JavaScript is disabled in your browser. Please enable JavaScript to view this website.
AB155172

Anti-STK31 抗体

Anti-STK31 antibody

Be the first to review this product! Submit a review

|

(5 Publications)

Rabbit Polyclonal STK31 antibody. Suitable for IHC-P, WB and reacts with Human samples. Cited in 5 publications. Immunogen corresponding to Synthetic Peptide within Mouse Serine/threonine-protein kinase 31 aa 950-1000.

查看别名

SGK396, STK31, Serine/threonine-protein kinase 31, Serine/threonine-protein kinase NYD-SPK, Sugen kinase 396, SgK396

2 Images
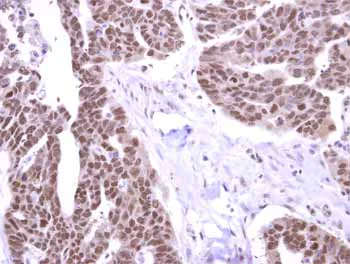
Immunohistochemistry (Formalin/PFA-fixed paraffin-embedded sections) - Anti-STK31 antibody (AB155172)
  • IHC-P

Supplier Data

Immunohistochemistry (Formalin/PFA-fixed paraffin-embedded sections) - Anti-STK31 antibody (AB155172)

Immunohistichemical analysis of paraffin-embedded human ovarian carcinoma tissue, labeling STK31 with ab155172 at 1/500 dilution.

Western blot - Anti-STK31 antibody (AB155172)
  • WB

Unknown

Western blot - Anti-STK31 antibody (AB155172)

5% SDS PAGE

All lanes:

Western blot - Anti-STK31 antibody (ab155172) at 1/1000 dilution

Lane 1:

AZ521 whole cell lysate at 30 µg

Lane 2:

AZ521-STK31-GFP whole cell lysate at 30 µg

Lane 3:

AZ521-STK31-Myc-His whole cell lysate at 30 µg

Predicted band size: 116 kDa

false

关键信息

宿主种属

Rabbit

克隆

Polyclonal

亚型

IgG

不含载体蛋白

No

反应种属

Human

应用

IHC-P, WB

applications

免疫原

Synthetic Peptide within Mouse Serine/threonine-protein kinase 31 aa 950-1000. The exact immunogen used to generate this antibody is proprietary information.

Q99MW1

反应性数据

{ "title": "Reactivity Data", "filters": { "stats": ["", "Species", "Dilution Info", "Notes"], "tabs": { "all-applications": {"fullname" : "All Applications", "shortname": "All Applications"}, "IHCP" : {"fullname" : "Immunohistochemistry (Formalin/PFA-fixed paraffin-embedded sections)", "shortname":"IHC-P"}, "WB" : {"fullname" : "Western blot", "shortname":"WB"} }, "product-promise": { "all": "all", "testedAndGuaranteed": "tested", "guaranteed": "expected", "predicted": "predicted", "notRecommended": "not-recommended" } }, "values": { "Human": { "IHCP-species-checked": "testedAndGuaranteed", "IHCP-species-dilution-info": "1/100 - 1/1000", "IHCP-species-notes": "<p>Tris-EDTA buffer (pH8.0) can also be used.</p> Perform heat-mediated antigen retrieval with citrate buffer pH 6 before commencing with IHC staining protocol.", "WB-species-checked": "testedAndGuaranteed", "WB-species-dilution-info": "1/500 - 1/3000", "WB-species-notes": "<p></p>" } } }

性能和储存信息

形式
Liquid
纯化工艺
Affinity purification Immunogen
存储溶液
pH: 7 Preservative: 0.01% Thimerosal (merthiolate) Constituents: PBS, 20% Glycerol (glycerin, glycerine), 1% BSA
运输条件
Blue Ice
推荐的短期储存条件
+4°C
推荐的长期储存条件
-20°C
分装信息
Upon delivery aliquot
储存信息
Avoid freeze / thaw cycle

补充信息

This supplementary information is collated from multiple sources and compiled automatically.

STK31 also known as Serine/Threonine Kinase 31 or TDRD8 is a protein kinase involved in phosphorylation processes. This protein has a molecular weight of approximately 67 kDa. It is mostly expressed in testicular tissue where it contributes to germ cell development. The expression of STK31 might vary depending on the developmental stage and cellular environment suggesting a role in reproductive biology.
Biological function summary

The activity of STK31 impacts cellular processes critical for germ cell maturation and division. STK31 interacts within complex networks of proteins and possibly forms part of a larger protein complex involved in orchestrating cell cycle progression. Its enzymatic role aids in regulating checkpoints during cell division ensuring proper cellular replication and integrity within reproductive tissues.

Pathways

The role of STK31 is significant in the regulation of the cell cycle and PI3K/AKT signaling pathways. This kinase participates in signaling cascades that control cell proliferation and survival aligning with its primary function in germ cells. STK31's activity relates to other proteins in these pathways such as CDK and AKT which mediate various aspects of cellular growth and replication helping maintain balance and function in cellular contexts.

STK31 has connections to germ cell tumors and testicular cancer. Aberrant expression or mutations of STK31 are associated with testicular germ cell tumors indicating its critical role in normal and pathological conditions. It shares a link with proteins like OCT4 and NANOG which are known for roles in stem cell pluripotency and are found deregulated in certain cancers implicating STK31 in oncogenic processes within reproductive tissues.

产品实验方案

For this product, it's our understanding that no specific protocols are required. You can visit:

文献 (5)

Recent publications for all applications. Explore the full list and refine your search

Journal of gastrointestinal oncology 13:3263-3277 PubMed36636045

2023

MicroRNA-543 controls pancreatic cancer development by LINC00847-microRNA-543-STK31 axis.

Applications

Unspecified application

Species

Unspecified reactive species

Yan Liu,Jun Wei,Chao Wang,Zihui Meng,Duqiang Luo,Xiaoling Zhao,Ruizhi Hou

Biochemical and biophysical research communications 644:70-78 PubMed36634584

2023

Toll-like receptor 9 signaling after myocardial infarction: Role of p66ShcA adaptor protein.

Applications

Unspecified application

Species

Unspecified reactive species

Anton Baysa,Azzam A Maghazachi,Kristin Larsen Sand,Marika Campesan,Tania Zaglia,Marco Mongillo,Marco Giorgio,Fabio Di Lisa,Lars Gullestad,Lars H Mariero,Jarle Vaage,Guro Valen,Kåre-Olav Stensløkken

Oncology reports 45: PubMed33649810

2021

upregulation is associated with chromatin remodeling in gastric cancer and induction of tumorigenicity in a xenograft mouse model.

Applications

Unspecified application

Species

Unspecified reactive species

Dong Hyuck Bae,Hee-Jin Kim,Byoung-Ha Yoon,Jong-Lyul Park,Mirang Kim,Seon-Kyu Kim,Seon-Young Kim,Sang-Il Lee,Kyu-Sang Song,Yong Sung Kim

Cellular and molecular life sciences : CMLS 78:695-713 PubMed32367190

2020

Dissecting the initiation of female meiosis in the mouse at single-cell resolution.

Applications

Unspecified application

Species

Unspecified reactive species

Wei Ge,Jun-Jie Wang,Rui-Qian Zhang,Shao-Jing Tan,Fa-Li Zhang,Wen-Xiang Liu,Lan Li,Xiao-Feng Sun,Shun-Feng Cheng,Paul W Dyce,Massimo De Felici,Wei Shen

Reproduction (Cambridge, England) 159:659-668 PubMed32163912

2020

FANCD2 is required for the repression of germline transposable elements.

Applications

Unspecified application

Species

Unspecified reactive species

Yan Nie,Andrew F Wilson,Tony DeFalco,Amom Ruhikanta Meetei,Satoshi H Namekawa,Qishen Pang
View all publications

Abcam Product Promise

我们致力于为您的研究提供高质量的试剂,为您科研的每一步提供支持。若我们的产品未能达到预期性能,我们向您提供 Abcam Product Promise 保障。
详情请参阅我们的条款与条件。

Please note: All products are 'FOR RESEARCH USE ONLY. NOT FOR USE IN DIAGNOSTIC OR THERAPEUTIC PROCEDURES'.

For licensing inquiries, please contact partnerships@abcam.com