JavaScript is disabled in your browser. Please enable JavaScript to view this website.
AB150525

Anti-T1R3 抗体

Anti-T1R3 antibody

4

(1 Review)

|

(6 Publications)

Rabbit Polyclonal T1R3 antibody. Suitable for IHC-P and reacts with Human samples. Cited in 6 publications. Immunogen corresponding to Synthetic Peptide within Human TAS1R3.

查看别名

T1R3, TR3, TAS1R3, Taste receptor type 1 member 3, Sweet taste receptor T1R3

2 Images
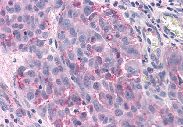
Immunohistochemistry (Formalin/PFA-fixed paraffin-embedded sections) - Anti-T1R3 antibody (AB150525)
  • IHC-P

Unknown

Immunohistochemistry (Formalin/PFA-fixed paraffin-embedded sections) - Anti-T1R3 antibody (AB150525)

Immunohistochemical analysis of formalin-fixed, paraffin-embedded Human tongue, squamous epithelium labelling T1R3 with ab150525 at 17 μg/ml.

Immunohistochemistry (Formalin/PFA-fixed paraffin-embedded sections) - Anti-T1R3 antibody (AB150525)
  • IHC-P

Supplier Data

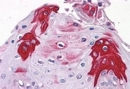
Immunohistochemistry (Formalin/PFA-fixed paraffin-embedded sections) - Anti-T1R3 antibody (AB150525)

Immunohistochemistry (Formalin/PFA-fixed paraffin-embedded sections) analysis of human skin tissue labelling T1R3 with ab150525. Heat-induced antigen retrieval was performed.

关键信息

宿主种属

Rabbit

克隆

Polyclonal

亚型

IgG

不含载体蛋白

No

反应种属

Human

应用

IHC-P

applications

免疫原

Synthetic Peptide within Human TAS1R3. The exact immunogen used to generate this antibody is proprietary information.

Q7RTX0

特异性

BLAST analysis of the peptide immunogen showed no homology with other Human proteins.

反应性数据

{ "title": "Reactivity Data", "filters": { "stats": ["", "Species", "Dilution Info", "Notes"], "tabs": { "all-applications": {"fullname" : "All Applications", "shortname": "All Applications"}, "IHCP" : {"fullname" : "Immunohistochemistry (Formalin/PFA-fixed paraffin-embedded sections)", "shortname":"IHC-P"} }, "product-promise": { "all": "all", "testedAndGuaranteed": "tested", "guaranteed": "expected", "predicted": "predicted", "notRecommended": "not-recommended" } }, "values": { "Human": { "IHCP-species-checked": "testedAndGuaranteed", "IHCP-species-dilution-info": "10-20 µg/mL", "IHCP-species-notes": "<p></p> Perform heat-mediated antigen retrieval before commencing with IHC staining protocol." }, "Baboon": { "IHCP-species-checked": "predicted", "IHCP-species-dilution-info": "", "IHCP-species-notes": "" }, "Chimpanzee": { "IHCP-species-checked": "predicted", "IHCP-species-dilution-info": "", "IHCP-species-notes": "" }, "Gorilla": { "IHCP-species-checked": "predicted", "IHCP-species-dilution-info": "", "IHCP-species-notes": "" } } }

性能和储存信息

形式
Liquid
纯化工艺
Affinity purification Immunogen
存储溶液
pH: 7.4 Preservative: 0.1% Sodium azide Constituents: PBS
运输条件
Blue Ice
推荐的短期储存时间
1-2 weeks
推荐的短期储存条件
+4°C
推荐的长期储存条件
-20°C
分装信息
Upon delivery aliquot
储存信息
Avoid freeze / thaw cycle

补充信息

This supplementary information is collated from multiple sources and compiled automatically.

T1R3 also known as TAS1R3 functions as a taste receptor. Weighing around 90kDa T1R3 is part of the G protein-coupled receptor family. It is largely expressed in the taste buds on the tongue and some extraoral tissues. T1R3 partners with TAS1R1 or TAS1R2 to detect umami and sweet taste respectively. This protein is critical in the detection and signaling of taste perceptions in the gustatory pathways.
Biological function summary

T1R3 plays a role in nutrient sensing and metabolic regulation. As part of a receptor complex T1R3 partners with TAS1R2 to form a sweet taste receptor and pairs with TAS1R1 to form an umami receptor. This pairing occurs at the cell surface in the taste buds and is vital for the recognition of specific ligands like amino acids and sugars. T1R3's ability to sense nutrients impacts digestive processes and energy balance.

Pathways

T1R3 involvement extends to signaling pathways related to taste signaling and energy homeostasis. T1R3 activates taste GPCR pathways which contribute to neurotransmitter release in taste perceptions. It connects to the phosphatidylinositol signaling system pathway impacting cellular processes through interaction with proteins like PLCβ2. T1R3 also interfaces with cellular mechanisms influenced by serotonin and glutamate receptors.

T1R3 has a connection to metabolic diseases including obesity and diabetes. It influences glucose metabolism and energy intake linking it to these conditions. T1R3 has interactions with other proteins such as leptin which is involved in body weight regulation. Impairment or alterations in T1R3 function can correlate with dietary-related disorders impacting disease progression through metabolic pathways.

产品实验方案

For this product, it's our understanding that no specific protocols are required. You can visit:

靶点信息

Putative taste receptor. TAS1R1/TAS1R3 responds to the umami taste stimulus (the taste of monosodium glutamate). TAS1R2/TAS1R3 recognizes diverse natural and synthetic sweeteners. TAS1R3 is essential for the recognition and response to the disaccharide trehalose (By similarity). Sequence differences within and between species can significantly influence the selectivity and specificity of taste responses.
See full target information TAS1R3

文献 (6)

Recent publications for all applications. Explore the full list and refine your search

Frontiers in nutrition 8:720889 PubMed34422887

2021

Drinking Non-nutritive Sweetness Solution of Sodium Saccharin or Rebaudioside a for Guinea Pigs: Influence on Histologic Change and Expression of Sweet Taste Receptors in Testis and Epididymis.

Applications

Unspecified application

Species

Unspecified reactive species

Ting Shen,Junrong Li

Animals : an open access journal from MDPI 11: PubMed33567555

2021

Longitudinal Expression of Testicular from Prepuberty to Sexual Maturity in Congjiang Xiang Pigs.

Applications

Unspecified application

Species

Unspecified reactive species

Ting Gong,Weiyong Wang,Houqiang Xu,Yi Yang,Xiang Chen,Lijie Meng,Yongjian Xu,Ziqing Li,Sufang Wan,Qi Mu

Animal science journal = Nihon chikusan Gakkaiho 91:e13348 PubMed32219957

2020

Influences of non-nutritive sweeteners on ovarian and uterine expression of T1R2 and T1R3 in peripubertal female guinea pigs.

Applications

Unspecified application

Species

Unspecified reactive species

Junrong Li,Ting Shen,Fangxiong Shi,Yan Fu

Bioscience reports 39: PubMed31652447

2019

Thousand and one kinase 1 protects MCAO-induced cerebral ischemic stroke in rats by decreasing apoptosis and pro-inflammatory factors.

Applications

Unspecified application

Species

Unspecified reactive species

Jiahui Li,Zhijie Liu,Liling Wang,Haiyan Xu,Yulin Wang

Journal of agricultural and food chemistry 67:6809-6818 PubMed31134808

2019

Dietary Branched-Chain Amino Acids Regulate Food Intake Partly through Intestinal and Hypothalamic Amino Acid Receptors in Piglets.

Applications

Unspecified application

Species

Unspecified reactive species

Min Tian,Jinghui Heng,Hanqing Song,Kui Shi,Xiaofeng Lin,Fang Chen,Wutai Guan,Shihai Zhang

Food & function 10:3356-3367 PubMed31098606

2019

Branched chain amino acids stimulate gut satiety hormone cholecystokinin secretion through activation of the umami taste receptor T1R1/T1R3 using an in vitro porcine jejunum model.

Applications

Unspecified application

Species

Unspecified reactive species

Min Tian,Jinghui Heng,Hanqing Song,Yufeng Zhang,Fang Chen,Wutai Guan,Shihai Zhang
View all publications

Abcam Product Promise

我们致力于为您的研究提供高质量的试剂,为您科研的每一步提供支持。若我们的产品未能达到预期性能,我们向您提供 Abcam Product Promise 保障。
详情请参阅我们的条款与条件。

Please note: All products are 'FOR RESEARCH USE ONLY. NOT FOR USE IN DIAGNOSTIC OR THERAPEUTIC PROCEDURES'.

For licensing inquiries, please contact partnerships@abcam.com