JavaScript is disabled in your browser. Please enable JavaScript to view this website.
AB109524

重组Anti-Topoisomerase II alpha + Topoisomerase II beta/TOP2B抗体[EPR5377]

Anti-Topoisomerase II alpha + Topoisomerase II beta/TOP2B antibody [EPR5377]

5

(2 Reviews)

|

(32 Publications)

Rabbit Recombinant Monoclonal Topoisomerase II beta/TOP2B antibody. Suitable for IHC-P, WB, ICC/IF, Flow Cyt (Intra) and reacts with Human, Mouse, Rat, Synthetic peptide samples. Cited in 32 publications.

查看别名

DNA topoisomerase 2-beta, TOP2B

5 Images
Immunocytochemistry/ Immunofluorescence - Anti-Topoisomerase II alpha + Topoisomerase II beta/TOP2B antibody [EPR5377] (AB109524)
  • ICC/IF

Lab

Immunocytochemistry/ Immunofluorescence - Anti-Topoisomerase II alpha + Topoisomerase II beta/TOP2B antibody [EPR5377] (AB109524)

ICC/IF image of ab109524 stained HeLa cells. The cells were 4% Formaldehyde fixed (10 min) and then incubated in 1%BSA / 10% normal goat serum / 0.3M glycine in 0.1% PBS-Tween for 1h to permeabilise the cells and block non-specific protein-protein interactions. The cells were then incubated with the antibody (ab109524, 10μg/ml) overnight at +4°C. The secondary antibody (green) was ab96899, DyLight® 488 goat anti-rabbit IgG (H+L) used at a 1/250 dilution for 1h. Alexa Fluor® 594 WGA was used to label plasma membranes (red) at a 1/200 dilution for 1h. DAPI was used to stain the cell nuclei (blue) at a concentration of 1.43μM.

Flow Cytometry (Intracellular) - Anti-Topoisomerase II alpha + Topoisomerase II beta/TOP2B antibody [EPR5377] (AB109524)
  • Flow Cyt (Intra)

Lab

Flow Cytometry (Intracellular) - Anti-Topoisomerase II alpha + Topoisomerase II beta/TOP2B antibody [EPR5377] (AB109524)

ab109524 staining Topoisomerase II alpha + Topoisomerase II beta in the human cell line HeLa (human cervix adenocarcinoma) by intracellular flow cytometry. Cells were fixed with 4% paraformaldehyde, permiabilised with 90% methanol and the sample was incubated with the primary antibody at a dilution of 1/20. A goat anti rabbit IgG (Alexa Fluorr® 488) at a dilution of 1/2000 was used as the secondary antibody.

Isoytype control : Rabbit monoclonal IgG (Black)

Unlabelled control : Cell without incubation with primary antibody and secondary antibody (Blue)

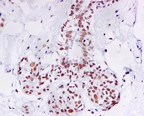
Immunohistochemistry (Formalin/PFA-fixed paraffin-embedded sections) - Anti-Topoisomerase II alpha + Topoisomerase II beta/TOP2B antibody [EPR5377] (AB109524)
  • IHC-P

Unknown

Immunohistochemistry (Formalin/PFA-fixed paraffin-embedded sections) - Anti-Topoisomerase II alpha + Topoisomerase II beta/TOP2B antibody [EPR5377] (AB109524)

ab109524, at a 1/100 dilution, staining Human Topoisomerase II alpha + Topoisomerase II beta in breast tissue, using Immunohistochemistry, Formalin/PFA-fixed paraffin-embedded tissue.

Perform heat mediated antigen retrieval with citrate buffer pH 6 before commencing with IHC staining protocol.

Western blot - Anti-Topoisomerase II alpha + Topoisomerase II beta/TOP2B antibody [EPR5377] (AB109524)
  • WB

Unknown

Western blot - Anti-Topoisomerase II alpha + Topoisomerase II beta/TOP2B antibody [EPR5377] (AB109524)

All lanes:

Western blot - Anti-Topoisomerase II alpha + Topoisomerase II beta/TOP2B antibody [EPR5377] (ab109524) at 1/50000 dilution

Lane 1:

Jurkat cell lysate at 10 µg

Lane 2:

K562 cell lysate at 10 µg

Lane 3:

Raw264.7 cell lysate at 10 µg

Lane 4:

PC-12 cell lysate at 10 µg

Observed band size: 180 kDa

false

Western blot - Anti-Topoisomerase II alpha + Topoisomerase II beta/TOP2B antibody [EPR5377] (AB109524)
  • WB

Lab

Western blot - Anti-Topoisomerase II alpha + Topoisomerase II beta/TOP2B antibody [EPR5377] (AB109524)

Blocking and diluting buffer and concentration : 5% NFDM/TBST.

TOP II alpha recombinant protein (aa 1-220) containing a his-tag.

All lanes:

Western blot - Anti-Topoisomerase II alpha + Topoisomerase II beta/TOP2B antibody [EPR5377] (ab109524) at 1/1000 dilution

Lane 1:

ab109524 on TOP II alpha recombinant protein 10ng

Lane 2:

Anti-His rabbit serum on TOP II alpha recombinant protein 10ng

Secondary

All lanes:

Western blot - Goat Anti-Rabbit IgG H&L (HRP) (<a href='/products/secondary-antibodies/goat-rabbit-igg-h-l-hrp-ab97051'>ab97051</a>) at 1/20000 dilution

Observed band size: 24 kDa

false

Exposure time: 1s

不同偶联物与剂型 (9)

  • 565 Alexa Fluor® 555

    Alexa Fluor® 555 Anti-Topoisomerase II alpha + Topoisomerase II beta/TOP2B antibody [EPR5377]

  • Carrier free

    Anti-Topoisomerase II alpha + Topoisomerase II beta/TOP2B antibody [EPR5377] - BSA and Azide free

  • 665 Alexa Fluor® 647

    Alexa Fluor® 647 Anti-Topoisomerase II alpha + Topoisomerase II beta/TOP2B antibody [EPR5377]

  • 578 PE

    PE Anti-Topoisomerase II alpha + Topoisomerase II beta antibody [EPR5377]

  • 660 APC

    APC Anti-Topoisomerase II alpha + Topoisomerase II beta antibody [EPR5377]

  • HRP

    HRP Anti-Topoisomerase II alpha + Topoisomerase II beta antibody [EPR5377]

  • 617 Alexa Fluor® 594

    Alexa Fluor® 594 Anti-Topoisomerase II alpha + Topoisomerase II beta antibody [EPR5377]

  • 603 Alexa Fluor® 568

    Alexa Fluor® 568 Anti-Topoisomerase II alpha + Topoisomerase II beta/TOP2B antibody [EPR5377]

  • 775 Alexa Fluor® 750

    Alexa Fluor® 750 Anti-Topoisomerase II alpha + Topoisomerase II beta/TOP2B antibody [EPR5377]

关键信息

宿主种属

Rabbit

克隆

Monoclonal

克隆号

EPR5377

亚型

IgG

不含载体蛋白

No

反应种属

Mouse, Rat, Human

应用

Flow Cyt (Intra), WB, IHC-P, ICC/IF

applications

免疫原

The exact immunogen used to generate this antibody is proprietary information.

反应性数据

{ "title": "Reactivity Data", "filters": { "stats": ["", "Species", "Dilution Info", "Notes"], "tabs": { "all-applications": {"fullname" : "All Applications", "shortname": "All Applications"}, "IP" : {"fullname" : "Immunoprecipitation", "shortname":"IP"}, "IHCP" : {"fullname" : "Immunohistochemistry (Formalin/PFA-fixed paraffin-embedded sections)", "shortname":"IHC-P"}, "WB" : {"fullname" : "Western blot", "shortname":"WB"}, "ICCIF" : {"fullname" : "Immunocytochemistry/ Immunofluorescence", "shortname":"ICC/IF"}, "FlowCytIntra" : {"fullname" : "Flow Cytometry (Intracellular)", "shortname":"Flow Cyt (Intra)"} }, "product-promise": { "all": "all", "testedAndGuaranteed": "tested", "guaranteed": "expected", "predicted": "predicted", "notRecommended": "not-recommended" } }, "values": { "Human": { "IP-species-checked": "notRecommended", "IP-species-dilution-info": "", "IP-species-notes": "<p></p>", "IHCP-species-checked": "testedAndGuaranteed", "IHCP-species-dilution-info": "1/100 - 1/250", "IHCP-species-notes": "<p></p>", "WB-species-checked": "testedAndGuaranteed", "WB-species-dilution-info": "1/10000 - 1/50000", "WB-species-notes": "<p></p>", "ICCIF-species-checked": "testedAndGuaranteed", "ICCIF-species-dilution-info": "10 µg/mL", "ICCIF-species-notes": "<p></p>", "FlowCytIntra-species-checked": "testedAndGuaranteed", "FlowCytIntra-species-dilution-info": "", "FlowCytIntra-species-notes": "<p></p>" }, "Mouse": { "IP-species-checked": "notRecommended", "IP-species-dilution-info": "", "IP-species-notes": "<p></p>", "IHCP-species-checked": "guaranteed", "IHCP-species-dilution-info": "", "IHCP-species-notes": "", "WB-species-checked": "testedAndGuaranteed", "WB-species-dilution-info": "1/10000 - 1/50000", "WB-species-notes": "<p></p>", "ICCIF-species-checked": "guaranteed", "ICCIF-species-dilution-info": "", "ICCIF-species-notes": "", "FlowCytIntra-species-checked": "guaranteed", "FlowCytIntra-species-dilution-info": "", "FlowCytIntra-species-notes": "" }, "Rat": { "IP-species-checked": "notRecommended", "IP-species-dilution-info": "", "IP-species-notes": "<p></p>", "IHCP-species-checked": "guaranteed", "IHCP-species-dilution-info": "", "IHCP-species-notes": "", "WB-species-checked": "testedAndGuaranteed", "WB-species-dilution-info": "1/10000 - 1/50000", "WB-species-notes": "<p></p>", "ICCIF-species-checked": "guaranteed", "ICCIF-species-dilution-info": "", "ICCIF-species-notes": "", "FlowCytIntra-species-checked": "guaranteed", "FlowCytIntra-species-dilution-info": "", "FlowCytIntra-species-notes": "" }, "Synthetic peptide": { "IP-species-checked": "notRecommended", "IP-species-dilution-info": "", "IP-species-notes": "", "IHCP-species-checked": "notRecommended", "IHCP-species-dilution-info": "", "IHCP-species-notes": "", "WB-species-checked": "testedAndGuaranteed", "WB-species-dilution-info": "1/10000 - 1/50000", "WB-species-notes": "<p></p>", "ICCIF-species-checked": "notRecommended", "ICCIF-species-dilution-info": "", "ICCIF-species-notes": "", "FlowCytIntra-species-checked": "notRecommended", "FlowCytIntra-species-dilution-info": "", "FlowCytIntra-species-notes": "" } } }

产品详情

Patented technology
Our RabMAb® technology is a patented hybridoma-based technology for making rabbit monoclonal antibodies. For details on our patents, please refer to RabMAb® patents.

What are the advantages of a recombinant monoclonal antibody?
This product is a recombinant monoclonal antibody, which offers several advantages including:

  • - High batch-to-batch consistency and reproducibility
  • - Improved sensitivity and specificity
  • - Long-term security of supply
  • - Animal-free batch production

For more information, read more on recombinant antibodies.

性能和储存信息

形式
Liquid
纯化工艺
Affinity purification Protein A
存储溶液
pH: 7.2 - 7.4 Preservative: 0.05% Sodium azide Constituents: 50% Tissue culture supernatant, 40% Glycerol (glycerin, glycerine), 9.85% Tris glycine, 0.1% BSA
运输条件
Blue Ice
推荐的短期储存时间
1-2 weeks
推荐的短期储存条件
+4°C
推荐的长期储存条件
-20°C
分装信息
Upon delivery aliquot
储存信息
Stable for 12 months at -20°C

补充信息

This supplementary information is collated from multiple sources and compiled automatically.

Topoisomerase II alpha and Topoisomerase II beta also known as TOP2A and TOP2B are enzymes with a vital role in modulating the topological states of DNA. They actively introduce transient double-strand breaks in the DNA helix to manage DNA tangling and supercoiling during replication and transcription. TOP2A has a molecular weight of approximately 170 kilodaltons while TOP2B weighs around 180 kilodaltons. High levels of TOP2A are observed in proliferating cells such as those in the thymus and testis while TOP2B is expressed in nearly all tissues indicating its ubiquitous nature.
Biological function summary

These enzymes participate in fundamental cellular processes including chromosomal segregation replication and transcription. They function in the context of large protein complexes rather than in isolation. TOP2A is often engaged during mitosis due to its cell cycle-dependent expression. In contrast TOP2B's functions spread across various DNA-related actions such as differentiation and development. This distribution emphasizes their respective regulatory roles in both proliferating and resting cells.

Pathways

TOP2A and TOP2B integrate into critical pathways like the DNA replication and repair pathways. As a notable component of these pathways TOP2A interacts closely with proteins like MCM2-7 and ORC complex for replication origin unwinding while TOP2B shares interactions with factors like RNA polymerase II for transcription-related activities. These interactions reflect their involvement in maintaining genomic stability across different cellular conditions.

Aberrations in TOP2A expression or function link closely to numerous cancers reflecting its role in cell proliferation. Furthermore mutations or dysregulation of TOP2B have implications in disorders related to neural development highlighting its role beyond cellular growth control. Other related proteins like BRCA1 also display interactions with TOP2A reinforcing the enzyme's involvement in cancer-related pathways whereas TOP2B’s association with proteins like TAF(II)250 suggests a broader involvement in transcription processes relevant to neural disorders.

产品实验方案

For this product, it's our understanding that no specific protocols are required. You can visit:

靶点信息

Key decatenating enzyme that alters DNA topology by binding to two double-stranded DNA molecules, generating a double-stranded break in one of the strands, passing the intact strand through the broken strand, and religating the broken strand. Plays a role in B-cell differentiation.
See full target information DNA topoisomerase 2-beta

其他靶点

TOP2A

文献 (32)

Recent publications for all applications. Explore the full list and refine your search

Nature communications 16:4928 PubMed40425539

2025

Topobexin targets the Topoisomerase II ATPase domain for beta isoform-selective inhibition and anthracycline cardioprotection.

Applications

Unspecified application

Species

Unspecified reactive species

Jan Kubeš,Galina Karabanovich,Anh T Q Cong,Iuliia Melnikova,Olga Lenčová,Petra Kollárová,Hana Bavlovič Piskáčková,Veronika Keresteš,Lenka Applová,Lise C M Arrouye,Julia R Alvey,Jasmina Paluncic,Taylor L Witter,Anna Jirkovská,Jiří Kuneš,Petra Štěrbová-Kovaříková,Caroline A Austin,Martin Štěrba,Tomáš Šimůnek,Jaroslav Roh,Matthew J Schellenberg

Cell communication and signaling : CCS 23:150 PubMed40122822

2025

BDNF secreted by mesenchymal stem cells improves aged oocyte quality and development potential by activating the ERK1/2 pathway.

Applications

Unspecified application

Species

Unspecified reactive species

Jing Zhou,Cheng Li,Xin Mi,Jiali Zhou,Caiyi Chen,Jiayi Ren,Ran Liu,Gang Liu,Zi-Jiang Chen,Yingying Qin,Keliang Wu,Shidou Zhao

Nature protocols 19:2891-2914 PubMed38890499

2024

Electro-elution-based purification of covalent DNA-protein cross-links.

Applications

Unspecified application

Species

Unspecified reactive species

Pedro Weickert,Sophie Dürauer,Maximilian J Götz,Hao-Yi Li,Julian Stingele

Molecular cell 84:1422-1441.e14 PubMed38521067

2024

Mitotic chromosomes are self-entangled and disentangle through a topoisomerase-II-dependent two-stage exit from mitosis.

Applications

Unspecified application

Species

Unspecified reactive species

Erica M Hildebrand,Kirill Polovnikov,Bastiaan Dekker,Yu Liu,Denis L Lafontaine,A Nicole Fox,Ying Li,Sergey V Venev,Leonid A Mirny,Job Dekker

Toxicological sciences : an official journal of the Society of Toxicology 198:288-302 PubMed38290791

2024

Exploring the effects of topoisomerase II inhibitor XK469 on anthracycline cardiotoxicity and DNA damage.

Applications

Unspecified application

Species

Unspecified reactive species

Veronika Keresteš,Jan Kubeš,Lenka Applová,Petra Kollárová,Olga Lenčová-Popelová,Iuliia Melnikova,Galina Karabanovich,Mushtaq M Khazeem,Hana Bavlovič-Piskáčková,Petra Štěrbová-Kovaříková,Caroline A Austin,Jaroslav Roh,Martin Štěrba,Tomáš Šimůnek,Anna Jirkovská

Nature 623:347-355 PubMed37914934

2023

Condensin dysfunction is a reproductive isolating barrier in mice.

Applications

Unspecified application

Species

Unspecified reactive species

Warif El Yakoubi,Takashi Akera

Biology direct 18:63 PubMed37807075

2023

Deep learning-assisted high-content screening identifies isoliquiritigenin as an inhibitor of DNA double-strand breaks for preventing doxorubicin-induced cardiotoxicity.

Applications

Unspecified application

Species

Unspecified reactive species

Xuechun Chen,Changtong Liu,Hong Zhao,Yigang Zhong,Yizhou Xu,Yi Wang

Nucleic acids research 51:3855-3868 PubMed36938872

2023

SPIDR is required for homologous recombination during mammalian meiosis.

Applications

Unspecified application

Species

Unspecified reactive species

Tao Huang,Xinyue Wu,Shiyu Wang,Ziyou Bao,Yanling Wan,Ziqi Wang,Mengjing Li,Xiaochen Yu,Yue Lv,Zhaojian Liu,Xiangfeng Chen,Wai-Yee Chan,Fei Gao,Gang Lu,Zi-Jiang Chen,Hongbin Liu

Nucleic acids research 51:4791-4813 PubMed36919611

2023

GCNA is a histone binding protein required for spermatogonial stem cell maintenance.

Applications

Unspecified application

Species

Unspecified reactive species

Jonathan Ribeiro,Gerry P Crossan

Cells 12: PubMed36766705

2023

Taspase1 Facilitates Topoisomerase IIβ-Mediated DNA Double-Strand Breaks Driving Estrogen-Induced Transcription.

Applications

Unspecified application

Species

Unspecified reactive species

Lisa Oelschläger,Paul Stahl,Farnusch Kaschani,Roland H Stauber,Shirley K Knauer,Astrid Hensel
View all publications

Abcam Product Promise

我们致力于为您的研究提供高质量的试剂,为您科研的每一步提供支持。若我们的产品未能达到预期性能,我们向您提供 Abcam Product Promise 保障。
详情请参阅我们的条款与条件。

Please note: All products are 'FOR RESEARCH USE ONLY. NOT FOR USE IN DIAGNOSTIC OR THERAPEUTIC PROCEDURES'.

For licensing inquiries, please contact partnerships@abcam.com