JavaScript is disabled in your browser. Please enable JavaScript to view this website.
AB207728

重组Anti-TRIM21/SS-A抗体[EPR20290]

Anti-TRIM21/SS-A antibody [EPR20290]

  • BOND RX™ Validated
  • RabMAb
  • Recombinant
  • KO Validated
  • 了解详情

Be the first to review this product! Submit a review

|

(19 Publications)

Anti-TRIM21/SS-A antibody [EPR20290] (ab207728) is a rabbit monoclonal antibody detecting TRIM21/SS-A in Western Blot, IHC-P. Suitable for Human, Mouse, Rat.

- KO validated for confirmed specificity
- Biophysical QC for unrivalled batch-batch consistency

查看别名

RNF81, RO52, SSA1, TRIM21, E3 ubiquitin-protein ligase TRIM21, 52 kDa Ro protein, 52 kDa ribonucleoprotein autoantigen Ro/SS-A, RING finger protein 81, Ro(SS-A), Sjoegren syndrome type A antigen, Tripartite motif-containing protein 21, SS-A

9 Images
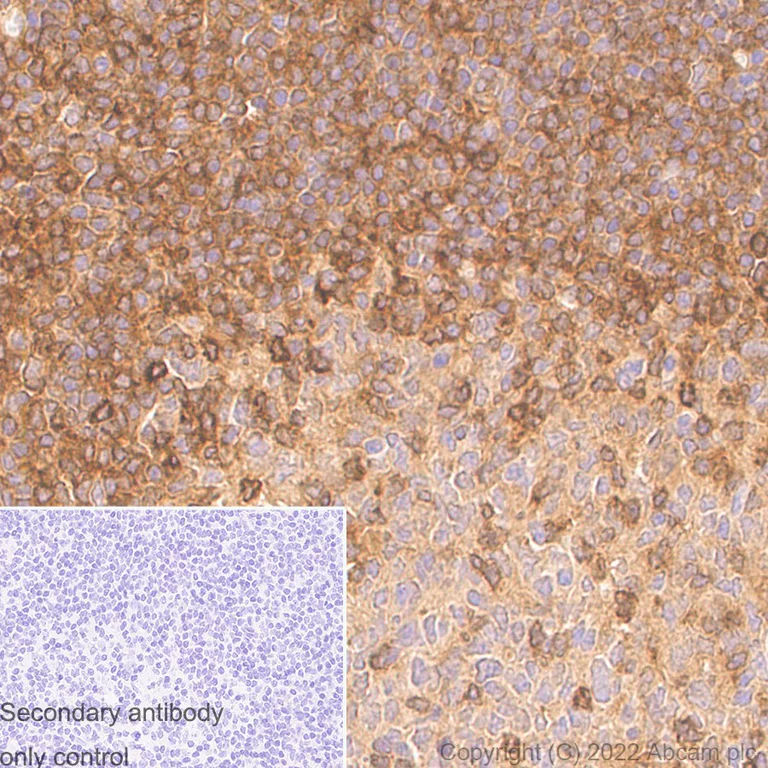
Immunohistochemistry (Formalin/PFA-fixed paraffin-embedded sections) - Anti-TRIM21/SS-A antibody [EPR20290] (AB207728)
  • IHC-P

Lab

Immunohistochemistry (Formalin/PFA-fixed paraffin-embedded sections) - Anti-TRIM21/SS-A antibody [EPR20290] (AB207728)

Immunohistochemistry analysis of paraffin-embedded human tonsil tissue sections labelling TRIM21/SS-A with ab207728 at 1/100 dilution. The section was incubated with ab207728 for 10 mins at room temperature. Ready to use Leica DS9800 (Bond™ Polymer Refine Detection) was used as the secondary antibody. Sections were counterstained with Hematoxylin. Antigen retrieval was heat mediated with Tris-EDTA buffer (pH 9.0, epitope retrieval solution2) for 20 minutes.
Positive staining on human tonsil. The immunostaining was performed on a Leica Biosystems BOND® RX instrument.

Immunohistochemistry (Formalin/PFA-fixed paraffin-embedded sections) - Anti-TRIM21/SS-A antibody [EPR20290] (AB207728)
  • IHC-P

Supplier Data

Immunohistochemistry (Formalin/PFA-fixed paraffin-embedded sections) - Anti-TRIM21/SS-A antibody [EPR20290] (AB207728)

Immunohistochemical analysis of paraffin-embedded A : Wild-type A549 (Human lung carcinoma epithelial cell) cell pellet, B : TRIM21 knockout A549 (ab267080) cell pellet labelling TRIM21/SS-A with ab207728 at 1/500 dilution (1.212 μg/ml) followed by LeicaDS9800 (Bond™ Polymer Refine Detection) secondary antibody at a ready to use concentration. Positive staining on (A) wild-type A549 cell pellet, no staining on (B) TRIM21 knockout A549 (ab267080) cell pellet. The section was incubated with ab207728 for 10 mins at room temperature. The immunostaining was performed on a Leica Biosystems BOND® RX instrument. Counterstained with Hematoxylin.

Heat mediated antigen retrieval was performed with Tris-EDTA buffer (pH 9.0, Epitope Retrieval Solution2) for 20 mins.

Western blot - Anti-TRIM21/SS-A antibody [EPR20290] (AB207728)
  • WB

Supplier Data

Western blot - Anti-TRIM21/SS-A antibody [EPR20290] (AB207728)

Blocking/Dilution buffer : 5% NFDM/TBST.

All lanes:

Western blot - Anti-TRIM21/SS-A antibody [EPR20290] (ab207728) at 1/1000 dilution

Lane 1:

HEK-293T (human epithelial cell line from embryonic kidney transformed with large T antigen), whole cell lysate at 20 µg

Lane 2:

MOLT-4 (human lymphoblastic leukemia cell line), whole cell lysate at 20 µg

Lane 3:

Human fetal spleen lysate at 20 µg

Lane 4:

Human fetal kidney lysate at 20 µg

Lane 5:

Human thymus lysate at 20 µg

Secondary

All lanes:

Western blot - Goat Anti-Rabbit IgG H&L (HRP) (<a href='/products/secondary-antibodies/goat-rabbit-igg-h-l-hrp-ab97051'>ab97051</a>) at 1/100000 dilution

Predicted band size: 54 kDa

Observed band size: 50 kDa

true

Exposure time: 3min

Western blot - Anti-TRIM21/SS-A antibody [EPR20290] (AB207728)
  • WB

Lab

Western blot - Anti-TRIM21/SS-A antibody [EPR20290] (AB207728)

Lanes 1 - 4 : Merged signal (red and green). Green - ab207728 observed at 50 kDa. Red - loading control, ab8245, observed at 37 kDa.

ab207728 was shown to specifically react with in wild-type HAP1 cells as signal was lost in TRIM21 knockout cells. Wild-type and TRIM21 knockout samples were subjected to SDS-PAGE. The membrane was blocked with 3% NF Milk. ab207728 and ab8245 (Mouse anti-GAPDH loading control) were incubated overnight at 4°C at 1/1000 dilution and 1/20000 dilution respectively. Blots were developed with Goat anti-Rabbit IgG H&L (IRDye® 800CW) preabsorbed ab216773 and Goat anti-Mouse IgG H&L (IRDye® 680RD) preabsorbed ab216776 secondary antibodies at 1/20000 dilution for 1 hour at room temperature before imaging.

All lanes:

Western blot - Anti-TRIM21/SS-A antibody [EPR20290] (ab207728) at 1/1000 dilution

Lane 1:

Wild-type HAP1 whole cell lysate at 20 µg

Lane 2:

TRIM21 knockout HAP1 whole cell lysate at 20 µg

Lane 3:

HeLa whole cell lysate at 20 µg

Lane 4:

MOLT-4 whole cell lysate at 20 µg

Predicted band size: 54 kDa

false

Western blot - Anti-TRIM21/SS-A antibody [EPR20290] (AB207728)
  • WB

Lab

Western blot - Anti-TRIM21/SS-A antibody [EPR20290] (AB207728)

Lanes 1-4 : Merged signal (red and green). Green - ab207728 observed at 50 kDa. Red - loading control ab8245 observed at 36 kDa.

ab207728 Anti-TRIM21/SS-A antibody [EPR20290] was shown to specifically react with TRIM21/SS-A in wild-type A549 cells. Loss of signal was observed when knockout cell line ab267024 (knockout cell lysate ab257766) was used. Wild-type and TRIM21/SS-A knockout samples were subjected to SDS-PAGE. ab207728 and Anti-GAPDH antibody [6C5] - Loading Control (ab8245) were incubated overnight at 4°C at 1 in 1000 dilution and 1 in 20000 dilution respectively. Blots were developed with Goat anti-Rabbit IgG H&L (IRDye® 800CW) preadsorbed (ab216773) and Goat anti-Mouse IgG H&L (IRDye® 680RD) preadsorbed (ab216776) secondary antibodies at 1 in 20000 dilution for 1 hour at room temperature before imaging.

All lanes:

Western blot - Anti-TRIM21/SS-A antibody [EPR20290] (ab207728) at 1/1000 dilution

Lane 1:

Wild-type A549 (Human lung carcinoma cell line) whole cell lysate at 20 µg

Lane 2:

TRIM21 knockout A549 (Human lung carcinoma cell line) whole cell lysate at 20 µg

Lane 2:

Western blot - Human TRIM21 (SS-A) knockout A549 cell line (<a href='/products/cell-lines/human-trim21-ss-a-knockout-a549-cell-line-ab267024'>ab267024</a>)

Lane 3:

HEK-293T (Human epithelial cell line from embryonic kidney transformed with large T antigen) whole cell lysate at 20 µg

Lane 4:

MOLT-4 (Human lymphoblastic leukemia cell line) whole cell lysate at 20 µg

Secondary

All lanes:

Western blot - Goat anti-Rabbit IgG H&L (IRDye® 800CW) preadsorbed (<a href='/products/secondary-antibodies/goat-rabbit-igg-h-l-irdye-800cw-preadsorbed-ab216773'>ab216773</a>) at 1/10000 dilution

Predicted band size: 54 kDa

Observed band size: 50 kDa

false

Western blot - Anti-TRIM21/SS-A antibody [EPR20290] (AB207728)
  • WB

Lab

Western blot - Anti-TRIM21/SS-A antibody [EPR20290] (AB207728)

Lanes 1-4 : Merged signal (red and green). Green - ab207728 observed at 50 kDa. Red - loading control ab8245 observed at 36 kDa.

ab207728 Anti-TRIM21/SS-A antibody [EPR20290] was shown to specifically react with TRIM21/SS-A in wild-type A549 cells. Loss of signal was observed when knockout cell line ab267025 (knockout cell lysate ab257767) was used. Wild-type and TRIM21/SS-A knockout samples were subjected to SDS-PAGE. ab207728 and Anti-GAPDH antibody [6C5] - Loading Control (ab8245) were incubated overnight at 4°C at 1 in 500 dilution and 1 in 20000 dilution respectively. Blots were developed with Goat anti-Rabbit IgG H&L (IRDye® 800CW) preadsorbed (ab216773) and Goat anti-Mouse IgG H&L (IRDye® 680RD) preadsorbed (ab216776) secondary antibodies at 1 in 20000 dilution for 1 hour at room temperature before imaging.

All lanes:

Western blot - Anti-TRIM21/SS-A antibody [EPR20290] (ab207728) at 1/500 dilution

Lane 1:

Wild-type A549 cell lysate at 20 µg

Lane 2:

TRIM21 knockout A549 cell lysate at 20 µg

Lane 2:

Western blot - Human TRIM21 (SS-A) knockout A549 cell line (<a href='/products/cell-lines/human-trim21-ss-a-knockout-a549-cell-line-ab267025'>ab267025</a>)

Lane 3:

HeLa cell lysate at 20 µg

Lane 4:

MOLT-4 cell lysate at 20 µg

Secondary

All lanes:

Western blot - Goat anti-Rabbit IgG H&L (IRDye® 800CW) preadsorbed (<a href='/products/secondary-antibodies/goat-rabbit-igg-h-l-irdye-800cw-preadsorbed-ab216773'>ab216773</a>) at 1/10000 dilution

Predicted band size: 54 kDa

Observed band size: 50 kDa

false

Western blot - Anti-TRIM21/SS-A antibody [EPR20290] (AB207728)
  • WB

Supplier Data

Western blot - Anti-TRIM21/SS-A antibody [EPR20290] (AB207728)

ab207728 was shown to react with TRIM21 in wild-type A549 cells in Western blot with loss of signal observed in TRIM21 knockout cell line ab267025. Wild-type A549 and TRIM21 knockout cell lysates were subjected to SDS-PAGE. Membranes were blocked in 5% milk in TBST for 1 hr before incubation with ab207728 overnight at 4 °C at a 1/1000 dilution. Blots were incubated with secondary antibodies at 0.2 µg/mL before imaging.

This data was provided by YCharOS Inc., an open science company with the mission of characterizing commercially available antibody reagents for all human proteins. Abcam and YCharOS are working together to help address the reproducibility crisis by enabling the life science community to better evaluate commercially available antibodies.

All lanes:

Western blot - Anti-TRIM21/SS-A antibody [EPR20290] (ab207728) at 1/1000 dilution

Lane 1:

Wild-type A549 lysate at 30 µg

Lane 2:

TRIM21 knock-out A549 lysate at 30 µg

false

Western blot - Anti-TRIM21/SS-A antibody [EPR20290] (AB207728)
  • WB

Supplier Data

Western blot - Anti-TRIM21/SS-A antibody [EPR20290] (AB207728)

Blocking/Dilution buffer : 5% NFDM/TBST.

The level of TRIM21 expression can be elevated by IFN alpha treatment (PMID : 18071879).

All lanes:

Western blot - Anti-TRIM21/SS-A antibody [EPR20290] (ab207728) at 1/1000 dilution

Lane 1:

Untreated HeLa (human epithelial cell line from cervix adenocarcinoma), whole cell lysate at 10 µg

Lane 2:

HeLa (human epithelial cell line from cervix adenocarcinoma) treated with 10 ng/ml human interferon-α (<a href='/products/proteins-peptides/recombinant-human-interferon-alpha-1-protein-active-ab48750'>ab48750</a>) for 16 hours at 10 µg

Secondary

All lanes:

Western blot - Goat Anti-Rabbit IgG H&L (HRP) (<a href='/products/secondary-antibodies/goat-rabbit-igg-h-l-hrp-ab97051'>ab97051</a>) at 1/100000 dilution

Predicted band size: 54 kDa

Observed band size: 50 kDa

true

Exposure time: 3min

Western blot - Anti-TRIM21/SS-A antibody [EPR20290] (AB207728)
  • WB

Supplier Data

Western blot - Anti-TRIM21/SS-A antibody [EPR20290] (AB207728)

Exposure times : Lane 1-2 : 30 seconds; Lane 3 : 3 minutes.

Blocking/Dilution buffer : 5% NFDM/TBST.

All lanes:

Western blot - Anti-TRIM21/SS-A antibody [EPR20290] (ab207728) at 1/1000 dilution

Lane 1:

Rat spleen lysate at 20 µg

Lane 2:

Rat thymus lysate at 20 µg

Lane 3:

Mouse thymus lysate at 20 µg

Secondary

All lanes:

Western blot - Goat Anti-Rabbit IgG H&L (HRP) (<a href='/products/secondary-antibodies/goat-rabbit-igg-h-l-hrp-ab97051'>ab97051</a>) at 1/100000 dilution

Predicted band size: 54 kDa

Observed band size: 50 kDa

true

不同偶联物与剂型 (1)

  • Carrier free

    Anti-TRIM21/SS-A antibody [EPR20290] - BSA and Azide free

关键信息

宿主种属

Rabbit

克隆

Monoclonal

克隆号

EPR20290

亚型

IgG

不含载体蛋白

No

反应种属

Mouse, Rat, Human

应用

WB, IHC-P

applications

免疫原

The exact immunogen used to generate this antibody is proprietary information.

特异性

This reagent is not recommended for mouse or rat IHC-P and human ICC/IF.

反应性数据

{ "title": "Reactivity Data", "filters": { "stats": ["", "Species", "Dilution Info", "Notes"], "tabs": { "all-applications": {"fullname" : "All Applications", "shortname": "All Applications"}, "WB" : {"fullname" : "Western blot", "shortname":"WB"}, "IHCP" : {"fullname" : "Immunohistochemistry (Formalin/PFA-fixed paraffin-embedded sections)", "shortname":"IHC-P"}, "IP" : {"fullname" : "Immunoprecipitation", "shortname":"IP"}, "ICCIF" : {"fullname" : "Immunocytochemistry/ Immunofluorescence", "shortname":"ICC/IF"} }, "product-promise": { "all": "all", "testedAndGuaranteed": "tested", "guaranteed": "expected", "predicted": "predicted", "notRecommended": "not-recommended" } }, "values": { "Human": { "WB-species-checked": "testedAndGuaranteed", "WB-species-dilution-info": "1/1000", "WB-species-notes": "<p></p>", "IHCP-species-checked": "testedAndGuaranteed", "IHCP-species-dilution-info": "1/100 - 1/500", "IHCP-species-notes": "<p></p>", "IP-species-checked": "notRecommended", "IP-species-dilution-info": "1/30", "IP-species-notes": "<p></p>", "ICCIF-species-checked": "notRecommended", "ICCIF-species-dilution-info": "1/50", "ICCIF-species-notes": "<p></p>" }, "Mouse": { "WB-species-checked": "testedAndGuaranteed", "WB-species-dilution-info": "1/1000", "WB-species-notes": "<p></p>", "IHCP-species-checked": "notRecommended", "IHCP-species-dilution-info": "1/100 - 1/500", "IHCP-species-notes": "<p></p>", "IP-species-checked": "notRecommended", "IP-species-dilution-info": "", "IP-species-notes": "", "ICCIF-species-checked": "notRecommended", "ICCIF-species-dilution-info": "", "ICCIF-species-notes": "" }, "Rat": { "WB-species-checked": "testedAndGuaranteed", "WB-species-dilution-info": "1/1000", "WB-species-notes": "<p></p>", "IHCP-species-checked": "notRecommended", "IHCP-species-dilution-info": "1/100 - 1/500", "IHCP-species-notes": "<p></p>", "IP-species-checked": "notRecommended", "IP-species-dilution-info": "", "IP-species-notes": "", "ICCIF-species-checked": "notRecommended", "ICCIF-species-dilution-info": "", "ICCIF-species-notes": "" }, "Transfected cell line - Human": { "WB-species-checked": "notRecommended", "WB-species-dilution-info": "", "WB-species-notes": "", "IHCP-species-checked": "notRecommended", "IHCP-species-dilution-info": "", "IHCP-species-notes": "", "IP-species-checked": "notRecommended", "IP-species-dilution-info": "", "IP-species-notes": "", "ICCIF-species-checked": "notRecommended", "ICCIF-species-dilution-info": "1/50", "ICCIF-species-notes": "<p></p>" } } }

产品详情

What is this antibody validated in?
Anti-TRIM21/SS-A antibody [EPR20290] (ab207728) is a rabbit recombinant monoclonal antibody and is validated for use in Western Blot (WB), Immunohistochemistry (IHC-P) in Human, Mouse, Rat samples.

What is the molecular weight of TRIM21/SS-A?
Anti-TRIM21/SS-A [EPR20290] (ab207728) specifically detects a band for TRIM21/SS-A (UniProt: P19474) at a molecular weight of 54kDa.

Trusted by the scientific community
Anti-TRIM21/SS-A [EPR20290] (ab207728) was first used in a scientific publication in 2017 and has been cited over 10 times in peer-reviewed journals.

Trial sizes available!
Test your antibody or perform pre-screening before committing to a larger quantity. Sold in 10µl. Discover our selection of trial-size antibodies.

Specificity confirmed
The specificity of Anti-TRIM21/SS-A antibody [EPR20290] (ab207728) has been confirmed by Western blot testing in TRIM21 Knockout HAP1 cell line, ab267024.

Other related products
We have a range of other formats of antibody clone [EPR20290] also available for your convenience: ab207728, Carrier free - ab232549

Patented technology
Our RabMAb® technology is a patented hybridoma-based technology for making rabbit monoclonal antibodies. For details on our patents, please refer to RabMAb® patents.

What are the advantages of a recombinant monoclonal antibody?
This product is a recombinant monoclonal antibody, which offers several advantages including:

  • - High batch-to-batch consistency and reproducibility
  • - Improved sensitivity and specificity
  • - Long-term security of supply
  • - Animal-free batch production

For more information, read more on recombinant antibodies.

性能和储存信息

形式
Liquid
纯化工艺
Affinity purification Protein A
存储溶液
pH: 7.2 - 7.4 Preservative: 0.01% Sodium azide Constituents: PBS, 40% Glycerol (glycerin, glycerine), 0.05% BSA
运输条件
Blue Ice
推荐的短期储存时间
1-2 weeks
推荐的短期储存条件
+4°C
推荐的长期储存条件
-20°C
分装信息
Upon delivery aliquot
储存信息
Avoid freeze / thaw cycle

补充信息

This supplementary information is collated from multiple sources and compiled automatically.

TRIM21 also known as SS-A or Ro52 is a 52 kDa protein that plays a role in the immune system. It functions as an E3 ubiquitin ligase involved in the ubiquitination process. This protein is expressed in various tissues including immune cells like lymphocytes and macrophages. TRIM21 recognizes autoantibodies linked to TRIM21 activity particularly those targeting the SS-A complex. Researchers often use antibodies like anti-TRIM21 or anti-SS-A to study its interactions and effects in cellular processes.
Biological function summary

TRIM21 contributes significantly to the regulation of immune responses and participates in innate and adaptive immunity. It forms part of a complex with other proteins to facilitate the degradation of viral particles through the ubiquitin-proteasome system a process known as antibody-dependent intracellular neutralization. As an important player in the immune defense TRIM21 oversees the timely removal of pathogens and prevents potential overactivation of immune responses that might harm the host.

Pathways

TRIM21 operates within the interferon signaling and NF-κB pathways two important areas of immune response modulation. TRIM21 interacts with molecules like transcription factors that influence the expression of interferon-responsive genes which are critical for pathogen defense. Its role in these pathways highlights its interactions with various immune-regulatory proteins helping to maintain immune system balance and effectiveness during infections.

TRIM21 has strong associations with autoimmune conditions such as systemic lupus erythematosus and Sjögren's syndrome. Autoantibodies against TRIM21 are often used as biomarkers for these diseases and their presence can indicate increased autoimmunity. Relationship with other autoantigens like SS-A/Ro60 further connects TRIM21 with disease mechanisms suggesting its importance in the pathology of these autoimmune disorders. Understanding the role of TRIM21 in these diseases may improve diagnostic and therapeutic strategies.

产品实验方案

For this product, it's our understanding that no specific protocols are required. You can visit:

靶点信息

E3 ubiquitin-protein ligase whose activity is dependent on E2 enzymes, UBE2D1, UBE2D2, UBE2E1 and UBE2E2 (PubMed : 16297862, PubMed : 16316627, PubMed : 16472766, PubMed : 16880511, PubMed : 18022694, PubMed : 18361920, PubMed : 18641315, PubMed : 18845142, PubMed : 19675099, PubMed : 26347139). Forms a ubiquitin ligase complex in cooperation with the E2 UBE2D2 that is used not only for the ubiquitination of USP4 and IKBKB but also for its self-ubiquitination (PubMed : 16880511, PubMed : 19675099). Component of cullin-RING-based SCF (SKP1-CUL1-F-box protein) E3 ubiquitin-protein ligase complexes such as SCF(SKP2)-like complexes (PubMed : 16880511). A TRIM21-containing SCF(SKP2)-like complex is shown to mediate ubiquitination of CDKN1B ('Thr-187' phosphorylated-form), thereby promoting its degradation by the proteasome (PubMed : 16880511). Monoubiquitinates IKBKB that will negatively regulates Tax-induced NF-kappa-B signaling (PubMed : 19675099). Negatively regulates IFN-beta production post-pathogen recognition by catalyzing polyubiquitin-mediated degradation of IRF3 (PubMed : 18641315). Mediates the ubiquitin-mediated proteasomal degradation of IgG1 heavy chain, which is linked to the VCP-mediated ER-associated degradation (ERAD) pathway (PubMed : 18022694). Promotes IRF8 ubiquitination, which enhanced the ability of IRF8 to stimulate cytokine genes transcription in macrophages (By similarity). Plays a role in the regulation of the cell cycle progression (PubMed : 16880511). Enhances the decapping activity of DCP2 (PubMed : 18361920). Exists as a ribonucleoprotein particle present in all mammalian cells studied and composed of a single polypeptide and one of four small RNA molecules (PubMed : 1985094, PubMed : 8666824). At least two isoforms are present in nucleated and red blood cells, and tissue specific differences in RO/SSA proteins have been identified (PubMed : 8666824). The common feature of these proteins is their ability to bind HY RNAs.2 (PubMed : 8666824). Involved in the regulation of innate immunity and the inflammatory response in response to IFNG/IFN-gamma (PubMed : 26347139). Organizes autophagic machinery by serving as a platform for the assembly of ULK1, Beclin 1/BECN1 and ATG8 family members and recognizes specific autophagy targets, thus coordinating target recognition with assembly of the autophagic apparatus and initiation of autophagy (PubMed : 26347139). Regulates also autophagy through FIP200/RB1CC1 ubiquitination and subsequent decreased protein stability (PubMed : 36359729). Represses the innate antiviral response by facilitating the formation of the NMI-IFI35 complex through 'Lys-63'-linked ubiquitination of NMI (PubMed : 26342464). During viral infection, promotes cell pyroptosis by mediating 'Lys-6'-linked ubiquitination of ISG12a/IFI27, facilitating its translocation into the mitochondria and subsequent CASP3 activation (PubMed : 36426955). When up-regulated through the IFN/JAK/STAT signaling pathway, promotes 'Lys-27'-linked ubiquitination of MAVS, leading to the recruitment of TBK1 and up-regulation of innate immunity (PubMed : 29743353). Mediates 'Lys-63'-linked polyubiquitination of G3BP1 in response to heat shock, leading to stress granule disassembly (PubMed : 36692217).
See full target information TRIM21

文献 (19)

Recent publications for all applications. Explore the full list and refine your search

Experimental & molecular medicine 57:1555-1566 PubMed40610751

2025

The ubiquitin E3 ligase TRIM21 suppresses type I interferon signaling via STING degradation and ameliorates systemic autoimmunity.

Applications

Unspecified application

Species

Unspecified reactive species

Da Som Kim,Youngjae Park,George C Tsokos,Mi-La Cho,Seung-Ki Kwok

Nature communications 16:3516 PubMed40229254

2025

Parallel comparison of T cell and B cell subpopulations of adenoid hypertrophy and tonsil hypertrophy of children.

Applications

Unspecified application

Species

Unspecified reactive species

Zihui Yu,Ziying Xu,Tongtong Fu,Shiyu Liu,Jinghua Cui,Bing Zhang,Jieqiong Liang,Chong Pang,Yuehua Ke,Ruikun Wang,Zhijie Tang,Yagang Gao,Bing Du,Yanling Feng,Hanqing Zhao,Guanhua Xue,Chao Yan,Lin Gan,Junxia Feng,Zheng Fan,Yang Yang,Lijuan Huang,Shuo Zhao,Sun Ying,Qinglong Gu,Jing Yuan

Autophagy 21:178-190 PubMed39172027

2024

TRIM21-mediated ubiquitination of SQSTM1/p62 abolishes its Ser403 phosphorylation and enhances palmitic acid cytotoxicity.

Applications

Unspecified application

Species

Unspecified reactive species

Peng Yang,Shenglan Gao,Jianliang Shen,Tong Liu,Kevin Lu,Xinlu Han,Jun Wang,Hong-Min Ni,Wen-Xing Ding,Hong Li,Ji-An Pan,Kesong Peng,Wei-Xing Zong

Journal of nanobiotechnology 22:464 PubMed39095755

2024

Momordica charantia L.-derived exosome-like nanovesicles stabilize p62 expression to ameliorate doxorubicin cardiotoxicity.

Applications

Unspecified application

Species

Unspecified reactive species

Cong Ye,Chen Yan,Si-Jia Bian,Xin-Ran Li,Yu Li,Kai-Xuan Wang,Yu-Hua Zhu,Liang Wang,Ying-Chao Wang,Yi-Yuan Wang,Tao-Sheng Li,Su-Hua Qi,Lan Luo

Life science alliance 7: PubMed38977311

2024

FAT10 inhibits TRIM21 to down-regulate antiviral type-I interferon secretion.

Applications

Unspecified application

Species

Unspecified reactive species

Kritika Saxena,Katharina Inholz,Michael Basler,Annette Aichem

Journal of hematology & oncology 17:45 PubMed38886748

2024

Remodeling of anti-tumor immunity with antibodies targeting a p53 mutant.

Applications

Unspecified application

Species

Unspecified reactive species

Dafei Chai,Junhao Wang,Chunmei Fan,Jing-Ming Lim,Xu Wang,Praveen Neeli,Xinfang Yu,Ken H Young,Yong Li

Experimental and therapeutic medicine 27:213 PubMed38590560

2024

TRIM21 silencing inhibits the apoptosis and expedites the osteogenic differentiation of dexamethasone‑induced MC3T3‑E1 cells by activating the Keap1/Nrf2 pathway.

Applications

Unspecified application

Species

Unspecified reactive species

Jiaqi Shi,Li Chen,Xu Wang,Xin Ma

British journal of cancer 130:526-541 PubMed38182686

2024

TRIM21/USP15 balances ACSL4 stability and the imatinib resistance of gastrointestinal stromal tumors.

Applications

Unspecified application

Species

Unspecified reactive species

Zhiwei Cui,Haoyu Sun,Zhishuang Gao,Chao Li,Tingting Xiao,Yibo Bian,Zonghang Liu,Tianhao Gu,Jianan Zhang,Tengyun Li,Qianzheng Zhou,Zhongyuan He,Bowen Li,Fengyuan Li,Zekuan Xu,Hao Xu

Cell death & disease 14:825 PubMed38092733

2023

The TRIM21-FOXD1-BCL-2 axis underlies hyperglycaemic cell death and diabetic tissue damage.

Applications

Unspecified application

Species

Unspecified reactive species

Wenwen Cheng,Cifeng Cai,Yifan Xu,Xueqi Xiao,Tiantian Shi,Yueling Liao,Xiaoyi Wang,Shasha Chen,Meiliang Zhou,Zhiyong Liao

NPJ breast cancer 9:85 PubMed37864041

2023

TRIM21 mediates the synergistic effect of Olaparib and Sorafenib by degrading BRCA1 through ubiquitination in TNBC.

Applications

Unspecified application

Species

Unspecified reactive species

Ning Huang,Peng Li,Xiaolin Sun,Li Tong,Xinyi Dong,Xuemei Zhang,Jifeng Duan,Xia Sheng,Hong Xin
View all publications

Abcam Product Promise

我们致力于为您的研究提供高质量的试剂,为您科研的每一步提供支持。若我们的产品未能达到预期性能,我们向您提供 Abcam Product Promise 保障。
详情请参阅我们的条款与条件。

Please note: All products are 'FOR RESEARCH USE ONLY. NOT FOR USE IN DIAGNOSTIC OR THERAPEUTIC PROCEDURES'.

For licensing inquiries, please contact partnerships@abcam.com