JavaScript is disabled in your browser. Please enable JavaScript to view this website.
AB108599

重组Anti-Trefoil Factor 3抗体[EPR3974]

Anti-Trefoil Factor 3 antibody [EPR3974]

4

(1 Review)

|

(26 Publications)

Rabbit Recombinant Monoclonal Trefoil Factor 3 antibody. Suitable for IHC-P, IP, WB and reacts with Human samples. Cited in 26 publications.

查看别名

ITF, TFI, TFF3, Trefoil factor 3, Intestinal trefoil factor, Polypeptide P1.B, hITF, hP1.B

16 Images
Immunohistochemistry (Formalin/PFA-fixed paraffin-embedded sections) - Anti-Trefoil Factor 3 antibody [EPR3974] (AB108599)
  • IHC-P

Unknown

Immunohistochemistry (Formalin/PFA-fixed paraffin-embedded sections) - Anti-Trefoil Factor 3 antibody [EPR3974] (AB108599)

Immunohistochemistry (Formalin/PFA-fixed paraffin-embedded sections) analysis of normal human uterus tissue labelling Trefoil Factor 3 with unpurified ab108599. Negative staining is shown.

Perform heat mediated antigen retrieval before commencing with IHC staining protocol.

Immunohistochemistry (Formalin/PFA-fixed paraffin-embedded sections) - Anti-Trefoil Factor 3 antibody [EPR3974] (AB108599)
  • IHC-P

Unknown

Immunohistochemistry (Formalin/PFA-fixed paraffin-embedded sections) - Anti-Trefoil Factor 3 antibody [EPR3974] (AB108599)

Immunohistochemistry (Formalin/PFA-fixed paraffin-embedded sections) analysis of normal human brain tissue labelling Trefoil Factor 3 with unpurified ab108599. Negative staining is shown.

Perform heat mediated antigen retrieval before commencing with IHC staining protocol.

Immunohistochemistry (Formalin/PFA-fixed paraffin-embedded sections) - Anti-Trefoil Factor 3 antibody [EPR3974] (AB108599)
  • IHC-P

Unknown

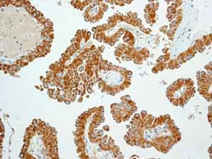
Immunohistochemistry (Formalin/PFA-fixed paraffin-embedded sections) - Anti-Trefoil Factor 3 antibody [EPR3974] (AB108599)

Immunohistochemistry (Formalin/PFA-fixed paraffin-embedded sections) analysis of human colon tissue labelling Trefoil Factor 3 with unpurified ab108599 at a dilution of 1/100.

Perform heat mediated antigen retrieval before commencing with IHC staining protocol.

Immunohistochemistry (Formalin/PFA-fixed paraffin-embedded sections) - Anti-Trefoil Factor 3 antibody [EPR3974] (AB108599)
  • IHC-P

Unknown

Immunohistochemistry (Formalin/PFA-fixed paraffin-embedded sections) - Anti-Trefoil Factor 3 antibody [EPR3974] (AB108599)

Immunohistochemistry (Formalin/PFA-fixed paraffin-embedded sections) analysis of human skeletal muslce tissue labelling Trefoil Factor 3 with unpurified ab108599. Negative staining is shown.

Perform heat mediated antigen retrieval before commencing with IHC staining protocol.

Immunohistochemistry (Formalin/PFA-fixed paraffin-embedded sections) - Anti-Trefoil Factor 3 antibody [EPR3974] (AB108599)
  • IHC-P

Lab

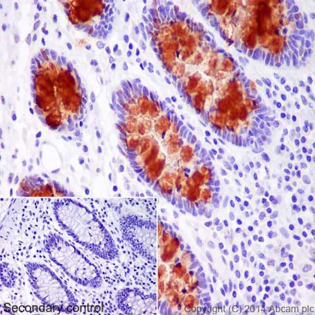
Immunohistochemistry (Formalin/PFA-fixed paraffin-embedded sections) - Anti-Trefoil Factor 3 antibody [EPR3974] (AB108599)

Immunohistochemistry (Formalin/PFA-fixed paraffin-embedded sections) analysis of human colon tissue labelling Trefoil Factor 3 with purified ab108599 at 1/2000. Heat mediated antigen retrieval was performed using Tris/EDTA buffer pH 9. ab97051, a HRP-conjugated goat anti-rabbit IgG (H+L) was used as the secondary antibody (1/500). Negative control using PBS instead of primary antibody. Counterstained with hematoxylin.

Immunohistochemistry (Formalin/PFA-fixed paraffin-embedded sections) - Anti-Trefoil Factor 3 antibody [EPR3974] (AB108599)
  • IHC-P

Unknown

Immunohistochemistry (Formalin/PFA-fixed paraffin-embedded sections) - Anti-Trefoil Factor 3 antibody [EPR3974] (AB108599)

Immunohistochemistry (Formalin/PFA-fixed paraffin-embedded sections) analysis of human endometrial carcinoma tissue labelling Trefoil Factor 3 with unpurified ab108599.

Perform heat mediated antigen retrieval before commencing with IHC staining protocol.

Immunohistochemistry (Formalin/PFA-fixed paraffin-embedded sections) - Anti-Trefoil Factor 3 antibody [EPR3974] (AB108599)
  • IHC-P

Unknown

Immunohistochemistry (Formalin/PFA-fixed paraffin-embedded sections) - Anti-Trefoil Factor 3 antibody [EPR3974] (AB108599)

Immunohistochemistry (Formalin/PFA-fixed paraffin-embedded sections) analysis of human papillary carcinoma of thyroid gland tissue labelling Trefoil Factor 3 with unpurified ab108599.

Perform heat mediated antigen retrieval before commencing with IHC staining protocol.

Immunohistochemistry (Formalin/PFA-fixed paraffin-embedded sections) - Anti-Trefoil Factor 3 antibody [EPR3974] (AB108599)
  • IHC-P

Unknown

Immunohistochemistry (Formalin/PFA-fixed paraffin-embedded sections) - Anti-Trefoil Factor 3 antibody [EPR3974] (AB108599)

Immunohistochemistry (Formalin/PFA-fixed paraffin-embedded sections) analysis of human breast carcinoma tissue labelling Trefoil Factor 3 with unpurified ab108599.

Perform heat mediated antigen retrieval before commencing with IHC staining protocol.

Immunohistochemistry (Formalin/PFA-fixed paraffin-embedded sections) - Anti-Trefoil Factor 3 antibody [EPR3974] (AB108599)
  • IHC-P

Lab

Immunohistochemistry (Formalin/PFA-fixed paraffin-embedded sections) - Anti-Trefoil Factor 3 antibody [EPR3974] (AB108599)

Immunohistochemistry (Formalin/PFA-fixed paraffin-embedded sections) analysis of human colonic carcinoma tissue labelling Trefoil Factor 3 with purified ab108599 at 1/2000. Heat mediated antigen retrieval was performed using Tris/EDTA buffer pH 9. ab97051, a HRP-conjugated goat anti-rabbit IgG (H+L) was used as the secondary antibody (1/500). Negative control using PBS instead of primary antibody. Counterstained with hematoxylin.

Immunohistochemistry (Formalin/PFA-fixed paraffin-embedded sections) - Anti-Trefoil Factor 3 antibody [EPR3974] (AB108599)
  • IHC-P

Unknown

Immunohistochemistry (Formalin/PFA-fixed paraffin-embedded sections) - Anti-Trefoil Factor 3 antibody [EPR3974] (AB108599)

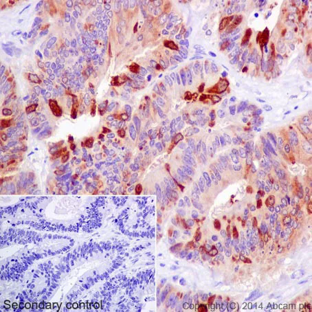
Immunohistochemistry (Formalin/PFA-fixed paraffin-embedded sections) analysis of human colonic adenocarcinoma tissue labelling Trefoil Factor 3 with unpurified ab108599 at a dilution of 1/100.

Perform heat mediated antigen retrieval before commencing with IHC staining protocol.

Immunoprecipitation - Anti-Trefoil Factor 3 antibody [EPR3974] (AB108599)
  • IP

Lab

Immunoprecipitation - Anti-Trefoil Factor 3 antibody [EPR3974] (AB108599)

ab108599 (purified) at 1/30 immunoprecipitating Trefoil Factor 3 in human small intestine tissue lysate. For western blotting, a peroxidase-conjugated goat anti-rabbit IgG (H+L) was used as the secondary antibody (1/1000).

Blocking buffer and concentration : 5% NFDM/TBST.

Diluting buffer and concentration : 5% NFDM /TBST.

All lanes:

Immunoprecipitation - Anti-Trefoil Factor 3 antibody [EPR3974] (ab108599)

Predicted band size: 8 kDa

false

Western blot - Anti-Trefoil Factor 3 antibody [EPR3974] (AB108599)
  • WB

Lab

Western blot - Anti-Trefoil Factor 3 antibody [EPR3974] (AB108599)

Blocking buffer and concentration : 5% NFDM/TBST.

Diluting buffer and concentration : 5% NFDM /TBST.

All lanes:

Western blot - Anti-Trefoil Factor 3 antibody [EPR3974] (ab108599) at 1/1000 dilution

All lanes:

Human colon tissue lysate at 20 µg

Secondary

All lanes:

Peroxidase-conjugated goat anti-rabbit IgG (H+L) at 1/1000 dilution

Predicted band size: 8 kDa

Observed band size: 9 kDa

false

Western blot - Anti-Trefoil Factor 3 antibody [EPR3974] (AB108599)
  • WB

Lab

Western blot - Anti-Trefoil Factor 3 antibody [EPR3974] (AB108599)

Blocking buffer and concentration : 5% NFDM/TBST.

Diluting buffer and concentration : 5% NFDM /TBST.

All lanes:

Western blot - Anti-Trefoil Factor 3 antibody [EPR3974] (ab108599) at 1/5000 dilution

All lanes:

Human small intestine tissue lysate at 20 µg

Secondary

All lanes:

Peroxidase-conjugated goat anti-rabbit IgG (H+L) at 1/1000 dilution

Predicted band size: 8 kDa

Observed band size: 9 kDa

false

Western blot - Anti-Trefoil Factor 3 antibody [EPR3974] (AB108599)
  • WB

Lab

Western blot - Anti-Trefoil Factor 3 antibody [EPR3974] (AB108599)

False colour image of Western blot : Anti-Trefoil Factor 3 antibody [EPR3974] staining at 1/1000 dilution, shown in black; Mouse anti-Alpha Tubulin [DM1A] (ab7291) loading control staining at 1/20000 dilution, shown in red. In Western blot, ab108599 was shown to bind specifically to Trefoil Factor 3. A band was observed at 10 kDa in wild-type MCF7 cell lysates with no signal observed at this size in TFF3 knockout cell line ab274936 (knockout cell lysate ab274994). To generate this image, wild-type and TFF3 knockout MCF7 cell lysates were analysed. First, samples were run on an SDS-PAGE gel then transferred onto a nitrocellulose membrane. Membranes were blocked in 3% milk in TBS-0.1 % Tween® 20 (TBS-T) before incubation with primary antibodies overnight at 4°C. Blots were washed four times in TBS-T, incubated with secondary antibodies for 1 h at room temperature, washed again four times before development with Optiblot (ECL reagent ab133456) and imaged with 20 minutes exposure time. Secondary antibodies used were HRP conjugated Goat anti-Rabbit (H+L) and Goat anti-Mouse IgG H&L (IRDye® 680RD) preabsorbed (ab216776) at 1/20000 dilution.

All lanes:

Western blot - Anti-Trefoil Factor 3 antibody [EPR3974] (ab108599) at 1/1000 dilution

Lane 1:

Wild-type MCF7 cell lysate at 20 µg

Lane 2:

TFF3 knockout MCF7 cell lysate at 20 µg

Lane 2:

Western blot - Human TFF3 knockout MCF7 cell line (<a href='/products/cell-lines/human-tff3-knockout-mcf7-cell-line-ab274936'>ab274936</a>)

Lane 3:

Human colon cell lysate at 20 µg

Lane 4:

THP-1 cell lysate at 20 µg

Predicted band size: 8 kDa

Observed band size: 10 kDa

false

Western blot - Anti-Trefoil Factor 3 antibody [EPR3974] (AB108599)
  • WB

Supplier Data

Western blot - Anti-Trefoil Factor 3 antibody [EPR3974] (AB108599)

All lanes:

Western blot - Anti-Trefoil Factor 3 antibody [EPR3974] (ab108599) at 1/1000 dilution

Lane 1:

Human small intestine tissue lysate at 10 µg

Lane 2:

Human uterus tissue lysate at 10 µg

Predicted band size: 8 kDa

false

OI-RD Scanning - Anti-Trefoil Factor 3 antibody [EPR3974] (AB108599)
  • OI-RD Scanning

Unknown

OI-RD Scanning - Anti-Trefoil Factor 3 antibody [EPR3974] (AB108599)

We have systematically measured KD (the equilibrium dissociation constant between the antibody and its antigen), of more than 840 recombinant antibodies to assess not only their individual KD values but also to see the average affinity of antibody. Based on the comparison with published literature values for mouse monoclonal antibodies, Recombinant antibodies appear to be on average 1-2 order of magnitude higher affinity.

不同偶联物与剂型 (8)

  • Carrier free

    Anti-Trefoil Factor 3 antibody [EPR3974] - BSA and Azide free

  • 665 Alexa Fluor® 647

    Alexa Fluor® 647 Anti-Trefoil Factor 3 antibody [EPR3974]

  • 519 Alexa Fluor® 488

    Alexa Fluor® 488 Anti-Trefoil Factor 3 antibody [EPR3974]

  • 617 Alexa Fluor® 594

    Alexa Fluor® 594 Anti-Trefoil Factor 3 antibody [EPR3974]

  • 578 PE

    PE Anti-Trefoil Factor 3 antibody [EPR3974]

  • 660 APC

    APC Anti-Trefoil Factor 3 antibody [EPR3974]

  • 565 Alexa Fluor® 555

    Alexa Fluor® 555 Anti-Trefoil Factor 3 antibody [EPR3974]

  • 775 Alexa Fluor® 750

    Alexa Fluor® 750 Anti-Trefoil Factor 3 antibody [EPR3974]

关键信息

宿主种属

Rabbit

克隆

Monoclonal

克隆号

EPR3974

亚型

IgG

不含载体蛋白

No

反应种属

Human

应用

IHC-P, WB, IP

applications

免疫原

The exact immunogen used to generate this antibody is proprietary information.

反应性数据

{ "title": "Reactivity Data", "filters": { "stats": ["", "Species", "Dilution Info", "Notes"], "tabs": { "all-applications": {"fullname" : "All Applications", "shortname": "All Applications"}, "IHCP" : {"fullname" : "Immunohistochemistry (Formalin/PFA-fixed paraffin-embedded sections)", "shortname":"IHC-P"}, "IP" : {"fullname" : "Immunoprecipitation", "shortname":"IP"}, "WB" : {"fullname" : "Western blot", "shortname":"WB"} }, "product-promise": { "all": "all", "testedAndGuaranteed": "tested", "guaranteed": "expected", "predicted": "predicted", "notRecommended": "not-recommended" } }, "values": { "Human": { "IHCP-species-checked": "testedAndGuaranteed", "IHCP-species-dilution-info": "1/2000", "IHCP-species-notes": "<p><strong>For unpurified use at 1/100 - 1/250.</strong></p>", "IP-species-checked": "testedAndGuaranteed", "IP-species-dilution-info": "1/30", "IP-species-notes": "<p><strong>For unpurified use at 1/10 - 1/100.</strong></p>", "WB-species-checked": "testedAndGuaranteed", "WB-species-dilution-info": "1/1000", "WB-species-notes": "<p><strong>For unpurified use at 1/1000 - 1/10000.</strong></p>" } } }

产品详情

Species reactivity
Mouse, Rat: We have preliminary internal testing data to indicate this antibody may not react with these species.
Please contact us for more information.

Patented technology
Our RabMAb® technology is a patented hybridoma-based technology for making rabbit monoclonal antibodies. For details on our patents, please refer to RabMAb® patents.

What are the advantages of a recombinant monoclonal antibody?
This product is a recombinant monoclonal antibody, which offers several advantages including:

  • - High batch-to-batch consistency and reproducibility
  • - Improved sensitivity and specificity
  • - Long-term security of supply
  • - Animal-free batch production

For more information, read more on recombinant antibodies.

性能和储存信息

形式
Liquid
纯化工艺
Affinity purification Protein A
存储溶液
pH: 7.2 - 7.4 Preservative: 0.01% Sodium azide Constituents: PBS, 40% Glycerol (glycerin, glycerine), 0.05% BSA
运输条件
Blue Ice
推荐的短期储存时间
1-2 weeks
推荐的短期储存条件
+4°C
推荐的长期储存条件
-20°C
分装信息
Upon delivery aliquot
储存信息
Stable for 12 months at -20°C

补充信息

This supplementary information is collated from multiple sources and compiled automatically.

Trefoil Factor 3 (TFF3) also known as intestinal trefoil factor is a small peptide with a molecular mass around 7 kDa. This protein is characterized by the presence of a trefoil domain which consists of a stable compact structure important for its function. TFF3 has significant expression in the gastrointestinal tract notably in the colon and small intestine where it acts to maintain the integrity of the mucosal barrier. It can also be found in other tissues but its concentrations vary depending on factors like tissue type and health status.
Biological function summary

TFF3 plays an important role in protecting and repairing epithelial tissues particularly those lining the gastrointestinal tract. This protein promotes epithelial restitution by aiding cell migration and inhibits apoptosis contributing to tissue healing processes. While TFF3 does not form part of a large protein complex it often interacts with mucins specifically mucin 2 to bolster the protective mucus layer which is essential for shielding epithelial cells.

Pathways

Trefoil Factor 3 is notably involved in pathways associated with mucosal immune response and inflammation. A significant pathway involving TFF3 is the mucosal defense pathway where it works alongside other mucins and proteins like epidermal growth factor (EGF) to mediate regeneration and defense of epithelial tissues after injury. It also engages in the Wnt signaling pathway where it affects cell proliferation and migration critical for maintaining epithelial homeostasis.

TFF3 has links to inflammatory bowel disease (IBD) and colorectal cancer. In IBD its expression levels may be altered affecting the ability of the intestine to protect itself and heal contributing to the disease's progression. In colorectal cancer TFF3 can exhibit upregulated expression linking it to tumor growth and metastasis. Proteins such as beta-catenin in the Wnt signaling pathway which are associated with cell cycle regulation have connections with TFF3 highlighting its role in cancerous transformations.

产品实验方案

For this product, it's our understanding that no specific protocols are required. You can visit:

靶点信息

Involved in the maintenance and repair of the intestinal mucosa. Promotes the mobility of epithelial cells in healing processes (motogen).
See full target information TFF3

文献 (26)

Recent publications for all applications. Explore the full list and refine your search

Medicina (Kaunas, Lithuania) 60: PubMed38256434

2024

PTEN, ERG, SPINK1, and TFF3 Status and Relationship in a Prostate Cancer Cohort from Jordanian Arab Population.

Applications

Unspecified application

Species

Unspecified reactive species

Samir Al Bashir,Mohammed S Alorjani,Khalid Kheirallah,Mohammad Al Hamad,Husam K Haddad,Ahmad Al-Dwairy,Baha A Bani-Fawwaz,Najla Aldaoud,Omar Halalsheh,Saddam Amawi,Ismail I Matalka

Advanced science (Weinheim, Baden-Wurttemberg, Germany) 11:e2304716 PubMed38247203

2024

A Pro-Regenerative Supramolecular Prodrug Protects Against and Repairs Colon Damage in Experimental Colitis.

Applications

Unspecified application

Species

Unspecified reactive species

Kelsey G DeFrates,Elaine Tong,Jing Cheng,Ellen Heber-Katz,Phillip B Messersmith

Nature communications 14:3469 PubMed37328469

2023

Single cell profiling of female breast fibroadenoma reveals distinct epithelial cell compositions and therapeutic targets.

Applications

Unspecified application

Species

Unspecified reactive species

Zhigang Chen,Yi Zhang,Wenlu Li,Chenyi Gao,Fengbo Huang,Lu Cheng,Menglei Jin,Xiaoming Xu,Jian Huang

Oncology letters 25:139 PubMed36909373

2023

Diagnostic utility of trefoil factor families for the early detection of lung cancer and their correlation with tissue expression.

Applications

Unspecified application

Species

Unspecified reactive species

Kentaro Minegishi,Yoh Dobashi,Teruhide Koyama,Yuko Ishibashi,Miki Furuya,Hiroyoshi Tsubochi,Yasukazu Ohmoto,Tomohiko Yasuda,Sachiyo Nomura

International journal of cancer 150:2058-2071 PubMed35262195

2022

The single-cell transcriptional landscape of lung carcinoid tumors.

Applications

Unspecified application

Species

Unspecified reactive species

Philip Bischoff,Alexandra Trinks,Jennifer Wiederspahn,Benedikt Obermayer,Jan Patrick Pett,Philipp Jurmeister,Aron Elsner,Tomasz Dziodzio,Jens-Carsten Rückert,Jens Neudecker,Christine Falk,Dieter Beule,Christine Sers,Markus Morkel,David Horst,Frederick Klauschen,Nils Blüthgen

Biology open 10: PubMed34693980

2021

Src family kinases inhibit differentiation of intestinal epithelial cells through the Hippo effector YAP1.

Applications

Unspecified application

Species

Unspecified reactive species

Sepideh Fallah,Jean-François Beaulieu

Romanian journal of morphology and embryology = Revue roumaine de morphologie et embryologie 62:41-52 PubMed34609407

2021

HOXB13 and TFF3 can contribute to the prognostic stratification of prostate adenocarcinoma.

Applications

Unspecified application

Species

Unspecified reactive species

Andrei Daniel Timofte,Simona Eliza Giuşcă,Ludmila Lozneanu,Mariana Bianca Manole,Iulian Prutianu,Bogdan Gafton,Andreea Rusu,Irina Draga Căruntu

Evidence-based complementary and alternative medicine : eCAM 2021:2130229 PubMed34567204

2021

Trefoil Factor 3 Inhibits Thyroid Cancer Cell Progression Related to IL-6/JAK/STAT3 Signaling Pathway.

Applications

Unspecified application

Species

Unspecified reactive species

Yunchao Xin,Xiaoling Shang,Xiaoran Sun,Yachao Liu,Guogang Xu,Gang Xue

EMBO molecular medicine 13:e14123 PubMed34409732

2021

Mitogen-activated protein kinase activity drives cell trajectories in colorectal cancer.

Applications

Unspecified application

Species

Unspecified reactive species

Florian Uhlitz,Philip Bischoff,Stefan Peidli,Anja Sieber,Alexandra Trinks,Mareen Lüthen,Benedikt Obermayer,Eric Blanc,Yana Ruchiy,Thomas Sell,Soulafa Mamlouk,Roberto Arsie,Tzu-Ting Wei,Kathleen Klotz-Noack,Roland F Schwarz,Birgit Sawitzki,Carsten Kamphues,Dieter Beule,Markus Landthaler,Christine Sers,David Horst,Nils Blüthgen,Markus Morkel

Oncology letters 21:63 PubMed33281974

2020

The expression of trefoil factor 3 is related to histologic subtypes and invasiveness in lung adenocarcinoma.

Applications

Unspecified application

Species

Unspecified reactive species

Wenjuan Luo,Shinichiro Tahara,Keisuke Kawasaki,Ayaka Kobayashi,Satoshi Nojima,Eiichi Morii
View all publications

Abcam Product Promise

我们致力于为您的研究提供高质量的试剂,为您科研的每一步提供支持。若我们的产品未能达到预期性能,我们向您提供 Abcam Product Promise 保障。
详情请参阅我们的条款与条件。

Please note: All products are 'FOR RESEARCH USE ONLY. NOT FOR USE IN DIAGNOSTIC OR THERAPEUTIC PROCEDURES'.

For licensing inquiries, please contact partnerships@abcam.com