JavaScript is disabled in your browser. Please enable JavaScript to view this website.
AB271877

重组Anti-Tenascin C抗体[EPR4219] - BSA and Azide free

Anti-Tenascin C antibody [EPR4219] - BSA and Azide free

Be the first to review this product! Submit a review

|

(0 Publication)

Rabbit Recombinant Monoclonal Tenascin C antibody. Carrier free. Suitable for WB, IHC-P, IHC-Fr and reacts with Human, Mouse, Rat samples.

查看别名

HXB, TNC, Tenascin, TN, Cytotactin, GMEM, GP 150-225, Glioma-associated-extracellular matrix antigen, Hexabrachion, JI, Myotendinous antigen, Neuronectin, Tenascin-C, TN-C

7 Images
Immunohistochemistry (Formalin/PFA-fixed paraffin-embedded sections) - Anti-Tenascin C antibody [EPR4219] - BSA and Azide free (AB271877)
  • IHC-P

Lab

Immunohistochemistry (Formalin/PFA-fixed paraffin-embedded sections) - Anti-Tenascin C antibody [EPR4219] - BSA and Azide free (AB271877)

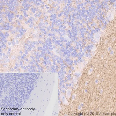
Immunohistochemistry (Formalin/PFA-fixed paraffin-embedded sections) analysis of rat cerebellar cortex labeling Tenascin C with ab108930 at 1/500 dilution (0.854 μg/ml). Heat mediated antigen retrieval was performed using Tris/EDTA Buffer, pH 9 (ab93684). A ready to use Goat Anti-Rabbit IgG H&L (HRP) secondary antibody was used. Hematoxylin counterstain. Staining on the molecular layer of rat cerebellar cortex (PMID : 1372043) is observed.

This data was developed using the same antibody clone in a different buffer formulation containing PBS, BSA, glycerol, and sodium azide (ab108930).

Immunohistochemistry (Formalin/PFA-fixed paraffin-embedded sections) - Anti-Tenascin C antibody [EPR4219] - BSA and Azide free (AB271877)
  • IHC-P

Lab

Immunohistochemistry (Formalin/PFA-fixed paraffin-embedded sections) - Anti-Tenascin C antibody [EPR4219] - BSA and Azide free (AB271877)

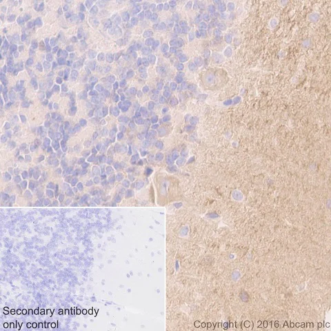
Immunohistochemistry (Formalin/PFA-fixed paraffin-embedded sections) analysis of mouse cerebellar cortex labeling Tenascin C with ab108930 at 1/500 dilution (0.854 μg/ml). Heat mediated antigen retrieval was performed using Tris/EDTA buffer, pH 9 (ab93684). Hematoxylin was used to counterstain. A ready to use Goat Anti-Rabbit IgG H&L (HRP) secondary antibody was used. Staining on the molecular layer of mouse cerebellar cortex (PMID : 1372043) is observed.

This data was developed using the same antibody clone in a different buffer formulation containing PBS, BSA, glycerol, and sodium azide (ab108930).

Immunohistochemistry (Frozen sections) - Anti-Tenascin C antibody [EPR4219] - BSA and Azide free (AB271877)
  • IHC-Fr

Lab

Immunohistochemistry (Frozen sections) - Anti-Tenascin C antibody [EPR4219] - BSA and Azide free (AB271877)

Immunohistochemistry (Frozen sections) analysis of rat cerebellar cortex labeling Tenascin C with ab108930 at 1/100 dilution (4.27μg/ml). Tissue was fixed with 4% PFA and permeabilized with 0.2% TritonX-100. Antigen retrieval was performed using a heated citrate solution (10mM citrate pH 6.0 + 0.05% Tween-20). ab150077, an AlexaFluor® 488 Goat anti-Rabbit secondary antibody was used at 1/1000 (2 μg/ml). DAPI nuclear counterstain.

Positive staining on the molecular layer of rat cerebellar cortex (PMID : 1372043) is observed.

This data was developed using the same antibody clone in a different buffer formulation containing PBS, BSA, glycerol, and sodium azide (ab108930).

Immunohistochemistry (Formalin/PFA-fixed paraffin-embedded sections) - Anti-Tenascin C antibody [EPR4219] - BSA and Azide free (AB271877)
  • IHC-P

Lab

Immunohistochemistry (Formalin/PFA-fixed paraffin-embedded sections) - Anti-Tenascin C antibody [EPR4219] - BSA and Azide free (AB271877)

Immunohistochemistry (Formalin/PFA-fixed paraffin-embedded sections) analysis of mouse E14 spinal cord tissue sections labeling Tenascin C with ab108930 at 1/500 dilution (0.854 μg/ml). Heat mediated antigen retrieval was performed using Tris/EDTA buffer, pH 9 (ab93684). A ready to use Goat Anti-Rabbit IgG H&L (HRP) secondary antibody was used. Hematoxylin counterstain.

Positive staining on mesenchymal condensations during chondrogenesis of mouse E14 embryo (PMID : 9822997; PMID : 19586317; PMID : 24778247) is observed.

This data was developed using the same antibody clone in a different buffer formulation containing PBS, BSA, glycerol, and sodium azide (ab108930).

Immunohistochemistry (Frozen sections) - Anti-Tenascin C antibody [EPR4219] - BSA and Azide free (AB271877)
  • IHC-Fr

Lab

Immunohistochemistry (Frozen sections) - Anti-Tenascin C antibody [EPR4219] - BSA and Azide free (AB271877)

Immunohistochemistry (Frozen sections) analysis of mouse E14 cerebellar cortex labeling Tenascin C with ab108930 at 1/100 dilution (4.27μg/ml). Tissue was fixed with 4% PFA and permeabilized with 0.2% TritonX-100. Antigen retrieval was performed using a heated citrate solution (10mM citrate pH 6.0 + 0.05% Tween-20). ab150077, an AlexaFluor® 488 Goat anti-Rabbit secondary antibody was used at 1/1000 (2 μg/ml). DAPI nuclear counterstain.

Positive staining on the molecular layer of mouse E14 cerebellar cortex (PMID : 1372043) is observed.

This data was developed using the same antibody clone in a different buffer formulation containing PBS, BSA, glycerol, and sodium azide (ab108930).

Immunohistochemistry (Frozen sections) - Anti-Tenascin C antibody [EPR4219] - BSA and Azide free (AB271877)
  • IHC-Fr

Lab

Immunohistochemistry (Frozen sections) - Anti-Tenascin C antibody [EPR4219] - BSA and Azide free (AB271877)

Immunohistochemistry (Frozen sections) analysis of mouse E14 spinal cord labeling Tenascin C with ab108930 at 1/100 dilution (4.27μg/ml). Tissue was fixed with 4% PFA and permeabilized with 0.2% TritonX-100. Antigen retrieval was performed using a heated citrate solution (10mM citrate PH 6.0 + 0.05% Tween-20). ab150077, an AlexaFluor® 488 Goat anti-Rabbit secondary antibody was used at 1/1000 (2 μg/ml). DAPI nuclear counterstain.

Positive staining on mesenchymal condensations during chondrogenesis of mouse E14 embryo (PMID : 9822997; PMID : 19586317; PMID : 24778247) is observed.

This data was developed using the same antibody clone in a different buffer formulation containing PBS, BSA, glycerol, and sodium azide (ab108930).

Western blot - Anti-Tenascin C antibody [EPR4219] - BSA and Azide free (AB271877)
  • WB

Lab

Western blot - Anti-Tenascin C antibody [EPR4219] - BSA and Azide free (AB271877)

This data was developed using the same antibody clone in a different buffer formulation (ab108930).

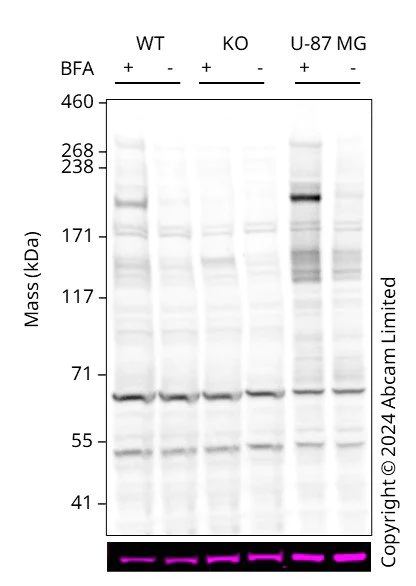
Western blot : Anti-TNC antibody [EPR4219] (ab108930) staining at 1/500 dilution, shown in black; Mouse anti-CANX [CANX/1543] (ab238078) loading control staining at 1/20000 dilution, shown in magenta. In Western blot, ab108930 was shown to bind specifically to TNC. A band was observed at 122 kDa in wild-type U-2 OS cell lysates with no signal observed at this size in TNC knockout cell line. To generate this image, wild-type and TNC knockout U-2 OS cell lysates were analysed. First, samples were run on an SDS-PAGE gel then transferred onto a nitrocellulose membrane. Membranes were blocked in 2 % BSA in TBS-0.1 % Tween® 20 (TBS-T) before incubation with primary antibodies overnight at 4 °C. Blots were washed four times in TBS-T, incubated with secondary antibodies for 1 h at room temperature, washed again four times before development with a high-sensitivity ECL substrate kit and imaged with 5 seconds exposure time. Secondary antibodies used were HRP conjugated Goat anti-Rabbit (H+L) and Goat anti-Mouse IgG H&L 680RD at 1/20000 dilution.

All lanes:

Western blot - Anti-Tenascin C antibody [EPR4219] (<a href='/products/primary-antibodies/tenascin-c-antibody-epr4219-ab108930'>ab108930</a>) at 1/500 dilution

Lane 1:

Wild-type U-2 OS BFA (5 ug/mL, 6 h) cell lysate at 40 µg

Lane 2:

Wild-type U-2 OS BFA (0 ug/mL, 6 h) cell lysate at 40 µg

Lane 3:

TNC knockout U-2 OS BFA (5 ug/mL, 6 h) cell lysate at 40 µg

Lane 4:

TNC knockout U-2 OS BFA (0 ug/mL, 6 h) cell lysate at 40 µg

Lane 5:

U-87 MG Treated BFA (5 ug/mL, 6 h) cell lysate at 10 µg

Lane 6:

U-87 MG Control BFA (0 ug/mL, 6 h) cell lysate at 10 µg

Secondary

All lanes:

HRP conjugated Goat anti-Rabbit (H+L) and Goat anti-Mouse IgG H&L 680RD at 1/20000 dilution

false

不同偶联物与剂型 (8)

  • Unconjugated

    Anti-Tenascin C antibody [EPR4219]

  • 665 Alexa Fluor® 647

    Alexa Fluor® 647 Anti-Tenascin C antibody [EPR4219]

  • 519 Alexa Fluor® 488

    Alexa Fluor® 488 Anti-Tenascin C antibody [EPR4219]

  • 617 Alexa Fluor® 594

    Alexa Fluor® 594 Anti-Tenascin C antibody [EPR4219]

  • 565 Alexa Fluor® 555

    Alexa Fluor® 555 Anti-Tenascin C antibody [EPR4219]

  • 660 APC

    APC Anti-Tenascin C antibody [EPR4219]

  • 578 PE

    PE Anti-Tenascin C antibody [EPR4219]

  • 775 Alexa Fluor® 750

    Alexa Fluor® 750 Anti-Tenascin C antibody [EPR4219]

关键信息

宿主种属

Rabbit

克隆

Monoclonal

克隆号

EPR4219

亚型

IgG

不含载体蛋白

Yes

反应种属

Mouse, Rat, Human

应用

IHC-Fr, WB, IHC-P

applications

免疫原

The exact immunogen used to generate this antibody is proprietary information.

反应性数据

{ "title": "Reactivity Data", "filters": { "stats": ["", "Species", "Dilution Info", "Notes"], "tabs": { "all-applications": {"fullname" : "All Applications", "shortname": "All Applications"}, "ICCIF" : {"fullname" : "Immunocytochemistry/ Immunofluorescence", "shortname":"ICC/IF"}, "IP" : {"fullname" : "Immunoprecipitation", "shortname":"IP"}, "WB" : {"fullname" : "Western blot", "shortname":"WB"}, "IHCP" : {"fullname" : "Immunohistochemistry (Formalin/PFA-fixed paraffin-embedded sections)", "shortname":"IHC-P"}, "IHCFr" : {"fullname" : "Immunohistochemistry (Frozen sections)", "shortname":"IHC-Fr"} }, "product-promise": { "all": "all", "testedAndGuaranteed": "tested", "guaranteed": "expected", "predicted": "predicted", "notRecommended": "not-recommended" } }, "values": { "Human": { "ICCIF-species-checked": "notRecommended", "ICCIF-species-dilution-info": "", "ICCIF-species-notes": "<p></p>", "IP-species-checked": "notRecommended", "IP-species-dilution-info": "", "IP-species-notes": "<p></p>", "WB-species-checked": "testedAndGuaranteed", "WB-species-dilution-info": "", "WB-species-notes": "<p></p>", "IHCP-species-checked": "guaranteed", "IHCP-species-dilution-info": "", "IHCP-species-notes": "", "IHCFr-species-checked": "guaranteed", "IHCFr-species-dilution-info": "", "IHCFr-species-notes": "" }, "Mouse": { "ICCIF-species-checked": "notRecommended", "ICCIF-species-dilution-info": "", "ICCIF-species-notes": "<p></p>", "IP-species-checked": "notRecommended", "IP-species-dilution-info": "", "IP-species-notes": "<p></p>", "WB-species-checked": "guaranteed", "WB-species-dilution-info": "", "WB-species-notes": "<p></p>", "IHCP-species-checked": "predicted", "IHCP-species-dilution-info": "", "IHCP-species-notes": "", "IHCFr-species-checked": "predicted", "IHCFr-species-dilution-info": "", "IHCFr-species-notes": "" }, "Rat": { "ICCIF-species-checked": "notRecommended", "ICCIF-species-dilution-info": "", "ICCIF-species-notes": "<p></p>", "IP-species-checked": "notRecommended", "IP-species-dilution-info": "", "IP-species-notes": "<p></p>", "WB-species-checked": "guaranteed", "WB-species-dilution-info": "", "WB-species-notes": "<p></p>", "IHCP-species-checked": "testedAndGuaranteed", "IHCP-species-dilution-info": "", "IHCP-species-notes": "<p></p>", "IHCFr-species-checked": "testedAndGuaranteed", "IHCFr-species-dilution-info": "", "IHCFr-species-notes": "<p></p>" } } }

产品详情

ab271877 is the carrier-free version of ab108930.

Patented technology
Our RabMAb® technology is a patented hybridoma-based technology for making rabbit monoclonal antibodies. For details on our patents, please refer to RabMAb® patents.

What are the advantages of a recombinant monoclonal antibody?
This product is a recombinant monoclonal antibody, which offers several advantages including:

  • - High batch-to-batch consistency and reproducibility
  • - Improved sensitivity and specificity
  • - Long-term security of supply
  • - Animal-free batch production

For more information, read more on recombinant antibodies.

Conjugation ready
Our carrier-free antibodies are typically supplied in a PBS-only formulation, purified and free of BSA, sodium azide and glycerol. This conjugation-ready format is designed for use with fluorochromes, metal isotopes, oligonucleotides, and enzymes, which makes them ideal for antibody labelling, functional and cell-based assays, flow-based assays (e.g. mass cytometry) and Multiplex Imaging applications.

Use our conjugation kits for antibody conjugates that are ready-to-use in as little as 20 minutes with 1 minute hands-on-time and 100% antibody recovery: available for fluorescent dyes, HRP, biotin and gold.

Compatibility
This product is compatible with the Maxpar® Antibody Labeling Kit from Fluidigm, without the need for antibody preparation. Maxpar® is a trademark of Fluidigm Canada Inc.

性能和储存信息

形式
Liquid
纯化工艺
Affinity purification Protein A
存储溶液
pH: 7.2 - 7.4 Constituents: PBS
运输条件
Blue Ice
推荐的短期储存条件
+4°C
推荐的长期储存条件
+4°C
储存信息
Do Not Freeze

补充信息

This supplementary information is collated from multiple sources and compiled automatically.

Tenascin C also known as hexabrachion is an extracellular matrix glycoprotein with a mass of approximately 220-300 kDa depending on post-translational modifications. It shows high expression in areas undergoing tissue remodeling such as embryonic tissues wounds and tumors. It consists of repeating structural elements including epidermal growth factor-like repeats and fibronectin type III domains which facilitate its function in the context of tissue dynamics.
Biological function summary

The large hexamer known as Tenascin C plays a significant role in modulating cell adhesion migration and proliferation especially during developmental processes and injury responses. It incorporates into the existing extracellular matrix as a loose network which provides elasticity and supports cellular activities. This feature allows Tenascin C to interact with other matrix molecules and cell surface receptors to regulate tissue morphogenesis.

Pathways

Tenascin C actively participates in the Wnt and TGF-beta signaling pathways important for controlling cellular behavior in development and regeneration. It associates with integrins and glycoproteins to influence cell responses to signaling events in these pathways. By modulating these interactions Tenascin C can impact processes such as epithelial-to-mesenchymal transition and angiogenesis affecting tissue architecture and function.

Tenascin C exhibits a strong connection to cancer progression and chronic inflammatory conditions such as rheumatoid arthritis. Its levels rise in tumors and inflamed tissues where it interacts with other matrix components and cytokines like interleukin-6 (IL-6). These interactions contribute to a microenvironment that promotes tumor growth and persistence of inflammation highlighting its role in the pathophysiology of these diseases.

产品实验方案

For this product, it's our understanding that no specific protocols are required. You can visit:

靶点信息

Extracellular matrix protein implicated in guidance of migrating neurons as well as axons during development, synaptic plasticity as well as neuronal regeneration. Promotes neurite outgrowth from cortical neurons grown on a monolayer of astrocytes. Ligand for integrins alpha-8/beta-1, alpha-9/beta-1, alpha-V/beta-3 and alpha-V/beta-6. In tumors, stimulates angiogenesis by elongation, migration and sprouting of endothelial cells (PubMed : 19884327).
See full target information TNC

Abcam Product Promise

我们致力于为您的研究提供高质量的试剂,为您科研的每一步提供支持。若我们的产品未能达到预期性能,我们向您提供 Abcam Product Promise 保障。
详情请参阅我们的条款与条件。

Please note: All products are 'FOR RESEARCH USE ONLY. NOT FOR USE IN DIAGNOSTIC OR THERAPEUTIC PROCEDURES'.

For licensing inquiries, please contact partnerships@abcam.com