JavaScript is disabled in your browser. Please enable JavaScript to view this website.
AB121146

Anti-TAGLN2抗体

Anti-TAGLN2 antibody

5

(1 Review)

|

(12 Publications)

Rabbit Polyclonal TAGLN2 antibody. Suitable for IHC-P, WB, ICC/IF and reacts with Human, Mouse, Rat samples. Cited in 12 publications. Immunogen corresponding to Recombinant Fragment Protein within Human TAGLN2 aa 1-150.

查看别名

KIAA0120, CDABP0035, TAGLN2, Transgelin-2, Epididymis tissue protein Li 7e, SM22-alpha homolog

4 Images
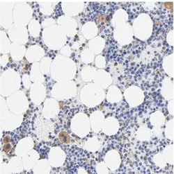
Immunohistochemistry (Formalin/PFA-fixed paraffin-embedded sections) - Anti-TAGLN2 antibody (AB121146)
  • IHC-P

Unknown

Immunohistochemistry (Formalin/PFA-fixed paraffin-embedded sections) - Anti-TAGLN2 antibody (AB121146)

Immunohistochemical staining of Human bone marrow with ab121146 at 1/500 dilution.

Immunocytochemistry/ Immunofluorescence - Anti-TAGLN2 antibody (AB121146)
  • ICC/IF

Unknown

Immunocytochemistry/ Immunofluorescence - Anti-TAGLN2 antibody (AB121146)

Immunofluorescent staining of Human cell line U-2 OS shows positivity in cytoskeleton (actin filaments). Recommended concentration of ab121146 1-4 µg/ml. Cells treated with PFA/Triton X-100.

Western blot - Anti-TAGLN2 antibody (AB121146)
  • WB

Supplier Data

Western blot - Anti-TAGLN2 antibody (AB121146)

Lane 1:

Western blot - Anti-TAGLN2 antibody (ab121146)

Lane 2:

Western blot - Anti-TAGLN2 antibody (ab121146) at 0.4 µg/mL

All lanes:

A431 cells

Predicted band size: 22 kDa

false

Western blot - Anti-TAGLN2 antibody (AB121146)
  • WB

Supplier Data

Western blot - Anti-TAGLN2 antibody (AB121146)

All lanes:

Western blot - Anti-TAGLN2 antibody (ab121146) at 0.4 µg/mL

Lane 1:

NIH/3T3 cells

Lane 2:

NBT-II cells

Predicted band size: 22 kDa

false

关键信息

宿主种属

Rabbit

克隆

Polyclonal

亚型

IgG

不含载体蛋白

No

反应种属

Mouse, Rat, Human

应用

IHC-P, ICC/IF, WB

applications

免疫原

Recombinant Fragment Protein within Human TAGLN2 aa 1-150. The exact immunogen used to generate this antibody is proprietary information.

P37802

反应性数据

{ "title": "Reactivity Data", "filters": { "stats": ["", "Species", "Dilution Info", "Notes"], "tabs": { "all-applications": {"fullname" : "All Applications", "shortname": "All Applications"}, "IHCP" : {"fullname" : "Immunohistochemistry (Formalin/PFA-fixed paraffin-embedded sections)", "shortname":"IHC-P"}, "WB" : {"fullname" : "Western blot", "shortname":"WB"}, "ICCIF" : {"fullname" : "Immunocytochemistry/ Immunofluorescence", "shortname":"ICC/IF"} }, "product-promise": { "all": "all", "testedAndGuaranteed": "tested", "guaranteed": "expected", "predicted": "predicted", "notRecommended": "not-recommended" } }, "values": { "Human": { "IHCP-species-checked": "testedAndGuaranteed", "IHCP-species-dilution-info": "1/200 - 1/500", "IHCP-species-notes": "<p>Use buffer at pH 6 for antigen retrieval.</p> Perform heat-mediated antigen retrieval with citrate buffer pH 6 before commencing with IHC staining protocol.", "WB-species-checked": "testedAndGuaranteed", "WB-species-dilution-info": "0.04-0.4 µg/mL", "WB-species-notes": "<p></p>", "ICCIF-species-checked": "testedAndGuaranteed", "ICCIF-species-dilution-info": "0.25-2 µg/mL", "ICCIF-species-notes": "<p></p>" }, "Mouse": { "IHCP-species-checked": "guaranteed", "IHCP-species-dilution-info": "", "IHCP-species-notes": "", "WB-species-checked": "testedAndGuaranteed", "WB-species-dilution-info": "0.04-0.4 µg/mL", "WB-species-notes": "<p></p>", "ICCIF-species-checked": "guaranteed", "ICCIF-species-dilution-info": "", "ICCIF-species-notes": "" }, "Rat": { "IHCP-species-checked": "guaranteed", "IHCP-species-dilution-info": "", "IHCP-species-notes": "", "WB-species-checked": "testedAndGuaranteed", "WB-species-dilution-info": "0.04-0.4 µg/mL", "WB-species-notes": "<p></p>", "ICCIF-species-checked": "guaranteed", "ICCIF-species-dilution-info": "", "ICCIF-species-notes": "" } } }

性能和储存信息

形式
Liquid
纯化工艺
Affinity purification Immunogen
存储溶液
pH: 7.2 Preservative: 0.02% Sodium azide Constituents: PBS, 40% Glycerol (glycerin, glycerine)
运输条件
Blue Ice
推荐的短期储存条件
+4°C
推荐的长期储存条件
-20°C
分装信息
Upon delivery aliquot
储存信息
Avoid freeze / thaw cycle

补充信息

This supplementary information is collated from multiple sources and compiled automatically.

TAGLN2 also known as Transgelin-2 is a protein with a mass of approximately 22 kDa. It functions as an actin-binding protein playing a role in the stabilization of actin filaments. This activity is important for the regulation of cellular shape and motility. TAGLN2 expression is present in various tissues with high levels seen in smooth muscle cells. Additionally its expression in non-muscle tissues indicates a versatile function in the cytoskeletal dynamics of different cell types.
Biological function summary

The protein aids in maintaining cell structure and facilitates cell movement and adhesion. TAGLN2 is a monomer and does not form complexes but interacts closely with actin to regulate cytoskeletal processes. It acts as a modulator of actin filament organization which impacts cellular responses. The protein supports processes such as wound healing and embryonic development by influencing the migration and invasion of cells.

Pathways

TAGLN2 influences cellular mechanisms related to the actin cytoskeleton structure and dynamics. It plays a role in the Rho signaling pathway which is essential for cytoskeletal rearrangement and maintaining cellular tension. The protein associates with RhoA a small GTPase which is involved in mediating various functions including contractility and motility. Through RhoA TAGLN2 impacts cell morphology and stress fiber formation.

Abnormal expression or function of TAGLN2 connects with different pathological conditions like cancer and cardiovascular diseases. Overexpression of TAGLN2 has been linked to enhanced tumor cell migration and metastasis making it relevant in cancer progression studies. The protein also associates with TRPC6 in cardiovascular disorders where dysregulation may lead to altered vascular function contributing to the disease state. Insights into TAGLN2 can aid in developing therapeutic strategies for managing these conditions.

产品实验方案

For this product, it's our understanding that no specific protocols are required. You can visit:

文献 (12)

Recent publications for all applications. Explore the full list and refine your search

Cell proliferation 58:e13755 PubMed39329203

2024

Dynamic transcriptomic and regulatory networks underpinning the transition from fetal primordial germ cells to spermatogonia in mice.

Applications

Unspecified application

Species

Unspecified reactive species

Jiexiang Zhao,Kang Tang,Gurong Jiang,Xinyan Yang,Manman Cui,Cong Wan,Zhaoxiang Ouyang,Yi Zheng,Zhaoting Liu,Mei Wang,Xiao-Yang Zhao,Gang Chang

iScience 27:109342 PubMed38495819

2024

Identity and nature of neural stem cells in the adult human subventricular zone.

Applications

Unspecified application

Species

Unspecified reactive species

Salma Baig,Javad Nadaf,Redouane Allache,Phuong U Le,Michael Luo,Annisa Djedid,Andriniaina Nkili-Meyong,Maryam Safisamghabadi,Alex Prat,Jack Antel,Marie-Christine Guiot,Kevin Petrecca

Bioengineered 13:11646-11655 PubMed35505656

2022

Salvianolic acid A (Sal A) suppresses malignant progression of glioma and enhances temozolomide (TMZ) sensitivity via repressing transgelin-2 (TAGLN2) mediated phosphatidylinositol-3-kinase (PI3K) / protein kinase B (Akt) pathway.

Applications

Unspecified application

Species

Unspecified reactive species

Tingting Ye,Rongrong Chen,Yu Zhou,Juan Zhang,Zhongqin Zhang,Hui Wei,Yan Xu,Yulan Wang,Yinlan Zhang

Cardiovascular therapeutics 2022:9966306 PubMed35360546

2022

Upregulated miR-206 Aggravates Deep Vein Thrombosis by Regulating GJA1-Mediated Autophagy of Endothelial Progenitor Cells.

Applications

Unspecified application

Species

Unspecified reactive species

Yan Li,Jingping Ge,Yuanyuan Yin,Ruowen Yang,Jie Kong,Jianping Gu

Frontiers in cell and developmental biology 10:810633 PubMed35281112

2022

TAGLN2-Regulated Trophoblast Migration, Invasion and Fusion are Impaired in Preeclampsia.

Applications

Unspecified application

Species

Unspecified reactive species

Hao Wang,Xiaowei Zhang,Chunfeng Liu,Shengfu Chen,Xinyang Liu,Shangrong Fan

Experimental and therapeutic medicine 22:824 PubMed34149870

2021

miR-133a-3p regulates the proliferation and apoptosis of intestinal epithelial cells by modulating the expression of TAGLN2.

Applications

Unspecified application

Species

Unspecified reactive species

Xiaoxi Tian,Lihong Li,Guoqiang Fu,Jianyu Wang,Qianfeng He,Cuicui Zhang,Bingrui Qin,Jiahui Wang

International journal of molecular medicine 48: PubMed33982775

2021

MicroRNA‑133b alleviates doxorubicin‑induced cardiomyocyte apoptosis and cardiac fibrosis by targeting PTBP1 and TAGLN2.

Applications

Unspecified application

Species

Unspecified reactive species

Zhen Li,Zekang Ye,Jiazheng Ma,Qian Gu,Jianzhen Teng,Xiaoxuan Gong

Experimental cell research 404:112619 PubMed33965400

2021

Determining the domain-level reaction-diffusion properties of an actin-binding protein transgelin-2 within cells.

Applications

Unspecified application

Species

Unspecified reactive species

Takumi Saito,Daiki Matsunaga,Tsubasa S Matsui,Kentaro Noi,Shinji Deguchi

Journal of cell science 133: PubMed32467330

2020

Transgelin-2 and phosphoregulation of the LIC2 subunit of dynein govern mitotic spindle orientation.

Applications

Unspecified application

Species

Unspecified reactive species

Amit Sharma,Sunayana Dagar,Sivaram V S Mylavarapu

Journal of cellular physiology 234:4910-4923 PubMed30317571

2018

MicroRNA-133b suppresses bladder cancer malignancy by targeting TAGLN2-mediated cell cycle.

Applications

Unspecified application

Species

Unspecified reactive species

Feng Zhao,Liu-Hua Zhou,Yu-Zheng Ge,Wen-Wen Ping,Xin Wu,Zhong-Le Xu,Min Wang,Zuo-Liang Sha,Rui-Peng Jia
View all publications

Abcam Product Promise

我们致力于为您的研究提供高质量的试剂,为您科研的每一步提供支持。若我们的产品未能达到预期性能,我们向您提供 Abcam Product Promise 保障。
详情请参阅我们的条款与条件。

Please note: All products are 'FOR RESEARCH USE ONLY. NOT FOR USE IN DIAGNOSTIC OR THERAPEUTIC PROCEDURES'.

For licensing inquiries, please contact partnerships@abcam.com