JavaScript is disabled in your browser. Please enable JavaScript to view this website.
AB109518

Anti-TFIIB抗体[EP4588]

Anti-TFIIB antibody [EP4588]

Be the first to review this product! Submit a review

|

(1 Publication)

Rabbit Monoclonal TFIIB antibody. Suitable for IHC-P, IP, WB, Flow Cyt (Intra) and reacts with Mouse, Human, Rat samples. Cited in 1 publication.

查看别名

TF2B, TFIIB, GTF2B, Transcription initiation factor IIB, General transcription factor TFIIB, S300-II

5 Images
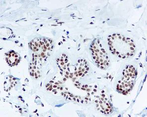
Immunohistochemistry (Formalin/PFA-fixed paraffin-embedded sections) - Anti-TFIIB antibody [EP4588] (AB109518)
  • IHC-P

Unknown

Immunohistochemistry (Formalin/PFA-fixed paraffin-embedded sections) - Anti-TFIIB antibody [EP4588] (AB109518)

ab109518, at a 1/100 dilution, staining TFIIB in paraffin embedded Human breast tissue by Immunohistochemistry.

Perform heat mediated antigen retrieval with citrate buffer pH 6 before commencing with IHC staining protocol.

Flow Cytometry (Intracellular) - Anti-TFIIB antibody [EP4588] (AB109518)
  • Flow Cyt (Intra)

Supplier Data

Flow Cytometry (Intracellular) - Anti-TFIIB antibody [EP4588] (AB109518)

Flow cytometry analysis of Jurkat (Human T cell leukemia T lymphocyte) cells labelling TFIIB with ab109518 at 1/20 dilution (4.05 © : g/ml) (Red). Cells were fixed with 4% paraformaldehyde . Goat anti rabbit IgG (Alexa Fluor� 488, ab150077) was used as the secondary antibody at 1/2000 dilution. Isotype control - Rabbit monoclonal IgG (ab172730) (Black). Unlabeled control - Unlabelled cells (Blue).

Immunoprecipitation - Anti-TFIIB antibody [EP4588] (AB109518)
  • IP

Unknown

Immunoprecipitation - Anti-TFIIB antibody [EP4588] (AB109518)

ab109518 (purified) at 1/500 dilution (0.16 © : g/ml) immunoprecipitating TFIIB in Jurkat whole cell lysate .
Lane 1 (input) : Jurkat(Human T cell leukemia T lymphocyte) whole cell lysate 10© : g
Lane 2 (+) : ab109518 & Jurkat whole cell lysate
Lane 3 (-) : Rabbit monoclonal IgG (ab172730) instead of ab109518 in Jurkat whole cell lysate
For western blotting, VeriBlot for IP secondary antibody (HRP) (ab131366) was used as the secondary antibody at 1/1000 dilution.
Blocking and diluting buffer : 5% NFDM /TBST .

All lanes:

Immunoprecipitation - Anti-TFIIB antibody [EP4588] (ab109518)

Predicted band size: 34 kDa

false

Western blot - Anti-TFIIB antibody [EP4588] (AB109518)
  • WB

Unknown

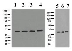
Western blot - Anti-TFIIB antibody [EP4588] (AB109518)

All lanes:

Western blot - Anti-TFIIB antibody [EP4588] (ab109518) at 1/1000 dilution

Lane 1:

HepG2 cell lyaste at 10 µg

Lane 2:

HeLa cell lyaste at 10 µg

Lane 3:

Jurkat cell lyaste at 10 µg

Lane 4:

K562 cell lyaste at 10 µg

Predicted band size: 34 kDa

false

Western blot - Anti-TFIIB antibody [EP4588] (AB109518)
  • WB

Lab

Western blot - Anti-TFIIB antibody [EP4588] (AB109518)

All lanes:

Western blot - Anti-TFIIB antibody [EP4588] (ab109518) at 1/1000 dilution

Lane 1:

C6 (Rat glial tumor glial cell) whole cell lysate at 20 µg

Lane 2:

Raw264.7 (Mouse Abelson murine leukemia virus-induced tumor macrophage) whole cell lysate at 20 µg

Lane 3:

PC-12 (Rat adrenal gland pheochromocytoma) whole cell lysate at 20 µg

Lane 4:

NIH/3T3 (Mouse embryonic fibroblast) whole cell lysate at 20 µg

Secondary

All lanes:

Western blot - Goat Anti-Rabbit IgG H&L (HRP) (<a href='/products/secondary-antibodies/goat-rabbit-igg-h-l-hrp-ab97051'>ab97051</a>) at 1/1000 dilution

Predicted band size: 34 kDa

Observed band size: 35 kDa

false

不同偶联物与剂型 (1)

  • Carrier free

    Anti-TFIIB antibody [EP4588] - BSA and Azide free

关键信息

宿主种属

Rabbit

克隆

Monoclonal

克隆号

EP4588

亚型

IgG

不含载体蛋白

No

反应种属

Mouse, Rat, Human

应用

IHC-P, IP, WB, Flow Cyt (Intra)

applications

免疫原

The exact immunogen used to generate this antibody is proprietary information.

反应性数据

{ "title": "Reactivity Data", "filters": { "stats": ["", "Species", "Dilution Info", "Notes"], "tabs": { "all-applications": {"fullname" : "All Applications", "shortname": "All Applications"}, "IHCP" : {"fullname" : "Immunohistochemistry (Formalin/PFA-fixed paraffin-embedded sections)", "shortname":"IHC-P"}, "ICCIF" : {"fullname" : "Immunocytochemistry/ Immunofluorescence", "shortname":"ICC/IF"}, "IP" : {"fullname" : "Immunoprecipitation", "shortname":"IP"}, "WB" : {"fullname" : "Western blot", "shortname":"WB"}, "FlowCytIntra" : {"fullname" : "Flow Cytometry (Intracellular)", "shortname":"Flow Cyt (Intra)"} }, "product-promise": { "all": "all", "testedAndGuaranteed": "tested", "guaranteed": "expected", "predicted": "predicted", "notRecommended": "not-recommended" } }, "values": { "Human": { "IHCP-species-checked": "testedAndGuaranteed", "IHCP-species-dilution-info": "1/100 - 1/250", "IHCP-species-notes": "<p>Antigen retrieval is recommended.</p> Perform heat-mediated antigen retrieval with citrate buffer pH 6 before commencing with IHC staining protocol.", "ICCIF-species-checked": "notRecommended", "ICCIF-species-dilution-info": "", "ICCIF-species-notes": "<p></p>", "IP-species-checked": "testedAndGuaranteed", "IP-species-dilution-info": "1/10 - 1/100", "IP-species-notes": "<p></p>", "WB-species-checked": "testedAndGuaranteed", "WB-species-dilution-info": "1/1000 - 1/10000", "WB-species-notes": "<p></p>", "FlowCytIntra-species-checked": "testedAndGuaranteed", "FlowCytIntra-species-dilution-info": "1/10 - 1/100", "FlowCytIntra-species-notes": "<p><a href='/products/primary-antibodies/rabbit-igg-monoclonal-epr25a-isotype-control-ab172730'>ab172730</a> - Rabbit monoclonal IgG, is suitable for use as an isotype control with this antibody.</p>" }, "Mouse": { "IHCP-species-checked": "testedAndGuaranteed", "IHCP-species-dilution-info": "1/100 - 1/250", "IHCP-species-notes": "<p>Antigen retrieval is recommended.</p> Perform heat-mediated antigen retrieval with citrate buffer pH 6 before commencing with IHC staining protocol.", "ICCIF-species-checked": "notRecommended", "ICCIF-species-dilution-info": "", "ICCIF-species-notes": "<p></p>", "IP-species-checked": "testedAndGuaranteed", "IP-species-dilution-info": "1/10 - 1/100", "IP-species-notes": "<p></p>", "WB-species-checked": "testedAndGuaranteed", "WB-species-dilution-info": "1/1000 - 1/10000", "WB-species-notes": "<p></p>", "FlowCytIntra-species-checked": "testedAndGuaranteed", "FlowCytIntra-species-dilution-info": "1/10 - 1/100", "FlowCytIntra-species-notes": "<p><a href='/products/primary-antibodies/rabbit-igg-monoclonal-epr25a-isotype-control-ab172730'>ab172730</a> - Rabbit monoclonal IgG, is suitable for use as an isotype control with this antibody.</p>" }, "Rat": { "IHCP-species-checked": "guaranteed", "IHCP-species-dilution-info": "", "IHCP-species-notes": "", "ICCIF-species-checked": "notRecommended", "ICCIF-species-dilution-info": "", "ICCIF-species-notes": "<p></p>", "IP-species-checked": "guaranteed", "IP-species-dilution-info": "", "IP-species-notes": "", "WB-species-checked": "testedAndGuaranteed", "WB-species-dilution-info": "1/1000 - 1/10000", "WB-species-notes": "<p></p>", "FlowCytIntra-species-checked": "guaranteed", "FlowCytIntra-species-dilution-info": "", "FlowCytIntra-species-notes": "" } } }

产品详情

Patented technology
Our RabMAb® technology is a patented hybridoma-based technology for making rabbit monoclonal antibodies. For details on our patents, please refer to RabMAb® patents.

性能和储存信息

形式
Liquid
纯度
Tissue culture supernatant
存储溶液
pH: 7.2 - 7.4 Preservative: 0.05% Sodium azide Constituents: 50% Tissue culture supernatant, 40% Glycerol (glycerin, glycerine), 9.85% Tris glycine, 0.1% BSA
运输条件
Blue Ice
推荐的短期储存条件
+4°C
推荐的长期储存条件
-20°C
储存信息
Stable for 12 months at -20°C

产品实验方案

For this product, it's our understanding that no specific protocols are required. You can visit:

靶点信息

General transcription factor that plays a role in transcription initiation by RNA polymerase II (Pol II). Involved in the pre-initiation complex (PIC) formation and Pol II recruitment at promoter DNA (PubMed : 12931194, PubMed : 1517211, PubMed : 1876184, PubMed : 1946368, PubMed : 27193682, PubMed : 3029109, PubMed : 3818643, PubMed : 7601352, PubMed : 8413225, PubMed : 8515820, PubMed : 8516311, PubMed : 8516312, PubMed : 9420329). Together with the TATA box-bound TBP forms the core initiation complex and provides a bridge between TBP and the Pol II-TFIIF complex (PubMed : 8413225, PubMed : 8504927, PubMed : 8515820, PubMed : 8516311, PubMed : 8516312). Released from the PIC early following the onset of transcription during the initiation and elongation transition and reassociates with TBP during the next transcription cycle (PubMed : 7601352). Associates with chromatin to core promoter-specific regions (PubMed : 12931194, PubMed : 24441171). Binds to two distinct DNA core promoter consensus sequence elements in a TBP-independent manner; these IIB-recognition elements (BREs) are localized immediately upstream (BREu), 5'-[GC][GC][GA]CGCC-3', and downstream (BREd), 5'-[GA]T[TGA][TG][GT][TG][TG]-3', of the TATA box element (PubMed : 10619841, PubMed : 16230532, PubMed : 7675079, PubMed : 9420329). Modulates transcription start site selection (PubMed : 10318856). Exhibits also autoacetyltransferase activity that contributes to the activated transcription (PubMed : 12931194).
See full target information GTF2B

文献 (1)

Recent publications for all applications. Explore the full list and refine your search

eLife 13: PubMed40704991

2025

Rapid and inducible mislocalization of endogenous TDP43 in a novel human model of amyotrophic lateral sclerosis.

Applications

Unspecified application

Species

Unspecified reactive species

Johanna Ganssauge,Sophie Hawkins,Seema Chandramohan Namboori,Szi Kay Leung,Jonathan Mill,Akshay Bhinge
View all publications

Abcam Product Promise

我们致力于为您的研究提供高质量的试剂,为您科研的每一步提供支持。若我们的产品未能达到预期性能,我们向您提供 Abcam Product Promise 保障。
详情请参阅我们的条款与条件。

Please note: All products are 'FOR RESEARCH USE ONLY. NOT FOR USE IN DIAGNOSTIC OR THERAPEUTIC PROCEDURES'.

For licensing inquiries, please contact partnerships@abcam.com