JavaScript is disabled in your browser. Please enable JavaScript to view this website.
AB230829

重组Anti-TIA1抗体[EPR9304] - BSA and Azide free

Anti-TIA1 antibody [EPR9304] - BSA and Azide free

1

(1 Review)

|

(1 Publication)

Rabbit Recombinant Monoclonal TIA1 antibody. Carrier free. Suitable for IP, WB, ICC/IF, IHC-P and reacts with Human, Mouse samples. Cited in 1 publication.

查看别名

Cytotoxic granule associated RNA binding protein TIA1, Nucleolysin TIA-1 isoform p40, RNA-binding protein TIA-1, T-cell-restricted intracellular antigen-1, p40-TIA-1, TIA-1, TIA1

7 Images
Immunocytochemistry/ Immunofluorescence - Anti-TIA1 antibody [EPR9304] - BSA and Azide free (AB230829)
  • ICC/IF

Lab

Immunocytochemistry/ Immunofluorescence - Anti-TIA1 antibody [EPR9304] - BSA and Azide free (AB230829)

Immunocytochemistry/Immunofluorescence analysis of HuT-78 cells labelling TIA1 with purified ab140595 at 1/100. Cells were fixed with 4% paraformaldehyde and permeabilized with 0.1% Triton X-100. ab150077, an Alexa Fluor® 488-conjugated goat anti-rabbit IgG (1/1000) was used as the secondary antibody. DAPI (blue) was used as the nuclear counterstain. ab7291, a mouse anti-tubulin (1/1000) and ab150120, an Alexa Fluor® 594-conjugated goat anti-mouse IgG (1/1000) were also used.

Control 1 : primary antibody (1/100) and secondary antibody, ab150120, an Alexa Fluor® 594-conjugated goat anti-mouse IgG (1/1000).

Control 2 : ab7291 (1/1000) and secondary antibody, ab150077, an Alexa Fluor® 488-conjugated goat anti-rabbit IgG (1/1000).

This data was developed using the same antibody clone in a different buffer formulation containing PBS, BSA, glycerol, and sodium azide (ab140595).

Immunohistochemistry (Formalin/PFA-fixed paraffin-embedded sections) - Anti-TIA1 antibody [EPR9304] - BSA and Azide free (AB230829)
  • IHC-P

Unknown

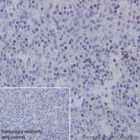
Immunohistochemistry (Formalin/PFA-fixed paraffin-embedded sections) - Anti-TIA1 antibody [EPR9304] - BSA and Azide free (AB230829)

Immunohistochemistry (Formalin/PFA-fixed paraffin-embedded sections) analysis of human spleen tissue labelling TIA1 with unpurified ab140595 at a dilution of 1/100.

This data was developed using the same antibody clone in a different buffer formulation containing PBS, BSA, glycerol, and sodium azide (ab140595).

Immunohistochemistry (Formalin/PFA-fixed paraffin-embedded sections) - Anti-TIA1 antibody [EPR9304] - BSA and Azide free (AB230829)
  • IHC-P

Lab

Immunohistochemistry (Formalin/PFA-fixed paraffin-embedded sections) - Anti-TIA1 antibody [EPR9304] - BSA and Azide free (AB230829)

This IHC data was generated using the same anti-TIA1 antibody clone, EPR9304, in a different buffer formulation (cat# ab140595).

Immunohistochemistry (Formalin/PFA-fixed paraffin-embedded sections) analysis of human spleen tissue labelling TIA1 with purified ab140595 at 1/1000. Heat mediated antigen retrieval was performed using Tris/EDTA buffer pH 9. ab97051, a HRP-conjugated goat anti-rabbit IgG (H+L) was used as the secondary antibody (1/500). Negative control using PBS instead of primary antibody. Counterstained with hematoxylin.

Immunoprecipitation - Anti-TIA1 antibody [EPR9304] - BSA and Azide free (AB230829)
  • IP

Lab

Immunoprecipitation - Anti-TIA1 antibody [EPR9304] - BSA and Azide free (AB230829)

ab140595 (purified) at 1/40 immunoprecipitating TIA1 in HuT-78 whole cell lysate.

Lane 1 (input) : HuT-78 whole cell lysate (10µg)

Lane 2 (+) : ab140595 + HuT-78 whole cell lysate.

Lane 3 (-) : Rabbit monoclonal IgG (ab172730) instead of ab140595 in HuT-78 whole cell lysate.

For western blotting, a HRP-conjugated anti-rabbit IgG, specific to the non-reduced form of IgG was used as the secondary antibody (1/1500).

Blocking buffer and concentration : 5% NFDM/TBST.

Diluting buffer and concentration : 5% NFDM /TBST.

This data was developed using the same antibody clone in a different buffer formulation containing PBS, BSA, glycerol, and sodium azide (ab140595).

All lanes:

Immunoprecipitation - Anti-TIA1 antibody [EPR9304] (<a href='/products/primary-antibodies/tia1-antibody-epr9304-ab140595'>ab140595</a>)

Predicted band size: 43 kDa

Observed band size: 42 kDa,43 kDa

false

Immunoprecipitation - Anti-TIA1 antibody [EPR9304] - BSA and Azide free (AB230829)
  • IP

Lab

Immunoprecipitation - Anti-TIA1 antibody [EPR9304] - BSA and Azide free (AB230829)

This data was developed using ab140595, the same antibody clone in a different buffer formulation.

Immunoprecipitation of TIA1 in HAP1 cells. Lysates were prepared and immunoprecipitation was performed using 1.0 µg of ab263945 pre-coupled to Protein A beads. Samples were then washed and processed for western blot.

These data were provided by YCharOS Inc., an open science company with the mission of characterizing commercially available antibody reagents for all human proteins. Abcam and YCharOS are working together to help address the reproducibility crisis by enabling the life science community to better evaluate commercially available antibodies.

All lanes:

Immunoprecipitation - Anti-TIA1 antibody [EPR9304] (<a href='/products/primary-antibodies/tia1-antibody-epr9304-ab140595'>ab140595</a>) at 1 µg

All lanes:

HAP1 cells

false

Western blot - Anti-TIA1 antibody [EPR9304] - BSA and Azide free (AB230829)
  • WB

Lab

Western blot - Anti-TIA1 antibody [EPR9304] - BSA and Azide free (AB230829)

This WB data was generated using the same anti-TIA1 antibody clone, EPR9304, in a different buffer formulation (cat# ab140595).

Lane 1 : Wild-type HAP1 cell lysate (40 μg)
Lane 2 : TIA1 knockout HAP1 cell lysate (40 μg)
Lane 3 : Jurkat cell lysate (40 μg)
Lane 4 : K562 cell lysate (40 μg)
Lanes 1 - 4 : Merged signal (red and green). Green - ab140595 observed at 43 kDa. Red - loading control, ab18058, observed at 124 kDa.

ab140595 was shown to specifically react with TIA1 when TIA1 knockout samples were used. Wild-type and TIA1 knockout samples were subjected to SDS-PAGE. ab140595 and ab18058 (loading control to Vinculin) were diluted at 1/1000 and 1/10000 dilution respectively and incubated overnight at 4C. Blots were developed with Goat anti-Rabbit IgG H&L (IRDye® 800CW) preadsorbed ab216773 and Goat anti-Mouse IgG H&L (IRDye® 680RD) preadsorbed ab216776 secondary antibodies at 1/10000 dilution for 1 hour at room temperature before imaging.

All lanes:

Western blot - Anti-TIA1 antibody [EPR9304] (<a href='/products/primary-antibodies/tia1-antibody-epr9304-ab140595'>ab140595</a>)

Predicted band size: 43 kDa

false

Western blot - Anti-TIA1 antibody [EPR9304] - BSA and Azide free (AB230829)
  • WB

Lab

Western blot - Anti-TIA1 antibody [EPR9304] - BSA and Azide free (AB230829)

This data was developed using ab140595, the same antibody clone in a different buffer formulation.

ab140595 was shown to react with TIA1 in wild-type HAP1 cells in Western blot with loss of signal observed in a TIA1 knockout cell line. Wild-type HAP1 and TIA1 knockout cell lysates were subjected to SDS-PAGE. Membranes were blocked in 5% milk in TBST for 1 hr before incubation with ab140595 overnight at 4 °C at a 1/5000 dilution. Blots were incubated with secondary antibodies at 0.2 µg/mL before imaging.

These data were provided by YCharOS Inc., an open science company with the mission of characterizing commercially available antibody reagents for all human proteins. Abcam and YCharOS are working together to help address the reproducibility crisis by enabling the life science community to better evaluate commercially available antibodies.

All lanes:

Western blot - Anti-TIA1 antibody [EPR9304] (<a href='/products/primary-antibodies/tia1-antibody-epr9304-ab140595'>ab140595</a>) at 1/5000 dilution

Lane 1:

Wild-type HAP1 lysate at 50 µg

Lane 2:

TIA1 knock-out HAP1 lysate at 50 µg

false

不同偶联物与剂型 (7)

关键信息

宿主种属

Rabbit

克隆

Monoclonal

克隆号

EPR9304

亚型

IgG

不含载体蛋白

Yes

反应种属

Mouse, Human

应用

IHC-P, ICC/IF, WB, IP

applications

免疫原

The exact immunogen used to generate this antibody is proprietary information.

反应性数据

{ "title": "Reactivity Data", "filters": { "stats": ["", "Species", "Dilution Info", "Notes"], "tabs": { "all-applications": {"fullname" : "All Applications", "shortname": "All Applications"}, "IP" : {"fullname" : "Immunoprecipitation", "shortname":"IP"}, "WB" : {"fullname" : "Western blot", "shortname":"WB"}, "ICCIF" : {"fullname" : "Immunocytochemistry/ Immunofluorescence", "shortname":"ICC/IF"}, "IHCP" : {"fullname" : "Immunohistochemistry (Formalin/PFA-fixed paraffin-embedded sections)", "shortname":"IHC-P"} }, "product-promise": { "all": "all", "testedAndGuaranteed": "tested", "guaranteed": "expected", "predicted": "predicted", "notRecommended": "not-recommended" } }, "values": { "Human": { "IP-species-checked": "testedAndGuaranteed", "IP-species-dilution-info": "", "IP-species-notes": "<p></p>", "WB-species-checked": "testedAndGuaranteed", "WB-species-dilution-info": "", "WB-species-notes": "<p></p>", "ICCIF-species-checked": "testedAndGuaranteed", "ICCIF-species-dilution-info": "", "ICCIF-species-notes": "<p></p>", "IHCP-species-checked": "testedAndGuaranteed", "IHCP-species-dilution-info": "", "IHCP-species-notes": "<p></p>" }, "Mouse": { "IP-species-checked": "guaranteed", "IP-species-dilution-info": "", "IP-species-notes": "", "WB-species-checked": "testedAndGuaranteed", "WB-species-dilution-info": "", "WB-species-notes": "<p></p>", "ICCIF-species-checked": "guaranteed", "ICCIF-species-dilution-info": "", "ICCIF-species-notes": "", "IHCP-species-checked": "guaranteed", "IHCP-species-dilution-info": "", "IHCP-species-notes": "" } } }

产品详情

ab230829 is the carrier-free version of ab140595.

Species reactivity
Rat: We have preliminary internal testing data to indicate this antibody may not react with this species.
Please contact us for more information.

Conjugation ready
Our carrier-free antibodies are typically supplied in a PBS-only formulation, purified and free of BSA, sodium azide and glycerol. This conjugation-ready format is designed for use with fluorochromes, metal isotopes, oligonucleotides, and enzymes, which makes them ideal for antibody labelling, functional and cell-based assays, flow-based assays (e.g. mass cytometry) and Multiplex Imaging applications.

Use our conjugation kits for antibody conjugates that are ready-to-use in as little as 20 minutes with 1 minute hands-on-time and 100% antibody recovery: available for fluorescent dyes, HRP, biotin and gold.

Compatibility
This product is compatible with the Maxpar® Antibody Labeling Kit from Fluidigm, without the need for antibody preparation. Maxpar® is a trademark of Fluidigm Canada Inc.

性能和储存信息

形式
Liquid
纯化工艺
Affinity purification Protein A
存储溶液
pH: 7.2 - 7.4 Constituents: PBS
运输条件
Blue Ice
推荐的短期储存条件
+4°C
推荐的长期储存条件
+4°C
储存信息
Do Not Freeze

补充信息

This supplementary information is collated from multiple sources and compiled automatically.

TIA1 also known as T-cell intracellular antigen 1 is a protein that plays a role in RNA binding and regulation of gene expression. It possesses a molecular mass of approximately 43 kDa. TIA1 is characterized by its presence in the cytoplasm of various cell types including immune cells and neuronal cells. It contains three RNA recognition motifs (RRM) that enable it to interact with its RNA targets and modulate their fate during cellular stress.
Biological function summary

TIA1 functions in the assembly of stress granules which are aggregates of proteins and RNAs that form in response to cellular stress. It is part of a complex dynamic system that regulates mRNA translation by directing untranslated mRNAs to stress granules thereby influencing gene expression at the post-transcriptional level. TIA1 is implicated in apoptosis and can bind with other proteins like HuR to affect mRNA stability and translation.

Pathways

TIA1 participates in stress response signaling and apoptotic pathways. It is involved in the regulation of mRNA metabolism playing a critical role in the cellular stress response pathway by modulating the translation and stability of mRNAs during stress. TIA1 interacts with kinases like JNK to mediate these stress responses and works alongside related proteins including G3BP to organize mRNAs into stress granules.

TIA1 has been linked to conditions such as neurodegenerative diseases and certain types of cancer. Mutations or dysregulations in TIA1 expression can lead to disorders characterized by defective stress granule formation and RNA metabolism. In the context of amyotrophic lateral sclerosis (ALS) TIA1 interacts with proteins like TDP-43 which have roles in similar pathological aggregation processes.

产品实验方案

For this product, it's our understanding that no specific protocols are required. You can visit:

靶点信息

RNA-binding protein involved in the regulation of alternative pre-RNA splicing and mRNA translation by binding to uridine-rich (U-rich) RNA sequences (PubMed : 11106748, PubMed : 12486009, PubMed : 17488725, PubMed : 8576255). Binds to U-rich sequences immediately downstream from a 5' splice sites in a uridine-rich small nuclear ribonucleoprotein (U snRNP)-dependent fashion, thereby modulating alternative pre-RNA splicing (PubMed : 11106748, PubMed : 8576255). Preferably binds to the U-rich IAS1 sequence in a U1 snRNP-dependent manner; this binding is optimal if a 5' splice site is adjacent to IAS1 (By similarity). Activates the use of heterologous 5' splice sites; the activation depends on the intron sequence downstream from the 5' splice site, with a preference for a downstream U-rich sequence (PubMed : 11106748). By interacting with SNRPC/U1-C, promotes recruitment and binding of spliceosomal U1 snRNP to 5' splice sites followed by U-rich sequences, thereby facilitating atypical 5' splice site recognition by U1 snRNP (PubMed : 11106748, PubMed : 12486009, PubMed : 17488725). Activates splicing of alternative exons with weak 5' splice sites followed by a U-rich stretch on its own pre-mRNA and on TIAR mRNA (By similarity). Acts as a modulator of alternative splicing for the apoptotic FAS receptor, thereby promoting apoptosis (PubMed : 11106748, PubMed : 17488725, PubMed : 1934064). Binds to the 5' splice site region of FAS intron 5 to promote accumulation of transcripts that include exon 6 at the expense of transcripts in which exon 6 is skipped, thereby leading to the transcription of a membrane-bound apoptotic FAS receptor, which promotes apoptosis (PubMed : 11106748, PubMed : 17488725, PubMed : 1934064). Binds to a conserved AU-rich cis element in COL2A1 intron 2 and modulates alternative splicing of COL2A1 exon 2 (PubMed : 17580305). Also binds to the equivalent AT-rich element in COL2A1 genomic DNA, and may thereby be involved in the regulation of transcription (PubMed : 17580305). Binds specifically to a polypyrimidine-rich controlling element (PCE) located between the weak 5' splice site and the intronic splicing silencer of CFTR mRNA to promote exon 9 inclusion, thereby antagonizing PTB1 and its role in exon skipping of CFTR exon 9 (PubMed : 14966131). Involved in the repression of mRNA translation by binding to AU-rich elements (AREs) located in mRNA 3' untranslated regions (3' UTRs), including target ARE-bearing mRNAs encoding TNF and PTGS2 (By similarity). Also participates in the cellular response to environmental stress, by acting downstream of the stress-induced phosphorylation of EIF2S1/EIF2A to promote the recruitment of untranslated mRNAs to cytoplasmic stress granules (SGs), leading to stress-induced translational arrest (PubMed : 10613902). Formation and recruitment to SGs is regulated by Zn(2+) (By similarity). Possesses nucleolytic activity against cytotoxic lymphocyte target cells (PubMed : 1934064).. Isoform Short. Displays enhanced splicing regulatory activity compared with TIA isoform Long.
See full target information TIA1

文献 (1)

Recent publications for all applications. Explore the full list and refine your search

Journal of the Association for Research in Otolaryngology : JARO 26:225-238 PubMed40240732

2025

Influence of Myosin Regulatory Light Chain and Myosin Light Chain Kinase on the Physiological Function of Inner Ear Hair Cells.

Applications

Unspecified application

Species

Unspecified reactive species

Ryohei Oya,Kwang Min Woo,Brian Fabella,R G Alonso,Paloma Bravo,A J Hudspeth
View all publications

Abcam Product Promise

我们致力于为您的研究提供高质量的试剂,为您科研的每一步提供支持。若我们的产品未能达到预期性能,我们向您提供 Abcam Product Promise 保障。
详情请参阅我们的条款与条件。

Please note: All products are 'FOR RESEARCH USE ONLY. NOT FOR USE IN DIAGNOSTIC OR THERAPEUTIC PROCEDURES'.

For licensing inquiries, please contact partnerships@abcam.com