JavaScript is disabled in your browser. Please enable JavaScript to view this website.
AB259976

重组Anti-Synaptopodin抗体[EPR23922-79]

Anti-Synaptopodin antibody [EPR23922-79]

  • BOND RX™ Validated
  • 20ul selling size
  • RabMAb
  • Recombinant
  • 了解详情

Be the first to review this product! Submit a review

|

(15 Publications)

Anti-Synaptopodin antibody [EPR23922-79] (ab259976) is a rabbit monoclonal antibody detecting Synaptopodin in Western Blot, IP, IHC-P, IHC-Fr. Suitable for Human, Mouse, Rat.

- Biophysical QC for unrivalled batch-batch consistency

查看别名

KIAA1029, SYNPO, Synaptopodin

15 Images
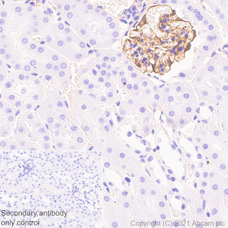
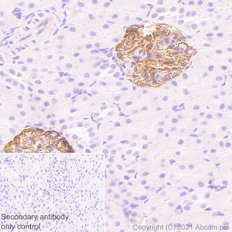
Immunohistochemistry (Formalin/PFA-fixed paraffin-embedded sections) - Anti-Synaptopodin antibody [EPR23922-79] (AB259976)
  • IHC-P

Supplier Data

Immunohistochemistry (Formalin/PFA-fixed paraffin-embedded sections) - Anti-Synaptopodin antibody [EPR23922-79] (AB259976)

Immunohistochemical analysis of paraffin-embedded human kidney tissue labelling Synaptopodin with ab259976 at 1/500 (0.936 μg/ml) dilution followed by a ready to use LeicaDS9800 (Bond™ Polymer Refine Detection). Positive staining mainly in glomeruli of human kidney. The section was incubated with ab259976 for 30 mins at room temperature. The immunostaining was performed on a Leica Biosystems BOND® RX instrument. Counterstained with Hematoxylin.

Secondary antibody only control : Secondary antibody is a ready to use LeicaDS9800 (Bond™ Polymer Refine Detection).

Heat mediated antigen retrieval with Tris-EDTA buffer (pH 9.0, epitope retrieval solution2) for 20 mins.

Immunohistochemistry (Formalin/PFA-fixed paraffin-embedded sections) - Anti-Synaptopodin antibody [EPR23922-79] (AB259976)
  • IHC-P

Supplier Data

Immunohistochemistry (Formalin/PFA-fixed paraffin-embedded sections) - Anti-Synaptopodin antibody [EPR23922-79] (AB259976)

Immunohistochemical analysis of paraffin-embedded human cerebrum tissue labelling Synaptopodin with ab259976 at 1/500 (0.936 μg/ml) dilution followed by a ready to use LeicaDS9800 (Bond™ Polymer Refine Detection). Positive staining in human cerebrum. The section was incubated with ab259976 for 30 mins at room temperature. The immunostaining was performed on a Leica Biosystems BOND® RX instrument. Counterstained with Hematoxylin.

Secondary antibody only control : Secondary antibody is a ready to use LeicaDS9800 (Bond™ Polymer Refine Detection).

Heat mediated antigen retrieval with Tris-EDTA buffer (pH 9.0, epitope retrieval solution2) for 20 mins.

Immunohistochemistry (Formalin/PFA-fixed paraffin-embedded sections) - Anti-Synaptopodin antibody [EPR23922-79] (AB259976)
  • IHC-P

Supplier Data

Immunohistochemistry (Formalin/PFA-fixed paraffin-embedded sections) - Anti-Synaptopodin antibody [EPR23922-79] (AB259976)

Immunohistochemical analysis of paraffin-embedded rat kidney tissue labelling Synaptopodin with ab259976 at 1/500 (0.936 μg/ml) dilution followed by a ready to use LeicaDS9800 (Bond™ Polymer Refine Detection). Positive staining mainly in glomeruli of rat kidney. The section was incubated with ab259976 for 30 mins at room temperature. The immunostaining was performed on a Leica Biosystems BOND® RX instrument. Counterstained with Hematoxylin.

Secondary antibody only control : Secondary antibody is a ready to use LeicaDS9800 (Bond™ Polymer Refine Detection).

Heat mediated antigen retrieval with Tris-EDTA buffer (pH 9.0, epitope retrieval solution2) for 20 mins.

Immunohistochemistry (Frozen sections) - Anti-Synaptopodin antibody [EPR23922-79] (AB259976)
  • IHC-Fr

Supplier Data

Immunohistochemistry (Frozen sections) - Anti-Synaptopodin antibody [EPR23922-79] (AB259976)

Immunohistochemical analysis of 4% PFA-fixed, 0.2% Triton X-100 permeabilized frozen rat hippocampus tissue labeling Synaptopodin with ab259976 at 1/100 (4.68 μg/ml) dilution followed by ab150077 Goat Anti-Rabbit IgG H&L (Alexa Fluor® 488) at 1/1000 dilution (Green). Positive staining on rat hippocampus is observed. The nuclear counterstain was DAPI (Blue).

Secondary antibody control : Secondary antibody is ab150077 Goat Anti-Rabbit IgG H&L (Alexa Fluor® 488) at 1/1000 dilution.

Heat mediated antigen retrieval using sodium citrate buffer (10mM citrate pH 6.0 + 0.05% Tween-20).

Immunohistochemistry (Formalin/PFA-fixed paraffin-embedded sections) - Anti-Synaptopodin antibody [EPR23922-79] (AB259976)
  • IHC-P

Supplier Data

Immunohistochemistry (Formalin/PFA-fixed paraffin-embedded sections) - Anti-Synaptopodin antibody [EPR23922-79] (AB259976)

Immunohistochemical analysis of paraffin-embedded mouse kidney tissue labelling Synaptopodin with ab259976 at 1/500 (0.936 μg/ml) dilution followed by a ready to use LeicaDS9800 (Bond™ Polymer Refine Detection). Positive staining mainly in glomeruli of mouse kidney (PMID : 22475818, PMID : 15841212). The section was incubated with ab259976 for 30 mins at room temperature. The immunostaining was performed on a Leica Biosystems BOND® RX instrument. Counterstained with Hematoxylin.

Secondary antibody only control : Secondary antibody is a ready to use LeicaDS9800 (Bond™ Polymer Refine Detection).

Heat mediated antigen retrieval with Tris-EDTA buffer (pH 9.0, epitope retrieval solution2) for 20 mins.

Immunohistochemistry (Formalin/PFA-fixed paraffin-embedded sections) - Anti-Synaptopodin antibody [EPR23922-79] (AB259976)
  • IHC-P

Supplier Data

Immunohistochemistry (Formalin/PFA-fixed paraffin-embedded sections) - Anti-Synaptopodin antibody [EPR23922-79] (AB259976)

Immunohistochemical analysis of paraffin-embedded mouse cerebrum tissue labelling Synaptopodin with ab259976 at 1/500 (0.936 μg/ml) dilution followed by a ready to use LeicaDS9800 (Bond™ Polymer Refine Detection). Positive staining in mouse cerebrum (PMID : 15841212). The section was incubated with ab259976 for 30 mins at room temperature. The immunostaining was performed on a Leica Biosystems BOND® RX instrument. Counterstained with Hematoxylin.

Secondary antibody only control : Secondary antibody is a ready to use LeicaDS9800 (Bond™ Polymer Refine Detection).

Heat mediated antigen retrieval with Tris-EDTA buffer (pH 9.0, epitope retrieval solution2) for 20 mins.

Immunohistochemistry (Frozen sections) - Anti-Synaptopodin antibody [EPR23922-79] (AB259976)
  • IHC-Fr

Supplier Data

Immunohistochemistry (Frozen sections) - Anti-Synaptopodin antibody [EPR23922-79] (AB259976)

Immunohistochemical analysis of 4% PFA-fixed, 0.2% Triton X-100 permeabilized frozen mouse cerebral cortex tissue labeling Synaptopodin with ab259976 at 1/100 (4.68 μg/ml) dilution followed by ab150077 Goat Anti-Rabbit IgG H&L (Alexa Fluor® 488) at 1/1000 dilution (Green). Positive staining on mouse cerebral cortex is observed. The nuclear counterstain was DAPI (Blue).

Secondary antibody control : Secondary antibody is ab150077 Goat Anti-Rabbit IgG H&L (Alexa Fluor® 488) at 1/1000 dilution.

Heat mediated antigen retrieval using sodium citrate buffer (10mM citrate pH 6.0 + 0.05% Tween-20).

Immunohistochemistry (Frozen sections) - Anti-Synaptopodin antibody [EPR23922-79] (AB259976)
  • IHC-Fr

Supplier Data

Immunohistochemistry (Frozen sections) - Anti-Synaptopodin antibody [EPR23922-79] (AB259976)

Immunohistochemical analysis of 4% PFA-fixed, 0.2% Triton X-100 permeabilized frozen rat kidney tissue labeling Synaptopodin with ab259976 at 1/100 (4.68 μg/ml) dilution followed by ab150077 Goat Anti-Rabbit IgG H&L (Alexa Fluor® 488) at 1/1000 dilution (Green). Positive staining on glomerulus of rat kidney is observed. The nuclear counterstain was DAPI (Blue).

Secondary antibody control : Secondary antibody is ab150077 Goat Anti-Rabbit IgG H&L (Alexa Fluor® 488) at 1/1000 dilution.

Heat mediated antigen retrieval using sodium citrate buffer (10mM citrate pH 6.0 + 0.05% Tween-20).

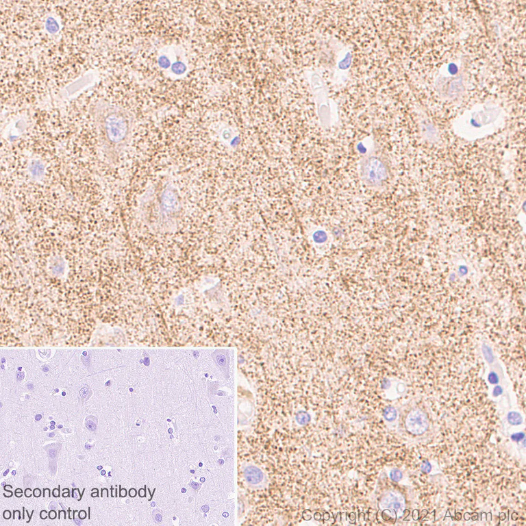
Immunohistochemistry (Formalin/PFA-fixed paraffin-embedded sections) - Anti-Synaptopodin antibody [EPR23922-79] (AB259976)
  • IHC-P

Supplier Data

Immunohistochemistry (Formalin/PFA-fixed paraffin-embedded sections) - Anti-Synaptopodin antibody [EPR23922-79] (AB259976)

Immunohistochemical analysis of paraffin-embedded rat cerebrum tissue labelling Synaptopodin with ab259976 at 1/500 (0.936 μg/ml) dilution followed by a ready to use LeicaDS9800 (Bond™ Polymer Refine Detection). Positive staining in rat cerebrum. The section was incubated with ab259976 for 30 mins at room temperature. The immunostaining was performed on a Leica Biosystems BOND® RX instrument. Counterstained with Hematoxylin.

Secondary antibody only control : Secondary antibody is a ready to use LeicaDS9800 (Bond™ Polymer Refine Detection).

Heat mediated antigen retrieval with Tris-EDTA buffer (pH 9.0, epitope retrieval solution2) for 20 mins.

Immunohistochemistry (Frozen sections) - Anti-Synaptopodin antibody [EPR23922-79] (AB259976)
  • IHC-Fr

Supplier Data

Immunohistochemistry (Frozen sections) - Anti-Synaptopodin antibody [EPR23922-79] (AB259976)

Immunohistochemical analysis of 4% PFA-fixed, 0.2% Triton X-100 permeabilized frozen rat cerebral cortex tissue labeling Synaptopodin with ab259976 at 1/100 (4.68 μg/ml) dilution followed by ab150077 Goat Anti-Rabbit IgG H&L (Alexa Fluor® 488) at 1/1000 dilution (Green). Positive staining on rat cerebral cortex is observed. The nuclear counterstain was DAPI (Blue).

Secondary antibody control : Secondary antibody is ab150077 Goat Anti-Rabbit IgG H&L (Alexa Fluor® 488) at 1/1000 dilution.

Heat mediated antigen retrieval using sodium citrate buffer (10mM citrate pH 6.0 + 0.05% Tween-20).

Immunohistochemistry (Frozen sections) - Anti-Synaptopodin antibody [EPR23922-79] (AB259976)
  • IHC-Fr

Supplier Data

Immunohistochemistry (Frozen sections) - Anti-Synaptopodin antibody [EPR23922-79] (AB259976)

Immunohistochemical analysis of 4% PFA-fixed, 0.2% Triton X-100 permeabilized frozen mouse kidney tissue labeling Synaptopodin with ab259976 at 1/100 (4.68 μg/ml) dilution followed by ab150077 Goat Anti-Rabbit IgG H&L (Alexa Fluor® 488) at 1/1000 dilution (Green). Positive staining on glomerulus of mouse kidney is observed. The nuclear counterstain was DAPI (Blue).

Secondary antibody control : Secondary antibody is ab150077 Goat Anti-Rabbit IgG H&L (Alexa Fluor® 488) at 1/1000 dilution.

Heat mediated antigen retrieval using sodium citrate buffer (10mM citrate pH 6.0 + 0.05% Tween-20).

Immunohistochemistry (Frozen sections) - Anti-Synaptopodin antibody [EPR23922-79] (AB259976)
  • IHC-Fr

Supplier Data

Immunohistochemistry (Frozen sections) - Anti-Synaptopodin antibody [EPR23922-79] (AB259976)

Immunohistochemical analysis of 4% PFA-fixed, 0.2% Triton X-100 permeabilized frozen mouse hippocampus tissue labeling Synaptopodin with ab259976 at 1/100 (4.68 μg/ml) dilution followed by ab150077 Goat Anti-Rabbit IgG H&L (Alexa Fluor® 488) at 1/1000 dilution (Green). Positive staining on mouse hippocampus is observed. The nuclear counterstain was DAPI (Blue).

Secondary antibody control : Secondary antibody is ab150077 Goat Anti-Rabbit IgG H&L (Alexa Fluor® 488) at 1/1000 dilution.

Heat mediated antigen retrieval using sodium citrate buffer (10mM citrate pH 6.0 + 0.05% Tween-20).

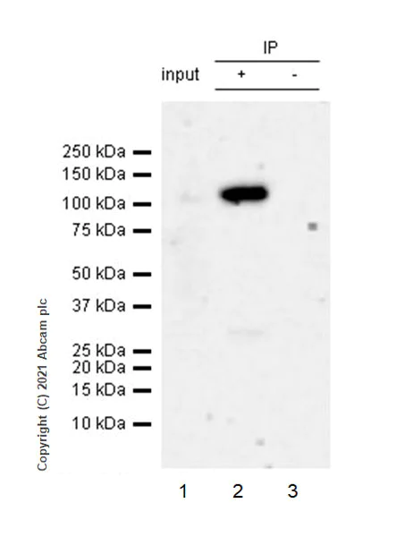
Immunoprecipitation - Anti-Synaptopodin antibody [EPR23922-79] (AB259976)
  • IP

Supplier Data

Immunoprecipitation - Anti-Synaptopodin antibody [EPR23922-79] (AB259976)

Synaptopodin was immunoprecipitated from 0.35 mg rat hippocampus tissue lysate 10μg with ab259976 at 1/30 dilution (2μg in 0.35mg lysates). Western blot was performed on the immunoprecipitate using ab259976 at 1/1000 dilution. VeriBlot for IP secondary antibody(HRP)(ab131366) was used at 1/5000 dilution.

Lane 1 : Rat hippocampus tissue lysate 10μg

Lane 2 : ab259976 IP in rat hippocampus tissue lysate

Lane 3 : Rabbit monoclonal IgG (ab172730) instead of ab259976 in rat hippocampus tissue lysate

Blocking and dilution buffer and concentration : 5% NFDM/TBST.

Exposure time : 3 minutes

All lanes:

Immunoprecipitation - Anti-Synaptopodin antibody [EPR23922-79] (ab259976)

Predicted band size: 99 kDa

Observed band size: 100 kDa

false

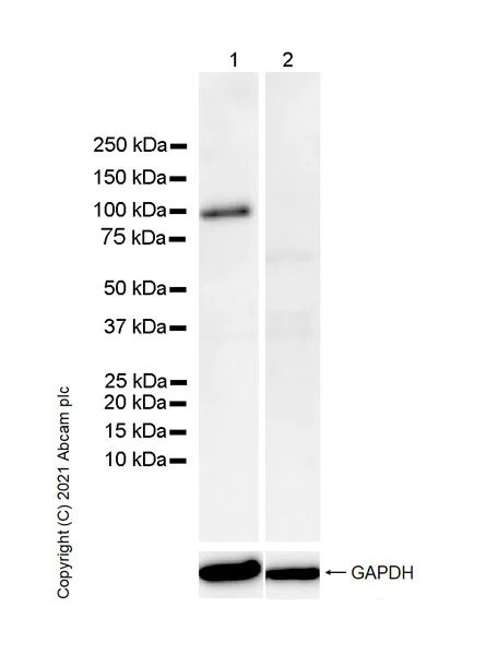
Western blot - Anti-Synaptopodin antibody [EPR23922-79] (AB259976)
  • WB

Lab

Western blot - Anti-Synaptopodin antibody [EPR23922-79] (AB259976)

Blocking and diluting buffer and concentration : 5% NFDM/TBST

The molecular weight is consistent to what has been described in literatures (PMID : 18724379, PMID : 15841212)

Negative control : liver (PMID : 11595771)

This blot was developed using a higher sensitivity ECL substrate.

Exposure time : 92 seconds

All lanes:

Western blot - Anti-Synaptopodin antibody [EPR23922-79] (ab259976) at 1/1000 dilution

Lane 1:

Rat hippocampus tissue lysate at 20 µg

Lane 2:

Rat liver tissue lysate at 40 µg

Secondary

All lanes:

Western blot - Goat Anti-Rabbit IgG H&L (HRP) (<a href='/products/secondary-antibodies/goat-rabbit-igg-h-l-hrp-ab97051'>ab97051</a>) at 1/100000 dilution

Predicted band size: 99 kDa

Observed band size: 100 kDa

false

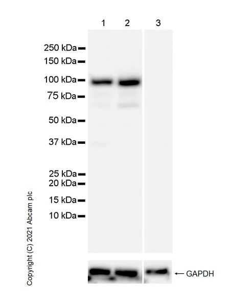
Western blot - Anti-Synaptopodin antibody [EPR23922-79] (AB259976)
  • WB

Lab

Western blot - Anti-Synaptopodin antibody [EPR23922-79] (AB259976)

Blocking and diluting buffer and concentration : 5% NFDM/TBST

The molecular weight is consistent to what has been described in literatures (PMID : 18724379, PMID : 15841212)

Negative control : liver (PMID : 11595771)

Exposure time : 15 seconds

All lanes:

Western blot - Anti-Synaptopodin antibody [EPR23922-79] (ab259976) at 1/1000 dilution

Lane 1:

Mouse hippocampus tissue lysate at 20 µg

Lane 2:

Mouse brain tissue lysate at 20 µg

Lane 3:

Mouse liver tissue lysate at 40 µg

Secondary

All lanes:

Western blot - Goat Anti-Rabbit IgG H&L (HRP) (<a href='/products/secondary-antibodies/goat-rabbit-igg-h-l-hrp-ab97051'>ab97051</a>) at 1/100000 dilution

Predicted band size: 99 kDa

Observed band size: 100 kDa

false

不同偶联物与剂型 (1)

  • Carrier free

    Anti-Synaptopodin antibody [EPR23922-79] - BSA and Azide free

关键信息

宿主种属

Rabbit

克隆

Monoclonal

克隆号

EPR23922-79

亚型

IgG

不含载体蛋白

No

反应种属

Mouse, Rat, Human

应用

IHC-P, WB, IP, IHC-Fr

applications

免疫原

The exact immunogen used to generate this antibody is proprietary information.

反应性数据

{ "title": "Reactivity Data", "filters": { "stats": ["", "Species", "Dilution Info", "Notes"], "tabs": { "all-applications": {"fullname" : "All Applications", "shortname": "All Applications"}, "IP" : {"fullname" : "Immunoprecipitation", "shortname":"IP"}, "FlowCyt" : {"fullname" : "Flow Cytometry", "shortname":"Flow Cyt"}, "WB" : {"fullname" : "Western blot", "shortname":"WB"}, "IHCFr" : {"fullname" : "Immunohistochemistry (Frozen sections)", "shortname":"IHC-Fr"}, "IHCP" : {"fullname" : "Immunohistochemistry (Formalin/PFA-fixed paraffin-embedded sections)", "shortname":"IHC-P"} }, "product-promise": { "all": "all", "testedAndGuaranteed": "tested", "guaranteed": "expected", "predicted": "predicted", "notRecommended": "not-recommended" } }, "values": { "Human": { "IP-species-checked": "guaranteed", "IP-species-dilution-info": "", "IP-species-notes": "", "FlowCyt-species-checked": "notRecommended", "FlowCyt-species-dilution-info": "", "FlowCyt-species-notes": "<p></p>", "WB-species-checked": "notRecommended", "WB-species-dilution-info": "1/1000", "WB-species-notes": "<p></p>", "IHCFr-species-checked": "guaranteed", "IHCFr-species-dilution-info": "", "IHCFr-species-notes": "", "IHCP-species-checked": "testedAndGuaranteed", "IHCP-species-dilution-info": "1/500", "IHCP-species-notes": "<p></p>" }, "Mouse": { "IP-species-checked": "testedAndGuaranteed", "IP-species-dilution-info": "1/30", "IP-species-notes": "<p></p>", "FlowCyt-species-checked": "notRecommended", "FlowCyt-species-dilution-info": "", "FlowCyt-species-notes": "<p></p>", "WB-species-checked": "testedAndGuaranteed", "WB-species-dilution-info": "1/1000", "WB-species-notes": "<p></p>", "IHCFr-species-checked": "testedAndGuaranteed", "IHCFr-species-dilution-info": "1/100", "IHCFr-species-notes": "<p>Heat mediated antigen retrieval using sodium citrate buffer (10mM citrate pH 6.0 + 0.05% Tween-20)</p>", "IHCP-species-checked": "testedAndGuaranteed", "IHCP-species-dilution-info": "1/500", "IHCP-species-notes": "<p></p>" }, "Rat": { "IP-species-checked": "testedAndGuaranteed", "IP-species-dilution-info": "1/30", "IP-species-notes": "<p></p>", "FlowCyt-species-checked": "notRecommended", "FlowCyt-species-dilution-info": "", "FlowCyt-species-notes": "<p></p>", "WB-species-checked": "testedAndGuaranteed", "WB-species-dilution-info": "1/1000", "WB-species-notes": "<p></p>", "IHCFr-species-checked": "testedAndGuaranteed", "IHCFr-species-dilution-info": "1/100", "IHCFr-species-notes": "<p>Heat mediated antigen retrieval using sodium citrate buffer (10mM citrate pH 6.0 + 0.05% Tween-20)</p>", "IHCP-species-checked": "testedAndGuaranteed", "IHCP-species-dilution-info": "1/500", "IHCP-species-notes": "<p></p>" } } }

产品详情

What is this antibody validated in?
Anti-Synaptopodin antibody [EPR23922-79] (ab259976) is a rabbit recombinant monoclonal antibody and is validated for use in Western Blot (WB), Immunoprecipitation (IP), Immunohistochemistry (IHC-P), Immunohistochemistry (IHC-Fr) in Human, Mouse, Rat samples.

What is the molecular weight of Synaptopodin?
Anti-Synaptopodin [EPR23922-79] (ab259976) specifically detects a band for Synaptopodin (UniProt: Q8CC35) at a molecular weight of 99kDa.

Trial sizes available!
Test your antibody or perform pre-screening before committing to a larger quantity. Sold in 10µl. Discover our selection of trial-size antibodies.

Other related products
We have a range of other formats of antibody clone [EPR23922-79] also available for your convenience: ab259976, Carrier free - ab282117

Patented technology
Our RabMAb® technology is a patented hybridoma-based technology for making rabbit monoclonal antibodies. For details on our patents, please refer to RabMAb® patents.

What are the advantages of a recombinant monoclonal antibody?
This product is a recombinant monoclonal antibody, which offers several advantages including:

  • - High batch-to-batch consistency and reproducibility
  • - Improved sensitivity and specificity
  • - Long-term security of supply
  • - Animal-free batch production

For more information, read more on recombinant antibodies.

性能和储存信息

形式
Liquid
纯化工艺
Affinity purification Protein A
存储溶液
pH: 7.2 - 7.4 Preservative: 0.01% Sodium azide Constituents: PBS, 40% Glycerol (glycerin, glycerine), 0.05% BSA
运输条件
Blue Ice
推荐的短期储存时间
1-2 weeks
推荐的短期储存条件
+4°C
推荐的长期储存条件
-20°C
分装信息
Upon delivery aliquot
储存信息
Avoid freeze / thaw cycle

补充信息

This supplementary information is collated from multiple sources and compiled automatically.

Synaptopodin also known as SYNPO is an actin-associated protein with a molecular mass of approximately 100 kDa. It plays a mechanical role by associating and bundling actin filaments important for cytoskeletal dynamics. Synaptopodin gets expressed mainly in podocytes of the kidney as well as in certain neurons particularly found in dendritic spines and telencephalic dendrites. This protein is sensitive to calcium signaling which influences its interaction with the actin cytoskeleton.
Biological function summary

The actin-modulating effects of Synaptopodin contribute to the regulation of cell shape and motility. Synaptopodin is essential for the formation of the dendritic spine apparatus working as a part of a protein complex that stabilizes dendritic spines which are key to synaptic plasticity and signal transduction. The protein can also influence the podocyte function in the kidney maintaining the structure of foot processes that are fundamental for the kidney filtration barrier.

Pathways

Synaptopodin plays an important role in the maintenance of synaptic plasticity and the actin cytoskeleton pathway which affects both neuronal plasticity and kidney function. Within these pathways Synaptopodin interacts with proteins like alpha-actinin and myosin-Va forming linkages that stabilize actin filaments and regulate cytoskeletal organization. The protein contributes to the protection of neurons and kidney glomeruli through signaling pathways that affect actin dynamic balance.

Synaptopodin has significant implications in nephrotic syndrome and Alzheimer's disease. In nephrotic syndrome alterations in Synaptopodin expression or function can lead to podocyte injury contributing to kidney dysfunction. In Alzheimer's disease Synaptopodin modulation of spine morphology may impact synaptic connectivity and cognitive function. The protein interacts with nephrin in kidney pathology and potentially affects tau protein signaling in Alzheimer's illustrating its vital role in both neurological and renal health.

产品实验方案

For this product, it's our understanding that no specific protocols are required. You can visit:

靶点信息

Actin-associated protein that may play a role in modulating actin-based shape and motility of dendritic spines and renal podocyte foot processes. Seems to be essential for the formation of spine apparatuses in spines of telencephalic neurons, which is involved in synaptic plasticity (By similarity).
See full target information SYNPO

文献 (15)

Recent publications for all applications. Explore the full list and refine your search

Korean circulation journal : PubMed41044724

2025

Characterization of Proteome Features in Patients With Aortic Stenosis Using Data-Independent Acquisition-Based Proteomic Analysis.

Applications

Unspecified application

Species

Unspecified reactive species

Naaleum Song,Jiyoung Yu,Eunhye Ji,Jin Yoon,Kyoung-Hee Choi,Jeong Eun Yu,Bokyung Kim,Jihyeon Kim,Minjoong Kim,Sahmin Lee,Kyunggon Kim,Elena Aikawa

Journal of cell communication and signaling 19:e70022 PubMed40520074

2025

Modulation of podocyte extracellular matrix remodeling in membranous nephropathy by the NFATc3/LRRC55/BK channel pathway.

Applications

Unspecified application

Species

Unspecified reactive species

Yaling Guo,Jingliang Min,Baochao Chang,Lei Liu,Jiqiang Zhang,Weidong Chen

BMC nephrology 26:201 PubMed40259237

2025

CIAPIN1 attenuates ferroptosis via regulating PI3K/AKT pathway in LPS-induced podocytes.

Applications

Unspecified application

Species

Unspecified reactive species

Ziqing Zhang,Jinmiao Ma,Minyu Shi,Jingcong Huang,Zhenyu Xu

Cells 14: PubMed40072093

2025

Modification of RNF183 via m6A Methylation Mediates Podocyte Dysfunction in Diabetic Nephropathy by Regulating PKM2 Ubiquitination and Degradation.

Applications

Unspecified application

Species

Unspecified reactive species

Dongwei Guo,Yingxue Pang,Wenjie Wang,Yueying Feng,Luxuan Wang,Yuanyuan Sun,Jun Hao,Fan Li,Song Zhao

Molecular medicine reports 30: PubMed39370816

2024

ETV4‑mediated transcriptional activation of SLC12A5 exacerbates ferroptosis resistance and glucose metabolism reprogramming in breast cancer cells.

Applications

Unspecified application

Species

Unspecified reactive species

Huan Wang,Yanyan Dai,Fengxiang Wang

Scientific reports 14:11591 PubMed38773220

2024

A simple protocol to establish a conditionally immortalized mouse podocyte cell line.

Applications

Unspecified application

Species

Unspecified reactive species

Yujiao Huang,Jie Geng,Mengdan Wang,Wenbin Liu,Haikun Hu,Wei Shi,Mei Li,Guiyang Huo,Guangrui Huang,Anlong Xu

Kidney & blood pressure research 49:385-396 PubMed38735279

2024

Indoxyl Sulfate Aggravates Podocyte Damage through the TGF-β1/Smad/ROS Signalling Pathway.

Applications

Unspecified application

Species

Unspecified reactive species

Miao Jia,Lihua Lin,Kang Xun,Damei Li,Weijiang Wu,Shaobo Sun,Hong Qiu,Donghua Jin

Skin research and technology : official journal of International Society for Bioengineering and the Skin (ISBS) [and] International Society for Digital Imaging of Skin (ISDIS) [and] International Society for Skin Imaging (ISSI) 30:e13562 PubMed38279604

2024

Cosentyx alleviates psoriasis-induced podocyte injury by inhibiting the tlr/nf-κb signaling pathway.

Applications

Unspecified application

Species

Unspecified reactive species

Wang Aixue,Wei Feng,Zhang Huanhuan,M Xixing,L Yanling

Cells 13: PubMed38247806

2024

Synaptopodin Regulates Denervation-Induced Plasticity at Hippocampal Mossy Fiber Synapses.

Applications

Unspecified application

Species

Unspecified reactive species

Pia Kruse,Gudrun Brandes,Hanna Hemeling,Zhong Huang,Christoph Wrede,Jan Hegermann,Andreas Vlachos,Maximilian Lenz

PeerJ 11:e14826 PubMed36815984

2023

Breviscapine alleviates podocyte injury by inhibiting NF-κB/NLRP3-mediated pyroptosis in diabetic nephropathy.

Applications

Unspecified application

Species

Unspecified reactive species

Linlin Sun,Miao Ding,Fuhua Chen,Dingyu Zhu,Xinmiao Xie
View all publications

Abcam Product Promise

我们致力于为您的研究提供高质量的试剂,为您科研的每一步提供支持。若我们的产品未能达到预期性能,我们向您提供 Abcam Product Promise 保障。
详情请参阅我们的条款与条件。

Please note: All products are 'FOR RESEARCH USE ONLY. NOT FOR USE IN DIAGNOSTIC OR THERAPEUTIC PROCEDURES'.

For licensing inquiries, please contact partnerships@abcam.com