JavaScript is disabled in your browser. Please enable JavaScript to view this website.
AB196618

Anti-Triosephosphate isomerase抗体

Anti-Triosephosphate isomerase antibody

Be the first to review this product! Submit a review

|

(3 Publications)

Rabbit Polyclonal Triosephosphate isomerase antibody. Suitable for WB, IHC-P, ICC/IF and reacts with Human, Mouse samples. Cited in 3 publications. Immunogen corresponding to Recombinant Full Length Protein corresponding to Human TPI1.

查看别名

TPI, TPI1, Triosephosphate isomerase, TIM, Methylglyoxal synthase, Triose-phosphate isomerase

4 Images
Immunocytochemistry/ Immunofluorescence - Anti-Triosephosphate isomerase antibody (AB196618)
  • ICC/IF

Supplier Data

Immunocytochemistry/ Immunofluorescence - Anti-Triosephosphate isomerase antibody (AB196618)

Immunofluorescence analysis of HeLa cells, labeling Triosephosphate isomerase using ab196618 at a 1/50 dilution. Blue : DAPI for nuclear staining.

Immunohistochemistry (Formalin/PFA-fixed paraffin-embedded sections) - Anti-Triosephosphate isomerase antibody (AB196618)
  • IHC-P

Supplier Data

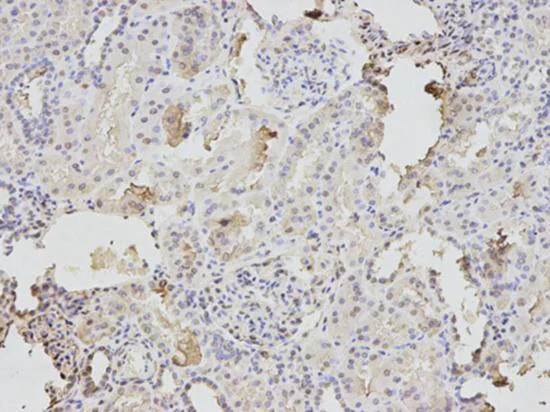
Immunohistochemistry (Formalin/PFA-fixed paraffin-embedded sections) - Anti-Triosephosphate isomerase antibody (AB196618)

Immunohistochemical analysis of paraffin-embedded Human kidney tissue labeling Triosephosphate isomerase using ab196618 at a 1/200 dilution

Immunohistochemistry (Formalin/PFA-fixed paraffin-embedded sections) - Anti-Triosephosphate isomerase antibody (AB196618)
  • IHC-P

Supplier Data

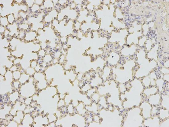
Immunohistochemistry (Formalin/PFA-fixed paraffin-embedded sections) - Anti-Triosephosphate isomerase antibody (AB196618)

Immunohistochemical analysis of paraffin-embedded mouse lung tissue labeling Triosephosphate isomerase using ab196618 at a 1/200 dilution.

Western blot - Anti-Triosephosphate isomerase antibody (AB196618)
  • WB

Supplier Data

Western blot - Anti-Triosephosphate isomerase antibody (AB196618)

All lanes:

Western blot - Anti-Triosephosphate isomerase antibody (ab196618) at 1/500 dilution

Lane 1:

22RV-1 cell lysate

Lane 2:

BT474 cell lysate

Lane 3:

HeLa cell lysate

Lane 4:

Jurkat cell lysate

Lane 5:

U251 cell lysate

Lane 6:

HepG2 cell lysate

Lane 7:

mouse kidney lysate

Lane 8:

mouse brain lysate

Lane 9:

mouse heart lysate

Predicted band size: 31 kDa

false

关键信息

宿主种属

Rabbit

克隆

Polyclonal

亚型

IgG

不含载体蛋白

No

反应种属

Mouse, Human

应用

ICC/IF, WB, IHC-P

applications

免疫原

Recombinant Full Length Protein corresponding to Human TPI1.

P60174

反应性数据

{ "title": "Reactivity Data", "filters": { "stats": ["", "Species", "Dilution Info", "Notes"], "tabs": { "all-applications": {"fullname" : "All Applications", "shortname": "All Applications"}, "WB" : {"fullname" : "Western blot", "shortname":"WB"}, "IHCP" : {"fullname" : "Immunohistochemistry (Formalin/PFA-fixed paraffin-embedded sections)", "shortname":"IHC-P"}, "ICCIF" : {"fullname" : "Immunocytochemistry/ Immunofluorescence", "shortname":"ICC/IF"} }, "product-promise": { "all": "all", "testedAndGuaranteed": "tested", "guaranteed": "expected", "predicted": "predicted", "notRecommended": "not-recommended" } }, "values": { "Human": { "WB-species-checked": "testedAndGuaranteed", "WB-species-dilution-info": "1/500 - 1/2000", "WB-species-notes": "<p></p>", "IHCP-species-checked": "testedAndGuaranteed", "IHCP-species-dilution-info": "1/50 - 1/200", "IHCP-species-notes": "<p></p>", "ICCIF-species-checked": "testedAndGuaranteed", "ICCIF-species-dilution-info": "1/50 - 1/200", "ICCIF-species-notes": "<p></p>" }, "Mouse": { "WB-species-checked": "guaranteed", "WB-species-dilution-info": "", "WB-species-notes": "", "IHCP-species-checked": "testedAndGuaranteed", "IHCP-species-dilution-info": "1/50 - 1/200", "IHCP-species-notes": "<p></p>", "ICCIF-species-checked": "guaranteed", "ICCIF-species-dilution-info": "", "ICCIF-species-notes": "" }, "Rat": { "WB-species-checked": "predicted", "WB-species-dilution-info": "", "WB-species-notes": "", "IHCP-species-checked": "predicted", "IHCP-species-dilution-info": "", "IHCP-species-notes": "", "ICCIF-species-checked": "predicted", "ICCIF-species-dilution-info": "", "ICCIF-species-notes": "" } } }

性能和储存信息

形式
Liquid
纯化工艺
Affinity purification Immunogen
存储溶液
pH: 7.4 Preservative: 0.02% Sodium azide Constituents: PBS, 50% Glycerol (glycerin, glycerine), 0.87% Sodium chloride
运输条件
Blue Ice
推荐的短期储存时间
1-2 weeks
推荐的短期储存条件
+4°C
推荐的长期储存条件
-20°C
分装信息
Upon delivery aliquot
储存信息
Avoid freeze / thaw cycle

补充信息

This supplementary information is collated from multiple sources and compiled automatically.

Triosephosphate isomerase also known as TPI is an enzyme that plays an important role in glycolysis and gluconeogenesis by catalyzing the reversible isomerization of dihydroxyacetone phosphate (DHAP) to glyceraldehyde 3-phosphate (G3P). It has a molecular mass of approximately 27 kDa. This enzyme is widely expressed in many tissues with high presence in red blood cells muscle and brain tissues due to their high energy demands. As a dimer enzyme it exhibits significant catalytic efficiency that supports cellular energy management.
Biological function summary

The enzyme facilitates the efficient production of ATP by maintaining balance between DHAP and G3P vital for energy-metabolizing cells. Triosephosphate isomerase is not part of a larger complex itself but it significantly interacts with other enzymes in the glycolytic pathway. This interaction supports cellular respiration by ensuring a steady supply of intermediates needed for downstream processes.

Pathways

Triosephosphate isomerase is central to glycolysis and gluconeogenesis pathways. In glycolysis it works in tandem with other enzymes such as hexokinase and phosphofructokinase to breakdown glucose into pyruvate yielding ATP and NADH. It provides a critical link between glycolysis and energy production processes impacting the cellular metabolism and biochemical energy cycles. The enzyme also contributes to gluconeogenesis where it helps synthesize glucose from non-carbohydrate sources ensuring energy supply during fasting.

Mutations or deficiencies in triosephosphate isomerase can lead to conditions such as triosephosphate isomerase deficiency a rare autosomal recessive disorder characterized by progressive neurological dysfunction hemolytic anemia and muscle weakness. This deficiency arises from dysfunctional or unstable isomerase activity leading to an accumulation of DHAP. Additionally research has shown links between this enzyme and Alzheimer's disease where altered glucose metabolism is a common feature. Abnormal triosephosphate isomerase activity may interact with amyloid precursor protein processing in the disease pathology.

产品实验方案

For this product, it's our understanding that no specific protocols are required. You can visit:

靶点信息

Triosephosphate isomerase is an extremely efficient metabolic enzyme that catalyzes the interconversion between dihydroxyacetone phosphate (DHAP) and D-glyceraldehyde-3-phosphate (G3P) in glycolysis and gluconeogenesis.. It is also responsible for the non-negligible production of methylglyoxal a reactive cytotoxic side-product that modifies and can alter proteins, DNA and lipids.
See full target information TPI1

文献 (3)

Recent publications for all applications. Explore the full list and refine your search

International journal of molecular sciences 25: PubMed39456698

2024

Role of IL3RA in a Family with Lumbar Spinal Stenosis.

Applications

Unspecified application

Species

Unspecified reactive species

Kai-Ming Liu,Chi-Fan Yang,Weng-Siong H'ng,Hui-Ping Chuang,Eunice Han Xian Khor,Pei-Chun Tsai,Vivia Khosasih,Liang-Suei Lu,Erh-Chan Yeh,Wan-Jia Lin,Feng-Jen Hsieh,Chien-Hsiun Chen,Shiuh-Lin Hwang,Jer-Yuarn Wu

Journal of cellular and molecular medicine 27:1664-1681 PubMed37132040

2023

Lyn-mediated glycolysis enhancement of microglia contributes to neuropathic pain through facilitating IRF5 nuclear translocation in spinal dorsal horn.

Applications

Unspecified application

Species

Unspecified reactive species

Erliang Kong,Yongchang Li,Peng Ma,Yixuan Zhang,Ruifeng Ding,Tong Hua,Mei Yang,Hongbin Yuan

Stem cells international 2022:4363632 PubMed35069747

2022

Schwann Cells Accelerate Osteogenesis via the Mif/CD74/FOXO1 Signaling Pathway In Vitro.

Applications

Unspecified application

Species

Unspecified reactive species

Jun-Qin Li,Hui-Jie Jiang,Xiu-Yun Su,Li Feng,Na-Zhi Zhan,Shan-Shan Li,Zi-Jie Chen,Bo-Han Chang,Peng-Zhen Cheng,Liu Yang,Guo-Xian Pei
View all publications

Abcam Product Promise

我们致力于为您的研究提供高质量的试剂,为您科研的每一步提供支持。若我们的产品未能达到预期性能,我们向您提供 Abcam Product Promise 保障。
详情请参阅我们的条款与条件。

Please note: All products are 'FOR RESEARCH USE ONLY. NOT FOR USE IN DIAGNOSTIC OR THERAPEUTIC PROCEDURES'.

For licensing inquiries, please contact partnerships@abcam.com