JavaScript is disabled in your browser. Please enable JavaScript to view this website.
AB4861

Anti-Tau (phospho S409)抗体

Anti-Tau (phospho S409) antibody

Be the first to review this product! Submit a review

|

(3 Publications)

Rabbit Polyclonal TAU phospho S409 antibody. Suitable for WB, IHC-P and reacts with Recombinant fragment - Human, Mouse samples. Cited in 3 publications. Immunogen corresponding to Synthetic Peptide within Human MAPT phospho S409.

查看别名

MAPTL, MTBT1, TAU, MAPT, Microtubule-associated protein tau, Neurofibrillary tangle protein, Paired helical filament-tau, PHF-tau

2 Images
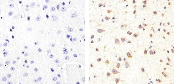
Immunohistochemistry (Formalin/PFA-fixed paraffin-embedded sections) - Anti-Tau (phospho S409) antibody (AB4861)
  • IHC-P

Unknown

Immunohistochemistry (Formalin/PFA-fixed paraffin-embedded sections) - Anti-Tau (phospho S409) antibody (AB4861)

Immunohistochemistry (Formalin/PFA-fixed paraffin-embedded sections) analysis of mouse brain tissue labelling Tau with ab4873 at 1/20 dilution. Antigen retrieval was performed using 10mM sodium citrate (pH 6.0), microwaved for 8-15 min. Following antigen retrieval, tissues were blocked in 3% H2O2-methanol for 15 min at room temperature and washed with ddH2O and PBS. Tissues were washed extensively in PBST and detection was performed using an HRP-conjugated secondary antibody followed by colorimetric detection using a DAB kit. Tissues were counterstained with hematoxylin and dehydrated with ethanol and xylene to prep for mounting.

Western blot - Anti-Tau (phospho S409) antibody (AB4861)
  • WB

Unknown

Western blot - Anti-Tau (phospho S409) antibody (AB4861)

WB using ab4861. The peptide corresponding to Tau [pS409] blocks the antibody signal, thereby demonstrating the specificity of the antibody.
WB using ab4861. The peptide corresponding to Tau [pS409] blocks the antibody signal, thereby demonstrating the specificity of the antibody.

All lanes:

Western blot - Anti-Tau (phospho S409) antibody (ab4861)

Predicted band size: 78 kDa

false

关键信息

宿主种属

Rabbit

克隆

Polyclonal

亚型

IgG

不含载体蛋白

No

反应种属

Mouse

应用

WB, IHC-P

applications

免疫原

Synthetic Peptide within Human MAPT phospho S409. The exact immunogen used to generate this antibody is proprietary information.

P10636

特异性

Phosphorylation site-specific antibody selective for the phosphorylated form of human tau containing a phosphate on serine 409.

The specificity of this antibody refers to P10636-8.

反应性数据

{ "title": "Reactivity Data", "filters": { "stats": ["", "Species", "Dilution Info", "Notes"], "tabs": { "all-applications": {"fullname" : "All Applications", "shortname": "All Applications"}, "WB" : {"fullname" : "Western blot", "shortname":"WB"}, "IHCP" : {"fullname" : "Immunohistochemistry (Formalin/PFA-fixed paraffin-embedded sections)", "shortname":"IHC-P"} }, "product-promise": { "all": "all", "testedAndGuaranteed": "tested", "guaranteed": "expected", "predicted": "predicted", "notRecommended": "not-recommended" } }, "values": { "Mouse": { "WB-species-checked": "guaranteed", "WB-species-dilution-info": "", "WB-species-notes": "", "IHCP-species-checked": "testedAndGuaranteed", "IHCP-species-dilution-info": "", "IHCP-species-notes": "<p></p>" }, "Rat": { "WB-species-checked": "predicted", "WB-species-dilution-info": "", "WB-species-notes": "", "IHCP-species-checked": "predicted", "IHCP-species-dilution-info": "", "IHCP-species-notes": "" }, "Recombinant fragment - Human": { "WB-species-checked": "testedAndGuaranteed", "WB-species-dilution-info": "1/1000", "WB-species-notes": "<p></p>", "IHCP-species-checked": "notRecommended", "IHCP-species-dilution-info": "", "IHCP-species-notes": "" } } }

性能和储存信息

形式
Liquid
纯化工艺
Affinity purification Immunogen
纯化说明
Purified from rabbit serum by sequential epitope-specific chromatography. The antibody has been negatively preadsorbed using a non-phosphopeptide corresponding to the site of phosphorylation to remove antibody that is reactive with non-phosphorylated tau. The final product is generated by affinity chromatography using a tau-derived peptide that is phosphorylated at serine 409.
存储溶液
pH: 7.3 Preservative: 0.05% Sodium azide Constituents: PBS, 50% Glycerol (glycerin, glycerine), 0.1% BSA
运输条件
Blue Ice
推荐的短期储存条件
+4°C
推荐的长期储存条件
-20°C
分装信息
Upon delivery aliquot
储存信息
Avoid freeze / thaw cycle

补充信息

This supplementary information is collated from multiple sources and compiled automatically.

Tau also known as microtubule-associated protein Tau (MAPT) plays an important role in stabilizing microtubules in neuronal cells. Tau is primarily found in the central nervous system but also exists in peripheral neurons. Human Tau protein comes in six isoforms due to alternative splicing with molecular weights ranging from 48 kDa to 67 kDa. This protein predominantly locates in the axons of neurons where it maintains the stability of microtubule tracks necessary for axonal transport.
Biological function summary

Tau is involved in the assembly and stabilization of microtubules essential for maintaining neuronal structure. It interacts with microtubule-binding domains (MBD) to bind and bundle microtubules facilitating intracellular transport. Tau forms a part of the neuronal cytoskeleton complex working closely with other cytoskeletal proteins to preserve the proper axonal transport and function. Abnormally phosphorylated Tau often termed phospho-Tau disrupts this complex affecting microtubule stability.

Pathways

Tau has critical involvement in several signaling cascades such as the microtubule-binding and transport pathways. Glycogen synthase kinase 3 beta (GSK3β) and cyclin-dependent kinase 5 (CDK5) frequently phosphorylate Tau controlling its interaction with microtubules. Phosphorylated Tau accumulates leading to the formation of neurofibrillary tangles often observed in neurodegenerative conditions. Additionally Tau interacts with GAPDH impacting cellular energy regulation through potential pathway cross-talk involving oxidative stress responses.

Tau is closely associated with Alzheimer's disease and frontotemporal dementia. In Alzheimer's disease hyperphosphorylated Tau aggregates into paired helical filaments forming neurofibrillary tangles while similar aggregates are observed in frontotemporal dementia. In these conditions Tau links to amyloid precursor protein (APP) where misregulated phosphorylation-driven interactions contribute to neurodegeneration. Identifying phospho-Tau and its altered interactions with related proteins aids in understanding and potentially treating these disorders.

产品实验方案

For this product, it's our understanding that no specific protocols are required. You can visit:

靶点信息

The protein expressed by the MAPT gene promotes microtubule assembly and stability and might be involved in establishing and maintaining neuronal polarity. Its C-terminus binds axonal microtubules, and the N-terminus binds neural plasma membrane components, suggesting that tau functions as a linker protein between the two. Axonal polarity is predetermined by MAPT localization within the neuronal cell's domain defined by the centrosome. The short isoforms allow cytoskeleton plasticity, whereas the longer isoforms may preferentially play a role in its stabilization. This supplementary information is collated from multiple sources and compiled automatically.
See full target information MAPT phospho S409

文献 (3)

Recent publications for all applications. Explore the full list and refine your search

Acta neuropathologica communications 7:192 PubMed31796124

2019

A post-translational modification signature defines changes in soluble tau correlating with oligomerization in early stage Alzheimer's disease brain.

Applications

Unspecified application

Species

Unspecified reactive species

Ebru Ercan-Herbst,Jens Ehrig,David C Schöndorf,Annika Behrendt,Bernd Klaus,Borja Gomez Ramos,Nuria Prat Oriol,Christian Weber,Dagmar E Ehrnhoefer

Molecular neurodegeneration 12:87 PubMed29157277

2017

A validated antibody panel for the characterization of tau post-translational modifications.

Applications

Unspecified application

Species

Unspecified reactive species

Ebru Ercan,Sameh Eid,Christian Weber,Alexandra Kowalski,Maria Bichmann,Annika Behrendt,Frank Matthes,Sybille Krauss,Peter Reinhardt,Simone Fulle,Dagmar E Ehrnhoefer

Neural plasticity 2010:340168 PubMed20508838

2010

Blockade of NR2A-containing NMDA receptors induces Tau phosphorylation in rat hippocampal slices.

Applications

WB

Species

Rat

Julie Allyson,Eve Dontigny,Yves Auberson,Michel Cyr,Guy Massicotte
View all publications

Abcam Product Promise

我们致力于为您的研究提供高质量的试剂,为您科研的每一步提供支持。若我们的产品未能达到预期性能,我们向您提供 Abcam Product Promise 保障。
详情请参阅我们的条款与条件。

关联产品

Select an associated product type
Alternative Product
Primary Antibodies

AB92682

Anti-Tau (phospho S356) antibody [EPR2603]

primary-antibodies

tau-phospho-s356-antibody-epr2603-ab92682

0

(0 reviews)

Alternative Product
Primary Antibodies

AB109390

Anti-Tau (phospho S396) antibody [EPR2731]

primary-antibodies

tau-phospho-s396-antibody-epr2731-ab109390

4

(13 reviews)

Alternative Product
Primary Antibodies

AB151559

Anti-Tau (phospho T231) antibody [EPR2488]

primary-antibodies

tau-phospho-t231-antibody-epr2488-ab151559

5

(6 reviews)

Alternative Product
Primary Antibodies

AB32057

Anti-Tau (phospho S396) antibody [E178]

primary-antibodies

tau-phospho-s396-antibody-e178-ab32057

5

(5 reviews)

Alternative Product
Primary Antibodies

AB170892

Anti-Tau (phospho S214) antibody [EPR1884(2)]

primary-antibodies

tau-phospho-s214-antibody-epr18842-ab170892

5

(1 reviews)

Alternative Product
Primary Antibodies

AB92676

Anti-Tau (phospho S404) antibody [EPR2605]

primary-antibodies

tau-phospho-s404-antibody-epr2605-ab92676

5

(4 reviews)

Alternative Product
Primary Antibodies

AB93726

Anti-Tau antibody [SP70]

primary-antibodies

tau-antibody-sp70-ab93726

5

(4 reviews)

Please note: All products are 'FOR RESEARCH USE ONLY. NOT FOR USE IN DIAGNOSTIC OR THERAPEUTIC PROCEDURES'.

For licensing inquiries, please contact partnerships@abcam.com