JavaScript is disabled in your browser. Please enable JavaScript to view this website.
AB109736

重组Anti-TORC1抗体[EPR3381(2)]

Anti-TORC1 antibody [EPR3381(2)]

Be the first to review this product! Submit a review

|

(1 Publication)

Rabbit Recombinant Monoclonal TORC1 antibody. Suitable for IHC-P, WB and reacts with Human samples. Cited in 1 publication.

查看别名

KIAA0616, MECT1, TORC1, WAMTP1, CRTC1, CREB-regulated transcription coactivator 1, Mucoepidermoid carcinoma translocated protein 1, Transducer of regulated cAMP response element-binding protein 1, TORC-1, Transducer of CREB protein 1

2 Images
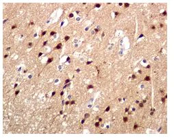
Immunohistochemistry (Formalin/PFA-fixed paraffin-embedded sections) - Anti-TORC1 antibody [EPR3381(2)] (AB109736)
  • IHC-P

Unknown

Immunohistochemistry (Formalin/PFA-fixed paraffin-embedded sections) - Anti-TORC1 antibody [EPR3381(2)] (AB109736)

ab109736 at 1/50 dilution staining MECT1 in paraffin-embedded Human brain tissue by Immunohistochemistry.

Perform heat mediated antigen retrieval via the pressure cooker method before commencing with IHC staining protocol.

Western blot - Anti-TORC1 antibody [EPR3381(2)] (AB109736)
  • WB

Unknown

Western blot - Anti-TORC1 antibody [EPR3381(2)] (AB109736)

All lanes:

Western blot - Anti-TORC1 antibody [EPR3381(2)] (ab109736) at 1/1000 dilution

Lane 1:

293T cell lysate at 10 µg

Lane 2:

Human fetal brain lysate at 10 µg

Lane 3:

HeLa cell lysate at 10 µg

Predicted band size: 67 kDa

false

不同偶联物与剂型 (1)

  • Carrier free

    Anti-TORC1 antibody [EPR3381(2)] - BSA and Azide free

关键信息

宿主种属

Rabbit

克隆

Monoclonal

克隆号

EPR3381(2)

亚型

IgG

不含载体蛋白

No

反应种属

Human

应用

WB, IHC-P

applications

免疫原

The exact immunogen used to generate this antibody is proprietary information.

反应性数据

{ "title": "Reactivity Data", "filters": { "stats": ["", "Species", "Dilution Info", "Notes"], "tabs": { "all-applications": {"fullname" : "All Applications", "shortname": "All Applications"}, "IHCP" : {"fullname" : "Immunohistochemistry (Formalin/PFA-fixed paraffin-embedded sections)", "shortname":"IHC-P"}, "ICCIF" : {"fullname" : "Immunocytochemistry/ Immunofluorescence", "shortname":"ICC/IF"}, "IP" : {"fullname" : "Immunoprecipitation", "shortname":"IP"}, "FlowCyt" : {"fullname" : "Flow Cytometry", "shortname":"Flow Cyt"}, "WB" : {"fullname" : "Western blot", "shortname":"WB"} }, "product-promise": { "all": "all", "testedAndGuaranteed": "tested", "guaranteed": "expected", "predicted": "predicted", "notRecommended": "not-recommended" } }, "values": { "Human": { "IHCP-species-checked": "testedAndGuaranteed", "IHCP-species-dilution-info": "1/50 - 1/100", "IHCP-species-notes": "<p></p>", "ICCIF-species-checked": "notRecommended", "ICCIF-species-dilution-info": "", "ICCIF-species-notes": "<p></p>", "IP-species-checked": "notRecommended", "IP-species-dilution-info": "", "IP-species-notes": "<p></p>", "FlowCyt-species-checked": "notRecommended", "FlowCyt-species-dilution-info": "", "FlowCyt-species-notes": "<p></p>", "WB-species-checked": "testedAndGuaranteed", "WB-species-dilution-info": "1/1000 - 1/10000", "WB-species-notes": "<p></p>" } } }

产品详情

Species reactivity
Mouse, Rat: We have preliminary internal testing data to indicate this antibody may not react with these species.
Please contact us for more information.

Patented technology
Our RabMAb® technology is a patented hybridoma-based technology for making rabbit monoclonal antibodies. For details on our patents, please refer to RabMAb® patents.

What are the advantages of a recombinant monoclonal antibody?
This product is a recombinant monoclonal antibody, which offers several advantages including:

  • - High batch-to-batch consistency and reproducibility
  • - Improved sensitivity and specificity
  • - Long-term security of supply
  • - Animal-free batch production

For more information, read more on recombinant antibodies.

性能和储存信息

形式
Liquid
纯化工艺
Affinity purification Protein A
存储溶液
pH: 7.2 - 7.4 Preservative: 0.05% Sodium azide Constituents: 50% Tissue culture supernatant, 40% Glycerol (glycerin, glycerine), 9.85% Tris glycine, 0.1% BSA
运输条件
Blue Ice
推荐的短期储存条件
+4°C
推荐的长期储存条件
-20°C
储存信息
Stable for 12 months at -20°C

补充信息

This supplementary information is collated from multiple sources and compiled automatically.

TORC1 also known as Target of Rapamycin Complex 1 is a protein complex that regulates cell growth and metabolism in response to nutrients and growth factors. This complex contains proteins such as mTOR Raptor and mLST8. The mass of mTOR the catalytic subunit is approximately 289 kDa. TORC1 is mostly expressed in tissues with high metabolic activity including the liver muscle and adipose tissue. It functions as a serine/threonine kinase playing a significant role in protein synthesis autophagy and energy metabolism.
Biological function summary

TORC1 holds a central role in cellular responses to nutrients and energy status. It is a part of the larger mechanistic target of rapamycin (mTOR) signaling pathway. This pathway influences essential cellular processes such as growth proliferation and survival. TORC1 activity increases in the presence of nutrients such as amino acids and is necessary for ribosomal biogenesis and translation initiation. It also acts as an important regulator of autophagy where its inhibition promotes autophagic degradation of cellular components balancing energy and resource availability.

Pathways

TORC1 integrates signals from related pathways such as PI3K-AKT and AMPK. These pathways facilitate the balance between anabolic and catabolic processes. The PI3K-AKT pathway stimulates TORC1 activity promoting cell growth and proliferation while the AMPK pathway inhibits TORC1 during low energy states conserving cellular resources. Proteins like TSC1/TSC2 complex and Rheb interact with TORC1 modulating its kinase activity based on cellular and environmental conditions.

TORC1 dysregulation links to conditions like cancer and type 2 diabetes. Overactivation of TORC1 contributes to unchecked cell proliferation in various cancers. Agents that inhibit TORC1 activity such as rapamycin show potential in cancer treatment to curb tumor growth. In type 2 diabetes TORC1 is connected through insulin signaling pathways as excess TORC1 activity may lead to insulin resistance. Proteins like IRS-1 which interacts with TORC1 play a role in these metabolic and proliferative disorders.

产品实验方案

For this product, it's our understanding that no specific protocols are required. You can visit:

靶点信息

Transcriptional coactivator for CREB1 which activates transcription through both consensus and variant cAMP response element (CRE) sites. Acts as a coactivator, in the SIK/TORC signaling pathway, being active when dephosphorylated and acts independently of CREB1 'Ser-133' phosphorylation. Enhances the interaction of CREB1 with TAF4. Regulates the expression of specific CREB-activated genes such as the steroidogenic gene, StAR. Potent coactivator of PGC1alpha and inducer of mitochondrial biogenesis in muscle cells. In the hippocampus, involved in late-phase long-term potentiation (L-LTP) maintenance at the Schaffer collateral-CA1 synapses. May be required for dendritic growth of developing cortical neurons (By similarity). In concert with SIK1, regulates the light-induced entrainment of the circadian clock. In response to light stimulus, coactivates the CREB-mediated transcription of PER1 which plays an important role in the photic entrainment of the circadian clock.. (Microbial infection) Plays a role of coactivator for TAX activation of the human T-cell leukemia virus type 1 (HTLV-1) long terminal repeats (LTR).
See full target information CRTC1

文献 (1)

Recent publications for all applications. Explore the full list and refine your search

Cell biology and toxicology 41:82 PubMed40335763

2025

ELF4 improves sepsis-induced myocardial injury by regulating STING signaling-mediated T cells differentiation.

Applications

Unspecified application

Species

Unspecified reactive species

Yawen Zheng,Xiongjun Peng,Yusha Zhang,Ruilin Liu,Junke Long
View all publications

Abcam Product Promise

我们致力于为您的研究提供高质量的试剂,为您科研的每一步提供支持。若我们的产品未能达到预期性能,我们向您提供 Abcam Product Promise 保障。
详情请参阅我们的条款与条件。

Please note: All products are 'FOR RESEARCH USE ONLY. NOT FOR USE IN DIAGNOSTIC OR THERAPEUTIC PROCEDURES'.

For licensing inquiries, please contact partnerships@abcam.com