JavaScript is disabled in your browser. Please enable JavaScript to view this website.
AB62533

Anti-TIGAR抗体

Anti-TIGAR antibody

Be the first to review this product! Submit a review

|

(10 Publications)

Rabbit Polyclonal TIGAR antibody. Suitable for WB, IHC-P, ICC/IF and reacts with Human samples. Cited in 10 publications. Immunogen corresponding to Synthetic Peptide within Human TIGAR.

查看别名

C12orf5, TIGAR, TP53-induced glycolysis and apoptosis regulator, TP53-induced glycolysis regulatory phosphatase

3 Images
Immunohistochemistry (Formalin/PFA-fixed paraffin-embedded sections) - Anti-TIGAR antibody (AB62533)
  • IHC-P

Unknown

Immunohistochemistry (Formalin/PFA-fixed paraffin-embedded sections) - Anti-TIGAR antibody (AB62533)

immunohistochemical analysis of TIGAR expression in human brain tissue using 2.5 µg/ml ab62533.

Immunocytochemistry/ Immunofluorescence - Anti-TIGAR antibody (AB62533)
  • ICC/IF

Unknown

Immunocytochemistry/ Immunofluorescence - Anti-TIGAR antibody (AB62533)

Immunofluorescence of TIGAR in Human Brain cells using ab62533 at 20 ug/ml.

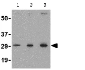
Western blot - Anti-TIGAR antibody (AB62533)
  • WB

Unknown

Western blot - Anti-TIGAR antibody (AB62533)

Lane 1:

Western blot - Anti-TIGAR antibody (ab62533) at 0.5 µg/mL

Lane 2:

Western blot - Anti-TIGAR antibody (ab62533) at 1 µg/mL

Lane 3:

Western blot - Anti-TIGAR antibody (ab62533) at 2 µg/mL

All lanes:

MCF7 cell lysate at 15 µg

Predicted band size: 30 kDa

Observed band size: 30 kDa

false

关键信息

宿主种属

Rabbit

克隆

Polyclonal

亚型

IgG

不含载体蛋白

No

反应种属

Human

应用

ICC/IF, IHC-P, WB

applications

免疫原

Synthetic Peptide within Human TIGAR. The exact immunogen used to generate this antibody is proprietary information.

Q9NQ88

反应性数据

{ "title": "Reactivity Data", "filters": { "stats": ["", "Species", "Dilution Info", "Notes"], "tabs": { "all-applications": {"fullname" : "All Applications", "shortname": "All Applications"}, "WB" : {"fullname" : "Western blot", "shortname":"WB"}, "IHCP" : {"fullname" : "Immunohistochemistry (Formalin/PFA-fixed paraffin-embedded sections)", "shortname":"IHC-P"}, "ICCIF" : {"fullname" : "Immunocytochemistry/ Immunofluorescence", "shortname":"ICC/IF"} }, "product-promise": { "all": "all", "testedAndGuaranteed": "tested", "guaranteed": "expected", "predicted": "predicted", "notRecommended": "not-recommended" } }, "values": { "Human": { "WB-species-checked": "testedAndGuaranteed", "WB-species-dilution-info": "0.5-2 µg/mL", "WB-species-notes": "<p></p>", "IHCP-species-checked": "testedAndGuaranteed", "IHCP-species-dilution-info": "2.5 µg/mL", "IHCP-species-notes": "<p></p>", "ICCIF-species-checked": "testedAndGuaranteed", "ICCIF-species-dilution-info": "20 µg/mL", "ICCIF-species-notes": "<p></p>" } } }

性能和储存信息

形式
Liquid
纯化工艺
Affinity purification Immunogen
存储溶液
pH: 7.2 Preservative: 0.02% Sodium azide Constituents: PBS
运输条件
Blue Ice
推荐的短期储存条件
+4°C
推荐的长期储存条件
+4°C

补充信息

This supplementary information is collated from multiple sources and compiled automatically.

TIGAR also known as TP53-Induced Glycolysis and Apoptosis Regulator is a protein involved in cellular metabolism. With a mass of approximately 28 kDa TIGAR regulates glycolysis by acting similarly to fructose-26-bisphosphatase. It is expressed predominantly in tissues with active cellular proliferation such as the brain and liver. TIGAR functions mechanically to inhibit the glycolytic flux by decreasing levels of fructose-26-bisphosphate which is important for various cellular activities.
Biological function summary

TIGAR plays a critical role in controlling the oxidative stress within cells. By lowering glycolytic rates it shifts cellular metabolism toward the pentose phosphate pathway boosting the production of NADPH and reducing reactive oxygen species (ROS). This protein does not form a part of a larger complex operating independently to exhibit its effects. It also influences cellular survival mechanisms by mitigating oxidative stress which is important for cell health.

Pathways

TIGAR is involved with both apoptosis and carbohydrate metabolism pathways where it acts to support cellular metabolism and survival. Within these pathways it interacts closely with the tumor suppressor protein p53 which regulates TIGAR expression. Another related protein is AMPK which also plays roles in energy balance and is influenced by changes in cellular metabolic status. TIGAR's actions help in cellular adaptation during metabolic stress maintaining energy homeostasis.

TIGAR is linked to cancer and neurodegenerative diseases. Its role in reducing oxidative stress makes it significant in cancer as elevated levels can sometimes promote cancer cell survival. Involvement with p53 is particularly notable as alterations in p53 pathways are common in various cancers. In neurodegenerative diseases such as Alzheimer's TIGAR's function in managing oxidative stress can affect neuronal survival. Dysregulation of related metabolic processes can contribute to disease progression highlighting the importance of TIGAR in these contexts.

产品实验方案

For this product, it's our understanding that no specific protocols are required. You can visit:

靶点信息

Fructose-bisphosphatase hydrolyzing fructose-2,6-bisphosphate as well as fructose-1,6-bisphosphate (PubMed : 19015259). Acts as a negative regulator of glycolysis by lowering intracellular levels of fructose-2,6-bisphosphate in a p53/TP53-dependent manner, resulting in the pentose phosphate pathway (PPP) activation and NADPH production (PubMed : 16839880, PubMed : 22887998). Contributes to the generation of reduced glutathione to cause a decrease in intracellular reactive oxygen species (ROS) content, correlating with its ability to protect cells from oxidative or metabolic stress-induced cell death (PubMed : 16839880, PubMed : 19713938, PubMed : 22887998, PubMed : 23726973, PubMed : 23817040). Plays a role in promoting protection against cell death during hypoxia by decreasing mitochondria ROS levels in a HK2-dependent manner through a mechanism that is independent of its fructose-bisphosphatase activity (PubMed : 23185017). In response to cardiac damage stress, mediates p53-induced inhibition of myocyte mitophagy through ROS levels reduction and the subsequent inactivation of BNIP3. Reduced mitophagy results in an enhanced apoptotic myocyte cell death, and exacerbates cardiac damage (By similarity). Plays a role in adult intestinal regeneration; contributes to the growth, proliferation and survival of intestinal crypts following tissue ablation (PubMed : 23726973). Plays a neuroprotective role against ischemic brain damage by enhancing PPP flux and preserving mitochondria functions (By similarity). Protects glioma cells from hypoxia- and ROS-induced cell death by inhibiting glycolysis and activating mitochondrial energy metabolism and oxygen consumption in a TKTL1-dependent and p53/TP53-independent manner (PubMed : 22887998). Plays a role in cancer cell survival by promoting DNA repair through activating PPP flux in a CDK5-ATM-dependent signaling pathway during hypoxia and/or genome stress-induced DNA damage responses (PubMed : 25928429). Involved in intestinal tumor progression (PubMed : 23726973).
See full target information TIGAR

文献 (10)

Recent publications for all applications. Explore the full list and refine your search

Gut microbes 17:2490211 PubMed40247632

2025

genetically modified for purine nucleobase release promotes butyrate generation and colonic wound healing during DSS insult.

Applications

Unspecified application

Species

Unspecified reactive species

J Scott Lee,Daniel J Kao,Corey S Worledge,Zachary F Villamaria,Ruth X Wang,Nichole M Welch,Rachael E Kostelecky,Sean P Colgan

Physiological reports 9:e14839 PubMed34042288

2021

Hyperoxia causes senescence and increases glycolysis in cultured lung epithelial cells.

Applications

Unspecified application

Species

Unspecified reactive species

Alejandro M Scaffa,Abigail L Peterson,Jennifer F Carr,David Garcia,Hongwei Yao,Phyllis A Dennery

Biochimica et biophysica acta. Molecular basis of disease 1866:165962 PubMed32920118

2020

Translocase of the outer mitochondrial membrane complex subunit 20 (TOMM20) facilitates cancer aggressiveness and therapeutic resistance in chondrosarcoma.

Applications

Unspecified application

Species

Unspecified reactive species

Megan E Roche,Zhao Lin,Diana Whitaker-Menezes,Tingting Zhan,Karoly Szuhai,Judith V M G Bovee,John A Abraham,Wei Jiang,Ubaldo Martinez-Outschoorn,Atrayee Basu-Mallick

Cell death & disease 11:501 PubMed32632140

2020

TIGAR/AP-1 axis accelerates the division of Lgr5 reserve intestinal stem cells to reestablish intestinal architecture after lethal radiation.

Applications

Unspecified application

Species

Unspecified reactive species

Fei Chen,Yushuo Zhang,Songling Hu,Xiaolin Shi,Zhongmin Wang,Zicheng Deng,Longxin Lin,Jianghong Zhang,Yan Pan,Yang Bai,Fenju Liu,Haowen Zhang,Chunlin Shao

Theranostics 10:3488-3502 PubMed32206103

2020

Metabolic remodeling by TIGAR overexpression is a therapeutic target in esophageal squamous-cell carcinoma.

Applications

Unspecified application

Species

Unspecified reactive species

Jiahui Chu,Xiangjie Niu,Jiang Chang,Mingming Shao,Linna Peng,Yiyi Xi,Ai Lin,Chengcheng Wang,Qionghua Cui,Yingying Luo,Wenyi Fan,Yamei Chen,Yanxia Sun,Wenjia Guo,Wen Tan,Dongxin Lin,Chen Wu

Molecular & cellular proteomics : MCP 17:1354-1364 PubMed29776966

2018

Loss of TIGAR Induces Oxidative Stress and Meiotic Defects in Oocytes from Obese Mice.

Applications

Unspecified application

Species

Unspecified reactive species

Haichao Wang,Qing Cheng,Xiaoyan Li,Feifei Hu,Longsen Han,Hao Zhang,Ling Li,Juan Ge,Xiaoyan Ying,Xuejiang Guo,Qiang Wang

Seminars in oncology 44:204-217 PubMed29248132

2017

Mitochondrial and glycolytic metabolic compartmentalization in diffuse large B-cell lymphoma.

Applications

Unspecified application

Species

Unspecified reactive species

Mahasweta Gooptu,Diana Whitaker-Menezes,John Sprandio,Marina Domingo-Vidal,Zhao Lin,Guldeep Uppal,Jerald Gong,Roberto Fratamico,Benjamin Leiby,Alina Dulau-Florea,Jaime Caro,Ubaldo Martinez-Outschoorn

Scientific reports 5:15434 PubMed26481427

2015

IL-4 Protects the Mitochondria Against TNFα and IFNγ Induced Insult During Clearance of Infection with Citrobacter rodentium and Escherichia coli.

Applications

IHC

Species

Mouse

Arpan K Maiti,Sinan Sharba,Nazanin Navabi,Huamei Forsman,Harvey R Fernandez,Sara K Lindén

Molecular carcinogenesis 55:52-63 PubMed25620379

2015

The drs tumor suppressor regulates glucose metabolism via lactate dehydrogenase-B.

Applications

Unspecified application

Species

Unspecified reactive species

Yukihiro Tambe,Masahiro Hasebe,Chul Jang Kim,Akitsugu Yamamoto,Hirokazu Inoue

American journal of physiology. Renal physiology 308:F298-308 PubMed25503731

2014

TIGAR regulates glycolysis in ischemic kidney proximal tubules.

Applications

Unspecified application

Species

Unspecified reactive species

Jinu Kim,Kishor Devalaraja-Narashimha,Babu J Padanilam
View all publications

Abcam Product Promise

我们致力于为您的研究提供高质量的试剂,为您科研的每一步提供支持。若我们的产品未能达到预期性能,我们向您提供 Abcam Product Promise 保障。
详情请参阅我们的条款与条件。

Please note: All products are 'FOR RESEARCH USE ONLY. NOT FOR USE IN DIAGNOSTIC OR THERAPEUTIC PROCEDURES'.

For licensing inquiries, please contact partnerships@abcam.com