JavaScript is disabled in your browser. Please enable JavaScript to view this website.
AB272582

Anti-TRIM35抗体

Anti-TRIM35 antibody

Be the first to review this product! Submit a review

|

(1 Publication)

Rabbit Polyclonal TRIM35 antibody. Suitable for IHC-P, ICC/IF and reacts with Human samples. Cited in 1 publication. Immunogen corresponding to Recombinant Fragment Protein within Human TRIM35 aa 150-300.

查看别名

HLS5, KIAA1098, TRIM35, E3 ubiquitin-protein ligase TRIM35, Hemopoietic lineage switch protein 5

5 Images
Immunohistochemistry (Formalin/PFA-fixed paraffin-embedded sections) - Anti-TRIM35 antibody (AB272582)
  • IHC-P

Supplier Data

Immunohistochemistry (Formalin/PFA-fixed paraffin-embedded sections) - Anti-TRIM35 antibody (AB272582)

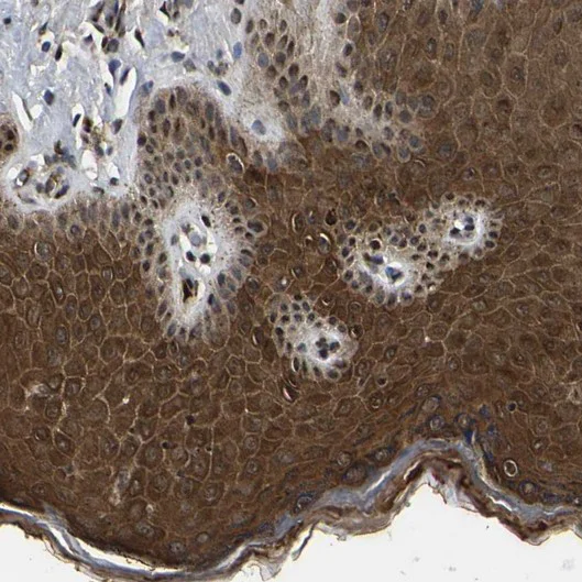
Immunohistochemical (Formalin/PFA-fixed paraffin-embedded sections) analysis in human skin tissue labeling TRIM35 with ab272582 at 1/200 dilution. Antigen retrieval was heat mediated with citrate buffer pH 6.0 before commencing with IHC staining protocol.

Immunohistochemistry (Formalin/PFA-fixed paraffin-embedded sections) - Anti-TRIM35 antibody (AB272582)
  • IHC-P

Supplier Data

Immunohistochemistry (Formalin/PFA-fixed paraffin-embedded sections) - Anti-TRIM35 antibody (AB272582)

Immunohistochemical (Formalin/PFA-fixed paraffin-embedded sections) analysis in human fallopian tube tissue labeling TRIM35 with ab272582 at 1/200 dilution. Antigen retrieval was heat mediated with citrate buffer pH 6.0 before commencing with IHC staining protocol.

Immunocytochemistry/ Immunofluorescence - Anti-TRIM35 antibody (AB272582)
  • ICC/IF

Unknown

Immunocytochemistry/ Immunofluorescence - Anti-TRIM35 antibody (AB272582)

PFA fixed, Triton X-100 permeablized human cell line U-251 MG labeling TRIM35 (green) using ab272582 at 2 ug/ml in ICC/IF analysis.

Immunohistochemistry (Formalin/PFA-fixed paraffin-embedded sections) - Anti-TRIM35 antibody (AB272582)
  • IHC-P

Supplier Data

Immunohistochemistry (Formalin/PFA-fixed paraffin-embedded sections) - Anti-TRIM35 antibody (AB272582)

Immunohistochemical (Formalin/PFA-fixed paraffin-embedded sections) analysis in human cerebral cortex tissue labeling TRIM35 with ab272582 at 1/200 dilution. Antigen retrieval was heat mediated with citrate buffer pH 6.0 before commencing with IHC staining protocol.

Immunohistochemistry (Formalin/PFA-fixed paraffin-embedded sections) - Anti-TRIM35 antibody (AB272582)
  • IHC-P

Supplier Data

Immunohistochemistry (Formalin/PFA-fixed paraffin-embedded sections) - Anti-TRIM35 antibody (AB272582)

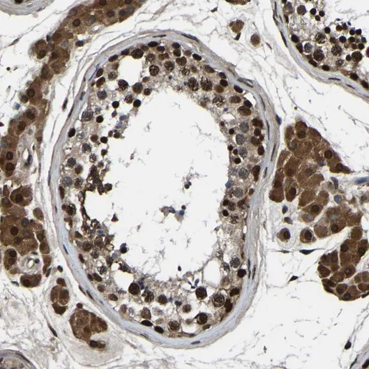
Immunohistochemical (Formalin/PFA-fixed paraffin-embedded sections) analysis in human testis tissue labeling TRIM35 with ab272582 at 1/200 dilution. Antigen retrieval was heat mediated with citrate buffer pH 6.0 before commencing with IHC staining protocol.

关键信息

宿主种属

Rabbit

克隆

Polyclonal

亚型

IgG

不含载体蛋白

No

反应种属

Human

应用

IHC-P, ICC/IF

applications

免疫原

Recombinant Fragment Protein within Human TRIM35 aa 150-300. The exact immunogen used to generate this antibody is proprietary information.

Q9UPQ4

反应性数据

{ "title": "Reactivity Data", "filters": { "stats": ["", "Species", "Dilution Info", "Notes"], "tabs": { "all-applications": {"fullname" : "All Applications", "shortname": "All Applications"}, "IHCP" : {"fullname" : "Immunohistochemistry (Formalin/PFA-fixed paraffin-embedded sections)", "shortname":"IHC-P"}, "ICCIF" : {"fullname" : "Immunocytochemistry/ Immunofluorescence", "shortname":"ICC/IF"} }, "product-promise": { "all": "all", "testedAndGuaranteed": "tested", "guaranteed": "expected", "predicted": "predicted", "notRecommended": "not-recommended" } }, "values": { "Human": { "IHCP-species-checked": "testedAndGuaranteed", "IHCP-species-dilution-info": "1/200 - 1/500", "IHCP-species-notes": "<p></p> Perform heat-mediated antigen retrieval with citrate buffer pH 6 before commencing with IHC staining protocol.", "ICCIF-species-checked": "testedAndGuaranteed", "ICCIF-species-dilution-info": "0.25-2 µg/mL", "ICCIF-species-notes": "<p></p>" } } }

性能和储存信息

形式
Liquid
纯化工艺
Affinity purification Immunogen
存储溶液
pH: 7.2 Preservative: 0.02% Sodium azide Constituents: PBS, 40% Glycerol (glycerin, glycerine)
运输条件
Blue Ice
推荐的短期储存时间
1-2 weeks
推荐的短期储存条件
+4°C
推荐的长期储存条件
-20°C
分装信息
Upon delivery aliquot
储存信息
Avoid freeze / thaw cycle

补充信息

This supplementary information is collated from multiple sources and compiled automatically.

TRIM35 also known as RFP2 or RNF98 is a member of the tripartite motif (TRIM) family of proteins. It has a molecular weight of approximately 77 kDa. This protein functions by mediating ubiquitination influencing protein degradation and regulation. Expression of TRIM35 is detected in various tissues including the liver heart and lungs showing a broad tissue distribution. Its activity is particularly noted in response to cellular stress conditions exhibiting its role in maintaining homeostasis.
Biological function summary

TRIM35 participates in the regulation of innate immune responses and cell death pathways. It functions as a part of the protein complex involved in the ubiquitin-proteasome system. By adding ubiquitin moieties to target proteins TRIM35 influences their fate ranging from degradation to alterations in cellular location or activity. This regulation plays an important role in modulating antiviral responses and apoptosis placing TRIM35 as an important player in controlling cell survival and immune system defenses.

Pathways

TRIM35 engages predominantly in the Jak-STAT and NF-kB signaling pathways. In the Jak-STAT pathway it interacts with proteins such as STAT1 and STAT3 facilitating their regulation by ubiquitination. Through the NF-kB pathway TRIM35 seems to modulate immune response-related genes affecting inflammatory processes. These associations highlight the protein's integral role in signaling cascades that dictate immune and stress response mechanisms.

TRIM35 shows links to hepatitis and certain cancers. Its role in ubiquitination can affect the stability of proteins related to these diseases such as HCV core protein in hepatitis. Additionally TRIM35 modulates proteins involved in oncogenic pathways influencing cancer progression and metastasis. The association with NF-kB in inflammatory processes may also contribute to its involvement in carcinogenesis indicating therapeutic potential by targeting TRIM35-related pathways in disease contexts.

产品实验方案

For this product, it's our understanding that no specific protocols are required. You can visit:

靶点信息

E3 ubiquitin-protein ligase that participates in multiple biological processes including cell death, glucose metabolism, and in particular, the innate immune response. Mediates 'Lys-63'-linked polyubiquitination of TRAF3 thereby promoting type I interferon production via RIG-I signaling pathway (PubMed : 32562145). Can also catalyze 'Lys-48'-linked polyubiquitination and proteasomal degradation of viral proteins such as influenza virus PB2 (PubMed : 32562145). Acts as a negative feedback regulator of TLR7- and TLR9-triggered signaling. Mechanistically, promotes the 'Lys-48'-linked ubiquitination of IRF7 and induces its degradation via a proteasome-dependent pathway (PubMed : 25907537). Reduces FGFR1-dependent tyrosine phosphorylation of PKM, inhibiting PKM-dependent lactate production, glucose metabolism, and cell growth (PubMed : 25263439).
See full target information TRIM35

文献 (1)

Recent publications for all applications. Explore the full list and refine your search

International journal of oncology 61: PubMed36196894

2022

TRIM35 ubiquitination regulates the expression of PKM2 tetramer and dimer and affects the malignant behaviour of breast cancer by regulating the Warburg effect.

Applications

Unspecified application

Species

Unspecified reactive species

Hao Wu,Xinyi Guo,Yile Jiao,Zhenru Wu,Qing Lv
View all publications

Abcam Product Promise

我们致力于为您的研究提供高质量的试剂,为您科研的每一步提供支持。若我们的产品未能达到预期性能,我们向您提供 Abcam Product Promise 保障。
详情请参阅我们的条款与条件。

Please note: All products are 'FOR RESEARCH USE ONLY. NOT FOR USE IN DIAGNOSTIC OR THERAPEUTIC PROCEDURES'.

For licensing inquiries, please contact partnerships@abcam.com