JavaScript is disabled in your browser. Please enable JavaScript to view this website.
AB122455

Anti-TEX12抗体

Anti-TEX12 antibody

Be the first to review this product! Submit a review

|

(2 Publications)

Rabbit Polyclonal TEX12 antibody. Suitable for IHC-P, WB, ICC/IF and reacts with Human, Transfected cell lysate - Human samples. Cited in 2 publications. Immunogen corresponding to Recombinant Fragment Protein within Human TEX12 aa 1-100.

查看别名

Testis-expressed protein 12, TEX12

3 Images
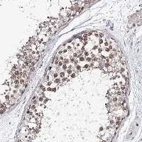
Immunohistochemistry (Formalin/PFA-fixed paraffin-embedded sections) - Anti-TEX12 antibody (AB122455)
  • IHC-P

Unknown

Immunohistochemistry (Formalin/PFA-fixed paraffin-embedded sections) - Anti-TEX12 antibody (AB122455)

ab122455, at 1/200 dilution, staining TEX12 in paraffin embedded Human testis tissue by Immunohistochemistry.

Immunocytochemistry/ Immunofluorescence - Anti-TEX12 antibody (AB122455)
  • ICC/IF

Unknown

Immunocytochemistry/ Immunofluorescence - Anti-TEX12 antibody (AB122455)

Immunofluorescent staining of Human cell line U-251 MG shows positivity in centrosome. Recommended concentration of ab122455 1-4 µg/ml. Cells treated with PFA/Triton X-100.

Western blot - Anti-TEX12 antibody (AB122455)
  • WB

Supplier Data

Western blot - Anti-TEX12 antibody (AB122455)

All lanes:

Western blot - Anti-TEX12 antibody (ab122455)

Lane 1:

Marker

Lane 2:

HEK293T cell lysate - vector only transfected

Lane 3:

HEK293T cell lysate - overexpressing TEX12 with a C-terminal myc-DDK tag (~3.1kDa)

Predicted band size: 14 kDa

false

关键信息

宿主种属

Rabbit

克隆

Polyclonal

亚型

IgG

不含载体蛋白

No

反应种属

Human

应用

IHC-P, ICC/IF, WB

applications

免疫原

Recombinant Fragment Protein within Human TEX12 aa 1-100. The exact immunogen used to generate this antibody is proprietary information.

Q9BXU0

反应性数据

{ "title": "Reactivity Data", "filters": { "stats": ["", "Species", "Dilution Info", "Notes"], "tabs": { "all-applications": {"fullname" : "All Applications", "shortname": "All Applications"}, "IHCP" : {"fullname" : "Immunohistochemistry (Formalin/PFA-fixed paraffin-embedded sections)", "shortname":"IHC-P"}, "WB" : {"fullname" : "Western blot", "shortname":"WB"}, "ICCIF" : {"fullname" : "Immunocytochemistry/ Immunofluorescence", "shortname":"ICC/IF"} }, "product-promise": { "all": "all", "testedAndGuaranteed": "tested", "guaranteed": "expected", "predicted": "predicted", "notRecommended": "not-recommended" } }, "values": { "Human": { "IHCP-species-checked": "testedAndGuaranteed", "IHCP-species-dilution-info": "1/200 - 1/500", "IHCP-species-notes": "<p></p> Perform heat-mediated antigen retrieval with citrate buffer pH 6 before commencing with IHC staining protocol.", "WB-species-checked": "guaranteed", "WB-species-dilution-info": "", "WB-species-notes": "", "ICCIF-species-checked": "testedAndGuaranteed", "ICCIF-species-dilution-info": "1-4 µg/mL", "ICCIF-species-notes": "<p>Recommend PFA Fixation and Triton X-100 treatment</p>" }, "Transfected cell lysate - Human": { "IHCP-species-checked": "notRecommended", "IHCP-species-dilution-info": "", "IHCP-species-notes": "", "WB-species-checked": "testedAndGuaranteed", "WB-species-dilution-info": "0.04-0.4 µg/mL", "WB-species-notes": "<p></p>", "ICCIF-species-checked": "notRecommended", "ICCIF-species-dilution-info": "", "ICCIF-species-notes": "" } } }

性能和储存信息

形式
Liquid
纯化工艺
Affinity purification Immunogen
存储溶液
pH: 7.2 Preservative: 0.02% Sodium azide Constituents: PBS, 40% Glycerol (glycerin, glycerine)
运输条件
Blue Ice
推荐的短期储存条件
+4°C
推荐的长期储存条件
-20°C
分装信息
Upon delivery aliquot
储存信息
Avoid freeze / thaw cycle

产品实验方案

For this product, it's our understanding that no specific protocols are required. You can visit:

靶点信息

Component of the transverse central element of synaptonemal complexes (SCS), formed between homologous chromosomes during meiotic prophase (By similarity). Requires SYCP1 in order to be incorporated into the central element (By similarity).
See full target information TEX12

文献 (2)

Recent publications for all applications. Explore the full list and refine your search

Nature communications 15:10096 PubMed39572588

2024

GPATCH11 variants cause mis-splicing and early-onset retinal dystrophy with neurological impairment.

Applications

Unspecified application

Species

Unspecified reactive species

Andrea Zanetti,Gwendal Dujardin,Lucas Fares-Taie,Jeanne Amiel,Jérôme E Roger,Isabelle Audo,Matthieu P Robert,Pierre David,Vincent Jung,Nicolas Goudin,Ida Chiara Guerrera,Stéphanie Moriceau,Danielle Amana,Nurit Assia Batzir,Anat Bachar-Zipori,Lina Basel Salmon,Nathalie Boddaert,Sylvain Briault,Ange-Line Bruel,Christine Costet-Fighiera,Luisa Coutinho Santos,Cyril Gitiaux,Karolina Kaminska,Paul Kuentz,Naama Orenstein,Nicole Philip-Sarles,Morgane Plutino,Mathieu Quinodoz,Cristina Santos,Sabine Sigaudy,Mariana Soeiro E Sá,Efrat Sofrin,Ana Berta Sousa,Rui Sousa-Luis,Christel Thauvin-Robinet,Erwin L van Dijk,Khaoula Zaafrane-Khachnaoui,Dinah Zur,Josseline Kaplan,Carlo Rivolta,Jean-Michel Rozet,Isabelle Perrault

Communications biology 4:1371 PubMed34880391

2021

Centrosome dysfunction associated with somatic expression of the synaptonemal complex protein TEX12.

Applications

Unspecified application

Species

Unspecified reactive species

Sumit Sandhu,Ieng F Sou,Jill E Hunter,Lucy Salmon,Caroline L Wilson,Neil D Perkins,Neil Hunter,Owen R Davies,Urszula L McClurg
View all publications

Abcam Product Promise

我们致力于为您的研究提供高质量的试剂,为您科研的每一步提供支持。若我们的产品未能达到预期性能,我们向您提供 Abcam Product Promise 保障。
详情请参阅我们的条款与条件。

Please note: All products are 'FOR RESEARCH USE ONLY. NOT FOR USE IN DIAGNOSTIC OR THERAPEUTIC PROCEDURES'.

For licensing inquiries, please contact partnerships@abcam.com