JavaScript is disabled in your browser. Please enable JavaScript to view this website.
AB119779

Anti-Tristetraprolin/TTP抗体[OTI1A2]

Anti-Tristetraprolin/TTP antibody [OTI1A2]

Be the first to review this product! Submit a review

|

(3 Publications)

Mouse Monoclonal Tristetraprolin/TTP antibody. Suitable for IHC-P, WB, Flow Cyt (Intra) and reacts with Human, Mouse, Dog samples. Cited in 3 publications. Immunogen corresponding to Recombinant Full Length Protein corresponding to Human ZFP36.

查看别名

G0S24, NUP475, RNF162A, TIS11A, TTP, ZFP36, mRNA decay activator protein ZFP36, G0/G1 switch regulatory protein 24, Growth factor-inducible nuclear protein NUP475, Tristetraprolin, Zinc finger protein 36, Zfp-36

12 Images
Immunohistochemistry (Formalin/PFA-fixed paraffin-embedded sections) - Anti-Tristetraprolin/TTP antibody [OTI1A2] (AB119779)
  • IHC-P

Unknown

Immunohistochemistry (Formalin/PFA-fixed paraffin-embedded sections) - Anti-Tristetraprolin/TTP antibody [OTI1A2] (AB119779)

Paraffin-embedded human endometrium adenocarcinoma tissue stained for Tristetraprolin/TTP using ab119779 at 1/150 dilution in immunohistochemical analysis.

Immunohistochemistry (Formalin/PFA-fixed paraffin-embedded sections) - Anti-Tristetraprolin/TTP antibody [OTI1A2] (AB119779)
  • IHC-P

Unknown

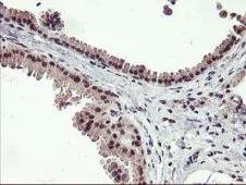
Immunohistochemistry (Formalin/PFA-fixed paraffin-embedded sections) - Anti-Tristetraprolin/TTP antibody [OTI1A2] (AB119779)

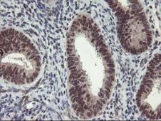
Paraffin-embedded human endometrium tissue stained for Tristetraprolin/TTP using ab119779 at 1/150 dilution in immunohistochemical analysis.

Immunohistochemistry (Formalin/PFA-fixed paraffin-embedded sections) - Anti-Tristetraprolin/TTP antibody [OTI1A2] (AB119779)
  • IHC-P

Unknown

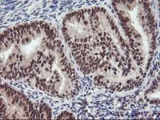
Immunohistochemistry (Formalin/PFA-fixed paraffin-embedded sections) - Anti-Tristetraprolin/TTP antibody [OTI1A2] (AB119779)

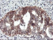
Paraffin-embedded human bladder carcinoma tissue stained for Tristetraprolin/TTP using ab119779 at 1/150 dilution in immunohistochemical analysis.

Immunohistochemistry (Formalin/PFA-fixed paraffin-embedded sections) - Anti-Tristetraprolin/TTP antibody [OTI1A2] (AB119779)
  • IHC-P

Unknown

Immunohistochemistry (Formalin/PFA-fixed paraffin-embedded sections) - Anti-Tristetraprolin/TTP antibody [OTI1A2] (AB119779)

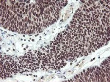
Paraffin-embedded human tonsil tissue stained for Tristetraprolin/TTP using ab119779 at 1/150 dilution in immunohistochemical analysis.

Flow Cytometry (Intracellular) - Anti-Tristetraprolin/TTP antibody [OTI1A2] (AB119779)
  • Flow Cyt (Intra)

Unknown

Flow Cytometry (Intracellular) - Anti-Tristetraprolin/TTP antibody [OTI1A2] (AB119779)

Flow cytometric analysis of Jurkat (human T cell leukemia cell line from peripheral blood) cell line labeling Tristetraprolin/TTP with ab119779 at 1/100 dilution (red) compared to a nonspecific negative control antibody (blue).

Immunohistochemistry (Formalin/PFA-fixed paraffin-embedded sections) - Anti-Tristetraprolin/TTP antibody [OTI1A2] (AB119779)
  • IHC-P

Unknown

Immunohistochemistry (Formalin/PFA-fixed paraffin-embedded sections) - Anti-Tristetraprolin/TTP antibody [OTI1A2] (AB119779)

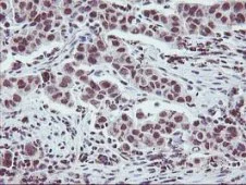
Paraffin-embedded human breast tissue stained for Tristetraprolin/TTP using ab119779 at 1/150 dilution in immunohistochemical analysis.

Immunohistochemistry (Formalin/PFA-fixed paraffin-embedded sections) - Anti-Tristetraprolin/TTP antibody [OTI1A2] (AB119779)
  • IHC-P

Unknown

Immunohistochemistry (Formalin/PFA-fixed paraffin-embedded sections) - Anti-Tristetraprolin/TTP antibody [OTI1A2] (AB119779)

Paraffin-embedded human pancreas carcinoma tissue stained for Tristetraprolin/TTP using ab119779 at 1/150 dilution in immunohistochemical analysis.

Flow Cytometry (Intracellular) - Anti-Tristetraprolin/TTP antibody [OTI1A2] (AB119779)
  • Flow Cyt (Intra)

Unknown

Flow Cytometry (Intracellular) - Anti-Tristetraprolin/TTP antibody [OTI1A2] (AB119779)

Flow cytometric analysis of HeLa (human epithelial cell line from cervix adenocarcinoma) cell line labeling Tristetraprolin/TTP with ab119779 at 1/100 dilution (red) compared to a nonspecific negative control antibody (blue).

Western blot - Anti-Tristetraprolin/TTP antibody [OTI1A2] (AB119779)
  • WB

Supplier Data

Western blot - Anti-Tristetraprolin/TTP antibody [OTI1A2] (AB119779)

All lanes:

Western blot - Anti-Tristetraprolin/TTP antibody [OTI1A2] (ab119779) at 1/200 dilution

Lane 1:

SVT2 cell extract at 10 µg

Lane 2:

A549 (human lung carcinoma cell line) cell extract at 10 µg

Lane 3:

MDCK (canine kidney cell line) cell extract at 10 µg

Predicted band size: 34 kDa

false

Immunohistochemistry (Formalin/PFA-fixed paraffin-embedded sections) - Anti-Tristetraprolin/TTP antibody [OTI1A2] (AB119779)
  • IHC-P

Unknown

Immunohistochemistry (Formalin/PFA-fixed paraffin-embedded sections) - Anti-Tristetraprolin/TTP antibody [OTI1A2] (AB119779)

Paraffin-embedded human lung carcinoma tissue stained for Tristetraprolin/TTP using ab119779 at 1/150 dilution in immunohistochemical analysis.

Western blot - Anti-Tristetraprolin/TTP antibody [OTI1A2] (AB119779)
  • WB

Unknown

Western blot - Anti-Tristetraprolin/TTP antibody [OTI1A2] (AB119779)

All lanes:

Western blot - Anti-Tristetraprolin/TTP antibody [OTI1A2] (ab119779) at 1/2000 dilution

Lane 1:

HEK-293T (human epithelial cell line from embryonic kidney transformed with large T antigen) cell lysate transfected with pCMV6-ENTRY control cDNA at 5 µg

Lane 2:

HEK-293T cell lysate transfected with pCMV6-ENTRY Tristetraprolin/TTP cDNA at 5 µg

Predicted band size: 34 kDa

false

Western blot - Anti-Tristetraprolin/TTP antibody [OTI1A2] (AB119779)
  • WB

Supplier Data

Western blot - Anti-Tristetraprolin/TTP antibody [OTI1A2] (AB119779)

All lanes:

Western blot - Anti-Tristetraprolin/TTP antibody [OTI1A2] (ab119779) at 1/200 dilution

All lanes:

Mouse liver extract at 10 µg

Predicted band size: 34 kDa

false

关键信息

宿主种属

Mouse

克隆

Monoclonal

克隆号

OTI1A2

亚型

IgG2a

不含载体蛋白

No

反应种属

Mouse, Dog, Human

应用

WB, Flow Cyt (Intra), IHC-P

applications

免疫原

Recombinant Full Length Protein corresponding to Human ZFP36.

P26651

反应性数据

{ "title": "Reactivity Data", "filters": { "stats": ["", "Species", "Dilution Info", "Notes"], "tabs": { "all-applications": {"fullname" : "All Applications", "shortname": "All Applications"}, "IHCP" : {"fullname" : "Immunohistochemistry (Formalin/PFA-fixed paraffin-embedded sections)", "shortname":"IHC-P"}, "WB" : {"fullname" : "Western blot", "shortname":"WB"}, "FlowCytIntra" : {"fullname" : "Flow Cytometry (Intracellular)", "shortname":"Flow Cyt (Intra)"} }, "product-promise": { "all": "all", "testedAndGuaranteed": "tested", "guaranteed": "expected", "predicted": "predicted", "notRecommended": "not-recommended" } }, "values": { "Human": { "IHCP-species-checked": "testedAndGuaranteed", "IHCP-species-dilution-info": "1/150", "IHCP-species-notes": "<p></p>", "WB-species-checked": "testedAndGuaranteed", "WB-species-dilution-info": "1/2000", "WB-species-notes": "<p></p>", "FlowCytIntra-species-checked": "testedAndGuaranteed", "FlowCytIntra-species-dilution-info": "1/100", "FlowCytIntra-species-notes": "<p></p>" }, "Mouse": { "IHCP-species-checked": "guaranteed", "IHCP-species-dilution-info": "", "IHCP-species-notes": "", "WB-species-checked": "testedAndGuaranteed", "WB-species-dilution-info": "1/2000", "WB-species-notes": "<p></p>", "FlowCytIntra-species-checked": "testedAndGuaranteed", "FlowCytIntra-species-dilution-info": "1/100", "FlowCytIntra-species-notes": "<p></p>" }, "Dog": { "IHCP-species-checked": "guaranteed", "IHCP-species-dilution-info": "", "IHCP-species-notes": "", "WB-species-checked": "testedAndGuaranteed", "WB-species-dilution-info": "1/2000", "WB-species-notes": "<p></p>", "FlowCytIntra-species-checked": "guaranteed", "FlowCytIntra-species-dilution-info": "", "FlowCytIntra-species-notes": "" } } }

产品详情

Clone OTI1A2 (formerly 1A2).

性能和储存信息

形式
Liquid
纯化工艺
Affinity purification
纯化说明
Purified from cell culture supernatant by affinity chromatography.
存储溶液
pH: 7.3 Preservative: 0.02% Sodium azide Constituents: PBS, 50% Glycerol (glycerin, glycerine), 1% BSA
运输条件
Blue Ice
推荐的短期储存时间
1-2 weeks
推荐的短期储存条件
+4°C
推荐的长期储存条件
-20°C
分装信息
Upon delivery aliquot
储存信息
Avoid freeze / thaw cycle

补充信息

This supplementary information is collated from multiple sources and compiled automatically.

Tristetraprolin (TTP) also called ZFP36 is a protein that regulates mRNA stability and decay. It has a molecular mass of approximately 36 kDa. TTP usually resides in the cytoplasm and nucleus of a cell. Many types of tissues especially those involved in immune response express TTP. Researchers have identified TTP as part of a family of CCCH zinc-finger proteins which play key roles in mRNA turnover by binding to AU-rich elements in the 3' untranslated regions of target mRNAs.
Biological function summary

TTP controls the degradation of cytokine mRNAs such as TNF-alpha and GM-CSF by inducing deadenylation and subsequent decay. As part of mRNA degradation complexes TTP recruits enzymes that participate in the deadenylation process ensuring precise regulation of gene expression. This ability to selectively regulate mRNA levels helps balance the production of proteins important for inflammation immune responses and cell growth. Through these processes TTP maintains cellular homeostasis and modulates responses to environmental changes.

Pathways

TTP functions within the anti-inflammatory pathway by modulating cytokine levels and the NF-kappaB signaling pathway which are important for cellular stress responses and immune regulation. It affects these pathways by interacting with several proteins including 14-3-3 that regulate its activity and localization. Another key interaction is with deadenylase complexes like CAF1 which are integral in carrying out mRNA decay. These interactions allow TTP to effectively manage inflammatory responses reinforcing its regulatory role in immune system pathways.

Altered TTP expression or function links to autoimmune diseases and certain cancers. In autoimmune conditions like rheumatoid arthritis reduced TTP levels are associated with an overproduction of inflammatory cytokines. This imbalance leads to chronic inflammation and tissue damage. In cancers especially breast cancer TTP downregulation can contribute to tumor progression by allowing increased expression of mRNAs involved in cell proliferation and survival. Other proteins such as TNF-alpha and IL-6 have been observed to interact closely with TTP in these disease contexts.

产品实验方案

For this product, it's our understanding that no specific protocols are required. You can visit:

靶点信息

Zinc-finger RNA-binding protein that destabilizes several cytoplasmic AU-rich element (ARE)-containing mRNA transcripts by promoting their poly(A) tail removal or deadenylation, and hence provide a mechanism for attenuating protein synthesis (PubMed : 10330172, PubMed : 10751406, PubMed : 11279239, PubMed : 12115244, PubMed : 12748283, PubMed : 15187101, PubMed : 15634918, PubMed : 16702957, PubMed : 17030620, PubMed : 20221403, PubMed : 20702587, PubMed : 21775632, PubMed : 23644599, PubMed : 25815583, PubMed : 27193233, PubMed : 31439631, PubMed : 9703499). Acts as an 3'-untranslated region (UTR) ARE mRNA-binding adapter protein to communicate signaling events to the mRNA decay machinery (PubMed : 15687258, PubMed : 23644599). Recruits deadenylase CNOT7 (and probably the CCR4-NOT complex) via association with CNOT1, and hence promotes ARE-mediated mRNA deadenylation (PubMed : 23644599). Functions also by recruiting components of the cytoplasmic RNA decay machinery to the bound ARE-containing mRNAs (PubMed : 11719186, PubMed : 12748283, PubMed : 15687258, PubMed : 16364915). Self regulates by destabilizing its own mRNA (PubMed : 15187101). Binds to 3'-UTR ARE of numerous mRNAs and of its own mRNA (PubMed : 10330172, PubMed : 10751406, PubMed : 12115244, PubMed : 15187101, PubMed : 15634918, PubMed : 16702957, PubMed : 17030620, PubMed : 19188452, PubMed : 20221403, PubMed : 20702587, PubMed : 21775632, PubMed : 25815583). Plays a role in anti-inflammatory responses; suppresses tumor necrosis factor (TNF)-alpha production by stimulating ARE-mediated TNF-alpha mRNA decay and several other inflammatory ARE-containing mRNAs in interferon (IFN)- and/or lipopolysaccharide (LPS)-induced macrophages (By similarity). Also plays a role in the regulation of dendritic cell maturation at the post-transcriptional level, and hence operates as part of a negative feedback loop to limit the inflammatory response (PubMed : 18367721). Promotes ARE-mediated mRNA decay of hypoxia-inducible factor HIF1A mRNA during the response of endothelial cells to hypoxia (PubMed : 21775632). Positively regulates early adipogenesis of preadipocytes by promoting ARE-mediated mRNA decay of immediate early genes (IEGs) (By similarity). Negatively regulates hematopoietic/erythroid cell differentiation by promoting ARE-mediated mRNA decay of the transcription factor STAT5B mRNA (PubMed : 20702587). Plays a role in maintaining skeletal muscle satellite cell quiescence by promoting ARE-mediated mRNA decay of the myogenic determination factor MYOD1 mRNA (By similarity). Associates also with and regulates the expression of non-ARE-containing target mRNAs at the post-transcriptional level, such as MHC class I mRNAs (PubMed : 18367721). Participates in association with argonaute RISC catalytic components in the ARE-mediated mRNA decay mechanism; assists microRNA (miRNA) targeting ARE-containing mRNAs (PubMed : 15766526). May also play a role in the regulation of cytoplasmic mRNA decapping; enhances decapping of ARE-containing RNAs, in vitro (PubMed : 16364915). Involved in the delivery of target ARE-mRNAs to processing bodies (PBs) (PubMed : 17369404). In addition to its cytosolic mRNA-decay function, affects nuclear pre-mRNA processing (By similarity). Negatively regulates nuclear poly(A)-binding protein PABPN1-stimulated polyadenylation activity on ARE-containing pre-mRNA during LPS-stimulated macrophages (By similarity). Also involved in the regulation of stress granule (SG) and P-body (PB) formation and fusion (By similarity). Plays a role in the regulation of keratinocyte proliferation, differentiation and apoptosis (PubMed : 27182009). Plays a role as a tumor suppressor by inhibiting cell proliferation in breast cancer cells (PubMed : 26926077).. (Microbial infection) Negatively regulates HTLV-1 TAX-dependent transactivation of viral long terminal repeat (LTR) promoter.
See full target information ZFP36

文献 (3)

Recent publications for all applications. Explore the full list and refine your search

Cellular and molecular biology (Noisy-le-Grand, France) 70:99-105 PubMed39380272

2024

LncRNA PCBP1-AS1 suppresses cell growth in oral squamous cell carcinoma by targeting miR-34c-5p/ZFP36 axis.

Applications

Unspecified application

Species

Unspecified reactive species

Orkideh Shafiee Allaf,Wenhao Li,Chongmai Zeng,Peiru Li,Yating Zhang,Yue Xu,Baicheng Bao

Molecular and cellular biology 44:87-102 PubMed38520226

2024

LncRNA AA465934 Improves Podocyte Injury by Promoting Tristetraprolin-Mediated HMGB1 DownRegulation in Diabetic Nephropathy.

Applications

Unspecified application

Species

Unspecified reactive species

Nan Yang,Yue Zhang,Peiyao Ren,Li Zhao,Danna Zheng,Lanjun Fu,Juan Jin

Oncotarget 7:17737-50 PubMed26894969

2016

Low tristetraprolin expression promotes cell proliferation and predicts poor patients outcome in pancreatic cancer.

Applications

WB

Species

Unspecified reactive species

Zi-Ran Wei,Chao Liang,Dan Feng,Ya-Jun Cheng,Wei-Min Wang,De-Jun Yang,Yue-Xiang Wang,Qing-Ping Cai
View all publications

Abcam Product Promise

我们致力于为您的研究提供高质量的试剂,为您科研的每一步提供支持。若我们的产品未能达到预期性能,我们向您提供 Abcam Product Promise 保障。
详情请参阅我们的条款与条件。

Please note: All products are 'FOR RESEARCH USE ONLY. NOT FOR USE IN DIAGNOSTIC OR THERAPEUTIC PROCEDURES'.

For licensing inquiries, please contact partnerships@abcam.com