JavaScript is disabled in your browser. Please enable JavaScript to view this website.
AB122786

Anti-TMEM111抗体

Anti-TMEM111 antibody

Be the first to review this product! Submit a review

|

(1 Publication)

Rabbit Polyclonal TMEM111 antibody. Suitable for IHC-P, ICC/IF and reacts with Human samples. Cited in 1 publication. Immunogen corresponding to Recombinant Fragment Protein within Human EMC3.

查看别名

TMEM111, EMC3, ER membrane protein complex subunit 3, Transmembrane protein 111

2 Images
Immunocytochemistry/ Immunofluorescence - Anti-TMEM111 antibody (AB122786)
  • ICC/IF

Unknown

Immunocytochemistry/ Immunofluorescence - Anti-TMEM111 antibody (AB122786)

Immunofluorescent staining of Human cell line A-431 shows positivity in cytoplasm. Recommended concentration of ab122786 1-4 µg/ml. Cells treated with PFA/Triton X-100.

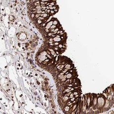
Immunohistochemistry (Formalin/PFA-fixed paraffin-embedded sections) - Anti-TMEM111 antibody (AB122786)
  • IHC-P

Unknown

Immunohistochemistry (Formalin/PFA-fixed paraffin-embedded sections) - Anti-TMEM111 antibody (AB122786)

ab122786, at 1/50 dilution, staining TMEM111 in paraffin-embedded Human nasopharynx tissue by Immunohistochemistry.

关键信息

宿主种属

Rabbit

克隆

Polyclonal

亚型

IgG

不含载体蛋白

No

反应种属

Human

应用

ICC/IF, IHC-P

applications

免疫原

Recombinant Fragment Protein within Human EMC3. The exact immunogen used to generate this antibody is proprietary information.

Q9P0I2

反应性数据

{ "title": "Reactivity Data", "filters": { "stats": ["", "Species", "Dilution Info", "Notes"], "tabs": { "all-applications": {"fullname" : "All Applications", "shortname": "All Applications"}, "IHCP" : {"fullname" : "Immunohistochemistry (Formalin/PFA-fixed paraffin-embedded sections)", "shortname":"IHC-P"}, "ICCIF" : {"fullname" : "Immunocytochemistry/ Immunofluorescence", "shortname":"ICC/IF"} }, "product-promise": { "all": "all", "testedAndGuaranteed": "tested", "guaranteed": "expected", "predicted": "predicted", "notRecommended": "not-recommended" } }, "values": { "Human": { "IHCP-species-checked": "testedAndGuaranteed", "IHCP-species-dilution-info": "1/50 - 1/200", "IHCP-species-notes": "<p></p> Perform heat-mediated antigen retrieval with citrate buffer pH 6 before commencing with IHC staining protocol.", "ICCIF-species-checked": "testedAndGuaranteed", "ICCIF-species-dilution-info": "1-4 µg/mL", "ICCIF-species-notes": "<p>Recommend PFA Fixation and Triton X-100 treatment</p>" } } }

性能和储存信息

形式
Liquid
纯化工艺
Affinity purification Immunogen
存储溶液
pH: 7.2 Preservative: 0.02% Sodium azide Constituents: PBS, 40% Glycerol (glycerin, glycerine)
运输条件
Blue Ice
推荐的短期储存条件
+4°C
推荐的长期储存条件
-20°C
分装信息
Upon delivery aliquot
储存信息
Avoid freeze / thaw cycle

补充信息

This supplementary information is collated from multiple sources and compiled automatically.

TMEM111 also known as transmembrane protein 111 is integral to the endoplasmic reticulum membrane. Weighing approximately 26 kDa this protein facilitates various cellular processes. TMEM111 is expressed widely across different tissues including the brain liver and kidney. Its expression pattern indicates significant involvement in maintaining several cell functions and indicates its potential role in cellular homeostasis.
Biological function summary

TMEM111 plays a part in regulating the Bat3 complex contributing to protein quality control within the cell. This protein interacts with other components to ensure correct protein folding and degradation of misfolded proteins. Its activity is essential for maintaining cellular stress responses and cellular viability. Through these interactions TMEM111 supports cell survival mechanisms and prevents the accumulation of defective proteins that could harm cellular operations.

Pathways

TMEM111 contributes to the ubiquitin-proteasome pathway and is linked with the endoplasmic reticulum-associated degradation (ERAD) pathway. It interacts closely with proteins such as ubiquitin-conjugating enzymes and other ERAD components playing a significant role in the targeted degradation of misfolded proteins. These pathways are critical for maintaining protein homeostasis preventing cellular damage from protein aggregation especially under conditions that induce endoplasmic reticulum stress.

TMEM111 shows an association with neurodegenerative diseases like Alzheimer's disease and liver disorders. Dysfunctional TMEM111 may contribute to the accumulation of misfolded proteins seen in Alzheimer's likely by disrupting the ERAD pathway. In liver disorders its interaction with proteins like hepatic-specific factors suggests a role in liver function maintenance. Further investigation into TMEM111 could offer insights into therapeutic targets for these conditions.

产品实验方案

For this product, it's our understanding that no specific protocols are required. You can visit:

靶点信息

Part of the endoplasmic reticulum membrane protein complex (EMC) that enables the energy-independent insertion into endoplasmic reticulum membranes of newly synthesized membrane proteins (PubMed : 29242231, PubMed : 29809151, PubMed : 30415835, PubMed : 32439656, PubMed : 32459176). Preferentially accommodates proteins with transmembrane domains that are weakly hydrophobic or contain destabilizing features such as charged and aromatic residues (PubMed : 29242231, PubMed : 29809151, PubMed : 30415835). Involved in the cotranslational insertion of multi-pass membrane proteins in which stop-transfer membrane-anchor sequences become ER membrane spanning helices (PubMed : 29809151, PubMed : 30415835). It is also required for the post-translational insertion of tail-anchored/TA proteins in endoplasmic reticulum membranes (PubMed : 29242231, PubMed : 29809151). By mediating the proper cotranslational insertion of N-terminal transmembrane domains in an N-exo topology, with translocated N-terminus in the lumen of the ER, controls the topology of multi-pass membrane proteins like the G protein-coupled receptors (PubMed : 30415835). By regulating the insertion of various proteins in membranes, it is indirectly involved in many cellular processes (Probable).
See full target information EMC3

文献 (1)

Recent publications for all applications. Explore the full list and refine your search

Frontiers in cell and developmental biology 9:724860 PubMed34568334

2021

Integrative Analysis of Biomarkers Through Machine Learning Identifies Stemness Features in Colorectal Cancer.

Applications

Unspecified application

Species

Unspecified reactive species

Ran Wei,Jichuan Quan,Shuofeng Li,Hengchang Liu,Xu Guan,Zheng Jiang,Xishan Wang
View all publications

Abcam Product Promise

我们致力于为您的研究提供高质量的试剂,为您科研的每一步提供支持。若我们的产品未能达到预期性能,我们向您提供 Abcam Product Promise 保障。
详情请参阅我们的条款与条件。

Please note: All products are 'FOR RESEARCH USE ONLY. NOT FOR USE IN DIAGNOSTIC OR THERAPEUTIC PROCEDURES'.

For licensing inquiries, please contact partnerships@abcam.com