JavaScript is disabled in your browser. Please enable JavaScript to view this website.
AB109374

Anti-Topoisomerase I 抗体 [EPR5375]

Anti-Topoisomerase I antibody [EPR5375]

4

(9 Reviews)

|

(60 Publications)

Anti-Topoisomerase I antibody [EPR5375] (ab109374) is a rabbit monoclonal antibody detecting Topoisomerase I in Western Blot, Flow Cytometry (Intra), Flow Cytometry, IHC-P, ICC/IF. Suitable for Human, Mouse, Rat.

- Biophysical QC for unrivalled batch-batch consistency
- Over 40 publications

查看别名

DNA topoisomerase 1, DNA topoisomerase I, TOP1

12 Images
Immunohistochemistry (Formalin/PFA-fixed paraffin-embedded sections) - Anti-Topoisomerase I antibody [EPR5375] (AB109374)
  • IHC-P

Unknown

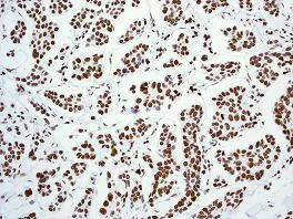
Immunohistochemistry (Formalin/PFA-fixed paraffin-embedded sections) - Anti-Topoisomerase I antibody [EPR5375] (AB109374)

Immunohistochemical analysis of paraffin-embedded Human breast carcinoma tissue using ab109374 at a dilution of 1/100. Heat mediated antigen retrieval was performed before commencing with IHC staining protocol.

Immunohistochemistry (Formalin/PFA-fixed paraffin-embedded sections) - Anti-Topoisomerase I antibody [EPR5375] (AB109374)
  • IHC-P

Unknown

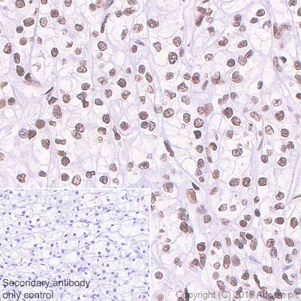
Immunohistochemistry (Formalin/PFA-fixed paraffin-embedded sections) - Anti-Topoisomerase I antibody [EPR5375] (AB109374)

Immunohistochemistry (Formalin/PFA-fixed paraffin-embedded sections) analysis of Human clear cell carcinoma of kidney tissue sections labeling Topoisomerase I with Purified ab109374 at 1 : 100 dilution (1.29 μg/ml). Heat mediated antigen retrieval was performed using ab93684 (Tris/EDTA buffer, pH 9.0). ImmunoHistoProbe one step HRP Polymer (ready to use)was used as the secondary antibody. Negative control : PBS instead of the primary antibody. Hematoxylin was used as a counterstain.

Immunohistochemistry (Formalin/PFA-fixed paraffin-embedded sections) - Anti-Topoisomerase I antibody [EPR5375] (AB109374)
  • IHC-P

Unknown

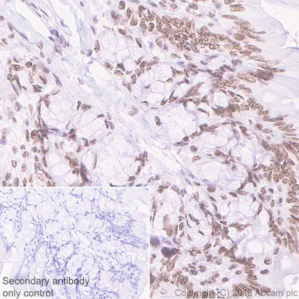
Immunohistochemistry (Formalin/PFA-fixed paraffin-embedded sections) - Anti-Topoisomerase I antibody [EPR5375] (AB109374)

Immunohistochemical analysis of paraffin-embedded Human colonic carcinoma tissue using ab109374 at a dilution of 1/100. Heat mediated antigen retrieval was performed before commencing with IHC staining protocol.

Immunocytochemistry/ Immunofluorescence - Anti-Topoisomerase I antibody [EPR5375] (AB109374)
  • ICC/IF

Unknown

Immunocytochemistry/ Immunofluorescence - Anti-Topoisomerase I antibody [EPR5375] (AB109374)

Immunofluorescent staining of MCF7 cells using ab109374 at a dilution of 1/100.

Flow Cytometry (Intracellular) - Anti-Topoisomerase I antibody [EPR5375] (AB109374)
  • Flow Cyt (Intra)

Unknown

Flow Cytometry (Intracellular) - Anti-Topoisomerase I antibody [EPR5375] (AB109374)

Intracellular Flow Cytometry analysis of HepG2 (Human hepatocellular carcinoma epithelial cell) cells labeling Topoisomerase I with Purified ab109374 at 1/20 dilution (10μg/ml) (red). Cells were fixed with 80% Methanol. A Goat anti rabbit IgG (Alexa Fluorr® 488, ab150077) secondary antibody was used at 1/2000. Isotype control - Rabbit monoclonal IgG (Black). Unlabeled control - Cell without incubation with primary antibody and secondary antibody (Blue).

Flow Cytometry (Intracellular) - Anti-Topoisomerase I antibody [EPR5375] (AB109374)
  • Flow Cyt (Intra)

Unknown

Flow Cytometry (Intracellular) - Anti-Topoisomerase I antibody [EPR5375] (AB109374)

Overlay histogram showing HepG2 cells stained with ab109374 (red line). The cells were fixed with 80% methanol (5 min) and then permeabilized with 0.1% PBS-Tween for 20 min. The cells were then incubated in 1x PBS / 10% normal goat serum / 0.3M glycine to block non-specific protein-protein interactions followed by the antibody (ab109374, 1/100 dilution) for 30 min at 22°C. The secondary antibody used was Alexa Fluorr® 488 goat anti-rabbit IgG (H&L) (ab150077) at 1/2000 dilution for 30 min at 22°C. Isotype control antibody (black line) was rabbit IgG (monoclonal) (1μg/1x106 cells) used under the same conditions. Unlabelled sample (blue line) was also used as a control. Acquisition of >5,000 events were collected using a 20mW Argon ion laser (488nm) and 525/30 bandpass filter.

Immunocytochemistry/ Immunofluorescence - Anti-Topoisomerase I antibody [EPR5375] (AB109374)
  • ICC/IF

Unknown

Immunocytochemistry/ Immunofluorescence - Anti-Topoisomerase I antibody [EPR5375] (AB109374)

Immunocytochemistry/ Immunofluorescence analysis of MCF7 (Human breast adenocarcinoma epithelial cell) cells labeling Topoisomerase I with Purified ab109374 at 1/500 dilution (0.3 μg/ml). Cells were fixed in 4% Paraformaldehyde and permeabilized with 0.1% tritonX-100. Cells were counterstained with ab195889 Anti-alpha Tubulin antibody [DM1A] - Microtubule Marker (Alexa Fluor® 594) 1 : 200 (2.5 μg/ml). Goat anti rabbit IgG (Alexa Fluor® 488, ab150077) was used as the secondary antibody at 1/1000 (2 μg/ml) dilution. DAPI nuclear counterstain. PBS instead of the primary antibody was used as the secondary antibody only control.

Immunohistochemistry (Formalin/PFA-fixed paraffin-embedded sections) - Anti-Topoisomerase I antibody [EPR5375] (AB109374)
  • IHC-P

Unknown

Immunohistochemistry (Formalin/PFA-fixed paraffin-embedded sections) - Anti-Topoisomerase I antibody [EPR5375] (AB109374)

Immunohistochemistry (Formalin/PFA-fixed paraffin-embedded sections) analysis of Rat colon tissue sections labeling Topoisomerase I with purified ab109374 at 1 : 100 dilution (1.29 μg/ml). Heat mediated antigen retrieval was performed using ab93684 (Tris/EDTA buffer, pH 9.0). ImmunoHistoProbe one step HRP Polymer (ready to use)was used as the secondary antibody. Negative control : PBS instead of the primary antibody. Hematoxylin was used as a counterstain.

Immunohistochemistry (Formalin/PFA-fixed paraffin-embedded sections) - Anti-Topoisomerase I antibody [EPR5375] (AB109374)
  • IHC-P

Unknown

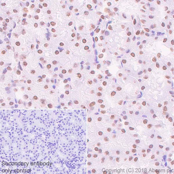
Immunohistochemistry (Formalin/PFA-fixed paraffin-embedded sections) - Anti-Topoisomerase I antibody [EPR5375] (AB109374)

Immunohistochemistry (Formalin/PFA-fixed paraffin-embedded sections) analysis of Mouse kidney tissue sections labeling Topoisomerase I with purified ab109374 at 1 : 100 dilution (1.29 μg/ml). Heat mediated antigen retrieval was performed using ab93684 (Tris/EDTA buffer, pH 9.0). ImmunoHistoProbe one step HRP Polymer (ready to use)was used as the secondary antibody. Negative control : PBS instead of the primary antibody. Hematoxylin was used as a counterstain.

Western blot - Anti-Topoisomerase I antibody [EPR5375] (AB109374)
  • WB

Lab

Western blot - Anti-Topoisomerase I antibody [EPR5375] (AB109374)

All lanes:

Western blot - Anti-Topoisomerase I antibody [EPR5375] (ab109374) at 1/10000 dilution

Lane 1:

MCF7 (Human breast adenocarcinoma epithelial cell) whole cell lysates at 20 µg

Lane 2:

Jurkat (Human T cell leukemia T lymphocyte) whole cell lysates at 20 µg

Lane 3:

HepG2 (Human hepatocellular carcinoma epithelial cell) whole cell lysates at 20 µg

Lane 4:

Neuro-2a (Mouse neuroblastoma neuroblast) whole cell lysates at 20 µg

Secondary

All lanes:

Western blot - Goat Anti-Rabbit IgG H&L (HRP) (<a href='/products/secondary-antibodies/goat-rabbit-igg-h-l-hrp-ab97051'>ab97051</a>) at 1/20000 dilution

Predicted band size: 91 kDa

Observed band size: 91 kDa

false

Western blot - Anti-Topoisomerase I antibody [EPR5375] (AB109374)
  • WB

Lab

Western blot - Anti-Topoisomerase I antibody [EPR5375] (AB109374)

Blocking and diluting buffer and concentration : 5% NFDM/TBST

All lanes:

Western blot - Anti-Topoisomerase I antibody [EPR5375] (ab109374) at 1/50000 dilution

All lanes:

PC-12 (Rat adrenal gland pheochromocytoma) whole cell lysates at 20 µg

Secondary

All lanes:

Western blot - Goat Anti-Rabbit IgG H&L (HRP) (<a href='/products/secondary-antibodies/goat-rabbit-igg-h-l-hrp-ab97051'>ab97051</a>) at 1/20000 dilution

Predicted band size: 91 kDa

Observed band size: 91 kDa

false

Western blot - Anti-Topoisomerase I antibody [EPR5375] (AB109374)
  • WB

Unknown

Western blot - Anti-Topoisomerase I antibody [EPR5375] (AB109374)

All lanes:

Western blot - Anti-Topoisomerase I antibody [EPR5375] (ab109374) at 1/10000 dilution

Lane 1:

Jurkat cell lysate at 10 µg

Lane 2:

MCF7 cell lysate at 10 µg

Lane 3:

SW480 cell lysate at 10 µg

Lane 4:

K562 cell lysate at 10 µg

Predicted band size: 91 kDa

false

不同偶联物与剂型 (4)

  • HRP

    HRP Anti-Topoisomerase I antibody [EPR5375]

  • 665 Alexa Fluor® 647

    Alexa Fluor® 647 Anti-Topoisomerase I antibody [EPR5375]

  • 519 Alexa Fluor® 488

    Alexa Fluor® 488 Anti-Topoisomerase I antibody [EPR5375]

  • Carrier free

    Anti-Topoisomerase I antibody [EPR5375] - BSA and Azide free

关键信息

宿主种属

Rabbit

克隆

Monoclonal

克隆号

EPR5375

亚型

IgG

不含载体蛋白

No

反应种属

Mouse, Rat, Human

应用

Flow Cyt (Intra), WB, IHC-P, ICC/IF

applications

免疫原

The exact immunogen used to generate this antibody is proprietary information.

反应性数据

{ "title": "Reactivity Data", "filters": { "stats": ["", "Species", "Dilution Info", "Notes"], "tabs": { "all-applications": {"fullname" : "All Applications", "shortname": "All Applications"}, "IHCP" : {"fullname" : "Immunohistochemistry (Formalin/PFA-fixed paraffin-embedded sections)", "shortname":"IHC-P"}, "IP" : {"fullname" : "Immunoprecipitation", "shortname":"IP"}, "WB" : {"fullname" : "Western blot", "shortname":"WB"}, "ICCIF" : {"fullname" : "Immunocytochemistry/ Immunofluorescence", "shortname":"ICC/IF"}, "FlowCytIntra" : {"fullname" : "Flow Cytometry (Intracellular)", "shortname":"Flow Cyt (Intra)"} }, "product-promise": { "all": "all", "testedAndGuaranteed": "tested", "guaranteed": "expected", "predicted": "predicted", "notRecommended": "not-recommended" } }, "values": { "Human": { "IHCP-species-checked": "testedAndGuaranteed", "IHCP-species-dilution-info": "1/100 - 1/250", "IHCP-species-notes": "<p></p> Perform heat-mediated antigen retrieval before commencing with IHC staining protocol.", "IP-species-checked": "notRecommended", "IP-species-dilution-info": "", "IP-species-notes": "<p></p>", "WB-species-checked": "testedAndGuaranteed", "WB-species-dilution-info": "1/10000 - 1/50000", "WB-species-notes": "<p></p>", "ICCIF-species-checked": "testedAndGuaranteed", "ICCIF-species-dilution-info": "1/500", "ICCIF-species-notes": "<p><strong>For unpurified use at 1/100 - 1/250</strong></p>", "FlowCytIntra-species-checked": "testedAndGuaranteed", "FlowCytIntra-species-dilution-info": "1/10 - 1/100", "FlowCytIntra-species-notes": "<p><a href='/products/primary-antibodies/rabbit-igg-monoclonal-epr25a-isotype-control-ab172730'>ab172730</a> - Rabbit monoclonal IgG, is suitable for use as an isotype control with this antibody.</p>" }, "Mouse": { "IHCP-species-checked": "testedAndGuaranteed", "IHCP-species-dilution-info": "1/100 - 1/250", "IHCP-species-notes": "<p></p> Perform heat-mediated antigen retrieval before commencing with IHC staining protocol.", "IP-species-checked": "notRecommended", "IP-species-dilution-info": "", "IP-species-notes": "<p></p>", "WB-species-checked": "guaranteed", "WB-species-dilution-info": "", "WB-species-notes": "", "ICCIF-species-checked": "guaranteed", "ICCIF-species-dilution-info": "", "ICCIF-species-notes": "", "FlowCytIntra-species-checked": "guaranteed", "FlowCytIntra-species-dilution-info": "", "FlowCytIntra-species-notes": "" }, "Rat": { "IHCP-species-checked": "testedAndGuaranteed", "IHCP-species-dilution-info": "1/100 - 1/250", "IHCP-species-notes": "<p></p> Perform heat-mediated antigen retrieval before commencing with IHC staining protocol.", "IP-species-checked": "notRecommended", "IP-species-dilution-info": "", "IP-species-notes": "<p></p>", "WB-species-checked": "guaranteed", "WB-species-dilution-info": "", "WB-species-notes": "", "ICCIF-species-checked": "guaranteed", "ICCIF-species-dilution-info": "", "ICCIF-species-notes": "", "FlowCytIntra-species-checked": "guaranteed", "FlowCytIntra-species-dilution-info": "", "FlowCytIntra-species-notes": "" } } }

产品详情

What is this antibody validated in?
Anti-Topoisomerase I antibody [EPR5375] (ab109374) is a rabbit recombinant monoclonal antibody and is validated for use in Western Blot (WB), Flow Cytometry (Intra), Flow Cytometry (Flow Cyt), Immunohistochemistry (IHC-P), Immunocytochemistry/immunofluorescence (ICC/IF) in Human, Mouse, Rat samples.

What is the molecular weight of Topoisomerase I?
Anti-Topoisomerase I [EPR5375] (ab109374) specifically detects a band for Topoisomerase I (UniProt: P11387) at a molecular weight of 91kDa.

Trusted by the scientific community
Anti-Topoisomerase I [EPR5375] (ab109374) was first used in a scientific publication in 2011 and has been cited over 40 times in peer-reviewed journals.

Reviewed by scientists
Anti-Topoisomerase I [EPR5375] (ab109374) has over 5 independent reviews from customers.

Trial sizes available!
Test your antibody or perform pre-screening before committing to a larger quantity. Sold in 10µl. Discover our selection of trial-size antibodies.

Other related products
We have a range of other formats of antibody clone [EPR5375] also available for your convenience: ab109374, HRP - ab196642, Alexa Fluor® 647 - ab196930, Alexa Fluor® 488 - ab197505, Carrier free - ab219735

Patented technology
Our RabMAb® technology is a patented hybridoma-based technology for making rabbit monoclonal antibodies. For details on our patents, please refer to RabMAb® patents.

What are the advantages of a recombinant monoclonal antibody?
This product is a recombinant monoclonal antibody, which offers several advantages including:

  • - High batch-to-batch consistency and reproducibility
  • - Improved sensitivity and specificity
  • - Long-term security of supply
  • - Animal-free batch production

For more information, read more on recombinant antibodies.

Shipping conditions update: ambient shipping

This product will be delivered at ambient temperature instead of chilled – this is by design. Extensive stability testing confirmed that our products are suitable for shipment under ambient conditions and maintain expected quality.

Why the change?

It’s part of our commitment to more sustainable packaging solutions, with ambient deliveries using eco-friendly materials such as recyclable cardboard instead of polystyrene.

What you need to know

  • Ambient shipments come clearly marked on the delivery note.
  • No ice will be included in ambient shipments, but mixed orders (ambient and cold-chain items) will still arrive with ice packs to protect temperature-sensitive products.
  • Warranty coverage remains fully valid, aligned with our validated shipping method.
  • Please store the product as per the datasheet instructions upon receipt.

Find out more - https://www.abcam.com/en-us/support/shipping-storage-support/ambient-shipping

性能和储存信息

形式
Liquid
纯化工艺
Affinity purification Protein A
存储溶液
pH: 7.2 - 7.4 Preservative: 0.01% Sodium azide Constituents: PBS, 40% Glycerol (glycerin, glycerine), 0.05% BSA
运输条件
Conditional Ambient
推荐的短期储存时间
1-2 weeks
推荐的短期储存条件
+4°C
推荐的长期储存条件
-20°C
分装信息
Upon delivery aliquot
储存信息
Stable for 12 months at -20°C

补充信息

This supplementary information is collated from multiple sources and compiled automatically.

Topoisomerase I also known as DNA topoisomerase I or Topo I is an important enzyme in the unwinding of the DNA double helix during processes such as replication and transcription. This enzyme has a molecular mass of approximately 91 kDa and functions by creating transient single-strand breaks in the DNA allowing relaxation of supercoils. Topoisomerase I is widely expressed in both proliferating and non-proliferating cells with higher levels seen in tissues with rapid cell division like the gastrointestinal tract and some immune cells.
Biological function summary

Topoisomerase I plays a significant role in the modulation of DNA topology ensuring proper chromosomal functions during cellular proliferation. It serves as a single polypeptide and does not require a companion for its activity unlike other topoisomerases that may function in complexes. The enzyme's ability to relieve torsional stress in DNA is essential for maintaining genomic stability and facilitating the smooth progression of the replication fork.

Pathways

Topoisomerase I is vital for DNA replication and transcription processes. It works in concert with other proteins such as helicases and ligases to ensure efficient unwinding and rewinding of DNA strands. The enzyme participates in the DNA damage response pathway where it interacts with proteins like PARP1 to coordinate repair processes. Its action is important in both the S phase of the cell cycle where DNA synthesis occurs and in the G0 phase where cells are in a quiescent state.

Topoisomerase I is heavily implicated in oncogenesis with significant associations to colorectal and ovarian cancers. Its heightened activity can lead to genomic instability a hallmark of cancer development. The enzyme also relates to chemotherapeutic resistance where mutations in topoisomerase I lead to reduced drug efficacy. Furthermore inhibitors targeting topoisomerase I such as camptothecin-based drugs exploit its role in cancer aiming to induce DNA damage selectively in rapidly dividing cells. Connections to other proteins like BRCA1 are apparent in these pathways as they both contribute to the DNA repair processes in cells.

产品实验方案

For this product, it's our understanding that no specific protocols are required. You can visit:

靶点信息

Releases the supercoiling and torsional tension of DNA introduced during the DNA replication and transcription by transiently cleaving and rejoining one strand of the DNA duplex. Introduces a single-strand break via transesterification at a target site in duplex DNA. The scissile phosphodiester is attacked by the catalytic tyrosine of the enzyme, resulting in the formation of a DNA-(3'-phosphotyrosyl)-enzyme intermediate and the expulsion of a 5'-OH DNA strand. The free DNA strand then rotates around the intact phosphodiester bond on the opposing strand, thus removing DNA supercoils. Finally, in the religation step, the DNA 5'-OH attacks the covalent intermediate to expel the active-site tyrosine and restore the DNA phosphodiester backbone (By similarity). Regulates the alternative splicing of tissue factor (F3) pre-mRNA in endothelial cells. Involved in the circadian transcription of the core circadian clock component BMAL1 by altering the chromatin structure around the ROR response elements (ROREs) on the BMAL1 promoter.
See full target information TOP1

文献 (60)

Recent publications for all applications. Explore the full list and refine your search

Journal of virology 99:e0127625 PubMed40874743

2025

Camptothecin, a topoisomerase I inhibitor, impedes productive herpes simplex virus type 1 infection.

Applications

Unspecified application

Species

Unspecified reactive species

Joseph R Heath,Alison E Lloyd,Raegen M Kulinski,Daniel P Fromuth,Jill A Dembowski

Nature communications 16:7458 PubMed40796804

2025

Epigenetic control of topoisomerase 1 activity presents a cancer vulnerability.

Applications

Unspecified application

Species

Unspecified reactive species

Tae-Hee Lee,Colina X Qiao,Vladislav Kuzin,Yuepeng Shi,Marina Farkas,Zhiyan Zhao,Vijayalalitha Ramanarayanan,Tongyu Wu,Tianyi Guan,Xianzhen Zhou,David Corujo,Marcus Buschbeck,Laura Baranello,Philipp Oberdoerffer

Cancer research and treatment : PubMed40776560

2025

DNA damage and Nuclear Anaplasia Induced by Trastuzumab Deruxtecan in Cancer Cells with Variable HER2 Expression and Homologous Recombination Deficiency Status.

Applications

Unspecified application

Species

Unspecified reactive species

So Hyeon Kim,Yoonjung Park,Ahrum Min,Hye Yeon Park,Yu-Jin Kim,Sujin Ham,Jiwon Koh,Seongyeong Kim,Dae-Won Lee,Han Suk Ryu,Jin-Soo Kim,Kyung-Hun Lee,Seock-Ah Im

The EMBO journal 43:5260-5287 PubMed39322756

2024

Chromatin protein complexes involved in gene repression in lamina-associated domains.

Applications

Unspecified application

Species

Unspecified reactive species

Stefano G Manzo,Abdelghani Mazouzi,Christ Leemans,Tom van Schaik,Nadia Neyazi,Marjon S van Ruiten,Benjamin D Rowland,Thijn R Brummelkamp,Bas van Steensel

Cell reports 43:114214 PubMed38761375

2024

TDP1 mutation causing SCAN1 neurodegenerative syndrome hampers the repair of transcriptional DNA double-strand breaks.

Applications

Unspecified application

Species

Unspecified reactive species

Mathéa Geraud,Agnese Cristini,Simona Salimbeni,Nicolas Bery,Virginie Jouffret,Marco Russo,Andrea Carla Ajello,Lara Fernandez Martinez,Jessica Marinello,Pierre Cordelier,Didier Trouche,Gilles Favre,Estelle Nicolas,Giovanni Capranico,Olivier Sordet

Clinical cancer research : an official journal of the American Association for Cancer Research 30:2917-2924 PubMed38709212

2024

Antibody-Drug Conjugate Sacituzumab Govitecan Enables a Sequential TOP1/PARP Inhibitor Therapy Strategy in Patients with Breast Cancer.

Applications

Unspecified application

Species

Unspecified reactive species

Aditya Bardia,Sheng Sun,Nayana Thimmiah,James T Coates,Bogang Wu,Rachel O Abelman,Laura Spring,Beverly Moy,Phoebe Ryan,Mark N Melkonyan,Ann Partridge,Dejan Juric,Jeffrey Peppercorn,Heather Parsons,Seth A Wander,Victoria Attaya,Brenda Lormil,Maria Shellock,Aiko Nagayama,Veerle Bossuyt,Steven J Isakoff,Sara M Tolaney,Leif W Ellisen

Nucleic acids research 52:2142-2156 PubMed38340342

2024

G-quadruplexes on chromosomal DNA negatively regulates topoisomerase 1 activity.

Applications

Unspecified application

Species

Unspecified reactive species

Hui-Ting Liang,Jiang-Yu Yan,Hao-Jun Yao,Xue-Nan Zhang,Zhi-Ming Xing,Lin Liu,Yao-Qing Chen,Guo-Rui Li,Jing Huang,Yi-de He,Ke-Wei Zheng

Cancer research 83:4015-4029 PubMed37987734

2023

Topoisomerase 1 Inhibition in MYC-Driven Cancer Promotes Aberrant R-Loop Accumulation to Induce Synthetic Lethality.

Applications

Unspecified application

Species

Unspecified reactive species

Peter Lin,Corey Lourenco,Jennifer Cruickshank,Luis Palomero,Jenna E van Leeuwen,Amy H Y Tong,Katherine Chan,Samah El Ghamrasni,Miquel Angel Pujana,David W Cescon,Jason Moffat,Linda Z Penn

Science advances 9:eadg5109 PubMed37831776

2023

Coinhibition of topoisomerase 1 and BRD4-mediated pause release selectively kills pancreatic cancer via readthrough transcription.

Applications

Unspecified application

Species

Unspecified reactive species

Donald P Cameron,Jan Grosser,Swetlana Ladigan,Vladislav Kuzin,Evanthia Iliopoulou,Anika Wiegard,Hajar Benredjem,Kathryn Jackson,Sven T Liffers,Smiths Lueong,Phyllis F Cheung,Deepak Vangala,Michael Pohl,Richard Viebahn,Christian Teschendorf,Heiner Wolters,Selami Usta,Keyi Geng,Claudia Kutter,Marie Arsenian-Henriksson,Jens T Siveke,Andrea Tannapfel,Wolff Schmiegel,Stephan A Hahn,Laura Baranello

Nature genetics 55:1721-1734 PubMed37735199

2023

APOBEC3B regulates R-loops and promotes transcription-associated mutagenesis in cancer.

Applications

Unspecified application

Species

Unspecified reactive species

Jennifer L McCann,Agnese Cristini,Emily K Law,Seo Yun Lee,Michael Tellier,Michael A Carpenter,Chiara Beghè,Jae Jin Kim,Anthony Sanchez,Matthew C Jarvis,Bojana Stefanovska,Nuri A Temiz,Erik N Bergstrom,Daniel J Salamango,Margaret R Brown,Shona Murphy,Ludmil B Alexandrov,Kyle M Miller,Natalia Gromak,Reuben S Harris
View all publications

Abcam Product Promise

我们致力于为您的研究提供高质量的试剂,为您科研的每一步提供支持。若我们的产品未能达到预期性能,我们向您提供 Abcam Product Promise 保障。
详情请参阅我们的条款与条件。

Please note: All products are 'FOR RESEARCH USE ONLY. NOT FOR USE IN DIAGNOSTIC OR THERAPEUTIC PROCEDURES'.

For licensing inquiries, please contact partnerships@abcam.com