JavaScript is disabled in your browser. Please enable JavaScript to view this website.
AB68153

重组Anti-STAT3抗体[EPR787Y]

Anti-STAT3 antibody [EPR787Y]

  • KO Validated
  • RabMAb
  • Recombinant
  • Lab Essentials
  • 20ul selling size
  • Advanced Validation
  • 了解详情

4

(10 Reviews)

|

(574 Publications)

Anti-STAT3 antibody [EPR787Y] (ab68153) is a rabbit monoclonal antibody detecting STAT3 in Western Blot, Flow Cytometry (Intra), Flow Cytometry, IHC-P, ICC/IF. Suitable for Human, Mouse, Rat.

- KO validated for confirmed specificity
- Biophysical QC for unrivalled batch-batch consistency
- Over 350 publications
- Trusted since 2008

查看别名

APRF, STAT3, Signal transducer and activator of transcription 3, Acute-phase response factor

10 Images
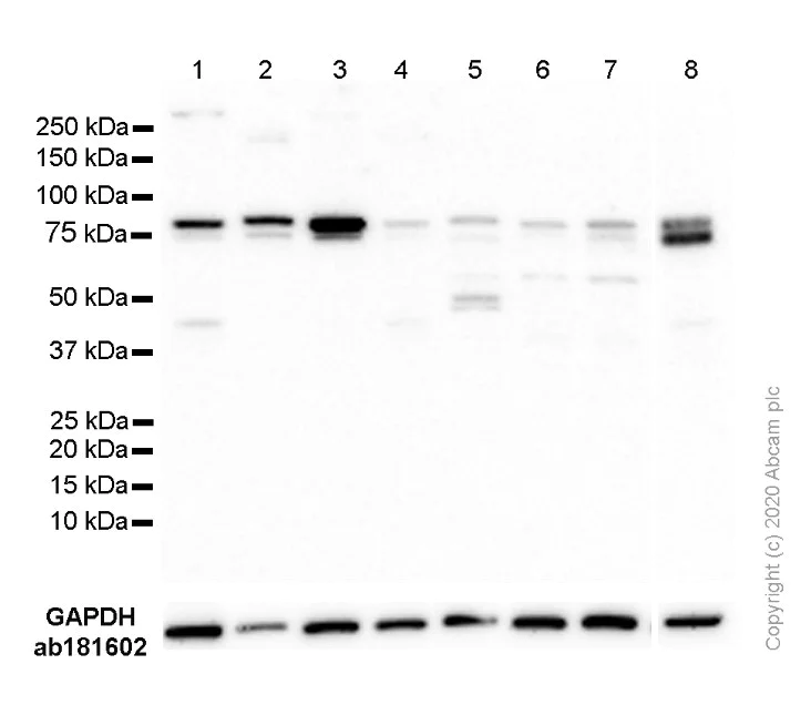
Western blot - Anti-STAT3 antibody [EPR787Y] (AB68153)
  • WB

Lab

Western blot - Anti-STAT3 antibody [EPR787Y] (AB68153)

Blocking/Diluting buffer : 5% NFDM/TBST.

Rabbit monoclonal [EPR16891] to GAPDH (ab181602) used as loading control.

All lanes:

Western blot - Anti-STAT3 antibody [EPR787Y] (ab68153) at 1/1000 dilution

Lane 1:

HeLa (Human cervix adenocarcinoma epithelial cell) whole cell lysate at 20 µg

Lane 2:

HaCaT (Human skin keratinocyte) whole cell lysate at 20 µg

Lane 3:

NIH/3T3 (Mouse embryonic fibroblast) whole cell lysate at 20 µg

Lane 4:

C2C12 (Mouse myoblast cell line) whole cell lysate at 20 µg

Lane 5:

Human brain lysate at 20 µg

Lane 6:

Mouse brain lysate at 20 µg

Lane 7:

Rat brain lysate at 20 µg

Lane 8:

Rat kidney lysate at 20 µg

Secondary

All lanes:

Western blot - Goat Anti-Rabbit IgG H&L (HRP) (<a href='/products/secondary-antibodies/goat-rabbit-igg-h-l-hrp-ab97051'>ab97051</a>) at 1/20000 dilution

Predicted band size: 88 kDa

Observed band size: 92 kDa

false

Exposure time: 90s

Immunohistochemistry (Formalin/PFA-fixed paraffin-embedded sections) - Anti-STAT3 antibody [EPR787Y] (AB68153)
  • IHC-P

Lab

Immunohistochemistry (Formalin/PFA-fixed paraffin-embedded sections) - Anti-STAT3 antibody [EPR787Y] (AB68153)

Immunohistochemical analysis of formalin fixed paraffin embedded human pancreas labelling STAT3 with ab68153 at a concentration of 0.1μg/ml.

The immunostaining was performed on a Ventana DISCOVERY ULTRA (Roche Tissue Diagnostics) instrument with an OptiView HRP/DAB detection kit.

Heat mediated antigen retrieval was performed with DISCOVERY cell conditioning solution (CC1) 100°C, pH8.5 for 32mins.

ab68153 anti-STAT3 antibody [EPR787Y] was incubated for 16mins at 37°C. Sections were counterstained with Hematoxylin II. Image inset shows absence of staining in secondary antibody only control.

Customers are encouraged to optimise antigen retrieval conditions, antibody concentration, incubation times and temperature for best results in their own IHC assay workflow (automated and manual).

Flow Cytometry (Intracellular) - Anti-STAT3 antibody [EPR787Y] (AB68153)
  • Flow Cyt (Intra)

Unknown

Flow Cytometry (Intracellular) - Anti-STAT3 antibody [EPR787Y] (AB68153)

ab68153 stainingSTAT3in the human cell line HeLa (human cervix adenocarcinoma) by intracellular flow cytometry. Cells were fixed with 4% paraformaldehyde, permeabilized with 90% methanol and the sample was incubated with the primary antibody at a dilution of 1/30. A goat anti rabbit IgG (Alexa Fluor® 488) at a dilution of 1/2000 was used as the secondary antibody.

Isoytype control : Rabbit monoclonal IgG (Black)

Unlabelled control : Cell without incubation with primary antibody and secondary antibody (Blue)

Immunocytochemistry/ Immunofluorescence - Anti-STAT3 antibody [EPR787Y] (AB68153)
  • ICC/IF

Unknown

Immunocytochemistry/ Immunofluorescence - Anti-STAT3 antibody [EPR787Y] (AB68153)

Immunocytochemistry/Immunofluorescence analysis of HeLa cells labelling STAT3 (green) with purified ab68153 at 1/200. Cells were fixed with 4% paraformaldehyde. An Alexa Fluor® 488-conjugated goat anti-rabbit IgG (1/200) was used as the secondary antibody. DAPI (blue) was used as the nuclear counterstain.

Immunohistochemistry (Formalin/PFA-fixed paraffin-embedded sections) - Anti-STAT3 antibody [EPR787Y] (AB68153)
  • IHC-P

Unknown

Immunohistochemistry (Formalin/PFA-fixed paraffin-embedded sections) - Anti-STAT3 antibody [EPR787Y] (AB68153)

Immunohistochemistry (Formalin/PFA-fixed paraffin-embedded sections) analysis of human brain tissue sections labelling STAT3 with purified ab68153 at 1/200. Heat mediated antigen retrieval was performed using Tris/EDTA buffer pH 9. A prediluted HRP-polymer conjugated anti-rabbit IgG was used as the secondary antibody. Counterstained with Hematoxylin.

Immunohistochemistry (Formalin/PFA-fixed paraffin-embedded sections) - Anti-STAT3 antibody [EPR787Y] (AB68153)
  • IHC-P

Lab

Immunohistochemistry (Formalin/PFA-fixed paraffin-embedded sections) - Anti-STAT3 antibody [EPR787Y] (AB68153)

Immunohistochemical analysis of formalin fixed paraffin embedded human skeletal muscle labelling STAT3 with ab68153 at a concentration of 0.1µg/ml.

The immunostaining was performed on a Ventana DISCOVERY ULTRA (Roche Tissue Diagnostics) instrument with an OptiView HRP/DAB detection kit.
Heat mediated antigen retrieval was performed with DISCOVERY cell conditioning solution (CC1) 100°C, pH8.5 for 32mins.
ab68153 anti-STAT3 antibody [EPR787Y] was incubated for 16mins at 37°C. Sections were counterstained with Hematoxylin II.
Image inset shows absence of staining in secondary antibody only control.
Customers are encouraged to optimise antigen retrieval conditions, antibody concentration, incubation times and temperature for best results in their own IHC assay workflow (automated and manual).

Western blot - Anti-STAT3 antibody [EPR787Y] (AB68153)
  • WB

Lab

Western blot - Anti-STAT3 antibody [EPR787Y] (AB68153)

Lanes 1 - 4 : Merged signal (red and green). Green - ab68153 observed at 92 kDa. Red - loading control, ab8245, observed at 37 kDa.

ab68153 detected the expected band for STAT3 in wild-type cells along with additional cross-reactive bands. The band was not seen in STAT3 knockout HAP1 cells. Wild-type and STAT3 knockout samples were subjected to SDS-PAGE. ab68153 and ab8245 (Mouse anti GAPDH loading control) were incubated overnight at 4°C at 1/500 dilution and 1/10000 dilution respectively. Blots were developed with Goat anti-Rabbit IgG H&L (IRDye® 800CW) preabsorbed ab216773 and Goat anti-Mouse IgG H&L (IRDye® 680RD) preabsorbed ab216776 secondary antibodies at 1/10000 dilution for 1 hour at room temperature before imaging.

All lanes:

Western blot - Anti-STAT3 antibody [EPR787Y] (ab68153) at 1/500 dilution

Lane 1:

Wild-type HAP1 whole cell lysate at 20 µg

Lane 2:

STAT3 knockout HAP1 whole cell lysate at 20 µg

Lane 3:

HeLa whole cell lysate at 20 µg

Lane 4:

HEK293 whole cell lysate at 20 µg

Predicted band size: 88 kDa

false

Western blot - Anti-STAT3 antibody [EPR787Y] (AB68153)
  • WB

Lab

Western blot - Anti-STAT3 antibody [EPR787Y] (AB68153)

Lanes 1- 2 : Merged signal (red and green). Green - ab68153 observed at 92 kDa. Red - Anti-GAPDH antibody [6C5] - Loading Control (ab8245) observed at 37 kDa.

ab68153 was shown to react with STAT3 in wild-type HeLa cells in western blot. Loss of signal was observed when knockout cell line ab255436 (knockout cell lysate ab263797) was used. Wild-type HeLa and STAT3 knockout HeLa cell lysates were subjected to SDS-PAGE. Membrane was blocked for 1 hour at room temperature in 0.1% TBST with 3% non-fat dried milk. ab68153 and Anti-GAPDH antibody [6C5] - Loading Control (ab8245) overnight at 4°C at a 1 in 1000 dilution and a 1 in 20000 dilution respectively. Blots were developed with Goat anti-Rabbit IgG H&L (IRDye®800CW) preadsorbed (ab216773) and Goat anti-Mouse IgG H&L (IRDye®680RD) preadsorbed (ab216776) secondary antibodies at 1 in 20000 dilution for 1 hour at room temperature before imaging.

All lanes:

Western blot - Anti-STAT3 antibody [EPR787Y] (ab68153) at 1/1000 dilution

Lane 1:

Wild-type HeLa cell lysate at 20 µg

Lane 2:

STAT3 knockout HeLa cell lysate at 20 µg

Predicted band size: 88 kDa

Observed band size: 92 kDa

false

Western blot - Anti-STAT3 antibody [EPR787Y] (AB68153)
  • WB

Lab

Western blot - Anti-STAT3 antibody [EPR787Y] (AB68153)

This blot was produced using a 4-12% Bis-tris gel under the MOPS buffer system. The gel was run at 200V for 50 minutes before being transferred onto a Nitrocellulose membrane at 30V for 70 minutes. The membrane was then blocked for an hour using 3% milk before being incubated with ab68153 overnight at 4°C. Antibody binding was detected using ab205722, and visualised using ECL development solution ab133406.

All lanes:

Western blot - Anti-STAT3 antibody [EPR787Y] (ab68153) at 1/2000 dilution

Lane 1:

A431 (Human epithelial carcinoma cell line) Whole Cell Lysate at 10 µg

Lane 2:

Heart (Mouse) Tissue Lysate at 10 µg

Lane 3:

Heart (Rat) Tissue Lysate at 10 µg

Secondary

All lanes:

Western blot - Donkey Anti-Rabbit IgG H&L (HRP) (<a href='/products/secondary-antibodies/donkey-rabbit-igg-h-l-hrp-ab205722'>ab205722</a>) at 1/2000 dilution

Predicted band size: 36 kDa

Observed band size: 88 kDa

true

Exposure time: 20min

ChIC/CUT&RUN sequencing - Anti-STAT3 antibody [EPR787Y] (AB68153)
  • ChIC/CUT&RUN-seq

Lab

ChIC/CUT&RUN sequencing - Anti-STAT3 antibody [EPR787Y] (AB68153)

ChIC/CUT&RUN was performed using a pAG-MNAse at a final concentration of 700 ng/mL, 2.5 x 10^5 HepG2 cells (starved overnight and treated with 100ng/ml IL-6 for 30min) and 5 µg of ab68153 [EPR787Y]. The resulting DNA was sequenced on the Illumina NovaSeq 6000 to a depth of 10 million reads. The negative IgG control ab172730 is also shown. Additional screenshots of mapped reads can be found in the Protocol booklet in the Product Protocol section. The University of Geneva owns patents relevant to ChIC (Chromatin Immuno-Cleavage) methods.

不同偶联物与剂型 (3)

  • HRP

    HRP Anti-STAT3 antibody [EPR787Y]

  • Carrier free

    Anti-STAT3 antibody [EPR787Y] - BSA and Azide free

  • 665 Alexa Fluor® 647

    Alexa Fluor® 647 Anti-STAT3 antibody [EPR787Y]

关键信息

宿主种属

Rabbit

克隆

Monoclonal

克隆号

EPR787Y

亚型

IgG

不含载体蛋白

No

反应种属

Mouse, Rat, Human

应用

ICC/IF, ChIC/CUT&RUN-seq, IHC-P, WB, Flow Cyt (Intra)

applications

免疫原

The exact immunogen used to generate this antibody is proprietary information.

反应性数据

{ "title": "Reactivity Data", "filters": { "stats": ["", "Species", "Dilution Info", "Notes"], "tabs": { "all-applications": {"fullname" : "All Applications", "shortname": "All Applications"}, "ChICCUTRUNseq" : {"fullname" : "ChIC/CUT&RUN sequencing", "shortname":"ChIC/CUT&RUN-seq"}, "IP" : {"fullname" : "Immunoprecipitation", "shortname":"IP"}, "WB" : {"fullname" : "Western blot", "shortname":"WB"}, "ICCIF" : {"fullname" : "Immunocytochemistry/ Immunofluorescence", "shortname":"ICC/IF"}, "FlowCytIntra" : {"fullname" : "Flow Cytometry (Intracellular)", "shortname":"Flow Cyt (Intra)"}, "IHCP" : {"fullname" : "Immunohistochemistry (Formalin/PFA-fixed paraffin-embedded sections)", "shortname":"IHC-P"} }, "product-promise": { "all": "all", "testedAndGuaranteed": "tested", "guaranteed": "expected", "predicted": "predicted", "notRecommended": "not-recommended" } }, "values": { "Human": { "ChICCUTRUNseq-species-checked": "testedAndGuaranteed", "ChICCUTRUNseq-species-dilution-info": "", "ChICCUTRUNseq-species-notes": "<p></p>", "IP-species-checked": "notRecommended", "IP-species-dilution-info": "", "IP-species-notes": "<p></p>", "WB-species-checked": "testedAndGuaranteed", "WB-species-dilution-info": "1/1000 - 1/2000", "WB-species-notes": "<p></p>", "ICCIF-species-checked": "testedAndGuaranteed", "ICCIF-species-dilution-info": "1/200", "ICCIF-species-notes": "<p><strong>For unpurified use at 1/140.</strong></p>", "FlowCytIntra-species-checked": "testedAndGuaranteed", "FlowCytIntra-species-dilution-info": "1/30 - 1/50", "FlowCytIntra-species-notes": "<p></p>", "IHCP-species-checked": "testedAndGuaranteed", "IHCP-species-dilution-info": "1/200", "IHCP-species-notes": "<p><strong>For unpurified use at 1/140.</strong></p>" }, "Mouse": { "ChICCUTRUNseq-species-checked": "guaranteed", "ChICCUTRUNseq-species-dilution-info": "", "ChICCUTRUNseq-species-notes": "", "IP-species-checked": "notRecommended", "IP-species-dilution-info": "", "IP-species-notes": "<p></p>", "WB-species-checked": "testedAndGuaranteed", "WB-species-dilution-info": "1/1000 - 1/2000", "WB-species-notes": "<p></p>", "ICCIF-species-checked": "guaranteed", "ICCIF-species-dilution-info": "", "ICCIF-species-notes": "", "FlowCytIntra-species-checked": "guaranteed", "FlowCytIntra-species-dilution-info": "", "FlowCytIntra-species-notes": "", "IHCP-species-checked": "guaranteed", "IHCP-species-dilution-info": "", "IHCP-species-notes": "" }, "Rat": { "ChICCUTRUNseq-species-checked": "guaranteed", "ChICCUTRUNseq-species-dilution-info": "", "ChICCUTRUNseq-species-notes": "", "IP-species-checked": "notRecommended", "IP-species-dilution-info": "", "IP-species-notes": "<p></p>", "WB-species-checked": "testedAndGuaranteed", "WB-species-dilution-info": "1/1000 - 1/2000", "WB-species-notes": "<p></p>", "ICCIF-species-checked": "guaranteed", "ICCIF-species-dilution-info": "", "ICCIF-species-notes": "", "FlowCytIntra-species-checked": "guaranteed", "FlowCytIntra-species-dilution-info": "", "FlowCytIntra-species-notes": "", "IHCP-species-checked": "guaranteed", "IHCP-species-dilution-info": "", "IHCP-species-notes": "" } } }

产品详情

Product Specifications
Anti-STAT3 antibody [EPR787Y] (ab68153) was developed by Abcam using patented rabbit monoclonal antibody technology and is validated for use in ChIC/CUT&RUN-seq, Flow Cyt (Intra), ICC/IF, IHC-P, WB in human, mouse, rat samples.
Anti-STAT3 antibody [EPR787Y] (ab68153) specifically detects STAT3 (UniProt ID: P40763; Molecular weight: 88kDa) and is sold in a convenient trial size to enable initial testing (20 µL) and larger sizes for subsequent scaling up experiments (100 µL and 1 mL).

Quality and Validation
Abcam's high quality manufacturing and validation processes ensure Anti-STAT3 antibody [EPR787Y] (ab68153) has high sensitivity and specificity alongside high lot-to-lot consistency and reproducibility.
The specificity of Anti-STAT3 antibody [EPR787Y] (ab68153) has been confirmed by testing in knockout samples.
Anti-STAT3 antibody [EPR787Y] (ab68153) has been cited over 352 times in peer reviewed journals and is trusted by the scientific community.
Anti-STAT3 antibody [EPR787Y] (ab68153) has 10 independent reviews from customers.

Related Products
Conjugation-ready, carrier free format available for antibody clone EPR787Y - ab232558.
Antibody clone EPR787Y is also available pre-conjugated to a variety of labels for your convenience - HRP, Alexa Fluor® 647 (ab194307, ab300101).

Patented technology
Our RabMAb® technology is a patented hybridoma-based technology for making rabbit monoclonal antibodies. For details on our patents, please refer to RabMAb® patents.

What are the advantages of a recombinant monoclonal antibody?
This product is a recombinant monoclonal antibody, which offers several advantages including:

  • - High batch-to-batch consistency and reproducibility
  • - Improved sensitivity and specificity
  • - Long-term security of supply
  • - Animal-free batch production

For more information, read more on recombinant antibodies.

性能和储存信息

形式
Liquid
纯化工艺
Affinity purification Protein A
存储溶液
pH: 7.2 - 7.4 Preservative: 0.01% Sodium azide Constituents: PBS, 40% Glycerol (glycerin, glycerine), 0.05% BSA
运输条件
Blue Ice
推荐的短期储存时间
1-2 weeks
推荐的短期储存条件
+4°C
推荐的长期储存条件
-20°C
分装信息
Upon delivery aliquot
储存信息
Avoid freeze / thaw cycle

产品实验方案

For this product, it's our understanding that no specific protocols are required. You can visit:

靶点信息

Signal transducer and transcription activator that mediates cellular responses to interleukins, KITLG/SCF, LEP and other growth factors (PubMed : 10688651, PubMed : 12359225, PubMed : 12873986, PubMed : 15194700, PubMed : 15653507, PubMed : 16285960, PubMed : 17344214, PubMed : 18242580, PubMed : 18782771, PubMed : 22306293, PubMed : 23084476, PubMed : 28262505, PubMed : 32929201, PubMed : 38404237). Once activated, recruits coactivators, such as NCOA1 or MED1, to the promoter region of the target gene (PubMed : 15653507, PubMed : 16285960, PubMed : 17344214, PubMed : 18782771, PubMed : 28262505, PubMed : 32929201). May mediate cellular responses to activated FGFR1, FGFR2, FGFR3 and FGFR4 (PubMed : 12873986). Upon activation of IL6ST/gp130 signaling by interleukin-6 (IL6), binds to the IL6-responsive elements identified in the promoters of various acute-phase protein genes (PubMed : 12359225). Activated by IL31 through IL31RA (PubMed : 15194700). Acts as a regulator of inflammatory response by regulating differentiation of naive CD4(+) T-cells into T-helper Th17 or regulatory T-cells (Treg) : acetylation promotes its transcription activity and cell differentiation while deacetylation and oxidation of lysine residues by LOXL3 inhibits differentiation (PubMed : 28065600, PubMed : 28262505). Involved in cell cycle regulation by inducing the expression of key genes for the progression from G1 to S phase, such as CCND1 (PubMed : 17344214). Mediates the effects of LEP on melanocortin production, body energy homeostasis and lactation (By similarity). May play an apoptotic role by transctivating BIRC5 expression under LEP activation (PubMed : 18242580). Cytoplasmic STAT3 represses macroautophagy by inhibiting EIF2AK2/PKR activity (PubMed : 23084476). Plays a crucial role in basal beta cell functions, such as regulation of insulin secretion (By similarity). Following JAK/STAT signaling activation and as part of a complex with NFATC3 and NFATC4, binds to the alpha-beta E4 promoter region of CRYAB and activates transcription in cardiomyocytes (By similarity).
See full target information STAT3

文献 (574)

Recent publications for all applications. Explore the full list and refine your search

Hereditas 162:202 PubMed41044672

2025

CircRNA-14052 promotes breast cancer progression via miR-214-3p/IKBKB pathway.

Applications

Unspecified application

Species

Unspecified reactive species

Donghai Li,Zhiying Zhang,Yan Cui,Jiaxin Sun,Wenyuan Wei,Shaofeng Yang,Rui Zhang

BMC immunology 26:70 PubMed40999385

2025

Enfortumab vedotin promotes PD-L1 expression in urothelial carcinoma via NF-κB and STAT3 pathways highlighting mechanisms of immune evasion and potential for combination therapy.

Applications

Unspecified application

Species

Unspecified reactive species

Hirohito Naito,Rikiya Taoka,Xia Zhang,Akram Hossain,Yohei Abe,Mikio Sugimoto

OncoTargets and therapy 18:979-994 PubMed40934061

2025

The Dual Role of RBBP7 in Esophageal Squamous Cell Carcinoma: Cell Context-Dependent Impacts on Proliferation and Radiosensitivity.

Applications

Unspecified application

Species

Unspecified reactive species

Yafen Li,Shuai Lu,Hui Yao,Genbao Zhu,Hao Liu,Zhiyu Ma,Heng Tang

ImmunoTargets and therapy 14:849-875 PubMed40860346

2025

Fracture-Induced Immunological Cascades Trigger Rapid Systemic Bone Loss via Osteocyte-Regulated Osteoclastogenesis.

Applications

Unspecified application

Species

Unspecified reactive species

Lipeng Sun,Shouxiang Kuang,Yang Li,Guodong Wang,Jianmin Sun,Fengge Zhou,Chenggui Zhang

Neoplasia (New York, N.Y.) 68:101219 PubMed40840329

2025

Prkci activates Jak2/Stat3 signaling to promote tumor angiogenesis: Short Name: Prkci in tumor angiogenesis.

Applications

Unspecified application

Species

Unspecified reactive species

Peng Li,Guangshi Liu,Wenbin Zhang,Tao Li,Xinhui Yang

Drug design, development and therapy 19:6699-6717 PubMed40786248

2025

Ursolic Acid Ameliorates Diabetic Nephropathy by Inhibiting JAK2/STAT3-Driven Ferroptosis: Mechanistic Insights from Network Pharmacology and Experimental Validation.

Applications

Unspecified application

Species

Unspecified reactive species

Yijing Zhou,Chengli Lou,Xiuqin Xu,Bo Feng,Xiaoping Fan,Xiangjing Wang

Annals of hepato-biliary-pancreatic surgery 29:343-352 PubMed40759530

2025

Role of diabetes-related inflammation in pancreatic cancer evaluated by aptamer-based detection of circulating tumor cells in a streptozotocin-induced Panc02-transplanted murine model.

Applications

Unspecified application

Species

Unspecified reactive species

Yeshong Park,Sang-Tae Kim,Yu Mi Kim,Ho-Seong Han,Yoo-Seok Yoon

Frontiers in pharmacology 16:1546491 PubMed40703348

2025

STAT3 mediates CAF-induced osimertinib resistance via regulating protein secretion in non-small cell lung cancer.

Applications

Unspecified application

Species

Unspecified reactive species

Xuchen Fan,Sheng Wu,Honglong Wu,Yingying Huang,Xuhui Tong,Meiling Yu,Zhe Liu

Bioactive materials 52:878-895 PubMed40688065

2025

Catalyst-modulated hydrogel dynamics for decoupling viscoelasticity and directing macrophage fate for diabetic wound healing.

Applications

Unspecified application

Species

Unspecified reactive species

Yuening Mai,Honglei Wang,Jianyu Lu,Songsong Shi,Yixin Cai,Wei Zhang,Sujie Xie,Runzhi Huang,Shizhao Ji,Xue Qu

Bioactive materials 52:753-772 PubMed40688064

2025

Modular assembled biomimetic nanobubbles for synergistic therapy of ischemic stroke cascade modulation thrombo-inflammatory network.

Applications

Unspecified application

Species

Unspecified reactive species

Mingxi Li,Xuan Xu,Guoyan Tang,Huan Wu,Yakun Wang,Chen Cheng,Hongde Liu,Fang Yang
View all publications
chicCutRunSequencingBooklet
en

Abcam Product Promise

我们致力于为您的研究提供高质量的试剂,为您科研的每一步提供支持。若我们的产品未能达到预期性能,我们向您提供 Abcam Product Promise 保障。
详情请参阅我们的条款与条件。

Please note: All products are 'FOR RESEARCH USE ONLY. NOT FOR USE IN DIAGNOSTIC OR THERAPEUTIC PROCEDURES'.

For licensing inquiries, please contact partnerships@abcam.com