JavaScript is disabled in your browser. Please enable JavaScript to view this website.
AB125164

Anti-TBP-1抗体

Anti-TBP-1 antibody

Be the first to review this product! Submit a review

|

(1 Publication)

Rabbit Polyclonal TBP-1 antibody. Suitable for IP, WB, IHC-P and reacts with Human, Mouse samples. Cited in 1 publication. Immunogen corresponding to Synthetic Peptide within Human PSMC3 aa 350 to C-terminus.

查看别名

TBP1, PSMC3, 26S proteasome regulatory subunit 6A, 26S proteasome AAA-ATPase subunit RPT5, Proteasome 26S subunit ATPase 3, Proteasome subunit P50, Tat-binding protein 1, TBP-1

3 Images
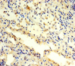
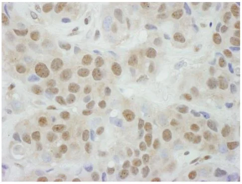
Immunohistochemistry (Formalin/PFA-fixed paraffin-embedded sections) - Anti-TBP-1 antibody (AB125164)
  • IHC-P

Supplier Data

Immunohistochemistry (Formalin/PFA-fixed paraffin-embedded sections) - Anti-TBP-1 antibody (AB125164)

Paraffin embedded human breast carcinoma tissue stained for TBP-1 using ab125164 at 1/1000 dilution in immunohistochemical analysis.

Immunoprecipitation - Anti-TBP-1 antibody (AB125164)
  • IP

Unknown

Immunoprecipitation - Anti-TBP-1 antibody (AB125164)

ab125164, at 6 μg/mg lysate, staining TBP-1 in 293T cell lysate (1 mg of immunoprecipitate, 20% loaded in the lane).
For the subsequent Western blot, ab125164 was used at 1 μg/ml, and the blot developed using the ECL technique, with an exposure time of 10 seconds.

All lanes:

Immunoprecipitation - Anti-TBP-1 antibody (ab125164)

Predicted band size: 49 kDa

false

Western blot - Anti-TBP-1 antibody (AB125164)
  • WB

Unknown

Western blot - Anti-TBP-1 antibody (AB125164)

All lanes:

Western blot - Anti-TBP-1 antibody (ab125164) at 0.1 µg/mL

Lane 1:

293T whole cell lysate at 50 µg

Lane 2:

293T whole cell lysate at 15 µg

Lane 3:

Jurkat whole cell lysate at 50 µg

Lane 4:

HeLa whole cell lysate at 50 µg

Lane 5:

NIH3T3 whole cell lysate at 50 µg

Predicted band size: 49 kDa

true

Exposure time: 30s

关键信息

宿主种属

Rabbit

克隆

Polyclonal

亚型

IgG

不含载体蛋白

No

反应种属

Mouse, Human

应用

WB, IP, IHC-P

applications

免疫原

Synthetic Peptide within Human PSMC3 aa 350 to C-terminus. The exact immunogen used to generate this antibody is proprietary information.

P17980

反应性数据

{ "title": "Reactivity Data", "filters": { "stats": ["", "Species", "Dilution Info", "Notes"], "tabs": { "all-applications": {"fullname" : "All Applications", "shortname": "All Applications"}, "IP" : {"fullname" : "Immunoprecipitation", "shortname":"IP"}, "WB" : {"fullname" : "Western blot", "shortname":"WB"}, "IHCP" : {"fullname" : "Immunohistochemistry (Formalin/PFA-fixed paraffin-embedded sections)", "shortname":"IHC-P"} }, "product-promise": { "all": "all", "testedAndGuaranteed": "tested", "guaranteed": "expected", "predicted": "predicted", "notRecommended": "not-recommended" } }, "values": { "Human": { "IP-species-checked": "testedAndGuaranteed", "IP-species-dilution-info": "2-10 µg/mg of lysate", "IP-species-notes": "<p></p>", "WB-species-checked": "testedAndGuaranteed", "WB-species-dilution-info": "1/2000 - 1/10000", "WB-species-notes": "<p></p>", "IHCP-species-checked": "testedAndGuaranteed", "IHCP-species-dilution-info": "1/500 - 1/2000", "IHCP-species-notes": "<p></p>" }, "Mouse": { "IP-species-checked": "guaranteed", "IP-species-dilution-info": "", "IP-species-notes": "", "WB-species-checked": "testedAndGuaranteed", "WB-species-dilution-info": "1/2000 - 1/10000", "WB-species-notes": "<p></p>", "IHCP-species-checked": "guaranteed", "IHCP-species-dilution-info": "", "IHCP-species-notes": "" }, "Rat": { "IP-species-checked": "predicted", "IP-species-dilution-info": "", "IP-species-notes": "", "WB-species-checked": "predicted", "WB-species-dilution-info": "", "WB-species-notes": "", "IHCP-species-checked": "predicted", "IHCP-species-dilution-info": "", "IHCP-species-notes": "" }, "Chicken": { "IP-species-checked": "predicted", "IP-species-dilution-info": "", "IP-species-notes": "", "WB-species-checked": "predicted", "WB-species-dilution-info": "", "WB-species-notes": "", "IHCP-species-checked": "predicted", "IHCP-species-dilution-info": "", "IHCP-species-notes": "" }, "Chimpanzee": { "IP-species-checked": "predicted", "IP-species-dilution-info": "", "IP-species-notes": "", "WB-species-checked": "predicted", "WB-species-dilution-info": "", "WB-species-notes": "", "IHCP-species-checked": "predicted", "IHCP-species-dilution-info": "", "IHCP-species-notes": "" }, "Cow": { "IP-species-checked": "predicted", "IP-species-dilution-info": "", "IP-species-notes": "", "WB-species-checked": "predicted", "WB-species-dilution-info": "", "WB-species-notes": "", "IHCP-species-checked": "predicted", "IHCP-species-dilution-info": "", "IHCP-species-notes": "" }, "Dog": { "IP-species-checked": "predicted", "IP-species-dilution-info": "", "IP-species-notes": "", "WB-species-checked": "predicted", "WB-species-dilution-info": "", "WB-species-notes": "", "IHCP-species-checked": "predicted", "IHCP-species-dilution-info": "", "IHCP-species-notes": "" }, "Gorilla": { "IP-species-checked": "predicted", "IP-species-dilution-info": "", "IP-species-notes": "", "WB-species-checked": "predicted", "WB-species-dilution-info": "", "WB-species-notes": "", "IHCP-species-checked": "predicted", "IHCP-species-dilution-info": "", "IHCP-species-notes": "" }, "Guinea pig": { "IP-species-checked": "predicted", "IP-species-dilution-info": "", "IP-species-notes": "", "WB-species-checked": "predicted", "WB-species-dilution-info": "", "WB-species-notes": "", "IHCP-species-checked": "predicted", "IHCP-species-dilution-info": "", "IHCP-species-notes": "" }, "Horse": { "IP-species-checked": "predicted", "IP-species-dilution-info": "", "IP-species-notes": "", "WB-species-checked": "predicted", "WB-species-dilution-info": "", "WB-species-notes": "", "IHCP-species-checked": "predicted", "IHCP-species-dilution-info": "", "IHCP-species-notes": "" }, "Orangutan": { "IP-species-checked": "predicted", "IP-species-dilution-info": "", "IP-species-notes": "", "WB-species-checked": "predicted", "WB-species-dilution-info": "", "WB-species-notes": "", "IHCP-species-checked": "predicted", "IHCP-species-dilution-info": "", "IHCP-species-notes": "" }, "Pig": { "IP-species-checked": "predicted", "IP-species-dilution-info": "", "IP-species-notes": "", "WB-species-checked": "predicted", "WB-species-dilution-info": "", "WB-species-notes": "", "IHCP-species-checked": "predicted", "IHCP-species-dilution-info": "", "IHCP-species-notes": "" }, "Rabbit": { "IP-species-checked": "predicted", "IP-species-dilution-info": "", "IP-species-notes": "", "WB-species-checked": "predicted", "WB-species-dilution-info": "", "WB-species-notes": "", "IHCP-species-checked": "predicted", "IHCP-species-dilution-info": "", "IHCP-species-notes": "" }, "Rhesus monkey": { "IP-species-checked": "predicted", "IP-species-dilution-info": "", "IP-species-notes": "", "WB-species-checked": "predicted", "WB-species-dilution-info": "", "WB-species-notes": "", "IHCP-species-checked": "predicted", "IHCP-species-dilution-info": "", "IHCP-species-notes": "" }, "Turkey": { "IP-species-checked": "predicted", "IP-species-dilution-info": "", "IP-species-notes": "", "WB-species-checked": "predicted", "WB-species-dilution-info": "", "WB-species-notes": "", "IHCP-species-checked": "predicted", "IHCP-species-dilution-info": "", "IHCP-species-notes": "" }, "Xenopus laevis": { "IP-species-checked": "predicted", "IP-species-dilution-info": "", "IP-species-notes": "", "WB-species-checked": "predicted", "WB-species-dilution-info": "", "WB-species-notes": "", "IHCP-species-checked": "predicted", "IHCP-species-dilution-info": "", "IHCP-species-notes": "" }, "Xenopus tropicalis": { "IP-species-checked": "predicted", "IP-species-dilution-info": "", "IP-species-notes": "", "WB-species-checked": "predicted", "WB-species-dilution-info": "", "WB-species-notes": "", "IHCP-species-checked": "predicted", "IHCP-species-dilution-info": "", "IHCP-species-notes": "" }, "Zebrafish": { "IP-species-checked": "predicted", "IP-species-dilution-info": "", "IP-species-notes": "", "WB-species-checked": "predicted", "WB-species-dilution-info": "", "WB-species-notes": "", "IHCP-species-checked": "predicted", "IHCP-species-dilution-info": "", "IHCP-species-notes": "" } } }

性能和储存信息

形式
Liquid
纯化工艺
Affinity purification Immunogen
存储溶液
pH: 7 - 8 Preservative: 0.09% Sodium azide Constituents: 99% Tris citrate/phosphate
运输条件
Blue Ice
推荐的短期储存条件
+4°C
推荐的长期储存条件
+4°C
分装信息
Upon delivery aliquot
储存信息
Avoid freeze / thaw cycle

补充信息

This supplementary information is collated from multiple sources and compiled automatically.

TBP-1 also called Tat-binding protein-1 is a critical player in the regulation of protein degradation. It is a component of the 19S regulatory particle of the 26S proteasome. The molecular mass of TBP-1 is approximately 56 kDa. Expression of TBP-1 is noted in various tissues reflecting its essential role in cellular processes. As a proteasome member it contributes to the recognition and unfolding of ubiquitinated proteins designated for degradation.
Biological function summary

TBP-1 functions as an ATPase in the 26S proteasome complex aiding in the breakdown of proteins. This breakdown is important for maintaining protein homeostasis by removing misfolded or damaged proteins. In the proteasome complex TBP-1 collaborates with other ATPases to control access of substrates to the proteolytic core. This role ensures a regulated protein turnover which is important for cell cycle progression and stress responses.

Pathways

TBP-1 serves a significant role in the ubiquitin-proteasome pathway and the regulation of transcription. In the ubiquitin-proteasome pathway it collaborates with other regulatory subunits to modulate proteasomal activity. TBP-1 is associated with proteins like Rpt5 and Rpt1 which are also ATPases in the 19S regulatory particle coordinating the denaturation and translocation of proteins into the 20S core particle for degradation.

TBP-1's malfunction or altered expression can contribute to neurodegenerative diseases such as Parkinson's disease and Alzheimer's disease. In these conditions improper protein degradation leads to accumulation of toxic protein aggregates. Through these pathways TBP-1 interacts with proteins like alpha-synuclein in Parkinson's disease where its dysfunction exacerbates aggregation. Understanding TBP-1's role offers insights for therapeutic approaches aimed at modulating the proteasomal degradation machinery in such diseases.

产品实验方案

For this product, it's our understanding that no specific protocols are required. You can visit:

靶点信息

Component of the 26S proteasome, a multiprotein complex involved in the ATP-dependent degradation of ubiquitinated proteins. This complex plays a key role in the maintenance of protein homeostasis by removing misfolded or damaged proteins, which could impair cellular functions, and by removing proteins whose functions are no longer required. Therefore, the proteasome participates in numerous cellular processes, including cell cycle progression, apoptosis, or DNA damage repair. PSMC3 belongs to the heterohexameric ring of AAA (ATPases associated with diverse cellular activities) proteins that unfolds ubiquitinated target proteins that are concurrently translocated into a proteolytic chamber and degraded into peptides.
See full target information PSMC3

文献 (1)

Recent publications for all applications. Explore the full list and refine your search

Clinica chimica acta; international journal of cli 487:256-263 PubMed30292629

2018

Establishment of a protein biochip to detect serum IgG antibodies against IL-2 and soluble CD25 in hemophagocytic lymphohistiocytosis.

Applications

Unspecified application

Species

Unspecified reactive species

Qian Liu,Sheng-Sheng Liu,Song-Guo Li,Yi Gao,Lei Ye,Gabrielle Olivia Ramsay Johnson,Zi-Jian Song,Wei-Dong Du
View all publications

Abcam Product Promise

我们致力于为您的研究提供高质量的试剂,为您科研的每一步提供支持。若我们的产品未能达到预期性能,我们向您提供 Abcam Product Promise 保障。
详情请参阅我们的条款与条件。

Please note: All products are 'FOR RESEARCH USE ONLY. NOT FOR USE IN DIAGNOSTIC OR THERAPEUTIC PROCEDURES'.

For licensing inquiries, please contact partnerships@abcam.com