JavaScript is disabled in your browser. Please enable JavaScript to view this website.
AB181828

重组Anti-Topoisomerase II alpha抗体[EP1102Y] - BSA and Azide free

Anti-Topoisomerase II alpha antibody [EP1102Y] - BSA and Azide free

Be the first to review this product! Submit a review

|

(1 Publication)

Rabbit Recombinant Monoclonal Topoisomerase II alpha antibody. Carrier free. Suitable for WB, IHC-P and reacts with Mouse, Rat, Human samples. Cited in 1 publication.

查看别名

TOP2, TOP2A, DNA topoisomerase 2-alpha

7 Images
Immunohistochemistry (Formalin/PFA-fixed paraffin-embedded sections) - Anti-Topoisomerase II alpha antibody [EP1102Y] - BSA and Azide free (AB181828)
  • IHC-P

Unknown

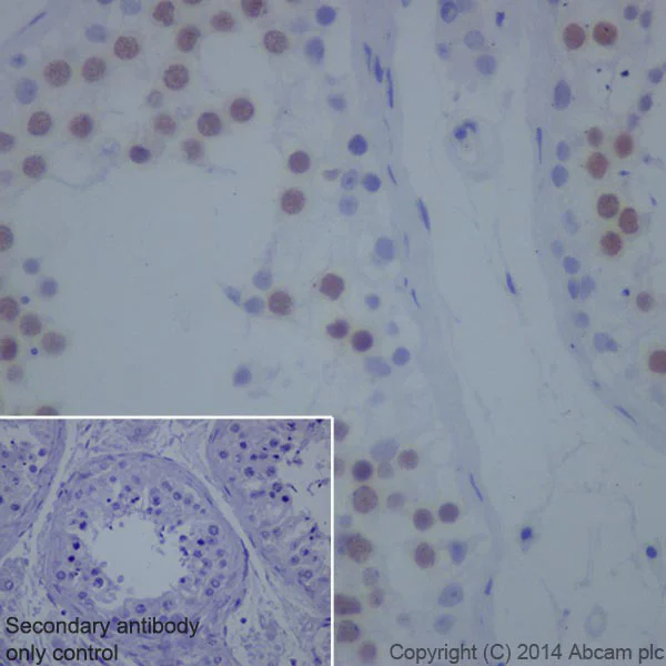
Immunohistochemistry (Formalin/PFA-fixed paraffin-embedded sections) - Anti-Topoisomerase II alpha antibody [EP1102Y] - BSA and Azide free (AB181828)

Immunohistochemistry (Formalin/PFA-fixed paraffin-embedded sections) analysis of human testis tissue labelling Topoisomerase II alpha with ab52934 at a dilution of 1/8000. Heat mediated antigen retrieval was performed using Tris/EDTA buffer pH 9. ab97051, a HRP-conjugated goat anti-rabbit IgG (H+L) was used as the secondary antibody (1/500). Negative control using PBS instead of primary antibody. Counterstained with hematoxylin.

This data was developed using the same antibody clone in a different buffer formulation containing PBS, BSA, glycerol, and sodium azide (ab52934).

Immunohistochemistry (Formalin/PFA-fixed paraffin-embedded sections) - Anti-Topoisomerase II alpha antibody [EP1102Y] - BSA and Azide free (AB181828)
  • IHC-P

Unknown

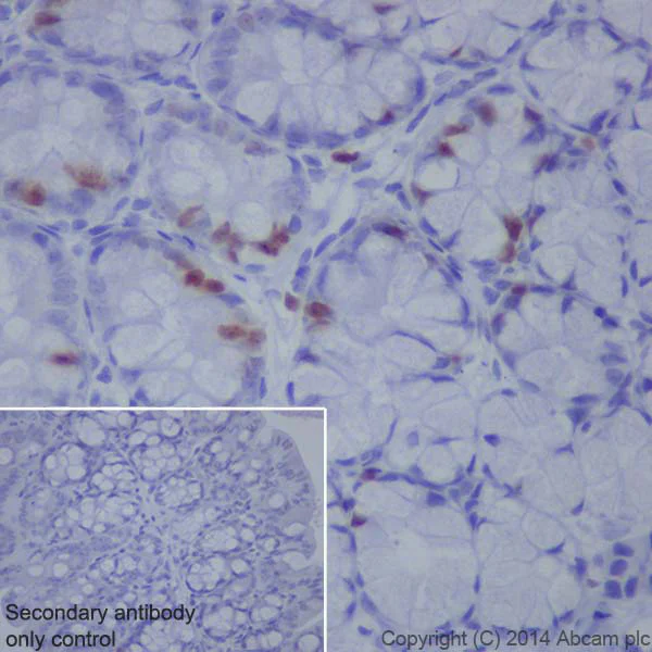
Immunohistochemistry (Formalin/PFA-fixed paraffin-embedded sections) - Anti-Topoisomerase II alpha antibody [EP1102Y] - BSA and Azide free (AB181828)

Immunohistochemistry (Formalin/PFA-fixed paraffin-embedded sections) analysis of human colon tissue labelling Topoisomerase II alpha with ab52934 at a dilution of 1/8000. Heat mediated antigen retrieval was performed using Tris/EDTA buffer pH 9. ab97051, a HRP-conjugated goat anti-rabbit IgG (H+L) was used as the secondary antibody (1/500). Negative control using PBS instead of primary antibody. Counterstained with hematoxylin.

This data was developed using the same antibody clone in a different buffer formulation containing PBS, BSA, glycerol, and sodium azide (ab52934).

Immunohistochemistry (Formalin/PFA-fixed paraffin-embedded sections) - Anti-Topoisomerase II alpha antibody [EP1102Y] - BSA and Azide free (AB181828)
  • IHC-P

Unknown

Immunohistochemistry (Formalin/PFA-fixed paraffin-embedded sections) - Anti-Topoisomerase II alpha antibody [EP1102Y] - BSA and Azide free (AB181828)

Immunohistochemistry (Formalin/PFA-fixed paraffin-embedded sections) analysis of rat testis tissue labelling Topoisomerase II alpha with ab52934 at a dilution of 1/8000. Heat mediated antigen retrieval was performed using Tris/EDTA buffer pH 9. ab97051, a HRP-conjugated goat anti-rabbit IgG (H+L) was used as the secondary antibody (1/500). Negative control using PBS instead of primary antibody. Counterstained with hematoxylin.

This data was developed using the same antibody clone in a different buffer formulation containing PBS, BSA, glycerol, and sodium azide (ab52934).

Immunohistochemistry (Formalin/PFA-fixed paraffin-embedded sections) - Anti-Topoisomerase II alpha antibody [EP1102Y] - BSA and Azide free (AB181828)
  • IHC-P

Unknown

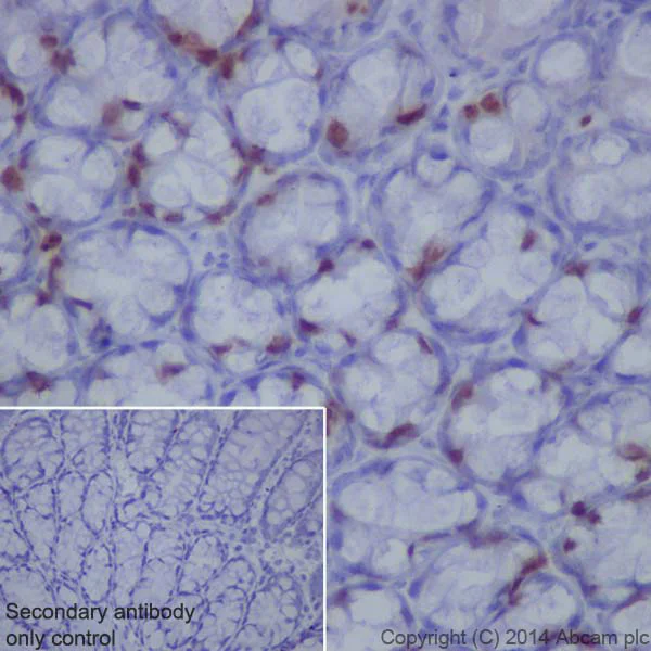
Immunohistochemistry (Formalin/PFA-fixed paraffin-embedded sections) - Anti-Topoisomerase II alpha antibody [EP1102Y] - BSA and Azide free (AB181828)

Immunohistochemistry (Formalin/PFA-fixed paraffin-embedded sections) analysis of mouse colon tissue labelling Topoisomerase II alpha with ab52934 at a dilution of 1/8000. Heat mediated antigen retrieval was performed using Tris/EDTA buffer pH 9. ab97051, a HRP-conjugated goat anti-rabbit IgG (H+L) was used as the secondary antibody (1/500). Negative control using PBS instead of primary antibody. Counterstained with hematoxylin.

This data was developed using the same antibody clone in a different buffer formulation containing PBS, BSA, glycerol, and sodium azide (ab52934).

Immunohistochemistry (Formalin/PFA-fixed paraffin-embedded sections) - Anti-Topoisomerase II alpha antibody [EP1102Y] - BSA and Azide free (AB181828)
  • IHC-P

Unknown

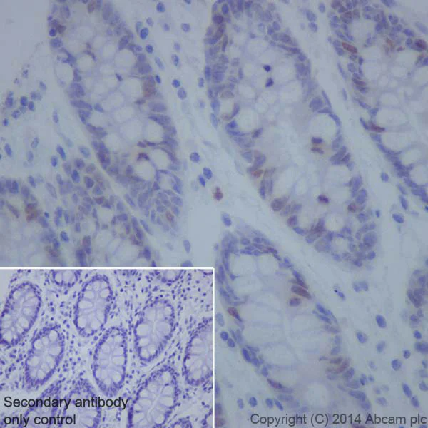
Immunohistochemistry (Formalin/PFA-fixed paraffin-embedded sections) - Anti-Topoisomerase II alpha antibody [EP1102Y] - BSA and Azide free (AB181828)

Immunohistochemistry (Formalin/PFA-fixed paraffin-embedded sections) analysis of rat colon tissue labelling Topoisomerase II alpha with ab52934 at a dilution of 1/8000. Heat mediated antigen retrieval was performed using Tris/EDTA buffer pH 9. ab97051, a HRP-conjugated goat anti-rabbit IgG (H+L) was used as the secondary antibody (1/500). Negative control using PBS instead of primary antibody. Counterstained with hematoxylin.

This data was developed using the same antibody clone in a different buffer formulation containing PBS, BSA, glycerol, and sodium azide (ab52934).

Immunohistochemistry (Formalin/PFA-fixed paraffin-embedded sections) - Anti-Topoisomerase II alpha antibody [EP1102Y] - BSA and Azide free (AB181828)
  • IHC-P

Unknown

Immunohistochemistry (Formalin/PFA-fixed paraffin-embedded sections) - Anti-Topoisomerase II alpha antibody [EP1102Y] - BSA and Azide free (AB181828)

Immunohistochemistry (Formalin/PFA-fixed paraffin-embedded sections) analysis of mouse testis tissue labelling Topoisomerase II alpha with ab52934 at a dilution of 1/8000. Heat mediated antigen retrieval was performed using Tris/EDTA buffer pH 9. ab97051, a HRP-conjugated goat anti-rabbit IgG (H+L) was used as the secondary antibody (1/500). Negative control using PBS instead of primary antibody. Counterstained with hematoxylin.

This data was developed using the same antibody clone in a different buffer formulation containing PBS, BSA, glycerol, and sodium azide (ab52934).

OI-RD Scanning - Anti-Topoisomerase II alpha antibody [EP1102Y] - BSA and Azide free (AB181828)
  • OI-RD Scanning

Unknown

OI-RD Scanning - Anti-Topoisomerase II alpha antibody [EP1102Y] - BSA and Azide free (AB181828)

We have systematically measured KD (the equilibrium dissociation constant between the antibody and its antigen), of more than 840 recombinant antibodies to assess not only their individual KD values but also to see the average affinity of antibody. Based on the comparison with published literature values for mouse monoclonal antibodies, Recombinant antibodies appear to be on average 1-2 order of magnitude higher affinity.

不同偶联物与剂型 (2)

  • Unconjugated

    Anti-Topoisomerase II alpha antibody [EP1102Y]

  • HRP

    HRP Anti-Topoisomerase II alpha antibody [EP1102Y]

关键信息

宿主种属

Rabbit

克隆

Monoclonal

克隆号

EP1102Y

亚型

IgG

不含载体蛋白

Yes

反应种属

Mouse, Rat, Human

应用

IHC-P, WB

applications

免疫原

The exact immunogen used to generate this antibody is proprietary information.

特异性

Please be aware that the antibody provided positive results in cell lysate samples but negative results in some tissue lysate samples.

反应性数据

{ "title": "Reactivity Data", "filters": { "stats": ["", "Species", "Dilution Info", "Notes"], "tabs": { "all-applications": {"fullname" : "All Applications", "shortname": "All Applications"}, "FlowCyt" : {"fullname" : "Flow Cytometry", "shortname":"Flow Cyt"}, "WB" : {"fullname" : "Western blot", "shortname":"WB"}, "ICCIF" : {"fullname" : "Immunocytochemistry/ Immunofluorescence", "shortname":"ICC/IF"}, "IHCP" : {"fullname" : "Immunohistochemistry (Formalin/PFA-fixed paraffin-embedded sections)", "shortname":"IHC-P"} }, "product-promise": { "all": "all", "testedAndGuaranteed": "tested", "guaranteed": "expected", "predicted": "predicted", "notRecommended": "not-recommended" } }, "values": { "Human": { "FlowCyt-species-checked": "notRecommended", "FlowCyt-species-dilution-info": "", "FlowCyt-species-notes": "<p></p>", "WB-species-checked": "guaranteed", "WB-species-dilution-info": "", "WB-species-notes": "<p></p>", "ICCIF-species-checked": "notRecommended", "ICCIF-species-dilution-info": "", "ICCIF-species-notes": "<p></p>", "IHCP-species-checked": "testedAndGuaranteed", "IHCP-species-dilution-info": "", "IHCP-species-notes": "<p></p>" }, "Mouse": { "FlowCyt-species-checked": "notRecommended", "FlowCyt-species-dilution-info": "", "FlowCyt-species-notes": "<p></p>", "WB-species-checked": "guaranteed", "WB-species-dilution-info": "", "WB-species-notes": "<p></p>", "ICCIF-species-checked": "notRecommended", "ICCIF-species-dilution-info": "", "ICCIF-species-notes": "<p></p>", "IHCP-species-checked": "predicted", "IHCP-species-dilution-info": "", "IHCP-species-notes": "" }, "Rat": { "FlowCyt-species-checked": "notRecommended", "FlowCyt-species-dilution-info": "", "FlowCyt-species-notes": "<p></p>", "WB-species-checked": "guaranteed", "WB-species-dilution-info": "", "WB-species-notes": "<p></p>", "ICCIF-species-checked": "notRecommended", "ICCIF-species-dilution-info": "", "ICCIF-species-notes": "<p></p>", "IHCP-species-checked": "predicted", "IHCP-species-dilution-info": "", "IHCP-species-notes": "" } } }

产品详情

ab181828 is the carrier-free version of ab52934.

Patented technology
Our RabMAb® technology is a patented hybridoma-based technology for making rabbit monoclonal antibodies. For details on our patents, please refer to RabMAb® patents.

What are the advantages of a recombinant monoclonal antibody?
This product is a recombinant monoclonal antibody, which offers several advantages including:

  • - High batch-to-batch consistency and reproducibility
  • - Improved sensitivity and specificity
  • - Long-term security of supply
  • - Animal-free batch production

For more information, read more on recombinant antibodies.

Conjugation ready
Our carrier-free antibodies are typically supplied in a PBS-only formulation, purified and free of BSA, sodium azide and glycerol. This conjugation-ready format is designed for use with fluorochromes, metal isotopes, oligonucleotides, and enzymes, which makes them ideal for antibody labelling, functional and cell-based assays, flow-based assays (e.g. mass cytometry) and Multiplex Imaging applications.

Use our conjugation kits for antibody conjugates that are ready-to-use in as little as 20 minutes with 1 minute hands-on-time and 100% antibody recovery: available for fluorescent dyes, HRP, biotin and gold.

Compatibility
This product is compatible with the Maxpar® Antibody Labeling Kit from Fluidigm, without the need for antibody preparation. Maxpar® is a trademark of Fluidigm Canada Inc.

性能和储存信息

形式
Liquid
纯化工艺
Affinity purification Protein A
存储溶液
Constituents: PBS
运输条件
Blue Ice
推荐的短期储存条件
+4°C
推荐的长期储存条件
+4°C
储存信息
Do Not Freeze

补充信息

This supplementary information is collated from multiple sources and compiled automatically.

Topoisomerase II alpha also known as TOP2A is an enzyme that plays a critical role in DNA replication and cell division. It is a homodimeric protein with a mass of around 170 kDa and primarily localizes in the nucleus. TOP2A catalyzes the transient breaking and rejoining of double-stranded DNA necessary for resolving DNA tangles and supercoils during the replication process. TOP2A is highly expressed in proliferating cells due to its role in cell cycle progression making it a significant target in cancer research.
Biological function summary

TOP2A is essential for chromosome condensation segregation and relief of DNA torsional stress during mitosis. It does not function in isolation but interacts with other proteins as part of the larger DNA topoisomerase complex. This complex maintains DNA integrity during cellular processes such as transcription and replication. TOP2A's activity ensures that cells can duplicate their genetic material accurately facilitating proper cell division and maintaining genomic stability.

Pathways

TOP2A plays a significant role in the DNA replication and cell cycle regulation pathways. It interacts closely with proteins like CDC2 (cyclin-dependent kinase 1) and is regulated by cyclins which control the timing of cell cycle progression. Additionally TOP2A is involved in the DNA damage response pathway where it collaborates with proteins such as ATM (ataxia-telangiectasia mutated) emphasizing its importance in maintaining DNA structure during replication stress.

Overexpression of TOP2A is frequently associated with various cancers including breast and prostate cancer. The enzyme's increased activity promotes uncontrolled cell proliferation a hallmark of cancer development. Antitopoisomerase drugs which target this pathway are used in cancer treatments to inhibit TOP2A activity. Additionally mutations or dysregulation of TOP2A-related pathways may also contribute to chemoresistance. Understanding TOP2A interactions and regulation provides insight into its role in cancer and opens avenues for targeted therapeutic interventions.

产品实验方案

For this product, it's our understanding that no specific protocols are required. You can visit:

靶点信息

Key decatenating enzyme that alters DNA topology by binding to two double-stranded DNA molecules, generating a double-stranded break in one of the strands, passing the intact strand through the broken strand, and religating the broken strand (PubMed : 17567603, PubMed : 18790802, PubMed : 22013166, PubMed : 22323612). May play a role in regulating the period length of BMAL1 transcriptional oscillation (By similarity).
See full target information TOP2A

文献 (1)

Recent publications for all applications. Explore the full list and refine your search

PLoS pathogens 15:e1007963 PubMed31381610

2019

The alpha-1 subunit of the Na+,K+-ATPase (ATP1A1) is required for macropinocytic entry of respiratory syncytial virus (RSV) in human respiratory epithelial cells.

Applications

Unspecified application

Species

Unspecified reactive species

Matthias Lingemann,Thomas McCarty,Xueqiao Liu,Ursula J Buchholz,Sonja Surman,Scott E Martin,Peter L Collins,Shirin Munir
View all publications

Abcam Product Promise

我们致力于为您的研究提供高质量的试剂,为您科研的每一步提供支持。若我们的产品未能达到预期性能,我们向您提供 Abcam Product Promise 保障。
详情请参阅我们的条款与条件。

Please note: All products are 'FOR RESEARCH USE ONLY. NOT FOR USE IN DIAGNOSTIC OR THERAPEUTIC PROCEDURES'.

For licensing inquiries, please contact partnerships@abcam.com