JavaScript is disabled in your browser. Please enable JavaScript to view this website.
AB33915

Anti-TRAF6 抗体 [EP591Y]

Anti-TRAF6 antibody [EP591Y]

  • RabMAb
  • Recombinant
  • KO Validated
  • 20ul selling size
  • 了解详情

4

(9 Reviews)

|

(182 Publications)

Anti-TRAF6 antibody [EP591Y] (ab33915) is a rabbit monoclonal antibody detecting TRAF6 in Western Blot, Flow Cytometry (Intra), Flow Cytometry, IHC-P. Suitable for Human, Mouse, Rat.

- KO validated for confirmed specificity
- Biophysical QC for unrivalled batch-batch consistency
- Over 150 publications
- Trusted since 2006

查看别名

RNF85, TRAF6, TNF receptor-associated factor 6, E3 ubiquitin-protein ligase TRAF6, Interleukin-1 signal transducer, RING finger protein 85, RING-type E3 ubiquitin transferase TRAF6

9 Images
Flow Cytometry (Intracellular) - Anti-TRAF6 antibody [EP591Y] (AB33915)
  • Flow Cyt (Intra)

Unknown

Flow Cytometry (Intracellular) - Anti-TRAF6 antibody [EP591Y] (AB33915)

Intracellular Flow Cytometry analysis of Jurkat (human acute T cell leukemia) cells labeling TRAF6 with purified ab33915 at 1/240 dilution (10ug/ml) (red). Cells were fixed with 4% paraformaldehyde and permeabilised with 90% methanol. A Goat anti rabbit IgG (Alexa Fluor® 488) (1/2000 dilution) was used as the secondary antibody. Rabbit monoclonal IgG (Black) was used as the isotype control, cells without incubation with primary antibody and secondary antibody (Blue) was used as the unlabeled control.

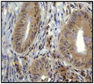
Immunohistochemistry (Formalin/PFA-fixed paraffin-embedded sections) - Anti-TRAF6 antibody [EP591Y] (AB33915)
  • IHC-P

Unknown

Immunohistochemistry (Formalin/PFA-fixed paraffin-embedded sections) - Anti-TRAF6 antibody [EP591Y] (AB33915)

Immunohistochemical analysis of paraffin-embedded human colon adenocarcinoma using anti-TRAF6 (ab33915)

Perform heat mediated antigen retrieval with citrate buffer pH 6 before commencing with IHC staining protocol.

Flow Cytometry (Intracellular) - Anti-TRAF6 antibody [EP591Y] (AB33915)
  • Flow Cyt (Intra)

AbReview22245****

Flow Cytometry (Intracellular) - Anti-TRAF6 antibody [EP591Y] (AB33915)

ab33915 staining TRAF6 in Human platelet cells by intracellular flow cytometry.Cells were fixed in paraformaldehyde and permeabilized using 0.1% Triton-X-100 in 2% BSA for 15 minutes. Primary antibody used at a 1/200 dilution and incubated for 16 hours at 4°C. The secondary antibody used was an Alexa Fluor®488 conjugated chicken anti-rabbit IgG (H+L) at a 1/500 dilution.

P : permeabilized US : Unstained (Red Peak) IGG RB : IgG Rabbit (Blue Peak) TRAF6 Ab (Green Peak)

This image is courtesy of an anonymous Abreview.

Flow Cytometry (Intracellular) - Anti-TRAF6 antibody [EP591Y] (AB33915)
  • Flow Cyt (Intra)

Unknown

Flow Cytometry (Intracellular) - Anti-TRAF6 antibody [EP591Y] (AB33915)

Overlay histogram showing HAP1 wildtype (green line) and HAP1-TRAF6 knockout cells (red line) stained with ab33915. The cells were fixed with 4% formaldehyde (10 min) and then permeabilized with 0.1% PBS-Triton X-100 for 15 min. The cells were then incubated in 1x PBS / 10% normal goat serum to block non-specific protein-protein interactions followed by the antibody (ab33915, 0.1μg/ml) for 30 min at 22°C. The secondary antibody used was Alexa Fluor® 488 goat anti-rabbit IgG (H&L) preadsorbed (ab150081) at 1/2000 dilution for 30 min at 22°C. A rabbit IgG isotype control antibody (ab172730) was used at the same concentration and conditions as the primary antibody (HAP1 wildtype - black line, HAP1-TRAF6 knockout - grey line). Unlabelled sample was also used as a control (this line is not shown for the purpose of simplicity). Acquisition of >5,000 events were collected using a 50 mW Blue laser (488nm) and 530/30 bandpass filter.

Western blot - Anti-TRAF6 antibody [EP591Y] (AB33915)
  • WB

Unknown

Western blot - Anti-TRAF6 antibody [EP591Y] (AB33915)

Lane 1 : Wild type HAP1 whole cell lysate (20 μg)
Lane 2 : TRAF6 knockout HAP1 whole cell lysate (20 μg)
Lane 3 : HeLa whole cell lysate (20 μg)
Lane 4 : HEK293 whole cell lysate (20 μg)

Lanes 1 - 4 : Merged signal (red and green). Green - ab33915 observed at 65 kDa. Red - loading control, ab8245, observed at 37 kDa.

ab33915 was shown to specifically react with TRAF6 in wild-type cells as signal was lost in TRAF6 knockout HAP1 cells. Wild-type and TRAF6 knockout samples were subjected to SDS-PAGE. ab33915 and ab8245 (Mouse anti GAPDH loading control) were incubated overnight at 4°C at 2000 dilution and 1/10000 dilution respectively. Blots were developed with Goat anti-Rabbit IgG H&L (IRDye® 800CW) preabsorbed ab216773 and Goat anti-Mouse IgG H&L (IRDye® 680RD) preabsorbed ab216776 secondary antibodies at 1/10000 dilution for 1 hour at room temperature before imaging

All lanes:

Western blot - Anti-TRAF6 antibody [EP591Y] (ab33915)

Predicted band size: 60 kDa

false

Western blot - Anti-TRAF6 antibody [EP591Y] (AB33915)
  • WB

Unknown

Western blot - Anti-TRAF6 antibody [EP591Y] (AB33915)

All lanes:

Western blot - Anti-TRAF6 antibody [EP591Y] (ab33915) at 1/10000 dilution

All lanes:

Jurkat cell lysate

Predicted band size: 60 kDa

false

Western blot - Anti-TRAF6 antibody [EP591Y] (AB33915)
  • WB

Lab

Western blot - Anti-TRAF6 antibody [EP591Y] (AB33915)

Lanes 1- 4 : Merged signal (red and green). Green - ab33915 observed at 65 kDa. Red - Anti-GAPDH antibody [6C5] - Loading Control (ab8245) observed at 37 kDa.

ab33915 was shown to react with TRAF6 in wild-type HeLa cells in western blot. Loss of signal was observed when knockout cell line ab266009 (knockout cell lysate ab257760) was used. Wild-type HeLa and TRAF6 knockout HeLa cell lysates were subjected to SDS-PAGE. Membrane was blocked for 1 hour at room temperature in 0.1% TBST with 3% non-fat dried milk. ab33915 and Anti-GAPDH antibody [6C5] - Loading Control (ab8245) overnight at 4°C at a 1 in 2000 dilution and a 1 in 20000 dilution respectively. Blots were developed with Goat anti-Rabbit IgG H&L (IRDye®800CW) preadsorbed (ab216773) and Goat anti-Mouse IgG H&L (IRDye®680RD) preadsorbed (ab216776) secondary antibodies at 1 in 20000 dilution for 1 hour at room temperature before imaging.

All lanes:

Western blot - Anti-TRAF6 antibody [EP591Y] (ab33915) at 1/2000 dilution

Lane 1:

Wild-type HeLa cell lysate at 20 µg

Lane 2:

TRAF6 knockout HeLa cell lysate at 20 µg

Lane 2:

Western blot - Human TRAF6 knockout HeLa cell line (<a href='/products/cell-lines/human-traf6-knockout-hela-cell-line-ab266009'>ab266009</a>)

Lane 3:

HAP1 cell lysate at 20 µg

Lane 4:

Daudi cell lysate at 20 µg

Predicted band size: 60 kDa

Observed band size: 65 kDa

false

Western blot - Anti-TRAF6 antibody [EP591Y] (AB33915)
  • WB

Lab

Western blot - Anti-TRAF6 antibody [EP591Y] (AB33915)

All lanes:

Western blot - Anti-TRAF6 antibody [EP591Y] (ab33915) at 1/1000 dilution

Lane 1:

Raw264.7 (Mouse Abelson murine leukemia virus-induced tumor macrophage) whole cell lysates at 15 µg

Lane 2:

PC-12 (Rat adrenal gland pheochromocytoma) whole cell lysates at 15 µg

Secondary

All lanes:

Western blot - Goat Anti-Rabbit IgG H&L (HRP) (<a href='/products/secondary-antibodies/goat-rabbit-igg-h-l-hrp-ab97051'>ab97051</a>) at 1/20000 dilution

Predicted band size: 60 kDa

false

Western blot - Anti-TRAF6 antibody [EP591Y] (AB33915)
  • WB

Lab

Western blot - Anti-TRAF6 antibody [EP591Y] (AB33915)

All lanes:

Western blot - Anti-TRAF6 antibody [EP591Y] (ab33915) at 1/1000 dilution

Lane 1:

HeLa (Human cervix adenocarcinoma epithelial cell) whole cell lysates at 15 µg

Lane 2:

Human heart lysates at 15 µg

Lane 3:

Human skeletal muscle lysates at 15 µg

Lane 4:

Mouse skeletal muscle lysates at 15 µg

Lane 5:

Rat skeletal muscle lysates at 15 µg

Secondary

All lanes:

Western blot - Goat Anti-Rabbit IgG H&L (HRP) (<a href='/products/secondary-antibodies/goat-rabbit-igg-h-l-hrp-ab97051'>ab97051</a>) at 1/20000 dilution

Predicted band size: 60 kDa

false

不同偶联物与剂型 (8)

关键信息

宿主种属

Rabbit

克隆

Monoclonal

克隆号

EP591Y

亚型

IgG

不含载体蛋白

No

反应种属

Mouse, Rat, Human

应用

Flow Cyt (Intra), WB, IHC-P

applications

免疫原

The exact immunogen used to generate this antibody is proprietary information.

特异性

This antibody is unsuitable for detecting TRAF6 in tissue lysates.

反应性数据

{ "title": "Reactivity Data", "filters": { "stats": ["", "Species", "Dilution Info", "Notes"], "tabs": { "all-applications": {"fullname" : "All Applications", "shortname": "All Applications"}, "IHCP" : {"fullname" : "Immunohistochemistry (Formalin/PFA-fixed paraffin-embedded sections)", "shortname":"IHC-P"}, "IP" : {"fullname" : "Immunoprecipitation", "shortname":"IP"}, "WB" : {"fullname" : "Western blot", "shortname":"WB"}, "FlowCytIntra" : {"fullname" : "Flow Cytometry (Intracellular)", "shortname":"Flow Cyt (Intra)"} }, "product-promise": { "all": "all", "testedAndGuaranteed": "tested", "guaranteed": "expected", "predicted": "predicted", "notRecommended": "not-recommended" } }, "values": { "Human": { "IHCP-species-checked": "testedAndGuaranteed", "IHCP-species-dilution-info": "", "IHCP-species-notes": "<p></p> Perform heat-mediated antigen retrieval with citrate buffer pH 6 before commencing with IHC staining protocol.", "IP-species-checked": "notRecommended", "IP-species-dilution-info": "1/50", "IP-species-notes": "<p></p>", "WB-species-checked": "testedAndGuaranteed", "WB-species-dilution-info": "1/2000 - 1/10000", "WB-species-notes": "<p></p>", "FlowCytIntra-species-checked": "testedAndGuaranteed", "FlowCytIntra-species-dilution-info": "1/50", "FlowCytIntra-species-notes": "<p><a href='/products/primary-antibodies/rabbit-igg-monoclonal-epr25a-isotype-control-ab172730'>ab172730</a> - Rabbit monoclonal IgG, is suitable for use as an isotype control with this antibody.</p>" }, "Mouse": { "IHCP-species-checked": "guaranteed", "IHCP-species-dilution-info": "", "IHCP-species-notes": "", "IP-species-checked": "notRecommended", "IP-species-dilution-info": "1/50", "IP-species-notes": "<p></p>", "WB-species-checked": "testedAndGuaranteed", "WB-species-dilution-info": "1/2000 - 1/10000", "WB-species-notes": "<p></p>", "FlowCytIntra-species-checked": "guaranteed", "FlowCytIntra-species-dilution-info": "", "FlowCytIntra-species-notes": "" }, "Rat": { "IHCP-species-checked": "guaranteed", "IHCP-species-dilution-info": "", "IHCP-species-notes": "", "IP-species-checked": "notRecommended", "IP-species-dilution-info": "1/50", "IP-species-notes": "<p></p>", "WB-species-checked": "testedAndGuaranteed", "WB-species-dilution-info": "1/2000 - 1/10000", "WB-species-notes": "<p></p>", "FlowCytIntra-species-checked": "guaranteed", "FlowCytIntra-species-dilution-info": "", "FlowCytIntra-species-notes": "" }, "Zebrafish": { "IHCP-species-checked": "predicted", "IHCP-species-dilution-info": "", "IHCP-species-notes": "", "IP-species-checked": "notRecommended", "IP-species-dilution-info": "", "IP-species-notes": "", "WB-species-checked": "predicted", "WB-species-dilution-info": "", "WB-species-notes": "", "FlowCytIntra-species-checked": "predicted", "FlowCytIntra-species-dilution-info": "", "FlowCytIntra-species-notes": "" } } }

产品详情

What is this antibody validated in?
Anti-TRAF6 antibody [EP591Y] (ab33915) is a rabbit recombinant monoclonal antibody and is validated for use in Western Blot (WB), Flow Cytometry (Intra), Flow Cytometry (Flow Cyt), Immunohistochemistry (IHC-P) in Human, Mouse, Rat samples.

What is the molecular weight of TRAF6?
Anti-TRAF6 [EP591Y] (ab33915) specifically detects a band for TRAF6 (UniProt: Q9Y4K3) at a molecular weight of 58kDa.

Trusted by the scientific community
Anti-TRAF6 [EP591Y] (ab33915) was first used in a scientific publication in 2006 and has been cited over 150 times in peer-reviewed journals.

Reviewed by scientists
Anti-TRAF6 [EP591Y] (ab33915) has over 5 independent reviews from customers.

Trial sizes available!
Test your antibody or perform pre-screening before committing to a larger quantity. Sold in 10µl. Discover our selection of trial-size antibodies.

Specificity confirmed
The specificity of Anti-TRAF6 antibody [EP591Y] (ab33915) has been confirmed by Western blot testing in TRAF6 Knockout HAP1 cells.

Other related products
We have a range of other formats of antibody clone [EP591Y] also available for your convenience: ab33915, PE - ab210412, Alexa Fluor® 488 - ab214638, Alexa Fluor® 647 - ab214941, Carrier free - ab218575, APC - ab310859, Alexa Fluor® 594 - ab311723, Alexa Fluor® 568 - ab313000, Alexa Fluor® 750 - ab321614

Patented technology
Our RabMAb® technology is a patented hybridoma-based technology for making rabbit monoclonal antibodies. For details on our patents, please refer to RabMAb® patents.

What are the advantages of a recombinant monoclonal antibody?
This product is a recombinant monoclonal antibody, which offers several advantages including:

  • - High batch-to-batch consistency and reproducibility
  • - Improved sensitivity and specificity
  • - Long-term security of supply
  • - Animal-free batch production

For more information, read more on recombinant antibodies.

性能和储存信息

形式
Liquid
纯化工艺
Affinity purification Protein A
存储溶液
pH: 7.2 - 7.4 Preservative: 0.01% Sodium azide Constituents: PBS, 50% Glycerol (glycerin, glycerine), 0.05% BSA
运输条件
Blue Ice
推荐的短期储存时间
1-2 weeks
推荐的短期储存条件
+4°C
推荐的长期储存条件
-20°C
分装信息
Upon delivery aliquot
储存信息
Avoid freeze / thaw cycle

补充信息

This supplementary information is collated from multiple sources and compiled automatically.

TRAF6 also known as TNF receptor-associated factor 6 is an E3 ubiquitin ligase that is part of the TRAF family. It has a molecular mass of approximately 60 kDa. TRAF6 is ubiquitously expressed in many types of tissues and cells including immune cells like macrophages and dendritic cells. Its primary role is to mediate signal transduction from members of the TNF receptor and Toll-like receptor (TLR) families which it achieves through polyubiquitination of target proteins. This process facilitates the recruitment of downstream signaling components necessary for cellular responses.
Biological function summary

TRAF6 plays a critical role in regulating immune and inflammatory responses. It acts within a complex often associating with other signaling proteins such as IRAK1 and TAK1 to activate downstream kinases like IKK and JNK. These signaling pathways lead to the activation of transcription factors such as NF-kB and AP-1 which regulate the expression of genes involved in inflammation and immune responses. TRAF6 is an important modulator of adaptive and innate immunity influencing both the maturation of immune cells and the body's response to infection.

Pathways

TRAF6 significantly contributes to the NF-kB and MAPK signaling pathways. In the NF-kB pathway TRAF6 mediates signal transduction following TLR engagement interacting with proteins such as MyD88 and RIP1 to drive inflammatory cytokine production. In the MAPK pathway it associates predominantly with TAK1 to facilitate the phosphorylation and activation of downstream kinases. These pathways are essential for transmitting signals from cell surface receptors to the nucleus controlling the magnitude of immune signaling and cellular stress responses.

TRAF6 has a significant association with autoimmune diseases and certain cancers. In autoimmune disorders aberrant activation of TRAF6 can lead to prolonged inflammation and detrimental immune responses. For cancers TRAF6 is linked to tumor progression and metastasis acting alongside proteins like IRAK1 and RIP1 which can further promote malignancy through chronic inflammation and immune evasion. Understanding TRAF6's role in these diseases provides insights that could lead to targeted therapeutic strategies.

产品实验方案

For this product, it's our understanding that no specific protocols are required. You can visit:

靶点信息

E3 ubiquitin ligase that, together with UBE2N and UBE2V1, mediates the synthesis of 'Lys-63'-linked-polyubiquitin chains conjugated to proteins, such as ECSIT, IKBKG, IRAK1, AKT1 and AKT2 (PubMed : 11057907, PubMed : 18347055, PubMed : 19465916, PubMed : 19713527, PubMed : 31620128). Also mediates ubiquitination of free/unanchored polyubiquitin chain that leads to MAP3K7 activation (PubMed : 19675569). Leads to the activation of NF-kappa-B and JUN (PubMed : 16378096, PubMed : 17135271, PubMed : 17703191). Seems to also play a role in dendritic cells (DCs) maturation and/or activation (By similarity). Represses c-Myb-mediated transactivation, in B-lymphocytes (PubMed : 18093978, PubMed : 18758450). Adapter protein that seems to play a role in signal transduction initiated via TNF receptor, IL-1 receptor and IL-17 receptor (PubMed : 12140561, PubMed : 19825828, PubMed : 8837778). Regulates osteoclast differentiation by mediating the activation of adapter protein complex 1 (AP-1) and NF-kappa-B, in response to RANK-L stimulation (By similarity). Together with MAP3K8, mediates CD40 signals that activate ERK in B-cells and macrophages, and thus may play a role in the regulation of immunoglobulin production (By similarity). Participates also in the TCR signaling by ubiquitinating LAT (PubMed : 23514740, PubMed : 25907557).
See full target information TRAF6

文献 (182)

Recent publications for all applications. Explore the full list and refine your search

Biomolecules 15: PubMed40867523

2025

Artesunate Ameliorates SLE Atherosclerosis Through PPARγ-Driven Cholesterol Efflux Restoration and Disruption of Lipid Raft-Organized TLR9/MyD88 Signaling Pathway.

Applications

Unspecified application

Species

Unspecified reactive species

Miao Zhang,Xinyu Pan,Yuanfang He,Kairong Sun,Zhiyu Wang,Weiyu Tian,Haonan Qiu,Yiqi Wang,Chengping Wen,Juan Chen

eLife 13: PubMed39937682

2025

Interleukin-1 prevents SARS-CoV-2-induced membrane fusion to restrict viral transmission via induction of actin bundles.

Applications

Unspecified application

Species

Unspecified reactive species

Xu Zheng,Shi Yu,Yanqiu Zhou,Kuai Yu,Yuhui Gao,Mengdan Chen,Dong Duan,Yunyi Li,Xiaoxian Cui,Jiabin Mou,Yuying Yang,Xun Wang,Min Chen,Yaming Jiu,Jincun Zhao,Guangxun Meng

Inflammation 48:3050-3065 PubMed39883393

2025

Exploring the Role of TRAF6-TAK1 Pathway in Podocyte Pyroptosis and Its Implications for Primary Membranous Nephropathy Therapy.

Applications

Unspecified application

Species

Unspecified reactive species

Yaling Guo,Jingliang Min,Baochao Chang,Zheng Chen,Weidong Chen

International journal of molecular sciences 25: PubMed39518962

2024

Gestational Diabetes Mellitus-Induced Inflammation in the Placenta via IL-1β and Toll-like Receptor Pathways.

Applications

Unspecified application

Species

Unspecified reactive species

Katarzyna Zgutka,Marta Tkacz,Patrycja Tomasiak,Katarzyna Piotrowska,Przemysław Ustianowski,Andrzej Pawlik,Maciej Tarnowski

Science advances 10:eadp3000 PubMed39121224

2024

A ubiquitin-specific, proximity-based labeling approach for the identification of ubiquitin ligase substrates.

Applications

Unspecified application

Species

Unspecified reactive species

Urbi Mukhopadhyay,Sophie Levantovsky,Teresa Maria Carusone,Sarah Gharbi,Frank Stein,Christian Behrends,Sagar Bhogaraju

Renal failure 46:2371992 PubMed39082739

2024

Astragaloside IV relieves passive heymann nephritis and podocyte injury by suppressing the TRAF6/NF-κb axis.

Applications

Unspecified application

Species

Unspecified reactive species

Yuhua Ma,Yuwen Hu,Yilin Ruan,Xiaocheng Jiang,Min Zhao,Yuxin Wang,Yanrong Ke,Manman Shi,Guoyuan Lu

Stem cell research & therapy 15:200 PubMed38971770

2024

Comprehensive characterization of the neurogenic and neuroprotective action of a novel TrkB agonist using mouse and human stem cell models of Alzheimer's disease.

Applications

Unspecified application

Species

Unspecified reactive species

Despoina Charou,Thanasis Rogdakis,Alessia Latorrata,Maria Valcarcel,Vasileios Papadogiannis,Christina Athanasiou,Alexandros Tsengenes,Maria Anna Papadopoulou,Dimitrios Lypitkas,Matthieu D Lavigne,Theodora Katsila,Rebecca C Wade,M Zameel Cader,Theodora Calogeropoulou,Achille Gravanis,Ioannis Charalampopoulos

Biomedical engineering letters 14:801-812 PubMed38946809

2024

Micro-current stimulation could inhibit IL-1β-induced inflammatory responses in chondrocytes and protect knee bone cartilage from osteoarthritis.

Applications

Unspecified application

Species

Unspecified reactive species

Minjoo Lee,Hana Lee,Halim Chung,Jin-Ho Lee,Doyong Kim,Seungkwan Cho,Tack-Joong Kim,Han Sung Kim

Theranostics 14:3486-3508 PubMed38948064

2024

Deciphering mA methylation in monocyte-mediated cardiac fibrosis and monocyte-hitchhiked erythrocyte microvesicle biohybrid therapy.

Applications

Unspecified application

Species

Unspecified reactive species

Jiawen Li,Li Wei,Kaifeng Hu,Yunxiang He,Guidong Gong,Qisong Liu,Yue Zhang,Kaiyu Zhou,Junling Guo,Yimin Hua,Jun Tang,Yifei Li

Aging 16:9251-9263 PubMed38809508

2024

Trimethylamine-N-oxide promotes osteoclast differentiation and oxidative stress by activating NF-κB pathway.

Applications

Unspecified application

Species

Unspecified reactive species

Yangyang Zhao,Chizhen Wang,Fei Qiu,Jing Liu,Yujuan Xie,Zhengkun Lin,Jianquan He,Jian Chen
View all publications

Abcam Product Promise

我们致力于为您的研究提供高质量的试剂,为您科研的每一步提供支持。若我们的产品未能达到预期性能,我们向您提供 Abcam Product Promise 保障。
详情请参阅我们的条款与条件。

Please note: All products are 'FOR RESEARCH USE ONLY. NOT FOR USE IN DIAGNOSTIC OR THERAPEUTIC PROCEDURES'.

For licensing inquiries, please contact partnerships@abcam.com