JavaScript is disabled in your browser. Please enable JavaScript to view this website.
AB108999

重组Anti-Tetranectin抗体[EPR3067]

Anti-Tetranectin antibody [EPR3067]

5

(2 Reviews)

|

(6 Publications)

Rabbit Recombinant Monoclonal Tetranectin antibody. Suitable for IHC-P, WB and reacts with Human samples. Cited in 6 publications.

查看别名

TNA, CLEC3B, Tetranectin, TN, C-type lectin domain family 3 member B, Plasminogen kringle 4-binding protein

2 Images
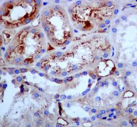
Immunohistochemistry (Formalin/PFA-fixed paraffin-embedded sections) - Anti-Tetranectin antibody [EPR3067] (AB108999)
  • IHC-P

Unknown

Immunohistochemistry (Formalin/PFA-fixed paraffin-embedded sections) - Anti-Tetranectin antibody [EPR3067] (AB108999)

ab108999 at 1/500 dilution staining Tetranectin in Human kidney by Immunohistochemistry, Paraffin-embedded tissue.

Perform heat mediated antigen retrieval before commencing with IHC staining protocol.

Western blot - Anti-Tetranectin antibody [EPR3067] (AB108999)
  • WB

Unknown

Western blot - Anti-Tetranectin antibody [EPR3067] (AB108999)

All lanes:

Western blot - Anti-Tetranectin antibody [EPR3067] (ab108999) at 1/1000 dilution

Lane 1:

Human fetal kidney lysate at 10 µg

Lane 2:

Human plasma lysate at 10 µg

Predicted band size: 23 kDa

false

不同偶联物与剂型 (1)

  • Carrier free

    Anti-Tetranectin antibody [EPR3067] - BSA and Azide free

关键信息

宿主种属

Rabbit

克隆

Monoclonal

克隆号

EPR3067

亚型

IgG

不含载体蛋白

No

反应种属

Human

应用

WB, IHC-P

applications

免疫原

The exact immunogen used to generate this antibody is proprietary information.

反应性数据

{ "title": "Reactivity Data", "filters": { "stats": ["", "Species", "Dilution Info", "Notes"], "tabs": { "all-applications": {"fullname" : "All Applications", "shortname": "All Applications"}, "IHCP" : {"fullname" : "Immunohistochemistry (Formalin/PFA-fixed paraffin-embedded sections)", "shortname":"IHC-P"}, "FlowCyt" : {"fullname" : "Flow Cytometry", "shortname":"Flow Cyt"}, "WB" : {"fullname" : "Western blot", "shortname":"WB"} }, "product-promise": { "all": "all", "testedAndGuaranteed": "tested", "guaranteed": "expected", "predicted": "predicted", "notRecommended": "not-recommended" } }, "values": { "Human": { "IHCP-species-checked": "testedAndGuaranteed", "IHCP-species-dilution-info": "1/500 - 1/1000", "IHCP-species-notes": "<p></p> Perform heat-mediated antigen retrieval before commencing with IHC staining protocol.", "FlowCyt-species-checked": "notRecommended", "FlowCyt-species-dilution-info": "", "FlowCyt-species-notes": "<p></p>", "WB-species-checked": "testedAndGuaranteed", "WB-species-dilution-info": "1/1000 - 1/10000", "WB-species-notes": "<p></p>" }, "Mouse": { "IHCP-species-checked": "predicted", "IHCP-species-dilution-info": "", "IHCP-species-notes": "", "FlowCyt-species-checked": "notRecommended", "FlowCyt-species-dilution-info": "", "FlowCyt-species-notes": "", "WB-species-checked": "predicted", "WB-species-dilution-info": "", "WB-species-notes": "" }, "Rat": { "IHCP-species-checked": "predicted", "IHCP-species-dilution-info": "", "IHCP-species-notes": "", "FlowCyt-species-checked": "notRecommended", "FlowCyt-species-dilution-info": "", "FlowCyt-species-notes": "", "WB-species-checked": "predicted", "WB-species-dilution-info": "", "WB-species-notes": "" } } }

产品详情

Patented technology
Our RabMAb® technology is a patented hybridoma-based technology for making rabbit monoclonal antibodies. For details on our patents, please refer to RabMAb® patents.

What are the advantages of a recombinant monoclonal antibody?
This product is a recombinant monoclonal antibody, which offers several advantages including:

  • - High batch-to-batch consistency and reproducibility
  • - Improved sensitivity and specificity
  • - Long-term security of supply
  • - Animal-free batch production

For more information, read more on recombinant antibodies.

性能和储存信息

形式
Liquid
纯化工艺
Affinity purification Protein A
存储溶液
pH: 7.2 - 7.4 Preservative: 0.01% Sodium azide Constituents: PBS, 40% Glycerol (glycerin, glycerine), 0.05% BSA
运输条件
Blue Ice
推荐的短期储存条件
+4°C
推荐的长期储存条件
-20°C
储存信息
Stable for 12 months at -20°C

补充信息

This supplementary information is collated from multiple sources and compiled automatically.

Tetranectin also known as C-type lectin domain family 3 member B (CLEC3B) is a glycoprotein with a molecular mass of about 20 kDa. It primarily exists in the bloodstream where it acts in various physiological processes. This protein expresses itself in other tissues such as liver and lungs suggesting a broad functional role across different biological systems. Its intuitive structure and function mark it for various protein-protein interactions.
Biological function summary

Tetranectin binds specifically to plasminogen a proenzyme which plays a role in breaking down fibrin in blood clots. It is known to be a part of the fibrinolytic system where it aids in tissue remodeling and repair by promoting the activation of plasminogen to plasmin. These activities suggest an integral role in maintaining vascular health and tissue dynamics. Moreover its involvement in these processes highlights the multifunctional attributes of this protein within human biology.

Pathways

Tetranectin is a component within coagulation and fibrinolytic pathways. Its interaction with plasminogen highlights its importance in the conversion pathway of plasminogen to plasmin which is essential in dissolving fibrin clots. Additionally Tetranectin’s contributions in the extracellular matrix further connect it with other proteins such as fibronectin and vitronectin facilitating cellular infrastructure and wound healing.

Researchers have linked alterations in Tetranectin levels with various conditions particularly cancer and osteoporosis. In cancer it associates with tumor growth and metastasis due to its role in tissue remodeling and plasminogen activation. In osteoporosis diminished levels of Tetranectin correlate with impaired bone density and integrative functions. Its interaction with plasminogen within these diseases illustrates not only its importance in fibrinolytic pathways but also its potential as a biomarker for pathological conditions.

产品实验方案

For this product, it's our understanding that no specific protocols are required. You can visit:

靶点信息

Tetranectin binds to plasminogen and to isolated kringle 4. May be involved in the packaging of molecules destined for exocytosis. Plays a role in retinal function (PubMed : 35331648).
See full target information CLEC3B

文献 (6)

Recent publications for all applications. Explore the full list and refine your search

Science advances 8:eabq1799 PubMed36129988

2022

The adipocyte-enriched secretory protein tetranectin exacerbates type 2 diabetes by inhibiting insulin secretion from β cells.

Applications

Unspecified application

Species

Unspecified reactive species

Fen Liu,Zixin Cai,Yan Yang,George Plasko,Piao Zhao,Xiangyue Wu,Cheng Tang,Dandan Li,Ting Li,Shanbiao Hu,Lei Song,Shaojie Yu,Ran Xu,Hairong Luo,Libin Fan,Ersong Wang,Zhen Xiao,Yujiao Ji,Rong Zeng,Rongxia Li,Juli Bai,Zhiguang Zhou,Feng Liu,Jingjing Zhang

Journal of molecular and cellular cardiology 145:30-42 PubMed32533974

2020

Global analysis of histone modifications and long-range chromatin interactions revealed the differential cistrome changes and novel transcriptional players in human dilated cardiomyopathy.

Applications

Unspecified application

Species

Unspecified reactive species

Chia-Feng Liu,Armen Abnousi,Peter Bazeley,Ying Ni,Michael Morley,Christine S Moravec,Ming Hu,W H Wilson Tang

Cancer cell international 20:106 PubMed32265595

2020

CLEC3B as a potential diagnostic and prognostic biomarker in lung cancer and association with the immune microenvironment.

Applications

Unspecified application

Species

Unspecified reactive species

Jiaxing Sun,Tian Xie,Muhammad Jamal,Zhenbo Tu,Xinran Li,Yingjie Wu,Jingyuan Li,Qiuping Zhang,Xiaoxing Huang

Developmental cell 52:509-524.e9 PubMed31902657

2020

Acquisition of a Unique Mesenchymal Precursor-like Blastema State Underlies Successful Adult Mammalian Digit Tip Regeneration.

Applications

Unspecified application

Species

Unspecified reactive species

Mekayla A Storer,Neemat Mahmud,Konstantina Karamboulas,Michael J Borrett,Scott A Yuzwa,Alexander Gont,Alaura Androschuk,Michael V Sefton,David R Kaplan,Freda D Miller

Cancer biology & therapy 20:967-978 PubMed30894065

2019

Cancer-associated fibroblasts promote colorectal cancer progression by secreting CLEC3B.

Applications

Unspecified application

Species

Unspecified reactive species

Hui-Fang Zhu,Xu-Hui Zhang,Chuan-Sha Gu,Yan Zhong,Ting Long,Yi-Dan Ma,Zhi-Yan Hu,Zu-Guo Li,Xiao-Yan Wang

Oncology reports 40:2023-2035 PubMed30066941

2018

CLEC3B is downregulated and inhibits proliferation in clear cell renal cell carcinoma.

Applications

Unspecified application

Species

Unspecified reactive species

Jian Liu,Zhe Liu,Qun Liu,Lina Li,Xiaona Fan,Tao Wen,Guangyu An
View all publications

Abcam Product Promise

我们致力于为您的研究提供高质量的试剂,为您科研的每一步提供支持。若我们的产品未能达到预期性能,我们向您提供 Abcam Product Promise 保障。
详情请参阅我们的条款与条件。

Please note: All products are 'FOR RESEARCH USE ONLY. NOT FOR USE IN DIAGNOSTIC OR THERAPEUTIC PROCEDURES'.

For licensing inquiries, please contact partnerships@abcam.com