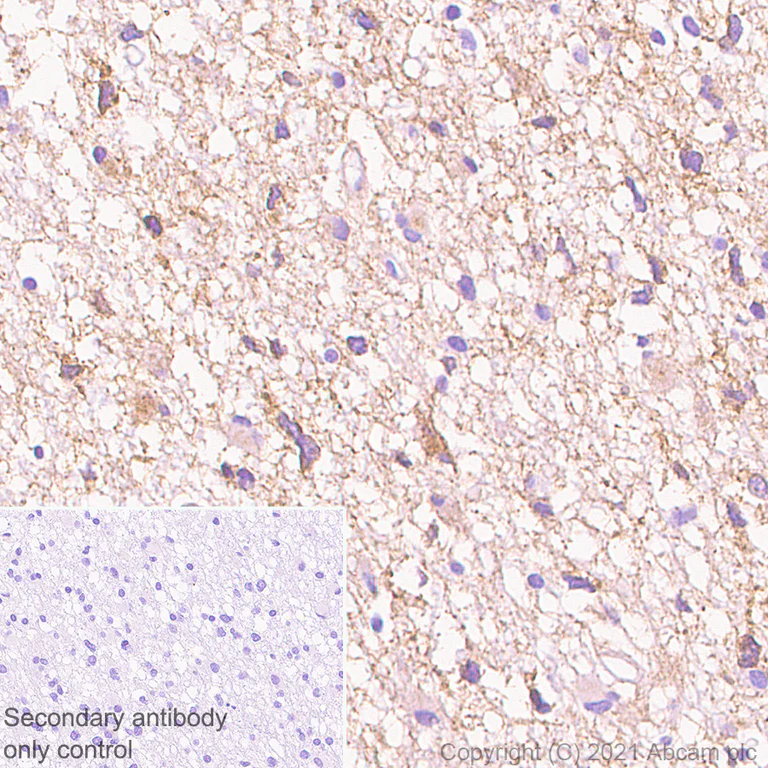
Immunohistochemistry (Formalin/PFA-fixed paraffin-embedded sections) - Anti-TrkC antibody [EPR22959-40] (AB240651)

Immunohistochemical analysis of paraffin-embedded Human cerebrum tissue labelling TrkC with ab240651 at 1/200 (2.645 ug/ml) dilution followed by a ready to use Rabbit specific IHC polymer detection kit HRP/DAB (ab209101). Cytoplasmic staining in human cerebrum. The section was incubated with ab240651 for 30 mins at room temperature.The immunostaining was performed on a Leica Biosystems BOND® RX instrument Counterstained with Hematoxylin.

Secondary antibody only control : Secondary antibody is a ready to use Rabbit specific IHC polymer detection kit HRP/DAB (ab209101).

Heat mediated antigen retrieval with Tris-EDTA buffer (pH 9.0, epitope retrieval solution2) for 20 mins

Immunohistochemistry (Formalin/PFA-fixed paraffin-embedded sections) - Anti-TrkC antibody [EPR22959-40] (AB240651)
  • IHC-P

Supplier Data

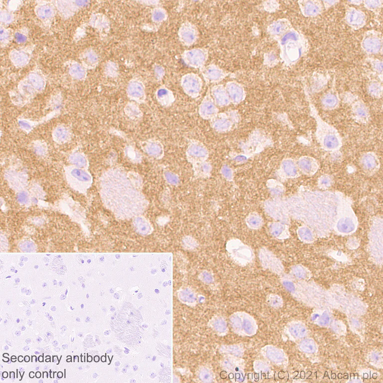
Immunohistochemistry (Formalin/PFA-fixed paraffin-embedded sections) - Anti-TrkC antibody [EPR22959-40] (AB240651)

Immunohistochemical analysis of paraffin-embedded Human astrocytoma tissue labelling TrkC with ab240651 at 1/200 (2.645 ug/ml) dilution followed by a ready to use Rabbit specific IHC polymer detection kit HRP/DAB (ab209101). Cytoplasmic staining in human astrocytoma. The section was incubated with ab240651 for 30 mins at room temperature. The immunostaining was performed on a Leica Biosystems BOND® RX instrument Counterstained with Hematoxylin.

Secondary antibody only control : Secondary antibody is a ready to use Rabbit specific IHC polymer detection kit HRP/DAB (ab209101).

Heat mediated antigen retrieval with Tris-EDTA buffer (pH 9.0, epitope retrieval solution2) for 20 mins

Immunohistochemistry (Formalin/PFA-fixed paraffin-embedded sections) - Anti-TrkC antibody [EPR22959-40] (AB240651)
  • IHC-P

Supplier Data

Immunohistochemistry (Formalin/PFA-fixed paraffin-embedded sections) - Anti-TrkC antibody [EPR22959-40] (AB240651)

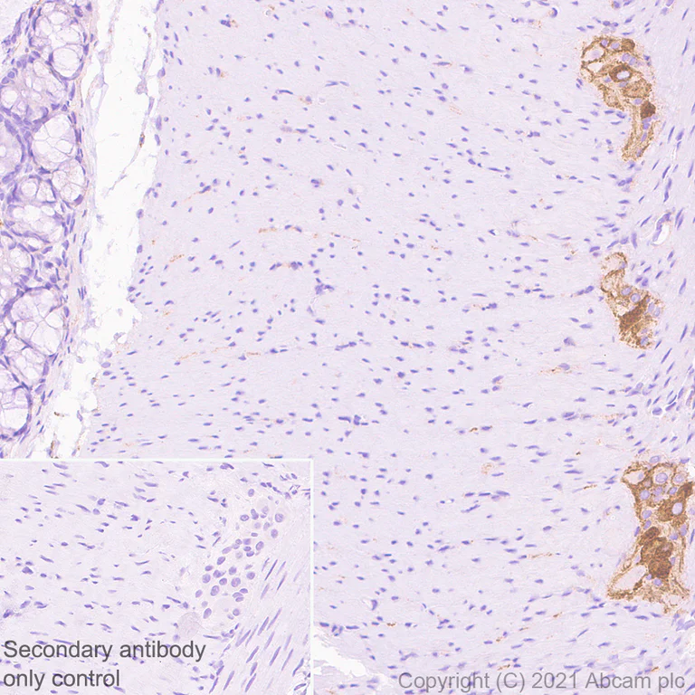
Immunohistochemical analysis of paraffin-embedded Rat colon tissue labelling TrkC with ab240651 at 1/1000 (0.529 ug/ml) dilution followed by a ready to use Rabbit specific IHC polymer detection kit HRP/DAB (ab209101). Cytoplasmic staining on myenteric plexus of rat colon. The section was incubated with ab240651 for 30 mins at room temperature. The immunostaining was performed on a Leica Biosystems BOND® RX instrument Counterstained with Hematoxylin.

Secondary antibody only control : Secondary antibody is a ready to use Rabbit specific IHC polymer detection kit HRP/DAB (ab209101).

Heat mediated antigen retrieval with Tris-EDTA buffer (pH 9.0, epitope retrieval solution2) for 20 mins

Immunohistochemistry (Formalin/PFA-fixed paraffin-embedded sections) - Anti-TrkC antibody [EPR22959-40] (AB240651)
  • IHC-P

Supplier Data

Immunohistochemistry (Formalin/PFA-fixed paraffin-embedded sections) - Anti-TrkC antibody [EPR22959-40] (AB240651)

Immunohistochemical analysis of paraffin-embedded Mouse cerebrum tissue labelling TrkC with ab240651 at 1/1000 (0.529 ug/ml) dilution followed by a ready to use Rabbit specific IHC polymer detection kit HRP/DAB (ab209101). Cytoplasmic staining in mouse cerebrum. The section was incubated with ab240651 for 30 mins at room temperature. The immunostaining was performed on a Leica Biosystems BOND® RX instrument Counterstained with Hematoxylin.

Secondary antibody only control : Secondary antibody is a ready to use Rabbit specific IHC polymer detection kit HRP/DAB (ab209101).

Heat mediated antigen retrieval with Tris-EDTA buffer (pH 9.0, epitope retrieval solution2) for 20 mins

Immunoprecipitation - Anti-TrkC antibody [EPR22959-40] (AB240651)
  • IP

Supplier Data

Immunoprecipitation - Anti-TrkC antibody [EPR22959-40] (AB240651)

TrkC was immunoprecipitated from 0.35 mg Rat brain tissue lysate 10 ug with ab240651 at 1/30 dilution (2ug in 0.35mg lysates). Western blot was performed on the immunoprecipitate using ab240651 at 1/1000 dilution. VeriBlot for IP secondary antibody(HRP)(ab131366) was used at 1/5000 dilution.

Lane 1 : Rat brain tissue lysate 10 ug

Lane 2 : ab240651 IP in Rat brain tissue lysate

Lane 3 : Rabbit monoclonal IgG (ab172730) instead of ab240651 in rat brain tissue lysate

Blocking and dilution buffer and concentration : 5% NFDM/TBST.

Exposure time : 24 seconds

All lanes:

Immunoprecipitation - Anti-TrkC antibody [EPR22959-40] (ab240651)

Predicted band size: 94 kDa

Observed band size: 100 kDa,145 kDa

false

Immunoprecipitation - Anti-TrkC antibody [EPR22959-40] (AB240651)
  • IP

Supplier Data

Immunoprecipitation - Anti-TrkC antibody [EPR22959-40] (AB240651)

TrkC was immunoprecipitated from 0.35 mg Mouse brain tissue lysate 10 ug with ab240651 at 1/30 dilution (2ug in 0.35mg lysates). Western blot was performed on the immunoprecipitate using ab240651 at 1/1000 dilution. VeriBlot for IP secondary antibody(HRP)(ab131366) was used at 1/5000 dilution.

Lane 1 : Mouse brain tissue lysate 10 ug

Lane 2 : ab240651 IP in Mouse brain tissue lysate

Lane 3 : Rabbit monoclonal IgG (ab172730) instead of ab240651 in mouse brain tissue lysate

Blocking and dilution buffer and concentration : 5% NFDM/TBST.

Exposure time : 24 seconds

All lanes:

Immunoprecipitation - Anti-TrkC antibody [EPR22959-40] (ab240651)

Predicted band size: 94 kDa

Observed band size: 100 kDa,145 kDa

false

Western blot - Anti-TrkC antibody [EPR22959-40] (AB240651)
  • WB

Lab

Western blot - Anti-TrkC antibody [EPR22959-40] (AB240651)

Blocking and diluting buffer and concentration : 5% NFDM/TBST

The observed MW are consistent with what has been described in the literature (PMID : 17828769).

Exposure time : 8 seconds

All lanes:

Western blot - Anti-TrkC antibody [EPR22959-40] (ab240651) at 1/1000 dilution

Lane 1:

Human cerebellum tissue lysate at 20 µg

Lane 2:

Human hypothalamus tissue lysate at 20 µg

Secondary

All lanes:

Goat Anti-Rabbit IgG (HRP) with minimal cross-reactivity with human IgG at 1/2000 dilution

Predicted band size: 94 kDa

Observed band size: 100 kDa,145 kDa

false

Western blot - Anti-TrkC antibody [EPR22959-40] (AB240651)
  • WB

Lab

Western blot - Anti-TrkC antibody [EPR22959-40] (AB240651)

Blocking and diluting buffer and concentration : 5% NFDM/TBST

The observed MW are consistent with what has been described in the literature (PMID : 17828769).

Negative control : liver (PMID : 7823156).

Exposure time : 15 seconds

All lanes:

Western blot - Anti-TrkC antibody [EPR22959-40] (ab240651) at 1/1000 dilution

Lane 1:

Human hypothalamus tissue lysate at 20 µg

Lane 2:

Human liver tissue lysate at 40 µg

Secondary

All lanes:

Goat Anti-Rabbit IgG (HRP) with minimal cross-reactivity with human IgG at 1/2000 dilution

Predicted band size: 94 kDa

Observed band size: 100 kDa,145 kDa

false

Western blot - Anti-TrkC antibody [EPR22959-40] (AB240651)
  • WB

Lab

Western blot - Anti-TrkC antibody [EPR22959-40] (AB240651)

Blocking and diluting buffer and concentration : 5% NFDM/TBST

The observed MW are consistent with what has been described in the literature (PMID : 17828769).

Negative control : liver (PMID : 7823156).

Exposure time : 37 seconds

All lanes:

Western blot - Anti-TrkC antibody [EPR22959-40] (ab240651) at 1/1000 dilution

Lane 1:

Mouse brain tissue lysate at 20 µg

Lane 2:

Mouse liver tissue lysate at 40 µg

Lane 3:

Rat brain tissue lysate at 20 µg

Lane 4:

Rat liver tissue lysate at 40 µg

Secondary

All lanes:

Western blot - Goat Anti-Rabbit IgG H&L (HRP) (<a href='/products/secondary-antibodies/goat-rabbit-igg-h-l-hrp-ab97051'>ab97051</a>) at 1/100000 dilution

Predicted band size: 94 kDa

Observed band size: 100 kDa,145 kDa

false

Western blot - Anti-TrkC antibody [EPR22959-40] (AB240651)
  • WB

Lab

Western blot - Anti-TrkC antibody [EPR22959-40] (AB240651)

Blocking and diluting buffer and concentration : 5% NFDM/TBST

The observed MW are consistent with what has been described in the literature (PMID : 17828769).

Exposure time : 37 seconds

All lanes:

Western blot - Anti-TrkC antibody [EPR22959-40] (ab240651) at 1/1000 dilution

Lane 1:

Mouse cerebellum tissue lysate at 20 µg

Lane 2:

Rat cerebellum tissue lysate at 20 µg

Secondary

All lanes:

Western blot - Goat Anti-Rabbit IgG H&L (HRP) (<a href='/products/secondary-antibodies/goat-rabbit-igg-h-l-hrp-ab97051'>ab97051</a>) at 1/100000 dilution

Predicted band size: 94 kDa

Observed band size: 100 kDa,145 kDa

false

Western blot - Anti-TrkC antibody [EPR22959-40] (AB240651)
  • WB

Lab

Western blot - Anti-TrkC antibody [EPR22959-40] (AB240651)

Blocking and diluting buffer and concentration : 5% NFDM/TBST

This antibody does not cross-react with human TrkA and TrkB.

Exposure time : 5.5 seconds

All lanes:

Western blot - Anti-TrkC antibody [EPR22959-40] (ab240651) at 1/1000 dilution

Lane 1:

293T (human embryonic kidney) transfected with an empty vector (vector control) containing a myc-His-tag®, whole cell lysate at 20 µg

Lane 2:

293T transfected with human TrkC expression vector containing a myc-His-tag®, whole cell lysate at 20 µg

Lane 3:

293T transfected with human TrkA expression vector containing a myc-His-tag®, whole cell lysate at 20 µg

Lane 4:

293T transfected with human TrkB expression vector containing a myc-His-tag®, whole cell lysate at 20 µg

Secondary

All lanes:

Western blot - Goat Anti-Rabbit IgG H&L (HRP) (<a href='/products/secondary-antibodies/goat-rabbit-igg-h-l-hrp-ab97051'>ab97051</a>) at 1/100000 dilution

Predicted band size: 94 kDa

Observed band size: 145 kDa

false

不同偶联物与剂型 (1)

  • Carrier free

    Anti-TrkC antibody [EPR22959-40] - BSA and Azide free

关键信息

宿主种属

Rabbit

克隆

Monoclonal

克隆号

EPR22959-40

亚型

IgG

不含载体蛋白

No

反应种属

Mouse, Human, Rat

应用

WB, IHC-P, IP

applications

免疫原

The exact immunogen used to generate this antibody is proprietary information.

反应性数据

{ "title": "Reactivity Data", "filters": { "stats": ["", "Species", "Dilution Info", "Notes"], "tabs": { "all-applications": {"fullname" : "All Applications", "shortname": "All Applications"}, "ICCIF" : {"fullname" : "Immunocytochemistry/ Immunofluorescence", "shortname":"ICC/IF"}, "IP" : {"fullname" : "Immunoprecipitation", "shortname":"IP"}, "FlowCyt" : {"fullname" : "Flow Cytometry", "shortname":"Flow Cyt"}, "WB" : {"fullname" : "Western blot", "shortname":"WB"}, "IHCP" : {"fullname" : "Immunohistochemistry (Formalin/PFA-fixed paraffin-embedded sections)", "shortname":"IHC-P"}, "IHCFr" : {"fullname" : "Immunohistochemistry (Frozen sections)", "shortname":"IHC-Fr"}, "FlowCytIntra" : {"fullname" : "Flow Cytometry (Intracellular)", "shortname":"Flow Cyt (Intra)"} }, "product-promise": { "all": "all", "testedAndGuaranteed": "tested", "guaranteed": "expected", "predicted": "predicted", "notRecommended": "not-recommended" } }, "values": { "Human": { "ICCIF-species-checked": "notRecommended", "ICCIF-species-dilution-info": "", "ICCIF-species-notes": "<p></p>", "IP-species-checked": "notRecommended", "IP-species-dilution-info": "1/30", "IP-species-notes": "<p></p>", "FlowCyt-species-checked": "notRecommended", "FlowCyt-species-dilution-info": "", "FlowCyt-species-notes": "", "WB-species-checked": "testedAndGuaranteed", "WB-species-dilution-info": "1/1000", "WB-species-notes": "<p></p>", "IHCP-species-checked": "testedAndGuaranteed", "IHCP-species-dilution-info": "1/200", "IHCP-species-notes": "<p></p> Perform heat-mediated antigen retrieval with Tris/EDTA buffer pH 9.0 before commencing with IHC staining protocol.", "IHCFr-species-checked": "notRecommended", "IHCFr-species-dilution-info": "", "IHCFr-species-notes": "", "FlowCytIntra-species-checked": "notRecommended", "FlowCytIntra-species-dilution-info": "", "FlowCytIntra-species-notes": "<p></p>" }, "Mouse": { "ICCIF-species-checked": "notRecommended", "ICCIF-species-dilution-info": "", "ICCIF-species-notes": "<p></p>", "IP-species-checked": "testedAndGuaranteed", "IP-species-dilution-info": "1/30", "IP-species-notes": "<p></p>", "FlowCyt-species-checked": "notRecommended", "FlowCyt-species-dilution-info": "", "FlowCyt-species-notes": "<p></p>", "WB-species-checked": "testedAndGuaranteed", "WB-species-dilution-info": "1/1000", "WB-species-notes": "<p></p>", "IHCP-species-checked": "testedAndGuaranteed", "IHCP-species-dilution-info": "1/200", "IHCP-species-notes": "<p></p> Perform heat-mediated antigen retrieval with Tris/EDTA buffer pH 9.0 before commencing with IHC staining protocol.", "IHCFr-species-checked": "notRecommended", "IHCFr-species-dilution-info": "", "IHCFr-species-notes": "<p></p>", "FlowCytIntra-species-checked": "notRecommended", "FlowCytIntra-species-dilution-info": "", "FlowCytIntra-species-notes": "<p></p>" }, "Rat": { "ICCIF-species-checked": "notRecommended", "ICCIF-species-dilution-info": "", "ICCIF-species-notes": "", "IP-species-checked": "testedAndGuaranteed", "IP-species-dilution-info": "1/30", "IP-species-notes": "<p></p>", "FlowCyt-species-checked": "notRecommended", "FlowCyt-species-dilution-info": "", "FlowCyt-species-notes": "<p></p>", "WB-species-checked": "testedAndGuaranteed", "WB-species-dilution-info": "1/1000", "WB-species-notes": "<p></p>", "IHCP-species-checked": "testedAndGuaranteed", "IHCP-species-dilution-info": "1/200", "IHCP-species-notes": "<p></p> Perform heat-mediated antigen retrieval with Tris/EDTA buffer pH 9.0 before commencing with IHC staining protocol.", "IHCFr-species-checked": "notRecommended", "IHCFr-species-dilution-info": "", "IHCFr-species-notes": "<p></p>", "FlowCytIntra-species-checked": "notRecommended", "FlowCytIntra-species-dilution-info": "", "FlowCytIntra-species-notes": "<p></p>" }, "Transfected cell lysate - Human": { "ICCIF-species-checked": "notRecommended", "ICCIF-species-dilution-info": "", "ICCIF-species-notes": "", "IP-species-checked": "notRecommended", "IP-species-dilution-info": "", "IP-species-notes": "", "FlowCyt-species-checked": "notRecommended", "FlowCyt-species-dilution-info": "", "FlowCyt-species-notes": "", "WB-species-checked": "testedAndGuaranteed", "WB-species-dilution-info": "1/1000", "WB-species-notes": "<p></p>", "IHCP-species-checked": "notRecommended", "IHCP-species-dilution-info": "", "IHCP-species-notes": "", "IHCFr-species-checked": "notRecommended", "IHCFr-species-dilution-info": "", "IHCFr-species-notes": "", "FlowCytIntra-species-checked": "notRecommended", "FlowCytIntra-species-dilution-info": "", "FlowCytIntra-species-notes": "" } } }

产品详情

Patented technology
Our RabMAb® technology is a patented hybridoma-based technology for making rabbit monoclonal antibodies. For details on our patents, please refer to RabMAb® patents.

What are the advantages of a recombinant monoclonal antibody?
This product is a recombinant monoclonal antibody, which offers several advantages including:

  • - High batch-to-batch consistency and reproducibility
  • - Improved sensitivity and specificity
  • - Long-term security of supply
  • - Animal-free batch production

For more information, read more on recombinant antibodies.

性能和储存信息

形式
Liquid
纯化工艺
Affinity purification Protein A
存储溶液
pH: 7.2 - 7.4 Preservative: 0.01% Sodium azide Constituents: PBS, 40% Glycerol (glycerin, glycerine), 0.05% BSA
运输条件
Blue Ice
推荐的短期储存时间
1-2 weeks
推荐的短期储存条件
+4°C
推荐的长期储存条件
-20°C
分装信息
Upon delivery aliquot
储存信息
Avoid freeze / thaw cycle

补充信息

This supplementary information is collated from multiple sources and compiled automatically.

TrkC also known as neurotrophic receptor tyrosine kinase 3 (NTRK3) is a receptor protein encoded by the NTRK3 gene. It weighs approximately 85 kDa and is expressed in the central and peripheral nervous systems as well as in several non-neuronal tissues. TrkC is a member of the TRK family of tyrosine kinase receptors which includes TrkA and TrkB. As a receptor TrkC binds to neurotrophin-3 (NT-3) to initiate signal transduction processes.
Biological function summary

TrkC is critical for neuronal development and function. It is part of a signaling complex that mediates the effects of the neurotrophin-3 involved in the survival differentiation and maintenance of various neuron populations. TrkC activation leads to the phosphorylation of the receptor and downstream signaling molecules impacting cellular outcomes. It has important roles in nervous system development and in processes such as synaptic plasticity and memory formation.

Pathways

TrkC participates in neurotrophin signaling and MAPK pathways. These pathways regulate important cellular activities like growth survival and differentiation. In the context of neurotrophin signaling related proteins such as TrkA and TrkB share similar pathway components influencing similar biological processes. TrkC plays a pivotal role in modulating pathway-related cellular responses and integrating signals from NT-3 to execute proper neuronal functioning.

TrkC links to various neurological conditions including neurodevelopmental and mood disorders. Dysregulation or mutations in TrkC can lead to diseases such as medulloblastoma and congenital insensitivity to pain with anhidrosis (CIPA). The connection to NT-3 is significant in these conditions as disrupted TrkC/NT-3 signaling affects neuronal survival and development contributing to disease pathogenesis. The targeting of TrkC-related pathways holds potential for therapeutic interventions targeting these disorders.

产品实验方案

For this product, it's our understanding that no specific protocols are required. You can visit:

靶点信息

Receptor tyrosine kinase involved in nervous system and probably heart development. Upon binding of its ligand NTF3/neurotrophin-3, NTRK3 autophosphorylates and activates different signaling pathways, including the phosphatidylinositol 3-kinase/AKT and the MAPK pathways, that control cell survival and differentiation.
See full target information NTRK3

文献 (1)

Recent publications for all applications. Explore the full list and refine your search

Materials today. Bio 33:101957 PubMed40575657

2025

Silk fibroin hydrogel with recombinant silk fibroin/NT3 protein enhances wound healing by promoting type III collagen synthesis and hair follicle regeneration in skin injury.

Applications

Unspecified application

Species

Unspecified reactive species

Yingying Yan,Mingxuan Li,Longyu Guo,Wenxue Zhang,Ronghua Wu,Tuchen Guan,Jue Ling,Yumin Yang,Mei Liu,Xiaosong Gu,Yan Liu
View all publications

Abcam Product Promise

我们致力于为您的研究提供高质量的试剂,为您科研的每一步提供支持。若我们的产品未能达到预期性能,我们向您提供 Abcam Product Promise 保障。
详情请参阅我们的条款与条件。

Please note: All products are 'FOR RESEARCH USE ONLY. NOT FOR USE IN DIAGNOSTIC OR THERAPEUTIC PROCEDURES'.

For licensing inquiries, please contact partnerships@abcam.com