JavaScript is disabled in your browser. Please enable JavaScript to view this website.
AB30648

Anti-STAT5a (phospho Y694)抗体

Anti-STAT5a (phospho Y694) antibody

5

(1 Review)

|

(13 Publications)

Rabbit Polyclonal STAT5a phospho Y694 antibody. Suitable for WB, IHC-P and reacts with Human samples. Cited in 13 publications. Immunogen corresponding to Synthetic Peptide within Human STAT5A phospho Y694.

查看别名

STAT5, STAT5A, Signal transducer and activator of transcription 5A

2 Images
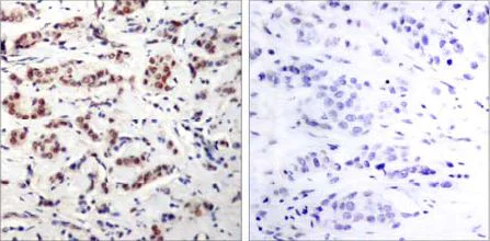
Immunohistochemistry (Formalin/PFA-fixed paraffin-embedded sections) - Anti-STAT5a (phospho Y694) antibody (AB30648)
  • IHC-P

Unknown

Immunohistochemistry (Formalin/PFA-fixed paraffin-embedded sections) - Anti-STAT5a (phospho Y694) antibody (AB30648)

Immunohistochemical analysis of paraffin-embedded breast carcinoma tissue. Left : Using ab30648 (10ug/ml); right : the same antibody preincubated with synthesized phosphopeptide.

Western blot - Anti-STAT5a (phospho Y694) antibody (AB30648)
  • WB

Unknown

Western blot - Anti-STAT5a (phospho Y694) antibody (AB30648)

All lanes:

Western blot - Anti-STAT5a (phospho Y694) antibody (ab30648)

Lane 1:

HeLa cells untreated

Lane 2:

HeLa cells treated with EGF

Predicted band size: 90 kDa

Observed band size: 90 kDa

false

关键信息

宿主种属

Rabbit

克隆

Polyclonal

亚型

IgG

不含载体蛋白

No

反应种属

Human

应用

IHC-P, WB

applications

免疫原

Synthetic Peptide within Human STAT5A phospho Y694. The exact immunogen used to generate this antibody is proprietary information.

P42229

特异性

ab30648 detects endogenous levels of STAT5A only when phosphorylated at Tyrosine 694. Antibody ab31377 is raised against the same peptide sequence but non-phosphorylated at tyrosine 694.

反应性数据

{ "title": "Reactivity Data", "filters": { "stats": ["", "Species", "Dilution Info", "Notes"], "tabs": { "all-applications": {"fullname" : "All Applications", "shortname": "All Applications"}, "WB" : {"fullname" : "Western blot", "shortname":"WB"}, "IHCP" : {"fullname" : "Immunohistochemistry (Formalin/PFA-fixed paraffin-embedded sections)", "shortname":"IHC-P"} }, "product-promise": { "all": "all", "testedAndGuaranteed": "tested", "guaranteed": "expected", "predicted": "predicted", "notRecommended": "not-recommended" } }, "values": { "Human": { "WB-species-checked": "testedAndGuaranteed", "WB-species-dilution-info": "1/500 - 1/1000", "WB-species-notes": "<p></p>", "IHCP-species-checked": "testedAndGuaranteed", "IHCP-species-dilution-info": "", "IHCP-species-notes": "<p></p>" } } }

性能和储存信息

形式
Liquid
纯化工艺
Affinity purification Immunogen
纯化说明
The antibody was affinity-purified from rabbit antiserum by affinity-chromatography using epitope-specific phosphopeptide. The antibody against non-phosphopeptide was removed by chromatography using non-phosphopeptide corresponding to the phosphorylation site
存储溶液
pH: 7.4 Preservative: 0.02% Sodium azide Constituents: PBS, 50% Glycerol (glycerin, glycerine), 0.87% Sodium chloride
运输条件
Blue Ice
推荐的短期储存条件
+4°C
推荐的长期储存条件
-20°C
分装信息
Upon delivery aliquot
储存信息
Avoid freeze / thaw cycle

补充信息

This supplementary information is collated from multiple sources and compiled automatically.

STAT5a also known as Signal Transducer and Activator of Transcription 5A acts as a transcription factor in the cell. STAT5a weighs approximately 90 kDa and expresses in various tissues including the liver muscle and hematopoietic cells. It plays a central role in mediating cellular responses to cytokines and growth factors particularly those in the interleukin-2 (IL-2) family and growth hormone (GH).
Biological function summary

Many systems use STAT5a to regulate cell proliferation differentiation and survival. It often forms a complex with other proteins like STAT5b which is a closely related counterpart and both contribute to similar cellular processes. STAT5a can dimerize upon activation allowing it to move to the cell nucleus to influence gene expression directly.

Pathways

Researchers place STAT5a prominently in the JAK-STAT signaling pathway. This pathway is essential for transmitting information received from extracellular chemical signals to the cell nucleus resulting in the activation of genes controlling cellular functions. STAT5a works together with Janus kinases (JAKs) to mediate various biological responses including hormone signaling and immune function. It also interacts with proteins like IL-2 receptor subunits which are involved in many cytokine-driven processes.

Disturbances in STAT5a activity link specifically with conditions like leukemia and breast cancer. Overactivation or mutation can lead to uncontrolled cell growth and survival contributing to these diseases. In leukemia STAT5a frequently partners with other proteins like BCR-ABL which is known for its role in chronic myeloid leukemia influencing oncogenic pathways. In breast cancer alterations in STAT5a signaling may interact with estrogen and progesterone receptors affecting tumor progression and response to therapies.

产品实验方案

For this product, it's our understanding that no specific protocols are required. You can visit:

靶点信息

Carries out a dual function : signal transduction and activation of transcription. Mediates cellular responses to the cytokine KITLG/SCF and other growth factors. Mediates cellular responses to ERBB4. May mediate cellular responses to activated FGFR1, FGFR2, FGFR3 and FGFR4. Binds to the GAS element and activates PRL-induced transcription. Regulates the expression of milk proteins during lactation.
See full target information STAT5A phospho Y694

文献 (13)

Recent publications for all applications. Explore the full list and refine your search

PLoS computational biology 21:e1012877 PubMed40096134

2025

Machine learning-based prediction reveals kinase MAP4K4 regulates neutrophil differentiation through phosphorylating apoptosis-related proteins.

Applications

Unspecified application

Species

Unspecified reactive species

Guihua Wang,Dan Zhang,Zhifeng He,Bin Mao,Xiao Hu,Li Chen,Qingxin Yang,Zhen Zhou,Yating Zhang,Kepan Linghu,Chao Tang,Zijie Xu,Defu Liu,Junwei Song,Huiying Wang,Yishan Lin,Ruihan Li,Jing-Wen Lin,Lu Chen

Iranian journal of basic medical sciences 27:685-694 PubMed38645489

2024

Quercetin of huoxuehuayu tongluo decoction and azithromycin combination therapy effectively improves rat tubal factor infertility by inhibiting inflammation.

Applications

Unspecified application

Species

Unspecified reactive species

Liang Shao,Nansu Wang,Yan Yan,Yali Tan,Qin Wu,Lei Lei,Mingming Wang,Ling Liu

EBioMedicine 86:104312 PubMed36335669

2022

Leukemia inhibitory factor is a therapeutic target for renal interstitial fibrosis.

Applications

Unspecified application

Species

Unspecified reactive species

Shihui Xu,Xiaobing Yang,Qingzhou Chen,Zhuoliang Liu,Ying Chen,Xiaotian Yao,An Xiao,Jianwei Tian,Liling Xie,Miaomiao Zhou,Zheng Hu,Fengxin Zhu,Xin Xu,Fanfan Hou,Jing Nie

Molecular oncology 15:710-724 PubMed33155364

2020

Loss of STAT5A promotes glucose metabolism and tumor growth through miRNA-23a-AKT signaling in hepatocellular carcinoma.

Applications

Unspecified application

Species

Unspecified reactive species

Yabo Jiang,Yongzhen Tao,Xiuping Zhang,Xubiao Wei,Min Li,Xuxiao He,Bin Zhou,Weixing Guo,Huiyong Yin,Shuqun Cheng

Molecular and cellular endocrinology 511:110859 PubMed32407979

2020

Reciprocal fine-tuning of progesterone and prolactin-regulated gene expression in breast cancer cells.

Applications

Unspecified application

Species

Unspecified reactive species

Sean M Holloran,Bakhtiyor Nosirov,Katherine R Walter,Gloria M Trinca,Zhao Lai,Victor X Jin,Christy R Hagan

Cell and tissue research 380:513-526 PubMed31953689

2020

Distinct expression patterns of aquaporin 3 and 5 in ductal and alveolar epithelial cells in mouse mammary glands before and after parturition.

Applications

Unspecified application

Species

Unspecified reactive species

Yoshiki Kaihoko,Yusaku Tsugami,Norihiro Suzuki,Takahiro Suzuki,Takanori Nishimura,Ken Kobayashi

Experimental cell research 370:365-372 PubMed29966663

2018

IL-1β directly inhibits milk lipid production in lactating mammary epithelial cells concurrently with enlargement of cytoplasmic lipid droplets.

Applications

Unspecified application

Species

Unspecified reactive species

Kota Matsunaga,Yusaku Tsugami,Aogu Kumai,Takahiro Suzuki,Takanori Nishimura,Ken Kobayashi

Journal of hematology & oncology 11:82 PubMed29898759

2018

Exosomes released by hepatocarcinoma cells endow adipocytes with tumor-promoting properties.

Applications

Unspecified application

Species

Unspecified reactive species

Shihua Wang,Meiqian Xu,Xiaoxia Li,Xiaodong Su,Xian Xiao,Armand Keating,Robert Chunhua Zhao

Biochimica et biophysica acta 1863:2006-16 PubMed27130254

2016

Prolactin and glucocorticoid signaling induces lactation-specific tight junctions concurrent with β-casein expression in mammary epithelial cells.

Applications

Unspecified application

Species

Unspecified reactive species

Ken Kobayashi,Yusaku Tsugami,Kota Matsunaga,Shoko Oyama,Chinatsu Kuki,Haruto Kumura

Oncotarget 6:44509-22 PubMed26575024

2015

Single agent BMS-911543 Jak2 inhibitor has distinct inhibitory effects on STAT5 signaling in genetically engineered mice with pancreatic cancer.

Applications

IHC

Species

Unspecified reactive species

Thomas A Mace,Reena Shakya,Omar Elnaggar,Kristin Wilson,Hannah M Komar,Jennifer Yang,Jason R Pitarresi,Gregory S Young,Michael C Ostrowski,Thomas Ludwig,Tanios Bekaii-Saab,Mark Bloomston,Gregory B Lesinski
View all publications

Abcam Product Promise

我们致力于为您的研究提供高质量的试剂,为您科研的每一步提供支持。若我们的产品未能达到预期性能,我们向您提供 Abcam Product Promise 保障。
详情请参阅我们的条款与条件。

Please note: All products are 'FOR RESEARCH USE ONLY. NOT FOR USE IN DIAGNOSTIC OR THERAPEUTIC PROCEDURES'.

For licensing inquiries, please contact partnerships@abcam.com