JavaScript is disabled in your browser. Please enable JavaScript to view this website.
AB180745

重组Anti-THEA抗体[EPR18792]

Anti-THEA antibody [EPR18792]

5

(1 Review)

|

(2 Publications)

Rabbit Recombinant Monoclonal THEA antibody. Suitable for WB and reacts with Mouse, Human samples. Cited in 2 publications.

查看别名

BFIT, KIAA0707, THEA, ACOT11, Acyl-coenzyme A thioesterase 11, Acyl-CoA thioesterase 11, Acyl-CoA thioester hydrolase 11, Adipose-associated thioesterase, Brown fat-inducible thioesterase, Palmitoyl-coenzyme A thioesterase

4 Images
Western blot - Anti-THEA antibody [EPR18792] (AB180745)
  • WB

Supplier Data

Western blot - Anti-THEA antibody [EPR18792] (AB180745)

Blocking/Dilution buffer : 5% NFDM/TBST.

Exposure time : 3 minutes.

The expression profile observed is consistent with what has been described in the literature (PMID : 22427358 and PMID : 11696000).

All lanes:

Western blot - Anti-THEA antibody [EPR18792] (ab180745) at 1/1000 dilution

Lane 1:

Mouse brown adipose lysate at 20 µg

Lane 2:

Mouse liver lysate at 20 µg

Lane 3:

Mouse kidney lysate at 20 µg

Secondary

All lanes:

Western blot - Goat Anti-Rabbit IgG H&L (HRP) (<a href='/products/secondary-antibodies/goat-rabbit-igg-h-l-hrp-ab97051'>ab97051</a>) at 1/100000 dilution

Predicted band size: 68 kDa

Observed band size: 68 kDa

true

Western blot - Anti-THEA antibody [EPR18792] (AB180745)
  • WB

Supplier Data

Western blot - Anti-THEA antibody [EPR18792] (AB180745)

Blocking/Dilution buffer : 5% NFDM/TBST.

Exposure time : Lane 1/2 : 1 minute; Lane 3 : 10 seconds; Lane 4 : 15 seconds.

All lanes:

Western blot - Anti-THEA antibody [EPR18792] (ab180745) at 1/1000 dilution

Lane 1:

Mouse heart lysate at 10 µg

Lane 2:

Mouse spleen lysate at 10 µg

Lane 3:

Mouse kidney lysate at 10 µg

Lane 4:

NIH/3T3 (mouse embryonic fibroblast cell line) whole cell lysate at 10 µg

Secondary

All lanes:

Western blot - Goat Anti-Rabbit IgG H&L (HRP) (<a href='/products/secondary-antibodies/goat-rabbit-igg-h-l-hrp-ab97051'>ab97051</a>) at 1/100000 dilution

Predicted band size: 41 kDa,47 kDa,68 kDa

Observed band size: 68 kDa

true

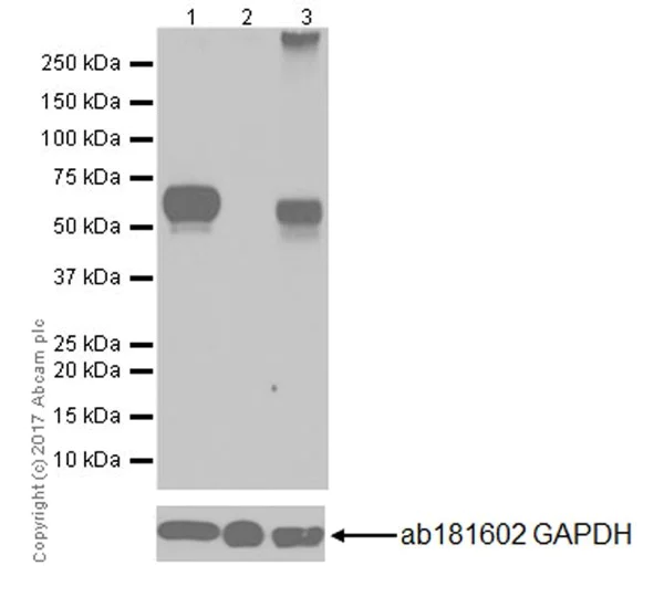
Western blot - Anti-THEA antibody [EPR18792] (AB180745)
  • WB

Supplier Data

Western blot - Anti-THEA antibody [EPR18792] (AB180745)

Blocking/Dilution buffer : 5% NFDM/TBST.

Exposure time : Lane 1 : 3 minutes; Lane 2/3 : 15 seconds.

This antibody can recognize 2 isoforms in human, the predicted MW is 68 & 67 KDa.

All lanes:

Western blot - Anti-THEA antibody [EPR18792] (ab180745) at 1/2000 dilution

Lane 1:

Jurkat (human T cell leukemia cell line from peripheral blood) whole cell lysate at 20 µg

Lane 2:

LNCaP (human prostate cancer cell line) whole cell lysate at 20 µg

Lane 3:

HepG2 (human liver hepatocellular carcinoma cell line) whole cell lysate at 20 µg

Secondary

All lanes:

Western blot - Goat Anti-Rabbit IgG H&L (HRP) (<a href='/products/secondary-antibodies/goat-rabbit-igg-h-l-hrp-ab97051'>ab97051</a>) at 1/100000 dilution

Predicted band size: 68 kDa

Observed band size: 67 kDa,68 kDa

true

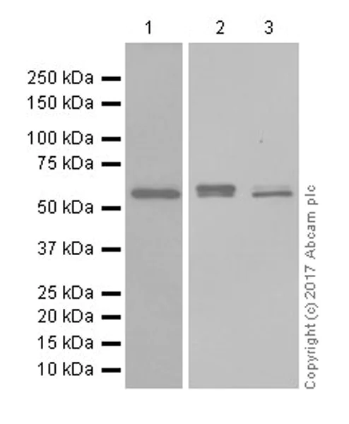
Western blot - Anti-THEA antibody [EPR18792] (AB180745)
  • WB

Supplier Data

Western blot - Anti-THEA antibody [EPR18792] (AB180745)

Blocking/Dilution buffer : 5% NFDM/TBST.

Exposure time : Lane 1 : 3 minutes; Lane 2/3 : 15 seconds.

All lanes:

Western blot - Anti-THEA antibody [EPR18792] (ab180745) at 1/1000 dilution

Lane 1:

Human fetal liver tissue lysate at 10 µg

Lane 2:

Human fetal heart tissue lysate at 10 µg

Lane 3:

Human fetal kidney tissue lysate at 10 µg

Secondary

All lanes:

Western blot - VeriBlot for IP Detection Reagent (HRP) (<a href='/products/reagents/veriblot-for-ip-detection-reagent-hrp-ab131366'>ab131366</a>) at 1/10000 dilution

Predicted band size: 68 kDa

Observed band size: 68 kDa

true

关键信息

宿主种属

Rabbit

克隆

Monoclonal

克隆号

EPR18792

亚型

IgG

不含载体蛋白

No

反应种属

Mouse, Human

应用

WB

applications

免疫原

The exact immunogen used to generate this antibody is proprietary information.

反应性数据

{ "title": "Reactivity Data", "filters": { "stats": ["", "Species", "Dilution Info", "Notes"], "tabs": { "all-applications": {"fullname" : "All Applications", "shortname": "All Applications"}, "WB" : {"fullname" : "Western blot", "shortname":"WB"} }, "product-promise": { "all": "all", "testedAndGuaranteed": "tested", "guaranteed": "expected", "predicted": "predicted", "notRecommended": "not-recommended" } }, "values": { "Human": { "WB-species-checked": "testedAndGuaranteed", "WB-species-dilution-info": "1/1000", "WB-species-notes": "<p></p>" }, "Mouse": { "WB-species-checked": "testedAndGuaranteed", "WB-species-dilution-info": "1/1000", "WB-species-notes": "<p></p>" } } }

产品详情

Patented technology
Our RabMAb® technology is a patented hybridoma-based technology for making rabbit monoclonal antibodies. For details on our patents, please refer to RabMAb® patents.

What are the advantages of a recombinant monoclonal antibody?
This product is a recombinant monoclonal antibody, which offers several advantages including:

  • - High batch-to-batch consistency and reproducibility
  • - Improved sensitivity and specificity
  • - Long-term security of supply
  • - Animal-free batch production

For more information, read more on recombinant antibodies.

性能和储存信息

形式
Liquid
纯化工艺
Affinity purification Protein A
存储溶液
Preservative: 0.01% Sodium azide Constituents: PBS, 40% Glycerol (glycerin, glycerine), 0.05% BSA
运输条件
Blue Ice
推荐的短期储存时间
1-2 weeks
推荐的短期储存条件
+4°C
推荐的长期储存条件
-20°C
分装信息
Upon delivery aliquot
储存信息
Avoid freeze / thaw cycle

补充信息

This supplementary information is collated from multiple sources and compiled automatically.

THEA also known as Threonine E1A or THREA1 is an important protein involved in cellular processes. This target has a molecular mass of approximately 42 kDa. THEA is expressed in various tissues with high levels found particularly in the brain and liver. Through its mechanical role THEA contributes to cellular metabolism and signaling by participating in enzymatic reactions critical for cell function.
Biological function summary

THEA influences several aspects of cell growth and maintenance. It operates as part of an enzymatic complex that facilitates the phosphorylation of substrate molecules essential for many signaling pathways. This activity supports cellular energy regulation and can affect the cell cycle and synaptic function. Its impact on cellular metabolism highlights its importance in tissue homeostasis indicating a wide range of biological influences.

Pathways

THEA plays a significant role in metabolic and signaling pathways. It interacts closely with the AMPK signaling pathway which is critical for energy balance and homeostasis. In these processes THEA can influence related proteins such as LKB1 and PKA which further propagate signals to activate downstream pathways that maintain energy homeostasis and cellular response to metabolic stress.

THEA's activity links to metabolic syndromes and neurodegenerative diseases. Its altered function can contribute to conditions like diabetes where metabolic pathways become dysregulated. It also associates with Alzheimer's disease with stress on the AMPK pathway. In these diseases interactions with proteins like Tau and GSK3β can modulate disease progression highlighting the diverse roles of THEA in pathological states.

产品实验方案

For this product, it's our understanding that no specific protocols are required. You can visit:

靶点信息

Has an acyl-CoA thioesterase activity with a preference for the long chain fatty acyl-CoA thioesters hexadecanoyl-CoA/palmitoyl-CoA and tetradecanoyl-CoA/myristoyl-CoA which are the main substrates in the mitochondrial beta-oxidation pathway.
See full target information ACOT11

文献 (2)

Recent publications for all applications. Explore the full list and refine your search

International journal of medical sciences 20:1427-1447 PubMed37790851

2023

STARD12/14 are diagnostic and prognostic biomarkers of lung adenocarcinoma associated with epigenetic regulation, immune infiltration and ferroptosis.

Applications

Unspecified application

Species

Unspecified reactive species

Wen-Di Zhang,Dong-Mei Hu,Zhuang-E Shi,Qing-Xiang Wang,Meng-Yu Zhang,Jian-Yu Liu,Xiu-Li Ji,Yi-Qing Qu

Nature communications 11:5303 PubMed33082339

2020

AKAP5 complex facilitates purinergic modulation of vascular L-type Ca channel Ca1.2.

Applications

Unspecified application

Species

Unspecified reactive species

Maria Paz Prada,Arsalan U Syed,Gopireddy R Reddy,Miguel Martín-Aragón Baudel,Víctor A Flores-Tamez,Kent C Sasse,Sean M Ward,Padmini Sirish,Nipavan Chiamvimonvat,Peter Bartels,Eamonn J Dickson,Johannes W Hell,John D Scott,Luis F Santana,Yang K Xiang,Manuel F Navedo,Madeline Nieves-Cintrón
View all publications

Abcam Product Promise

我们致力于为您的研究提供高质量的试剂,为您科研的每一步提供支持。若我们的产品未能达到预期性能,我们向您提供 Abcam Product Promise 保障。
详情请参阅我们的条款与条件。

Please note: All products are 'FOR RESEARCH USE ONLY. NOT FOR USE IN DIAGNOSTIC OR THERAPEUTIC PROCEDURES'.

For licensing inquiries, please contact partnerships@abcam.com