JavaScript is disabled in your browser. Please enable JavaScript to view this website.
AB12500

Anti-Thyroid Peroxidase/TPO抗体[MoAb47]

Anti-Thyroid Peroxidase/TPO antibody [MoAb47]

Be the first to review this product! Submit a review

|

(3 Publications)

Mouse Monoclonal Thyroid Peroxidase/TPO antibody. Suitable for IHC-P and reacts with Human samples. Cited in 3 publications. Immunogen corresponding to Native Full Length Protein corresponding to Human Thyroid peroxidase.

查看别名

Thyroid peroxidase, TPO

1 Images
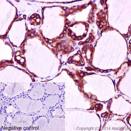
Immunohistochemistry (Formalin/PFA-fixed paraffin-embedded sections) - Anti-Thyroid Peroxidase/TPO antibody [MoAb47] (AB12500)
  • IHC-P

Supplier Data

Immunohistochemistry (Formalin/PFA-fixed paraffin-embedded sections) - Anti-Thyroid Peroxidase/TPO antibody [MoAb47] (AB12500)

Formalin-fixed, paraffin-embeded human thyroid tissue stained for Thyroid Peroxidase/TPO using ab12500 at 1/10 dilution in immunohistochemical analysis.

关键信息

宿主种属

Mouse

克隆

Monoclonal

克隆号

MoAb47

亚型

IgG1

不含载体蛋白

No

反应种属

Human

应用

IHC-P

applications

免疫原

Native Full Length Protein corresponding to Human Thyroid peroxidase.

P07202

反应性数据

{ "title": "Reactivity Data", "filters": { "stats": ["", "Species", "Dilution Info", "Notes"], "tabs": { "all-applications": {"fullname" : "All Applications", "shortname": "All Applications"}, "IHCP" : {"fullname" : "Immunohistochemistry (Formalin/PFA-fixed paraffin-embedded sections)", "shortname":"IHC-P"} }, "product-promise": { "all": "all", "testedAndGuaranteed": "tested", "guaranteed": "expected", "predicted": "predicted", "notRecommended": "not-recommended" } }, "values": { "Human": { "IHCP-species-checked": "testedAndGuaranteed", "IHCP-species-dilution-info": "1/10 - 1/25", "IHCP-species-notes": "<p>Primary incubation for 30 min at room temperature.</p> Perform heat-mediated antigen retrieval with Tris/EDTA buffer pH 9.0 before commencing with IHC staining protocol." } } }

性能和储存信息

形式
Liquid
纯度
Tissue culture supernatant
存储溶液
pH: 7.3 - 7.5 Preservative: 0.05% Sodium azide Constituents: Tissue culture supernatant
运输条件
Blue Ice
推荐的短期储存条件
+4°C
推荐的长期储存条件
+4°C

补充信息

This supplementary information is collated from multiple sources and compiled automatically.

Thyroid Peroxidase (TPO) also known as thyroperoxidase is an enzyme with a molecular mass of around 105 kDa. It is expressed in the thyroid gland's follicular cells. TPO plays a mechanical role in the synthesis of thyroid hormones by catalyzing iodination and coupling reactions needed to produce triiodothyronine (T3) and thyroxine (T4). These hormones are essential for regulating metabolism growth and development. The activity of TPO is an important step in thyroid hormone production.
Biological function summary

TPO participates in the thyroid's hormone biosynthesis pathway. It forms a part of the multi-enzyme complex that includes thyroglobulin and iodide. The enzyme facilitates the iodination of tyrosine residues on thyroglobulin and the coupling of iodotyrosines important for creating active thyroid hormones. TPO's enzymatic function is important for maintaining appropriate levels of circulating T3 and T4 impacting various physiological processes in the body.

Pathways

TPO contributes to the thyroid hormone synthesis pathway which is a critical pathway for metabolic regulation. It works in close association with other proteins such as thyroglobulin and sodium/iodide symporter (NIS) to ensure efficient thyroid hormone production. TPO's involvement in these pathways indicates its importance in the endocrine system's normal function and homeostasis.

TPO is often associated with autoimmune thyroid diseases like Hashimoto's thyroiditis and Graves' disease. High TPO antibodies such as anti-TPO antibodies are commonly detected in these conditions indicating an autoimmune response against the thyroid. The presence of high anti-thyroid peroxidase antibodies can lead to the destruction of thyroid tissue often resulting in hypothyroidism. TPO's connection to these diseases highlights its role in autoimmune conditions affecting thyroid function.

产品实验方案

For this product, it's our understanding that no specific protocols are required. You can visit:

靶点信息

Iodination and coupling of the hormonogenic tyrosines in thyroglobulin to yield the thyroid hormones T(3) and T(4).
See full target information Thyroid peroxidase

文献 (3)

Recent publications for all applications. Explore the full list and refine your search

International journal of cancer 134:1706-14 PubMed24114667

2013

Does thyroid peroxidase provide an antigenic link between thyroid autoimmunity and breast cancer?

Applications

Unspecified application

Species

Unspecified reactive species

I Muller,C Giani,L Zhang,F A Grennan-Jones,E Fiore,V Belardi,V Rosellini,N Funel,D Campani,E Giustarini,M D Lewis,A D Bakhsh,M Roncella,M Ghilli,P Vitti,C M Dayan,M E Ludgate

Biochemical and biophysical research communications 392:22-8 PubMed20043873

2010

Muscle cells enhance resistance to pro-inflammatory cytokine-induced cartilage destruction.

Applications

Unspecified application

Species

Unspecified reactive species

Dana M Cairns,Tomoya Uchimura,Heenam Kwon,Philip G Lee,Christopher R Seufert,Elizabeth Matzkin,Li Zeng

Journal of orthopaedic research : official publication of the Orthopaedic Research Society 28:529-36 PubMed19813241

2009

The role of muscle cells in regulating cartilage matrix production.

Applications

Unspecified application

Species

Unspecified reactive species

Dana M Cairns,Philip G Lee,Tomoya Uchimura,Christopher R Seufert,Heenam Kwon,Li Zeng
View all publications

Abcam Product Promise

我们致力于为您的研究提供高质量的试剂,为您科研的每一步提供支持。若我们的产品未能达到预期性能,我们向您提供 Abcam Product Promise 保障。
详情请参阅我们的条款与条件。

Please note: All products are 'FOR RESEARCH USE ONLY. NOT FOR USE IN DIAGNOSTIC OR THERAPEUTIC PROCEDURES'.

For licensing inquiries, please contact partnerships@abcam.com