JavaScript is disabled in your browser. Please enable JavaScript to view this website.
AB109383

重组Anti-Thyroid Peroxidase/TPO抗体[EPR5380]

Anti-Thyroid Peroxidase/TPO antibody [EPR5380]

  • BOND RX™ Validated
  • 20ul selling size
  • RabMAb
  • Advanced Validation
  • Recombinant
  • 了解详情

0

(1 Review)

|

(10 Publications)

Rabbit Recombinant Monoclonal Thyroid Peroxidase/TPO antibody. Suitable for mIHC, IHC-P, IP, WB and reacts with Human samples. Cited in 10 publications.

查看别名

Thyroid peroxidase, TPO

4 Images
Immunohistochemistry (Formalin/PFA-fixed paraffin-embedded sections) - Anti-Thyroid Peroxidase/TPO antibody [EPR5380] (AB109383)
  • IHC-P

Unknown

Immunohistochemistry (Formalin/PFA-fixed paraffin-embedded sections) - Anti-Thyroid Peroxidase/TPO antibody [EPR5380] (AB109383)

ab109383, at a 1/100 dilution, staining Thyroid Peroxidase/TPO in paraffin-embedded Human thyroid gland tissue

Perform heat mediated antigen retrieval before commencing with IHC staining protocol.

Multiplex immunohistochemistry - Anti-Thyroid Peroxidase/TPO antibody [EPR5380] (AB109383)
  • mIHC

Lab

Multiplex immunohistochemistry - Anti-Thyroid Peroxidase/TPO antibody [EPR5380] (AB109383)

Fluorescence multiplex immunohistochemical analysis of Human thyroid gland tissue (Formalin/PFA-fixed paraffin-embedded sections). Panel A : merged staining of anti-Thyroglobulin (ab151539, magenta; Opal™690), anti-Thyroid Peroxidase/TPO (ab109383, green; Opal™520) and anti-PAX8 (ab227707, red; Opal™570) on human thyroid gland. Panel B : anti-Thyroid Peroxidase/TPO stained on cytoplasm of follicular epithelial cells. Panel C : anti-PAX8 stained on nucleus of follicular epithelial cells. Panel D : anti-Thyroglobulin stained on colloid. Opal Polymer HRP Ms + Rb was used as a secondary antibody. The section was incubated in three rounds of staining : in the order of ab151539 at 1/5000 dilution (0.167 μg/ml), ab109383 at 1/1500 dilution (0.072 μg/ml) , and ab227707 at 1/200 dilution (5.22 μg/ml) for 30 mins at room temperature. Each round was followed by a separate fluorescent tyramide signal amplification system. The immunostaining was performed on a Leica Biosystems BOND® RX instrument with an Opal™ 4-color kit. Image acquisition was performed with Leica SP8 confocal microscope. DAPI (blue) was used as a nuclear counter stain. Heat mediated antigen retrieval with Tris-EDTA buffer (pH 9.0, epitope retrieval solution2) for 20 mins.

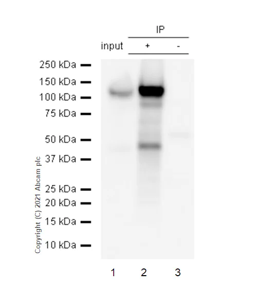
Immunoprecipitation - Anti-Thyroid Peroxidase/TPO antibody [EPR5380] (AB109383)
  • IP

Lab

Immunoprecipitation - Anti-Thyroid Peroxidase/TPO antibody [EPR5380] (AB109383)

Thyroid Peroxidase/TPO was immunoprecipitated from 0.35 mg Human thyroid whole cell lysate 10 μg with ab109383 at 1/100 dilution (2μg). VeriBlot for IP Detection Reagent (HRP) (ab131366) was used at 1/5000 dilution.

Lane 1 : Human thyroid whole cell lysate 10 μg

Lane 2 : ab109383 IP in Human thyroid whole cell lysate

Lane 3 : Rabbit monoclonal IgG (ab172730) instead of ab109383 in Human thyroid whole cell lysate

Blocking and dilution buffer and concentration : 5% NFDM/TBST.

All lanes:

Immunoprecipitation - Anti-Thyroid Peroxidase/TPO antibody [EPR5380] (ab109383)

Predicted band size: 103 kDa

Observed band size: 110 kDa

false

Western blot - Anti-Thyroid Peroxidase/TPO antibody [EPR5380] (AB109383)
  • WB

Unknown

Western blot - Anti-Thyroid Peroxidase/TPO antibody [EPR5380] (AB109383)

All lanes:

Western blot - Anti-Thyroid Peroxidase/TPO antibody [EPR5380] (ab109383) at 1/1000 dilution

All lanes:

Human thyroid lysate at 10 µg

Predicted band size: 103 kDa,35 kDa,54 kDa

false

不同偶联物与剂型 (1)

  • Carrier free

    Anti-Thyroid Peroxidase/TPO antibody [EPR5380] - BSA and Azide free

关键信息

宿主种属

Rabbit

克隆

Monoclonal

克隆号

EPR5380

亚型

IgG

不含载体蛋白

No

反应种属

Human

应用

IP, IHC-P, mIHC, WB

applications

免疫原

The exact immunogen used to generate this antibody is proprietary information.

反应性数据

{ "title": "Reactivity Data", "filters": { "stats": ["", "Species", "Dilution Info", "Notes"], "tabs": { "all-applications": {"fullname" : "All Applications", "shortname": "All Applications"}, "mIHC" : {"fullname" : "Multiplex immunohistochemistry", "shortname":"mIHC"}, "IHCP" : {"fullname" : "Immunohistochemistry (Formalin/PFA-fixed paraffin-embedded sections)", "shortname":"IHC-P"}, "IP" : {"fullname" : "Immunoprecipitation", "shortname":"IP"}, "WB" : {"fullname" : "Western blot", "shortname":"WB"} }, "product-promise": { "all": "all", "testedAndGuaranteed": "tested", "guaranteed": "expected", "predicted": "predicted", "notRecommended": "not-recommended" } }, "values": { "Human": { "mIHC-species-checked": "testedAndGuaranteed", "mIHC-species-dilution-info": "1/1500", "mIHC-species-notes": "<p></p>", "IHCP-species-checked": "testedAndGuaranteed", "IHCP-species-dilution-info": "1/100 - 1/250", "IHCP-species-notes": "<p>Heat up to 98 degrees C, below boiling, and then let cool for 10-20 min.</p>", "IP-species-checked": "testedAndGuaranteed", "IP-species-dilution-info": "1/10 - 1/100", "IP-species-notes": "<p></p>", "WB-species-checked": "testedAndGuaranteed", "WB-species-dilution-info": "1/1000 - 1/10000", "WB-species-notes": "<p></p>" } } }

产品详情

Species reactivity
Mouse, Rat: We have preliminary internal testing data to indicate this antibody may not react with these species.
Please contact us for more information.

Patented technology
Our RabMAb® technology is a patented hybridoma-based technology for making rabbit monoclonal antibodies. For details on our patents, please refer to RabMAb® patents.

What are the advantages of a recombinant monoclonal antibody?
This product is a recombinant monoclonal antibody, which offers several advantages including:

  • - High batch-to-batch consistency and reproducibility
  • - Improved sensitivity and specificity
  • - Long-term security of supply
  • - Animal-free batch production

For more information, read more on recombinant antibodies.

性能和储存信息

形式
Liquid
纯化工艺
Affinity purification Protein A
存储溶液
pH: 7.2 - 7.4 Preservative: 0.05% Sodium azide Constituents: 50% Tissue culture supernatant, 40% Glycerol (glycerin, glycerine), 9.85% Tris glycine, 0.1% BSA
运输条件
Blue Ice
推荐的短期储存条件
+4°C
推荐的长期储存条件
-20°C
储存信息
Stable for 12 months at -20°C

补充信息

This supplementary information is collated from multiple sources and compiled automatically.

Thyroid Peroxidase (TPO) also known as thyroperoxidase is an enzyme with a molecular mass of around 105 kDa. It is expressed in the thyroid gland's follicular cells. TPO plays a mechanical role in the synthesis of thyroid hormones by catalyzing iodination and coupling reactions needed to produce triiodothyronine (T3) and thyroxine (T4). These hormones are essential for regulating metabolism growth and development. The activity of TPO is an important step in thyroid hormone production.
Biological function summary

TPO participates in the thyroid's hormone biosynthesis pathway. It forms a part of the multi-enzyme complex that includes thyroglobulin and iodide. The enzyme facilitates the iodination of tyrosine residues on thyroglobulin and the coupling of iodotyrosines important for creating active thyroid hormones. TPO's enzymatic function is important for maintaining appropriate levels of circulating T3 and T4 impacting various physiological processes in the body.

Pathways

TPO contributes to the thyroid hormone synthesis pathway which is a critical pathway for metabolic regulation. It works in close association with other proteins such as thyroglobulin and sodium/iodide symporter (NIS) to ensure efficient thyroid hormone production. TPO's involvement in these pathways indicates its importance in the endocrine system's normal function and homeostasis.

TPO is often associated with autoimmune thyroid diseases like Hashimoto's thyroiditis and Graves' disease. High TPO antibodies such as anti-TPO antibodies are commonly detected in these conditions indicating an autoimmune response against the thyroid. The presence of high anti-thyroid peroxidase antibodies can lead to the destruction of thyroid tissue often resulting in hypothyroidism. TPO's connection to these diseases highlights its role in autoimmune conditions affecting thyroid function.

产品实验方案

For this product, it's our understanding that no specific protocols are required. You can visit:

靶点信息

Iodination and coupling of the hormonogenic tyrosines in thyroglobulin to yield the thyroid hormones T(3) and T(4).
See full target information Thyroid peroxidase

文献 (10)

Recent publications for all applications. Explore the full list and refine your search

Frontiers in chemistry 13:1607067 PubMed40552073

2025

HIF1A acts as target of XiHuang Pill in the treatment of papillary thyroid cancer by regulating dedifferentiation.

Applications

Unspecified application

Species

Unspecified reactive species

Xu-Zhe Yu,Wei-Li Zhu,Hua-Chun Qian,Chun-Jiang Sun

Hormone research in paediatrics 97:353-364 PubMed37703865

2023

Genetic Screening and Functional Analysis of Thyroid Peroxidase Variants in Chinese Patients with Congenital Hypothyroidism.

Applications

Unspecified application

Species

Unspecified reactive species

Hai-Yang Zhang,Feng-Yao Wu,Xue-Song Li,Cao-Xu Zhang,Ping-Hui Tu,Rui-Meng Yang,Xiao-Yu Liu,Ren-Jie Cui,Liu Yang,Chen-Yang Wu,Rui-Jia Zhang,Ya Fang,Feng Sun,Jun Liang,Feng Cheng,Huai-Dong Song,Shuang-Xia Zhao

Journal of molecular endocrinology 68:137-151 PubMed35099410

2022

Vitamin D receptor regulates proliferation and differentiation of thyroid carcinoma via the E-cadherin-β-catenin complex.

Applications

Unspecified application

Species

Unspecified reactive species

Yali Ling,Feng Xu,Xuedi Xia,Dexing Dai,Ruoman Sun,Zhongjian Xie

International journal of endocrinology 2020:9132372 PubMed32908504

2020

A Novel Homozygous Mutation of Thyroid Peroxidase Gene Abolishes a Disulfide Bond Leading to Congenital Hypothyroidism.

Applications

Unspecified application

Species

Unspecified reactive species

Fumiyoshi Yakou,Hirotsugu Suwanai,Takuya Ishikawa,Mariko Itou,Jumpei Shikuma,Takashi Miwa,Hiroyuki Sakai,Kohsuke Kanekura,Satoshi Narumi,Ryo Suzuki,Masato Odawara

Cells 9: PubMed32824820

2020

MiRNA let-7 from TPO(+) Extracellular Vesicles is a Potential Marker for a Differential Diagnosis of Follicular Thyroid Nodules.

Applications

Unspecified application

Species

Unspecified reactive species

Lidia Zabegina,Inga Nazarova,Margarita Knyazeva,Nadezhda Nikiforova,Maria Slyusarenko,Sergey Titov,Dmitry Vasilyev,Ilya Sleptsov,Anastasia Malek

Clinical endocrinology 93:499-507 PubMed32424871

2020

Functional analysis of thyroid peroxidase gene mutations resulting in congenital hypothyroidism.

Applications

Unspecified application

Species

Unspecified reactive species

Defa Zhao,Yang Li,Zhongyan Shan,Weiping Teng,Jing Li,Xiaochun Teng

Journal of cellular biochemistry 120:4582-4598 PubMed30320918

2018

Receptor for advanced glycation end products reveals a mechanism regulating thyroid hormone secretion through the SIRT1/Nrf2 pathway.

Applications

Unspecified application

Species

Unspecified reactive species

Xiao-Jun Chen,Xiao-Hua Gong,Jin-Ping Jie,Wei-Hui Yu,Xiong Chen,Xuan Du,Qi Zhou,Wen-Jun Wu

Endocrine journal 64:1087-1097 PubMed28867693

2017

Mild thyroid peroxidase deficiency caused by TPO mutations with residual activity: Correlation between clinical phenotypes and enzymatic activity.

Applications

Unspecified application

Species

Unspecified reactive species

Satoshi Narumi,Larry A Fox,Keisuke Fukudome,Zenichi Sakaguchi,Chiho Sugisawa,Kiyomi Abe,Kaori Kameyama,Tomonobu Hasegawa

Biomedicine & pharmacotherapy = Biomedecine & pharmacotherapie 85:399-411 PubMed27899250

2016

Estrogen and thyroid cancer is a stem affair: A preliminary study.

Applications

ICC/IF

Species

Unspecified reactive species

Mariangela Zane,Carmelo Parello,Gianmaria Pennelli,Danyelle M Townsend,Stefano Merigliano,Marco Boscaro,Antonio Toniato,Giovannella Baggio,Maria Rosa Pelizzo,Domenico Rubello,Isabella Merante Boschin

The Journal of clinical endocrinology and metaboli 99:E1236-44 PubMed24708100

2014

Expression of thyrotropin receptor, thyroglobulin, sodium-iodide symporter, and thyroperoxidase by fibrocytes depends on AIRE.

Applications

Unspecified application

Species

Unspecified reactive species

Roshini Fernando,Ying Lu,Stephen J Atkins,Tunde Mester,Kari Branham,Terry J Smith
View all publications

Abcam Product Promise

我们致力于为您的研究提供高质量的试剂,为您科研的每一步提供支持。若我们的产品未能达到预期性能,我们向您提供 Abcam Product Promise 保障。
详情请参阅我们的条款与条件。

Please note: All products are 'FOR RESEARCH USE ONLY. NOT FOR USE IN DIAGNOSTIC OR THERAPEUTIC PROCEDURES'.

For licensing inquiries, please contact partnerships@abcam.com