JavaScript is disabled in your browser. Please enable JavaScript to view this website.
AB275027

重组Anti-Tau (phospho T205)抗体[EPR23505-13] - BSA and Azide free

Anti-Tau (phospho T205) antibody [EPR23505-13] - BSA and Azide free

Be the first to review this product! Submit a review

|

(0 Publication)

Anti-Tau (phospho T205) antibody [EPR23505-13] - BSA and Azide free (ab275027) is a rabbit recombinant monoclonal antibody in a PBS only buffer for easy conjugation. Suitable for Western Blot, IP, IHC-P, IHC-Fr, ELISA, Dot Blot in Human, Mouse, Rat.

- BSA, sodium azide, and glycerol-free for easy conjugation
- Biophysical QC for unrivalled batch-batch consistency

查看别名

MAPTL, MTBT1, TAU, MAPT, Microtubule-associated protein tau, Neurofibrillary tangle protein, Paired helical filament-tau, PHF-tau

13 Images
Immunohistochemistry (Formalin/PFA-fixed paraffin-embedded sections) - Anti-Tau (phospho T205) antibody [EPR23505-13] - BSA and Azide free (AB275027)
  • IHC-P

Unknown

Immunohistochemistry (Formalin/PFA-fixed paraffin-embedded sections) - Anti-Tau (phospho T205) antibody [EPR23505-13] - BSA and Azide free (AB275027)

This data was developed using ab254410, the same antibody clone in a different buffer formulation.

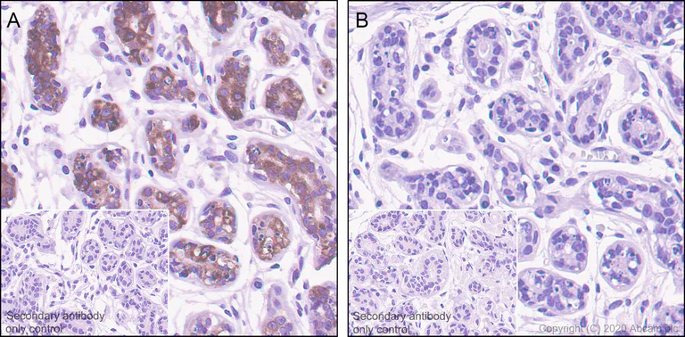
Immunohistochemical analysis of paraffin-embedded Human breast tissue labeling Tau (phospho T205) with ab254410 at 1/20000 dilution followed by a ready to use Rabbit specific IHC polymer detection kit HRP/DAB (ab209101). Positive staining on human breast without alkaline phosphatase treatment (image A, PMID : 15914550). No signal was detected when tissues were treated with alkaline phosphatase (image B). The section was incubated with ab254410 for 10 mins at room temperature. The immunostaining was performed on a Leica Biosystems BOND® RX instrument. Counterstained with Hematoxylin.

Secondary antibody only control : Secondary antibody is a ready to use Rabbit specific IHC polymer detection kit HRP/DAB (ab209101).

Heat mediated antigen retrieval with Citrate buffer (pH 6.0, epitope retrieval solution 1) for 10 mins.

Immunohistochemistry (Formalin/PFA-fixed paraffin-embedded sections) - Anti-Tau (phospho T205) antibody [EPR23505-13] - BSA and Azide free (AB275027)
  • IHC-P

Unknown

Immunohistochemistry (Formalin/PFA-fixed paraffin-embedded sections) - Anti-Tau (phospho T205) antibody [EPR23505-13] - BSA and Azide free (AB275027)

This data was developed using ab254410, the same antibody clone in a different buffer formulation.

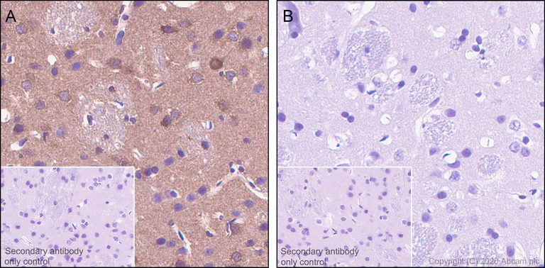
Immunohistochemical analysis of paraffin-embedded Human Alzheimer's disease cerebrum tissue labeling Tau (phospho T205) with ab254410 at 1/20000 dilution followed by a ready to use Rabbit specific IHC polymer detection kit HRP/DAB (ab209101). Positive staining on human Alzheimer's disease cerebrum without alkaline phosphatase treatment (image A, PMID : 20631843). No signal was detected when tissues were treated with alkaline phosphatase (image B). The section was incubated with ab254410 for 10 mins at room temperature.The immunostaining was performed on a Leica Biosystems BOND® RX instrument. Counterstained with Hematoxylin.

Secondary antibody only control : Secondary antibody is a ready to use Rabbit specific IHC polymer detection kit HRP/DAB (ab209101).

Heat mediated antigen retrieval with Citrate buffer (pH 6.0, epitope retrieval solution 1) for 10 mins.

Indirect ELISA - Anti-Tau (phospho T205) antibody [EPR23505-13] - BSA and Azide free (AB275027)
  • I-ELISA

Lab

Indirect ELISA - Anti-Tau (phospho T205) antibody [EPR23505-13] - BSA and Azide free (AB275027)

This data was developed using ab254410, the same antibody clone in a different buffer formulation.

Indirect ELISA analysis of ab254410 at 1000-0 ng/ml. The Secondary antibody used was Alkaline Phosphatase-conjugated AffiniPure Goat Anti-Rabbit IgG (H+L) at 1 : 2500 dilution.

Antigen : Human MAPT(phospho T205) peptide, Human MAPT non-phospho peptide

Antigen concentration : 1000 ng/ml.

Immunohistochemistry (Frozen sections) - Anti-Tau (phospho T205) antibody [EPR23505-13] - BSA and Azide free (AB275027)
  • IHC-Fr

Unknown

Immunohistochemistry (Frozen sections) - Anti-Tau (phospho T205) antibody [EPR23505-13] - BSA and Azide free (AB275027)

This data was developed using ab254410, the same antibody clone in a different buffer formulation.

Immunohistochemical analysis of 4% PFA-fixed, 0.2% Triton X-100 permeabilized frozen Rat cerebrum tissue labeling Tau (phospho T205) with ab254410 at 1/500 (1.034 ug/ml) dilution followed by ab150077 Goat Anti-Rabbit IgG H&L (Alexa Fluor® 488) at 1/1000 dilution (Green). Positive staining on rat cerebrum, while nearly no staining on rat cerebrum after alkaline phosphatase (AP) treatment. The nuclear counterstain was DAPI (Blue).

Secondary antibody control : Secondary antibody is ab150077 Goat Anti-Rabbit IgG H&L (Alexa Fluor® 488)at 1/1000 dilution.

Heat mediated antigen retrieval using sodium citrate buffer (10mM citrate pH 6.0 + 0.05% Tween-20).

Immunohistochemistry (Formalin/PFA-fixed paraffin-embedded sections) - Anti-Tau (phospho T205) antibody [EPR23505-13] - BSA and Azide free (AB275027)
  • IHC-P

Unknown

Immunohistochemistry (Formalin/PFA-fixed paraffin-embedded sections) - Anti-Tau (phospho T205) antibody [EPR23505-13] - BSA and Azide free (AB275027)

This data was developed using ab254410, the same antibody clone in a different buffer formulation.

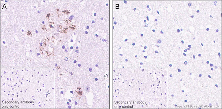
Immunohistochemical analysis of paraffin-embedded Rat cerebrum tissue labeling Tau (phospho T205) with ab254410 at 1/20000 dilution followed by a ready to use Rabbit specific IHC polymer detection kit HRP/DAB (ab209101). Positive staining on rat cerebrum without alkaline phosphatase treatment (image A, PMID : 28035925). No signal was detected when tissues were treated with alkaline phosphatase (image B).The section was incubated with ab254410 for 10 mins at room temperature. The immunostaining was performed on a Leica Biosystems BOND® RX instrument. Counterstained with Hematoxylin.

Secondary antibody only control : Secondary antibody is a ready to use Rabbit specific IHC polymer detection kit HRP/DAB (ab209101).

Heat mediated antigen retrieval with Citrate buffer (pH 6.0, epitope retrieval solution 1) for 10 mins.

Immunohistochemistry (Frozen sections) - Anti-Tau (phospho T205) antibody [EPR23505-13] - BSA and Azide free (AB275027)
  • IHC-Fr

Unknown

Immunohistochemistry (Frozen sections) - Anti-Tau (phospho T205) antibody [EPR23505-13] - BSA and Azide free (AB275027)

This data was developed using ab254410, the same antibody clone in a different buffer formulation.

Immunohistochemical analysis of 4% PFA-fixed, 0.2% Triton X-100 permeabilized frozen Mouse cerebrum tissue labeling Tau (phospho T205) with ab254410 at 1/500 (1.034 ug/ml) dilution followed by ab150077 Goat Anti-Rabbit IgG H&L (Alexa Fluor® 488) at 1/1000 dilution (Green). Positive staining on mouse cerebrum, while nearly no staining on mouse cerebrum after alkaline phosphatase (AP) treatment. The nuclear counterstain was DAPI (Blue).

Secondary antibody control : Secondary antibody is ab150077 Goat Anti-Rabbit IgG H&L (Alexa Fluor® 488) at 1/1000 dilution.

Heat mediated antigen retrieval using sodium citrate buffer (10mM citrate pH 6.0 + 0.05% Tween-20).

Immunoprecipitation - Anti-Tau (phospho T205) antibody [EPR23505-13] - BSA and Azide free (AB275027)
  • IP

Unknown

Immunoprecipitation - Anti-Tau (phospho T205) antibody [EPR23505-13] - BSA and Azide free (AB275027)

This data was developed using ab254410, the same antibody clone in a different buffer formulation.

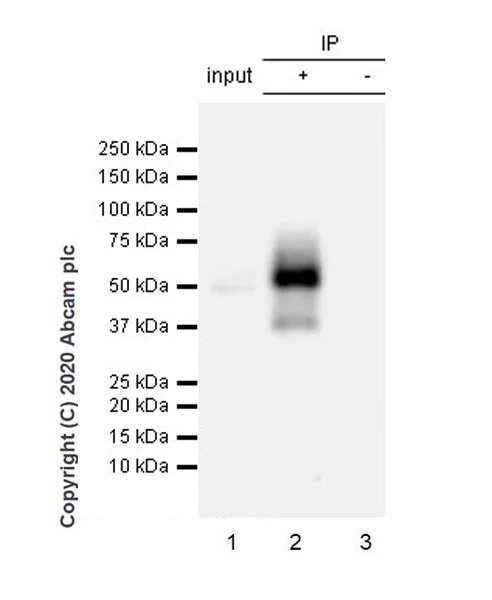
Tau (phospho T205) was immunoprecipitated from 0.35 mg Rat brain tissue lysate with ab254410 at 1/30 dilution (2ug in 0.35mg lysates). Western blot was performed on the immunoprecipitate using ab254410 at 1/1000 dilution. VeriBlot for IP Detection Reagent (HRP)(ab131366) was used at 1/5000 dilution.

Lane 1 : Rat brain tissue lysate 10 ug

Lane 2 : ab254410 IP in Rat brain tissue lysate

Lane 3 : Rabbit monoclonal IgG (ab172730) instead of ab254410 in Rat brain tissue lysate

Blocking and dilution buffer and concentration : 5% NFDM/TBST.

Exposure time : 3 minutes.

All lanes:

Immunoprecipitation - Anti-Tau (phospho T205) antibody [EPR23505-13] (<a href='/products/primary-antibodies/tau-phospho-t205-antibody-epr23505-13-ab254410'>ab254410</a>)

Predicted band size: 78 kDa

Observed band size: 50-70 kDa

false

Immunoprecipitation - Anti-Tau (phospho T205) antibody [EPR23505-13] - BSA and Azide free (AB275027)
  • IP

Unknown

Immunoprecipitation - Anti-Tau (phospho T205) antibody [EPR23505-13] - BSA and Azide free (AB275027)

This data was developed using ab254410, the same antibody clone in a different buffer formulation.

Tau (phospho T205) was immunoprecipitated from 0.35 mg Mouse brain tissue lysate with ab254410 at 1/30 dilution (2ug in 0.35mg lysates). Western blot was performed on the immunoprecipitate using ab254410 at 1/1000 dilution. VeriBlot for IP Detection Reagent (HRP)(ab131366) was used at 1/5000 dilution.

Lane 1 : Mouse brain tissue lysate 10 ug

Lane 2 : ab254410 IP in Mouse brain tissue lysate

Lane 3 : Rabbit monoclonal IgG (ab172730) instead of ab254410 in Mouse brain tissue lysate

Blocking and dilution buffer and concentration : 5% NFDM/TBST.

Exposure time : 10 seconds.

All lanes:

Immunoprecipitation - Anti-Tau (phospho T205) antibody [EPR23505-13] (<a href='/products/primary-antibodies/tau-phospho-t205-antibody-epr23505-13-ab254410'>ab254410</a>)

Predicted band size: 78 kDa

Observed band size: 50-70 kDa

false

Western blot - Anti-Tau (phospho T205) antibody [EPR23505-13] - BSA and Azide free (AB275027)
  • WB

Unknown

Western blot - Anti-Tau (phospho T205) antibody [EPR23505-13] - BSA and Azide free (AB275027)

This data was developed using ab254410, the same antibody clone in a different buffer formulation.

Blocking and dilution buffer : 5% NFDM/TBST.

Exposure time : 3 minutes.

The molecular weight observed is consistent with what has been described in the literature (PMID : 21722209).

All lanes:

Western blot - Anti-Tau (phospho T205) antibody [EPR23505-13] (<a href='/products/primary-antibodies/tau-phospho-t205-antibody-epr23505-13-ab254410'>ab254410</a>) at 1/1000 dilution

Lane 1:

Human brain tissue lysate at 10 µg

Lane 2:

Human brain tissue lysate (phosphatase treated membrane) at 10 µg

Secondary

All lanes:

Goat Anti-Rabbit IgG, (H+L), Peroxidase conjugated (<a href='/products/secondary-antibodies/goat-rabbit-igg-h-l-hrp-ab97051'>ab97051</a>) at 1/100000 dilution

Predicted band size: 78 kDa

Observed band size: 50-70 kDa

false

Affinity Purification - Anti-Tau (phospho T205) antibody [EPR23505-13] - BSA and Azide free (AB275027)
  • AP

Lab

Affinity Purification - Anti-Tau (phospho T205) antibody [EPR23505-13] - BSA and Azide free (AB275027)

Biotinylated Tau (phospho T205) peptide [0.1 μg/ml] was loaded to SA biosensor on Fortebio RED96e Machine, then associate with recombinant Anti-Tau (phospho T205) antibody [EPR23505-13] in serial concentration points [6.67, 3.33, 1.67, 0.83, 0.42 nM/mL] by 2-fold dilution, next to dissociate in blank testing buffer [0.1% BSA in PBST (0.05%Tween-20)]. Calculated signals had already subtracted blank control, curve fitting using 1 : 1 binding model. Non-phospho Tau peptide' association and dissociation were also showed in graph. KD(M) value of Anti-Tau (phospho T205) antibody [EPR23505-13] is <1.0E-12

This data was developed using ab254410, the same antibody clone in a different buffer formulation.

Western blot - Anti-Tau (phospho T205) antibody [EPR23505-13] - BSA and Azide free (AB275027)
  • WB

Unknown

Western blot - Anti-Tau (phospho T205) antibody [EPR23505-13] - BSA and Azide free (AB275027)

This data was developed using ab254410, the same antibody clone in a different buffer formulation.

Blocking and dilution buffer : 5% NFDM/TBST.

Exposure time : 48 seconds.

The molecular weight observed is consistent with what has been described in the literature (PMID : 21722209).

All lanes:

Western blot - Anti-Tau (phospho T205) antibody [EPR23505-13] (<a href='/products/primary-antibodies/tau-phospho-t205-antibody-epr23505-13-ab254410'>ab254410</a>) at 1/1000 dilution

Lane 1:

Rat hippocampus tissue lysate at 10 µg

Lane 2:

Rat hippocampus tissue lysate (phosphatase treated membrane) at 10 µg

Secondary

All lanes:

Goat Anti-Rabbit IgG, (H+L), Peroxidase conjugated (<a href='/products/secondary-antibodies/goat-rabbit-igg-h-l-hrp-ab97051'>ab97051</a>) at 1/100000 dilution

Predicted band size: 78 kDa

Observed band size: 50-70 kDa

false

Western blot - Anti-Tau (phospho T205) antibody [EPR23505-13] - BSA and Azide free (AB275027)
  • WB

Unknown

Western blot - Anti-Tau (phospho T205) antibody [EPR23505-13] - BSA and Azide free (AB275027)

This data was developed using ab254410, the same antibody clone in a different buffer formulation.

Blocking and dilution buffer : 5% NFDM/TBST.

Exposure time : 70 seconds.

The molecular weight observed is consistent with what has been described in the literature (PMID : 21722209).

All lanes:

Western blot - Anti-Tau (phospho T205) antibody [EPR23505-13] (<a href='/products/primary-antibodies/tau-phospho-t205-antibody-epr23505-13-ab254410'>ab254410</a>) at 1/1000 dilution

Lane 1:

Mouse brain tissue lysate at 10 µg

Lane 2:

Mouse brain tissue lysate (phosphatase treated membrane) at 10 µg

Secondary

All lanes:

Goat Anti-Rabbit IgG, (H+L), Peroxidase conjugated (<a href='/products/secondary-antibodies/goat-rabbit-igg-h-l-hrp-ab97051'>ab97051</a>) at 1/100000 dilution

Predicted band size: 78 kDa

Observed band size: 50-70 kDa

false

Dot Blot - Anti-Tau (phospho T205) antibody [EPR23505-13] - BSA and Azide free (AB275027)
  • Dot

Supplier Data

Dot Blot - Anti-Tau (phospho T205) antibody [EPR23505-13] - BSA and Azide free (AB275027)

This data was developed using ab254410, the same antibody clone in a different buffer formulation.

Dot blot analysis of Tau (phospho T205) labeled with ab254410 at 1/1000 dilution.

Lane 1 : Tau (phospho S202+T205) peptide (aa 199-211).

Lane 2 : Tau (phospho S202+T205) peptide (aa 197-209).

Lane 3 : Tau peptide (aa 197-211).

Lane 4 : Tau (phospho S202) peptide (aa 197-211).

Lane 5 : Tau (phospho T205) peptide (aa 197-211).

Goat Anti-Rabbit IgG H&L (HRP) (ab97051) at 1/100000 dilution was used as secondary antibody.

Blocking and dilution buffer : 5% NFDM/TBST.

Exposure time : 3 minutes.

不同偶联物与剂型 (9)

  • Unconjugated

    Anti-Tau (phospho T205) antibody [EPR23505-13]

  • 578 PE

    PE Anti-Tau (phospho T205) antibody [EPR23505-13]

  • 660 APC

    APC Anti-Tau (phospho T205) antibody [EPR23505-13]

  • 617 Alexa Fluor® 594

    Alexa Fluor® 594 Anti-Tau (phospho T205) antibody [EPR23505-13]

  • 775 Alexa Fluor® 750

    Alexa Fluor® 750 Anti-Tau (phospho T205) antibody [EPR23505-13]

  • 565 Alexa Fluor® 555

    Alexa Fluor® 555 Anti-Tau (phospho T205) antibody [EPR23505-13]

  • 665 Alexa Fluor® 647

    Alexa Fluor® 647 Anti-Tau (phospho T205) antibody [EPR23505-13]

  • 519 Alexa Fluor® 488

    Alexa Fluor® 488 Anti-Tau (phospho T205) antibody [EPR23505-13]

  • Biotin

    Biotin Anti-Tau (phospho T205) antibody [EPR23505-13]

关键信息

宿主种属

Rabbit

克隆

Monoclonal

克隆号

EPR23505-13

亚型

IgG

不含载体蛋白

Yes

反应种属

Mouse, Rat, Human

应用

AP, Dot, WB, I-ELISA, IHC-Fr, IP, IHC-P

applications

免疫原

The exact immunogen used to generate this antibody is proprietary information.

特异性

The specificity of this antibody refers to P10636-8.

反应性数据

{ "title": "Reactivity Data", "filters": { "stats": ["", "Species", "Dilution Info", "Notes"], "tabs": { "all-applications": {"fullname" : "All Applications", "shortname": "All Applications"}, "IHCP" : {"fullname" : "Immunohistochemistry (Formalin/PFA-fixed paraffin-embedded sections)", "shortname":"IHC-P"}, "ICCIF" : {"fullname" : "Immunocytochemistry/ Immunofluorescence", "shortname":"ICC/IF"}, "IP" : {"fullname" : "Immunoprecipitation", "shortname":"IP"}, "Dot" : {"fullname" : "Dot Blot", "shortname":"Dot"}, "WB" : {"fullname" : "Western blot", "shortname":"WB"}, "AP" : {"fullname" : "Affinity Purification", "shortname":"AP"}, "IHCFr" : {"fullname" : "Immunohistochemistry (Frozen sections)", "shortname":"IHC-Fr"}, "IELISA" : {"fullname" : "Indirect ELISA", "shortname":"I-ELISA"} }, "product-promise": { "all": "all", "testedAndGuaranteed": "tested", "guaranteed": "expected", "predicted": "predicted", "notRecommended": "not-recommended" } }, "values": { "Human": { "IHCP-species-checked": "testedAndGuaranteed", "IHCP-species-dilution-info": "", "IHCP-species-notes": "<p></p> Perform heat-mediated antigen retrieval with citrate buffer pH 6 before commencing with IHC staining protocol.", "ICCIF-species-checked": "notRecommended", "ICCIF-species-dilution-info": "", "ICCIF-species-notes": "<p></p>", "IP-species-checked": "notRecommended", "IP-species-dilution-info": "", "IP-species-notes": "<p></p>", "Dot-species-checked": "guaranteed", "Dot-species-dilution-info": "", "Dot-species-notes": "", "WB-species-checked": "testedAndGuaranteed", "WB-species-dilution-info": "", "WB-species-notes": "<p></p>", "AP-species-checked": "testedAndGuaranteed", "AP-species-dilution-info": "", "AP-species-notes": "<p><strong>Antibody concentration range - </strong>6.67, 3.33, 1.67, 0.83, 0.42, 0 nM/mL</p>", "IHCFr-species-checked": "guaranteed", "IHCFr-species-dilution-info": "", "IHCFr-species-notes": "", "IELISA-species-checked": "guaranteed", "IELISA-species-dilution-info": "", "IELISA-species-notes": "" }, "Mouse": { "IHCP-species-checked": "notRecommended", "IHCP-species-dilution-info": "", "IHCP-species-notes": "<p></p> Perform heat-mediated antigen retrieval with citrate buffer pH 6 before commencing with IHC staining protocol.", "ICCIF-species-checked": "notRecommended", "ICCIF-species-dilution-info": "", "ICCIF-species-notes": "<p></p>", "IP-species-checked": "testedAndGuaranteed", "IP-species-dilution-info": "", "IP-species-notes": "<p></p>", "Dot-species-checked": "guaranteed", "Dot-species-dilution-info": "", "Dot-species-notes": "", "WB-species-checked": "testedAndGuaranteed", "WB-species-dilution-info": "", "WB-species-notes": "<p></p>", "AP-species-checked": "guaranteed", "AP-species-dilution-info": "", "AP-species-notes": "", "IHCFr-species-checked": "testedAndGuaranteed", "IHCFr-species-dilution-info": "", "IHCFr-species-notes": "<p>Heat mediated antigen retrieval using sodium citrate buffer (10mM citrate pH 6.0 + 0.05% Tween-20).</p>", "IELISA-species-checked": "guaranteed", "IELISA-species-dilution-info": "", "IELISA-species-notes": "" }, "Rat": { "IHCP-species-checked": "testedAndGuaranteed", "IHCP-species-dilution-info": "", "IHCP-species-notes": "<p></p> Perform heat-mediated antigen retrieval with citrate buffer pH 6 before commencing with IHC staining protocol.", "ICCIF-species-checked": "notRecommended", "ICCIF-species-dilution-info": "", "ICCIF-species-notes": "<p></p>", "IP-species-checked": "testedAndGuaranteed", "IP-species-dilution-info": "", "IP-species-notes": "<p></p>", "Dot-species-checked": "guaranteed", "Dot-species-dilution-info": "", "Dot-species-notes": "", "WB-species-checked": "testedAndGuaranteed", "WB-species-dilution-info": "", "WB-species-notes": "<p></p>", "AP-species-checked": "guaranteed", "AP-species-dilution-info": "", "AP-species-notes": "", "IHCFr-species-checked": "testedAndGuaranteed", "IHCFr-species-dilution-info": "", "IHCFr-species-notes": "<p>Heat mediated antigen retrieval using sodium citrate buffer (10mM citrate pH 6.0 + 0.05% Tween-20).</p>", "IELISA-species-checked": "guaranteed", "IELISA-species-dilution-info": "", "IELISA-species-notes": "" }, "Synthetic peptide": { "IHCP-species-checked": "notRecommended", "IHCP-species-dilution-info": "", "IHCP-species-notes": "", "ICCIF-species-checked": "notRecommended", "ICCIF-species-dilution-info": "", "ICCIF-species-notes": "", "IP-species-checked": "notRecommended", "IP-species-dilution-info": "", "IP-species-notes": "", "Dot-species-checked": "testedAndGuaranteed", "Dot-species-dilution-info": "", "Dot-species-notes": "<p></p>", "WB-species-checked": "notRecommended", "WB-species-dilution-info": "", "WB-species-notes": "", "AP-species-checked": "notRecommended", "AP-species-dilution-info": "", "AP-species-notes": "", "IHCFr-species-checked": "notRecommended", "IHCFr-species-dilution-info": "", "IHCFr-species-notes": "", "IELISA-species-checked": "notRecommended", "IELISA-species-dilution-info": "", "IELISA-species-notes": "" }, "Synthetic peptide - Human": { "IHCP-species-checked": "notRecommended", "IHCP-species-dilution-info": "", "IHCP-species-notes": "", "ICCIF-species-checked": "notRecommended", "ICCIF-species-dilution-info": "", "ICCIF-species-notes": "", "IP-species-checked": "notRecommended", "IP-species-dilution-info": "", "IP-species-notes": "", "Dot-species-checked": "notRecommended", "Dot-species-dilution-info": "", "Dot-species-notes": "", "WB-species-checked": "notRecommended", "WB-species-dilution-info": "", "WB-species-notes": "", "AP-species-checked": "notRecommended", "AP-species-dilution-info": "", "AP-species-notes": "", "IHCFr-species-checked": "notRecommended", "IHCFr-species-dilution-info": "", "IHCFr-species-notes": "", "IELISA-species-checked": "testedAndGuaranteed", "IELISA-species-dilution-info": "", "IELISA-species-notes": "<p></p>" } } }

产品详情

What is this antibody validated in?
Anti-Tau (phospho T205) antibody [EPR23505-13] - BSA and Azide free (ab275027) is a rabbit recombinant monoclonal antibody and is validated for use in Western Blot (WB), Immunoprecipitation (IP), Immunohistochemistry (IHC-P), Immunohistochemistry (IHC-Fr), ELISA, Dot Blot in Human, Mouse, Rat samples.

What is the molecular weight of Tau?
Anti-Tau (phospho T205) [EPR23505-13] - BSA and Azide free (ab275027) specifically detects a band for Tau (UniProt: P10636) at a molecular weight of 78kDa.

Other related products
We have a range of other formats of antibody clone [EPR23505-13] also available for your convenience: ab254410, Carrier free - ab275027, Alexa Fluor® 555 - ab307334, Alexa Fluor® 647 - ab307376, Alexa Fluor® 488 - ab313824, Biotin - ab314404, APC - ab319314, PE - ab319452, Alexa Fluor® 594 - ab319807, Alexa Fluor® 750 - ab321510

Patented technology
Our RabMAb® technology is a patented hybridoma-based technology for making rabbit monoclonal antibodies. For details on our patents, please refer to RabMAb® patents.

What are the advantages of a recombinant monoclonal antibody?
This product is a recombinant monoclonal antibody, which offers several advantages including:

  • - High batch-to-batch consistency and reproducibility
  • - Improved sensitivity and specificity
  • - Long-term security of supply
  • - Animal-free batch production

For more information, read more on recombinant antibodies.

Conjugation ready
Our carrier-free antibodies are typically supplied in a PBS-only formulation, purified and free of BSA, sodium azide and glycerol. This conjugation-ready format is designed for use with fluorochromes, metal isotopes, oligonucleotides, and enzymes, which makes them ideal for antibody labelling, functional and cell-based assays, flow-based assays (e.g. mass cytometry) and Multiplex Imaging applications.

Use our conjugation kits for antibody conjugates that are ready-to-use in as little as 20 minutes with 1 minute hands-on-time and 100% antibody recovery: available for fluorescent dyes, HRP, biotin and gold.

Compatibility
This product is compatible with the Maxpar® Antibody Labeling Kit from Fluidigm, without the need for antibody preparation. Maxpar® is a trademark of Fluidigm Canada Inc.

性能和储存信息

形式
Liquid
纯化工艺
Affinity purification Protein A
存储溶液
Constituents: PBS
运输条件
Blue Ice
推荐的短期储存条件
+4°C
推荐的长期储存条件
+4°C
储存信息
Do Not Freeze

补充信息

This supplementary information is collated from multiple sources and compiled automatically.

Tau also known as microtubule-associated protein Tau (MAPT) plays an important role in stabilizing microtubules in neuronal cells. Tau is primarily found in the central nervous system but also exists in peripheral neurons. Human Tau protein comes in six isoforms due to alternative splicing with molecular weights ranging from 48 kDa to 67 kDa. This protein predominantly locates in the axons of neurons where it maintains the stability of microtubule tracks necessary for axonal transport.
Biological function summary

Tau is involved in the assembly and stabilization of microtubules essential for maintaining neuronal structure. It interacts with microtubule-binding domains (MBD) to bind and bundle microtubules facilitating intracellular transport. Tau forms a part of the neuronal cytoskeleton complex working closely with other cytoskeletal proteins to preserve the proper axonal transport and function. Abnormally phosphorylated Tau often termed phospho-Tau disrupts this complex affecting microtubule stability.

Pathways

Tau has critical involvement in several signaling cascades such as the microtubule-binding and transport pathways. Glycogen synthase kinase 3 beta (GSK3Β) and cyclin-dependent kinase 5 (CDK5) frequently phosphorylate Tau controlling its interaction with microtubules. Phosphorylated Tau accumulates leading to the formation of neurofibrillary tangles often observed in neurodegenerative conditions. Additionally Tau interacts with GAPDH impacting cellular energy regulation through potential pathway cross-talk involving oxidative stress responses.

Tau is closely associated with Alzheimer's disease and frontotemporal dementia. In Alzheimer's disease hyperphosphorylated Tau aggregates into paired helical filaments forming neurofibrillary tangles while similar aggregates are observed in frontotemporal dementia. In these conditions Tau links to amyloid precursor protein (APP) where misregulated phosphorylation-driven interactions contribute to neurodegeneration. Identifying phospho-Tau and its altered interactions with related proteins aids in understanding and potentially treating these disorders.

产品实验方案

For this product, it's our understanding that no specific protocols are required. You can visit:

靶点信息

The protein expressed by the MAPT gene promotes microtubule assembly and stability and might be involved in establishing and maintaining neuronal polarity. Its C-terminus binds axonal microtubules, and the N-terminus binds neural plasma membrane components, suggesting that tau functions as a linker protein between the two. Axonal polarity is predetermined by MAPT localization within the neuronal cell's domain defined by the centrosome. The short isoforms allow cytoskeleton plasticity, whereas the longer isoforms may preferentially play a role in its stabilization. This supplementary information is collated from multiple sources and compiled automatically.
See full target information MAPT phospho T205

Abcam Product Promise

我们致力于为您的研究提供高质量的试剂,为您科研的每一步提供支持。若我们的产品未能达到预期性能,我们向您提供 Abcam Product Promise 保障。
详情请参阅我们的条款与条件。

Please note: All products are 'FOR RESEARCH USE ONLY. NOT FOR USE IN DIAGNOSTIC OR THERAPEUTIC PROCEDURES'.

For licensing inquiries, please contact partnerships@abcam.com