JavaScript is disabled in your browser. Please enable JavaScript to view this website.
AB109535

Anti-TDP43 抗体 [EPR5810]

Anti-TDP43 antibody [EPR5810]

  • BOND RX™ Validated
  • KO Validated
  • RabMAb
  • Recombinant
  • 了解详情

5

(1 Review)

|

(24 Publications)

Anti-TDP43 antibody [EPR5810] (ab109535) is a rabbit monoclonal antibody detecting TDP43 in Western Blot, Flow Cytometry (Intra), Flow Cytometry, IHC-P, IHC-Fr, ICC/IF. Suitable for Human, Mouse, Rat.

- KO validated for confirmed specificity
- Biophysical QC for unrivalled batch-batch consistency
- Over 10 publications

查看别名

TDP43, TARDBP, TAR DNA-binding protein 43, TDP-43

14 Images
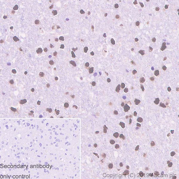
Immunohistochemistry (Formalin/PFA-fixed paraffin-embedded sections) - Anti-TDP43 antibody [EPR5810] (AB109535)
  • IHC-P

Lab

Immunohistochemistry (Formalin/PFA-fixed paraffin-embedded sections) - Anti-TDP43 antibody [EPR5810] (AB109535)

Immunohistochemical analysis of paraffin-embedded human Alzheimer's brain tissue* labelling TDP43 with ab109535 at 0.1ug/ml followed by a ready to use LeicaDS9800 (Bond™ Polymer Refine Detection) was used.

Positive staining in human Alzheimer's brain.

The section was incubated with ab109535 for 30 mins at room temperature. The immunostaining was performed on a Leica Biosystems BOND® RX instrument Counterstained with Hematoxylin.

Secondary antibody only control : Secondary antibody is a ready to use LeicaDS9800 (Bond™ Polymer Refine Detection) was used. Heat mediated antigen retrieval with sodium citrate buffer (pH 6.0 epitope retrieval solution1) for 20 mins.

*Tissue obtained from the Human Research Tissue Bank, supported by the NIHR Cambridge Biomedical Research Centre.

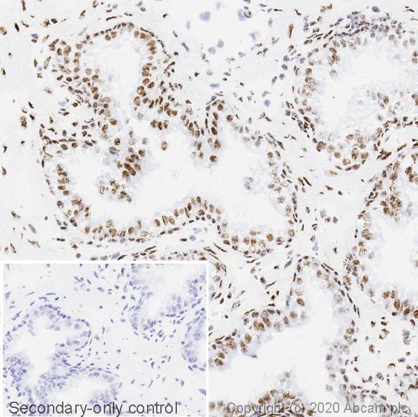
Immunohistochemistry (Frozen sections) - Anti-TDP43 antibody [EPR5810] (AB109535)
  • IHC-Fr

Lab

Immunohistochemistry (Frozen sections) - Anti-TDP43 antibody [EPR5810] (AB109535)

IHC image of TDP43 staining in a section of frozen human prostate carcinoma performed on a Leica BONDTM system using the standard protocol. The section was fixed in 10% paraformaldehyde (10 min) prior to staining. The section was incubated with ab109535, 1/100 dilution, for 15 mins at room temperature and detected using an HRP conjugated compact polymer system. DAB was used as the chromogen. The section was then counterstained with haematoxylin and mounted with DPX. The inset secondary-only control image is taken from an identical assay without primary antibody.

For other IHC staining systems (automated and non-automated) customers should optimize variable parameters such as antigen retrieval conditions, primary antibody concentration and antibody incubation times.

Immunocytochemistry/ Immunofluorescence - Anti-TDP43 antibody [EPR5810] (AB109535)
  • ICC/IF

Lab

Immunocytochemistry/ Immunofluorescence - Anti-TDP43 antibody [EPR5810] (AB109535)

Unpurified ab109535 staining TDP43 in wild-type HAP1 cells (top panel) and TDP43 knockout HAP1 cells (bottom panel). The cells were fixed with 100% methanol (5min), permeabilized with 0.1% Triton X-100 for 5 minutes and then blocked with 1% BSA/10% normal goat serum/0.3M glycine in 0.1% PBS-Tween for 1h. The cells were then incubated with ab109535 at 1μg/ml concentration and ab195889 at 1/250 dilution (shown in pseudo colour red) overnight at +4°C, followed by a further incubation at room temperature for 1h with a goat secondary antibody to Rabbit IgG (Alexa Fluor® 488) (ab150081) at 2 μg/ml (shown in green). Nuclear DNA was labelled in blue with DAPI.

This antibody is not suitable to detect TDP43 using PFA fixation in ICC.

Immunocytochemistry/ Immunofluorescence - Anti-TDP43 antibody [EPR5810] (AB109535)
  • ICC/IF

Unknown

Immunocytochemistry/ Immunofluorescence - Anti-TDP43 antibody [EPR5810] (AB109535)

ab193842 staining TDP43 in Hek293 cells. The cells were fixed with 100% methanol (5 min), permeabilized with 0.1% Triton X-100 for 5 minutes and then blocked with 1% BSA/10% normal goat serum/0.3M glycine in 0.1%PBS-Tween for 1h. The cells were then incubated overnight at +4°C with ab193842 at a 1/250 dilution (shown in green) and ab195889, Mouse monoclonal to alpha Tubulin (Alexa Fluor® 594), at a 1/250 dilution (shown in red). Nuclear DNA was labelled with DAPI (shown in blue).

Image was taken with a confocal microscope (Leica-Microsystems, TCS SP8).

This antibody is not suitable to detect TDP43 using PFA fixation in ICC.

Immunocytochemistry/ Immunofluorescence - Anti-TDP43 antibody [EPR5810] (AB109535)
  • ICC/IF

Unknown

Immunocytochemistry/ Immunofluorescence - Anti-TDP43 antibody [EPR5810] (AB109535)

Immunocytochemistry/ Immunofluorescence analysis of HeLa (Human cervix adenocarcinoma epithelial cell) cells labeling TDP43 with purified ab109535 at 1/50 dilution (6.2 μg/ml). Cells were fixed in 100% Methanol and permeabilized with None. Cells were counterstained with ab195889 Anti-alpha Tubulin antibody [DM1A] - Microtubule Marker (Alexa Fluor® 594) 1/200 (2.5 μg/ml). Goat anti rabbit IgG (Alexa Fluor® 488, ab150077) was used as the secondary antibody at 1/1000 (2 μg/ml) dilution. DAPI (blue) was used as nuclear counterstain. PBS instead of the primary antibody was used as the secondary antibody only control.

This antibody is not suitable to detect TDP43 using PFA fixation in ICC.

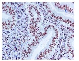
Immunohistochemistry (Formalin/PFA-fixed paraffin-embedded sections) - Anti-TDP43 antibody [EPR5810] (AB109535)
  • IHC-P

Unknown

Immunohistochemistry (Formalin/PFA-fixed paraffin-embedded sections) - Anti-TDP43 antibody [EPR5810] (AB109535)

Immunohistochemistry (Formalin/PFA-fixed paraffin-embedded sections) analysis of human glioma tissue sections labeling TDP43 with purified ab109535 at 1/100 dilution (0.3 μg/ml). Heat mediated antigen retrieval using Bond™ Epitope Retrieval Solution 2 (pH 9.0). Rabbit specific IHC polymer detection kit HRP/DAB (ab209101) was used as the secondary antibody. Negative control : PBS instead of the primary antibody. Hematoxylin was used as a counterstain.

Immunohistochemistry (Formalin/PFA-fixed paraffin-embedded sections) - Anti-TDP43 antibody [EPR5810] (AB109535)
  • IHC-P

Unknown

Immunohistochemistry (Formalin/PFA-fixed paraffin-embedded sections) - Anti-TDP43 antibody [EPR5810] (AB109535)

Unpurified ab109535 at 1/100 dilution staining TARDBP in paraffin-embedded Human papillary carcinoma tissue by Immunohistochemistry.

Perform heat mediated antigen retrieval with citrate buffer pH 6 before commencing with IHC staining protocol.

Flow Cytometry (Intracellular) - Anti-TDP43 antibody [EPR5810] (AB109535)
  • Flow Cyt (Intra)

Unknown

Flow Cytometry (Intracellular) - Anti-TDP43 antibody [EPR5810] (AB109535)

Intracellular Flow Cytometry analysis of K562 (human chronic myelogenous leukemia) cells labeling TDP43 with purified ab109535 at 1/20 dilution (10ug/ml) (red). Cells were fixed with 4% paraformaldehyde and permeabilised with 90% methanol. A Goat anti rabbit IgG (Alexa Fluorr® 488) (1/2000 dilution) was used as the secondary antibody. Rabbit monoclonal IgG (Black) was used as the isotype control, cells without incubation with primary antibody and secondary antibody (Blue) were used as the unlabeled control.

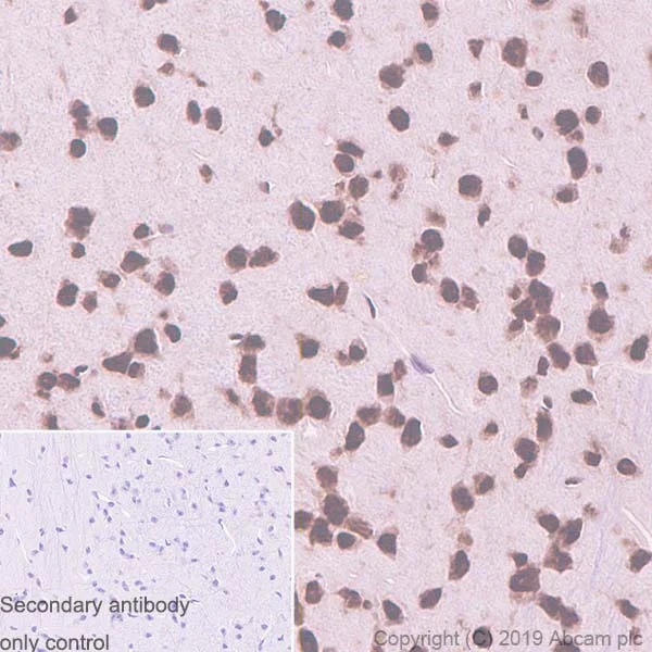
Immunohistochemistry (Formalin/PFA-fixed paraffin-embedded sections) - Anti-TDP43 antibody [EPR5810] (AB109535)
  • IHC-P

Unknown

Immunohistochemistry (Formalin/PFA-fixed paraffin-embedded sections) - Anti-TDP43 antibody [EPR5810] (AB109535)

Immunohistochemistry (Formalin/PFA-fixed paraffin-embedded sections) analysis of mouse cerebrum tissue sections labeling TDP43 with purified ab109535 at 1/100 dilution (0.3 μg/ml). Heat mediated antigen retrieval using Bond™ Epitope Retrieval Solution 2 (pH 9.0). Rabbit specific IHC polymer detection kit HRP/DAB (ab209101) was used as the secondary antibody. Negative control : PBS instead of the primary antibody. Hematoxylin was used as a counterstain.

Immunohistochemistry (Frozen sections) - Anti-TDP43 antibody [EPR5810] (AB109535)
  • IHC-Fr

Unknown

Immunohistochemistry (Frozen sections) - Anti-TDP43 antibody [EPR5810] (AB109535)

Immunohistochemistry (Frozen sections) analysis of mouse cerebrum tissue sections labeling TDP43 with Purified unpurified ab109535 at 1/50 (0.5 μg/ml).Heat mediated antigen retrieval using sodium citrate buffer (10mM citrate pH 6.0 + 0.05% Tween-20). Goat anti rabbit IgG (Alexa Fluor® 488, ab150077) was used as the secondary antibody. Negative control : PBS instead of the primary antibody. DAPI was used as a counterstain.

Western blot - Anti-TDP43 antibody [EPR5810] (AB109535)
  • WB

Lab

Western blot - Anti-TDP43 antibody [EPR5810] (AB109535)

ab109535 was shown to react with TARDBP in wild-type HAP1 cells in Western blot with loss of signal observed in a TARDBP knockout cell line. Wild-type HAP1 and TARDBP knockout cell lysates were subjected to SDS-PAGE. Membranes were blocked in 5% milk in TBST for 1 hr before incubation with ab109535 overnight at 4 °C at a 1/2000 dilution. Blots were incubated with secondary antibodies at 0.2 µg/mL before imaging.

These data were provided by YCharOS Inc., an open science company with the mission of characterizing commercially available antibody reagents for all human proteins. Abcam and YCharOS are working together to help address the reproducibility crisis by enabling the life science community to better evaluate commercially available antibodies.

All lanes:

Western blot - Anti-TDP43 antibody [EPR5810] (ab109535) at 1/2000 dilution

Lane 1:

Wild-type HAP1 lysate at 50 µg

Lane 2:

TARDBP knock-out HAP1 lysate at 50 µg

false

Western blot - Anti-TDP43 antibody [EPR5810] (AB109535)
  • WB

Lab

Western blot - Anti-TDP43 antibody [EPR5810] (AB109535)

Lane 1 : Wild-type HAP1 cell lysate (40 μg)
Lane 2 : TDP43 knockout HAP1 cell lysate (40 μg)
Lane 3 : HeLa cell lysate (40 μg)
Lane 4 : Jurkat cell lysate (40 μg)

Lanes 1 - 4 : Merged signal (red and green). Green - ab109535 observed at 48 kDa. Red - loading control, ab8245, observed at 37 kDa.

Unpurified ab109535 was shown to specifically react with TDP43 when TDP43 knockout samples were used. Wild-type and TDP43 knockout samples were subjected to SDS-PAGE. ab109535 and ab8245 (loading control to GAPDH) were diluted at 1/1000 and 1/10,000 dilution respectively and incubated overnight at 4C. Blots were developed with IRDye® 800CW Goat anti-Rabbit IgG (H + L) and IRDye® 680 Goat anti-Mouse IgG (H + L) secondary antibodies at 1/10,000 dilution for 1 hour at room temperature before imaging.

All lanes:

Western blot - Anti-TDP43 antibody [EPR5810] (ab109535)

Predicted band size: 44 kDa

false

Western blot - Anti-TDP43 antibody [EPR5810] (AB109535)
  • WB

Unknown

Western blot - Anti-TDP43 antibody [EPR5810] (AB109535)

All lanes:

Western blot - Anti-TDP43 antibody [EPR5810] (ab109535) at 1/1000 dilution

Lane 1:

HeLa cell lysate at 10 µg

Lane 2:

293T cell lysate at 10 µg

Lane 3:

K562 cell lysate at 10 µg

Lane 4:

A431 cell lysate at 10 µg

Secondary

All lanes:

HRP-labelled goat anti-rabbit at 1/2000 dilution

Predicted band size: 44 kDa,51 kDa

false

Western blot - Anti-TDP43 antibody [EPR5810] (AB109535)
  • WB

Lab

Western blot - Anti-TDP43 antibody [EPR5810] (AB109535)

All lanes:

Western blot - Anti-TDP43 antibody [EPR5810] (ab109535) at 1/5000 dilution

Lane 1:

HeLa (Human cervix adenocarcinoma epithelial cell) whole cell lysates at 15 µg

Lane 2:

Mouse brain lysates at 15 µg

Lane 3:

Rat brain lysates at 15 µg

Secondary

All lanes:

Western blot - Goat Anti-Rabbit IgG H&L (HRP) (<a href='/products/secondary-antibodies/goat-rabbit-igg-h-l-hrp-ab97051'>ab97051</a>) at 1/20000 dilution

Predicted band size: 44 kDa

Observed band size: 45 kDa

false

不同偶联物与剂型 (11)

  • 519 Alexa Fluor® 488

    Alexa Fluor® 488 Anti-TDP43 antibody [EPR5810]

  • Carrier free

    Anti-TDP43 antibody [EPR5810] - BSA and Azide free

  • 578 PE

    PE Anti-TDP43 antibody [EPR5810]

  • 660 APC

    APC Anti-TDP43 antibody [EPR5810]

  • 665 Alexa Fluor® 647

    Alexa Fluor® 647 Anti-TDP43 antibody [EPR5810]

  • 617 Alexa Fluor® 594

    Alexa Fluor® 594 Anti-TDP43 antibody [EPR5810]

  • 603 Alexa Fluor® 568

    Alexa Fluor® 568 Anti-TDP43 antibody [EPR5810]

  • HRP

    HRP Anti-TDP43 antibody [EPR5810]

  • 565 Alexa Fluor® 555

    Alexa Fluor® 555 Anti-TDP43 antibody [EPR5810]

  • Biotin

    Biotin Anti-TDP43 antibody [EPR5810]

  • 775 Alexa Fluor® 750

    Alexa Fluor® 750 Anti-TDP43 antibody [EPR5810]

关键信息

宿主种属

Rabbit

克隆

Monoclonal

克隆号

EPR5810

亚型

IgG

不含载体蛋白

No

反应种属

Mouse, Rat, Human

应用

IHC-Fr, WB, ICC/IF, IHC-P, Flow Cyt (Intra)

applications

免疫原

The exact immunogen used to generate this antibody is proprietary information.

反应性数据

{ "title": "Reactivity Data", "filters": { "stats": ["", "Species", "Dilution Info", "Notes"], "tabs": { "all-applications": {"fullname" : "All Applications", "shortname": "All Applications"}, "IHCP" : {"fullname" : "Immunohistochemistry (Formalin/PFA-fixed paraffin-embedded sections)", "shortname":"IHC-P"}, "IP" : {"fullname" : "Immunoprecipitation", "shortname":"IP"}, "WB" : {"fullname" : "Western blot", "shortname":"WB"}, "IHCFr" : {"fullname" : "Immunohistochemistry (Frozen sections)", "shortname":"IHC-Fr"}, "FlowCytIntra" : {"fullname" : "Flow Cytometry (Intracellular)", "shortname":"Flow Cyt (Intra)"}, "ICCIF" : {"fullname" : "Immunocytochemistry/ Immunofluorescence", "shortname":"ICC/IF"} }, "product-promise": { "all": "all", "testedAndGuaranteed": "tested", "guaranteed": "expected", "predicted": "predicted", "notRecommended": "not-recommended" } }, "values": { "Human": { "IHCP-species-checked": "testedAndGuaranteed", "IHCP-species-dilution-info": "1/100 - 1/250", "IHCP-species-notes": "<p></p> Perform heat-mediated antigen retrieval with citrate buffer pH 6 before commencing with IHC staining protocol.", "IP-species-checked": "notRecommended", "IP-species-dilution-info": "", "IP-species-notes": "<p></p>", "WB-species-checked": "testedAndGuaranteed", "WB-species-dilution-info": "1/1000 - 1/10000", "WB-species-notes": "<p></p>", "IHCFr-species-checked": "testedAndGuaranteed", "IHCFr-species-dilution-info": "1/50", "IHCFr-species-notes": "<p>Heat mediated antigen retrieval using sodium citrate buffer (10mM citrate pH 6.0 + 0.05% Tween-20)</p>", "FlowCytIntra-species-checked": "testedAndGuaranteed", "FlowCytIntra-species-dilution-info": "", "FlowCytIntra-species-notes": "<p></p>", "ICCIF-species-checked": "testedAndGuaranteed", "ICCIF-species-dilution-info": "1 µg/mL", "ICCIF-species-notes": "<p>This antibody is suitable to detect TDP43 using MeOH fixation in ICC.</p><p>We have compared methanol and paraformaldehyde (PFA) fixation methods with this product and recommend to use methanol only.</p>" }, "Mouse": { "IHCP-species-checked": "testedAndGuaranteed", "IHCP-species-dilution-info": "1/100 - 1/250", "IHCP-species-notes": "<p></p> Perform heat-mediated antigen retrieval with citrate buffer pH 6 before commencing with IHC staining protocol.", "IP-species-checked": "notRecommended", "IP-species-dilution-info": "", "IP-species-notes": "<p></p>", "WB-species-checked": "guaranteed", "WB-species-dilution-info": "", "WB-species-notes": "", "IHCFr-species-checked": "testedAndGuaranteed", "IHCFr-species-dilution-info": "1/50", "IHCFr-species-notes": "<p>Heat mediated antigen retrieval using sodium citrate buffer (10mM citrate pH 6.0 + 0.05% Tween-20)</p>", "FlowCytIntra-species-checked": "guaranteed", "FlowCytIntra-species-dilution-info": "", "FlowCytIntra-species-notes": "", "ICCIF-species-checked": "guaranteed", "ICCIF-species-dilution-info": "", "ICCIF-species-notes": "" }, "Rat": { "IHCP-species-checked": "testedAndGuaranteed", "IHCP-species-dilution-info": "1/100 - 1/250", "IHCP-species-notes": "<p></p> Perform heat-mediated antigen retrieval with citrate buffer pH 6 before commencing with IHC staining protocol.", "IP-species-checked": "notRecommended", "IP-species-dilution-info": "", "IP-species-notes": "<p></p>", "WB-species-checked": "guaranteed", "WB-species-dilution-info": "", "WB-species-notes": "", "IHCFr-species-checked": "guaranteed", "IHCFr-species-dilution-info": "", "IHCFr-species-notes": "", "FlowCytIntra-species-checked": "guaranteed", "FlowCytIntra-species-dilution-info": "", "FlowCytIntra-species-notes": "", "ICCIF-species-checked": "guaranteed", "ICCIF-species-dilution-info": "", "ICCIF-species-notes": "" } } }

产品详情

What is this antibody validated in?
Anti-TDP43 antibody [EPR5810] (ab109535) is a rabbit recombinant monoclonal antibody and is validated for use in Western Blot (WB), Flow Cytometry (Intra), Flow Cytometry (Flow Cyt), Immunohistochemistry (IHC-P), Immunohistochemistry (IHC-Fr), Immunocytochemistry/immunofluorescence (ICC/IF) in Human, Mouse, Rat samples.

What is the molecular weight of TDP43?
Anti-TDP43 [EPR5810] (ab109535) specifically detects a band for TDP43 (UniProt: Q13148) at a molecular weight of 45kDa.

Trusted by the scientific community
Anti-TDP43 [EPR5810] (ab109535) was first used in a scientific publication in 2011 and has been cited over 10 times in peer-reviewed journals.

Trial sizes available!
Test your antibody or perform pre-screening before committing to a larger quantity. Sold in 10µl. Discover our selection of trial-size antibodies.

Specificity confirmed
The specificity of Anti-TDP43 antibody [EPR5810] (ab109535) has been confirmed by Western blot testing in TARDBP Knockout HAP1 cells.

Other related products
We have a range of other formats of antibody clone [EPR5810] also available for your convenience: ab109535, Carrier free - ab185133, Alexa Fluor® 488 - ab193842, PE - ab305692, APC - ab305693, HRP - ab305694, Alkaline Phosphatase - ab308968, Alexa Fluor® 647 - ab310283, Alexa Fluor® 594 - ab310740, Alexa Fluor® 555 - ab312269, Alexa Fluor® 568 - ab312760, Biotin - ab314265, Alexa Fluor® 750 - ab320961

Patented technology
Our RabMAb® technology is a patented hybridoma-based technology for making rabbit monoclonal antibodies. For details on our patents, please refer to RabMAb® patents.

What are the advantages of a recombinant monoclonal antibody?
This product is a recombinant monoclonal antibody, which offers several advantages including:

  • - High batch-to-batch consistency and reproducibility
  • - Improved sensitivity and specificity
  • - Long-term security of supply
  • - Animal-free batch production

For more information, read more on recombinant antibodies.

性能和储存信息

形式
Liquid
纯化工艺
Affinity purification Protein A
存储溶液
pH: 7.2 - 7.4 Preservative: 0.01% Sodium azide Constituents: PBS, 40% Glycerol (glycerin, glycerine), 0.05% BSA
运输条件
Blue Ice
推荐的短期储存条件
+4°C
推荐的长期储存条件
-20°C
分装信息
Upon delivery aliquot
储存信息
Avoid freeze / thaw cycle

补充信息

This supplementary information is collated from multiple sources and compiled automatically.

TDP43 also known as TAR DNA-binding protein 43 is a protein of approximately 43 kDa. It plays a role in various cellular processes primarily by binding to DNA and RNA. Researchers find TDP43 expressed mainly in neuronal tissues but it is present in other cell types as well. Known for its involvement in regulating gene expression and mRNA stability TDP43 interacts with other proteins within the nuclear compartment. The full function and activities of TDP43 are still under exploration but its importance in normal cellular functions is well recognized.
Biological function summary

TDP43 acts as a regulator of RNA splicing and transcription by forming ribonucleoprotein complexes. The protein can bind to specific sequences in RNA helping in the proper processing and transport of mRNA. Furthermore TDP43 has a role in stress granule formation a cell response to stress. Researchers have identified that the protein undergoes various post-translational modifications which could influence its behavior and function within the cellular environment.

Pathways

Several important pathways include TDP43 due to its functions in RNA metabolism. This protein contributes to the spliceosomal cycle and other pathways involved in mRNA processing. TDP43 interacts with proteins such as FUS and hnRNP which are also involved in RNA splicing and are essential for maintaining mRNA integrity. These relations make TDP43 an important player in regulating gene expression and protein synthesis.

The association of TDP43 with neurodegenerative diseases is significant. Its abnormal aggregation is linked to amyotrophic lateral sclerosis (ALS) and frontotemporal lobar degeneration (FTLD). In these diseases TDP43 forms insoluble inclusions within neurons and glial cells. This mislocalization and aggregation can disrupt normal cellular function leading to cell death. In the context of ALS TDP43 often associates with proteins like SOD1 which are implicated in disease pathogenesis highlighting its role in neurodegeneration.

产品实验方案

For this product, it's our understanding that no specific protocols are required. You can visit:

靶点信息

RNA-binding protein that is involved in various steps of RNA biogenesis and processing (PubMed : 23519609). Preferentially binds, via its two RNA recognition motifs RRM1 and RRM2, to GU-repeats on RNA molecules predominantly localized within long introns and in the 3'UTR of mRNAs (PubMed : 23519609, PubMed : 24240615, PubMed : 24464995). In turn, regulates the splicing of many non-coding and protein-coding RNAs including proteins involved in neuronal survival, as well as mRNAs that encode proteins relevant for neurodegenerative diseases (PubMed : 21358640, PubMed : 29438978). Plays a role in maintaining mitochondrial homeostasis by regulating the processing of mitochondrial transcripts (PubMed : 28794432). Regulates also mRNA stability by recruiting CNOT7/CAF1 deadenylase on mRNA 3'UTR leading to poly(A) tail deadenylation and thus shortening (PubMed : 30520513). In response to oxidative insult, associates with stalled ribosomes localized to stress granules (SGs) and contributes to cell survival (PubMed : 19765185, PubMed : 23398327). Participates also in the normal skeletal muscle formation and regeneration, forming cytoplasmic myo-granules and binding mRNAs that encode sarcomeric proteins (PubMed : 30464263). Plays a role in the maintenance of the circadian clock periodicity via stabilization of the CRY1 and CRY2 proteins in a FBXL3-dependent manner (PubMed : 27123980). Negatively regulates the expression of CDK6 (PubMed : 19760257). Regulates the expression of HDAC6, ATG7 and VCP in a PPIA/CYPA-dependent manner (PubMed : 25678563).
See full target information TARDBP

文献 (24)

Recent publications for all applications. Explore the full list and refine your search

Science advances 11:eads0505 PubMed40238886

2025

Amyotrophic lateral sclerosis and frontotemporal dementia mutation reduces endothelial TDP-43 and causes blood-brain barrier defects.

Applications

Unspecified application

Species

Unspecified reactive species

Ashok Cheemala,Amy L Kimble,Emily N Burrage,Stephen B Helming,Jordan D Tyburski,Nathan K Leclair,Omar M Omar,Aamir R Zuberi,Melissa Murphy,Evan R Jellison,Bo Reese,Xiangyou Hu,Cathleen M Lutz,Riqiang Yan,Patrick A Murphy

International journal of molecular sciences 25: PubMed39769213

2025

Chronic Oxidative Stress and Stress Granule Formation in UBQLN2 ALS Neurons: Insights into Neuronal Degeneration and Potential Therapeutic Targets.

Applications

Unspecified application

Species

Unspecified reactive species

Ao Gu,Yiti Zhang,Jianfeng He,Mingri Zhao,Lingjie Ding,Wanxi Liu,Jianing Xiao,Jiali Huang,Mujun Liu,Xionghao Liu

Molecular medicine (Cambridge, Mass.) 30:206 PubMed39521994

2024

The therapeutic potential of Apigenin in amyotrophic lateral sclerosis through ALDH1A2/Nrf2/ARE signaling.

Applications

Unspecified application

Species

Unspecified reactive species

Huiting Liang,Xinhui Zhou,Jie Zhang,Wenyuan Xu,Yi Liu,Xinxin Wang,Yushu Hu,Renshi Xu,Xiaobing Li

Nucleic acids research 52:13269-13289 PubMed39494508

2024

ALS-associated FUS mutation reshapes the RNA and protein composition of stress granules.

Applications

Unspecified application

Species

Unspecified reactive species

Davide Mariani,Adriano Setti,Francesco Castagnetti,Erika Vitiello,Lorenzo Stufera Mecarelli,Gaia Di Timoteo,Andrea Giuliani,Angelo D'Angelo,Tiziana Santini,Eleonora Perego,Sabrina Zappone,Nara Liessi,Andrea Armirotti,Giuseppe Vicidomini,Irene Bozzoni

Nature cell biology 26:1943-1957 PubMed39482354

2024

Caspase-2 is a condensate-mediated deubiquitinase in protein quality control.

Applications

Unspecified application

Species

Unspecified reactive species

Yingwei Ge,Lijie Zhou,Yesheng Fu,Lijuan He,Yi Chen,Dingchang Li,Yuping Xie,Jun Yang,Haitao Wu,Hongmiao Dai,Zhiqiang Peng,Yong Zhang,Shaoqiong Yi,Bo Wu,Xin Zhang,Yangjun Zhang,Wantao Ying,Chun-Ping Cui,Cui Hua Liu,Lingqiang Zhang

F1000Research 12:277 PubMed37359785

2023

The identification of high-performing antibodies for TDP-43 for use in Western Blot, immunoprecipitation and immunofluorescence.

Applications

WB

Species

Human

Donovan Worrall,Riham Ayoubi,Maryam Fotouhi,Kathleen Southern,Peter S McPherson,Carl Laflamme

Frontiers in aging neuroscience 15:1110520 PubMed37009460

2023

Retinal fingerprints of ALS in patients: Ganglion cell apoptosis and TDP-43/p62 misplacement.

Applications

Unspecified application

Species

Unspecified reactive species

Natalia Pediconi,Ylenia Gigante,Silvia Cama,Martina Pitea,Lorenza Mautone,Giancarlo Ruocco,Silvia Ghirga,Silvia Di Angelantonio

FEBS open bio 12:1896-1908 PubMed36062323

2022

New regulators of the tetracycline-inducible gene expression system identified by chemical and genetic screens.

Applications

Unspecified application

Species

Unspecified reactive species

Valeria Colicchia,Maria Häggblad,Oleksandra Sirozh,Bartlomiej Porebski,Mirela Balan,Xuexin Li,Louise Lidemalm,Jordi Carreras-Puigvert,Daniela Hühn,Oscar Fernandez-Capetillo

Nature communications 13:3540 PubMed35725727

2022

Optimal CD8 T cell effector function requires costimulation-induced RNA-binding proteins that reprogram the transcript isoform landscape.

Applications

Unspecified application

Species

Unspecified reactive species

Timofey A Karginov,Antoine Ménoret,Anthony T Vella

Molecular therapy. Nucleic acids 29:102-115 PubMed35795484

2022

A peptide inhibitor that rescues polyglutamine-induced synaptic defects and cell death through suppressing RNA and protein toxicities.

Applications

Unspecified application

Species

Unspecified reactive species

Shaohong Isaac Peng,Lok I Leong,Jacquelyne Ka-Li Sun,Zhefan Stephen Chen,Hei-Man Chow,Ho Yin Edwin Chan
View all publications

Abcam Product Promise

我们致力于为您的研究提供高质量的试剂,为您科研的每一步提供支持。若我们的产品未能达到预期性能,我们向您提供 Abcam Product Promise 保障。
详情请参阅我们的条款与条件。

Please note: All products are 'FOR RESEARCH USE ONLY. NOT FOR USE IN DIAGNOSTIC OR THERAPEUTIC PROCEDURES'.

For licensing inquiries, please contact partnerships@abcam.com