JavaScript is disabled in your browser. Please enable JavaScript to view this website.
AB54348

Anti-Tenascin C抗体[SPM319],prediluted

Anti-Tenascin C antibody [SPM319], prediluted

Be the first to review this product! Submit a review

|

(1 Publication)

Mouse Monoclonal Tenascin C antibody. Suitable for IHC-P and reacts with Human samples. Cited in 1 publication. Immunogen corresponding to Tissue preparation containing TNC protein.

查看别名

HXB, TNC, Tenascin, TN, Cytotactin, GMEM, GP 150-225, Glioma-associated-extracellular matrix antigen, Hexabrachion, JI, Myotendinous antigen, Neuronectin, Tenascin-C, TN-C

1 Images
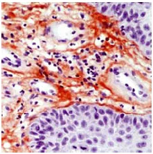
Immunohistochemistry (Formalin/PFA-fixed paraffin-embedded sections) - Anti-Tenascin C antibody [SPM319], prediluted (AB54348)
  • IHC-P

Unknown

Immunohistochemistry (Formalin/PFA-fixed paraffin-embedded sections) - Anti-Tenascin C antibody [SPM319], prediluted (AB54348)

ab54348 ready to use staining human squamous cell carcinoma; formalin fixed, paraffin embedded.

关键信息

宿主种属

Mouse

克隆

Monoclonal

克隆号

SPM319

亚型

IgG1

轻链类型

kappa

不含载体蛋白

No

反应种属

Human

应用

IHC-P

applications

免疫原

Tissue preparation containing TNC protein. The exact immunogen used to generate this antibody is proprietary information.

P24821

反应性数据

{ "title": "Reactivity Data", "filters": { "stats": ["", "Species", "Dilution Info", "Notes"], "tabs": { "all-applications": {"fullname" : "All Applications", "shortname": "All Applications"}, "IHCP" : {"fullname" : "Immunohistochemistry (Formalin/PFA-fixed paraffin-embedded sections)", "shortname":"IHC-P"} }, "product-promise": { "all": "all", "testedAndGuaranteed": "tested", "guaranteed": "expected", "predicted": "predicted", "notRecommended": "not-recommended" } }, "values": { "Human": { "IHCP-species-checked": "testedAndGuaranteed", "IHCP-species-dilution-info": "1/1", "IHCP-species-notes": "<p></p>" } } }

性能和储存信息

形式
Liquid
纯化工艺
Affinity purification Protein G
存储溶液
pH: 7.2 - 7.4 Preservative: 0.1% Sodium azide Constituents: BSA, PBS
运输条件
Blue Ice
推荐的短期储存条件
+4°C
推荐的长期储存条件
+4°C

补充信息

This supplementary information is collated from multiple sources and compiled automatically.

Tenascin C also known as hexabrachion is an extracellular matrix glycoprotein with a mass of approximately 220-300 kDa depending on post-translational modifications. It shows high expression in areas undergoing tissue remodeling such as embryonic tissues wounds and tumors. It consists of repeating structural elements including epidermal growth factor-like repeats and fibronectin type III domains which facilitate its function in the context of tissue dynamics.
Biological function summary

The large hexamer known as Tenascin C plays a significant role in modulating cell adhesion migration and proliferation especially during developmental processes and injury responses. It incorporates into the existing extracellular matrix as a loose network which provides elasticity and supports cellular activities. This feature allows Tenascin C to interact with other matrix molecules and cell surface receptors to regulate tissue morphogenesis.

Pathways

Tenascin C actively participates in the Wnt and TGF-beta signaling pathways important for controlling cellular behavior in development and regeneration. It associates with integrins and glycoproteins to influence cell responses to signaling events in these pathways. By modulating these interactions Tenascin C can impact processes such as epithelial-to-mesenchymal transition and angiogenesis affecting tissue architecture and function.

Tenascin C exhibits a strong connection to cancer progression and chronic inflammatory conditions such as rheumatoid arthritis. Its levels rise in tumors and inflamed tissues where it interacts with other matrix components and cytokines like interleukin-6 (IL-6). These interactions contribute to a microenvironment that promotes tumor growth and persistence of inflammation highlighting its role in the pathophysiology of these diseases.

产品实验方案

For this product, it's our understanding that no specific protocols are required. You can visit:

靶点信息

Extracellular matrix protein implicated in guidance of migrating neurons as well as axons during development, synaptic plasticity as well as neuronal regeneration. Promotes neurite outgrowth from cortical neurons grown on a monolayer of astrocytes. Ligand for integrins alpha-8/beta-1, alpha-9/beta-1, alpha-V/beta-3 and alpha-V/beta-6. In tumors, stimulates angiogenesis by elongation, migration and sprouting of endothelial cells (PubMed : 19884327).
See full target information TNC

文献 (1)

Recent publications for all applications. Explore the full list and refine your search

International journal of clinical and experimental pathology 3:139-46 PubMed20126581

2010

Biomarker profile in breast carcinomas presenting with bone metastasis.

Applications

Unspecified application

Species

Unspecified reactive species

Olga L Bohn,Irem Nasir,Adam Brufsky,George C Tseng,Rohit Bhargava,Kim MacManus,Mamatha Chivukula
View all publications

Abcam Product Promise

我们致力于为您的研究提供高质量的试剂,为您科研的每一步提供支持。若我们的产品未能达到预期性能,我们向您提供 Abcam Product Promise 保障。
详情请参阅我们的条款与条件。

Please note: All products are 'FOR RESEARCH USE ONLY. NOT FOR USE IN DIAGNOSTIC OR THERAPEUTIC PROCEDURES'.

For licensing inquiries, please contact partnerships@abcam.com