JavaScript is disabled in your browser. Please enable JavaScript to view this website.
AB109196

重组Anti-Sumo 2 + Sumo 3 + Sumo 4抗体[EPR300(2)]

Anti-Sumo 2 + Sumo 3 + Sumo 4 antibody [EPR300(2)]

4

(3 Reviews)

|

(2 Publications)

Rabbit Recombinant Monoclonal Sumo 4 antibody. Suitable for IHC-P, WB and reacts with Human samples. Cited in 2 publications.

查看别名

SMT3H4, SUMO4, Small ubiquitin-related modifier 4, SUMO-4, Small ubiquitin-like protein 4

3 Images
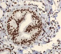
Immunohistochemistry (Formalin/PFA-fixed paraffin-embedded sections) - Anti-Sumo 2 + Sumo 3 + Sumo 4 antibody [EPR300(2)] (AB109196)
  • IHC-P

Unknown

Immunohistochemistry (Formalin/PFA-fixed paraffin-embedded sections) - Anti-Sumo 2 + Sumo 3 + Sumo 4 antibody [EPR300(2)] (AB109196)

ab109196, at 1/100, staining Sumo 2 + Sumo 3 + Sumo 4 in paraffin-embedded Human ovarian tissue by Immunohistochemistry.

Perform heat mediated antigen retrieval with citrate buffer pH 6 before commencing with IHC staining protocol.

Western blot - Anti-Sumo 2 + Sumo 3 + Sumo 4 antibody [EPR300(2)] (AB109196)
  • WB

Unknown

Western blot - Anti-Sumo 2 + Sumo 3 + Sumo 4 antibody [EPR300(2)] (AB109196)

All lanes:

Western blot - Anti-Sumo 2 + Sumo 3 + Sumo 4 antibody [EPR300(2)] (ab109196) at 1/1000 dilution

Lane 1:

HeLa cell lysate at 10 µg

Lane 2:

Jurkat cell lysate at 10 µg

Predicted band size: 12 kDa

false

Western blot - Anti-Sumo 2 + Sumo 3 + Sumo 4 antibody [EPR300(2)] (AB109196)
  • WB

Lab

Western blot - Anti-Sumo 2 + Sumo 3 + Sumo 4 antibody [EPR300(2)] (AB109196)

Blocking buffer : 5% NFDM/TBST

All lanes:

Western blot - Anti-Sumo 2 + Sumo 3 + Sumo 4 antibody [EPR300(2)] (ab109196) at 1/200 dilution

Lane 1:

Western blot - Recombinant Human Sumo 1 protein (<a href='/products/proteins-peptides/recombinant-human-sumo-1-protein-ab140417'>ab140417</a>) at 0.01 µg

Lane 2:

Western blot - Recombinant Human Sumo 2 protein (<a href='/products/proteins-peptides/recombinant-human-sumo-2-protein-ab140420'>ab140420</a>) at 0.01 µg

Lane 3:

Recombinant Human Sumo 3 protein (<a href='/products/unavailable/recombinant-human-sumo-3-protein-ab140414'>ab140414</a>) at 0.01 µg

Lane 4:

Western blot - Recombinant Human Sumo 4 protein (<a href='/products/proteins-peptides/recombinant-human-sumo-4-protein-ab157025'>ab157025</a>) at 0.1 µg

Secondary

All lanes:

Western blot - Goat Anti-Rabbit IgG H&L (HRP) (<a href='/products/secondary-antibodies/goat-rabbit-igg-h-l-hrp-ab97051'>ab97051</a>) at 1/20000 dilution

Predicted band size: 12 kDa

Observed band size: 16 kDa

true

Exposure time: 20s

不同偶联物与剂型 (1)

  • Carrier free

    Anti-Sumo 2 + Sumo 3 + Sumo 4 antibody [EPR300(2)] - BSA and Azide free

关键信息

宿主种属

Rabbit

克隆

Monoclonal

克隆号

EPR300(2)

亚型

IgG

不含载体蛋白

No

反应种属

Human

应用

IHC-P, WB

applications

免疫原

The exact immunogen used to generate this antibody is proprietary information.

反应性数据

{ "title": "Reactivity Data", "filters": { "stats": ["", "Species", "Dilution Info", "Notes"], "tabs": { "all-applications": {"fullname" : "All Applications", "shortname": "All Applications"}, "FlowCyt" : {"fullname" : "Flow Cytometry", "shortname":"Flow Cyt"}, "IP" : {"fullname" : "Immunoprecipitation", "shortname":"IP"}, "IHCP" : {"fullname" : "Immunohistochemistry (Formalin/PFA-fixed paraffin-embedded sections)", "shortname":"IHC-P"}, "WB" : {"fullname" : "Western blot", "shortname":"WB"} }, "product-promise": { "all": "all", "testedAndGuaranteed": "tested", "guaranteed": "expected", "predicted": "predicted", "notRecommended": "not-recommended" } }, "values": { "Human": { "FlowCyt-species-checked": "notRecommended", "FlowCyt-species-dilution-info": "", "FlowCyt-species-notes": "<p></p>", "IP-species-checked": "notRecommended", "IP-species-dilution-info": "", "IP-species-notes": "<p></p>", "IHCP-species-checked": "testedAndGuaranteed", "IHCP-species-dilution-info": "1/100 - 1/250", "IHCP-species-notes": "<p></p>", "WB-species-checked": "testedAndGuaranteed", "WB-species-dilution-info": "1/1000 - 1/10000", "WB-species-notes": "<p></p>" } } }

产品详情

Species reactivity
Mouse, Rat: We have preliminary internal testing data to indicate this antibody may not react with these species.
Please contact us for more information.

Patented technology
Our RabMAb® technology is a patented hybridoma-based technology for making rabbit monoclonal antibodies. For details on our patents, please refer to RabMAb® patents.

What are the advantages of a recombinant monoclonal antibody?
This product is a recombinant monoclonal antibody, which offers several advantages including:

  • - High batch-to-batch consistency and reproducibility
  • - Improved sensitivity and specificity
  • - Long-term security of supply
  • - Animal-free batch production

For more information, read more on recombinant antibodies.

性能和储存信息

形式
Liquid
纯化工艺
Affinity purification Protein A
存储溶液
pH: 7.2 - 7.4 Preservative: 0.01% Sodium azide Constituents: PBS, 50% Tissue culture supernatant, 40% Glycerol (glycerin, glycerine), 0.05% BSA
运输条件
Blue Ice
推荐的短期储存条件
+4°C
推荐的长期储存条件
-20°C
储存信息
Stable for 12 months at -20°C

补充信息

This supplementary information is collated from multiple sources and compiled automatically.

SUMO proteins known as small ubiquitin-like modifiers play key roles in post-translational modification of proteins. SUMO2 SUMO3 and SUMO4 are members of the SUMO family sharing about 87% identity in their amino acid sequences. The average molecular mass of SUMO2 and SUMO3 is approximately 11 kDa while SUMO4 is slightly larger. These proteins are widely expressed in eukaryotic cells and are primarily found in the nucleus where they conjugate with target proteins to modify their stability localization and interaction with other proteins.
Biological function summary

SUMO protein family modifies target proteins and influences important cellular processes like transcriptional regulation DNA repair and cell cycle progression. SUMO2 and SUMO3 unlike SUMO1 often form poly-SUMO chains which interact with other ubiquitin-like modifiers and create multi-protein complexes. SUMO4 lacks the processing enzymes necessary for maturation suggesting a different role or regulation. These processes facilitate the dynamic response of the cell to various physiological and stress signals which is critical to maintaining normal cellular functions.

Pathways

SUMO conjugation regulates numerous signaling pathways including the p53 and NF-kB pathways. In the p53 pathway SUMO modification helps control the stability and activity of the p53 protein a major tumor suppressor that monitors DNA damage and apoptosis. In the NF-kB pathway SUMOylation impacts the transcriptional activity of NF-kB subunits by modifying proteins like IκBα and influencing the inflammatory response. The interaction with existing molecular players in these pathways enables precise control of gene expression and cellular responses to internal and external stimuli.

Altered SUMOylation links to cancer and neurodegenerative diseases. In several cancers disruptions in SUMO2 and SUMO3 conjugation affect the regulation of oncogenic and tumor suppressor pathways modifying cell proliferation apoptosis and metastasis. Regarding neurodegenerative diseases SUMO3 may influence processes like protein aggregation and neuronal apoptosis notable in diseases like Alzheimer's where it interacts with Tau protein. Together these findings suggest that abnormal SUMO modification contributes significantly to the development and progression of these diverse pathologies.

产品实验方案

For this product, it's our understanding that no specific protocols are required. You can visit:

靶点信息

Ubiquitin-like protein which can be covalently attached to target lysines as a monomer. Does not seem to be involved in protein degradation and may modulate protein subcellular localization, stability or activity. Upon oxidative stress, conjugates to various anti-oxidant enzymes, chaperones, and stress defense proteins. May also conjugate to NFKBIA, TFAP2A and FOS, negatively regulating their transcriptional activity, and to NR3C1, positively regulating its transcriptional activity. Covalent attachment to its substrates requires prior activation by the E1 complex SAE1-SAE2 and linkage to the E2 enzyme UBE2I.
See full target information SUMO4

其他靶点

SUMO2

文献 (2)

Recent publications for all applications. Explore the full list and refine your search

Molecular cancer therapeutics 23:1597-1612 PubMed39150446

2024

Inhibition of SUMOylation Induces Adaptive Antitumor Immunity against Pancreatic Cancer through Multiple Effects on the Tumor Microenvironment.

Applications

Unspecified application

Species

Unspecified reactive species

Suna Erdem,Hyojae James Lee,Jayanth Surya Narayanan Shankara Narayanan,Mohottige Don Neranjan Tharuka,Jorge De la Torre,Tianchen Ren,Yixuan Kuang,Tharindumala Abeywardana,Kevin Li,Allison J Berger,Andrew M Lowy,Rebekah R White,Yuan Chen

Nature 626:881-890 PubMed38297124

2024

An epigenetic barrier sets the timing of human neuronal maturation.

Applications

Unspecified application

Species

Unspecified reactive species

Gabriele Ciceri,Arianna Baggiolini,Hyein S Cho,Meghana Kshirsagar,Silvia Benito-Kwiecinski,Ryan M Walsh,Kelly A Aromolaran,Alberto J Gonzalez-Hernandez,Hermany Munguba,So Yeon Koo,Nan Xu,Kaylin J Sevilla,Peter A Goldstein,Joshua Levitz,Christina S Leslie,Richard P Koche,Lorenz Studer
View all publications

Abcam Product Promise

我们致力于为您的研究提供高质量的试剂,为您科研的每一步提供支持。若我们的产品未能达到预期性能,我们向您提供 Abcam Product Promise 保障。
详情请参阅我们的条款与条件。

Please note: All products are 'FOR RESEARCH USE ONLY. NOT FOR USE IN DIAGNOSTIC OR THERAPEUTIC PROCEDURES'.

For licensing inquiries, please contact partnerships@abcam.com