JavaScript is disabled in your browser. Please enable JavaScript to view this website.
AB109386

重组Anti-TNPO3抗体[EPR5264]

Anti-TNPO3 antibody [EPR5264]

4

(1 Review)

|

(6 Publications)

Rabbit Recombinant Monoclonal TNPO3 antibody. Suitable for IHC-P, WB and reacts with Human samples. Cited in 6 publications.

查看别名

IPO12, TNPO3, Transportin-3, Importin-12, Transportin-SR, Imp12, TRN-SR

3 Images
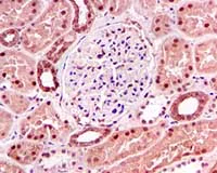
Immunohistochemistry (Formalin/PFA-fixed paraffin-embedded sections) - Anti-TNPO3 antibody [EPR5264] (AB109386)
  • IHC-P

Unknown

Immunohistochemistry (Formalin/PFA-fixed paraffin-embedded sections) - Anti-TNPO3 antibody [EPR5264] (AB109386)

ab109386 at 1/100 dilution staining TNPO3 in paraffin-embedded Human kidney tissue by Immunohistochemistry.

Perform heat mediated antigen retrieval with citrate buffer pH 6 before commencing with IHC staining protocol.

Western blot - Anti-TNPO3 antibody [EPR5264] (AB109386)
  • WB

Unknown

Western blot - Anti-TNPO3 antibody [EPR5264] (AB109386)

All lanes:

Western blot - Anti-TNPO3 antibody [EPR5264] (ab109386) at 1/1000 dilution

Lane 1:

HeLa cell lysate at 10 µg

Lane 2:

Jurkat cell lysate at 10 µg

Lane 3:

Ramos cell lysate at 10 µg

Lane 4:

HepG2 cell lysate at 10 µg

Predicted band size: 104 kDa

false

OI-RD Scanning - Anti-TNPO3 antibody [EPR5264] (AB109386)
  • OI-RD Scanning

Unknown

OI-RD Scanning - Anti-TNPO3 antibody [EPR5264] (AB109386)

We have systematically measured KD (the equilibrium dissociation constant between the antibody and its antigen), of more than 840 recombinant antibodies to assess not only their individual KD values but also to see the average affinity of antibody. Based on the comparison with published literature values for mouse monoclonal antibodies, Recombinant antibodies appear to be on average 1-2 order of magnitude higher affinity.

不同偶联物与剂型 (1)

  • Carrier free

    Anti-TNPO3 antibody [EPR5264] - BSA and Azide free

关键信息

宿主种属

Rabbit

克隆

Monoclonal

克隆号

EPR5264

亚型

IgG

不含载体蛋白

No

反应种属

Human

应用

IHC-P, WB

applications

免疫原

The exact immunogen used to generate this antibody is proprietary information.

反应性数据

{ "title": "Reactivity Data", "filters": { "stats": ["", "Species", "Dilution Info", "Notes"], "tabs": { "all-applications": {"fullname" : "All Applications", "shortname": "All Applications"}, "IHCP" : {"fullname" : "Immunohistochemistry (Formalin/PFA-fixed paraffin-embedded sections)", "shortname":"IHC-P"}, "IP" : {"fullname" : "Immunoprecipitation", "shortname":"IP"}, "FlowCyt" : {"fullname" : "Flow Cytometry", "shortname":"Flow Cyt"}, "WB" : {"fullname" : "Western blot", "shortname":"WB"} }, "product-promise": { "all": "all", "testedAndGuaranteed": "tested", "guaranteed": "expected", "predicted": "predicted", "notRecommended": "not-recommended" } }, "values": { "Human": { "IHCP-species-checked": "testedAndGuaranteed", "IHCP-species-dilution-info": "1/100 - 1/250", "IHCP-species-notes": "<p></p>", "IP-species-checked": "notRecommended", "IP-species-dilution-info": "", "IP-species-notes": "<p></p>", "FlowCyt-species-checked": "notRecommended", "FlowCyt-species-dilution-info": "", "FlowCyt-species-notes": "<p></p>", "WB-species-checked": "testedAndGuaranteed", "WB-species-dilution-info": "1/1000 - 1/10000", "WB-species-notes": "<p></p>" }, "Mouse": { "IHCP-species-checked": "predicted", "IHCP-species-dilution-info": "", "IHCP-species-notes": "", "IP-species-checked": "notRecommended", "IP-species-dilution-info": "", "IP-species-notes": "", "FlowCyt-species-checked": "notRecommended", "FlowCyt-species-dilution-info": "", "FlowCyt-species-notes": "", "WB-species-checked": "predicted", "WB-species-dilution-info": "", "WB-species-notes": "" }, "Rat": { "IHCP-species-checked": "predicted", "IHCP-species-dilution-info": "", "IHCP-species-notes": "", "IP-species-checked": "notRecommended", "IP-species-dilution-info": "", "IP-species-notes": "", "FlowCyt-species-checked": "notRecommended", "FlowCyt-species-dilution-info": "", "FlowCyt-species-notes": "", "WB-species-checked": "predicted", "WB-species-dilution-info": "", "WB-species-notes": "" } } }

产品详情

Patented technology
Our RabMAb® technology is a patented hybridoma-based technology for making rabbit monoclonal antibodies. For details on our patents, please refer to RabMAb® patents.

What are the advantages of a recombinant monoclonal antibody?
This product is a recombinant monoclonal antibody, which offers several advantages including:

  • - High batch-to-batch consistency and reproducibility
  • - Improved sensitivity and specificity
  • - Long-term security of supply
  • - Animal-free batch production

For more information, read more on recombinant antibodies.

性能和储存信息

形式
Liquid
纯化工艺
Affinity purification Protein A
存储溶液
pH: 7.2 - 7.4 Preservative: 0.05% Sodium azide Constituents: 50% Tissue culture supernatant, 40% Glycerol (glycerin, glycerine), 9.85% Tris glycine, 0.1% BSA
运输条件
Blue Ice
推荐的短期储存条件
+4°C
推荐的长期储存条件
-20°C
储存信息
Stable for 12 months at -20°C

产品实验方案

For this product, it's our understanding that no specific protocols are required. You can visit:

靶点信息

Importin, which transports target proteins into the nucleus (PubMed : 10366588, PubMed : 10713112, PubMed : 11517331, PubMed : 12628928, PubMed : 24449914). Specifically mediates the nuclear import of splicing factor serine/arginine (SR) proteins, such as RBM4, SFRS1 and SFRS2, by recognizing phosphorylated SR domains (PubMed : 10366588, PubMed : 10713112, PubMed : 11517331, PubMed : 12628928, PubMed : 24449914). Also mediates the nuclear import of serine/arginine (SR) protein CPSF6, independently of CPSF6 phosphorylation (PubMed : 30916345, PubMed : 31465518). The nuclear import process is regulated by the small GTPase Ran that partitions between cytoplasm and nucleus in the predominantly GDP- and GTP-bound form, respectively (PubMed : 23878195, PubMed : 24449914). Importin associates with target cargo proteins in the cytoplasm, and the competitive binding of GTP-bound Ran induces the release of cargos in the nucleus (PubMed : 23878195, PubMed : 24449914).. (Microbial infection) Involved in immunodeficiency virus (HIV-1) infection by importing the pre-integration complex (PIC) into the nucleus (PubMed : 18722123, PubMed : 21901095, PubMed : 22398280, PubMed : 29329553). Required for a nuclear maturation step of HIV-1 prior to integration (PubMed : 21901095, PubMed : 22398280).
See full target information TNPO3

文献 (6)

Recent publications for all applications. Explore the full list and refine your search

Nature communications 12:6829 PubMed34819513

2021

Nuclear-capture of endosomes depletes nuclear G-actin to promote SRF/MRTF activation and cancer cell invasion.

Applications

Unspecified application

Species

Unspecified reactive species

Sergi Marco,Matthew Neilson,Madeleine Moore,Arantxa Perez-Garcia,Holly Hall,Louise Mitchell,Sergio Lilla,Giovani R Blanco,Ann Hedley,Sara Zanivan,Jim C Norman

Cell reports 29:3983-3996.e4 PubMed31851928

2019

Cellular IP Levels Limit HIV Production while Viruses that Cannot Efficiently Package IP Are Attenuated for Infection and Replication.

Applications

Unspecified application

Species

Unspecified reactive species

Donna L Mallery,K M Rifat Faysal,Alex Kleinpeter,Miranda S C Wilson,Marina Vaysburd,Adam J Fletcher,Mariia Novikova,Till Böcking,Eric O Freed,Adolfo Saiardi,Leo C James

Journal of virology 93: PubMed31341054

2019

Interferon-Inducible MicroRNA miR-128 Modulates HIV-1 Replication by Targeting TNPO3 mRNA.

Applications

Unspecified application

Species

Unspecified reactive species

Aurore Bochnakian,Anjie Zhen,Dimitrios G Zisoulis,Adam Idica,Vineet N KewalRamani,Nicholas Neel,Iben Daugaard,Matthias Hamdorf,Scott Kitchen,KyeongEun Lee,Irene Munk Pedersen

Neurology. Genetics 5:e337 PubMed31192305

2019

Novel mutation in causes congenital limb-girdle myopathy with slow progression.

Applications

Unspecified application

Species

Unspecified reactive species

Anna Vihola,Johanna Palmio,Olof Danielsson,Sini Penttilä,Daniel Louiselle,Sara Pittman,Conrad Weihl,Bjarne Udd

PLoS pathogens 10:e1003969 PubMed24586169

2014

A cyclophilin homology domain-independent role for Nup358 in HIV-1 infection.

Applications

WB

Species

Unspecified reactive species

Anne M Meehan,Dyana T Saenz,Rebekah Guevera,James H Morrison,Mary Peretz,Hind J Fadel,Masakazu Hamada,Jan van Deursen,Eric M Poeschla

PloS one 8:e63536 PubMed23667635

2013

Next-generation sequencing identifies transportin 3 as the causative gene for LGMD1F.

Applications

WB

Species

Human

Annalaura Torella,Marina Fanin,Margherita Mutarelli,Enrico Peterle,Francesca Del Vecchio Blanco,Rossella Rispoli,Marco Savarese,Arcomaria Garofalo,Giulio Piluso,Lucia Morandi,Giulia Ricci,Gabriele Siciliano,Corrado Angelini,Vincenzo Nigro
View all publications

Abcam Product Promise

我们致力于为您的研究提供高质量的试剂,为您科研的每一步提供支持。若我们的产品未能达到预期性能,我们向您提供 Abcam Product Promise 保障。
详情请参阅我们的条款与条件。

Please note: All products are 'FOR RESEARCH USE ONLY. NOT FOR USE IN DIAGNOSTIC OR THERAPEUTIC PROCEDURES'.

For licensing inquiries, please contact partnerships@abcam.com