JavaScript is disabled in your browser. Please enable JavaScript to view this website.
AB236043

重组Anti-Transcription factor AP-2-alpha抗体[EPR2688(2)] - BSA and Azide free

Anti-Transcription factor AP-2-alpha antibody [EPR2688(2)] - BSA and Azide free

  • BOND RX™ Validated
  • Advanced Validation
  • RabMAb
  • Recombinant
  • KO Validated
  • 了解详情

Be the first to review this product! Submit a review

|

(1 Publication)

Rabbit Recombinant Monoclonal Transcription factor AP-2-alpha antibody. Carrier free. Suitable for IHC-P, IP, WB, ICC/IF, Flow Cyt (Intra), ChIC/CUT&RUN-seq and reacts with Rat, Human, Mouse samples. Cited in 1 publication.

查看别名

AP2TF, TFAP2, TFAP2A, Transcription factor AP-2-alpha, AP2-alpha, AP-2 transcription factor, Activating enhancer-binding protein 2-alpha, Activator protein 2, AP-2

12 Images
Flow Cytometry (Intracellular) - Anti-Transcription factor AP-2-alpha antibody [EPR2688(2)] - BSA and Azide free (AB236043)
  • Flow Cyt (Intra)

Lab

Flow Cytometry (Intracellular) - Anti-Transcription factor AP-2-alpha antibody [EPR2688(2)] - BSA and Azide free (AB236043)

This data was developed using ab108311, the same antibody clone in a different buffer formulation. Intracellular Flow Cytometry analysis of JAR (Human placenta choriocarcinoma epithelial cell) cells labeling Transcription factor AP-2-alpha with Purified ab108311 at 1/20 dilution (10 μg/mL) (Red). Cells were fixed with 4% Paraformaldehyde and permeabilised with 90% Methanol. A Goat anti rabbit IgG (Alexa Fluor® 488, ab150077) secondary antibody was used at 1/2000. Isotype control - Rabbit monoclonal IgG (Black). Unlabeled control - Cell without incubation with primary antibody and secondary antibody (Blue).

Immunocytochemistry/ Immunofluorescence - Anti-Transcription factor AP-2-alpha antibody [EPR2688(2)] - BSA and Azide free (AB236043)
  • ICC/IF

Lab

Immunocytochemistry/ Immunofluorescence - Anti-Transcription factor AP-2-alpha antibody [EPR2688(2)] - BSA and Azide free (AB236043)

This data was developed using ab108311, the same antibody clone in a different buffer formulation.
Immunocytochemistry analysis of JAR (Human placenta choriocarcinoma epithelial cell) cells labeling Transcription factor AP-2-alpha with Purified ab108311 at 1/50 dilution (3.4 µg/mL). Cells were fixed in 4% Paraformaldehyde and permeabilized with 0.1% tritonX-100. Cells were counterstained with ab195889 Anti-alpha Tubulin antibody [DM1A] - Microtubule Marker (Alexa Fluor® 594) 1/200 dilution (2.5 µg/mL). Goat anti rabbit IgG (Alexa Fluor® 488, ab150077) was used as the secondary antibody at 1/1000 dilution (2 µg/mL). DAPI (blue) was used as nuclear counterstain. PBS instead of the primary antibody was used as the secondary antibody only control.

Immunohistochemistry (Formalin/PFA-fixed paraffin-embedded sections) - Anti-Transcription factor AP-2-alpha antibody [EPR2688(2)] - BSA and Azide free (AB236043)
  • IHC-P

Lab

Immunohistochemistry (Formalin/PFA-fixed paraffin-embedded sections) - Anti-Transcription factor AP-2-alpha antibody [EPR2688(2)] - BSA and Azide free (AB236043)

This data was developed using ab108311, the same antibody clone in a different buffer formulation.
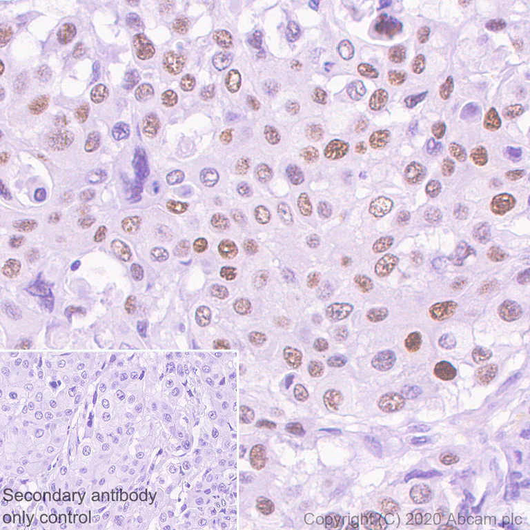
Immunohistochemistry (Formalin/PFA-fixed paraffin-embedded sections) analysis of human breast carcinoma tissue sections labeling Transcription factor AP-2-alpha with Purified ab108311 at 1/100 dilution (1.07 µg/mL). Heat mediated antigen retrieval using Bond™ Epitope Retrieval Solution 2 (pH 9.0). Rabbit specific IHC polymer detection kit HRP/DAB (ab209101) was used as the secondary antibody. Negative control : PBS instead of the primary antibody. Hematoxylin was used as a counterstain.

Immunohistochemistry (Formalin/PFA-fixed paraffin-embedded sections) - Anti-Transcription factor AP-2-alpha antibody [EPR2688(2)] - BSA and Azide free (AB236043)
  • IHC-P

Lab

Immunohistochemistry (Formalin/PFA-fixed paraffin-embedded sections) - Anti-Transcription factor AP-2-alpha antibody [EPR2688(2)] - BSA and Azide free (AB236043)

This data was developed using ab108311, the same antibody clone in a different buffer formulation.
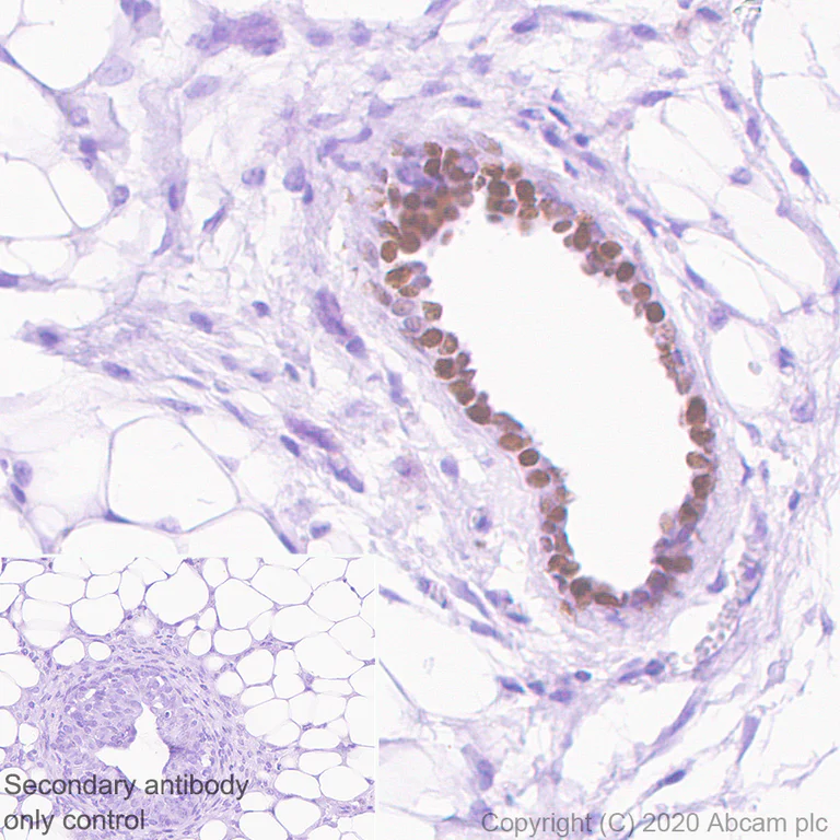
Immunohistochemistry (Formalin/PFA-fixed paraffin-embedded sections) analysis of mouse breast tissue sections labeling Transcription factor AP-2-alpha with Purified ab108311 at 1/100 dilution (1.07 µg/mL). Heat mediated antigen retrieval using Bond™ Epitope Retrieval Solution 2 (pH 9.0). Rabbit specific IHC polymer detection kit HRP/DAB (ab209101) was used as the secondary antibody. Negative control : PBS instead of the primary antibody. Hematoxylin was used as a counterstain.

Immunohistochemistry (Formalin/PFA-fixed paraffin-embedded sections) - Anti-Transcription factor AP-2-alpha antibody [EPR2688(2)] - BSA and Azide free (AB236043)
  • IHC-P

Lab

Immunohistochemistry (Formalin/PFA-fixed paraffin-embedded sections) - Anti-Transcription factor AP-2-alpha antibody [EPR2688(2)] - BSA and Azide free (AB236043)

This data was developed using ab108311, the same antibody clone in a different buffer formulation.
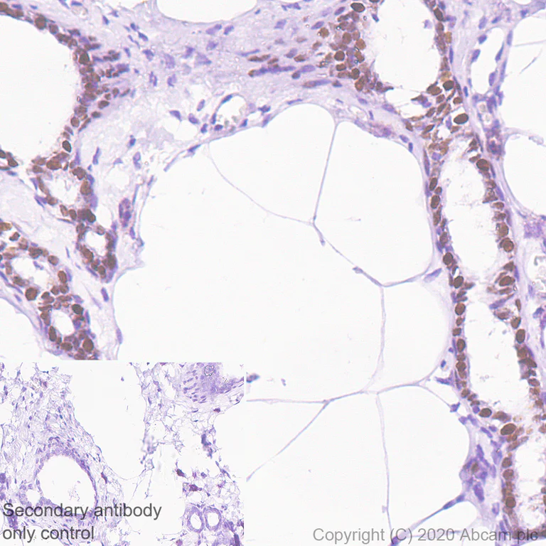
Immunohistochemistry (Formalin/PFA-fixed paraffin-embedded sections) analysis of rat breast tissue sections labeling Transcription factor AP-2-alpha with Purified ab108311 at 1/100 dilution (1.07 µg/mL). Heat mediated antigen retrieval using Bond™ Epitope Retrieval Solution 2 (pH 9.0). Rabbit specific IHC polymer detection kit HRP/DAB (ab209101) was used as the secondary antibody. Negative control : PBS instead of the primary antibody. Hematoxylin was used as a counterstain.

Western blot - Anti-Transcription factor AP-2-alpha antibody [EPR2688(2)] - BSA and Azide free (AB236043)
  • WB

Unknown

Western blot - Anti-Transcription factor AP-2-alpha antibody [EPR2688(2)] - BSA and Azide free (AB236043)

This data was developed using ab108311, the same antibody clone in a different buffer formulation.

All lanes:

Western blot - Anti-Transcription factor AP-2-alpha antibody [EPR2688(2)] (<a href='/products/primary-antibodies/transcription-factor-ap-2-alpha-antibody-epr26882-ab108311'>ab108311</a>) at 1/10000 dilution

Lane 1:

HeLa (Human cervix adenocarcinoma epithelial cell) whole cell lysate at 15 µg

Lane 2:

C6 (Rat glial tumor glial cell) whole cell lysate at 15 µg

Lane 3:

Mouse skin lysate at 15 µg

Secondary

All lanes:

Western blot - Goat Anti-Rabbit IgG H&L (HRP) (<a href='/products/secondary-antibodies/goat-rabbit-igg-h-l-hrp-ab97051'>ab97051</a>) at 1/20000 dilution

Predicted band size: 48 kDa

false

ChIC/CUT&RUN sequencing - Anti-Transcription factor AP-2-alpha antibody [EPR2688(2)] - BSA and Azide free (AB236043)
  • ChIC/CUT&RUN-seq

Lab

ChIC/CUT&RUN sequencing - Anti-Transcription factor AP-2-alpha antibody [EPR2688(2)] - BSA and Azide free (AB236043)

This data was developed using the same antibody clone in a different buffer formulation containing PBS, BSA, glycerol, and sodium azide (,ab108311).

ChIC/CUT&RUN was performed using a pAG-MNase at a final concentration of 700 ng/mL, 2.5 x 10^5 SK-MEL-28 (human malignant melanoma) cells and 5 µg of ab108311 [EPR2688(2)]. The resulting DNA was sequenced on the Illumina NovaSeq 6000 to a depth of 10 million reads. The negative IgG control ab172730 is also shown.
The University of Geneva owns patents relevant to ChIC (Chromatin Immuno-Cleavage) methods.

ChIC/CUT&RUN sequencing - Anti-Transcription factor AP-2-alpha antibody [EPR2688(2)] - BSA and Azide free (AB236043)
  • ChIC/CUT&RUN-seq

Lab

ChIC/CUT&RUN sequencing - Anti-Transcription factor AP-2-alpha antibody [EPR2688(2)] - BSA and Azide free (AB236043)

This data was developed using the same antibody clone in a different buffer formulation containing PBS, BSA, glycerol, and sodium azide (,ab108311).

ChIC/CUT&RUN was performed using a pAG-MNase at a final concentration of 700 ng/mL, 2.5 x 10^5 SK-MEL-28 (human malignant melanoma) cells and 5 µg of ab108311 [EPR2688(2)]. The resulting DNA was sequenced on the Illumina NovaSeq 6000 to a depth of 10 million reads. The negative IgG control ab172730 is also shown.
The University of Geneva owns patents relevant to ChIC (Chromatin Immuno-Cleavage) methods.

ChIC/CUT&RUN sequencing - Anti-Transcription factor AP-2-alpha antibody [EPR2688(2)] - BSA and Azide free (AB236043)
  • ChIC/CUT&RUN-seq

Lab

ChIC/CUT&RUN sequencing - Anti-Transcription factor AP-2-alpha antibody [EPR2688(2)] - BSA and Azide free (AB236043)

This data was developed using the same antibody clone in a different buffer formulation containing PBS, BSA, glycerol, and sodium azide (,ab108311).

ChIC/CUT&RUN was performed using a pAG-MNase at a final concentration of 700 ng/mL, 2.5 x 10^5 SK-MEL-28 (human malignant melanoma) cells and 5 µg of ab108311 [EPR2688(2)]. The resulting DNA was sequenced on the Illumina NovaSeq 6000 to a depth of 10 million reads. The negative IgG control ab172730 is also shown.
The University of Geneva owns patents relevant to ChIC (Chromatin Immuno-Cleavage) methods.

Immunoprecipitation - Anti-Transcription factor AP-2-alpha antibody [EPR2688(2)] - BSA and Azide free (AB236043)
  • IP

Lab

Immunoprecipitation - Anti-Transcription factor AP-2-alpha antibody [EPR2688(2)] - BSA and Azide free (AB236043)

This data was developed using ab108311, the same antibody clone in a different buffer formulation.
Purified ab108311 at 1/20 dilution (0.5µg) immunoprecipitating Transcription factor AP-2-alpha in HeLa whole cell lysate.
Lane 1 (input) : HeLa (Human cervix adenocarcinoma epithelial cell) whole cell lysate 10µg
Lane 2 (+) : ab108311 + HeLa whole cell lysate.
Lane 3 (-) : Rabbit monoclonal IgG (ab172730) instead of ab108311 in HeLa whole cell lysate.
VeriBlot for IP Detection Reagent (HRP) (ab131366) (1/10,000 dilution) was used for Western blotting.
Blocking Buffer and concentration : 5% NFDM/TBST.
Diluting buffer and concentration : 5% NFDM/TBST.
Observed band size : 48 kDa

All lanes:

Immunoprecipitation - Anti-Transcription factor AP-2-alpha antibody [EPR2688(2)] (<a href='/products/primary-antibodies/transcription-factor-ap-2-alpha-antibody-epr26882-ab108311'>ab108311</a>)

Predicted band size: 48 kDa

false

Western blot - Anti-Transcription factor AP-2-alpha antibody [EPR2688(2)] - BSA and Azide free (AB236043)
  • WB

Lab

Western blot - Anti-Transcription factor AP-2-alpha antibody [EPR2688(2)] - BSA and Azide free (AB236043)

Lanes 1 - 2 : Merged signal (red and green). Green - ab108311 observed at 48 kDa. Red - loading control, ab9484, observed at 37 kDa.

ab108311 was shown to recognize 0 in wild-type HAP1 cells as signal was lost at the expected MW in TFAP2A (AP2A) knockout cells. Additional cross-reactive bands were observed in the wild-type and knockout cells. Wild-type and TFAP2A (AP2A) knockout samples were subjected to SDS-PAGE. ab108311 and ab9484 (Mouse anti-GAPDH loading control) were incubated overnight at 4°C at 1/1000 dilution and 1/20000 dilution respectively. Blots were developed with Goat anti-Rabbit IgG H&L (IRDye® 800CW) preabsorbed ab216773 and Goat anti-Mouse IgG H&L (IRDye® 680RD) preabsorbed ab216776 secondary antibodies at 1/20000 dilution for 1 hour at room temperature before imaging.

This data was developed using the same antibody clone in a different buffer formulation containing PBS, BSA, glycerol, and sodium azide (ab108311).

All lanes:

Western blot - Anti-Transcription factor AP-2-alpha antibody [EPR2688(2)] (<a href='/products/primary-antibodies/transcription-factor-ap-2-alpha-antibody-epr26882-ab108311'>ab108311</a>) at 1/1000 dilution

Lane 1:

Wild-type HAP1 whole cell lysate at 20 µg

Lane 2:

TFAP2A (Transcription factor AP-2-alpha) knockout HAP1 whole cell lysate at 20 µg

Predicted band size: 44 kDa,48 kDa

Observed band size: 44 kDa

false

Western blot - Anti-Transcription factor AP-2-alpha antibody [EPR2688(2)] - BSA and Azide free (AB236043)
  • WB

Lab

Western blot - Anti-Transcription factor AP-2-alpha antibody [EPR2688(2)] - BSA and Azide free (AB236043)

This data was developed using the same antibody clone in a different buffer formulation (ab108311).

Lanes 1- 2 : Merged signal (red and green). Green - ab108311 observed at 48 kDa. Red - Anti-GAPDH antibody [6C5] - Loading Control (ab8245) observed at 37 kDa.

ab108311 was shown to react with Transcription factor AP-2-alpha in wild-type HeLa cells in western blot. Loss of signal was observed when knockout cell line ab265122 (knockout cell lysate ab257736) was used. Wild-type HeLa and TFAP2A knockout HeLa cell lysates were subjected to SDS-PAGE. ab108311 and Anti-GAPDH antibody [6C5] - Loading Control (ab8245) were incubated overnight at 4°C at a 1 in 1000 Dilution and a 1 in 20000 dilution respectively. Blots were developed with Goat anti-Rabbit IgG H&L (IRDye®800CW) preadsorbed (ab216773) and Goat anti-Mouse IgG H&L (IRDye®680RD) preadsorbed (ab216776) secondary antibodies at 1 in 20000 dilution for 1 hour at room temperature before imaging.

All lanes:

Western blot - Anti-Transcription factor AP-2-alpha antibody [EPR2688(2)] (<a href='/products/primary-antibodies/transcription-factor-ap-2-alpha-antibody-epr26882-ab108311'>ab108311</a>) at 1/1000 dilution

Lane 1:

Wild-type HeLa cell lysate at 20 µg

Lane 2:

TFAP2A knockout HeLa cell lysate at 20 µg

Lane 2:

Western blot - Human TFAP2A (Transcription factor AP-2-alpha) knockout HeLa cell line (<a href='/products/cell-lines/human-tfap2a-transcription-factor-ap-2-alpha-knockout-hela-cell-line-ab265122'>ab265122</a>)

Predicted band size: 122 kDa,125 kDa,32 kDa,39 kDa,40 kDa,41 kDa,42 kDa,45 kDa,48 kDa,74 kDa,77 kDa,83 kDa,97 kDa

Observed band size: 100 kDa,120 kDa,125 kDa,150 kDa,31 kDa,40 kDa,41 kDa,42 kDa,45 kDa,48 kDa,50 kDa,70 kDa,74 kDa,75 kDa,77 kDa,95 kDa

false

关键信息

宿主种属

Rabbit

克隆

Monoclonal

克隆号

EPR2688(2)

亚型

IgG

不含载体蛋白

Yes

反应种属

Mouse, Rat, Human

应用

WB, ChIC/CUT&RUN-seq, IHC-P, Flow Cyt (Intra), IP, ICC/IF

applications

免疫原

The exact immunogen used to generate this antibody is proprietary information.

反应性数据

{ "title": "Reactivity Data", "filters": { "stats": ["", "Species", "Dilution Info", "Notes"], "tabs": { "all-applications": {"fullname" : "All Applications", "shortname": "All Applications"}, "IHCP" : {"fullname" : "Immunohistochemistry (Formalin/PFA-fixed paraffin-embedded sections)", "shortname":"IHC-P"}, "IP" : {"fullname" : "Immunoprecipitation", "shortname":"IP"}, "WB" : {"fullname" : "Western blot", "shortname":"WB"}, "ICCIF" : {"fullname" : "Immunocytochemistry/ Immunofluorescence", "shortname":"ICC/IF"}, "FlowCytIntra" : {"fullname" : "Flow Cytometry (Intracellular)", "shortname":"Flow Cyt (Intra)"}, "ChICCUTRUNseq" : {"fullname" : "ChIC/CUT&RUN sequencing", "shortname":"ChIC/CUT&RUN-seq"} }, "product-promise": { "all": "all", "testedAndGuaranteed": "tested", "guaranteed": "expected", "predicted": "predicted", "notRecommended": "not-recommended" } }, "values": { "Human": { "IHCP-species-checked": "testedAndGuaranteed", "IHCP-species-dilution-info": "", "IHCP-species-notes": "<p></p>", "IP-species-checked": "testedAndGuaranteed", "IP-species-dilution-info": "", "IP-species-notes": "<p></p>", "WB-species-checked": "testedAndGuaranteed", "WB-species-dilution-info": "", "WB-species-notes": "<p></p>", "ICCIF-species-checked": "testedAndGuaranteed", "ICCIF-species-dilution-info": "", "ICCIF-species-notes": "<p></p>", "FlowCytIntra-species-checked": "testedAndGuaranteed", "FlowCytIntra-species-dilution-info": "", "FlowCytIntra-species-notes": "<p></p>", "ChICCUTRUNseq-species-checked": "testedAndGuaranteed", "ChICCUTRUNseq-species-dilution-info": "", "ChICCUTRUNseq-species-notes": "<p></p>" }, "Mouse": { "IHCP-species-checked": "testedAndGuaranteed", "IHCP-species-dilution-info": "", "IHCP-species-notes": "<p></p>", "IP-species-checked": "guaranteed", "IP-species-dilution-info": "", "IP-species-notes": "", "WB-species-checked": "testedAndGuaranteed", "WB-species-dilution-info": "", "WB-species-notes": "<p></p>", "ICCIF-species-checked": "guaranteed", "ICCIF-species-dilution-info": "", "ICCIF-species-notes": "", "FlowCytIntra-species-checked": "guaranteed", "FlowCytIntra-species-dilution-info": "", "FlowCytIntra-species-notes": "", "ChICCUTRUNseq-species-checked": "guaranteed", "ChICCUTRUNseq-species-dilution-info": "", "ChICCUTRUNseq-species-notes": "" }, "Rat": { "IHCP-species-checked": "testedAndGuaranteed", "IHCP-species-dilution-info": "", "IHCP-species-notes": "<p></p>", "IP-species-checked": "guaranteed", "IP-species-dilution-info": "", "IP-species-notes": "", "WB-species-checked": "testedAndGuaranteed", "WB-species-dilution-info": "", "WB-species-notes": "<p></p>", "ICCIF-species-checked": "guaranteed", "ICCIF-species-dilution-info": "", "ICCIF-species-notes": "", "FlowCytIntra-species-checked": "guaranteed", "FlowCytIntra-species-dilution-info": "", "FlowCytIntra-species-notes": "", "ChICCUTRUNseq-species-checked": "guaranteed", "ChICCUTRUNseq-species-dilution-info": "", "ChICCUTRUNseq-species-notes": "" } } }

产品详情

ab236043 is the carrier-free version of ab108311.

Patented technology
Our RabMAb® technology is a patented hybridoma-based technology for making rabbit monoclonal antibodies. For details on our patents, please refer to RabMAb® patents.

What are the advantages of a recombinant monoclonal antibody?
This product is a recombinant monoclonal antibody, which offers several advantages including:

  • - High batch-to-batch consistency and reproducibility
  • - Improved sensitivity and specificity
  • - Long-term security of supply
  • - Animal-free batch production

For more information, read more on recombinant antibodies.

Conjugation ready
Our carrier-free antibodies are typically supplied in a PBS-only formulation, purified and free of BSA, sodium azide and glycerol. This conjugation-ready format is designed for use with fluorochromes, metal isotopes, oligonucleotides, and enzymes, which makes them ideal for antibody labelling, functional and cell-based assays, flow-based assays (e.g. mass cytometry) and Multiplex Imaging applications.

Use our conjugation kits for antibody conjugates that are ready-to-use in as little as 20 minutes with 1 minute hands-on-time and 100% antibody recovery: available for fluorescent dyes, HRP, biotin and gold.

Compatibility
This product is compatible with the Maxpar® Antibody Labeling Kit from Fluidigm, without the need for antibody preparation. Maxpar® is a trademark of Fluidigm Canada Inc.

性能和储存信息

形式
Liquid
纯化工艺
Affinity purification Protein A
存储溶液
pH: 7.2 - 7.4 Constituents: PBS
运输条件
Blue Ice
推荐的短期储存条件
+4°C
推荐的长期储存条件
+4°C
储存信息
Do Not Freeze

补充信息

This supplementary information is collated from multiple sources and compiled automatically.

Transcription factor AP-2-alpha also known as TFAP2A or AP-2 is a protein acting as an important regulator in cellular processes. It weighs approximately 52 kDa. TFAP2A is known for its role in binding specific DNA sequences to regulate target gene transcription. It expresses highly in neural crest-derived tissues as well as in the placenta breast and skin. This transcription factor plays an essential role in embryonic development cell proliferation and differentiation.
Biological function summary

TFAP2A contributes significantly to the regulation of gene expression involved in essential developmental and cellular processes. It acts as part of a complex with other transcription factors allowing it to coordinate the expression of a variety of genes linked to cell growth and apoptosis. AP-2 also regulates genes involved in neural development and skin morphogenesis. Its interaction with other factors such as AP-2γ and AP-2β enhances its functionality indicating a complex mechanism of action.

Pathways

TFAP2A engages in critical signalling circuits such as the MAPK and Wnt pathways which are essential for cell cycle regulation and embryonic development. Within these pathways related proteins like AP-2γ and AP-594 interact with TFAP2A further illustrating its role in signal transduction. These relationships highlight the importance of TFAP2A in orchestrating cellular responses to growth signals and environmental cues.

TFAP2A has links to a range of pathological conditions including cancer and neural crest-related disorders. In melanoma for example TFAP2A's regulatory role affects genes associated with tumor growth and metastasis. The protein's interaction with other transcription factors like AP-647 may influence cancer progression and therapy response. Additionally the dysregulation of TFAP2A affects neural crest development potentially leading to congenital disorders. Understanding these interactions assists in unraveling the molecular basis of such diseases and informs therapeutic strategies.

产品实验方案

For this product, it's our understanding that no specific protocols are required. You can visit:

靶点信息

Sequence-specific DNA-binding protein that interacts with inducible viral and cellular enhancer elements to regulate transcription of selected genes. AP-2 factors bind to the consensus sequence 5'-GCCNNNGGC-3' and activate genes involved in a large spectrum of important biological functions including proper eye, face, body wall, limb and neural tube development. They also suppress a number of genes including MCAM/MUC18, C/EBP alpha and MYC. AP-2-alpha is the only AP-2 protein required for early morphogenesis of the lens vesicle. Together with the CITED2 coactivator, stimulates the PITX2 P1 promoter transcription activation. Associates with chromatin to the PITX2 P1 promoter region.
See full target information TFAP2A

文献 (1)

Recent publications for all applications. Explore the full list and refine your search

iScience 25:103785 PubMed35146396

2022

PD-L1CD8 T cells enrichment in lung cancer exerted regulatory function and tumor-promoting tolerance.

Applications

Unspecified application

Species

Unspecified reactive species

Yingxia Zheng,Li Han,Zheyi Chen,Yiyang Li,Bingqian Zhou,Rui Hu,Shiyu Chen,Haibo Xiao,Yanhui Ma,Guohua Xie,Junyao Yang,Xianting Ding,Lisong Shen
View all publications

Abcam Product Promise

我们致力于为您的研究提供高质量的试剂,为您科研的每一步提供支持。若我们的产品未能达到预期性能,我们向您提供 Abcam Product Promise 保障。
详情请参阅我们的条款与条件。

Please note: All products are 'FOR RESEARCH USE ONLY. NOT FOR USE IN DIAGNOSTIC OR THERAPEUTIC PROCEDURES'.

For licensing inquiries, please contact partnerships@abcam.com