JavaScript is disabled in your browser. Please enable JavaScript to view this website.
AB269756

Anti-Transferrin Receptor抗体[TFRC/1817] - BSA and Azide free

Anti-Transferrin Receptor antibody [TFRC/1817] - BSA and Azide free

Be the first to review this product! Submit a review

|

(0 Publication)

Mouse Monoclonal Transferrin Receptor antibody. Carrier free. Suitable for WB, IHC-P and reacts with Human samples.

查看别名

CD71, Transferrin receptor protein 1, TR, TfR, TfR1, Trfr, T9, Transferrin receptor 1, p90, TFRC

2 Images
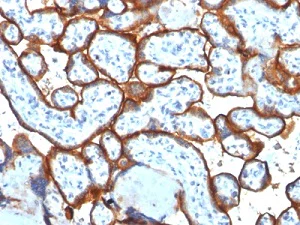
Immunohistochemistry (Formalin/PFA-fixed paraffin-embedded sections) - Anti-Transferrin Receptor antibody [TFRC/1817] - BSA and Azide free (AB269756)
  • IHC-P

Supplier Data

Immunohistochemistry (Formalin/PFA-fixed paraffin-embedded sections) - Anti-Transferrin Receptor antibody [TFRC/1817] - BSA and Azide free (AB269756)

Immunohistochemical analysis of formalin fixed, paraffin embedded human placenta tissue labeling Transferrin Receptor with ab218544 at 2ug/ml.

This data was developed using the same antibody clone in a different buffer formulation containing PBS, BSA, glycerol, and sodium azide (ab218544)

Western blot - Anti-Transferrin Receptor antibody [TFRC/1817] - BSA and Azide free (AB269756)
  • WB

Supplier Data

Western blot - Anti-Transferrin Receptor antibody [TFRC/1817] - BSA and Azide free (AB269756)

All lanes:

Western blot - Anti-Transferrin Receptor antibody [TFRC/1817] - BSA and Azide free (ab269756) at 2 µg/mL

Lane 1:

Jurkat cell lysate

Lane 2:

HeLa cell lysate

Lane 3:

MCF-7 cell lysate

Lane 4:

K562 cell lysate

Predicted band size: 84 kDa

false

关键信息

宿主种属

Mouse

克隆

Monoclonal

克隆号

TFRC/1817

亚型

IgG2b

轻链类型

kappa

不含载体蛋白

Yes

反应种属

Human

应用

WB, IHC-P

applications

免疫原

The exact immunogen used to generate this antibody is proprietary information.

反应性数据

{ "title": "Reactivity Data", "filters": { "stats": ["", "Species", "Dilution Info", "Notes"], "tabs": { "all-applications": {"fullname" : "All Applications", "shortname": "All Applications"}, "WB" : {"fullname" : "Western blot", "shortname":"WB"}, "IHCP" : {"fullname" : "Immunohistochemistry (Formalin/PFA-fixed paraffin-embedded sections)", "shortname":"IHC-P"} }, "product-promise": { "all": "all", "testedAndGuaranteed": "tested", "guaranteed": "expected", "predicted": "predicted", "notRecommended": "not-recommended" } }, "values": { "Human": { "WB-species-checked": "testedAndGuaranteed", "WB-species-dilution-info": "1-2 µg/mL", "WB-species-notes": "<p></p>", "IHCP-species-checked": "testedAndGuaranteed", "IHCP-species-dilution-info": "1-2 µg/mL", "IHCP-species-notes": "<p></p>" } } }

产品详情

ab269756 is a carrier free version of ab218544.

Conjugation ready
Our carrier-free antibodies are typically supplied in a PBS-only formulation, purified and free of BSA, sodium azide and glycerol. This conjugation-ready format is designed for use with fluorochromes, metal isotopes, oligonucleotides, and enzymes, which makes them ideal for antibody labelling, functional and cell-based assays, flow-based assays (e.g. mass cytometry) and Multiplex Imaging applications.

Use our conjugation kits for antibody conjugates that are ready-to-use in as little as 20 minutes with 1 minute hands-on-time and 100% antibody recovery: available for fluorescent dyes, HRP, biotin and gold.

Compatibility
This product is compatible with the Maxpar® Antibody Labeling Kit from Fluidigm, without the need for antibody preparation. Maxpar® is a trademark of Fluidigm Canada Inc.

性能和储存信息

形式
Liquid
纯化工艺
Affinity purification Protein A/G
存储溶液
pH: 7.2 - 7.4 Constituents: PBS
运输条件
Blue Ice
推荐的短期储存时间
1-2 weeks
推荐的短期储存条件
+4°C
推荐的长期储存条件
-20°C
分装信息
Upon delivery aliquot
储存信息
Avoid freeze / thaw cycle

补充信息

This supplementary information is collated from multiple sources and compiled automatically.

The transferrin receptor commonly referred to as TfR or CD71 is an integral membrane protein that facilitates the uptake of transferrin-bound iron into cells. This receptor has a molecular weight of around 95 kDa and often exists as a homodimer on the cell surface. It is widely expressed in many tissues especially in erythroid precursors and rapidly dividing cells. Alternate names for this receptor include TfR1 and TfR2 though they have distinct roles and distributions. Other transmembrane proteins like OX26 and MEM have been studied in relation to the transferrin receptor due to their involvement in drug delivery.
Biological function summary

TfR plays a critical role in iron homeostasis by mediating the internalization of transferrin and release of iron in the endosomes. It operates as part of the transferrin-transferrin receptor complex facilitating iron assimilation necessary for DNA synthesis and cell growth. Iron release involves acidifying endosomes allowing transferrin to bind with specific cellular receptors including alternate forms like beta 2 transferrin. The process subsequently contributes to erythropoiesis and various metabolic processes by regulating essential cellular iron levels.

Pathways

The transferrin receptor is central to iron metabolism and the receptor-mediated endocytosis pathway. It tightly interacts with transferrin and intracellular pathways process the iron released from transferrin within endosomes. The receptor's role in this pathway involves a dynamic with other proteins such as HFE and hepcidin. These interactions help control systemic iron levels linking closely to the maintenance of erythroid cell health and proliferation.

Disruptions in transferrin receptor function correlate with anemia and neurodegenerative disorders. In anemia related to iron deficiency impaired TfR activity reduces iron uptake culminating in insufficient erythropoiesis. Altered receptor expression or function also connects to neurological diseases like Alzheimer's where iron dysregulation is a concern. Here the transferrin receptor interacts with proteins like Amyloid precursor protein contributing to disease pathology through improper metal homeostasis.

产品实验方案

For this product, it's our understanding that no specific protocols are required. You can visit:

靶点信息

Cellular uptake of iron occurs via receptor-mediated endocytosis of ligand-occupied transferrin receptor into specialized endosomes (PubMed : 26214738). Endosomal acidification leads to iron release. The apotransferrin-receptor complex is then recycled to the cell surface with a return to neutral pH and the concomitant loss of affinity of apotransferrin for its receptor. Transferrin receptor is necessary for development of erythrocytes and the nervous system (By similarity). A second ligand, the hereditary hemochromatosis protein HFE, competes for binding with transferrin for an overlapping C-terminal binding site. Positively regulates T and B cell proliferation through iron uptake (PubMed : 26642240). Acts as a lipid sensor that regulates mitochondrial fusion by regulating activation of the JNK pathway (PubMed : 26214738). When dietary levels of stearate (C18 : 0) are low, promotes activation of the JNK pathway, resulting in HUWE1-mediated ubiquitination and subsequent degradation of the mitofusin MFN2 and inhibition of mitochondrial fusion (PubMed : 26214738). When dietary levels of stearate (C18 : 0) are high, TFRC stearoylation inhibits activation of the JNK pathway and thus degradation of the mitofusin MFN2 (PubMed : 26214738). Mediates uptake of NICOL1 into fibroblasts where it may regulate extracellular matrix production (By similarity).. (Microbial infection) Acts as a receptor for new-world arenaviruses : Guanarito, Junin and Machupo virus.. (Microbial infection) Acts as a host entry factor for rabies virus that hijacks the endocytosis of TFRC to enter cells.. (Microbial infection) Acts as a host entry factor for SARS-CoV, MERS-CoV and SARS-CoV-2 viruses that hijack the endocytosis of TFRC to enter cells.. (Microbial infection) Acts as a receptor for Plasmodium vivax.
See full target information TFRC

Abcam Product Promise

我们致力于为您的研究提供高质量的试剂,为您科研的每一步提供支持。若我们的产品未能达到预期性能,我们向您提供 Abcam Product Promise 保障。
详情请参阅我们的条款与条件。

Please note: All products are 'FOR RESEARCH USE ONLY. NOT FOR USE IN DIAGNOSTIC OR THERAPEUTIC PROCEDURES'.

For licensing inquiries, please contact partnerships@abcam.com