JavaScript is disabled in your browser. Please enable JavaScript to view this website.
AB109320

重组Anti-STAT1抗体[EPR4407]

Anti-STAT1 antibody [EPR4407]

  • 20ul selling size
  • Recombinant
  • KO Validated
  • Advanced Validation
  • RabMAb
  • 了解详情

Be the first to review this product! Submit a review

|

(66 Publications)

Rabbit Recombinant Monoclonal STAT1 antibody. Suitable for ChIC/CUT&RUN-seq, IHC-P, ICC/IF, IP, WB, Flow Cyt (Intra) and reacts with Human samples. Cited in 66 publications.

查看别名

Signal transducer and activator of transcription 1-alpha/beta, Transcription factor ISGF-3 components p91/p84, STAT1

9 Images
Flow Cytometry (Intracellular) - Anti-STAT1 antibody [EPR4407] (AB109320)
  • Flow Cyt (Intra)

Unknown

Flow Cytometry (Intracellular) - Anti-STAT1 antibody [EPR4407] (AB109320)

Overlay histogram showing HeLa cells stained with ab109320 (red line). The cells were fixed with 80% methanol (5 min) and then permeabilized with 0.1% PBS-Tween for 20 min. The cells were then incubated in 1x PBS / 10% normal goat serum / 0.3M glycine to block non-specific protein-protein interactions followed by the antibody (ab109320, 1/10000 dilution) for 30 min at 22°C. The secondary antibody used was Alexa Fluor® 488 goat anti-rabbit IgG (H&L) (ab150077) at 1/2000 dilution for 30 min at 22°C. Isotype control antibody (black line) was rabbit IgG (monoclonal) (0.1μg/1x106 cells) used under the same conditions. Unlabelled sample (blue line) was also used as a control. Acquisition of >5,000 events were collected using a 20mW Argon ion laser (488nm) and 525/30 bandpass filter.

Immunocytochemistry/ Immunofluorescence - Anti-STAT1 antibody [EPR4407] (AB109320)
  • ICC/IF

Lab

Immunocytochemistry/ Immunofluorescence - Anti-STAT1 antibody [EPR4407] (AB109320)

Immunofluorescent analysis of 4% paraformaldehyde-fixed, 0.1% Triton X-100 permeabilized MCF-7(Human breast adenocarcinoma cell line) cell line labeling STAT1 with ab109320 at 1/500 dilution, followed by Goat Anti-Rabbit IgG H&L (Alexa Fluor® 488) (ab150077) secondary antibody at 1/1000 dilution (green).

Confocal image showing nuclear and cytoplasmic staining on MCF7 cells

The nuclear counterstain is DAPI (blue).

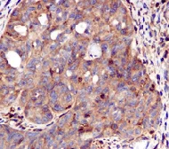
Immunohistochemistry (Formalin/PFA-fixed paraffin-embedded sections) - Anti-STAT1 antibody [EPR4407] (AB109320)
  • IHC-P

Unknown

Immunohistochemistry (Formalin/PFA-fixed paraffin-embedded sections) - Anti-STAT1 antibody [EPR4407] (AB109320)

ab109320 at 1/100 dilution staining STAT1 in Human ovary carcinoma by Immunohistochemistry, Paraffin-embedded tissue.

Perform heat mediated antigen retrieval before commencing with IHC staining protocol.

Immunoprecipitation - Anti-STAT1 antibody [EPR4407] (AB109320)
  • IP

Lab

Immunoprecipitation - Anti-STAT1 antibody [EPR4407] (AB109320)

STAT1 was immunoprecipitated from 0.35 mg MCF7 (Human breast adenocarcinoma epithelial cell) whole cell lysate 10 µg with ab109320 at 1/50 dilution (2µg). VeriBlot for IP Detection Reagent (HRP) (ab131366) was used at 1/5000 dilution.

Lane 1 : MCF7 (Human breast adenocarcinoma epithelial cell) whole cell lysate 10 µg
Lane 2 : ab109320 IP in MCF7 whole cell lysate
Lane 3 : Rabbit monoclonal IgG (ab172730) instead of ab109320 in MCF7 whole cell lysate

Blocking and dilution buffer and concentration : 5% NFDM/TBST.

All lanes:

Immunoprecipitation - Anti-STAT1 antibody [EPR4407] (ab109320)

Predicted band size: 87 kDa

Observed band size: 90 kDa

false

Western blot - Anti-STAT1 antibody [EPR4407] (AB109320)
  • WB

Lab

Western blot - Anti-STAT1 antibody [EPR4407] (AB109320)

Lanes 1- 2 : Merged signal (red and green). Green - ab109320 observed at 87 kDa. Red - Anti-GAPDH antibody [6C5] - Loading Control (ab8245) observed at 37 kDa.

ab109320 was shown to react with STAT1 in wild-type HeLa cells in western blot. Loss of signal was observed when knockout cell line ab255346 (knockout cell lysate ab263837) was used. Wild-type HeLa and STAT1 knockout HeLa cell lysates were subjected to SDS-PAGE. Membrane was blocked for 1 hour at room temperature in 0.1% TBST with 3% non-fat dried milk. ab109320 and Anti-GAPDH antibody [6C5] - Loading Control (ab8245) overnight at 4°C at a 1 in 10000 dilution and a 1 in 20000 dilution respectively. Blots were developed with Goat anti-Rabbit IgG H&L (IRDye®800CW) preadsorbed (ab216773) and Goat anti-Mouse IgG H&L (IRDye®680RD) preadsorbed (ab216776) secondary antibodies at 1 in 20000 dilution for 1 hour at room temperature before imaging.

All lanes:

Western blot - Anti-STAT1 antibody [EPR4407] (ab109320) at 1/10000 dilution

Lane 1:

Wild-type HeLa cell lysate at 20 µg

Lane 2:

STAT1 knockout HeLa cell lysate at 20 µg

Lane 2:

Western blot - Human STAT1 knockout HeLa cell line (<a href='/products/cell-lines/human-stat1-knockout-hela-cell-line-ab255346'>ab255346</a>)

Predicted band size: 48 kDa,87 kDa

Observed band size: 50 kDa,87 kDa

false

ChIC/CUT&RUN sequencing - Anti-STAT1 antibody [EPR4407] (AB109320)
  • ChIC/CUT&RUN-seq

Supplier Data

ChIC/CUT&RUN sequencing - Anti-STAT1 antibody [EPR4407] (AB109320)

CUT&RUN profiling with STAT1 antibody demonstrates robust genome-wide enrichment in cells. Heatmaps of genome-wide signal flanking annotated transcription start sites (TSSs, +/- 2 kbp) display CUT&RUN data generated using the CUTANA™ CUT&RUN Kit (EpiCypher 14-1048) with STAT1 antibody (Abcam ab109320, 0.5 µg). 500,000 HeLa cells were used per reaction. IgG antibody was included as a negative control to assess non-specific background. Libraries were prepared using the CUTANA™ CUT&RUN Library Prep Kit (EpiCypher 14-1001). Sequencing was performed with paired-end 50 bp reads, and data were processed on CUTANA™ Cloud (cloud.epicypher.com) by alignment to the hg38 genome. Heatmaps were generated using ChAsE (Younesy et al., Bioinformatics 2016; PMID 27378294). Row-linked data are ranked by intensity relative to STAT1, with red indicating high localized enrichment and blue denoting background.

ChIC/CUT&RUN sequencing - Anti-STAT1 antibody [EPR4407] (AB109320)
  • ChIC/CUT&RUN-seq

Supplier Data

ChIC/CUT&RUN sequencing - Anti-STAT1 antibody [EPR4407] (AB109320)

CUT&RUN profiling with STAT1 antibody reveals the expected genomic enrichment pattern in cells. Representative genome browser tracks show CUT&RUN data generated using the CUTANA™ CUT&RUN Kit (EpiCypher 14-1048) with STAT1 antibody (Abcam ab109320, 0.5 µg). 500,000 HeLa cells were used per reaction. IgG, H3K4me3, and H3K27me3 antibodies were included as controls to assess non-specific background, active promoters, and repressed chromatin, respectively. Libraries were prepared using the CUTANA™ CUT&RUN Library Prep Kit (EpiCypher 14-1001). Sequencing was performed with paired-end 50 bp reads, and data were processed on CUTANA™ Cloud (cloud.epicypher.com) by alignment to the hg38 genome. Images were generated using Integrative Genomics Viewer (IGV, Broad Institute).

ChIC/CUT&RUN sequencing - Anti-STAT1 antibody [EPR4407] (AB109320)
  • ChIC/CUT&RUN-seq

Supplier Data

ChIC/CUT&RUN sequencing - Anti-STAT1 antibody [EPR4407] (AB109320)

ChIC/CUT&RUN was performed using a pAG-MNAse at a final concentration of 700 ng/mL, 2 x 10^5 HeLa (Human cervix adenocarcinoma epithelial cell line) cells treated with IFN gamma (50ng/ml 1h) and 5µg of ab109320 [EPR4407]. The resulting DNA was sequenced on the Illumina NovaSeq 6000 to a depth of 10 million reads. The negative IgG control ab172730 is also shown. Additional screenshots of mapped reads can be found in the Protocol booklet in the Product Protocol section. The University of Geneva owns patents relevant to ChIC (Chromatin Immuno-Cleavage) methods.

Western blot - Anti-STAT1 antibody [EPR4407] (AB109320)
  • WB

Unknown

Western blot - Anti-STAT1 antibody [EPR4407] (AB109320)

All lanes:

Western blot - Anti-STAT1 antibody [EPR4407] (ab109320) at 1/10000 dilution

Lane 1:

293T cell lysate at 10 µg

Lane 2:

HeLa cell lysate at 10 µg

Lane 3:

MCF7 cell lysate at 10 µg

Predicted band size: 87 kDa

Observed band size: 90 kDa

false

不同偶联物与剂型 (3)

关键信息

宿主种属

Rabbit

克隆

Monoclonal

克隆号

EPR4407

亚型

IgG

不含载体蛋白

No

反应种属

Human

应用

IHC-P, ICC/IF, WB, ChIC/CUT&RUN-seq, IP, Flow Cyt (Intra)

applications

免疫原

The exact immunogen used to generate this antibody is proprietary information.

反应性数据

{ "title": "Reactivity Data", "filters": { "stats": ["", "Species", "Dilution Info", "Notes"], "tabs": { "all-applications": {"fullname" : "All Applications", "shortname": "All Applications"}, "ChICCUTRUNseq" : {"fullname" : "ChIC/CUT&RUN sequencing", "shortname":"ChIC/CUT&RUN-seq"}, "IHCP" : {"fullname" : "Immunohistochemistry (Formalin/PFA-fixed paraffin-embedded sections)", "shortname":"IHC-P"}, "ICCIF" : {"fullname" : "Immunocytochemistry/ Immunofluorescence", "shortname":"ICC/IF"}, "IP" : {"fullname" : "Immunoprecipitation", "shortname":"IP"}, "WB" : {"fullname" : "Western blot", "shortname":"WB"}, "FlowCytIntra" : {"fullname" : "Flow Cytometry (Intracellular)", "shortname":"Flow Cyt (Intra)"} }, "product-promise": { "all": "all", "testedAndGuaranteed": "tested", "guaranteed": "expected", "predicted": "predicted", "notRecommended": "not-recommended" } }, "values": { "Human": { "ChICCUTRUNseq-species-checked": "testedAndGuaranteed", "ChICCUTRUNseq-species-dilution-info": "5 µg", "ChICCUTRUNseq-species-notes": "<p></p>", "IHCP-species-checked": "testedAndGuaranteed", "IHCP-species-dilution-info": "1/100 - 1/250", "IHCP-species-notes": "<p></p>", "ICCIF-species-checked": "testedAndGuaranteed", "ICCIF-species-dilution-info": "1/100 - 1/250", "ICCIF-species-notes": "<p></p>", "IP-species-checked": "testedAndGuaranteed", "IP-species-dilution-info": "1/10 - 1/100", "IP-species-notes": "<p></p>", "WB-species-checked": "testedAndGuaranteed", "WB-species-dilution-info": "1/10000 - 1/50000", "WB-species-notes": "<p></p>", "FlowCytIntra-species-checked": "testedAndGuaranteed", "FlowCytIntra-species-dilution-info": "1/1000 - 1/10000", "FlowCytIntra-species-notes": "<p><a href='/products/primary-antibodies/rabbit-igg-monoclonal-epr25a-isotype-control-ab172730'>ab172730</a> - Rabbit monoclonal IgG, is suitable for use as an isotype control with this antibody.</p>" } } }

产品详情

Species reactivity
Mouse: We have preliminary internal testing data to indicate this antibody may not react with this species.
Please contact us for more information.

Patented technology
Our RabMAb® technology is a patented hybridoma-based technology for making rabbit monoclonal antibodies. For details on our patents, please refer to RabMAb® patents.

What are the advantages of a recombinant monoclonal antibody?
This product is a recombinant monoclonal antibody, which offers several advantages including:

  • - High batch-to-batch consistency and reproducibility
  • - Improved sensitivity and specificity
  • - Long-term security of supply
  • - Animal-free batch production

For more information, read more on recombinant antibodies.

性能和储存信息

形式
Liquid
纯化工艺
Affinity purification Protein A
存储溶液
pH: 7.2 - 7.4 Preservative: 0.05% Sodium azide Constituents: 50% Tissue culture supernatant, 40% Glycerol (glycerin, glycerine), 9.85% Tris glycine, 0.1% BSA
运输条件
Blue Ice
推荐的短期储存时间
1-2 weeks
推荐的短期储存条件
+4°C
推荐的长期储存条件
-20°C
分装信息
Upon delivery aliquot
储存信息
Stable for 12 months at -20°C

补充信息

This supplementary information is collated from multiple sources and compiled automatically.

Signal Transducer and Activator of Transcription 1 (STAT1) is a protein of about 91 kDa commonly known simply as STAT1. It belongs to the STAT protein family which is involved in gene regulation. STAT1 expresses widely in many tissues including the immune system where it plays a major role. As an important player in cellular responses to cytokines and growth factors STAT1 becomes activated through phosphorylation often referred to as phospho-STAT1. This phosphorylation promotes dimerization an important step for its function.
Biological function summary

The STAT1 protein influences cell survival and immune responses. It functions as a transcription factor and participates in the interferon signaling pathway. In this setting it forms a complex with other STAT proteins such as STAT2 and STAT3 to regulate gene expression. By binding to specific DNA sequences in the nucleus STAT1 alters transcription in response to extracellular signals. It contributes to antiviral defense mechanisms and antiproliferative activities in various cells.

Pathways

The STAT1 protein plays essential roles in the JAK-STAT signaling pathway and interferon signaling pathway. It operates closely with proteins such as JAK1 and TYK2 which are involved in the phosphorylation process activating STAT1. During this activation STAT1 helps initiate cellular responses to interferons a type of signaling protein released during viral infections. The JAK-STAT pathway facilitates various physiological processes including immune responses and cell growth regulation.

STAT1 dysregulation often connects to autoimmune diseases and infectious diseases. Elevated STAT1 activity associates with disorders like systemic lupus erythematosus where an imbalanced immune response occurs. Phosphorylation of STAT1 can also relate to chronic infections in cases where proper immune response activation becomes impaired. In certain cancers STAT1 interaction with proteins like SOCS1 might contribute to tumor immune evasion highlighting its vital role in pathology.

产品实验方案

For this product, it's our understanding that no specific protocols are required. You can visit:

靶点信息

Signal transducer and transcription activator that mediates cellular responses to interferons (IFNs), cytokine KITLG/SCF and other cytokines and other growth factors (PubMed : 12764129, PubMed : 12855578, PubMed : 15322115, PubMed : 23940278, PubMed : 34508746, PubMed : 35568036, PubMed : 9724754). Following type I IFN (IFN-alpha and IFN-beta) binding to cell surface receptors, signaling via protein kinases leads to activation of Jak kinases (TYK2 and JAK1) and to tyrosine phosphorylation of STAT1 and STAT2. The phosphorylated STATs dimerize and associate with ISGF3G/IRF-9 to form a complex termed ISGF3 transcription factor, that enters the nucleus (PubMed : 28753426, PubMed : 35568036). ISGF3 binds to the IFN stimulated response element (ISRE) to activate the transcription of IFN-stimulated genes (ISG), which drive the cell in an antiviral state (PubMed : 28753426, PubMed : 35568036). In response to type II IFN (IFN-gamma), STAT1 is tyrosine- and serine-phosphorylated (PubMed : 26479788). It then forms a homodimer termed IFN-gamma-activated factor (GAF), migrates into the nucleus and binds to the IFN gamma activated sequence (GAS) to drive the expression of the target genes, inducing a cellular antiviral state (PubMed : 8156998). Becomes activated in response to KITLG/SCF and KIT signaling (PubMed : 15526160). May mediate cellular responses to activated FGFR1, FGFR2, FGFR3 and FGFR4 (PubMed : 19088846). Following bacterial lipopolysaccharide (LPS)-induced TLR4 endocytosis, phosphorylated at Thr-749 by IKBKB which promotes binding of STAT1 to the 5'-TTTGAGGC-3' sequence in the ARID5A promoter, resulting in transcriptional activation of ARID5A and subsequent ARID5A-mediated stabilization of IL6 (PubMed : 32209697). Phosphorylation at Thr-749 also promotes binding of STAT1 to the 5'-TTTGAGTC-3' sequence in the IL12B promoter and activation of IL12B transcription (PubMed : 32209697). Involved in food tolerance in small intestine : associates with the Gasdermin-D, p13 cleavage product (13 kDa GSDMD) and promotes transcription of CIITA, inducing type 1 regulatory T (Tr1) cells in upper small intestine (By similarity).
See full target information STAT1

文献 (66)

Recent publications for all applications. Explore the full list and refine your search

Cell death discovery 11:372 PubMed40781226

2025

Activation of APOBEC3 cytidine deaminases and endogenous retroviruses is integrated by MUC1-C in NSCLC cells.

Applications

Unspecified application

Species

Unspecified reactive species

Naoki Haratake,Shinkichi Takamori,Hideko Isozaki,Keisuke Shigeta,Chie Kikutake,Hiroki Ozawa,Atrayee Bhattacharya,Ayako Nakashoji,Mikita Suyama,Tomoyoshi Takenaka,Tomoharu Yoshizumi,Atsushi Osoegawa,Aaron N Hata,Donald Kufe

Discover oncology 16:489 PubMed40198509

2025

Acinar cells modulate the tumor microenvironment through the promotion of M1 macrophage polarization via macrophage endocytosis in pancreatic cancer.

Applications

Unspecified application

Species

Unspecified reactive species

Congjia Ma,Wenbo Zhu,Xiulin Hu,Deli Wu,Xintong Zhao,Yiqi Du,Xiangyu Kong

iScience 27:111255 PubMed39620128

2024

activates SLFN4MDSCs to accelerate gastric intestinal metaplasia.

Applications

Unspecified application

Species

Unspecified reactive species

Zhihong Zhao,Rui Liu,Ye Peng,Cun Li,Qian Li

PeerJ 12:e18612 PubMed39619202

2024

The effects of plasma from patients with active thyroid-associated orbitopathy on the survival and inflammation of melanoma-associated fibroblasts.

Applications

Unspecified application

Species

Unspecified reactive species

Huifang Chen,Shiyuan Chen,Zhenfeng Liu

Stem cell research & therapy 15:399 PubMed39501364

2024

HES1 revitalizes the functionality of aged adipose-derived stem cells by inhibiting the transcription of STAT1.

Applications

Unspecified application

Species

Unspecified reactive species

Chengcheng Li,Sen Ren,Chengqi Yan,Cheng Wang,Tao Jiang,Yu Kang,Jing Chen,Hewei Xiong,Jiahe Guo,Guoyong Jiang,Shuoyuan Liu,Pengjuan Nie,Zhenbing Chen

Cell death & disease 15:608 PubMed39168971

2024

TAGLN2 induces resistance signature ISGs by activating AKT-YBX1 signal with dual pathways and mediates the IFN-related DNA damage resistance in gastric cancer.

Applications

Unspecified application

Species

Unspecified reactive species

Huiqin Zhuo,Jingjing Hou,Zhijun Hong,Shuqi Yu,Huifang Peng,Lihua Zhang,Wen Xie,Xuehui Hong

Molecular medicine (Cambridge, Mass.) 30:78 PubMed38844873

2024

Wogonin upregulates SOCS3 to alleviate the injury in Diabetic Nephropathy by inhibiting TLR4-mediated JAK/STAT/AIM2 signaling pathway.

Applications

Unspecified application

Species

Unspecified reactive species

Yufeng Liu,Mengbi Zhang,Lu Zeng,Yanhong Lai,Songzhao Wu,Xiaoyan Su

Immunology 172:469-485 PubMed38544333

2024

The dysfunction of CD8 T cells triggered by endometriotic stromal cells promotes the immune survival of endometriosis.

Applications

Unspecified application

Species

Unspecified reactive species

Zhi-Xiong Huang,Dian-Chao Lin,Hua-Ying Zhang,Meng-Jie Yang,Jia-Hao Chen,Xin-Yu Ding,Song-Juan Dai,Yi-Huang Hong,Gui-Shuang Liang,Qi-Yuan Li,Qiong-Hua Chen

Neuropathology : official journal of the Japanese Society of Neuropathology 44:319-330 PubMed38448392

2024

Neuropilin-1 enhances temozolomide resistance in glioblastoma via the STAT1/p53/p21 axis.

Applications

Unspecified application

Species

Unspecified reactive species

Ping Huang,Lixia Zhang,Hongwei Wang,Changwu Dou,Haitao Ju,Peng Yue,Jiaxing Ren

Stem cell reviews and reports 20:1040-1059 PubMed38396222

2024

Equine Embryonic Stem Cell-Derived Tenocytes are Insensitive to a Combination of Inflammatory Cytokines and Have Distinct Molecular Responses Compared to Primary Tenocytes.

Applications

Unspecified application

Species

Unspecified reactive species

Emily J Smith,Ross E Beaumont,Jayesh Dudhia,Deborah J Guest
View all publications
chicCutRunSequencingBooklet
en

Abcam Product Promise

我们致力于为您的研究提供高质量的试剂,为您科研的每一步提供支持。若我们的产品未能达到预期性能,我们向您提供 Abcam Product Promise 保障。
详情请参阅我们的条款与条件。

Please note: All products are 'FOR RESEARCH USE ONLY. NOT FOR USE IN DIAGNOSTIC OR THERAPEUTIC PROCEDURES'.

For licensing inquiries, please contact partnerships@abcam.com