JavaScript is disabled in your browser. Please enable JavaScript to view this website.
AB307968

重组Anti-TRIM46抗体[EPR26957-34] - BSA and Azide free

Anti-TRIM46 antibody [EPR26957-34] - BSA and Azide free

  • BOND RX™ Validated
  • Recombinant
  • Advanced Validation
  • RabMAb
  • 了解详情

Be the first to review this product! Submit a review

|

(0 Publication)

Rabbit Recombinant Monoclonal TRIM46 antibody. Carrier free. Suitable for mIHC, WB, IHC-P, Flow Cyt (Intra), IHC-Fr, ICC/IF and reacts with Rat, Mouse, Human samples.

查看别名

TRIFIC, TRIM46, Tripartite motif-containing protein 46, Gene Y protein, GeneY

25 Images
Immunohistochemistry (Formalin/PFA-fixed paraffin-embedded sections) - Anti-TRIM46 antibody [EPR26957-34] - BSA and Azide free (AB307968)
  • IHC-P

Supplier Data

Immunohistochemistry (Formalin/PFA-fixed paraffin-embedded sections) - Anti-TRIM46 antibody [EPR26957-34] - BSA and Azide free (AB307968)

This data was developed using ab307967, the same antibody clone in a different buffer formulation. Immunohistochemical analysis of paraffin-embedded human cerebrum tissue labeling TRIM46 with ab307967 at 1/2000 dilution (0.256 µg/ml) followed by ready to use LeicaDS9800 (Bond ™ Polymer Refine Detection). Positive staining on the axons of human cerebrum. The section was incubated with ab307967 for 30 mins at room temperature. The immunostaining was performed on a Leica Biosystems BOND® RX instrument. Counterstained with Hematoxylin. Secondary antibody only control : Secondary antibody is ready to use LeicaDS9800 (Bond ™Polymer Refine Detection). Heat mediated antigen retrieval was performed with Tris-EDTA buffer (pH 9.0, Epitope Retrieval Solution2) for 20 mins.

Flow Cytometry (Intracellular) - Anti-TRIM46 antibody [EPR26957-34] - BSA and Azide free (AB307968)
  • Flow Cyt (Intra)

Supplier Data

Flow Cytometry (Intracellular) - Anti-TRIM46 antibody [EPR26957-34] - BSA and Azide free (AB307968)

This data was developed using ab307967, the same antibody clone in a different buffer formulation. Flow cytometric analysis of 4% paraformaldehyde-fixed 90% methanol-permeabilized SH-SY5Y (human neuroblastoma epithelial cell) cells labeling TRIM46 with ab307967 at 1/500 dilution (0.1 µg) (Red) compared with a Rabbit monoclonal IgG isotype control (ab172730) (Black) and an unlabeled control (cells without incubation with primary antibody and secondary antibody) (Blue). A Goat Anti-Rabbit IgG (Alexa Fluor® 488, ab150081) at 1/5000 dilution was used as the secondary antibody. Cells were stained with rabbit IgG or ab307967.

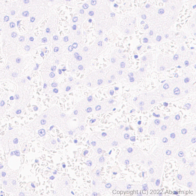
Immunohistochemistry (Formalin/PFA-fixed paraffin-embedded sections) - Anti-TRIM46 antibody [EPR26957-34] - BSA and Azide free (AB307968)
  • IHC-P

Supplier Data

Immunohistochemistry (Formalin/PFA-fixed paraffin-embedded sections) - Anti-TRIM46 antibody [EPR26957-34] - BSA and Azide free (AB307968)

This data was developed using ab307967, the same antibody clone in a different buffer formulation. Immunohistochemical analysis of paraffin-embedded human liver  tissue labeling TRIM46 with ab307967 at 1/2000 dilution (0.256 µg/ml) followed by ready to use LeicaDS9800 (Bond ™ Polymer Refine Detection). Negative control : No staining on human liver. The section was incubated with ab307967 for 30 mins at room temperature. The immunostaining was performed on a Leica Biosystems BOND® RX instrument. Counterstained with Hematoxylin. Secondary antibody only control : Secondary antibody is ready to use LeicaDS9800 (Bond ™Polymer Refine Detection). Heat mediated antigen retrieval was performed with Tris-EDTA buffer (pH 9.0, Epitope Retrieval Solution2) for 20 mins.

Immunohistochemistry (Frozen sections) - Anti-TRIM46 antibody [EPR26957-34] - BSA and Azide free (AB307968)
  • IHC-Fr

Supplier Data

Immunohistochemistry (Frozen sections) - Anti-TRIM46 antibody [EPR26957-34] - BSA and Azide free (AB307968)

This data was developed using ab307967, the same antibody clone in a different buffer formulation. Immunohistochemical analysis of 4% PFA-fixed, 0.2% Triton X-100 permeabilized frozen mouse heart (fresh) tissue labeling TRIM46 with ab307967 at 1/100 dilution (5.12 µg/ml) followed by ab150081 Goat Anti-Rabbit IgG H&L (Alexa Fluor® 488) preadsorbed at 1/1000 dilution (2 µg/mL) (Green). Low expression : confocal image showing no staining on mouse heart (PMID : 35440129). The nuclear counterstain was DAPI (Blue). The section was incubated with ab307967 for 60 mins at room temperature. The section was then mounted using Fluoromount®. The immunostaining was performed on a Leica Biosystems BOND® RX instrument. Image was taken with a confocal microscope (Leica-Microsystems, TCS SP8). Secondary antibody control : Secondary antibody is ab150081 Goat Anti-Rabbit IgG H&L (Alexa Fluor488) preadsorbed at 1/1000 dilution (2 µg/mL) dilution.

Immunohistochemistry (Frozen sections) - Anti-TRIM46 antibody [EPR26957-34] - BSA and Azide free (AB307968)
  • IHC-Fr

Supplier Data

Immunohistochemistry (Frozen sections) - Anti-TRIM46 antibody [EPR26957-34] - BSA and Azide free (AB307968)

This data was developed using ab307967, the same antibody clone in a different buffer formulation. Immunohistochemical analysis of 4% PFA-fixed, 0.2% Triton X-100 permeabilized frozen rat heart (fresh) tissue labeling TRIM46 with ab307967 at 1/100 dilution (5.12 µg/ml) followed by ab150081 Goat Anti-Rabbit IgG H&L (Alexa Fluor® 488) preadsorbed at 1/1000 dilution (2 µg/mL) (Green). Low expression : confocal image showing no staining on rat heart (PMID : 35440129). The nuclear counterstain was DAPI (Blue). The section was incubated with ab307967 for 60 mins at room temperature. The section was then mounted using Fluoromount®. The immunostaining was performed on a Leica Biosystems BOND® RX instrument. Image was taken with a confocal microscope (Leica-Microsystems, TCS SP8). Secondary antibody control : Secondary antibody is ab150081 Goat Anti-Rabbit IgG H&L (Alexa Fluor488) preadsorbed at 1/1000 dilution (2 µg/mL) dilution.

Immunohistochemistry (Frozen sections) - Anti-TRIM46 antibody [EPR26957-34] - BSA and Azide free (AB307968)
  • IHC-Fr

Supplier Data

Immunohistochemistry (Frozen sections) - Anti-TRIM46 antibody [EPR26957-34] - BSA and Azide free (AB307968)

This data was developed using ab307967, the same antibody clone in a different buffer formulation. Immunohistochemical analysis of 4% PFA-fixed, 0.2% Triton X-100 permeabilized frozen mouse liver (fresh) tissue labeling TRIM46 with ab307967 at 1/100 dilution (5.12 µg/ml) followed by ab150081 Goat Anti-Rabbit IgG H&L (Alexa Fluor® 488) preadsorbed at 1/1000 dilution (2 µg/mL) (Green). Low expression : confocal image showing no staining on mouse liver (PMID : 35440129). The nuclear counterstain was DAPI (Blue). The section was incubated with ab307967 for 60 mins at room temperature. The section was then mounted using Fluoromount®. The immunostaining was performed on a Leica Biosystems BOND® RX instrument. Image was taken with a confocal microscope (Leica-Microsystems, TCS SP8). Secondary antibody control : Secondary antibody is ab150081 Goat Anti-Rabbit IgG H&L (Alexa Fluor488) preadsorbed at 1/1000 dilution (2 µg/mL) dilution.

Immunocytochemistry/ Immunofluorescence - Anti-TRIM46 antibody [EPR26957-34] - BSA and Azide free (AB307968)
  • ICC/IF

Supplier Data

Immunocytochemistry/ Immunofluorescence - Anti-TRIM46 antibody [EPR26957-34] - BSA and Azide free (AB307968)

This data was developed using ab307967, the same antibody clone in a different buffer formulation. Immunofluorescent analysis of 4% Paraformaldehyde-fixed, 0.1% Triton X-100 permeabilized mouse primary neural/glia cells labeling TRIM46 with ab307967 at 1/1000 dilution (0.512 µg/ml) followed by ab150081 Goat Anti-Rabbit IgG H&L (Alexa Fluor® 488) preadsorbed antibody at 1/1000 dilution (2 ug/ml) (Green). Confocal image showing proximal part of the axon staining in mouse primary neural/glia cell. Confocal scanning Z step was set as 0.3 μm followed by image processing with maximum Z projection. Image was taken with a confocal microscope(Leica-Microsystems, TCS SP8). ab11267 Anti-MAP2 mouse monoclonal antibody was used as a counterstain at 1/500 dilution (4 ug/ml), followed by ab150120 Goat Anti-Mouse IgG H&L (Alexa Fluor® 594) at 1/1000 dilution (2 ug/ml) (Red). The nuclear counterstain was DAPI (Blue). -ve control 1 : ab307967 at 1/1000 dilution followed by ab150120 at 1/1000 dilution. -ve control 2 : ab11267 at 1/50 dilution followed by ab150081 at 1/1000 dilution.

Immunohistochemistry (Frozen sections) - Anti-TRIM46 antibody [EPR26957-34] - BSA and Azide free (AB307968)
  • IHC-Fr

Supplier Data

Immunohistochemistry (Frozen sections) - Anti-TRIM46 antibody [EPR26957-34] - BSA and Azide free (AB307968)

This data was developed using ab307967, the same antibody clone in a different buffer formulation. Immunohistochemical analysis of 4% PFA-fixed, 0.2% Triton X-100 permeabilized frozen mouse cortex (fresh) tissue labeling TRIM46 with ab307967 at 1/100 dilution (5.12 µg/ml) followed by ab150081 Goat Anti-Rabbit IgG H&L (Alexa Fluor® 488) preadsorbed at 1/1000 dilution (2 µg/mL) (Green). Panel A : merged staining of anti-TRIM46 (ab307967, green) and anti-NeuN (ab190565, red) on mouse cortex. Panel B : anti-TRIM46 stained on the mouse cortex. Panel C : anti-NeuN stained in neurons of mouse cortex. The section was incubated in two rounds of staining : in the order of ab307967 and ab190565 for 1 hr at room temperature. The nuclear counterstain was DAPI (Blue). The section was then mounted using Fluoromount®. The immunostaining was performed on a Leica Biosystems BOND® RX instrument. Image was taken with a confocal microscope (Leica-Microsystems, TCS SP8).

Flow Cytometry (Intracellular) - Anti-TRIM46 antibody [EPR26957-34] - BSA and Azide free (AB307968)
  • Flow Cyt (Intra)

Supplier Data

Flow Cytometry (Intracellular) - Anti-TRIM46 antibody [EPR26957-34] - BSA and Azide free (AB307968)

This data was developed using ab307967, the same antibody clone in a different buffer formulation. Flow cytometric analysis of 4% paraformaldehyde-fixed 90% methanol-permeabilized mouse primary neurons labeling TRIM46 with ab307967 at 1/500 dilution (0.1 µg) (Right panel) compared with a Rabbit monoclonal IgG isotype control (ab172730) (Left panel). A Goat Anti-Rabbit IgG (Alexa Fluor® 488, ab150081) at 1/5000 dilution was used as the secondary antibody. Cells were stained with rabbit IgG or ab307967.

Immunohistochemistry (Frozen sections) - Anti-TRIM46 antibody [EPR26957-34] - BSA and Azide free (AB307968)
  • IHC-Fr

Supplier Data

Immunohistochemistry (Frozen sections) - Anti-TRIM46 antibody [EPR26957-34] - BSA and Azide free (AB307968)

This data was developed using ab307967, the same antibody clone in a different buffer formulation. Immunohistochemical analysis of 4% PFA-fixed, 0.2% Triton X-100 permeabilized frozen rat cortex (fresh) tissue labeling TRIM46 with ab307967 at 1/100 dilution (5.12 µg/ml) followed by ab150081 Goat Anti-Rabbit IgG H&L (Alexa Fluor® 488) preadsorbed at 1/1000 dilution (2 µg/mL) (Green). Panel A : merged staining of anti-TRIM46 (ab307967, green) and anti-NeuN (ab190565, red) on rat cortex. Panel B : anti-TRIM46 stained on the rat cortex. Panel C : anti-NeuN stained in neurons of rat cortex. The section was incubated in two rounds of staining : in the order of ab307967 and ab190565 for 1 hr at room temperature. The nuclear counterstain was DAPI (Blue). The section was then mounted using Fluoromount®. The immunostaining was performed on a Leica Biosystems BOND® RX instrument. Image was taken with a confocal microscope (Leica-Microsystems, TCS SP8).

Multiplex immunohistochemistry - Anti-TRIM46 antibody [EPR26957-34] - BSA and Azide free (AB307968)
  • mIHC

Lab

Multiplex immunohistochemistry - Anti-TRIM46 antibody [EPR26957-34] - BSA and Azide free (AB307968)

This data was developed using ab307967, the same antibody clone in a different buffer formulation.

Multiplex immunohistochemistry analysis of formalin/PFA-fixed paraffin-embedded Mouse hippocampus tissue staining TRIM46 with ab307967 at a 1 : 5000 (0.102 ug/ml) dilution, FMRP with ab259335 at 1 : 10000 ( 0.04 µg/ml) dilution and Serotonin transporter with ab308443 at a 1 : 500 (0.052 ug/ml) dilution followed by secondary antibody Opal Polymer HRP Ms + Rb.

Panel A : merged staining of anti-TRIM46 (green; Opal520), anti-FMRP (magenta; Opal690) and anti-Serotonin transporter (yellow; Opal570) on mouse hippocampus.
Panel B : anti-TRIM46 staining the proximal part of the axon in mouse hippocampus.
Panel C : anti-FMRP staining neurons in mouse hippocampus.
Panel D : anti-Serotonin transporter staining dendrites in mouse hippocampus.
Nuclear DNA was labeled with DAPI (shown in blue).

The section was incubated in three rounds of staining : in the order of ab307967, ab259335 and ab308443 for 30 mins at room temperature. Each round was followed by a separate fluorescent tyramide signal amplification system.

The immunostaining was performed on a Leica Biosystems BOND® RX instrument with an Opal 4-color kit. Image acquisition was performed with Leica SP8 confocal microscope.

Heat mediated antigen retrieval with Tris-EDTA buffer (pH 9.0, epitope retrieval solution2) for 20 mins

Immunohistochemistry (Formalin/PFA-fixed paraffin-embedded sections) - Anti-TRIM46 antibody [EPR26957-34] - BSA and Azide free (AB307968)
  • IHC-P

Supplier Data

Immunohistochemistry (Formalin/PFA-fixed paraffin-embedded sections) - Anti-TRIM46 antibody [EPR26957-34] - BSA and Azide free (AB307968)

This data was developed using ab307967, the same antibody clone in a different buffer formulation. Immunohistochemical analysis of paraffin-embedded mouse cerebrum tissue labeling TRIM46 with ab307967 at 1/5000 dilution (0.102 µg/ml) followed by ready to use LeicaDS9800 (Bond ™ Polymer Refine Detection). Positive staining on the axons of mouse cerebrum (PMID : 26671463). The section was incubated with ab307967 for 30 mins at room temperature. The immunostaining was performed on a Leica Biosystems BOND® RX instrument. Counterstained with Hematoxylin. Secondary antibody only control : Secondary antibody is ready to use LeicaDS9800 (Bond ™Polymer Refine Detection). Heat mediated antigen retrieval was performed with Tris-EDTA buffer (pH 9.0, Epitope Retrieval Solution2) for 20 mins.

Immunohistochemistry (Frozen sections) - Anti-TRIM46 antibody [EPR26957-34] - BSA and Azide free (AB307968)
  • IHC-Fr

Supplier Data

Immunohistochemistry (Frozen sections) - Anti-TRIM46 antibody [EPR26957-34] - BSA and Azide free (AB307968)

This data was developed using ab307967, the same antibody clone in a different buffer formulation. Immunohistochemical analysis of 4% PFA-fixed, 0.2% Triton X-100 permeabilized frozen rat liver (fresh) tissue labeling TRIM46 with ab307967 at 1/100 dilution (5.12 µg/ml) followed by ab150081 Goat Anti-Rabbit IgG H&L (Alexa Fluor® 488) preadsorbed at 1/1000 dilution (2 µg/mL) (Green). Low expression : confocal image showing no staining on rat liver (PMID : 35440129). The nuclear counterstain was DAPI (Blue). The section was incubated with ab307967 for 60 mins at room temperature. The section was then mounted using Fluoromount®. The immunostaining was performed on a Leica Biosystems BOND® RX instrument. Image was taken with a confocal microscope (Leica-Microsystems, TCS SP8). Secondary antibody control : Secondary antibody is ab150081 Goat Anti-Rabbit IgG H&L (Alexa Fluor488) preadsorbed at 1/1000 dilution (2 µg/mL) dilution.

Multiplex immunohistochemistry - Anti-TRIM46 antibody [EPR26957-34] - BSA and Azide free (AB307968)
  • mIHC

Lab

Multiplex immunohistochemistry - Anti-TRIM46 antibody [EPR26957-34] - BSA and Azide free (AB307968)

This data was developed using ab307967, the same antibody clone in a different buffer formulation.

Multiplex immunohistochemistry analysis of formalin/PFA-fixed paraffin-embedded Rat spinal cord tissue staining TRIM46 with ab307967 at a 1 : 5000 (0.102 ug/ml) dilution, FMRP with ab259335 at 1 : 10000 (0.04 ug/ml) dilution and Serotonin transporter with ab308443 at a 1 : 500 (0.052 ug/ml) dilution followed by secondary antibody Opal Polymer HRP Ms + Rb.

Panel A : merged staining of anti-TRIM46 (green; Opal520), anti-FMRP (magenta; Opal690) and anti-Serotonin transporter (yellow; Opal570) on rat spinal cord.
Panel B : anti-TRIM46 staining the proximal part of the axon in rat spinal cord.
Panel C : anti-FMRP staining neurons in rat spinal cord.
Panel D : anti-Serotonin transporter staining dendrites in rat spinal cord.
Nuclear DNA was labeled with DAPI (shown in blue).

The section was incubated in three rounds of staining : in the order of ab307967, ab259335 and ab308443 for 30 mins at room temperature. Each round was followed by a separate fluorescent tyramide signal amplification system.

The immunostaining was performed on a Leica Biosystems BOND® RX instrument with an Opal 4-color kit. Image acquisition was performed with Leica SP8 confocal microscope.

Heat mediated antigen retrieval with Tris-EDTA buffer (pH 9.0, epitope retrieval solution2) for 20 mins

Multiplex immunohistochemistry - Anti-TRIM46 antibody [EPR26957-34] - BSA and Azide free (AB307968)
  • mIHC

Lab

Multiplex immunohistochemistry - Anti-TRIM46 antibody [EPR26957-34] - BSA and Azide free (AB307968)

This data was developed using ab307967, the same antibody clone in a different buffer formulation.

Multiplex immunohistochemistry analysis of formalin/PFA-fixed paraffin-embedded Rat hippocampus tissue staining TRIM46 with ab307967 at a 1 : 5000 (0.102 ug/ml) dilution, FMRP with ab259335 at 1 : 10000 (0.04 ug/ml) dilution and Serotonin transporter with ab308443 at a 1 : 500 (0.052 ug/ml) dilution followed by secondary antibody Opal Polymer HRP Ms + Rb.

Panel A : merged staining of anti-TRIM46 (green; Opal520), anti-FMRP (magenta; Opal690) and anti-Serotonin transporter (yellow; Opal570) on rat hippocampus.
Panel B : anti-TRIM46 staining the proximal part of the axon in rat hippocampus.
Panel C : anti-FMRP staining neurons in rat hippocampus.
Panel D : anti-Serotonin transporter staining dendrites in rat hippocampus..
Nuclear DNA was labeled with DAPI (shown in blue).

The section was incubated in three rounds of staining : in the order of ab307967, ab259335 and ab308443 for 30 mins at room temperature. Each round was followed by a separate fluorescent tyramide signal amplification system.

The immunostaining was performed on a Leica Biosystems BOND® RX instrument with an Opal 4-color kit. Image acquisition was performed with Leica SP8 confocal microscope.

Heat mediated antigen retrieval with Tris-EDTA buffer (pH 9.0, epitope retrieval solution2) for 20 mins

Immunohistochemistry (Formalin/PFA-fixed paraffin-embedded sections) - Anti-TRIM46 antibody [EPR26957-34] - BSA and Azide free (AB307968)
  • IHC-P

Supplier Data

Immunohistochemistry (Formalin/PFA-fixed paraffin-embedded sections) - Anti-TRIM46 antibody [EPR26957-34] - BSA and Azide free (AB307968)

This data was developed using ab307967, the same antibody clone in a different buffer formulation. Immunohistochemical analysis of paraffin-embedded rat cerebrum tissue labeling TRIM46 with ab307967 at 1/5000 dilution (0.102 µg/ml) followed by ready to use LeicaDS9800 (Bond ™ Polymer Refine Detection). Positive staining on the axons of rat cerebrum. The section was incubated with ab307967 for 30 mins at room temperature. The immunostaining was performed on a Leica Biosystems BOND® RX instrument. Counterstained with Hematoxylin. Secondary antibody only control : Secondary antibody is ready to use LeicaDS9800 (Bond ™Polymer Refine Detection). Heat mediated antigen retrieval was performed with Tris-EDTA buffer (pH 9.0, Epitope Retrieval Solution2) for 20 mins.

Multiplex immunohistochemistry - Anti-TRIM46 antibody [EPR26957-34] - BSA and Azide free (AB307968)
  • mIHC

Lab

Multiplex immunohistochemistry - Anti-TRIM46 antibody [EPR26957-34] - BSA and Azide free (AB307968)

This data was developed using ab307967, the same antibody clone in a different buffer formulation.

Multiplex immunohistochemistry analysis of formalin/PFA-fixed paraffin-embedded Rat hippocampus tissue staining TRIM46 with ab307967 at a 1 : 5000 (0.102 ug/ml) dilution, VAChT with ab317452 at 1 : 1000 (0.508 ug/ml) dilution and Serotonin transporter with ab308443 at a 1 : 500 (0.052 ug/ml) dilution followed by secondary antibody Opal Polymer HRP Ms + Rb.

Panel A : merged staining of anti-TRIM46 (green; Opal520), anti-VAChT (magenta; Opal690) and anti-Serotonin transporter (yellow; Opal570) on rat hippocampus.Panel B : anti-TRIM46 staining the proximal part of the axon in rat hippocampus.Panel C : anti-VAChT staining vesicle in rat hippocampus.Panel D : anti-Serotonin transporter staining dendrites in rat hippocampus.
Nuclear DNA was labeled with DAPI (shown in blue).

The section was incubated in three rounds of staining : in the order of ab307967, ab317452 and ab308443 for 30 mins at room temperature. Each round was followed by a separate fluorescent tyramide signal amplification system.

The immunostaining was performed on a Leica Biosystems BOND® RX instrument with an Opal 4-color kit. Image acquisition was performed with Leica SP8 confocal microscope.

Heat mediated antigen retrieval with Tris-EDTA buffer (pH 9.0, epitope retrieval solution2) for 20 mins

Multiplex immunohistochemistry - Anti-TRIM46 antibody [EPR26957-34] - BSA and Azide free (AB307968)
  • mIHC

Lab

Multiplex immunohistochemistry - Anti-TRIM46 antibody [EPR26957-34] - BSA and Azide free (AB307968)

This data was developed using ab307967, the same antibody clone in a different buffer formulation.

Multiplex immunohistochemistry analysis of formalin/PFA-fixed paraffin-embedded Rat cerebrum tissue staining TRIM46 with ab307967 at a 1 : 5000 (0.102 ug/ml) dilution, VAChT with ab317452 at 1 : 1000 (0.508 ug/ml) dilution and Serotonin transporter with ab308443 at a 1 : 500 (0.052 ug/ml) dilution followed by secondary antibody Opal Polymer HRP Ms + Rb.

Panel A : merged staining of anti-TRIM46 (green; Opal520), anti-VAChT (magenta; Opal690) and anti-Serotonin transporter (yellow; Opal570) on rat cerebrum.Panel B : anti-TRIM46 staining the proximal part of the axon in rat cerebrum.Panel C : anti-VAChT staining vesicle in rat cerebrum.Panel D : anti-Serotonin transporter staining dendrites in rat cerebrum.
Nuclear DNA was labeled with DAPI (shown in blue).

The section was incubated in three rounds of staining : in the order of ab307967, ab317452 and ab308443 for 30 mins at room temperature. Each round was followed by a separate fluorescent tyramide signal amplification system.

The immunostaining was performed on a Leica Biosystems BOND® RX instrument with an Opal 4-color kit. Image acquisition was performed with Leica SP8 confocal microscope.

Heat mediated antigen retrieval with Tris-EDTA buffer (pH 9.0, epitope retrieval solution2) for 20 mins

Multiplex immunohistochemistry - Anti-TRIM46 antibody [EPR26957-34] - BSA and Azide free (AB307968)
  • mIHC

Lab

Multiplex immunohistochemistry - Anti-TRIM46 antibody [EPR26957-34] - BSA and Azide free (AB307968)

This data was developed using ab307967, the same antibody clone in a different buffer formulation.

Multiplex immunohistochemistry analysis of formalin/PFA-fixed paraffin-embedded Rat cerebrum tissue staining TRIM46 with ab307967 at a 1 : 5000 (0.102 ug/ml) dilution, FMRP with ab259335 at 1 : 10000 (0.04 ug/ml) dilution and Serotonin transporter with ab308443 at a 1 : 500 (0.052 ug/ml) dilution followed by secondary antibody Opal Polymer HRP Ms + Rb.

Panel A : merged staining of anti-TRIM46 (green; Opal520), anti-FMRP (magenta; Opal690) and anti-Serotonin transporter (yellow; Opal570) on rat cerebrum.
Panel B : anti-TRIM46 staining the proximal part of the axon in rat cerebrum.
Panel C : anti-FMRP staining neurons in rat cerebrum.
Panel D : anti-Serotonin transporter staining dendrites in rat cerebrum.
Nuclear DNA was labeled with DAPI (shown in blue).

The section was incubated in three rounds of staining : in the order of ab307967, ab259335 and ab308443 for 30 mins at room temperature. Each round was followed by a separate fluorescent tyramide signal amplification system.

The immunostaining was performed on a Leica Biosystems BOND® RX instrument with an Opal 4-color kit. Image acquisition was performed with Leica SP8 confocal microscope.

Heat mediated antigen retrieval with Tris-EDTA buffer (pH 9.0, epitope retrieval solution2) for 20 mins

Multiplex immunohistochemistry - Anti-TRIM46 antibody [EPR26957-34] - BSA and Azide free (AB307968)
  • mIHC

Lab

Multiplex immunohistochemistry - Anti-TRIM46 antibody [EPR26957-34] - BSA and Azide free (AB307968)

This data was developed using ab307967, the same antibody clone in a different buffer formulation.

Multiplex immunohistochemistry analysis of formalin/PFA-fixed paraffin-embedded Mouse hippocampus tissue staining TRIM46 with ab307967 at a 1 : 5000 (0.102 ug/ml) dilution, VAChT with ab317452 at 1 : 1000 (0.508 ug/ml) dilution and Serotonin transporter with ab308443 at a 1 : 500 (0.052 ug/ml) dilution followed by secondary antibody Opal Polymer HRP Ms + Rb.

Panel A : merged staining of anti-TRIM46 (green; Opal520), anti-VAChT (magenta; Opal690) and anti-Serotonin transporter (yellow; Opal570) on mouse hippocampus.Panel B : anti-TRIM46 staining the proximal part of the axon in mouse hippocampus.Panel C : anti-VAChT staining vesicle in mouse hippocampus.Panel D : anti-Serotonin transporter staining dendrites in mouse hippocampus.
Nuclear DNA was labeled with DAPI (shown in blue).

The section was incubated in three rounds of staining : in the order of ab307967, ab317452 and ab308443 for 30 mins at room temperature. Each round was followed by a separate fluorescent tyramide signal amplification system.

The immunostaining was performed on a Leica Biosystems BOND® RX instrument with an Opal 4-color kit. Image acquisition was performed with Leica SP8 confocal microscope.

Heat mediated antigen retrieval with Tris-EDTA buffer (pH 9.0, epitope retrieval solution2) for 20 mins

Multiplex immunohistochemistry - Anti-TRIM46 antibody [EPR26957-34] - BSA and Azide free (AB307968)
  • mIHC

Lab

Multiplex immunohistochemistry - Anti-TRIM46 antibody [EPR26957-34] - BSA and Azide free (AB307968)

This data was developed using ab307967, the same antibody clone in a different buffer formulation.

Multiplex immunohistochemistry analysis of formalin/PFA-fixed paraffin-embedded Mouse cerebrum tissue staining TRIM46 with ab307967 at a 1 : 5000 (0.102 ug/ml) dilution, VAChT with ab317452 at 1 : 1000 (0.508 ug/ml) dilution and Serotonin transporter with ab308443 at a 1 : 500 (0.052 ug/ml) dilution followed by secondary antibody Opal Polymer HRP Ms + Rb.

Panel A : merged staining of anti-TRIM46 (green; Opal520), anti-VAChT (magenta; Opal690) and anti-Serotonin transporter (yellow; Opal570) on mouse cerebrum.Panel B : anti-TRIM46 staining the proximal part of the axon in mouse cerebrum.Panel C : anti-VAChT staining vesicle in mouse cerebrum.Panel D : anti-Serotonin transporter staining dendrites in mouse cerebrum.
Nuclear DNA was labeled with DAPI (shown in blue).

The section was incubated in three rounds of staining : in the order of ab307967, ab317452 and ab308443 for 30 mins at room temperature. Each round was followed by a separate fluorescent tyramide signal amplification system.

The immunostaining was performed on a Leica Biosystems BOND® RX instrument with an Opal 4-color kit. Image acquisition was performed with Leica SP8 confocal microscope.

Heat mediated antigen retrieval with Tris-EDTA buffer (pH 9.0, epitope retrieval solution2) for 20 mins

Multiplex immunohistochemistry - Anti-TRIM46 antibody [EPR26957-34] - BSA and Azide free (AB307968)
  • mIHC

Lab

Multiplex immunohistochemistry - Anti-TRIM46 antibody [EPR26957-34] - BSA and Azide free (AB307968)

This data was developed using ab307967, the same antibody clone in a different buffer formulation.

Multiplex immunohistochemistry analysis of formalin/PFA-fixed paraffin-embedded Mouse cerebrum tissue staining TRIM46 with ab307967 at a 1 : 5000 (0.102 ug/ml) dilution, FMRP with ab259335 at 1 : 10000 (0.04 ug/ml) dilution and Serotonin transporter with ab308443 at a 1 : 500 (0.052 ug/ml) dilution followed by secondary antibody Opal Polymer HRP Ms + Rb.

Panel A : merged staining of anti-TRIM46 (green; Opal520), anti-FMRP (magenta; Opal690) and anti-Serotonin transporter (yellow; Opal570) on mouse cerebrum.
Panel B : anti-TRIM46 staining the proximal part of the axon in mouse cerebrum.
Panel C : anti-FMRP staining neurons in mouse cerebrum.
Panel D : anti-Serotonin transporter staining dendrites in mouse cerebrum.
Nuclear DNA was labeled with DAPI (shown in blue).

The section was incubated in three rounds of staining : in the order of ab307967, ab259335 and ab308443 for 30 mins at room temperature. Each round was followed by a separate fluorescent tyramide signal amplification system.

The immunostaining was performed on a Leica Biosystems BOND® RX instrument with an Opal 4-color kit. Image acquisition was performed with Leica SP8 confocal microscope.

Heat mediated antigen retrieval with Tris-EDTA buffer (pH 9.0, epitope retrieval solution2) for 20 mins

Western blot - Anti-TRIM46 antibody [EPR26957-34] - BSA and Azide free (AB307968)
  • WB

Supplier Data

Western blot - Anti-TRIM46 antibody [EPR26957-34] - BSA and Azide free (AB307968)

This data was developed using 307967, the same antibody clone in a different buffer formulation. Blocking and diluting buffer and concentration : 5% NFDM/TBST. Negative control : heart, liver (PMID : 35440129). In Western blot, anti-GAPDH antibody (ab181602) loading control staining at 1/200, 000 dilution. Exposure time : 3 minutes.

All lanes:

Western blot - Anti-TRIM46 antibody [EPR26957-34] (<a href='/products/primary-antibodies/trim46-antibody-epr26957-34-ab307967'>ab307967</a>) at 1/1000 dilution

Lane 1:

Human brain tissue lysate at 20 µg

Lane 2:

Human liver tissue lysate at 20 µg

Lane 3:

Human heart tissue lysate at 20 µg

Secondary

All lanes:

Goat Anti-Rabbit IgG (HRP) with minimal cross-reactivity with human IgG at 1/2000 dilution

Observed band size: 80 kDa

false

Exposure time: 3min

Western blot - Anti-TRIM46 antibody [EPR26957-34] - BSA and Azide free (AB307968)
  • WB

Lab

Western blot - Anti-TRIM46 antibody [EPR26957-34] - BSA and Azide free (AB307968)

This data was developed using ab307967, the same antibody clone in a different buffer formulation.

Western blot : Rabbit Monoclonal [EPR26957-34] to TRIM46 ab307967 staining at 1/1000 dilution, shown in green; Mouse anti GAPDH (ab8245) loading control staining at 1/20,000 dilution, shown in magenta.

A band was observed at 83 kDa in Wild-type A549 cell lysates with no signal observed at this size in TRIM46 knockout A549 cell line.

To generate this image, samples were run on an SDS-PAGE gel then transferred onto a nitrocellulose membrane. Membranes were blocked in 5pc Milk in TBS-0.1 % Tween® 20 (TBS-T) before incubation with primary antibodies overnight at 4 °C. Blots were washed four times in TBS-T, incubated with secondary antibodies for 1 h at room temperature, washed again four times then imaged.

Secondary antibodies used were Goat anti-Rabbit 800CW & Goat anti-Mouse 680RD at 1/20,000 dilution.

All lanes:

Western blot - Anti-TRIM46 antibody [EPR26957-34] (<a href='/products/primary-antibodies/trim46-antibody-epr26957-34-ab307967'>ab307967</a>) at 1/1000 dilution

Lane 1:

Wild-type A549 at 20 µg

Lane 2:

TRIM46 knockout A549 at 20 µg

Lane 3:

U-2 OS at 20 µg

Lane 4:

HT-29 at 20 µg

Secondary

All lanes:

Goat anti-Rabbit 800CW & Goat anti-Mouse 680RD at 1/20000 dilution

Predicted band size: 83 kDa

Observed band size: 83 kDa

false

Western blot - Anti-TRIM46 antibody [EPR26957-34] - BSA and Azide free (AB307968)
  • WB

Supplier Data

Western blot - Anti-TRIM46 antibody [EPR26957-34] - BSA and Azide free (AB307968)

This data was developed using 307967, the same antibody clone in a different buffer formulation. Blocking and diluting buffer and concentration : 5% NFDM/TBST. Negative control : heart, liver (PMID : 35440129). In Western blot, anti-GAPDH antibody (ab181602) loading control staining at 1/200, 000 dilution. Exposure time : 5 seconds.

All lanes:

Western blot - Anti-TRIM46 antibody [EPR26957-34] (<a href='/products/primary-antibodies/trim46-antibody-epr26957-34-ab307967'>ab307967</a>) at 1/1000 dilution

Lane 1:

Mouse brain tissue lysate at 20 µg

Lane 2:

Mouse heart tissue lysate at 20 µg

Lane 3:

Mouse liver tissue lysate at 20 µg

Lane 4:

Rat brain tissue lysate at 20 µg

Lane 5:

Rat heart tissue lysate at 20 µg

Lane 6:

Rat liver tissue lysate at 20 µg

Secondary

All lanes:

Western blot - Goat Anti-Rabbit IgG H&L (HRP) (<a href='/products/secondary-antibodies/goat-rabbit-igg-h-l-hrp-ab97051'>ab97051</a>) at 1/100000 dilution

Observed band size: 80 kDa

false

Exposure time: 5s

不同偶联物与剂型 (1)

关键信息

宿主种属

Rabbit

克隆

Monoclonal

克隆号

EPR26957-34

亚型

IgG

不含载体蛋白

Yes

反应种属

Human, Mouse, Rat

应用

WB, ICC/IF, IHC-P, mIHC, IHC-Fr, Flow Cyt (Intra)

applications

免疫原

The exact immunogen used to generate this antibody is proprietary information.

反应性数据

{ "title": "Reactivity Data", "filters": { "stats": ["", "Species", "Dilution Info", "Notes"], "tabs": { "all-applications": {"fullname" : "All Applications", "shortname": "All Applications"}, "mIHC" : {"fullname" : "Multiplex immunohistochemistry", "shortname":"mIHC"}, "WB" : {"fullname" : "Western blot", "shortname":"WB"}, "IHCP" : {"fullname" : "Immunohistochemistry (Formalin/PFA-fixed paraffin-embedded sections)", "shortname":"IHC-P"}, "FlowCytIntra" : {"fullname" : "Flow Cytometry (Intracellular)", "shortname":"Flow Cyt (Intra)"}, "IHCFr" : {"fullname" : "Immunohistochemistry (Frozen sections)", "shortname":"IHC-Fr"}, "ICCIF" : {"fullname" : "Immunocytochemistry/ Immunofluorescence", "shortname":"ICC/IF"}, "IP" : {"fullname" : "Immunoprecipitation", "shortname":"IP"} }, "product-promise": { "all": "all", "testedAndGuaranteed": "tested", "guaranteed": "expected", "predicted": "predicted", "notRecommended": "not-recommended" } }, "values": { "Human": { "mIHC-species-checked": "guaranteed", "mIHC-species-dilution-info": "", "mIHC-species-notes": "", "WB-species-checked": "testedAndGuaranteed", "WB-species-dilution-info": "", "WB-species-notes": "<p></p>", "IHCP-species-checked": "testedAndGuaranteed", "IHCP-species-dilution-info": "", "IHCP-species-notes": "<p></p>", "FlowCytIntra-species-checked": "testedAndGuaranteed", "FlowCytIntra-species-dilution-info": "", "FlowCytIntra-species-notes": "<p></p>", "IHCFr-species-checked": "guaranteed", "IHCFr-species-dilution-info": "", "IHCFr-species-notes": "", "ICCIF-species-checked": "notRecommended", "ICCIF-species-dilution-info": "", "ICCIF-species-notes": "<p></p>", "IP-species-checked": "notRecommended", "IP-species-dilution-info": "", "IP-species-notes": "" }, "Mouse": { "mIHC-species-checked": "testedAndGuaranteed", "mIHC-species-dilution-info": "", "mIHC-species-notes": "<p></p>", "WB-species-checked": "testedAndGuaranteed", "WB-species-dilution-info": "", "WB-species-notes": "<p></p>", "IHCP-species-checked": "testedAndGuaranteed", "IHCP-species-dilution-info": "", "IHCP-species-notes": "<p></p>", "FlowCytIntra-species-checked": "testedAndGuaranteed", "FlowCytIntra-species-dilution-info": "", "FlowCytIntra-species-notes": "<p></p>", "IHCFr-species-checked": "testedAndGuaranteed", "IHCFr-species-dilution-info": "", "IHCFr-species-notes": "<p></p>", "ICCIF-species-checked": "testedAndGuaranteed", "ICCIF-species-dilution-info": "", "ICCIF-species-notes": "<p></p>", "IP-species-checked": "notRecommended", "IP-species-dilution-info": "", "IP-species-notes": "<p></p>" }, "Rat": { "mIHC-species-checked": "testedAndGuaranteed", "mIHC-species-dilution-info": "", "mIHC-species-notes": "<p></p>", "WB-species-checked": "testedAndGuaranteed", "WB-species-dilution-info": "", "WB-species-notes": "<p></p>", "IHCP-species-checked": "testedAndGuaranteed", "IHCP-species-dilution-info": "", "IHCP-species-notes": "<p></p>", "FlowCytIntra-species-checked": "guaranteed", "FlowCytIntra-species-dilution-info": "", "FlowCytIntra-species-notes": "", "IHCFr-species-checked": "testedAndGuaranteed", "IHCFr-species-dilution-info": "", "IHCFr-species-notes": "<p></p>", "ICCIF-species-checked": "guaranteed", "ICCIF-species-dilution-info": "", "ICCIF-species-notes": "", "IP-species-checked": "notRecommended", "IP-species-dilution-info": "", "IP-species-notes": "" } } }

产品详情

Patented technology
Our RabMAb® technology is a patented hybridoma-based technology for making rabbit monoclonal antibodies. For details on our patents, please refer to RabMAb® patents.

What are the advantages of a recombinant monoclonal antibody?
This product is a recombinant monoclonal antibody, which offers several advantages including:

  • - High batch-to-batch consistency and reproducibility
  • - Improved sensitivity and specificity
  • - Long-term security of supply
  • - Animal-free batch production

For more information, read more on recombinant antibodies.

Conjugation ready
Our carrier-free antibodies are typically supplied in a PBS-only formulation, purified and free of BSA, sodium azide and glycerol. This conjugation-ready format is designed for use with fluorochromes, metal isotopes, oligonucleotides, and enzymes, which makes them ideal for antibody labelling, functional and cell-based assays, flow-based assays (e.g. mass cytometry) and Multiplex Imaging applications.

Use our conjugation kits for antibody conjugates that are ready-to-use in as little as 20 minutes with 1 minute hands-on-time and 100% antibody recovery: available for fluorescent dyes, HRP, biotin and gold.

Compatibility
This product is compatible with the Maxpar® Antibody Labeling Kit from Fluidigm, without the need for antibody preparation. Maxpar® is a trademark of Fluidigm Canada Inc.

性能和储存信息

形式
Liquid
纯化工艺
Affinity purification Protein A
存储溶液
pH: 7.2 - 7.4 Constituents: PBS
运输条件
Blue Ice
推荐的短期储存条件
+4°C
推荐的长期储存条件
+4°C

补充信息

This supplementary information is collated from multiple sources and compiled automatically.

TRIM46 also known as Tripartite Motif Containing 46 functions as a microtubule-organizing protein in the nervous system. It weighs approximately 82 kDa. This protein plays a role in stabilizing the microtubule network and is expressed mainly in neuronal cells and tissues. TRIM46 supports axon initiation and proper neuronal polarity by anchoring microtubules contributing to the organization of the axon initial segment.
Biological function summary

TRIM46 is involved in the regulation of microtubule dynamics. It associates with microtubule-associated proteins to promote stability and organization within neurons. Although not known to be part of a large complex TRIM46 interacts with proteins like EB1 to facilitate microtubule bundle formation. These interactions are important for axon guidance and neural signaling.

Pathways

TRIM46 participates in axon guidance and neural development pathways. It engages with the MAP kinase signaling pathway influencing cellular responses to growth factors. Additionally it relates to the Wnt signaling pathway where it's connected with proteins such as Dishevelled and β-catenin impacting neural patterning and development.

Deficiencies in TRIM46 have links to neurodevelopmental disorders and neurodegenerative diseases. Alterations in TRIM46 expression associate with autism spectrum disorders affecting neural connectivity and signaling. The protein also connects with Tau a protein implicated in Alzheimer's disease suggesting a role in microtubule-related neuronal dysfunction.

产品实验方案

For this product, it's our understanding that no specific protocols are required. You can visit:

靶点信息

Microtubule-associated protein that is involved in the formation of parallel microtubule bundles linked by cross-bridges in the proximal axon. Required for the uniform orientation and maintenance of the parallel microtubule fascicles, which are important for efficient cargo delivery and trafficking in axons. Thereby also required for proper axon specification, the establishment of neuronal polarity and proper neuronal migration.
See full target information TRIM46

Abcam Product Promise

我们致力于为您的研究提供高质量的试剂,为您科研的每一步提供支持。若我们的产品未能达到预期性能,我们向您提供 Abcam Product Promise 保障。
详情请参阅我们的条款与条件。

Please note: All products are 'FOR RESEARCH USE ONLY. NOT FOR USE IN DIAGNOSTIC OR THERAPEUTIC PROCEDURES'.

For licensing inquiries, please contact partnerships@abcam.com