JavaScript is disabled in your browser. Please enable JavaScript to view this website.
AB210703

重组Anti-Tau (phospho S202 + T205)抗体[EPR20390]

Anti-Tau (phospho S202 + T205) antibody [EPR20390]

3

(3 Reviews)

|

(8 Publications)

Rabbit Recombinant Monoclonal TAU phospho S202 + T205 antibody. Suitable for IP, Dot, WB and reacts with Human, Synthetic peptide samples. Cited in 8 publications.

查看别名

MAPTL, MTBT1, TAU, MAPT, Microtubule-associated protein tau, Neurofibrillary tangle protein, Paired helical filament-tau, PHF-tau

4 Images
Immunoprecipitation - Anti-Tau (phospho S202 + T205) antibody [EPR20390] (AB210703)
  • IP

Lab

Immunoprecipitation - Anti-Tau (phospho S202 + T205) antibody [EPR20390] (AB210703)

Tau (phospho S202 + T205) was immunoprecipitated from 0.35 mg of human brain lysate with ab210703 at 1/30 dilution. Western blot was performed from the immunoprecipitate using ab210703 at 1/1000 dilution. VeriBlot for IP Detection Reagent (HRP) (ab131366), was used for detection at 1/10000 dilution.

Lane 1 : Human brain lysate 10 μg (Input).
Lane 2 : ab210703 IP in human brain lysate.
Lane 3 : Rabbit monoclonal IgG (ab172730) instead of ab210703 in human brain lysate.

Blocking and dilution buffer : 5% NFDM/TBST.

Exposure time : 8 seconds.

All lanes:

Immunoprecipitation - Anti-Tau (phospho S202 + T205) antibody [EPR20390] (ab210703)

Predicted band size: 78 kDa

false

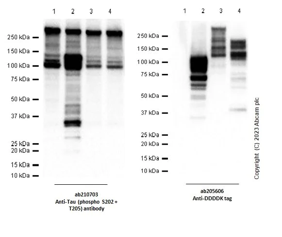
Western blot - Anti-Tau (phospho S202 + T205) antibody [EPR20390] (AB210703)
  • WB

Lab

Western blot - Anti-Tau (phospho S202 + T205) antibody [EPR20390] (AB210703)

Blocking and dilution buffer : 5% NFDM/TBST.

All lanes:

Western blot - Anti-Tau (phospho S202 + T205) antibody [EPR20390] (ab210703) at 1/1000 dilution

Lane 1:

293T cells transfected with an empty vector containing a flag tag whole cell lysate, at 20 µg

Lane 2:

293T cells transfected with a human Tau expression vector containing a flag whole cell lysate at 20 µg

Lane 3:

293T cells transfected with a human MAP2 expression vector containing a flag whole cell lysate at 20 µg

Lane 4:

293T cells transfected with a human MAP4 expression vector containing a flag whole cell lysate at 20 µg

Secondary

All lanes:

Western blot - Goat Anti-Rabbit IgG H&L (HRP) (<a href='/products/secondary-antibodies/goat-rabbit-igg-h-l-hrp-ab97051'>ab97051</a>) at 1/200000 dilution

Predicted band size: 78 kDa

Observed band size: 55-100 kDa

false

Western blot - Anti-Tau (phospho S202 + T205) antibody [EPR20390] (AB210703)
  • WB

Lab

Western blot - Anti-Tau (phospho S202 + T205) antibody [EPR20390] (AB210703)

Blocking and dilution buffer : 5% NFDM/TBST.

The molecular weight observed is consistent with what has been described in the literature (PMID : 21932121, PMID : 20660113).

All lanes:

Western blot - Anti-Tau (phospho S202 + T205) antibody [EPR20390] (ab210703) at 1/1000 dilution

Lane 1:

Human brain tissue lysate at 10 µg

Lane 2:

Alkaline phosphatase treated human brain tissue lysate (1 hour) at 10 µg

Secondary

All lanes:

Western blot - VeriBlot for IP Detection Reagent (HRP) (<a href='/products/reagents/veriblot-for-ip-detection-reagent-hrp-ab131366'>ab131366</a>) at 1/100000 dilution

Predicted band size: 78 kDa

Observed band size: 50-80 kDa

true

Exposure time: 3min

Dot Blot - Anti-Tau (phospho S202 + T205) antibody [EPR20390] (AB210703)
  • Dot

Supplier Data

Dot Blot - Anti-Tau (phospho S202 + T205) antibody [EPR20390] (AB210703)

Dot blot analysis of Tau (phospho S202+ T205) labeled with ab210703 at 1/1000 dilution.

Lane 1 : Tau (phospho S202 + T205) peptide.
Lane 2 : Tau (phospho S202) peptide.
Lane 3 : Tau (phospho T205) peptide.
Lane 4 : Tau non-phospho peptide.

Goat Anti-Rabbit IgG H&L (HRP) (ab97051) at 1/100000 dilution was used as secondary antibody.

Blocking and dilution buffer : 5% NFDM/TBST.

Exposure time : 3 minutes.

不同偶联物与剂型 (1)

  • Carrier free

    Anti-Tau (phospho S202 + T205) antibody [EPR20390] - BSA and Azide free

关键信息

宿主种属

Rabbit

克隆

Monoclonal

克隆号

EPR20390

亚型

IgG

不含载体蛋白

No

反应种属

Human

应用

WB, Dot, IP

applications

免疫原

The exact immunogen used to generate this antibody is proprietary information.

特异性

The specificity of this antibody refers to P10636-8.

反应性数据

{ "title": "Reactivity Data", "filters": { "stats": ["", "Species", "Dilution Info", "Notes"], "tabs": { "all-applications": {"fullname" : "All Applications", "shortname": "All Applications"}, "IP" : {"fullname" : "Immunoprecipitation", "shortname":"IP"}, "Dot" : {"fullname" : "Dot Blot", "shortname":"Dot"}, "WB" : {"fullname" : "Western blot", "shortname":"WB"} }, "product-promise": { "all": "all", "testedAndGuaranteed": "tested", "guaranteed": "expected", "predicted": "predicted", "notRecommended": "not-recommended" } }, "values": { "Human": { "IP-species-checked": "testedAndGuaranteed", "IP-species-dilution-info": "1/30", "IP-species-notes": "<p></p>", "Dot-species-checked": "guaranteed", "Dot-species-dilution-info": "", "Dot-species-notes": "", "WB-species-checked": "testedAndGuaranteed", "WB-species-dilution-info": "1/1000", "WB-species-notes": "<p></p>" }, "Synthetic peptide": { "IP-species-checked": "notRecommended", "IP-species-dilution-info": "", "IP-species-notes": "", "Dot-species-checked": "testedAndGuaranteed", "Dot-species-dilution-info": "1/1000", "Dot-species-notes": "<p></p>", "WB-species-checked": "notRecommended", "WB-species-dilution-info": "", "WB-species-notes": "" } } }

产品详情

Patented technology
Our RabMAb® technology is a patented hybridoma-based technology for making rabbit monoclonal antibodies. For details on our patents, please refer to RabMAb® patents.

What are the advantages of a recombinant monoclonal antibody?
This product is a recombinant monoclonal antibody, which offers several advantages including:

  • - High batch-to-batch consistency and reproducibility
  • - Improved sensitivity and specificity
  • - Long-term security of supply
  • - Animal-free batch production

For more information, read more on recombinant antibodies.

性能和储存信息

形式
Liquid
纯化工艺
Affinity purification Protein A
存储溶液
pH: 7.2 - 7.4 Preservative: 0.01% Sodium azide Constituents: PBS, 40% Glycerol (glycerin, glycerine), 0.05% BSA
运输条件
Blue Ice
推荐的短期储存时间
1-2 weeks
推荐的短期储存条件
+4°C
推荐的长期储存条件
-20°C
分装信息
Upon delivery aliquot
储存信息
Avoid freeze / thaw cycle

补充信息

This supplementary information is collated from multiple sources and compiled automatically.

Tau also known as microtubule-associated protein Tau (MAPT) plays an important role in stabilizing microtubules in neuronal cells. Tau is primarily found in the central nervous system but also exists in peripheral neurons. Human Tau protein comes in six isoforms due to alternative splicing with molecular weights ranging from 48 kDa to 67 kDa. This protein predominantly locates in the axons of neurons where it maintains the stability of microtubule tracks necessary for axonal transport.
Biological function summary

Tau is involved in the assembly and stabilization of microtubules essential for maintaining neuronal structure. It interacts with microtubule-binding domains (MBD) to bind and bundle microtubules facilitating intracellular transport. Tau forms a part of the neuronal cytoskeleton complex working closely with other cytoskeletal proteins to preserve the proper axonal transport and function. Abnormally phosphorylated Tau often termed phospho-Tau disrupts this complex affecting microtubule stability.

Pathways

Tau has critical involvement in several signaling cascades such as the microtubule-binding and transport pathways. Glycogen synthase kinase 3 beta (GSK3β) and cyclin-dependent kinase 5 (CDK5) frequently phosphorylate Tau controlling its interaction with microtubules. Phosphorylated Tau accumulates leading to the formation of neurofibrillary tangles often observed in neurodegenerative conditions. Additionally Tau interacts with GAPDH impacting cellular energy regulation through potential pathway cross-talk involving oxidative stress responses.

Tau is closely associated with Alzheimer's disease and frontotemporal dementia. In Alzheimer's disease hyperphosphorylated Tau aggregates into paired helical filaments forming neurofibrillary tangles while similar aggregates are observed in frontotemporal dementia. In these conditions Tau links to amyloid precursor protein (APP) where misregulated phosphorylation-driven interactions contribute to neurodegeneration. Identifying phospho-Tau and its altered interactions with related proteins aids in understanding and potentially treating these disorders.

产品实验方案

For this product, it's our understanding that no specific protocols are required. You can visit:

靶点信息

Promotes microtubule assembly and stability, and might be involved in the establishment and maintenance of neuronal polarity (PubMed : 21985311). The C-terminus binds axonal microtubules while the N-terminus binds neural plasma membrane components, suggesting that tau functions as a linker protein between both (PubMed : 21985311, PubMed : 32961270). Axonal polarity is predetermined by TAU/MAPT localization (in the neuronal cell) in the domain of the cell body defined by the centrosome. The short isoforms allow plasticity of the cytoskeleton whereas the longer isoforms may preferentially play a role in its stabilization.
See full target information MAPT phospho S202 + T205

文献 (8)

Recent publications for all applications. Explore the full list and refine your search

Life metabolism 4:loaf028 PubMed41070195

2025

The brown fat-enriched exosomal miR-206-3p attenuates hepatic lipogenesis by decreasing pentose phosphate pathway.

Applications

Unspecified application

Species

Unspecified reactive species

Li-Jie Yang,Qiu-Kai Tang,Lei Wang,Yan-Jue Song,Zhen-Yu Xu,Xi-Ni Ma,Yang Liu,Shu-Wen Qian,Qi-Qun Tang,Yan Tang

EMBO molecular medicine 16:2856-2881 PubMed39394468

2024

Targeting USP11 regulation by a novel lithium-organic coordination compound improves neuropathologies and cognitive functions in Alzheimer transgenic mice.

Applications

Unspecified application

Species

Unspecified reactive species

Yi Guo,Chuanbin Cai,Bingjie Zhang,Bo Tan,Qinmin Tang,Zhifeng Lei,Xiaolan Qi,Jiang Chen,Xiaojiang Zheng,Dan Zi,Song Li,Jun Tan

In vitro cellular & developmental biology. Animal 60:1058-1067 PubMed39017752

2024

Differentiation of SH-SY5Y neuroblastoma cells using retinoic acid and BDNF: a model for neuronal and synaptic differentiation in neurodegeneration.

Applications

Unspecified application

Species

Unspecified reactive species

Imogen L Targett,Lucy A Crompton,Myra E Conway,Tim J Craig

Nature neuroscience 26:1365-1378 PubMed37429912

2023

Heart failure-induced cognitive dysfunction is mediated by intracellular Ca leak through ryanodine receptor type 2.

Applications

Unspecified application

Species

Unspecified reactive species

Haikel Dridi,Yang Liu,Steven Reiken,Xiaoping Liu,Elentina K Argyrousi,Qi Yuan,Marco C Miotto,Leah Sittenfeld,Andrei Meddar,Rajesh Kumar Soni,Ottavio Arancio,Alain Lacampagne,Andrew R Marks

iScience 26:106375 PubMed37035000

2023

INPP5D modulates TREM2 loss-of-function phenotypes in a β-amyloidosis mouse model.

Applications

Unspecified application

Species

Unspecified reactive species

Akihiro Iguchi,Sho Takatori,Shingo Kimura,Hiroki Muneto,Kai Wang,Hayato Etani,Genta Ito,Haruaki Sato,Yukiko Hori,Junko Sasaki,Takashi Saito,Takaomi C Saido,Tsuneya Ikezu,Toshiyuki Takai,Takehiko Sasaki,Taisuke Tomita

Bio-protocol 13:e4594 PubMed36789169

2023

Methods to detect AUTOphagy-Targeting Chimera (AUTOTAC)-mediated Targeted Protein Degradation in Tauopathies.

Applications

Unspecified application

Species

Unspecified reactive species

Min Ju Lee,Su Bin Kim,Hee Yeon Kim,Su Jin Lee,Ji Su Lee,Yong Tae Kwon,Chang Hoon Ji

Journal of healthcare engineering 2022:4602428 PubMed35035837

2022

Neuroprotective Effects of Probiotic-Supplemented Diet on Cognitive Behavior of 3xTg-AD Mice.

Applications

Unspecified application

Species

Unspecified reactive species

Chenxi Tan,Yang Liu,Huiyi Zhang,Cihan Di,Dechao Xu,Chunming Liang,Ningning Zhang,Bing Han,Weiya Lang

Journal of Alzheimer's disease reports 5:283-294 PubMed34113785

2021

Aluminum and Tau in Neurofibrillary Tangles in Familial Alzheimer's Disease.

Applications

Unspecified application

Species

Unspecified reactive species

Matthew John Mold,Adam O'Farrell,Benjamin Morris,Christopher Exley
View all publications

Abcam Product Promise

我们致力于为您的研究提供高质量的试剂,为您科研的每一步提供支持。若我们的产品未能达到预期性能,我们向您提供 Abcam Product Promise 保障。
详情请参阅我们的条款与条件。

Please note: All products are 'FOR RESEARCH USE ONLY. NOT FOR USE IN DIAGNOSTIC OR THERAPEUTIC PROCEDURES'.

For licensing inquiries, please contact partnerships@abcam.com