JavaScript is disabled in your browser. Please enable JavaScript to view this website.
AB226916

Anti-Tenascin C抗体- C-terminal

Anti-Tenascin C antibody - C-terminal

Be the first to review this product! Submit a review

|

(1 Publication)

Rabbit Polyclonal Tenascin C antibody. C-terminal. Suitable for IHC-P and reacts with Human samples. Cited in 1 publication. Immunogen corresponding to Recombinant Fragment Protein within Human TNC.

查看别名

HXB, TNC, Tenascin, TN, Cytotactin, GMEM, GP 150-225, Glioma-associated-extracellular matrix antigen, Hexabrachion, JI, Myotendinous antigen, Neuronectin, Tenascin-C, TN-C

1 Images
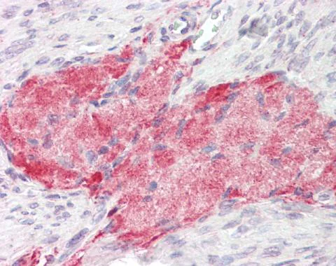
Immunohistochemistry (Formalin/PFA-fixed paraffin-embedded sections) - Anti-Tenascin C antibody - C-terminal (AB226916)
  • IHC-P

Supplier Data

Immunohistochemistry (Formalin/PFA-fixed paraffin-embedded sections) - Anti-Tenascin C antibody - C-terminal (AB226916)

Paraffin-embedded human uterus vessel tissue stained for Tenascin C using ab226916 at 1/100 dilution in immunohistochemical analysis.

关键信息

宿主种属

Rabbit

克隆

Polyclonal

亚型

IgG

不含载体蛋白

No

反应种属

Human

应用

IHC-P

applications

免疫原

Recombinant Fragment Protein within Human TNC. The exact immunogen used to generate this antibody is proprietary information.

P24821

反应性数据

{ "title": "Reactivity Data", "filters": { "stats": ["", "Species", "Dilution Info", "Notes"], "tabs": { "all-applications": {"fullname" : "All Applications", "shortname": "All Applications"}, "IHCP" : {"fullname" : "Immunohistochemistry (Formalin/PFA-fixed paraffin-embedded sections)", "shortname":"IHC-P"} }, "product-promise": { "all": "all", "testedAndGuaranteed": "tested", "guaranteed": "expected", "predicted": "predicted", "notRecommended": "not-recommended" } }, "values": { "Human": { "IHCP-species-checked": "testedAndGuaranteed", "IHCP-species-dilution-info": "1/100 - 1/1000", "IHCP-species-notes": "<p></p>" }, "Mouse": { "IHCP-species-checked": "predicted", "IHCP-species-dilution-info": "", "IHCP-species-notes": "" }, "Rat": { "IHCP-species-checked": "predicted", "IHCP-species-dilution-info": "", "IHCP-species-notes": "" }, "Cow": { "IHCP-species-checked": "predicted", "IHCP-species-dilution-info": "", "IHCP-species-notes": "" }, "Dog": { "IHCP-species-checked": "predicted", "IHCP-species-dilution-info": "", "IHCP-species-notes": "" }, "Pig": { "IHCP-species-checked": "predicted", "IHCP-species-dilution-info": "", "IHCP-species-notes": "" } } }

性能和储存信息

形式
Liquid
纯化工艺
Affinity purification Immunogen
存储溶液
pH: 7 Preservative: 0.01% Thimerosal (merthiolate) Constituents: PBS, 20% Glycerol (glycerin, glycerine)
运输条件
Blue Ice
推荐的短期储存时间
1-2 weeks
推荐的短期储存条件
+4°C
推荐的长期储存条件
-20°C
分装信息
Upon delivery aliquot
储存信息
Avoid freeze / thaw cycle

补充信息

This supplementary information is collated from multiple sources and compiled automatically.

Tenascin C also known as hexabrachion is an extracellular matrix glycoprotein with a mass of approximately 220-300 kDa depending on post-translational modifications. It shows high expression in areas undergoing tissue remodeling such as embryonic tissues wounds and tumors. It consists of repeating structural elements including epidermal growth factor-like repeats and fibronectin type III domains which facilitate its function in the context of tissue dynamics.
Biological function summary

The large hexamer known as Tenascin C plays a significant role in modulating cell adhesion migration and proliferation especially during developmental processes and injury responses. It incorporates into the existing extracellular matrix as a loose network which provides elasticity and supports cellular activities. This feature allows Tenascin C to interact with other matrix molecules and cell surface receptors to regulate tissue morphogenesis.

Pathways

Tenascin C actively participates in the Wnt and TGF-beta signaling pathways important for controlling cellular behavior in development and regeneration. It associates with integrins and glycoproteins to influence cell responses to signaling events in these pathways. By modulating these interactions Tenascin C can impact processes such as epithelial-to-mesenchymal transition and angiogenesis affecting tissue architecture and function.

Tenascin C exhibits a strong connection to cancer progression and chronic inflammatory conditions such as rheumatoid arthritis. Its levels rise in tumors and inflamed tissues where it interacts with other matrix components and cytokines like interleukin-6 (IL-6). These interactions contribute to a microenvironment that promotes tumor growth and persistence of inflammation highlighting its role in the pathophysiology of these diseases.

产品实验方案

For this product, it's our understanding that no specific protocols are required. You can visit:

靶点信息

Extracellular matrix protein implicated in guidance of migrating neurons as well as axons during development, synaptic plasticity as well as neuronal regeneration. Promotes neurite outgrowth from cortical neurons grown on a monolayer of astrocytes. Ligand for integrins alpha-8/beta-1, alpha-9/beta-1, alpha-V/beta-3 and alpha-V/beta-6. In tumors, stimulates angiogenesis by elongation, migration and sprouting of endothelial cells (PubMed : 19884327).
See full target information TNC

文献 (1)

Recent publications for all applications. Explore the full list and refine your search

Cells 13: PubMed39272974

2024

The Expression of Toll-like Receptors in Cartilage Endplate Cells: A Role of Toll-like Receptor 2 in Pro-Inflammatory and Pro-Catabolic Gene Expression.

Applications

Unspecified application

Species

Unspecified reactive species

Tamara Mengis,Laura Bernhard,Andrea Nüesch,Irina Heggli,Nick Herger,Jan Devan,Roy Marcus,Christoph J Laux,Florian Brunner,Mazda Farshad,Oliver Distler,Christine L Le Maitre,Stefan Dudli
View all publications

Abcam Product Promise

我们致力于为您的研究提供高质量的试剂,为您科研的每一步提供支持。若我们的产品未能达到预期性能,我们向您提供 Abcam Product Promise 保障。
详情请参阅我们的条款与条件。

Please note: All products are 'FOR RESEARCH USE ONLY. NOT FOR USE IN DIAGNOSTIC OR THERAPEUTIC PROCEDURES'.

For licensing inquiries, please contact partnerships@abcam.com