JavaScript is disabled in your browser. Please enable JavaScript to view this website.
AB241332

Anti-TIM 3 抗体 [EPR22241]

Anti-TIM 3 antibody [EPR22241]

  • BOND RX™ Validated
  • 20ul selling size
  • RabMAb
  • Advanced Validation
  • Recombinant
  • 了解详情

4

(1 Review)

|

(45 Publications)

Anti-TIM 3 antibody [EPR22241] (ab241332) is a rabbit monoclonal antibody detecting TIM 3 in Western Blot, IP, IHC-P, mIHC. Suitable for Human, Mouse, Rat.

- Multiplex IHC validated on the Leica BOND® MAX using Opal reagents
- Biophysical QC for unrivalled batch-batch consistency
- Over 20 publications

查看别名

CD366, TIM3, TIMD3, HAVCR2, Hepatitis A virus cellular receptor 2, HAVcr-2, T-cell immunoglobulin and mucin domain-containing protein 3, T-cell immunoglobulin mucin receptor 3, T-cell membrane protein 3, TIMD-3, TIM-3

9 Images
Multiplex immunohistochemistry - Anti-TIM 3 antibody [EPR22241] (AB241332)
  • mIHC

Supplier Data

Multiplex immunohistochemistry - Anti-TIM 3 antibody [EPR22241] (AB241332)

This data was developed using ab242080, the same antibody clone in a different buffer formulation. Immunohistochemistry (Formalin/PFA-fixed paraffin-embedded sections) analysis of Human tonsil labelling PD1 with ab243644 at 1/500 dilution (1.02 µg/mL) (D), CD8 with ab178089 at 1/100 dilution (0.83 μg/ml) (C) and TIM 3 with ab242080 at 1/500 dilution (2.09 μg/ml) (B). Opal Polymer HRP Ms + Rb was used as a secondary antibody, and DAPI was used for a nuclear counter stain. Heat mediated antigen retrieval with Tris-EDTA buffer (pH 9.0, epitope retrieval solution 2) for 20 mins.   Panel A : merged staining of anti-TIM 3 (green; Opal™690), anti-CD8 (red; Opal™520) and anti-PD1 (gray; Opal™570) on human tonsil. Panel B : anti-TIM 3 stained on membrane of a subset of immune cells. Panel C : anti-CD8 stained on membrane of a subset of T cells. Panel D : anti-PD1 stained on membrane of a subset of lymphocytes. The section was incubated in three rounds of staining : in the order of ab242080, ab243644 and ab178089 for 30 mins at room temperature. Each round was followed by a separate fluorescent tyramide signal amplification system. The immunostaining was performed on a Leica Biosystems BOND® RX instrument with an Opal™ 4-color kit. Image acquisition was performed with Leica SP8 confocal microscope.

Immunohistochemistry (Formalin/PFA-fixed paraffin-embedded sections) - Anti-TIM 3 antibody [EPR22241] (AB241332)
  • IHC-P

Supplier Data

Immunohistochemistry (Formalin/PFA-fixed paraffin-embedded sections) - Anti-TIM 3 antibody [EPR22241] (AB241332)

Immunohistochemical analysis of paraffin-embedded human lung cancer tissue labeling TIM 3 with ab241332 at 1/1000 dilution, followed by Goat Anti-Rabbit IgG H&L (HRP) ready to use. Cytoplasmic and membranous staining on both infiltrated immunocytes and tumor cells of human lung cancer (PMID : 22586058) is observed. Counter stained with hematoxylin.

Secondary antibody only control : Used PBS instead of primary antibody, secondary antibody is Goat Anti-Rabbit IgG H&L (HRP) ready to use.

Heat mediated antigen retrieval using ab93684 (Tris/EDTA buffer, pH 9.0).

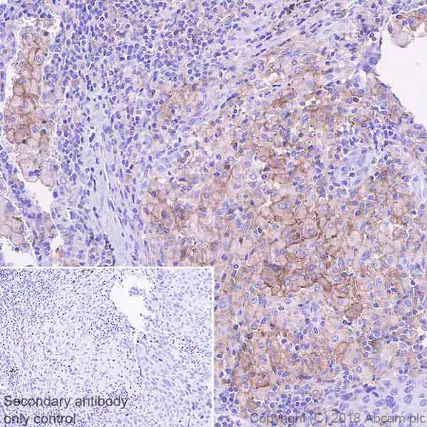
Immunohistochemistry (Formalin/PFA-fixed paraffin-embedded sections) - Anti-TIM 3 antibody [EPR22241] (AB241332)
  • IHC-P

Supplier Data

Immunohistochemistry (Formalin/PFA-fixed paraffin-embedded sections) - Anti-TIM 3 antibody [EPR22241] (AB241332)

Immunohistochemical analysis of paraffin-embedded human liver tissue labeling TIM 3 with ab241332 at 1/1000 dilution, followed by Goat Anti-Rabbit IgG H&L (HRP) ready to use. Cytoplasmic and membranous staining on Kupffer cells of human liver (PMID : 27192565) is observed. Counter stained with hematoxylin.

Secondary antibody only control : Used PBS instead of primary antibody, secondary antibody is Goat Anti-Rabbit IgG H&L (HRP) ready to use.

Heat mediated antigen retrieval using ab93684 (Tris/EDTA buffer, pH 9.0).

Immunohistochemistry (Formalin/PFA-fixed paraffin-embedded sections) - Anti-TIM 3 antibody [EPR22241] (AB241332)
  • IHC-P

Lab

Immunohistochemistry (Formalin/PFA-fixed paraffin-embedded sections) - Anti-TIM 3 antibody [EPR22241] (AB241332)

Tissue Microarrays stained for "Anti-TIM 3 antibody [EPR22241]" using "ab241332"in immunohistochemical analysis. This table provides a detailed overview of positive (tick mark) and negative (cross mark) staining per sample type tested. The sections were pre-treated using Heat mediated antigen retrieval using ab93684 (Tris/EDTA buffer, pH 9.0). The sections were incubated with ab241332 at +4°C overnight followed by a ready to use Goat Anti-Rabbit IgG H&L (HRP polymer).

Immunoprecipitation - Anti-TIM 3 antibody [EPR22241] (AB241332)
  • IP

Supplier Data

Immunoprecipitation - Anti-TIM 3 antibody [EPR22241] (AB241332)

TIM 3 was immunoprecipitated from 0.35 mg of Daudi (human Burkitt's lymphoma cell line) whole cell lysate with ab241332 at 1/30 dilution. Western blot was performed from the immunoprecipitate using ab241332 at 1/500 dilution. VeriBlot for IP Detection Reagent (HRP) (ab131366), was used for detection at 1/1000 dilution.

Lane 1 : Daudi lysate 10 μg (Input).
Lane 2 : ab241332 IP in Daudi whole cell lysate (+).
Lane 3 : Rabbit monoclonal IgG (ab172730) instead of ab241332 in Daudi whole cell lysate (-).

Blocking and dilution buffer and concentration : 5% NFDM/TBST.
Exposure time : 3 minutes.

All lanes:

Immunoprecipitation - Anti-TIM 3 antibody [EPR22241] (ab241332)

Predicted band size: 33 kDa

Observed band size: 50 kDa

false

Immunohistochemistry (Formalin/PFA-fixed paraffin-embedded sections) - Anti-TIM 3 antibody [EPR22241] (AB241332)
  • IHC-P

Supplier Data

Immunohistochemistry (Formalin/PFA-fixed paraffin-embedded sections) - Anti-TIM 3 antibody [EPR22241] (AB241332)

Immunohistochemical analysis of paraffin-embedded rat spleen tissue labeling TIM 3 with ab241332 at 1/1000 dilution, followed by Goat Anti-Rabbit IgG H&L (HRP) ready to use. Cytoplasmic and membranous staining on subsets of immune cells of rat spleen is observed. Counter stained with hematoxylin.

Secondary antibody only control : Used PBS instead of primary antibody, secondary antibody is Goat Anti-Rabbit IgG H&L (HRP) ready to use.

Heat mediated antigen retrieval using ab93684 (Tris/EDTA buffer, pH 9.0).

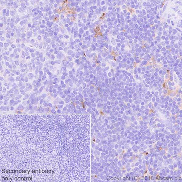
Immunohistochemistry (Formalin/PFA-fixed paraffin-embedded sections) - Anti-TIM 3 antibody [EPR22241] (AB241332)
  • IHC-P

Lab

Immunohistochemistry (Formalin/PFA-fixed paraffin-embedded sections) - Anti-TIM 3 antibody [EPR22241] (AB241332)

Tissue Microarrays stained for "Anti-TIM 3 antibody [EPR22241]" using "ab241332"in immunohistochemical analysis. This table provides a detailed overview of positive (tick mark) and negative (cross mark) staining per sample type tested. The sections were pre-treated using Heat mediated antigen retrieval using ab93684 (Tris/EDTA buffer, pH 9.0). The sections were incubated with ab241332 at +4°C overnight followed by a ready to use Goat Anti-Rabbit IgG H&L (HRP polymer).

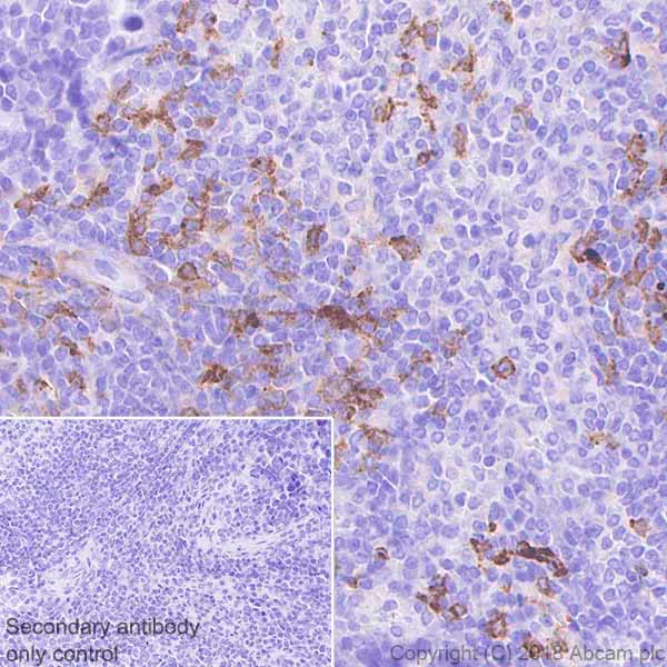
Immunohistochemistry (Formalin/PFA-fixed paraffin-embedded sections) - Anti-TIM 3 antibody [EPR22241] (AB241332)
  • IHC-P

Supplier Data

Immunohistochemistry (Formalin/PFA-fixed paraffin-embedded sections) - Anti-TIM 3 antibody [EPR22241] (AB241332)

Immunohistochemical analysis of paraffin-embedded mouse spleen tissue labeling TIM 3 with ab241332 at 1/1000 dilution, followed by Goat Anti-Rabbit IgG H&L (HRP) ready to use. Cytoplasmic and membranous staining on subsets of immune cells of mouse spleen is observed. Counter stained with hematoxylin.

Secondary antibody only control : Used PBS instead of primary antibody, secondary antibody is Goat Anti-Rabbit IgG H&L (HRP) ready to use.

Heat mediated antigen retrieval using ab93684 (Tris/EDTA buffer, pH 9.0).

Western blot - Anti-TIM 3 antibody [EPR22241] (AB241332)
  • WB

Supplier Data

Western blot - Anti-TIM 3 antibody [EPR22241] (AB241332)

Blocking and dilution buffer : 5% NFDM/TBST.

Lanes 3 & 4 were developed using a higher sensitivity ECL substrate.

All lanes:

Western blot - Anti-TIM 3 antibody [EPR22241] (ab241332) at 1/1000 dilution

Lane 1:

Daudi (human Burkitt's lymphoma cell line) whole cell lysate at 20 µg

Lane 2:

Daudi whole cell lysate (treated with PNGase F) at 20 mg/mL

Lane 3:

RAW 264.7 (mouse macrophage cell line transformed with Abelson murine leukemia virus) whole cell lysate at 20 µg

Lane 4:

RAW 264.7 whole cell lysate (treated with PNGase F) at 20 µg

Secondary

All lanes:

Western blot - Goat Anti-Rabbit IgG H&L (HRP) (<a href='/products/secondary-antibodies/goat-rabbit-igg-h-l-hrp-ab97051'>ab97051</a>) at 1/20000 dilution

Predicted band size: 33 kDa

Observed band size: 40 kDa,50-60 kDa

true

Exposure time: 70s

不同偶联物与剂型 (1)

  • Carrier free

    Anti-TIM 3 antibody [EPR22241] - BSA and Azide free

关键信息

宿主种属

Rabbit

克隆

Monoclonal

克隆号

EPR22241

亚型

IgG

不含载体蛋白

No

反应种属

Mouse, Rat, Human

应用

mIHC, IP, IHC-P, WB

applications

免疫原

The exact immunogen used to generate this antibody is proprietary information.

反应性数据

{ "title": "Reactivity Data", "filters": { "stats": ["", "Species", "Dilution Info", "Notes"], "tabs": { "all-applications": {"fullname" : "All Applications", "shortname": "All Applications"}, "IP" : {"fullname" : "Immunoprecipitation", "shortname":"IP"}, "FlowCyt" : {"fullname" : "Flow Cytometry", "shortname":"Flow Cyt"}, "WB" : {"fullname" : "Western blot", "shortname":"WB"}, "ICCIF" : {"fullname" : "Immunocytochemistry/ Immunofluorescence", "shortname":"ICC/IF"}, "IHCP" : {"fullname" : "Immunohistochemistry (Formalin/PFA-fixed paraffin-embedded sections)", "shortname":"IHC-P"}, "mIHC" : {"fullname" : "Multiplex immunohistochemistry", "shortname":"mIHC"} }, "product-promise": { "all": "all", "testedAndGuaranteed": "tested", "guaranteed": "expected", "predicted": "predicted", "notRecommended": "not-recommended" } }, "values": { "Human": { "IP-species-checked": "testedAndGuaranteed", "IP-species-dilution-info": "1/30", "IP-species-notes": "<p></p>", "FlowCyt-species-checked": "notRecommended", "FlowCyt-species-dilution-info": "", "FlowCyt-species-notes": "<p></p>", "WB-species-checked": "testedAndGuaranteed", "WB-species-dilution-info": "1/1000", "WB-species-notes": "<p></p>", "ICCIF-species-checked": "notRecommended", "ICCIF-species-dilution-info": "", "ICCIF-species-notes": "<p></p>", "IHCP-species-checked": "testedAndGuaranteed", "IHCP-species-dilution-info": "1/1000", "IHCP-species-notes": "<p></p> Perform heat-mediated antigen retrieval with Tris/EDTA buffer pH 9.0 before commencing with IHC staining protocol.", "mIHC-species-checked": "testedAndGuaranteed", "mIHC-species-dilution-info": "", "mIHC-species-notes": "<p></p>" }, "Mouse": { "IP-species-checked": "guaranteed", "IP-species-dilution-info": "", "IP-species-notes": "", "FlowCyt-species-checked": "notRecommended", "FlowCyt-species-dilution-info": "", "FlowCyt-species-notes": "<p></p>", "WB-species-checked": "testedAndGuaranteed", "WB-species-dilution-info": "1/1000", "WB-species-notes": "<p></p>", "ICCIF-species-checked": "notRecommended", "ICCIF-species-dilution-info": "", "ICCIF-species-notes": "<p></p>", "IHCP-species-checked": "testedAndGuaranteed", "IHCP-species-dilution-info": "1/1000", "IHCP-species-notes": "<p></p> Perform heat-mediated antigen retrieval with Tris/EDTA buffer pH 9.0 before commencing with IHC staining protocol.", "mIHC-species-checked": "guaranteed", "mIHC-species-dilution-info": "", "mIHC-species-notes": "" }, "Rat": { "IP-species-checked": "guaranteed", "IP-species-dilution-info": "", "IP-species-notes": "", "FlowCyt-species-checked": "notRecommended", "FlowCyt-species-dilution-info": "", "FlowCyt-species-notes": "<p></p>", "WB-species-checked": "guaranteed", "WB-species-dilution-info": "", "WB-species-notes": "", "ICCIF-species-checked": "notRecommended", "ICCIF-species-dilution-info": "", "ICCIF-species-notes": "<p></p>", "IHCP-species-checked": "testedAndGuaranteed", "IHCP-species-dilution-info": "1/1000", "IHCP-species-notes": "<p></p> Perform heat-mediated antigen retrieval with Tris/EDTA buffer pH 9.0 before commencing with IHC staining protocol.", "mIHC-species-checked": "guaranteed", "mIHC-species-dilution-info": "", "mIHC-species-notes": "" } } }

产品详情

What is this antibody validated in?
Anti-TIM 3 antibody [EPR22241] (ab241332) is a rabbit recombinant monoclonal antibody and is validated for use in Western Blot (WB), Immunoprecipitation (IP), Immunohistochemistry (IHC-P), Multiplex IHC (mIHC) in Human, Mouse, Rat samples.

What is the molecular weight of TIM 3?
Anti-TIM 3 [EPR22241] (ab241332) specifically detects a band for TIM 3 (UniProt: Q8TDQ0) at a molecular weight of 33kDa.

Trusted by the scientific community
Anti-TIM 3 [EPR22241] (ab241332) was first used in a scientific publication in 2018 and has been cited over 20 times in peer-reviewed journals.

Trial sizes available!
Test your antibody or perform pre-screening before committing to a larger quantity. Sold in 10µl. Discover our selection of trial-size antibodies.

Other related products
We have a range of other formats of antibody clone [EPR22241] also available for your convenience: ab241332, Carrier free - ab242080, ab290967

Patented technology
Our RabMAb® technology is a patented hybridoma-based technology for making rabbit monoclonal antibodies. For details on our patents, please refer to RabMAb® patents.

What are the advantages of a recombinant monoclonal antibody?
This product is a recombinant monoclonal antibody, which offers several advantages including:

  • - High batch-to-batch consistency and reproducibility
  • - Improved sensitivity and specificity
  • - Long-term security of supply
  • - Animal-free batch production

For more information, read more on recombinant antibodies.

性能和储存信息

形式
Liquid
纯化工艺
Affinity purification Protein A
存储溶液
pH: 7.2 - 7.4 Preservative: 0.01% Sodium azide Constituents: PBS, 40% Glycerol (glycerin, glycerine), 0.05% BSA
运输条件
Blue Ice
推荐的短期储存时间
1-2 weeks
推荐的短期储存条件
+4°C
推荐的长期储存条件
-20°C
分装信息
Upon delivery aliquot
储存信息
Avoid freeze / thaw cycle

补充信息

This supplementary information is collated from multiple sources and compiled automatically.

TIM-3 also known as T cell immunoglobulin and mucin-domain containing-3 or HAVCR2 is a protein involved in immune regulation. It possesses an approximate mass of 35 kDa. TIM-3 is expressed on various immune cells including T cells NK cells and dendritic cells especially after activation. The expression level often changes in response to inflammatory conditions suggesting its role in modulating immune responses.
Biological function summary

TIM-3 functions as a checkpoint inhibitor impacting immune cell activity. It is not part of a larger physical complex but it modulates immune responses by interacting with its ligands such as Galectin-9 phosphatidylserine and CEACAM1. TIM-3 involvement in downregulating Th1 cell responses shows its necessary role in maintaining immune homeostasis. The protein also acts in regulating tolerance mechanisms and preventing autoimmunity.

Pathways

TIM-3 participation is seen in the immune checkpoint and T cell exhaustion pathways. TIM-3 signaling results in T cell inhibition affecting the PD-1 pathway as well. It shares a relationship with proteins like LAG-3 and PD-1 which are key to immune inhibitory signaling. These interactions depict TIM-3's role in immune tolerance during chronic infections and malignancies.

TIM-3 association with cancer and chronic infections provides insight into therapeutic implications. In cancer TIM-3 contributes to immune evasion often co-expressed with PD-1 leading to T cell exhaustion. In autoimmune diseases TIM-3 modulation may affect disease progression by influencing immune tolerance. Understanding TIM-3's role in these contexts aids in developing targeted therapies such as anti-TIM-3 antibodies to enhance immune responses in cancer while promoting tolerance in autoimmunity.

产品实验方案

For this product, it's our understanding that no specific protocols are required. You can visit:

靶点信息

Cell surface receptor implicated in modulating innate and adaptive immune responses. Generally accepted to have an inhibiting function. Reports on stimulating functions suggest that the activity may be influenced by the cellular context and/or the respective ligand (PubMed : 24825777). Regulates macrophage activation (PubMed : 11823861). Inhibits T-helper type 1 lymphocyte (Th1)-mediated auto- and alloimmune responses and promotes immunological tolerance (PubMed : 14556005). In CD8+ cells attenuates TCR-induced signaling, specifically by blocking NF-kappaB and NFAT promoter activities resulting in the loss of IL-2 secretion. The function may implicate its association with LCK proposed to impair phosphorylation of TCR subunits, and/or LGALS9-dependent recruitment of PTPRC to the immunological synapse (PubMed : 24337741, PubMed : 26492563). In contrast, shown to activate TCR-induced signaling in T-cells probably implicating ZAP70, LCP2, LCK and FYN (By similarity). Expressed on Treg cells can inhibit Th17 cell responses (PubMed : 24838857). Receptor for LGALS9 (PubMed : 16286920, PubMed : 24337741). Binding to LGALS9 is believed to result in suppression of T-cell responses; the resulting apoptosis of antigen-specific cells may implicate HAVCR2 phosphorylation and disruption of its association with BAG6. Binding to LGALS9 is proposed to be involved in innate immune response to intracellular pathogens. Expressed on Th1 cells interacts with LGALS9 expressed on Mycobacterium tuberculosis-infected macrophages to stimulate antibactericidal activity including IL-1 beta secretion and to restrict intracellular bacterial growth (By similarity). However, the function as receptor for LGALS9 has been challenged (PubMed : 23555261). Also reported to enhance CD8+ T-cell responses to an acute infection such as by Listeria monocytogenes (By similarity). Receptor for phosphatidylserine (PtSer); PtSer-binding is calcium-dependent. May recognize PtSer on apoptotic cells leading to their phagocytosis. Mediates the engulfment of apoptotic cells by dendritic cells. Expressed on T-cells, promotes conjugation but not engulfment of apoptotic cells. Expressed on dendritic cells (DCs) positively regulates innate immune response and in synergy with Toll-like receptors promotes secretion of TNF-alpha. In tumor-imfiltrating DCs suppresses nucleic acid-mediated innate immune repsonse by interaction with HMGB1 and interfering with nucleic acid-sensing and trafficking of nucleid acids to endosomes (By similarity). Expressed on natural killer (NK) cells acts as a coreceptor to enhance IFN-gamma production in response to LGALS9 (PubMed : 22323453). In contrast, shown to suppress NK cell-mediated cytotoxicity (PubMed : 22383801). Negatively regulates NK cell function in LPS-induced endotoxic shock (By similarity).
See full target information HAVCR2

文献 (45)

Recent publications for all applications. Explore the full list and refine your search

Data in brief 61:111817 PubMed40673195

2025

A comprehensive dataset for understanding immune dynamics in colorectal cancer.

Applications

Unspecified application

Species

Unspecified reactive species

Zahra Mokhtari,Elham Amjadi,Hamidreza Bolhasani,Zahra Faghih,Amirreza Dehghanian,Marzieh Rezaei

Scientific reports 15:20618 PubMed40595034

2025

TIGAR regulated by HPV E6 is correlated with disease stage, drug sensitivity, and immune microenvironment in cervical cancer.

Applications

Unspecified application

Species

Unspecified reactive species

Yameng Liu,Yu Zhang,Hailong Zhang,Dianqin Xu,Xinzhu Zhou,Luhong Xie,Hongli Xi,Yurong Zhu,Hanlin Yang,Xiaoyu Zhu,Ji Ren,Shaoju Min,Yujie Tan

Frontiers in immunology 16:1614683 PubMed40589739

2025

Machine learning-driven prediction of immune checkpoint inhibitor responses against cholangiocarcinoma: a bile biopsy perspective.

Applications

Unspecified application

Species

Unspecified reactive species

Dengyong Zhang,Xinrui Li,Zhonglin Wang,Jingyuan Fan,Yuhang Yang,Sophia Han,Wanliang Sun,Dongdong Wang,Shuo Zhou,Zhong Liu,Shihao Chen,Yan Yang,Yan Zhu,Zheng Lu

International journal of molecular sciences 26: PubMed40565313

2025

Immune-Checkpoint Expression in Breast Cancer Patients: Clinicopathological Implications: A Retrospective Case Series Study.

Applications

Unspecified application

Species

Unspecified reactive species

Angel Quiroz-Bolaños,Antonio Quintero-Ramos,Juliana Marisol Godínez-Rubí,Ramon Franco-Topete,Porfirio Gutiérrez González,Bricia M Gutiérrez-Zepeda,Denisse S Becerra-Loaiza,Antonio Topete,Cesar de Loera-Rodriguez,Alicia Del Toro-Arreola,Adrián Daneri-Navarro

Discover oncology 16:1170 PubMed40542277

2025

Genomic and immunological profiling reveals novel prognostic biomarkers for limited-stage small cell lung cancer.

Applications

Unspecified application

Species

Unspecified reactive species

Ye Li,Xiaolong Ma,Zhiyi Wan,Pengfei Bao,Enli Zhang,Lihua Liu,Shunchang Jiao,Shengjie Sun

Stem cells translational medicine 14: PubMed40448964

2025

DLK1-expressing neural progenitor cells promote tissue repair and functional recovery after cervical spinal cord injury.

Applications

Unspecified application

Species

Unspecified reactive species

Nader Hejrati,Zijian Lou,Sogolie Kouhzaei,Oliver Zhang,Jian Wang,Mohamad Khazaei,Michael G Fehlings

Genome medicine 16:148 PubMed39696540

2024

Spatial transcriptome profiling identifies DTX3L and BST2 as key biomarkers in esophageal squamous cell carcinoma tumorigenesis.

Applications

Unspecified application

Species

Unspecified reactive species

Rutao Li,Na Li,Qianqian Yang,Xing Tong,Wei Wang,Chang Li,Jun Zhao,Dong Jiang,Haitao Huang,Chen Fang,Kai Xie,Jiamin Yuan,Shaomu Chen,Guangbin Li,Haitao Luo,Zhibo Gao,Dongfang Wu,Xiaoli Cui,Wei Jiang,Lingchuan Guo,Haitao Ma,Yu Feng

Cell death & disease 15:890 PubMed39695072

2024

NIR-715 photodynamic therapy induces immunogenic cancer cell death by enhancing the endoplasmic reticulum stress response.

Applications

Unspecified application

Species

Unspecified reactive species

Zhen-Yuan Zheng,Wan Lin,Jia-Wan Su,Qing-Feng Huang,Cong Zhang,Wen-Xing Pan,En-Min Li,He-Feng Zhang,Li-Yan Xu

Cancer medicine 13:e70459 PubMed39659057

2024

Effective Antiviral Therapy Improves Immunosuppressive Activities in the Immune Microenvironment of Hepatocellular Carcinoma by Alleviating Inflammation and Fibrosis.

Applications

Unspecified application

Species

Unspecified reactive species

Zhu-Tao Wang,Ruo-Yu Guan,Wei Gan,Zhang-Fu Yang,Bao-Ye Sun,Jing-Fang Wu,Dai Zhang,Guo-Qiang Sun,Xu-Kang Gao,Jin-Long Huang,Gao Liu,Cheng Zhou,Jian Zhou,Jia Fan,Yong Yi,Bo Hu,Shuang-Jian Qiu

Basic research in cardiology 120:207-223 PubMed39516409

2024

Effects of sex and obesity on immune checkpoint inhibition-related cardiac systolic dysfunction in aged mice.

Applications

Unspecified application

Species

Unspecified reactive species

Nabil V Sayour,Dániel Kucsera,Ayham R Alhaddad,Viktória É Tóth,Tamás G Gergely,Tamás Kovács,Zsombor I Hegedűs,Márk E Jakab,Péter Ferdinandy,Zoltán V Varga
View all publications

Abcam Product Promise

我们致力于为您的研究提供高质量的试剂,为您科研的每一步提供支持。若我们的产品未能达到预期性能,我们向您提供 Abcam Product Promise 保障。
详情请参阅我们的条款与条件。

Please note: All products are 'FOR RESEARCH USE ONLY. NOT FOR USE IN DIAGNOSTIC OR THERAPEUTIC PROCEDURES'.

For licensing inquiries, please contact partnerships@abcam.com