JavaScript is disabled in your browser. Please enable JavaScript to view this website.
AB76315

Anti-STAT3 (phospho Y705) 抗体 [EP2147Y]

Anti-STAT3 (phospho Y705) antibody [EP2147Y]

  • RabMAb
  • Recombinant
  • Lab Essentials
  • 20ul selling size
  • 了解详情

4

(21 Reviews)

|

(803 Publications)

Anti-STAT3 (phospho Y705) antibody [EP2147Y] (ab76315) is a rabbit monoclonal antibody detecting STAT3 in Western Blot, Flow Cytometry (Intra), Flow Cytometry, IP, IHC-P, ICC/IF, ELISA, Dot Blot. Suitable for Human, Mouse.

- Biophysical QC for unrivalled batch-batch consistency
- Over 590 publications
- Trusted since 2009

查看别名

APRF, STAT3, Signal transducer and activator of transcription 3, Acute-phase response factor

12 Images
Immunocytochemistry/ Immunofluorescence - Anti-STAT3 (phospho Y705) antibody [EP2147Y] (AB76315)
  • ICC/IF

Unknown

Immunocytochemistry/ Immunofluorescence - Anti-STAT3 (phospho Y705) antibody [EP2147Y] (AB76315)

Immunocytochemistry/Immunofluorescence analysis of HeLa (Human epithelial cell line from cervix adenocarcinoma) +/- IFN-α (50 ng/mL, 5 minutes) cells labelling STAT3 (phospho Y705) with ab76315 at 1/500 (4.3 μg/mL). Cells were fixed with 4% paraformaldehyde and permeabilized with 0.1% Triton X-100. ab150077, Alexa Fluor® 488-conjugated goat anti-rabbit IgG (1/1500) was used as the secondary antibody. DAPI (blue) was used as a nuclear counterstain.

Flow Cytometry (Intracellular) - Anti-STAT3 (phospho Y705) antibody [EP2147Y] (AB76315)
  • Flow Cyt (Intra)

Lab

Flow Cytometry (Intracellular) - Anti-STAT3 (phospho Y705) antibody [EP2147Y] (AB76315)

Intracellular flow cytometric analysis of 4% paraformaldehyde fixed 90% methanol permeabilized A431 (Human epidermoid carcinoma epithelial cell) treated with 100ng/mL EGF for 10min (Red) / Untreated control (Green) cells labelling STAT3 with ab76315 at 1/500 dilution (0.1μg) (Red) and Green compared with a Rabbit monoclonal IgG (ab172730) (Black) isotype control and an unlabelled control (cells without incubation with primary antibody and secondary antibody) (Blue). A Goat anti rabbit IgG (Alexa Fluor® 488, ab150077) at 1/2000 dilution was used as the secondary antibody.

Immunocytochemistry/ Immunofluorescence - Anti-STAT3 (phospho Y705) antibody [EP2147Y] (AB76315)
  • ICC/IF

PubMed

Immunocytochemistry/ Immunofluorescence - Anti-STAT3 (phospho Y705) antibody [EP2147Y] (AB76315)

NEAT1 influences STAT3 binding to endocytosis-related genes. The siNEAT1 and siCTRL cells were collected for ChIP assays to analyse the relative fold enrichment of the CAV2 (a), TGFB2 (b), or TGFBR1 promoter (c) with anti-STAT3 or RNAP II antibodies. The data points represent the mean values determined from three independent experiments. The data are presented as the mean ± SD. d The U251 cells were fixed and incubated with anti-STAT3 (red), anti-H3K27Ac (green) or anti-H3K27Cro antibodies (green) before the confocal analysis. The intensity plots for the red and green channels were analysed with the ImageJ software. Scale bars 10 μm. e After transfection with the siNEAT1v2 or negative control siRNA, the U251 cells were fixed and incubated with anti-STAT3 (red) or anti-H3K27Ac antibodies (green) before the confocal analysis. The intensity plots for the red and green channels were analysed with the ImageJ software. Scale bars 10 μm. f After 24 h of incubation with 80 μm crotonyl-CoA or the mock control, the U251 cell lysates were harvested and subjected to an immunoprecipitation assay with anti-STAT3 or anti-IgG antibodies. The retrieval of STAT3, H3K27Ac, H3K27Cro+ and Histone H3 by endogenous STAT3 and IgG was measured by western blotting. *p < 0.001

Image from Wang Z et al., Cell Mol Life Sci. 76(15), Fig 8. Doi: 10.1007/s00018-019-03074-9. Reproduced under the Creative Commons license http://creativecommons.org/licenses/by/4.0/.

Immunohistochemistry (Formalin/PFA-fixed paraffin-embedded sections) - Anti-STAT3 (phospho Y705) antibody [EP2147Y] (AB76315)
  • IHC-P

Unknown

Immunohistochemistry (Formalin/PFA-fixed paraffin-embedded sections) - Anti-STAT3 (phospho Y705) antibody [EP2147Y] (AB76315)

Immunohistochemical analysis of paraffin-embedded human thyroid carcinoma tissue using untreated (left) or alkaline phosphatase-treated (right) labeling STAT3 (phospho Y705) with ab76315 at 1/500 dilution, followed by Goat Anti-Rabbit IgG H& L (HRP) (ab97051) at 1/500 dilution. Counter stained with Hematoxylin. Heat mediated antigen retrieval was performed using Tris/EDTA buffer pH 9.

Immunohistochemistry (Formalin/PFA-fixed paraffin-embedded sections) - Anti-STAT3 (phospho Y705) antibody [EP2147Y] (AB76315)
  • IHC-P

AbReview62872****

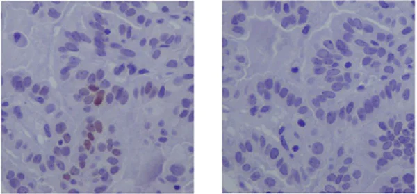
Immunohistochemistry (Formalin/PFA-fixed paraffin-embedded sections) - Anti-STAT3 (phospho Y705) antibody [EP2147Y] (AB76315)

Immunohistochemical analysis of formalin-fixed, paraffin-embedded rat colon tissue stained for STAT3 using ab76315 at 1/1000 dilution followed by a Horse radish peroxidase conjugated Goat anti-Rabbit secondary antibody at 1/400 dilution.

Antigen Retrieval : Heat mediated - Heat mediated - Buffer/Enzyme Used : pH 9.0 EDTA

This image was courtesy of an anonymous abReview

Immunohistochemistry (Formalin/PFA-fixed paraffin-embedded sections) - Anti-STAT3 (phospho Y705) antibody [EP2147Y] (AB76315)
  • IHC-P

Lab

Immunohistochemistry (Formalin/PFA-fixed paraffin-embedded sections) - Anti-STAT3 (phospho Y705) antibody [EP2147Y] (AB76315)

Tissue Microarrays stained for "Anti-STAT3 (phospho Y705) antibody [EP2147Y]" using "ab76315"in immunohistochemical analysis. This table provides a detailed overview of positive (tick mark) and negative (cross mark) staining per sample type tested. The sections were pre-treated using Heat mediated antigen retrieval using ab97051 (Tris/EDTA buffer, pH 9.0). The sections were incubated with ab76315 at +4°C overnight followed by Goat Anti-Rabbit IgG H&L (HRP) ab97051 at 1/500.

Immunohistochemistry (Formalin/PFA-fixed paraffin-embedded sections) - Anti-STAT3 (phospho Y705) antibody [EP2147Y] (AB76315)
  • IHC-P

Unknown

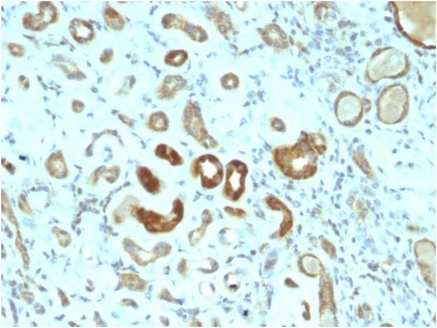
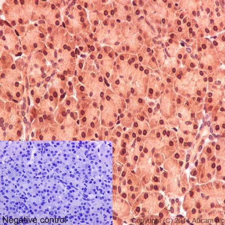
Immunohistochemistry (Formalin/PFA-fixed paraffin-embedded sections) - Anti-STAT3 (phospho Y705) antibody [EP2147Y] (AB76315)

Immunohistochemistry (Formalin/PFA-fixed paraffin-embedded sections) analysis of human kidney tissue labeling STAT3 (phospho Y705) with purified ab76315 at 1/100. Heat mediated antigen retrieval was performed using Tris/EDTA buffer pH 9. ab97051, a HRP-conjugated goat anti-rabbit IgG (H+L) was used as the secondary antibody (1/500). Negative control using PBS instead of primary antibody. Counterstained with hematoxylin.

Immunohistochemistry (Formalin/PFA-fixed paraffin-embedded sections) - Anti-STAT3 (phospho Y705) antibody [EP2147Y] (AB76315)
  • IHC-P

Lab

Immunohistochemistry (Formalin/PFA-fixed paraffin-embedded sections) - Anti-STAT3 (phospho Y705) antibody [EP2147Y] (AB76315)

Immunohistochemistry (Formalin/PFA-fixed paraffin-embedded sections) analysis of mouse spleen tissue labeling STAT3 (phospho Y705) with ab76315 at 1/100 (nuclear staining). Heat mediated antigen retrieval was performed using Tris/EDTA buffer pH 9. A HRP-conjugated goat anti-rabbit IgG (H+L) was used as the secondary antibody. Counterstained with hematoxylin.

Immunohistochemistry (Formalin/PFA-fixed paraffin-embedded sections) - Anti-STAT3 (phospho Y705) antibody [EP2147Y] (AB76315)
  • IHC-P

AbReview63092****

Immunohistochemistry (Formalin/PFA-fixed paraffin-embedded sections) - Anti-STAT3 (phospho Y705) antibody [EP2147Y] (AB76315)

Immunohistochemical analysis of formalin-fixed, paraffin-embedded mouse colon tissue stained for STAT3 using ab76315 at 1/1000 dilution followed by a Horse radish peroxidase conjugated Goat anti-Rabbit secondary antibody at 1/400 dilution.

Antigen Retrieval : Heat mediated - Buffer/Enzyme Used : pH 9.0 EDTA 70C 2hr.

This image was courtesy on an anonymous Abreview

Immunoprecipitation - Anti-STAT3 (phospho Y705) antibody [EP2147Y] (AB76315)
  • IP

Unknown

Immunoprecipitation - Anti-STAT3 (phospho Y705) antibody [EP2147Y] (AB76315)

ab76315 (purified) at 1/30 immunoprecipitating STAT3 (phospho Y705) in A431 (Human epidermoid carcinoma cell line) cell lysate treated with EGF. For western blotting, a peroxidase-conjugated goat anti-rabbit IgG (H+L) was used as the secondary antibody (1/1000).

Blocking/Dilution buffer : 5% NFDM/TBST.

All lanes:

Immunoprecipitation - Anti-STAT3 (phospho Y705) antibody [EP2147Y] (ab76315)

Predicted band size: 88 kDa

false

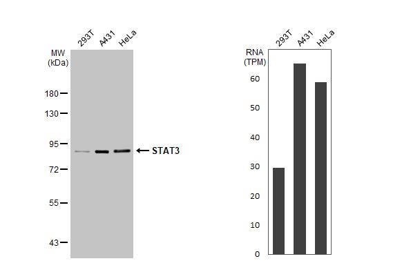
Western blot - Anti-STAT3 (phospho Y705) antibody [EP2147Y] (AB76315)
  • WB

Lab

Western blot - Anti-STAT3 (phospho Y705) antibody [EP2147Y] (AB76315)

Blocking/Dilution buffer : 5% NFDM/TBST.

All lanes:

Western blot - Anti-STAT3 (phospho Y705) antibody [EP2147Y] (ab76315) at 1/20000 dilution

Lane 1:

Un-treated HeLa (Human epithelial cell line from cervix adenocarcinoma )cell lysate at 10 µg

Lane 2:

IFN-a-treated HeLa (Human epithelial cell line from cervix adenocarcinoma) cell lysate at 10 µg

Secondary

All lanes:

Peroxidase-conjugated goat anti-rabbit IgG (H+L) at 1/1000 dilution

Predicted band size: 88 kDa

Observed band size: 88 kDa

false

Dot Blot - Anti-STAT3 (phospho Y705) antibody [EP2147Y] (AB76315)
  • Dot

Unknown

Dot Blot - Anti-STAT3 (phospho Y705) antibody [EP2147Y] (AB76315)

Dot blot analysis of STAT3 single phospho peptide pY705 (lane 1) and STAT3 non-phospho peptide (lane 2) with ab76315 at 1/1000. Blocking and dilution buffer was 5% NFDM/TBST. The secondary antibody used was ab97051 peroxidase conjugated Goat Anti-Rabbit IgG, (H+L) at 1/100,000.

关键信息

宿主种属

Rabbit

克隆

Monoclonal

克隆号

EP2147Y

亚型

IgG

不含载体蛋白

No

反应种属

Mouse, Human

应用

IHC-P, WB, Dot, IP, Flow Cyt (Intra), ICC/IF

applications

免疫原

The exact immunogen used to generate this antibody is proprietary information.

反应性数据

{ "title": "Reactivity Data", "filters": { "stats": ["", "Species", "Dilution Info", "Notes"], "tabs": { "all-applications": {"fullname" : "All Applications", "shortname": "All Applications"}, "ELISA" : {"fullname" : "ELISA", "shortname":"ELISA"}, "IHCP" : {"fullname" : "Immunohistochemistry (Formalin/PFA-fixed paraffin-embedded sections)", "shortname":"IHC-P"}, "IP" : {"fullname" : "Immunoprecipitation", "shortname":"IP"}, "Dot" : {"fullname" : "Dot Blot", "shortname":"Dot"}, "WB" : {"fullname" : "Western blot", "shortname":"WB"}, "ICCIF" : {"fullname" : "Immunocytochemistry/ Immunofluorescence", "shortname":"ICC/IF"}, "FlowCytIntra" : {"fullname" : "Flow Cytometry (Intracellular)", "shortname":"Flow Cyt (Intra)"} }, "product-promise": { "all": "all", "testedAndGuaranteed": "tested", "guaranteed": "expected", "predicted": "predicted", "notRecommended": "not-recommended" } }, "values": { "Human": { "ELISA-species-checked": "notRecommended", "ELISA-species-dilution-info": "", "ELISA-species-notes": "<p></p>", "IHCP-species-checked": "testedAndGuaranteed", "IHCP-species-dilution-info": "1/50 - 1/100", "IHCP-species-notes": "<p></p> Perform heat-mediated antigen retrieval before commencing with IHC staining protocol.", "IP-species-checked": "testedAndGuaranteed", "IP-species-dilution-info": "1/20", "IP-species-notes": "<p></p>", "Dot-species-checked": "guaranteed", "Dot-species-dilution-info": "", "Dot-species-notes": "", "WB-species-checked": "testedAndGuaranteed", "WB-species-dilution-info": "1/2000 - 1/20000", "WB-species-notes": "<p>Stimulation may be required to allow detection of the phosphorylated protein. Please see images below for recommended treatment conditions and positive controls.</p>", "ICCIF-species-checked": "testedAndGuaranteed", "ICCIF-species-dilution-info": "1/500", "ICCIF-species-notes": "<p></p>", "FlowCytIntra-species-checked": "testedAndGuaranteed", "FlowCytIntra-species-dilution-info": "1/500", "FlowCytIntra-species-notes": "<p></p>" }, "Mouse": { "ELISA-species-checked": "notRecommended", "ELISA-species-dilution-info": "", "ELISA-species-notes": "", "IHCP-species-checked": "testedAndGuaranteed", "IHCP-species-dilution-info": "1/50 - 1/100", "IHCP-species-notes": "<p></p> Perform heat-mediated antigen retrieval before commencing with IHC staining protocol.", "IP-species-checked": "guaranteed", "IP-species-dilution-info": "", "IP-species-notes": "", "Dot-species-checked": "guaranteed", "Dot-species-dilution-info": "", "Dot-species-notes": "", "WB-species-checked": "guaranteed", "WB-species-dilution-info": "", "WB-species-notes": "", "ICCIF-species-checked": "guaranteed", "ICCIF-species-dilution-info": "", "ICCIF-species-notes": "", "FlowCytIntra-species-checked": "guaranteed", "FlowCytIntra-species-dilution-info": "", "FlowCytIntra-species-notes": "" }, "Rat": { "ELISA-species-checked": "notRecommended", "ELISA-species-dilution-info": "", "ELISA-species-notes": "", "IHCP-species-checked": "predicted", "IHCP-species-dilution-info": "", "IHCP-species-notes": "", "IP-species-checked": "predicted", "IP-species-dilution-info": "", "IP-species-notes": "", "Dot-species-checked": "predicted", "Dot-species-dilution-info": "", "Dot-species-notes": "", "WB-species-checked": "guaranteed", "WB-species-dilution-info": "", "WB-species-notes": "<p></p>", "ICCIF-species-checked": "predicted", "ICCIF-species-dilution-info": "", "ICCIF-species-notes": "", "FlowCytIntra-species-checked": "predicted", "FlowCytIntra-species-dilution-info": "", "FlowCytIntra-species-notes": "" }, "Synthetic peptide - Human": { "ELISA-species-checked": "notRecommended", "ELISA-species-dilution-info": "", "ELISA-species-notes": "", "IHCP-species-checked": "notRecommended", "IHCP-species-dilution-info": "", "IHCP-species-notes": "", "IP-species-checked": "notRecommended", "IP-species-dilution-info": "", "IP-species-notes": "", "Dot-species-checked": "testedAndGuaranteed", "Dot-species-dilution-info": "1/1000", "Dot-species-notes": "<p></p>", "WB-species-checked": "notRecommended", "WB-species-dilution-info": "", "WB-species-notes": "", "ICCIF-species-checked": "notRecommended", "ICCIF-species-dilution-info": "", "ICCIF-species-notes": "", "FlowCytIntra-species-checked": "notRecommended", "FlowCytIntra-species-dilution-info": "", "FlowCytIntra-species-notes": "" } } }

产品详情

Product Specifications
Anti-STAT3 (phospho Y705) antibody [EP2147Y] (ab76315) was developed by Abcam using patented rabbit monoclonal antibody technology and is validated for use in Dot blot, ELISA, Flow Cyt (Intra), ICC/IF, IHC-P, IP, WB in human, mouse samples.
Anti-STAT3 (phospho Y705) antibody [EP2147Y] (ab76315) specifically detects STAT3 Phospho-Y705 (UniProt ID: P40763; Molecular weight: 88kDa) and is sold in a convenient trial size to enable initial testing (20 µL) and larger sizes for subsequent scaling up experiments (100 µL and 1 mL).

Quality and Validation
Abcam's high quality manufacturing and validation processes ensure Anti-STAT3 (phospho Y705) antibody [EP2147Y] (ab76315) has high sensitivity and specificity alongside high lot-to-lot consistency and reproducibility.
Anti-STAT3 (phospho Y705) antibody [EP2147Y] (ab76315) has been cited over 598 times in peer reviewed journals and is trusted by the scientific community.
Anti-STAT3 (phospho Y705) antibody [EP2147Y] (ab76315) has 19 independent reviews from customers.

Related Products
Antibody clone EP2147Y is also available pre-conjugated to a variety of labels for your convenience - Alexa Fluor® 555 (ab202876).

Patented technology
Our RabMAb® technology is a patented hybridoma-based technology for making rabbit monoclonal antibodies. For details on our patents, please refer to RabMAb® patents.

What are the advantages of a recombinant monoclonal antibody?
This product is a recombinant monoclonal antibody, which offers several advantages including:

  • - High batch-to-batch consistency and reproducibility
  • - Improved sensitivity and specificity
  • - Long-term security of supply
  • - Animal-free batch production

For more information, read more on recombinant antibodies.

性能和储存信息

形式
Liquid
纯化工艺
Affinity purification Protein A
存储溶液
pH: 7.2 - 7.4 Preservative: 0.01% Sodium azide Constituents: PBS, 40% Glycerol (glycerin, glycerine), 0.05% BSA
运输条件
Blue Ice
推荐的短期储存时间
1-2 weeks
推荐的短期储存条件
+4°C
推荐的长期储存条件
-20°C
分装信息
Upon delivery aliquot
储存信息
Avoid freeze / thaw cycle

补充信息

This supplementary information is collated from multiple sources and compiled automatically.

Signal Transducer and Activator of Transcription 3 (STAT3) also called p-stat3 or phospho-STAT3 is a critical transcription factor involved in various cellular processes. The molecular weight of STAT3 is approximately 92 kDa. This protein is expressed broadly across many tissues and cell types. Mechanically upon cytokine or growth factor stimulation STAT3 undergoes phosphorylation resulting in dimerization. This phosphorylated form often referred to as phospho-Stat3 or p-STAT3 translocates to the nucleus where it binds specific DNA sequences to modulate gene transcription.
Biological function summary

STAT3 is an important player in regulating cell growth and apoptosis. It functions not only as a transcription factor but also as part of a larger protein complex that operates within the cell nucleus to influence gene expression. This multifaceted role enables STAT3 to control the expression of genes related to cell proliferation survival and differentiation impacting various biological processes. These functions highlight its importance in tissue homeostasis and response to extracellular signals.

Pathways

STAT3 is actively involved in the JAK-STAT signaling pathway a principal route for many cytokines and growth factors and the MAPK pathway. STAT3 interacts with proteins such as JAK kinases which phosphorylate Stat3 and initiate the STAT3 signaling cascade. Additionally it closely associates with the protein Raf1 in the MAPK pathway linking external signals to transcriptional responses. These pathways play a significant role in immune response inflammation and growth signaling.

Researchers have implicated STAT3 in cancer and autoimmune diseases. Persistent activation of STAT3 is often observed in various cancers including breast and lung cancer promoting oncogenesis through altered gene expression. Additionally abnormal STAT3 signaling is associated with autoimmune conditions such as rheumatoid arthritis. The interplay between STAT3 and proteins like IL-6 in these diseases highlights its potential as a therapeutic target for intervention.

产品实验方案

For this product, it's our understanding that no specific protocols are required. You can visit:

靶点信息

Signal transducer and transcription activator that mediates cellular responses to interleukins, KITLG/SCF, LEP and other growth factors (PubMed : 10688651, PubMed : 12359225, PubMed : 12873986, PubMed : 15194700, PubMed : 15653507, PubMed : 16285960, PubMed : 17344214, PubMed : 18242580, PubMed : 18782771, PubMed : 22306293, PubMed : 23084476, PubMed : 28262505, PubMed : 32929201, PubMed : 38404237). Once activated, recruits coactivators, such as NCOA1 or MED1, to the promoter region of the target gene (PubMed : 15653507, PubMed : 16285960, PubMed : 17344214, PubMed : 18782771, PubMed : 28262505, PubMed : 32929201). May mediate cellular responses to activated FGFR1, FGFR2, FGFR3 and FGFR4 (PubMed : 12873986). Upon activation of IL6ST/gp130 signaling by interleukin-6 (IL6), binds to the IL6-responsive elements identified in the promoters of various acute-phase protein genes (PubMed : 12359225). Activated by IL31 through IL31RA (PubMed : 15194700). Acts as a regulator of inflammatory response by regulating differentiation of naive CD4(+) T-cells into T-helper Th17 or regulatory T-cells (Treg) : acetylation promotes its transcription activity and cell differentiation while deacetylation and oxidation of lysine residues by LOXL3 inhibits differentiation (PubMed : 28065600, PubMed : 28262505). Involved in cell cycle regulation by inducing the expression of key genes for the progression from G1 to S phase, such as CCND1 (PubMed : 17344214). Mediates the effects of LEP on melanocortin production, body energy homeostasis and lactation (By similarity). May play an apoptotic role by transctivating BIRC5 expression under LEP activation (PubMed : 18242580). Cytoplasmic STAT3 represses macroautophagy by inhibiting EIF2AK2/PKR activity (PubMed : 23084476). Plays a crucial role in basal beta cell functions, such as regulation of insulin secretion (By similarity). Following JAK/STAT signaling activation and as part of a complex with NFATC3 and NFATC4, binds to the alpha-beta E4 promoter region of CRYAB and activates transcription in cardiomyocytes (By similarity).
See full target information STAT3 phospho Y705

文献 (803)

Recent publications for all applications. Explore the full list and refine your search

Frontiers in medicine 12:1663279 PubMed40995100

2025

Human epidermis models demonstrate mediator role of TLR2 and TLR3 for psoriatic inflammation.

Applications

Unspecified application

Species

Unspecified reactive species

Hanna Glasebach,Lukas Denzinger,Steffen Rupp,Anke Burger-Kentischer

OncoTargets and therapy 18:979-994 PubMed40934061

2025

The Dual Role of RBBP7 in Esophageal Squamous Cell Carcinoma: Cell Context-Dependent Impacts on Proliferation and Radiosensitivity.

Applications

Unspecified application

Species

Unspecified reactive species

Yafen Li,Shuai Lu,Hui Yao,Genbao Zhu,Hao Liu,Zhiyu Ma,Heng Tang

ACS omega 10:37162-37175 PubMed40893259

2025

Targeting and Suppression of Survivin in Cancer Cells Based on the Interaction of Cell Surface Vimentin with ‑Acetylglucosamine-Bearing Polymers.

Applications

Unspecified application

Species

Unspecified reactive species

Karera Kitagawa,Shingo Kobayashi,Yoshiko Miura,Masaru Tanaka,Hirohiko Ise

Cellular & molecular biology letters 30:104 PubMed40883663

2025

Radiation-sensitive circRNA promotes intestinal regeneration.

Applications

Unspecified application

Species

Unspecified reactive species

Hui Cai,Xin Liang,Shazhen Ai,Hao Sun,Xinyu Zhang,Qianying Lu,Qingshan Yang,Ying Li,Di Zhao,Manman Zhang,Kaihua Ji,Yan Wang,Qiang Liu

Exploration (Beijing, China) 5:20240363 PubMed40873647

2025

Suppresses CD8 T Cell Effector Function and Intestinal Inflammation.

Applications

Unspecified application

Species

Unspecified reactive species

Yingying Lin,Yuqi Wang,Yuning Zhang,Yao Lu,Juan Chen,Yongting Luo,Jian He,Qingfeng Luo,Heng Quan,Weiru Yu,Yujia Luo,Peng Xue,Yi Xue,Xiaoya Lin,Rui Ding,Lining Chen,Yiran Wang,Zenghui Xia,Liang Zhao,Hao Zhang,Ran Wang,Qingyu Wang,Xifan Wang,Jiaqi Su,Fazheng Ren,Cong Lv,Yixuan Li,Huiyuan Guo

Journal of clinical medicine 14: PubMed40806980

2025

EphA5 Expression Predicts Better Survival Despite an Association with Proliferative Activity in Endometrial Cancer.

Applications

Unspecified application

Species

Unspecified reactive species

Shy-Yau Ang,Ching-Yu Shih,Hua Ho,Yen-Lin Chen,Jen-Tang Sun,Chiao-Yin Cheng

Cancers 17: PubMed40805172

2025

HOXA5 as a Dual Modulator of Tumor Biology in Endometrial Cancer.

Applications

Unspecified application

Species

Unspecified reactive species

Yi-Kai Fu,Ching-Yu Shih,Chiao-Yin Cheng,Hua Ho,Yen-Lin Chen

Frontiers in immunology 16:1609740 PubMed40761789

2025

Exploration of JAK/STAT pathway activation in ulcerative colitis reveals sex-dependent activation of JAK2/STAT3 in the inflammatory response.

Applications

Unspecified application

Species

Unspecified reactive species

Cristina Calviño-Suárez,Mariña Durán-Rubí,José Brea,David Moreira,Inés Ardao,Iria Brocos-Mosquera,Rocío Ferreiro-Iglesias,Sol Porto-Silva,Laura Nieto-Garcia,María José Varela,María Isabel Loza,Antón L Martínez,Manuel Barreiro-de Acosta

Biomolecules 15: PubMed40723823

2025

Administration of Purified Alpha-1 Antitrypsin in Salt-Loaded Hypertensive 129Sv Mice Attenuates the Expression of Inflammatory Associated Proteins in the Kidney.

Applications

Unspecified application

Species

Unspecified reactive species

Van-Anh L Nguyen,Yunus E Dogan,Niharika Bala,Erika S Galban,Sihong Song,Abdel A Alli

Bioactive materials 52:878-895 PubMed40688065

2025

Catalyst-modulated hydrogel dynamics for decoupling viscoelasticity and directing macrophage fate for diabetic wound healing.

Applications

Unspecified application

Species

Unspecified reactive species

Yuening Mai,Honglei Wang,Jianyu Lu,Songsong Shi,Yixin Cai,Wei Zhang,Sujie Xie,Runzhi Huang,Shizhao Ji,Xue Qu
View all publications

Abcam Product Promise

我们致力于为您的研究提供高质量的试剂,为您科研的每一步提供支持。若我们的产品未能达到预期性能,我们向您提供 Abcam Product Promise 保障。
详情请参阅我们的条款与条件。

Please note: All products are 'FOR RESEARCH USE ONLY. NOT FOR USE IN DIAGNOSTIC OR THERAPEUTIC PROCEDURES'.

For licensing inquiries, please contact partnerships@abcam.com