JavaScript is disabled in your browser. Please enable JavaScript to view this website.
AB302627

重组Anti-SYT1抗体[EPR24488-129]

Anti-SYT1 antibody [EPR24488-129]

Be the first to review this product! Submit a review

|

(3 Publications)

Rabbit Recombinant Monoclonal SYT1 antibody. Suitable for Flow Cyt (Intra), ICC/IF, IHC-Fr, IHC-P, WB and reacts with Mouse, Rat, Human samples. Cited in 3 publications.

查看别名

SVP65, SYT, SYT1, Synaptotagmin-1, Synaptotagmin I, p65, SytI

12 Images
Flow Cytometry (Intracellular) - Anti-SYT1 antibody [EPR24488-129] (AB302627)
  • Flow Cyt (Intra)

Supplier Data

Flow Cytometry (Intracellular) - Anti-SYT1 antibody [EPR24488-129] (AB302627)

Flow cytometric analysis of 4% paraformaldehyde fixed 90% methanol permeabilized Mouse primary neuron cell cells labelling Synaptotagmin-1 with ab302627 at 1/50 dilution (1ug)/ Right (Red) compared with a Rabbit monoclonal IgG (ab172730) / Left isotype control and an unlabelled control (cells without incubation with primary antibody and secondary antibody) (Blue). A Goat Anti-Rabbit IgG (Alexa Fluor® 488, ab150081) at 1/2000 dilution was used as the secondary antibody.

Immunohistochemistry (Formalin/PFA-fixed paraffin-embedded sections) - Anti-SYT1 antibody [EPR24488-129] (AB302627)
  • IHC-P

Supplier Data

Immunohistochemistry (Formalin/PFA-fixed paraffin-embedded sections) - Anti-SYT1 antibody [EPR24488-129] (AB302627)

Immunohistochemical analysis of paraffin-embedded Rat colon tissue labeling Synaptotagmin-1 with ab302627 at 1/20000 (0.024 ug/ml) followed by a ready to use Goat Anti-Rabbit IgG H&L (HRP polymer). Positive staining on nerve plexus of rat colon. The section was incubated with ab302627 at 4°C overnight. Counterstained with Hematoxylin. Secondary antibody only control : Secondary antibody is a ready to use Goat Anti-Rabbit IgG H&L (HRP polymer). Heat mediated antigen retrieval with Tris-EDTA buffer (pH 9.0, epitope retrieval solution2) for 20 mins

Immunohistochemistry (Frozen sections) - Anti-SYT1 antibody [EPR24488-129] (AB302627)
  • IHC-Fr

Supplier Data

Immunohistochemistry (Frozen sections) - Anti-SYT1 antibody [EPR24488-129] (AB302627)

Immunohistochemical analysis of 4% PFA-fixed, 0.2% Triton X-100 permeabilized frozen Rat cerebellum (fresh) tissue labeling Synaptotagmin-1 with ab302627 at 1/50 (9.64 ug/ml) dilution followed by ab150081 Goat Anti-Rabbit IgG H&L (Alexa Fluor® 488) preadsorbed at 1/1000 2 ug/mL dilution (Green). Positive staining on rat cerebellum is observed. The nuclear counterstain was DAPI (Blue).

Secondary antibody control : Secondary antibody is ab150081 Goat Anti-Rabbit IgG H&L (Alexa Fluor® 488) preadsorbedat 1/1000 2 ug/mL dilution.

Flow Cytometry (Intracellular) - Anti-SYT1 antibody [EPR24488-129] (AB302627)
  • Flow Cyt (Intra)

Supplier Data

Flow Cytometry (Intracellular) - Anti-SYT1 antibody [EPR24488-129] (AB302627)

Flow cytometric analysis of 4% paraformaldehyde fixed 90% methanol permeabilized Rat primary neuron cell cells labelling Synaptotagmin-1 with ab302627 at 1/50 dilution (1ug)/ Right (Red) compared with a Rabbit monoclonal IgG (ab172730) / Left isotype control and an unlabelled control (cells without incubation with primary antibody and secondary antibody) (Blue). A Goat Anti-Rabbit IgG (Alexa Fluor® 488, ab150081) at 1/2000 dilution was used as the secondary antibody.

Immunohistochemistry (Formalin/PFA-fixed paraffin-embedded sections) - Anti-SYT1 antibody [EPR24488-129] (AB302627)
  • IHC-P

Supplier Data

Immunohistochemistry (Formalin/PFA-fixed paraffin-embedded sections) - Anti-SYT1 antibody [EPR24488-129] (AB302627)

Immunohistochemical analysis of paraffin-embedded Rat testis tissue labeling Synaptotagmin-1 with ab302627 at 1/20000 (0.024 ug/ml) followed by a ready to use Goat Anti-Rabbit IgG H&L (HRP polymer). Negative control : No staining on rat testis. The section was incubated with ab302627 at 4°C overnight. Counterstained with Hematoxylin. Secondary antibody only control : Secondary antibody is a ready to use Goat Anti-Rabbit IgG H&L (HRP polymer). Heat mediated antigen retrieval with Tris-EDTA buffer (pH 9.0, epitope retrieval solution2) for 20 mins

Immunohistochemistry (Formalin/PFA-fixed paraffin-embedded sections) - Anti-SYT1 antibody [EPR24488-129] (AB302627)
  • IHC-P

Supplier Data

Immunohistochemistry (Formalin/PFA-fixed paraffin-embedded sections) - Anti-SYT1 antibody [EPR24488-129] (AB302627)

Immunohistochemical analysis of paraffin-embedded Rat cerebrum tissue labeling Synaptotagmin-1 with ab302627 at 1/20000 (0.024 ug/ml) followed by a ready to use Goat Anti-Rabbit IgG H&L (HRP polymer). Positive staining on rat cerebrum (PMID : 17190793). The section was incubated with ab302627 at 4°C overnight. Counterstained with Hematoxylin. Secondary antibody only control : Secondary antibody is a ready to use Goat Anti-Rabbit IgG H&L (HRP polymer). Heat mediated antigen retrieval with Tris-EDTA buffer (pH 9.0, epitope retrieval solution2) for 20 mins

Immunohistochemistry (Frozen sections) - Anti-SYT1 antibody [EPR24488-129] (AB302627)
  • IHC-Fr

Supplier Data

Immunohistochemistry (Frozen sections) - Anti-SYT1 antibody [EPR24488-129] (AB302627)

Immunohistochemical analysis of 4% PFA-fixed, 0.2% Triton X-100 permeabilized frozen Rat liver (fresh) tissue labeling Synaptotagmin-1 with ab302627 at 1/50 (9.64 ug/ml) dilution followed by ab150081 Goat Anti-Rabbit IgG H&L (Alexa Fluor® 488) preadsorbed at 1/1000 2 ug/mL dilution (Green). Negative control : no staining on rat liver (PMID : 24510058) is observed. The nuclear counterstain was DAPI (Blue).

Secondary antibody control : Secondary antibody is ab150081 Goat Anti-Rabbit IgG H&L (Alexa Fluor® 488) preadsorbedat 1/1000 2 ug/mL dilution.

Immunocytochemistry/ Immunofluorescence - Anti-SYT1 antibody [EPR24488-129] (AB302627)
  • ICC/IF

Supplier Data

Immunocytochemistry/ Immunofluorescence - Anti-SYT1 antibody [EPR24488-129] (AB302627)

Immunofluorescent analysis of 4% Paraformaldehyde-fixed, 0.1% TritonX-100 permeabilized rat primary neural/glia cell cells labelling Synaptotagmin-1 with ab302627 at 1/500 (0.964 ug/ml) dilution, followed by ab150081 Goat Anti-Rabbit IgG H&L (Alexa Fluor® 488) preadsorbed antibody at 1/1000 2 ug/ml dilution (Green). Confocal image showing positive staining in rat primary neural/glia cell.Confocal scanning Z step was set as 0.3 µm followed by image processing with maximum Z projection is observed. ab11267 Anti-MAP2 mouse monoclonal antibody was used to counterstain tubulin at 1/500 4 ug/ml dilution (Red). The Nuclear counterstain was DAPI (Blue). Secondary antibody only control : Secondary antibody is ab150081 Goat Anti-Rabbit IgG H&L (Alexa Fluor® 488) preadsorbed at 1/1000 2 ug/ml dilution.

Immunocytochemistry/ Immunofluorescence - Anti-SYT1 antibody [EPR24488-129] (AB302627)
  • ICC/IF

Supplier Data

Immunocytochemistry/ Immunofluorescence - Anti-SYT1 antibody [EPR24488-129] (AB302627)

Immunofluorescent analysis of 4% Paraformaldehyde-fixed, 0.1% TritonX-100 permeabilized mouse primary neural/glia cell cells labelling Synaptotagmin-1 with ab302627 at 1/500 (0.964 ug/ml) dilution, followed by ab150081 Goat Anti-Rabbit IgG H&L (Alexa Fluor® 488) preadsorbed antibody at 1/1000 2 ug/ml dilution (Green). Confocal image showing positive staining in mouse primary neural/glia cell.Confocal scanning Z step was set as 0.3 µm followed by image processing with maximum Z projection is observed. ab11267 Anti-MAP2 mouse monoclonal antibody was used to counterstain tubulin at 1/500 4 ug/ml dilution (Red). The Nuclear counterstain was DAPI (Blue). Secondary antibody only control : Secondary antibody is ab150081 Goat Anti-Rabbit IgG H&L (Alexa Fluor® 488) preadsorbed at 1/1000 2 ug/ml dilution.

Western blot - Anti-SYT1 antibody [EPR24488-129] (AB302627)
  • WB

Supplier Data

Western blot - Anti-SYT1 antibody [EPR24488-129] (AB302627)

Blocking and diluting buffer and concentration : 5% NFDM/TBST The bands beneath the target band at approximately 37 kDa are likely to be degraded target fragments. Exposure time : Lane 1 : 1 second Lane 2-3 : 7.75 seconds

All lanes:

Western blot - Anti-SYT1 antibody [EPR24488-129] (ab302627) at 1/1000 dilution

Lane 1:

Rat brain tissue lysate 20 µg

Lane 2:

Mouse spinal cord tissue lysate 20 µg

Lane 3:

Human cerebellum tissue lysate 20 µg

Secondary

All lanes:

Goat Anti-Rabbit IgG (HRP) with minimal cross-reactivity with human IgG at 1/2000 dilution

Observed band size: 60 kDa,37 kDa

false

Western blot - Anti-SYT1 antibody [EPR24488-129] (AB302627)
  • WB

Supplier Data

Western blot - Anti-SYT1 antibody [EPR24488-129] (AB302627)

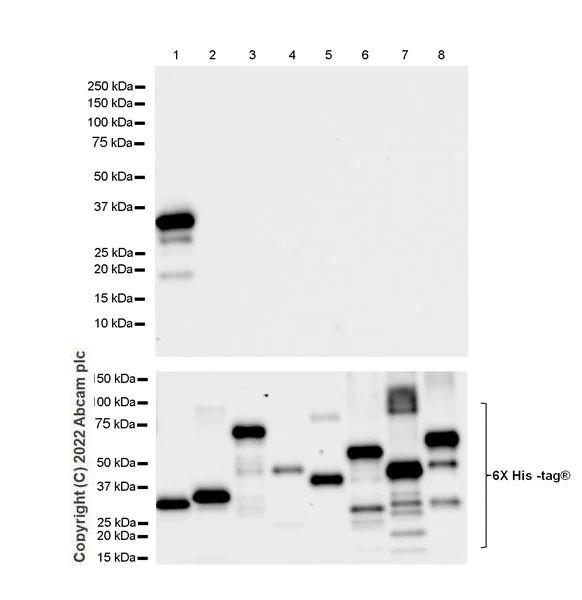
Blocking and diluting buffer and concentration : 5% NFDM/TBST This antibody does not cross-react with mouse SYT2, SYT3, SYT4, SYT5, SYT6, SYT7, and SYT9. These rec proteins were all made in-house and extracted from E.coil expression systems. Exposure time : 15 seconds

All lanes:

Western blot - Anti-SYT1 antibody [EPR24488-129] (ab302627) at 1/1000 dilution

Lane 1:

His-tagged mouse recombinant protein SYT1 (aa137-421) (35 kDa)

Lane 2:

His-tagged mouse recombinant protein SYT2 (aa137-420) (34.8 kDa)

Lane 3:

His-tagged mouse recombinant protein SYT3 (aa 76-587) (56.9 kDa)

Lane 4:

His-tagged mouse recombinant protein SYT4 (aa 38-425) (45.6 kDa)

Lane 5:

His-tagged mouse recombinant protein SYT5 (aa 46-386) (40.4 kDa)

Lane 6:

His-tagged mouse recombinant protein SYT6 (aa 81-511) (51kDa)

Lane 7:

His-tagged mouse recombinant protein SYT7 (aa 38-403) (43.6 kDa)

Lane 8:

His-tagged mouse recombinant protein SYT9 (aa 74-491) (50.2 kDa)

Secondary

All lanes:

Western blot - Goat Anti-Rabbit IgG H&L (HRP) (<a href='/products/secondary-antibodies/goat-rabbit-igg-h-l-hrp-ab97051'>ab97051</a>) at 1/100000 dilution

Observed band size: 34.8 kDa,56.9 kDa

false

Exposure time: 15s

Western blot - Anti-SYT1 antibody [EPR24488-129] (AB302627)
  • WB

Supplier Data

Western blot - Anti-SYT1 antibody [EPR24488-129] (AB302627)

Blocking and diluting buffer and concentration : 5% NFDM/TBST Lysates of the right part (lane 2-5) were freshly made and used for Western blotting immediately to minimize protein degradation. The band beneath the target band at approximately 37 kDa is likely to be degraded target fragments. Negative controls : liver, testis, spleen (PMID : 15561725, PMID : 14715137) Exposure time : 15 seconds

All lanes:

Western blot - Anti-SYT1 antibody [EPR24488-129] (ab302627) at 1/1000 dilution

Lane 1:

Mouse brain tissue lysate 20 µg

Lane 2:

Mouse brain fresh tissue lysate 20 µg

Lane 3:

Mouse liver fresh tissue lysate 20 µg

Lane 4:

Mouse testis fresh tissue lysate 20 µg

Lane 5:

Mouse spleen fresh tissue lysate 20 µg

Secondary

All lanes:

Western blot - Goat Anti-Rabbit IgG H&L (HRP) (<a href='/products/secondary-antibodies/goat-rabbit-igg-h-l-hrp-ab97051'>ab97051</a>) at 1/100000 dilution

Observed band size: 60 kDa,37 kDa

false

Exposure time: 15s

不同偶联物与剂型 (1)

  • Carrier free

    Anti-SYT1 antibody [EPR24488-129] (BSA and Azide free)

关键信息

宿主种属

Rabbit

克隆

Monoclonal

克隆号

EPR24488-129

亚型

IgG

不含载体蛋白

No

反应种属

Mouse, Human, Rat

应用

IHC-P, WB, ICC/IF, Flow Cyt (Intra), IHC-Fr

applications

免疫原

The exact immunogen used to generate this antibody is proprietary information.

反应性数据

{ "title": "Reactivity Data", "filters": { "stats": ["", "Species", "Dilution Info", "Notes"], "tabs": { "all-applications": {"fullname" : "All Applications", "shortname": "All Applications"}, "IP" : {"fullname" : "Immunoprecipitation", "shortname":"IP"}, "FlowCytIntra" : {"fullname" : "Flow Cytometry (Intracellular)", "shortname":"Flow Cyt (Intra)"}, "ICCIF" : {"fullname" : "Immunocytochemistry/ Immunofluorescence", "shortname":"ICC/IF"}, "IHCFr" : {"fullname" : "Immunohistochemistry (Frozen sections)", "shortname":"IHC-Fr"}, "IHCP" : {"fullname" : "Immunohistochemistry (Formalin/PFA-fixed paraffin-embedded sections)", "shortname":"IHC-P"}, "WB" : {"fullname" : "Western blot", "shortname":"WB"} }, "product-promise": { "all": "all", "testedAndGuaranteed": "tested", "guaranteed": "expected", "predicted": "predicted", "notRecommended": "not-recommended" } }, "values": { "Human": { "IP-species-checked": "notRecommended", "IP-species-dilution-info": "", "IP-species-notes": "", "FlowCytIntra-species-checked": "guaranteed", "FlowCytIntra-species-dilution-info": "", "FlowCytIntra-species-notes": "", "ICCIF-species-checked": "notRecommended", "ICCIF-species-dilution-info": "1/500", "ICCIF-species-notes": "<p></p>", "IHCFr-species-checked": "guaranteed", "IHCFr-species-dilution-info": "", "IHCFr-species-notes": "", "IHCP-species-checked": "notRecommended", "IHCP-species-dilution-info": "1/20000", "IHCP-species-notes": "<p></p> Perform heat-mediated antigen retrieval with Tris/EDTA buffer pH 9.0 before commencing with IHC staining protocol.", "WB-species-checked": "testedAndGuaranteed", "WB-species-dilution-info": "1/1000", "WB-species-notes": "<p></p>" }, "Mouse": { "IP-species-checked": "notRecommended", "IP-species-dilution-info": "", "IP-species-notes": "<p></p>", "FlowCytIntra-species-checked": "testedAndGuaranteed", "FlowCytIntra-species-dilution-info": "1/500", "FlowCytIntra-species-notes": "<p></p>", "ICCIF-species-checked": "testedAndGuaranteed", "ICCIF-species-dilution-info": "1/500", "ICCIF-species-notes": "<p></p>", "IHCFr-species-checked": "notRecommended", "IHCFr-species-dilution-info": "1/50", "IHCFr-species-notes": "<p></p>", "IHCP-species-checked": "notRecommended", "IHCP-species-dilution-info": "1/20000", "IHCP-species-notes": "<p></p> Perform heat-mediated antigen retrieval with Tris/EDTA buffer pH 9.0 before commencing with IHC staining protocol.", "WB-species-checked": "testedAndGuaranteed", "WB-species-dilution-info": "1/1000", "WB-species-notes": "<p></p>" }, "Rat": { "IP-species-checked": "notRecommended", "IP-species-dilution-info": "", "IP-species-notes": "<p></p>", "FlowCytIntra-species-checked": "testedAndGuaranteed", "FlowCytIntra-species-dilution-info": "1/500", "FlowCytIntra-species-notes": "<p></p>", "ICCIF-species-checked": "testedAndGuaranteed", "ICCIF-species-dilution-info": "1/500", "ICCIF-species-notes": "<p></p>", "IHCFr-species-checked": "testedAndGuaranteed", "IHCFr-species-dilution-info": "1/50", "IHCFr-species-notes": "<p></p>", "IHCP-species-checked": "testedAndGuaranteed", "IHCP-species-dilution-info": "1/20000", "IHCP-species-notes": "<p></p> Perform heat-mediated antigen retrieval with Tris/EDTA buffer pH 9.0 before commencing with IHC staining protocol.", "WB-species-checked": "testedAndGuaranteed", "WB-species-dilution-info": "1/1000", "WB-species-notes": "<p></p>" } } }

产品详情

Want a custom formulation?
This antibody clone is manufactured by Abcam. If you require a custom buffer formulation or conjugation for your experiments, please contact orders@abcam.com

Patented technology
Our RabMAb® technology is a patented hybridoma-based technology for making rabbit monoclonal antibodies. For details on our patents, please refer to RabMAb® patents.

What are the advantages of a recombinant monoclonal antibody?
This product is a recombinant monoclonal antibody, which offers several advantages including:

  • - High batch-to-batch consistency and reproducibility
  • - Improved sensitivity and specificity
  • - Long-term security of supply
  • - Animal-free batch production

For more information, read more on recombinant antibodies.

性能和储存信息

形式
Liquid
纯化工艺
Affinity purification Protein A
存储溶液
pH: 7.2 - 7.4 Preservative: 0.01% Sodium azide Constituents: PBS, 40% Glycerol (glycerin, glycerine), 0.05% BSA
运输条件
Blue Ice
推荐的短期储存时间
1-2 weeks
推荐的短期储存条件
+4°C
推荐的长期储存条件
-20°C
分装信息
Upon delivery aliquot
储存信息
Avoid freeze / thaw cycle

产品实验方案

For this product, it's our understanding that no specific protocols are required. You can visit:

靶点信息

Calcium sensor that participates in triggering neurotransmitter release at the synapse (By similarity). May have a regulatory role in the membrane interactions during trafficking of synaptic vesicles at the active zone of the synapse (By similarity). It binds acidic phospholipids with a specificity that requires the presence of both an acidic head group and a diacyl backbone. A Ca(2+)-dependent interaction between synaptotagmin and putative receptors for activated protein kinase C has also been reported. It can bind to at least three additional proteins in a Ca(2+)-independent manner; these are neurexins, syntaxin and AP2. Plays a role in dendrite formation by melanocytes (PubMed : 23999003).
See full target information SYT1

文献 (3)

Recent publications for all applications. Explore the full list and refine your search

Autophagy 21:807-826 PubMed39635882

2024

Upregulation of ISG15 induced by MAPT/tau accumulation represses autophagic flux by inhibiting HDAC6 activity: a vicious cycle in Alzheimer disease.

Applications

Unspecified application

Species

Unspecified reactive species

Qian Liu,Xin Wang,Zhi-Ting Fang,Jun-Ning Zhao,Xue-Xiang Rui,Bing-Ge Zhang,Ye He,Rui-Juan Liu,Jian Chen,Gao-Shang Chai,Gong-Ping Liu

The Journal of cell biology 223: PubMed38647453

2024

Calcium ions promote migrasome formation via Synaptotagmin-1.

Applications

Unspecified application

Species

Unspecified reactive species

Yiyang Han,Li Yu

Aging 16:4014-4032 PubMed38393698

2024

Subtype recognition and identification of a prognosis model characterized by antibody-dependent cell phagocytosis-related genes in breast cancer.

Applications

Unspecified application

Species

Unspecified reactive species

Li Wang,Menghan Li,Hongyu Yang,Fenghuan Dai,Ning Xie,Linhui Li,Meiying Zhu,Ran Ding
View all publications

Abcam Product Promise

我们致力于为您的研究提供高质量的试剂,为您科研的每一步提供支持。若我们的产品未能达到预期性能,我们向您提供 Abcam Product Promise 保障。
详情请参阅我们的条款与条件。

Please note: All products are 'FOR RESEARCH USE ONLY. NOT FOR USE IN DIAGNOSTIC OR THERAPEUTIC PROCEDURES'.

For licensing inquiries, please contact partnerships@abcam.com